PLASMA CELL
DISORDERS
Dr Vijay Shankar S
Learning objectives
 Introduction
 Multiple myeloma
 Waldenstorms macroglobulinemia
 Lymphoplasmacytic lymphoma
PLASMA CELL
B lymphocyte
Reactive B lymphocyte
Plasmablast
Proplasmacyte
Plasmacyte/
plasma cell
 Proliferation of a B – cell clone that synthesizes
and secretes a single homogeneous
immunoglobulin or its fragments.
 Accounts for 15 % of deaths from white cell
neoplasms
Free light chains
(Bence Jones Proteins)
Free heavy chains
PLASMA CELL DISORDERS
 Monoclonal immunoglogulin – M component
 Freely excreted in the urine in the absence of
glomerular damage.
 Disorders associated with abnormal
immunoglobulins – Gammopathy/
Monoclonal gammopathy/
Dysproteinemia/
Paraproteinemia.
Clinicopathologic entities associated
with monoclonal gammopathies
1. Multiple myeloma( Plasma cell myeloma)
2. Waldenstrom macroglobulinemia
3. Heavy – chain disease.
4. Primary or immunocyte associated
Amyloidosis
5. Monoclonal gammopathy of undetermined
significance (MGUS)
MULTIPLE MYELOMA
 Plasma cell neoplasm characterized by
involvement of skeleton at multiple sites.
 Multifocal , monoclonal proliferation of
plasma cells
 1% of all cancer deaths.
 more frequent in elderly
 modest male predominance
 Osseous and extraosseus manifestations
 Proliferation of a plasma cell clone that
synthesizes and secretes a single homogeneous
immunoglobulin or its fragments.
Free light chains
(Bence Jones Proteins)
Free heavy chains
MORPHOLOGY
 Presents most commonly as multifocal
destructive bone tumors.
 Bones in axial skeleton affected most.
 Most common in vertebral column.
DISTRIBUTION
 Vertebral
column-66%
 Ribs - 44%
 Skull - 41%
 Pelvis – 28%
 Femur – 24%
 Clavicle -10%
 Scapula –10%
Round lesions filled with a soft reddish material are
indicative of foci of myeloma in this section of vertebral bone.
The skull demonstrates the characteristic rounded
"punched out" lesions of multiple myeloma.
The rounded
"punched
out" lesions
of multiple
myeloma
appear as
lucent areas
with this skull
radiograph.
Lytic lesion in
Tibia
Lesions in the
lower end of femur
Lesion in the
