Gastrointestinal secretions
Saliva
Glands of Salivation
Parotid glands: secrete entirely serous type
• Submandibular glands: both serous and
mucus type
• Sublingual glands: both serous and mucus
type
• Buccal glands secrete only mucus
Types of secretion
• Serous type of secretions contains ptyalin, an
enzyme for the digesting starches
• Mucus secretions contain mucin for
lubrication and for surface protective
purposes
Composition and function of saliva
• Sodium ions are actively reabsorbed from all the salivary
ducts and potassium ions are actively secreted in exchange
for sodium.
• Bicarbonate ions are secreted by ductal epithelium into
lumen of the duct
• Ptyalin (α amylase) is responsible for the digestion of
carbohydrates
• Mucus, glycoproteins
• Thiocyanate ions
• Lysozymes
• Immunoglobulins (IgA)
Functions of Saliva
• Preparation of food for swallowing
• Appreciation of taste
• Digestive function
• Cleansing and protective functions
• Role in speech
• Excretory function
• Regulation of body temperature
• Regulation of water balance
Regulation of salivation
• Salivation is mainly controlled by autonomic
nervous system. Both branches of autonomic
nervous system stimulate salivation, but
parasympathetic nervous system stimulate
much more strongly than the sympathetic
nervous system
Reflex regulation of salivary secretion
• Unconditioned reflex
• Conditioned reflex
Nervous Regulation of Salivary Secretion
• Salivary glands are controlled mainly by
parasympathetic nervous signals all the way from the
superior and inferior salivatory nuclei in the brain stem.
• The salivatory nuclei are located approximately at the
juncture of the medulla and pons and are excited by
both taste and tactile stimuli from the tongue and
other areas of the mouth and pharynx. Many taste
stimuli, especially the sour taste (caused by acids),
elicit copious secretion of saliva—often 8 to 20 times
the basal rate of secretion.
• Salivation also occurs in response to reflexes
originating in the stomach and upper small
intestines, particularly when irritating foods
are swallowed or when a person is nauseated
because of some gastrointestinal abnormality.
• Esophageal Secretion
• The esophageal secretions are entirely
mucous in character and principally provide
lubrication for swallowing. The main body of
the esophagus is lined with many simple
mucous glands. At the gastric end and to a
lesser extent in the initial portion of the
esophagus, there are also many compound
mucous glands.
• The mucus secreted by the compound glands
in the upper esophagus prevents mucosal
excoriation by newly entering food, whereas
the compound glands located near the
esophagogastric junction protect the
esophageal wall from digestion by acidic
gastric juices that often reflux from the
stomach back into the lower esophagus.
Gastric Secretion
• Oxyntic glands: these secrete hydrochloric
acid, pepsinogen, intrinsic factor and mucus.
These are located on the inside surfaces of
body and fundus of the stomach
• Pyloric glands: mainly secrete mucus and
hormone gastrin. These are located in the
antral portion of the stomach
Secretion from oxyntic glands
A typical oxyntic gland is composed of three
types of cells
• Mucus cells which secrete mainly mucus but
also some pepsinogen
• Peptic or chief cells which secrete mainly large
quantities of pepsinogen
• Parietal or oxyntic cells which secrete
hydrochloric acid and intrinsic factor
• Mucous Cells
• The thick mucous present in the gastric juice is
responsible for the protection of the gastric
wall. The mucous protects the stomach wall
from irritation or mechanical injury. It
prevents the back diffusion of hydrogen ions
into the gastric mucosa. Beneath the mucous
layer, a layer rich in bicarbonate ion
neutralizes hydrogen ions.
• Chief Cells
• Protein digestion begins in the stomach
because of the activity of chief cells. These
cells secrete the inactive precursor protein,
pepsinogen, which is activated to the
proteolytic enzyme, pepsin, in the presence of
acid and small amounts of active pepsin.
Pepsin functions optimally at a pH of
approximately 2.
Parietal Cells
Parietal cells
• Secrete hydrogen ions
• Activate protein digestive enzymes such as
pepsinogen.
• Create a harsh environment for bacterial growth.
• Secrete intrinsic factor which binds vitamin B12 in
protein rich foods, such as meat, to prevent its
degradation in small intestine and to allow
absorption in the terminal ileum
Basic mechanism of hydrochloric acid secretion
• Parietal cells secrete HCl into the lumen of the
stomach and, concurrently, absorb bicarbonate
ion into the blood stream as follows
• In the parietal cells, CO2 and water are converted
to hydrogen ions and bicarbonate ions, catalyzed
by carbonic anhydrase
• Hydrogen ion is secreted into the lumen by H+-K+
pump (H+-K+ ATPase). Chloride is secreted along
with the hydrogen ions, thus the secretion
product of parietal cells is HCl
• The bicarbonate ions produced in the cells is
absorbed into the bloodstream in exchange
for chloride ions (Cl- - HCO3
- exchange). As
bicarbonate ion is added to the venous blood,
the pH of the blood increases (“alkanline
tide”). (Eventually this bicarbonate ion will be
secreted in pancreatic secretions to neutralize
hydrogen ions in the small intestine.)
Pyloric Glands
• They are responsible for the secretion of large
amount of thin mucous that helps to lubricate
food movement as well as to protect the
stomach wall from digestion by gastric
enzymes. They also secrete the hormone
gastrin which plays a key role in controlling
gastric secretion.
Stimulation of gastric hydrogen ion secretion
• Vagal stimulation
– Increases hydrogen ion secretion by a direct
pathway and an indirect pathway.
– In the direct path, the vagus nerve innervates G
cells and stimulates gastrin secretion directly. The
neurotransmitter at these synapses is
Acetylcholine.
• In the indirect path, the vagus nerve innervates G
cells and stimulates gastrin secretion, which then
stimulates hydrogen ion secretion by an endocrine
action. The neurotransmitter at these synapses is
Gastrin releasing peptide.
Gastrin
– Is released in response to eating a meal (small
peptides, distention of the stomach, vagal
stimulation).
– Stimulates hydrogen ion secretion by interacting
with cholecystokininB (CCKB) receptor on the
parietal cells.
Histamine
– Is released from enterochromaffin-like (ECL) cells
in the gastric mucosa and diffuses to the nearby
parietal cells.
– Stimulates hydrogen ion secretion by activating H2
receptors on the parietal cell membrane.
Inhibition of gastric hydrogen ion secretion
• Negative feedback mechanisms inhibit the secretion of
hydrogen ions by parietal cells.
