Dr Sapna M
NORMAL ANATOMY/ HISTOLOGY
Stomach - Normal
3
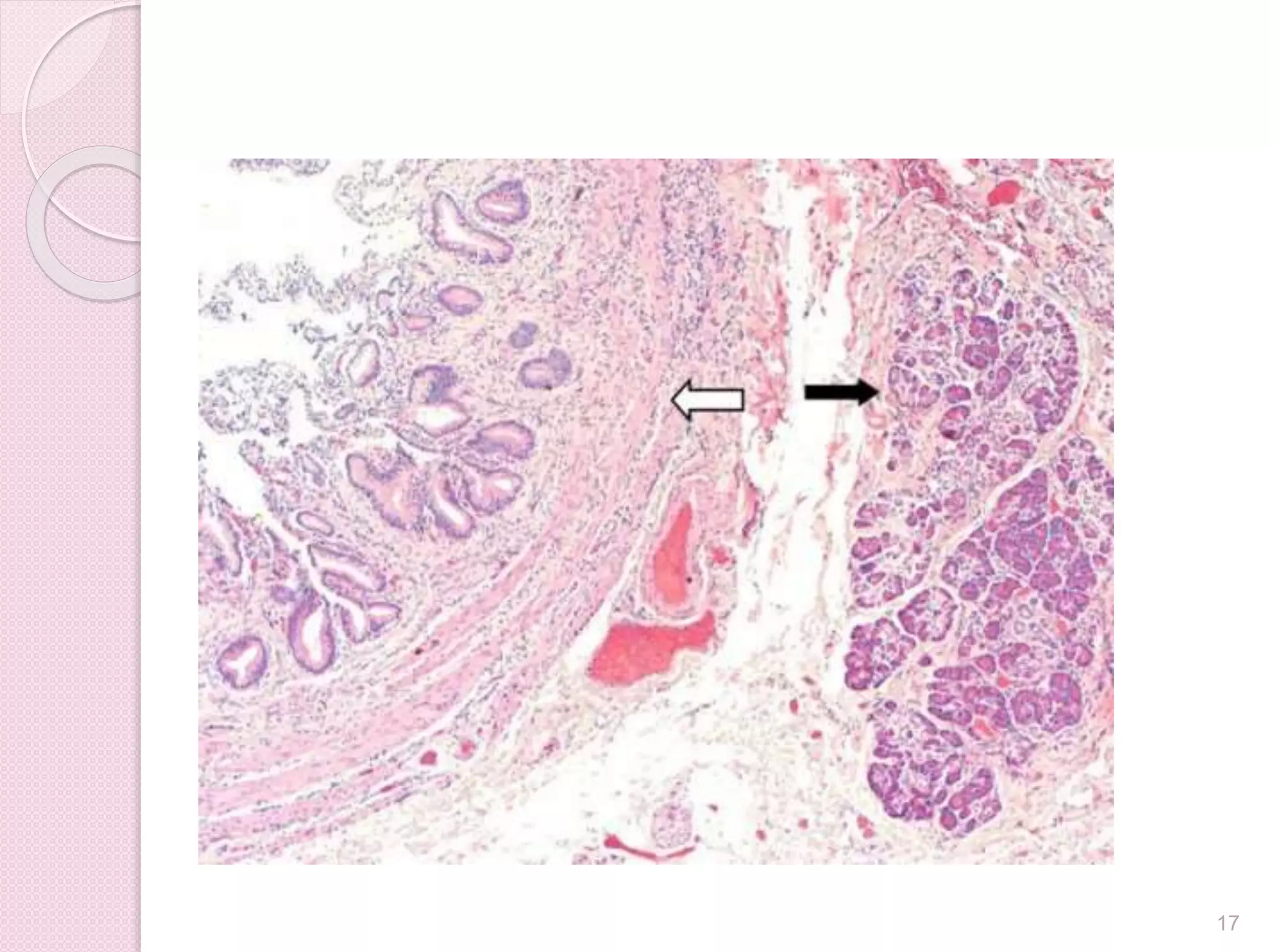
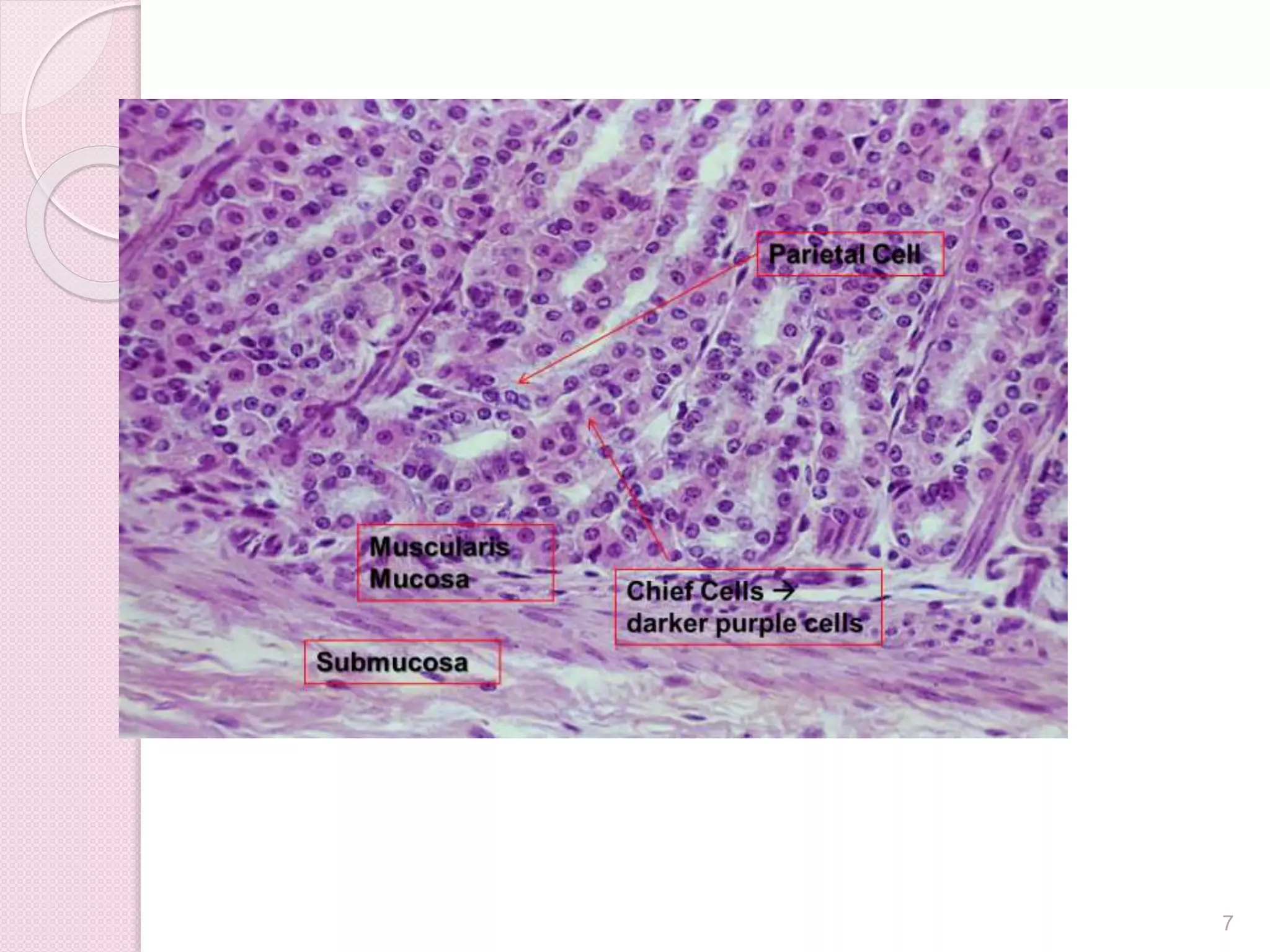
The normal gastric mucosa
 Cardia – mainly
mucus-secreting cells
 Fundus (body) – acid
producing parietal
cells, pepsin
producing chief cells
 Pylorus – hormone
(gastrin) production
4
Stomach - Normal
5
6
7
Stomach
 Functions
◦ Mix food
◦ Reservoir
◦ Start digestion of
 Protein
 Nucleic acids
 Fats
◦ Activates some enzymes
◦ Destroy some bacteria
◦ Makes intrinsic factor –
B 12 absorption
◦ Destroys some bacteria
◦ Absorbs
 Alcohol
 Water
 Lipophilic acid
 B 12
8
Bezoar
 A bezoar is a mass found trapped in
the gastrointestinal system (usually
the stomach), though it can occur in
other locations.