upper end of femur
Bone marrow aspirate
↑↑ no of Plasma cells, usually more than 30% of marrow cellularity
BONE MARROW
At low power, the abnormal plasma cells of
multiple myeloma fill the marrow.
BONE MARROW
At medium power, the plasma cells of multiple myeloma
here are very similar to normal plasma cells, but they
may also be poorly differentiated.
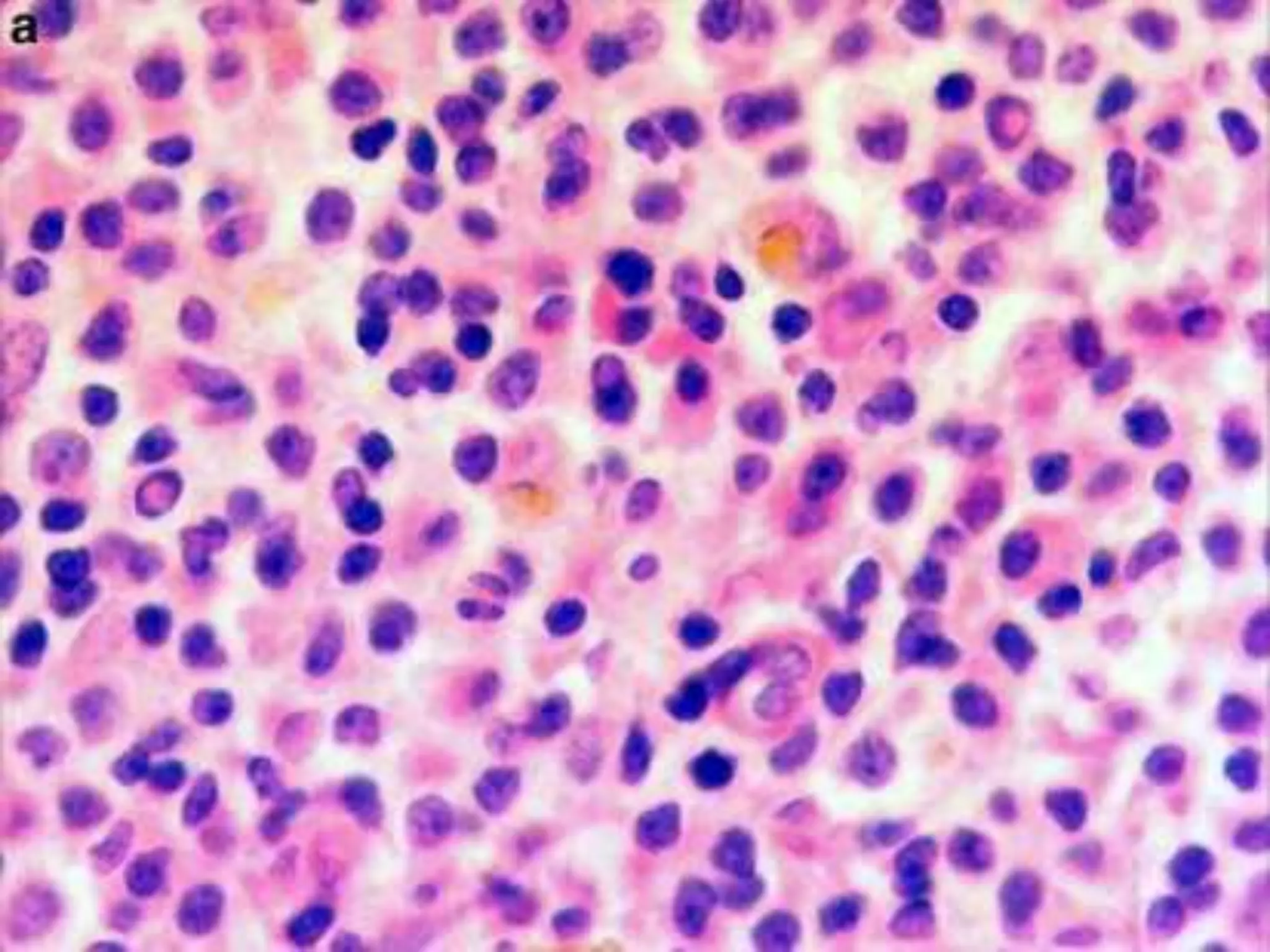
Flame cells
Crystalline inclusionsMott cell
Russel bodies
Dutcher bodies
Pathologic rouleaux formation, Multiple myeloma
William Russell
Scottish pathologist and physician
(1852 – 1940)
CLINICAL FEATURES
Manifestations are due to
1. Infiltration of organs by neoplastic plasma cells
2. Production of excessive immunoglobulins with
abnormal physiochemical properties.
3. Suppression of normal Humoral immunity
CLINICAL FEATURES
 Bone pain,
pathological fractures,
hypercalcemia
 Recurrent Bacterial infections
 Renal failure
 Anemia
 Hyperviscosity syndrome
 Extensive skeletal destruction by
neoplastic plasma cells
 Depressed normal immunoglobulin
production due to displacement by
neoplastic clone.
 Tubular damage due to light chain
proteinuria.
 Marrow replacement & renal
damage with resultant loss of
erythropoietin.
 Excessive production and
aggregation of M proteins
LABORATORY STUDIES
Increased levels of immunoglobulins in the blood
and /or
light chains ( Bence Jones proteins) in urine
in 99% of cases
 Most common serum monoclonal
immunoglobulin ( M protein) – IgG (55%)
IgA (25%)
IgM, IgD, or IgE - Rare
 Both Bence Jones Proteins
& serum M protein : 60 – 70%
 Only Bence Jones proteins : 20%
 Nonsecretory : 1%
DIAGNOSIS & PROGNOSIS
 Radiographic & laboratory findings
 Definitive diagnosis – Bone marrow study
 PROGNOSIS - Variable , but generally poor
"The gem cannot be polished without
friction, nor man perfected without
trials or problems or exams…!."
--Chinese proverb
1944
Two patients with oronasal bleeding,
lymphadenopathy, anemia and
thrombocytopenia, an elevated ESR, a high
serum viscosity level, normal bone
radiographs and a bone marrow
demonstrating predominately lymphoid cells.