• The presence of food in the small intestine initiates a
reverse enterogastric reflex, transmitted through the
myenteric nervous system as well as through extrinsic
sympathetic and vagus nerves, that inhibits stomach
secretion. This reflex can be initiated by distending the
small bowel, by the presence of acid in the upper
intestine, by the presence of protein breakdown
products, or by irritation of the mucosa.
• Low pH (<3.0) in the stomach
– Inhibits gastrin secretion and thereby inhibits
hydrogen ion secretion. After a meal in ingested,
hydrogen ion secretion is stimulated by certain
mechanisms. After the meal is digested and the
stomach emptied, further hydrogen ion secretion
decreases the pH of the stomach contents. When
the pH of the stomach contents is <3.0, gastrin
secretion is inhibited and , by negative feedback,
inhibits further hydrogen ion secretion.
Somatostatin
– Inhibits gastric hydrogen ion secretion by a direct
pathway and an indirect pathway.
– In the direct pathway, somatostatin antagonizes
the stimulatory action of histamine on hydrogen
ion secretion.
– In the indirect pathway, somatostatin inhibits
release of histamine and gastrin, thus decreasing
hydrogen ion secretion indirectly.
Secretion and Activation of
Pepsinogen
• When pepsinogen is first secreted, it has no
digestive activity. However, as soon as it
comes in contact with hydrochloric acid, it is
activated to form active pepsin.
• Pepsin functions as an active proteolytic
enzyme a highly acid medium (optimum pH
1.8 to 3.5), but above a pH of about 5 it has
almost no proteolytic activity and becomes
completely inactivated in a short time.
• Secretion of Intrinsic Factor. The substance
intrinsic factor, essential for absorption of vitamin
B12 in the ileum, is secreted by the parietal cells
along with the secretion of hydrochloric acid.
• When the acid-producing parietal cells of the
stomach are destroyed the person develops not
only achlorhydria (lack of stomach acid secretion)
but often also pernicious anemia because of
failure of maturation of the red blood cells in the
absence of vitamin B12 stimulation of the bone
marrow.
Pancreas
• Pancreas is a dual organ having two functions
• Endocrine function: involves production of
hormones like insulin
• Exocrine function: involves secretion of
digestive juice- pancreatic juice
Anatomy of the exocrine part of the pancreas
• It is made up of acinar cells
• Acinar cells contain zymogen granules, which
possess digestive juices
• The ducts arising from acini join together to form
intralobular duct
• Intralobular ducts unite to form main duct of
pancreas called Wirsung’s duct
• Wirsung’s duct joins common bile duct to form
ampulla of vater which opens into the duodenum
Pancreatic secretion
• Contains high concentration of HCO3 whose
purpose is to neutralize the digestive enzymes
reaching the duodenum
• Contains enzymes for digesting all 3 major
types of food: proteins, carbohydrates and fats
Enzymatic components
• The more important of enzymes are
• Trypsin which is activated from trypsinogen in
the presence of enzyme called enterokinase.
Enterokinase is secreted by intestinal mucosa
when chyme comes on contact with mucosa
• Chymotrypsinogen is activated by trypsin to
form chymotrypsin
• Procarboxyploypeptidase is also activated in
the presence of trypsin to form
carboxypolypeptidase. It splits some peptides
into aminoacids.
• Pancreatic lipase hydrolyzes neutral fats into
fatty acids and monoglyceride
• Cholesterol esterase causes hydrolysis of
cholesterol ester and phospholipase splits
fatty acids from phospholipids.
• Pancreatic amylase hydrolyzes starches,
glycogen and most other carbohydrates
except cellulose to form disaccharides and a
few trisaccharides.
• Trypsin inhibitor is secreted into the acini of
pancreas and it prevents the activation of
trypsin both inside the secretory cells and in
the acini and ducts of the pancreas
Secretion of Bicarbonate ions
• Carbon dioxide diffuses to the interior of the cell
from the blood and combines with the water in
the presence of carbonic anhydrase to form
carbonic acid. This carbonic acid in turn
dissociates into bicarbonate ions and hydrogen
ions. The bicarbonate ions are actively
transported in exchange for the chloride ions and
enters into the lumen of the duct
Regulation of pancreatic secretion
• Stimuli of pancreatic secretion are
• Acetylcholine
• Choleccystokinin secreted when food enters small
intestine
• Secretin is secreted in response to acidic food
• Acetylcholine and cholecystokinin cause
production of large quantities of digestive
enzymes whereas secretin stimulates secretion of
large quantities of water and bicarbonate
Phases of pancreatic secretion
• Cephalic phase
• Gastric phase
• Intestinal phase
Secretions of bile by liver
• Normally 600-1200 ml /day bile is secreted by
the liver. Bile contains bile salts,
phospholipids, cholesterol, and bile pigments.
• Secretion of bile Bile is secreted in two stages
• Initial portion is secreted by liver hepatocytes.
This secretion contains large amounts of bile
acids, cholesterol and other organic
constituents. It is secreted into minute bile
canaliculi.
• The bile flows toward the interlobular septa,
where canaliculi empty into terminal bile
ducts and then progressively into larger ducts,
finally reaching the hepatic duct and common
bile duct, from which the bile either empties
directly into the duodenum or is diverted
through the cystic duct into the gall bladder
Storage of bile
• Most of the bile from liver enters the gallbladder
where it is stored. It is released from gallbladder
into the duodenum whenever required. The
maximum volume of the gallbladder is 30 -60 ml.
A large amount of water and electrolytes (except
calcium and potassium) are absorbed resulting in
high concentration of bile salts, bile pigments,
cholesterol, fatty acids and lecithin
Composition and function of bile
• The most abundant substances secreted in the
bile are bile salts, which account for about one
half of the total solutes also in the bile. Also
secreted or excreted in large concentrations
are bilirubin, cholesterol, lecithin, and the
usual electrolytes of plasma.
• Bile salts
• The liver cells synthesize about 6 grams of bile
salts daily. The precursor of the bile salts is
cholesterol, which is either present in the diet or
synthesized in the liver cells during the course of
fat metabolism.
• Bile salts are amphipathic molecules and are
emulsifier. They are potassium or sodium salts of
bile acids, which are conjugated with glycine and
to lesser amount with taurine
• The precursor of the bile salts is cholesterol,
which is either present in the diet or
synthesized in the liver cells during the course
of fat metabolism.
• The cholesterol is first converted to cholic acid
or chenodeoxycholic acid in about equal
quantities.