 A pseudobezoar is an indigestible
object introduced intentionally into the
digestive system.
 There are several varieties of bezoar,
some of which have inorganic
constituents and others organic.
Stomach pathology
 Congenital anomaly – pyloric stenosis
 Inflammatory conditions – gastritis,
peptic ulcers
 Tumors
10
Pyloric stenosis
 In 95% of infants with pyloric stenosis
the age at presentation is between 3
and 12 weeks of life, typically between
3 and 8 weeks.
 Pyloric stenosis has been reported in
neonates within the first day of life.
11
12
etiology
 3 in 1,000 live births
 more commonly in males
 30 percent of cases occur in firstborn
 genetic predisposition
 Sibling has 5 times more incidence
 environmental factors
 Neonatal hypergastrinemia and gastric
hyperacidity may have a role
13
CLINICAL MANIFESTATIONS
 The classic presentation of IHPS
is the three- to six-week-old baby
who develops immediate
postprandial, non-bilious, often
projectile VOMITING and
demands to be re-fed soon
afterwards
 (a "hungry vomiter").
14
Palpable mass
 The mass is most easily felt
immediately after emesis because it
may otherwise be obscured by a
distended antrum and/or tensed
abdominal muscles
15
Pancreatic heterotopia
 Pancreatic tissue outside boundaries
of pancreas without anatomic or
vascular connections to pancreas
● Also called ectopic pancreas
● Present in 0.5% to 14% of autopsies
● Due to displacement of pancreatic
tissue during embryonic development
16
17
Inflammatory
Disease of Stomach
18
Definition
 The term gastritis is used to
denote inflammation associated
with mucosal injury.
 .
19
20
Pathophysiology
The mechanisms of mucosal injury in gastritis is thought
to be an imbalance of
aggressive factors
 acid production or pepsin
and
defensive factors
 mucus production
 bicarbonate
 and blood flow
21
Protective factors vs. hostile factors
22
Gastritis
Acute Chronic
23
Classification of gastritis
Acute Chronic
•H pylori gastritis
•Other infective gastritis – bacteria,
virus, fungi, parasite
•Acute non infective gastritis
•Type A- autoimmune
•Type B- h pylori related
•Type AB- environmental
•Chemical – reflux gastritis
•Uncommon forms
24
Acute & Chronic Difference
◦ Acute refers to short term inflammation
◦ Acute refering to neurophilic infiltrate
◦ Chronic referring to long standing forms
◦ Chronic referring to mononuclear cell
infiltrate especially lymphocyte and
macrophages
25
Acute Gastritis
 Definition
◦ An acute mucosal inflammatory
process, with neutrophilic infiltrate,
that is usually transient.
◦ There may be hemorrhage into the
mucosa or sloughing of the mucosa.
