Sickle Cell Disease
Quick Definition
It is a disorder of red blood cell
production that gives red blood cells a
sickle shape during hypoxia
Lets go back in time…
 James Herrick
 Hahn and Gillespie
1927
 Genetic Mutation
 Inherited, not contagious
Sickle Cell Disease
 Group of genetic disorders characterized by:
 Hemolytic anemia - not enough red blood cells in
the blood
 Vasculopathy - disorder of blood vessels
 In US, predominantly with African-Americans
(i.e., 1 in 400)
 Also occurs in descendents of Mediterranean,
Indian, Asian, and Caribbean cultures
Sickle Cell Syndromes
Sickle Cell Trait (HbS gene/Hb A gene)
Sickle Cell Anemia (HbS/HbS)
Hgb SC Disease
Sickle Beta-Thalassemia
SCA: Impact on Red Blood Cells
With low oxygen levels, the shape of red
cells becomes distorted
They appear elongated and sickle
shaped
Red blood cells become very fragile,
short lived, and can clog blood vessels
Genetics
Hb-S result from
point mutation
for the sixth
amino acid in the
β-chain result in
substitution of
glutamic acid by
valine.
Deoxyhemoglobin S Polymer Structure
A) Deoxyhemoglobin S
14-stranded polymer
(electron micrograph)
D) Charge and size
prevent
6β Glu from binding.
C) Hydrophobic pocket
for 6β Val
B) Paired strands of
deoxyhemoglobin S
(crystal structure)
Dykes, Nature 1978; JMB 1979
Crepeau, PNAS 1981 Wishner, JMB 1975
1. Young RBCs with HbS can
alternate between the
sickled and normal
formation.
2. However, sickling causes
oxidative damage to the
RBCs cell membrane (and
to the cells around it).
3. Eventually, RBCs become
irreversibly sickled.
SCA: Complications
Clinical manifestations do NOT appear
until after ~ 6 months
Vaso-occlusive pain crises
Sickle Cell Anaemia
“It is a specific type of sickle cell
disease in which there is homozygosity
for the mutation that causes HbS”.
SS
Sickle cell disease crises
Vaso-occlusive complications
 Most frequent
 Occur in areas with:
• Prolonged, low oxygen
tension
• Decreased pH
• Inflammation
• Low blood flow
 Bones ,lungs, spleen and
the brain commonly
affected.
Source: Robbins
Hand-foot syndrome
Painful dactylitis caused by infarcts of the
small bones.
Painful swelling of hands and feet.
Early complication of sickle cell disease.
Digits of varying lengths
Highest incidence 6 months to 2 years.
Visceral sequestration crises
 These are caused by sickling within organs
 The acute sickle chest syndrome is a
feared complication and the most common
cause of death after puberty.
 Spleen and liver sequestration may lead to
severe illness
Aplastic crises
Paravirus B19
Divides in RBCs precursors and destroys
them
Stops erythropoiesis for two or three
days
Causes reticulocytopenia
Disappears within one week with
management and blood transfusions
 A sudden fall in haemoglobin, usually
requiring transfusion.
Haemolytic crises
These are characterized by an
increased rate of haemolysis with a
fall in haemoglobin but rise in
reticulocytes and usually accompany a
painful crisis.
Medical Complications
1. pain episodes
2. strokes
3. increased infections
4. leg ulcers
5. bone damage
6. yellow eyes or
jaundice
7. early gallstones
8. lung blockage
9. kidney damage and
loss of body water in urine
10. painful erections in men
(priapism)
11. blood blockage in the spleen
or liver (sequestration)
12. eye damage
13. low red blood cell counts
(anemia)
14. delayed growth
Lab Findings
CBC:
• Hb, PCV, RBCs count: low
• MCV, MCH, MCHC: normal
• T.WBCs count: increased and
neutrophilia is common.
• PLT count: increased
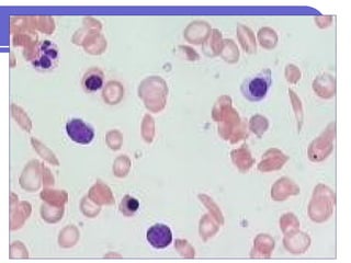
PBP
 Sickle cells
 Target cells
 Polychromatic cells and nucleated
RBCs.