These acids in turn combine principally with glycine
and to a lesser extent with taurine to form glyco-
and tauro conjugated bile acids. The salts of these
acids, mainly sodium salts, are then secreted in
the bile.
Due to bacterial action in the intestine the primary
bile acids are converted into secondary bile acids
which are transported back to the liver through
enterohepatic circulation.
• Role of Secretin in Helping to Control Bile
Secretion.
• In addition to the strong stimulating effect of
bile acids to cause bile secretion, the hormone
secretin that also stimulates pancreatic
secretion increases bile secretion, sometimes
more than doubling its secretion for several
hours after a meal.
• Role of secretin in controlling bile
• Bile acids have strong stimulating effect bile
secretion. In addition hormone secretin also
increases bile secretion. The hormone secretin
increases bile secretion, sometimes more than
doubling the secretion rate for several hours. This
increase in secretion represents almost entirely
secretion of a bicarbonate-rich watery solution by
the epithelial cells of bile ductules and ducts and
not increased secretion by the liver parenchymal
cells themselves.
• Bile pigments
• Bile pigments are the excretory products in the
bile. Bilirubin and biliverdin are the two bile
pigments and bilirubin is the major bile pigment
in human being.
• Bilirubin: A major bile pigment, bilirubin is a lipid
soluble metabolite of haemoglobin. Transported
to the liver attached to the protein, it is then
conjugated and excreted as water soluble
glucuronides. These give a golden color to bile.
• Biliverdin: Heme splits into iron and pigment
biliverdin which then reduces to bilirubin.
• Stercobilin: It is produced from metabolism of
bilirubin by intestinal bacteria. It gives brown
color to the stool.
• Phospholipids (mainly lecithin)
• It is insoluble in water but are solubilized by
bile salt micelles
• Cholesterol
• It is present in small amount. It is insoluble in
water and must be solubilized by bile salt
micelles before it can be secreted in the bile.
Control of bile secretion and gall bladder
contraction
• Secretin causes secretion of bicarbonate ions
and fluid into bile canalicular ducts
• Secretion of bile salts by hepatocytes is
directly proportional to hepatic portal vein
concentration of bile salts
• Choleccystokinin causes gallbladder
contraction and sphincter of Oddi relaxation
Functions of bile salts
• Emulsification of fats
• Absorption of fats
• Choleretic action
• Cholagogue action
• Laxative action
• Prevention of gallstone formation
Functions of liver
The Liver Functions as a Blood Reservoir
• Liver is an expandable organ so large quantities of blood
can be stored in its blood vessels. Its normal blood volume,
including both in hepatic veins and in the hepatic sinuses, is
about 450 milliliters, or almost 10 per cent of the body’s
total blood volume. When high pressure in the right atrium
causes backpressure in the liver, the liver expands, and 0.5
to 1 liter of extra blood is occasionally stored in the hepatic
veins and sinuses. This occurs especially in cardiac failure
with peripheral congestion. Thus, in effect, the liver is a
large, expandable, venous organ capable of acting as a
valuable blood reservoir in times of excess blood volume
and capable of supplying extra blood in times of diminished
blood volume.
• The Liver Has Very High Lymph Flow
• Because the pores in the hepatic sinusoids are very
permeable and allow ready passage of both fluid and
proteins into the spaces of Disse, the lymph draining
from the liver usually has a protein concentration of
about 6 g/dl, which is only slightly less than the protein
concentration of plasma. Also, the extreme
permeability of the liver sinusoid epithelium allows
large quantities of lymph to form. Therefore, about half
of all the lymph formed in the body under resting
conditions arises in the liver.
• Regulation of Liver Mass—Regeneration
• The liver possesses a remarkable ability to restore
itself after significant hepatic tissue loss from
either partial hepatectomy or acute liver injury, as
long as the injury is uncomplicated by viral
infection or inflammation. During liver
regeneration, hepatocytes are estimated to
replicate once or twice, and after the original size
and volume of the liver are achieved, the
hepatocytes revert to their usual quiet state.
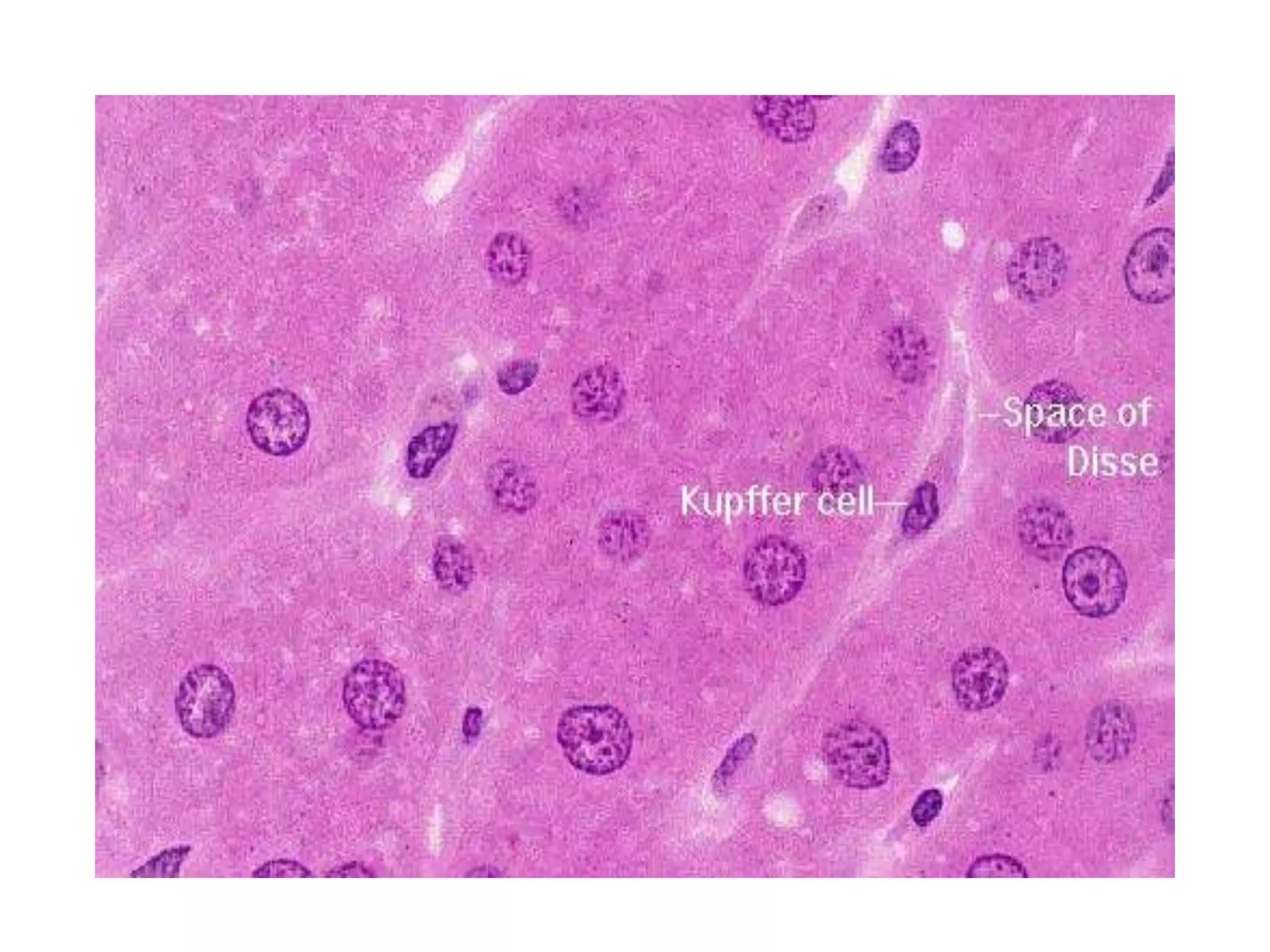
Hepatic Macrophage System Serves a Blood-
Cleansing Function
• Blood flowing through the intestinal capillaries
picks up many bacteria from the intestines.