Waldenstrom’s Macroglobulinemia
Dr. Jan Gosta Waldenstrom(Swedish internist) (1906-1996),
in 1944
2003
 2nd International Workshop on WM, which was
held in Athens, Greece
 clinicopathological entity that was represented
by the underlying pathological diagnosis of
lymphoplasmacytic lymphoma, as defined by
the WHO and REAL classification systems
which secretes IgM
LYMPHOPLASMACYTIC
LYMPHOMA
(SLL/CLL with plasmacytic differentiation., Immunocytoma)
 B - cell neoplasm of older adults.
 6th or 7th decades of life
 Resemble CLL/SLL .. But.. Good no of
tumor cells undergo terminal differentiation
into plasma cells.
Secrete monoclonal IgM
Hyperviscosity syndrome(W M)
Heavy & light chain
synthesis is usually
balanced
MORPHOLOGY
 Bone marrow :heavy infiltrates of lymphocytes,
plasma cells and plasmacytoid lymphocytes.
 Russel bodies and Dutcher bodies may be
present.
 Often involves lymph nodes, liver & spleen.
 Infiltration of nerve roots, meninges & brain
may be seen.
IMMUNOPHENOTYPE & MOLECULAR GENETICS
 B – cell marker – CD20
 Plasma cell - expresses monoclonal
immunoglobulin.
 MC cytogenetic abnormality – del 6q
CLINICAL FEATURES
 Non- specific : weakness, fatigue, weight loss.
 Hyperviscosity syndrome:
Visual impairment
Neurologic problems: headache ,
dizziness, deafness etc
Bleeding tendencies
Anemia
 Rests on Laboratory data & bone marrow study.
↑↑ Serum proteins
↑↑ Serum monoclonal M component( due to IgM)
↑↑ ESR
Normocytic hypochromic anemia
Characteristic marrow infiltration
DIAGNOSIS
PROGNOSIS
 Incurable progressive disease.
 Plasmapherisis might help
 Median survival - 4 yrs.
“Ninety-nine percent of failures
come from people who have a habit
of making excuses.”
–George Washington Carver
THE END

Plasma cell disorders

  • 1.
  • 2.
    Learning objectives  Introduction Multiple myeloma  Waldenstorms macroglobulinemia  Lymphoplasmacytic lymphoma
  • 3.
  • 4.
    B lymphocyte Reactive Blymphocyte Plasmablast Proplasmacyte Plasmacyte/ plasma cell
  • 6.
     Proliferation ofa B – cell clone that synthesizes and secretes a single homogeneous immunoglobulin or its fragments.  Accounts for 15 % of deaths from white cell neoplasms Free light chains (Bence Jones Proteins) Free heavy chains PLASMA CELL DISORDERS
  • 7.
     Monoclonal immunoglogulin– M component  Freely excreted in the urine in the absence of glomerular damage.  Disorders associated with abnormal immunoglobulins – Gammopathy/ Monoclonal gammopathy/ Dysproteinemia/ Paraproteinemia.
  • 8.
    Clinicopathologic entities associated withmonoclonal gammopathies 1. Multiple myeloma( Plasma cell myeloma) 2. Waldenstrom macroglobulinemia 3. Heavy – chain disease. 4. Primary or immunocyte associated Amyloidosis 5. Monoclonal gammopathy of undetermined significance (MGUS)
  • 9.
    MULTIPLE MYELOMA  Plasmacell neoplasm characterized by involvement of skeleton at multiple sites.  Multifocal , monoclonal proliferation of plasma cells  1% of all cancer deaths.  more frequent in elderly  modest male predominance  Osseous and extraosseus manifestations
  • 10.
     Proliferation ofa plasma cell clone that synthesizes and secretes a single homogeneous immunoglobulin or its fragments. Free light chains (Bence Jones Proteins) Free heavy chains
  • 11.
    MORPHOLOGY  Presents mostcommonly as multifocal destructive bone tumors.  Bones in axial skeleton affected most.  Most common in vertebral column.
  • 12.
    DISTRIBUTION  Vertebral column-66%  Ribs- 44%  Skull - 41%  Pelvis – 28%  Femur – 24%  Clavicle -10%  Scapula –10%
  • 13.
    Round lesions filledwith a soft reddish material are indicative of foci of myeloma in this section of vertebral bone.
  • 14.
    The skull demonstratesthe characteristic rounded "punched out" lesions of multiple myeloma.
  • 15.
    The rounded "punched out" lesions ofmultiple myeloma appear as lucent areas with this skull radiograph.
  • 16.
    Lytic lesion in Tibia Lesionsin the lower end of femur Lesion in the upper end of femur
  • 17.