 Inclusions: basophilic stippling, Howell-
Jolly bodies and Pappenheimer bodies.
 If infection is present a left-shift may
present.
Sickling Test
 Special haematological tests:
• Sickling test: positive
• Hb-S solubility test: positive
• Hb electrophoresis: confirm the presence of Hb S.
• ESR: low
StateState Hb-AHb-A Hb-FHb-F Hb-SHb-S
normalnormal 9595--98%98% >>1%1% 00
Hb S traitHb S trait 5555--70%70% >>2%2% 3030--40%40%
Hb-SSHb-SS 00 11--10%10% 8080--90%90%
 B.M: erythroid hyperplasia with decreased M:E
ratio.
Che m istry:
• Indirect bilirubin: increase
• LDH: increase
• S.haptoglobin: decrease
• Urobilinogen and stercobilin: increase
• DNA diagnosis
PCR
Treatment
Blood transfusions:
Acute chest crisis
Decreases the risk for strokes
Defrasirox: iron chelator
Folic acid daily intake
Penicillin
Malaria chemoprophylaxis
 Hydroxyurea.
 Reactivates fetal Hb production
 Decreases severity of attacks
 Increases life span
 More effective with Erythropoietin.
 Bone marrow transplant during childhood.
 5-HMF. This natural compound binds to red blood
cells and increases their oxygen. This helps prevent
the red blood cells from sickling.
How does hydroxyurea work?
Steinberg, MH, NEJM, 340:1021-1030, 1999
What about a future?
 Stem Cell research
 Gene therapy
Sickle cell trait
 No anaemia
 Normal appearance of red cells on a blood film.
 Haematuria is the most common symptom and is
 Thought to be caused by minor infarcts of the renal
 papillae.
 Hb S varies from 25 to 45% of the total
haemoglobin
 Care must be taken with anaesthesia, pregnancy
and at high altitudes.
Sickle cell
Sickle cell

Sickle cell

  • 1.
  • 2.
    Quick Definition It isa disorder of red blood cell production that gives red blood cells a sickle shape during hypoxia
  • 3.
    Lets go backin time…  James Herrick  Hahn and Gillespie 1927  Genetic Mutation  Inherited, not contagious
  • 4.
    Sickle Cell Disease Group of genetic disorders characterized by:  Hemolytic anemia - not enough red blood cells in the blood  Vasculopathy - disorder of blood vessels  In US, predominantly with African-Americans (i.e., 1 in 400)  Also occurs in descendents of Mediterranean, Indian, Asian, and Caribbean cultures
  • 5.
    Sickle Cell Syndromes SickleCell Trait (HbS gene/Hb A gene) Sickle Cell Anemia (HbS/HbS) Hgb SC Disease Sickle Beta-Thalassemia
  • 6.
    SCA: Impact onRed Blood Cells With low oxygen levels, the shape of red cells becomes distorted They appear elongated and sickle shaped Red blood cells become very fragile, short lived, and can clog blood vessels
  • 7.
    Genetics Hb-S result from pointmutation for the sixth amino acid in the β-chain result in substitution of glutamic acid by valine.
  • 9.
    Deoxyhemoglobin S PolymerStructure A) Deoxyhemoglobin S 14-stranded polymer (electron micrograph) D) Charge and size prevent 6β Glu from binding. C) Hydrophobic pocket for 6β Val B) Paired strands of deoxyhemoglobin S (crystal structure) Dykes, Nature 1978; JMB 1979 Crepeau, PNAS 1981 Wishner, JMB 1975
  • 12.
    1. Young RBCswith HbS can alternate between the sickled and normal formation. 2. However, sickling causes oxidative damage to the RBCs cell membrane (and to the cells around it). 3. Eventually, RBCs become irreversibly sickled.
  • 13.
    SCA: Complications Clinical manifestationsdo NOT appear until after ~ 6 months Vaso-occlusive pain crises
  • 14.