• The Kupffer cells, the large phagocytic
macrophages that line the hepatic venous
sinuses, efficiently cleanse blood as it passes
through the sinuses; when a bacterium comes
into momentary contact with a Kupffer cell
Carbohydrate Metabolism
• In carbohydrate metabolism, the liver performs
the following functions:
1. Storage of large amounts of glycogen
2. Conversion of galactose and fructose to glucose
3. Gluconeogenesis
4. Formation of many chemical compounds from
intermediate products of carbohydrate
metabolism
• Gluconeogenesis in the liver is also important
in maintaining a normal blood glucose
concentration, because gluconeogenesis
occurs to a significant extent only when the
glucose concentration falls below normal. In
such a case, large amounts of amino acids and
glycerol from triglycerides are converted into
glucose, thereby helping to maintain a normal
blood glucose concentration.
• The liver is especially important for
maintaining a normal blood glucose
concentration. Storage of glycogen allows the
liver to remove excess glucose from the blood,
store it, and then return it to the blood when
the blood glucose concentration begins to fall
too low. This is called the glucose buffer
function of the liver.
Fat Metabolism
• Oxidation of fatty acids to supply energy for
other body functions
• Synthesis of large quantities of cholesterol,
phospholipids, and most lipoproteins
• Synthesis of fat from proteins and
carbohydrates
• To derive energy from neutral fats, the fat is
first split into glycerol and fatty acids; then the
fatty acids are split by beta-oxidation into two-
carbon acetyl radicals that form acetyl
coenzyme A (acetyl-CoA). This can enter the
citric acid cycle and be oxidized to liberate
tremendous amounts of energy. Beta-
oxidation can take place in all cells of the
body, but it occurs especially rapidly in the
hepatic cells.
Protein Metabolism
1. Deamination of amino acids
2. Formation of urea for removal of ammonia
from the body fluids
3. Formation of plasma proteins
4. Interconversions of the various amino acids
and synthesis of other compounds from
amino acids
• Deamination of amino acids is required before
they can be used for energy or converted into
carbohydrates or fats
• Formation of urea by the liver removes ammonia
from the body fluids. Large amounts of ammonia
are formed by the deamination process, and
additional amounts are continually formed in the
gut by bacteria and then absorbed into the blood.
Therefore, if the liver does not form urea, the
plasma ammonia concentration rises rapidly and
results in hepatic coma and death.
The Liver Stores Iron as Ferritin.
• Except for the iron in the hemoglobin of the
blood, by far the greatest proportion of iron in
the body is stored in the liver in the form of
ferritin. The hepatic cells contain large amounts
of a protein called apoferritin, which is capable of
combining reversibly with iron. When the iron in
the circulating body fluids reaches a low level, the
ferritin releases the iron. Thus, the apoferritin-
ferritin system of the liver acts as a blood iron
buffer, as well as an iron storage medium.
The Liver Forms a Large Proportion of the Blood
Substances Used in Coagulation.
• Substances formed in the liver that are used in
the coagulation process include fibrinogen,
prothrombin, accelerator globulin, Factor VII, and
several other important factors. Vitamin K is
required by the metabolic processes of the liver
for the formation of several of these substances,
especially prothrombin and Factors VII, IX, and X.
The Liver Removes or Excretes Drugs, Hormones, and
Other Substances.
• The active chemical medium of the liver is well known
for its ability to detoxify or excrete into the bile many
drugs, including sulfonamides, penicillin, ampicillin,
and erythromycin. In a similar manner, several of the
hormones secreted by the endocrine glands are either
chemically altered or excreted by the liver, including
thyroxine and essentially all the steroid hormones,
such as estrogen, cortisol, and aldosterone.
Small intestine secretions
Secretion of mucus by Brunner’s glands
• A large number of compound mucous glands,
called Brunner’s glands, is located in the wall
of the first few centimeters of the duodenum,
mainly between the pylorus of the stomach
and the papilla of Vater where pancreatic
secretion and bile empty into the duodenum.
• These glands secrete large amounts of alkaline
mucus in response to
• (1) tactile or irritating stimuli on the duodenal
mucosa;
• (2) vagal stimulation, which causes increased
Brunner’s glands secretion concurrently with
increase in stomach secretion; and
• (3) gastrointestinal hormones, especially
secretin.
• The function of the mucus secreted by
Brunner’s glands is to protect the duodenal
wall from digestion by the highly acid gastric
juice emptying from the stomach.
• Mucus also contains large amount of
bicarbonate ions which neutralize the acid
entering from the stomach.
Secretion of Intestinal Digestive
Juices by the Crypts of Lieberkühn
• Over the entire surface of the small intestine are
located small pits called crypts of Lieberkühn
• These crypts lie between the intestinal villi. The
surfaces of both the crypts and the villi are
covered by an epithelium composed of two types
of cells:
• (1) a moderate number of goblet cells, which
secrete mucus that lubricates and protects the
• intestinal surfaces
• (2) a large number of enterocytes, which, in
the crypts, secrete large quantities of water
and electrolytes and, over the surfaces of
adjacent villi, reabsorb the water and
electrolytes along with end products of
digestion.
