Sickle cell anemia
Dr Vijay Shankar S
INTRODUCTION
 Haemoglobinopathy
 Qualitative abnormality
 Hb S
 Sickling of RBC’s on deoxygenation.
 Anemia, jaundice
 Autosplenectomy.
HEMOGLOBINOPATHIES
Definition
 Clinical diseases that result from a genetically
determined abnormality of the STRUCTURE
or SYNTHESIS of the hemoglobin molecule.
 The abnormality is associated with the globin
chains
 The heme portion of the molecule is normal.
GLOBIN ABNORMALITY
QUALITATIVE QUANTITATIVE
•Occurs as a result of
genetic mutations involving
globin protein chain
•Aminoacid deletions or
substitutions
•These mutations cause
structural variations of the
globin chains
•Hb S, Hb C, Hb M etc..
•Occurs as a result of
genetic defects that cause
reduced synthesis of globin
chains
•The globin chains are
structurally normal.
•Collectively known as
THALASSEMIAS
Sickle cell anemia.
 Sickle cell anemia is caused by a point mutation
at the sixth position of the β – globin chain.
 This leads to the substitution of Valine residue
for a glutamic acid residue.
 The abnormal physiochemical properties of the
resulting sickle haemoglobin(HbS) are
responsible for the sickle cell disease.
Sickle cell and malaria
As you can see, the areas where Malaria is present and
the Sickle Cell allele is present are overlapping.
Distribution of the sickle cell allele Distribution of Malaria
PATHOGENESIS
 When deoxygenated the HbS molecules undergo
aggregation and polymerization.
 Initially the red cell cytoplasm converts into
viscous fluid as the HbS aggegates.
 with continued deoxygenation, aggragated HbS
molecules assemble into long needle like
fibres within the RBC’s producing a distorted
Sickle or Holly Leaf shape.
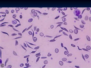
Red Blood Cells from Sickle Cell Anemia
OXY-STATE DEOXY-STATE
 Deoxygenation of SS erythrocytes leads to
intracellular hemoglobin polymerization, loss of
deformability and changes in cell morphology.
 Sickling initially is a reversible phenomenon
 With oxygenation the HbS depolymerizes and
cell shape normalizes.
 With REPEATED EPISODES
the membrane becomes damaged and the
cells become irreversibly sickled.
Factors affecting the rate & degree of
sickling
1. Amount of HbS and its interactions with the
other hemoglobin chains in the cell.
Homozygous
Heterozygous
Fetal Hb inhibits polymerization
of HbS, hence newborns do not manifest until
5 – 6 months of age.
2. The rate of polymerization is strongly
dependent on the hemoglobin concentration
per cell, ie MCHC.
3. Decrease in pH
4. The length of the time red cells are exposed to
low oxygen tension.
sickling of red cells is confined to microvascular beds
where the blood flow is sluggish.( Spleen and Bone
marrow)
PATHOPHYSIOLOGY OF SICKLE CELL ANEMIA
Red blood cells Going through Vessels
Clinical features.
 Chronic hemolysis anemia
 Ischemic tissue damage resulting from occlusion
of small blood vessels.
 Chronic hyperbilirubinemia
 Impaired growth and devolopment
 increased susceptibility to infections with
encapsulated organisms.
Pneumococci &Hemphilus
influenzae.
“CRISIS” in sickle cell anemia.
 VASOOCCLUSIVE CRISIS/ PAIN CRISIS:
represents episodes of hypoxic injury and
infarction associated with severe pain in the
affected region.
Most common involved sites are Bone ,
lungs , liver, brain , spleen and penis.
 SEQESTRATION CRISIS: occur in children
with intact spleen.
massive sequestration of the sickle red cells leads
to rapid splenic enlargement, hypovolumia nd
sopmetimes shock.
 APLASTIC CRISIS:
There is transient cessation of bone marrow
erythropoiesis due to an acute infection of
erythroid progenitor cells by Parvovirus B 19.
Reticulocytes disappear from the peripheral blood,
causing a sudden and rapid worsening of
anemia.
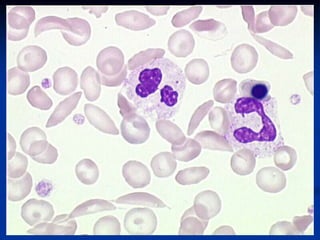
Lab Diagnosis
 Moderate to severe anemia.
 The blood film shows sickle cells and target cells
and show features of splenic atrophy ( howell –
jolly –bodies.)
Howell Jolly bodies
Sickling test
 The blood is deoxygenated, with the reducing
substance sodium metabisulphite placed on a
glass slide and sealed with a coverslip to prevent
reoxygenation of the cells.
 After 30 mins the blood is examined under
microscope for the presence of sickle shaped
cells.