  • 18.
    ↑↑ no ofPlasma cells, usually more than 30% of marrow cellularity
  • 19.
    BONE MARROW At lowpower, the abnormal plasma cells of multiple myeloma fill the marrow.
  • 20.
    BONE MARROW At mediumpower, the plasma cells of multiple myeloma here are very similar to normal plasma cells, but they may also be poorly differentiated.
  • 21.
  • 22.
  • 23.
  • 24.
  • 26.
    William Russell Scottish pathologistand physician (1852 – 1940)
  • 27.
    CLINICAL FEATURES Manifestations aredue to 1. Infiltration of organs by neoplastic plasma cells 2. Production of excessive immunoglobulins with abnormal physiochemical properties. 3. Suppression of normal Humoral immunity
  • 28.
    CLINICAL FEATURES  Bonepain, pathological fractures, hypercalcemia  Recurrent Bacterial infections  Renal failure  Anemia  Hyperviscosity syndrome  Extensive skeletal destruction by neoplastic plasma cells  Depressed normal immunoglobulin production due to displacement by neoplastic clone.  Tubular damage due to light chain proteinuria.  Marrow replacement & renal damage with resultant loss of erythropoietin.  Excessive production and aggregation of M proteins
  • 29.
    LABORATORY STUDIES Increased levelsof immunoglobulins in the blood and /or light chains ( Bence Jones proteins) in urine in 99% of cases
  • 33.
     Most commonserum monoclonal immunoglobulin ( M protein) – IgG (55%) IgA (25%) IgM, IgD, or IgE - Rare  Both Bence Jones Proteins & serum M protein : 60 – 70%  Only Bence Jones proteins : 20%  Nonsecretory : 1%
  • 34.
    DIAGNOSIS & PROGNOSIS Radiographic & laboratory findings  Definitive diagnosis – Bone marrow study  PROGNOSIS - Variable , but generally poor
  • 35.
    "The gem cannotbe polished without friction, nor man perfected without trials or problems or exams…!." --Chinese proverb
  • 36.
    1944 Two patients withoronasal bleeding, lymphadenopathy, anemia and thrombocytopenia, an elevated ESR, a high serum viscosity level, normal bone radiographs and a bone marrow demonstrating predominately lymphoid cells.
  • 37.
    Waldenstrom’s Macroglobulinemia Dr. JanGosta Waldenstrom(Swedish internist) (1906-1996), in 1944
  • 38.
    2003  2nd InternationalWorkshop on WM, which was held in Athens, Greece  clinicopathological entity that was represented by the underlying pathological diagnosis of lymphoplasmacytic lymphoma, as defined by the WHO and REAL classification systems which secretes IgM
  • 39.
    LYMPHOPLASMACYTIC LYMPHOMA (SLL/CLL with plasmacyticdifferentiation., Immunocytoma)  B - cell neoplasm of older adults.  6th or 7th decades of life  Resemble CLL/SLL .. But.. Good no of tumor cells undergo terminal differentiation into plasma cells. Secrete monoclonal IgM Hyperviscosity syndrome(W M) Heavy & light chain synthesis is usually balanced
  • 40.
    MORPHOLOGY  Bone marrow:heavy infiltrates of lymphocytes, plasma cells and plasmacytoid lymphocytes.  Russel bodies and Dutcher bodies may be present.  Often involves lymph nodes, liver & spleen.  Infiltration of nerve roots, meninges & brain may be seen.
  • 42.
    IMMUNOPHENOTYPE & MOLECULARGENETICS  B – cell marker – CD20  Plasma cell - expresses monoclonal immunoglobulin.  MC cytogenetic abnormality – del 6q
  • 43.
    CLINICAL FEATURES  Non-specific : weakness, fatigue, weight loss.  Hyperviscosity syndrome: Visual impairment Neurologic problems: headache , dizziness, deafness etc Bleeding tendencies Anemia
  • 44.
     Rests onLaboratory data & bone marrow study. ↑↑ Serum proteins ↑↑ Serum monoclonal M component( due to IgM) ↑↑ ESR Normocytic hypochromic anemia Characteristic marrow infiltration DIAGNOSIS
  • 45.
    PROGNOSIS  Incurable progressivedisease.  Plasmapherisis might help  Median survival - 4 yrs.
  • 46.
    “Ninety-nine percent offailures come from people who have a habit of making excuses.” –George Washington Carver
  • 47.