• Digestive Enzymes in the Small Intestinal
Secretion
• The enterocytes of the mucosa, especially
those that cover the villi, do contain digestive
enzymes that digest specific food substances
while they are being absorbed through the
epithelium.
• These enzymes are the following:
• (1) several peptidases for splitting small
peptides into amino acids
• (2) four enzymes—sucrase, maltase
isomaltase, and lactase—for splitting
disaccharides into monosaccharides
• (3) small amounts of intestinal lipase for
splitting neutral fats into glycerol and fatty
acids.
• Regulating small intestine secretion are
controlled by local enteric nervous reflexes,
especially reflexes initiated by tactile or
irritative stimuli from the chyme in the
intestines.
Secretions of the Large Intestine
• Mucus Secretion. The mucosa of the large
intestine, like that of the small intestine, has
many crypts of Lieberkühn; however, unlike
the small intestine, there are no villi. The
epithelial cells contain almost no enzymes.
Instead, they consist mainly of mucous cells
that secrete only mucus.
• Stimulation of the pelvic nerves from the
spinal cord, which carry parasympathetic
innervation to the distal one half to two thirds
of the large intestine, also can cause marked
increase in mucus secretion. This occurs along
with increase in peristaltic motility of the
colon
Functions of mucus
• Mucus in the large intestine protects the
intestinal wall against excoriation,
• It provides an adherent medium for holding
fecal matter together.
• It protects the intestinal wall from the great
amount of bacterial activity that takes place
inside the feces
• The mucus plus the alkalinity of the secretion
(pH of 8.0 caused by large amounts of sodium
bicarbonate) provides a barrier to keep acids
formed in the feces from attacking the
intestinal wall.

Git secretions

  • 1.
  • 3.
    Saliva Glands of Salivation Parotidglands: secrete entirely serous type • Submandibular glands: both serous and mucus type • Sublingual glands: both serous and mucus type • Buccal glands secrete only mucus
  • 4.
    Types of secretion •Serous type of secretions contains ptyalin, an enzyme for the digesting starches • Mucus secretions contain mucin for lubrication and for surface protective purposes
  • 5.
    Composition and functionof saliva • Sodium ions are actively reabsorbed from all the salivary ducts and potassium ions are actively secreted in exchange for sodium. • Bicarbonate ions are secreted by ductal epithelium into lumen of the duct • Ptyalin (α amylase) is responsible for the digestion of carbohydrates • Mucus, glycoproteins • Thiocyanate ions • Lysozymes • Immunoglobulins (IgA)
  • 6.
    Functions of Saliva •Preparation of food for swallowing • Appreciation of taste • Digestive function • Cleansing and protective functions • Role in speech • Excretory function • Regulation of body temperature • Regulation of water balance
  • 7.
    Regulation of salivation •Salivation is mainly controlled by autonomic nervous system. Both branches of autonomic nervous system stimulate salivation, but parasympathetic nervous system stimulate much more strongly than the sympathetic nervous system
  • 8.
    Reflex regulation ofsalivary secretion • Unconditioned reflex • Conditioned reflex
  • 9.
    Nervous Regulation ofSalivary Secretion • Salivary glands are controlled mainly by parasympathetic nervous signals all the way from the superior and inferior salivatory nuclei in the brain stem. • The salivatory nuclei are located approximately at the juncture of the medulla and pons and are excited by both taste and tactile stimuli from the tongue and other areas of the mouth and pharynx. Many taste stimuli, especially the sour taste (caused by acids), elicit copious secretion of saliva—often 8 to 20 times the basal rate of secretion.
  • 10.
    • Salivation alsooccurs in response to reflexes originating in the stomach and upper small intestines, particularly when irritating foods are swallowed or when a person is nauseated because of some gastrointestinal abnormality.
  • 11.
    • Esophageal Secretion •The esophageal secretions are entirely mucous in character and principally provide lubrication for swallowing. The main body of the esophagus is lined with many simple mucous glands. At the gastric end and to a lesser extent in the initial portion of the esophagus, there are also many compound mucous glands.
  • 12.
    • The mucussecreted by the compound glands in the upper esophagus prevents mucosal excoriation by newly entering food, whereas the compound glands located near the esophagogastric junction protect the esophageal wall from digestion by acidic gastric juices that often reflux from the stomach back into the lower esophagus.
  • 13.
    Gastric Secretion • Oxynticglands: these secrete hydrochloric acid, pepsinogen, intrinsic factor and mucus. These are located on the inside surfaces of body and fundus of the stomach • Pyloric glands: mainly secrete mucus and hormone gastrin. These are located in the antral portion of the stomach
  • 14.
    Secretion from oxynticglands A typical oxyntic gland is composed of three types of cells • Mucus cells which secrete mainly mucus but also some pepsinogen • Peptic or chief cells which secrete mainly large quantities of pepsinogen • Parietal or oxyntic cells which secrete hydrochloric acid and intrinsic factor
  • 15.
    • Mucous Cells •The thick mucous present in the gastric juice is responsible for the protection of the gastric wall. The mucous protects the stomach wall from irritation or mechanical injury. It prevents the back diffusion of hydrogen ions into the gastric mucosa. Beneath the mucous layer, a layer rich in bicarbonate ion neutralizes hydrogen ions.
  • 16.
    • Chief Cells •Protein digestion begins in the stomach because of the activity of chief cells. These cells secrete the inactive precursor protein, pepsinogen, which is activated to the proteolytic enzyme, pepsin, in the presence of acid and small amounts of active pepsin. Pepsin functions optimally at a pH of approximately 2.
  • 17.
    Parietal Cells Parietal cells •Secrete hydrogen ions • Activate protein digestive enzymes such as pepsinogen. • Create a harsh environment for bacterial growth. • Secrete intrinsic factor which binds vitamin B12 in protein rich foods, such as meat, to prevent its degradation in small intestine and to allow absorption in the terminal ileum
  • 19.
    Basic mechanism ofhydrochloric acid secretion • Parietal cells secrete HCl into the lumen of the stomach and, concurrently, absorb bicarbonate ion into the blood stream as follows • In the parietal cells, CO2 and water are converted to hydrogen ions and bicarbonate ions, catalyzed by carbonic anhydrase • Hydrogen ion is secreted into the lumen by H+-K+ pump (H+-K+ ATPase). Chloride is secreted along with the hydrogen ions, thus the secretion product of parietal cells is HCl
  • 20.