Haemoglobin electrophoresis
 Absent or decreased HbA
 Demonstration of HbS
 Increase in HbF
Summary
Thank you

Haemoglobinopathies sickle cell anemia

  • 1.
    Sickle cell anemia DrVijay Shankar S
  • 2.
    INTRODUCTION  Haemoglobinopathy  Qualitativeabnormality  Hb S  Sickling of RBC’s on deoxygenation.  Anemia, jaundice  Autosplenectomy.
  • 3.
  • 4.
    Definition  Clinical diseasesthat result from a genetically determined abnormality of the STRUCTURE or SYNTHESIS of the hemoglobin molecule.  The abnormality is associated with the globin chains  The heme portion of the molecule is normal.
  • 5.
    GLOBIN ABNORMALITY QUALITATIVE QUANTITATIVE •Occursas a result of genetic mutations involving globin protein chain •Aminoacid deletions or substitutions •These mutations cause structural variations of the globin chains •Hb S, Hb C, Hb M etc.. •Occurs as a result of genetic defects that cause reduced synthesis of globin chains •The globin chains are structurally normal. •Collectively known as THALASSEMIAS
  • 6.
    Sickle cell anemia. Sickle cell anemia is caused by a point mutation at the sixth position of the β – globin chain.  This leads to the substitution of Valine residue for a glutamic acid residue.  The abnormal physiochemical properties of the resulting sickle haemoglobin(HbS) are responsible for the sickle cell disease.
  • 7.
    Sickle cell andmalaria As you can see, the areas where Malaria is present and the Sickle Cell allele is present are overlapping. Distribution of the sickle cell allele Distribution of Malaria
  • 8.
    PATHOGENESIS  When deoxygenatedthe HbS molecules undergo aggregation and polymerization.  Initially the red cell cytoplasm converts into viscous fluid as the HbS aggegates.  with continued deoxygenation, aggragated HbS molecules assemble into long needle like fibres within the RBC’s producing a distorted Sickle or Holly Leaf shape.
  • 9.
    Red Blood Cellsfrom Sickle Cell Anemia OXY-STATE DEOXY-STATE  Deoxygenation of SS erythrocytes leads to intracellular hemoglobin polymerization, loss of deformability and changes in cell morphology.
  • 10.
     Sickling initiallyis a reversible phenomenon  With oxygenation the HbS depolymerizes and cell shape normalizes.  With REPEATED EPISODES the membrane becomes damaged and the cells become irreversibly sickled.
  • 11.
    Factors affecting therate & degree of sickling 1. Amount of HbS and its interactions with the other hemoglobin chains in the cell. Homozygous Heterozygous Fetal Hb inhibits polymerization of HbS, hence newborns do not manifest until 5 – 6 months of age.
  • 12.
    2. The rateof polymerization is strongly dependent on the hemoglobin concentration per cell, ie MCHC. 3. Decrease in pH 4. The length of the time red cells are exposed to low oxygen tension. sickling of red cells is confined to microvascular beds where the blood flow is sluggish.( Spleen and Bone marrow)
  • 13.
  • 14.
    Red blood cellsGoing through Vessels
  • 16.
    Clinical features.  Chronichemolysis anemia  Ischemic tissue damage resulting from occlusion of small blood vessels.  Chronic hyperbilirubinemia  Impaired growth and devolopment  increased susceptibility to infections with encapsulated organisms. Pneumococci &Hemphilus influenzae.
  • 17.
    “CRISIS” in sicklecell anemia.  VASOOCCLUSIVE CRISIS/ PAIN CRISIS: represents episodes of hypoxic injury and infarction associated with severe pain in the affected region. Most common involved sites are Bone , lungs , liver, brain , spleen and penis.
  • 19.
     SEQESTRATION CRISIS:occur in children with intact spleen. massive sequestration of the sickle red cells leads to rapid splenic enlargement, hypovolumia nd sopmetimes shock.
  • 20.
     APLASTIC CRISIS: Thereis transient cessation of bone marrow erythropoiesis due to an acute infection of erythroid progenitor cells by Parvovirus B 19. Reticulocytes disappear from the peripheral blood, causing a sudden and rapid worsening of anemia.
  • 21.
    Lab Diagnosis  Moderateto severe anemia.  The blood film shows sickle cells and target cells and show features of splenic atrophy ( howell – jolly –bodies.)
  • 26.
  • 27.
    Sickling test  Theblood is deoxygenated, with the reducing substance sodium metabisulphite placed on a glass slide and sealed with a coverslip to prevent reoxygenation of the cells.  After 30 mins the blood is examined under microscope for the presence of sickle shaped cells.
  • 29.
    Haemoglobin electrophoresis  Absentor decreased HbA  Demonstration of HbS  Increase in HbF
  • 30.
  • 31.