    Sickle Cell Anaemia “Itis a specific type of sickle cell disease in which there is homozygosity for the mutation that causes HbS”. SS
  • 15.
  • 16.
    Vaso-occlusive complications  Mostfrequent  Occur in areas with: • Prolonged, low oxygen tension • Decreased pH • Inflammation • Low blood flow  Bones ,lungs, spleen and the brain commonly affected. Source: Robbins
  • 17.
    Hand-foot syndrome Painful dactylitiscaused by infarcts of the small bones. Painful swelling of hands and feet. Early complication of sickle cell disease. Digits of varying lengths Highest incidence 6 months to 2 years.
  • 19.
    Visceral sequestration crises These are caused by sickling within organs  The acute sickle chest syndrome is a feared complication and the most common cause of death after puberty.  Spleen and liver sequestration may lead to severe illness
  • 21.
    Aplastic crises Paravirus B19 Dividesin RBCs precursors and destroys them Stops erythropoiesis for two or three days Causes reticulocytopenia Disappears within one week with management and blood transfusions  A sudden fall in haemoglobin, usually requiring transfusion.
  • 22.
    Haemolytic crises These arecharacterized by an increased rate of haemolysis with a fall in haemoglobin but rise in reticulocytes and usually accompany a painful crisis.
  • 23.
    Medical Complications 1. painepisodes 2. strokes 3. increased infections 4. leg ulcers 5. bone damage 6. yellow eyes or jaundice 7. early gallstones 8. lung blockage 9. kidney damage and loss of body water in urine 10. painful erections in men (priapism) 11. blood blockage in the spleen or liver (sequestration) 12. eye damage 13. low red blood cell counts (anemia) 14. delayed growth
  • 26.
    Lab Findings CBC: • Hb,PCV, RBCs count: low • MCV, MCH, MCHC: normal • T.WBCs count: increased and neutrophilia is common. • PLT count: increased
  • 27.
    PBP  Sickle cells Target cells  Polychromatic cells and nucleated RBCs.  Inclusions: basophilic stippling, Howell- Jolly bodies and Pappenheimer bodies.  If infection is present a left-shift may present.
  • 30.
  • 32.
     Special haematologicaltests: • Sickling test: positive • Hb-S solubility test: positive • Hb electrophoresis: confirm the presence of Hb S. • ESR: low StateState Hb-AHb-A Hb-FHb-F Hb-SHb-S normalnormal 9595--98%98% >>1%1% 00 Hb S traitHb S trait 5555--70%70% >>2%2% 3030--40%40% Hb-SSHb-SS 00 11--10%10% 8080--90%90%
  • 33.
     B.M: erythroidhyperplasia with decreased M:E ratio. Che m istry: • Indirect bilirubin: increase • LDH: increase • S.haptoglobin: decrease • Urobilinogen and stercobilin: increase • DNA diagnosis
  • 34.
  • 35.
    Treatment Blood transfusions: Acute chestcrisis Decreases the risk for strokes Defrasirox: iron chelator Folic acid daily intake Penicillin Malaria chemoprophylaxis
  • 36.
     Hydroxyurea.  Reactivatesfetal Hb production  Decreases severity of attacks  Increases life span  More effective with Erythropoietin.  Bone marrow transplant during childhood.  5-HMF. This natural compound binds to red blood cells and increases their oxygen. This helps prevent the red blood cells from sickling.
  • 37.
    How does hydroxyureawork? Steinberg, MH, NEJM, 340:1021-1030, 1999
  • 40.
    What about afuture?  Stem Cell research  Gene therapy
  • 41.
    Sickle cell trait No anaemia  Normal appearance of red cells on a blood film.  Haematuria is the most common symptom and is  Thought to be caused by minor infarcts of the renal  papillae.  Hb S varies from 25 to 45% of the total haemoglobin  Care must be taken with anaesthesia, pregnancy and at high altitudes.

Editor's Notes

  • #4 Herrick – 1st to see sickle cells Hahn/Gillespie – 1st to see them in hypoxia