    • The bicarbonateions produced in the cells is absorbed into the bloodstream in exchange for chloride ions (Cl- - HCO3 - exchange). As bicarbonate ion is added to the venous blood, the pH of the blood increases (“alkanline tide”). (Eventually this bicarbonate ion will be secreted in pancreatic secretions to neutralize hydrogen ions in the small intestine.)
  • 22.
    Pyloric Glands • Theyare responsible for the secretion of large amount of thin mucous that helps to lubricate food movement as well as to protect the stomach wall from digestion by gastric enzymes. They also secrete the hormone gastrin which plays a key role in controlling gastric secretion.
  • 23.
    Stimulation of gastrichydrogen ion secretion • Vagal stimulation – Increases hydrogen ion secretion by a direct pathway and an indirect pathway. – In the direct path, the vagus nerve innervates G cells and stimulates gastrin secretion directly. The neurotransmitter at these synapses is Acetylcholine.
  • 24.
    • In theindirect path, the vagus nerve innervates G cells and stimulates gastrin secretion, which then stimulates hydrogen ion secretion by an endocrine action. The neurotransmitter at these synapses is Gastrin releasing peptide.
  • 25.
    Gastrin – Is releasedin response to eating a meal (small peptides, distention of the stomach, vagal stimulation). – Stimulates hydrogen ion secretion by interacting with cholecystokininB (CCKB) receptor on the parietal cells.
  • 26.
    Histamine – Is releasedfrom enterochromaffin-like (ECL) cells in the gastric mucosa and diffuses to the nearby parietal cells. – Stimulates hydrogen ion secretion by activating H2 receptors on the parietal cell membrane.
  • 27.
    Inhibition of gastrichydrogen ion secretion • Negative feedback mechanisms inhibit the secretion of hydrogen ions by parietal cells. • The presence of food in the small intestine initiates a reverse enterogastric reflex, transmitted through the myenteric nervous system as well as through extrinsic sympathetic and vagus nerves, that inhibits stomach secretion. This reflex can be initiated by distending the small bowel, by the presence of acid in the upper intestine, by the presence of protein breakdown products, or by irritation of the mucosa.
  • 28.
    • Low pH(<3.0) in the stomach – Inhibits gastrin secretion and thereby inhibits hydrogen ion secretion. After a meal in ingested, hydrogen ion secretion is stimulated by certain mechanisms. After the meal is digested and the stomach emptied, further hydrogen ion secretion decreases the pH of the stomach contents. When the pH of the stomach contents is <3.0, gastrin secretion is inhibited and , by negative feedback, inhibits further hydrogen ion secretion.
  • 29.
    Somatostatin – Inhibits gastrichydrogen ion secretion by a direct pathway and an indirect pathway. – In the direct pathway, somatostatin antagonizes the stimulatory action of histamine on hydrogen ion secretion. – In the indirect pathway, somatostatin inhibits release of histamine and gastrin, thus decreasing hydrogen ion secretion indirectly.
  • 30.
    Secretion and Activationof Pepsinogen • When pepsinogen is first secreted, it has no digestive activity. However, as soon as it comes in contact with hydrochloric acid, it is activated to form active pepsin. • Pepsin functions as an active proteolytic enzyme a highly acid medium (optimum pH 1.8 to 3.5), but above a pH of about 5 it has almost no proteolytic activity and becomes completely inactivated in a short time.
  • 31.
    • Secretion ofIntrinsic Factor. The substance intrinsic factor, essential for absorption of vitamin B12 in the ileum, is secreted by the parietal cells along with the secretion of hydrochloric acid. • When the acid-producing parietal cells of the stomach are destroyed the person develops not only achlorhydria (lack of stomach acid secretion) but often also pernicious anemia because of failure of maturation of the red blood cells in the absence of vitamin B12 stimulation of the bone marrow.
  • 32.
    Pancreas • Pancreas isa dual organ having two functions • Endocrine function: involves production of hormones like insulin • Exocrine function: involves secretion of digestive juice- pancreatic juice
  • 33.
    Anatomy of theexocrine part of the pancreas • It is made up of acinar cells • Acinar cells contain zymogen granules, which possess digestive juices • The ducts arising from acini join together to form intralobular duct • Intralobular ducts unite to form main duct of pancreas called Wirsung’s duct • Wirsung’s duct joins common bile duct to form ampulla of vater which opens into the duodenum
  • 34.
    Pancreatic secretion • Containshigh concentration of HCO3 whose purpose is to neutralize the digestive enzymes reaching the duodenum • Contains enzymes for digesting all 3 major types of food: proteins, carbohydrates and fats
  • 35.
    Enzymatic components • Themore important of enzymes are • Trypsin which is activated from trypsinogen in the presence of enzyme called enterokinase. Enterokinase is secreted by intestinal mucosa when chyme comes on contact with mucosa • Chymotrypsinogen is activated by trypsin to form chymotrypsin
  • 36.
    • Procarboxyploypeptidase isalso activated in the presence of trypsin to form carboxypolypeptidase. It splits some peptides into aminoacids. • Pancreatic lipase hydrolyzes neutral fats into fatty acids and monoglyceride • Cholesterol esterase causes hydrolysis of cholesterol ester and phospholipase splits fatty acids from phospholipids.
  • 37.
    • Pancreatic amylasehydrolyzes starches, glycogen and most other carbohydrates except cellulose to form disaccharides and a few trisaccharides. • Trypsin inhibitor is secreted into the acini of pancreas and it prevents the activation of trypsin both inside the secretory cells and in the acini and ducts of the pancreas
  • 38.
    Secretion of Bicarbonateions • Carbon dioxide diffuses to the interior of the cell from the blood and combines with the water in the presence of carbonic anhydrase to form carbonic acid. This carbonic acid in turn dissociates into bicarbonate ions and hydrogen ions. The bicarbonate ions are actively transported in exchange for the chloride ions and enters into the lumen of the duct
  • 40.
    Regulation of pancreaticsecretion • Stimuli of pancreatic secretion are • Acetylcholine • Choleccystokinin secreted when food enters small intestine • Secretin is secreted in response to acidic food • Acetylcholine and cholecystokinin cause production of large quantities of digestive enzymes whereas secretin stimulates secretion of large quantities of water and bicarbonate
  • 41.
    Phases of pancreaticsecretion • Cephalic phase • Gastric phase • Intestinal phase
  • 42.
    Secretions of bileby liver • Normally 600-1200 ml /day bile is secreted by the liver. Bile contains bile salts, phospholipids, cholesterol, and bile pigments. • Secretion of bile Bile is secreted in two stages • Initial portion is secreted by liver hepatocytes. This secretion contains large amounts of bile acids, cholesterol and other organic constituents. It is secreted into minute bile canaliculi.
  • 43.
    • The bileflows toward the interlobular septa, where canaliculi empty into terminal bile ducts and then progressively into larger ducts, finally reaching the hepatic duct and common bile duct, from which the bile either empties directly into the duodenum or is diverted through the cystic duct into the gall bladder
  • 45.
    Storage of bile •Most of the bile from liver enters the gallbladder where it is stored. It is released from gallbladder into the duodenum whenever required. The maximum volume of the gallbladder is 30 -60 ml. A large amount of water and electrolytes (except calcium and potassium) are absorbed resulting in high concentration of bile salts, bile pigments, cholesterol, fatty acids and lecithin
  • 46.
    Composition and functionof bile • The most abundant substances secreted in the bile are bile salts, which account for about one half of the total solutes also in the bile. Also secreted or excreted in large concentrations are bilirubin, cholesterol, lecithin, and the usual electrolytes of plasma.
  • 48.
    • Bile salts •The liver cells synthesize about 6 grams of bile salts daily. The precursor of the bile salts is cholesterol, which is either present in the diet or synthesized in the liver cells during the course of fat metabolism. • Bile salts are amphipathic molecules and are emulsifier. They are potassium or sodium salts of bile acids, which are conjugated with glycine and to lesser amount with taurine
  • 49.
    • The precursorof the bile salts is cholesterol, which is either present in the diet or synthesized in the liver cells during the course of fat metabolism. • The cholesterol is first converted to cholic acid or chenodeoxycholic acid in about equal quantities.
  • 50.
    These acids inturn combine principally with glycine and to a lesser extent with taurine to form glyco- and tauro conjugated bile acids. The salts of these acids, mainly sodium salts, are then secreted in the bile. Due to bacterial action in the intestine the primary bile acids are converted into secondary bile acids which are transported back to the liver through enterohepatic circulation.
  • 51.
    • Role ofSecretin in Helping to Control Bile Secretion. • In addition to the strong stimulating effect of bile acids to cause bile secretion, the hormone secretin that also stimulates pancreatic secretion increases bile secretion, sometimes more than doubling its secretion for several hours after a meal.
  • 52.
    • Role ofsecretin in controlling bile • Bile acids have strong stimulating effect bile secretion. In addition hormone secretin also increases bile secretion. The hormone secretin increases bile secretion, sometimes more than doubling the secretion rate for several hours. This increase in secretion represents almost entirely secretion of a bicarbonate-rich watery solution by the epithelial cells of bile ductules and ducts and not increased secretion by the liver parenchymal cells themselves.
  • 53.
    • Bile pigments •Bile pigments are the excretory products in the bile. Bilirubin and biliverdin are the two bile pigments and bilirubin is the major bile pigment in human being. • Bilirubin: A major bile pigment, bilirubin is a lipid soluble metabolite of haemoglobin. Transported to the liver attached to the protein, it is then conjugated and excreted as water soluble glucuronides. These give a golden color to bile.
  • 54.
    • Biliverdin: Hemesplits into iron and pigment biliverdin which then reduces to bilirubin. • Stercobilin: It is produced from metabolism of bilirubin by intestinal bacteria. It gives brown color to the stool.
  • 55.
    • Phospholipids (mainlylecithin) • It is insoluble in water but are solubilized by bile salt micelles • Cholesterol • It is present in small amount. It is insoluble in water and must be solubilized by bile salt micelles before it can be secreted in the bile.
  • 56.
    Control of bilesecretion and gall bladder contraction • Secretin causes secretion of bicarbonate ions and fluid into bile canalicular ducts • Secretion of bile salts by hepatocytes is directly proportional to hepatic portal vein concentration of bile salts • Choleccystokinin causes gallbladder contraction and sphincter of Oddi relaxation
  • 57.
    Functions of bilesalts • Emulsification of fats • Absorption of fats • Choleretic action • Cholagogue action • Laxative action • Prevention of gallstone formation
  • 58.
    Functions of liver TheLiver Functions as a Blood Reservoir • Liver is an expandable organ so large quantities of blood can be stored in its blood vessels. Its normal blood volume, including both in hepatic veins and in the hepatic sinuses, is about 450 milliliters, or almost 10 per cent of the body’s total blood volume. When high pressure in the right atrium causes backpressure in the liver, the liver expands, and 0.5 to 1 liter of extra blood is occasionally stored in the hepatic veins and sinuses. This occurs especially in cardiac failure with peripheral congestion. Thus, in effect, the liver is a large, expandable, venous organ capable of acting as a valuable blood reservoir in times of excess blood volume and capable of supplying extra blood in times of diminished blood volume.
  • 59.
    • The LiverHas Very High Lymph Flow • Because the pores in the hepatic sinusoids are very permeable and allow ready passage of both fluid and proteins into the spaces of Disse, the lymph draining from the liver usually has a protein concentration of about 6 g/dl, which is only slightly less than the protein concentration of plasma. Also, the extreme permeability of the liver sinusoid epithelium allows large quantities of lymph to form. Therefore, about half of all the lymph formed in the body under resting conditions arises in the liver.
  • 61.
    • Regulation ofLiver Mass—Regeneration • The liver possesses a remarkable ability to restore itself after significant hepatic tissue loss from either partial hepatectomy or acute liver injury, as long as the injury is uncomplicated by viral infection or inflammation. During liver regeneration, hepatocytes are estimated to replicate once or twice, and after the original size and volume of the liver are achieved, the hepatocytes revert to their usual quiet state.
  • 62.
    Hepatic Macrophage SystemServes a Blood- Cleansing Function • Blood flowing through the intestinal capillaries picks up many bacteria from the intestines. • The Kupffer cells, the large phagocytic macrophages that line the hepatic venous sinuses, efficiently cleanse blood as it passes through the sinuses; when a bacterium comes into momentary contact with a Kupffer cell
  • 63.
    Carbohydrate Metabolism • Incarbohydrate metabolism, the liver performs the following functions: 1. Storage of large amounts of glycogen 2. Conversion of galactose and fructose to glucose 3. Gluconeogenesis 4. Formation of many chemical compounds from intermediate products of carbohydrate metabolism
  • 64.
    • Gluconeogenesis inthe liver is also important in maintaining a normal blood glucose concentration, because gluconeogenesis occurs to a significant extent only when the glucose concentration falls below normal. In such a case, large amounts of amino acids and glycerol from triglycerides are converted into glucose, thereby helping to maintain a normal blood glucose concentration.
  • 65.
    • The liveris especially important for maintaining a normal blood glucose concentration. Storage of glycogen allows the liver to remove excess glucose from the blood, store it, and then return it to the blood when the blood glucose concentration begins to fall too low. This is called the glucose buffer function of the liver.
  • 66.
    Fat Metabolism • Oxidationof fatty acids to supply energy for other body functions • Synthesis of large quantities of cholesterol, phospholipids, and most lipoproteins • Synthesis of fat from proteins and carbohydrates
  • 67.
    • To deriveenergy from neutral fats, the fat is first split into glycerol and fatty acids; then the fatty acids are split by beta-oxidation into two- carbon acetyl radicals that form acetyl coenzyme A (acetyl-CoA). This can enter the citric acid cycle and be oxidized to liberate tremendous amounts of energy. Beta- oxidation can take place in all cells of the body, but it occurs especially rapidly in the hepatic cells.
  • 68.
    Protein Metabolism 1. Deaminationof amino acids 2. Formation of urea for removal of ammonia from the body fluids 3. Formation of plasma proteins 4. Interconversions of the various amino acids and synthesis of other compounds from amino acids
  • 69.
    • Deamination ofamino acids is required before they can be used for energy or converted into carbohydrates or fats • Formation of urea by the liver removes ammonia from the body fluids. Large amounts of ammonia are formed by the deamination process, and additional amounts are continually formed in the gut by bacteria and then absorbed into the blood. Therefore, if the liver does not form urea, the plasma ammonia concentration rises rapidly and results in hepatic coma and death.
  • 70.
    The Liver StoresIron as Ferritin. • Except for the iron in the hemoglobin of the blood, by far the greatest proportion of iron in the body is stored in the liver in the form of ferritin. The hepatic cells contain large amounts of a protein called apoferritin, which is capable of combining reversibly with iron. When the iron in the circulating body fluids reaches a low level, the ferritin releases the iron. Thus, the apoferritin- ferritin system of the liver acts as a blood iron buffer, as well as an iron storage medium.
  • 71.
    The Liver Formsa Large Proportion of the Blood Substances Used in Coagulation. • Substances formed in the liver that are used in the coagulation process include fibrinogen, prothrombin, accelerator globulin, Factor VII, and several other important factors. Vitamin K is required by the metabolic processes of the liver for the formation of several of these substances, especially prothrombin and Factors VII, IX, and X.
  • 72.
    The Liver Removesor Excretes Drugs, Hormones, and Other Substances. • The active chemical medium of the liver is well known for its ability to detoxify or excrete into the bile many drugs, including sulfonamides, penicillin, ampicillin, and erythromycin. In a similar manner, several of the hormones secreted by the endocrine glands are either chemically altered or excreted by the liver, including thyroxine and essentially all the steroid hormones, such as estrogen, cortisol, and aldosterone.
  • 73.
    Small intestine secretions Secretionof mucus by Brunner’s glands • A large number of compound mucous glands, called Brunner’s glands, is located in the wall of the first few centimeters of the duodenum, mainly between the pylorus of the stomach and the papilla of Vater where pancreatic secretion and bile empty into the duodenum.
  • 74.
    • These glandssecrete large amounts of alkaline mucus in response to • (1) tactile or irritating stimuli on the duodenal mucosa; • (2) vagal stimulation, which causes increased Brunner’s glands secretion concurrently with increase in stomach secretion; and • (3) gastrointestinal hormones, especially secretin.
  • 75.
    • The functionof the mucus secreted by Brunner’s glands is to protect the duodenal wall from digestion by the highly acid gastric juice emptying from the stomach. • Mucus also contains large amount of bicarbonate ions which neutralize the acid entering from the stomach.
  • 76.
    Secretion of IntestinalDigestive Juices by the Crypts of Lieberkühn
  • 77.
    • Over theentire surface of the small intestine are located small pits called crypts of Lieberkühn • These crypts lie between the intestinal villi. The surfaces of both the crypts and the villi are covered by an epithelium composed of two types of cells: • (1) a moderate number of goblet cells, which secrete mucus that lubricates and protects the • intestinal surfaces
  • 78.
    • (2) alarge number of enterocytes, which, in the crypts, secrete large quantities of water and electrolytes and, over the surfaces of adjacent villi, reabsorb the water and electrolytes along with end products of digestion.
  • 79.
    • Digestive Enzymesin the Small Intestinal Secretion • The enterocytes of the mucosa, especially those that cover the villi, do contain digestive enzymes that digest specific food substances while they are being absorbed through the epithelium.
  • 80.
    • These enzymesare the following: • (1) several peptidases for splitting small peptides into amino acids • (2) four enzymes—sucrase, maltase isomaltase, and lactase—for splitting disaccharides into monosaccharides • (3) small amounts of intestinal lipase for splitting neutral fats into glycerol and fatty acids.
  • 81.
    • Regulating smallintestine secretion are controlled by local enteric nervous reflexes, especially reflexes initiated by tactile or irritative stimuli from the chyme in the intestines.
  • 82.
    Secretions of theLarge Intestine • Mucus Secretion. The mucosa of the large intestine, like that of the small intestine, has many crypts of Lieberkühn; however, unlike the small intestine, there are no villi. The epithelial cells contain almost no enzymes. Instead, they consist mainly of mucous cells that secrete only mucus.
  • 83.
    • Stimulation ofthe pelvic nerves from the spinal cord, which carry parasympathetic innervation to the distal one half to two thirds of the large intestine, also can cause marked increase in mucus secretion. This occurs along with increase in peristaltic motility of the colon
  • 84.
    Functions of mucus •Mucus in the large intestine protects the intestinal wall against excoriation, • It provides an adherent medium for holding fecal matter together. • It protects the intestinal wall from the great amount of bacterial activity that takes place inside the feces
  • 85.
    • The mucusplus the alkalinity of the secretion (pH of 8.0 caused by large amounts of sodium bicarbonate) provides a barrier to keep acids formed in the feces from attacking the intestinal wall.