◦ Severe erosive form is an important
cause of severe GI bleeding
26
Etiology
◦ Frequently associated with, among others:
 heavy use of NSAIDS, especially aspirin
 excessive alcohol consumption
 heavy smoking
 severe stress e.g. trauma, burns, surgery
 Ischemia
 Systemic infection
◦ Often, idiopathic
27
NSAIDs
NSAIDs and aspirin also
interfere with the protective
mucus layer by inhibiting
mucosal cyclooxygenase
activity, reducing levels of
mucosal prostaglandins
28
Smoking
 Promotes gastritis & ulcer occurrence
 Increases the likelihood of
ulcer complications
 Mechanisms
◦ Stimulate gastric acid secretion
◦ Stimulate bile salt reflux
◦ Causes alteration in mucosal blood flow
◦ Decrease mucus secretion
◦ Reduces prostaglandin synthesis
◦ Decrease pancreatic bicarbonate secretion
29
Acute Gastritis - Pathogenesis
30
All above Factor Acid secretion
+ back diffusion
+ Bicarbonate
buffer
+
Blood flow
Disruption
of
Mucus layer
+
Direct
Mucosal
Injury
Acute Gastritis
Stages of Acute Gastritis
 Acute superficial
gastritis
Inflammation of
superficial
gastric mucosa.
 Acute erosive
gastritis
Destruction of
multiple small
zones of superficial
mucosa.
 Acute Gastric Ulceration
Destruction of full thickness of mucosa
31
Mucosal congestion ,edema
inflammation & ulceration
ACUTE GASTRITIS -
MORPHOLOGY
32
Acute Gastritis - Morphology
Ranges from edema with neutrophil infiltration, vascular congestion,&
an intact epithelium, to erosion (mucosal defect that does not cross
the muscularis mucosa) and hemorrhage.
33
Acute Gastritis
 Gastric mucosa
demonstrates
infiltration by
Neutrophils
34
35
Acute Gastritis
 diffusely hyperemic
gastric mucosa
 causes for acute
gastritis
◦ alcoholism
◦ drugs
◦ infections, etc.
36
Complications:
Malignancy
Hemorrhage
Perforation
 Obstruction
37
Chronic Gastritis
 Definition
◦ Chronic mucosal inflammatory changes
leading to atrophy and metaplasia
(usually without erosions)
 Dysplasia and ultimate neoplasia are
complications.
38
Chronic
Gastritis
Type B
Antral
Gastritis
Type A
Autoimmune
gastritis
39
40
Type B (Antral Gastritis)
◦ 90% of patients with antral chronic gastritis:
Helicobacter pylori infected
 Motile, gram negative curvilinear rods that
elaborate urease (buffers gastric acid) & toxins and
have adhesins to bind to the epithelium.
 Pathogenesis
◦ H. pylori (urease  NH4
+ + toxins) + Host
(acid + peptic enzymes)  Chronic
Inflammation
◦ Antibodies  Gland destruction + Mucosal
atrophy   acid   intrinsic factor (which
can lead to pernicious anemia)
41
Helicobacter pylori infection
H. pylori – silver stain
43
H. pylori – giemsa stain
44
H. pylori – H & E stain
45
Pathogenetic qualities of H.pylori;
Adheres to gastric epithelium
Lives within mucous gel layer overlying gastric epithelium
Penetrates intercellular junctions
Invades gastric glands and canaliculi of parietal cells
Secretes urease to produce ammonia, which protects it from
gastric acid
Produces cytotoxins that may play role in pathogenicity
Induces epithelial cytolysis and disrupts intercellular
junctions
Increases permeability of mucous layer to hydrogen ions
and pepsin
Enables gastric acid and pepsin to create ulcer craters
Evades host immune defenses
Damages tissue.
46
47
Noninvasive
Urea Breath Test (UBT) Blood test
Invasive
Biopsy Urease TestHistology
Culture
Stool antigen test
Upper gastrointestinal (upper GI) X-ray
Other tests
Endoscopy
Helicobacter gastritis
 2 patterns of infection
◦ Diffuse involvement of body and antrum
(“pan gastritis” associated with
diminishing acid output)
◦ Infection confined to antrum (antral
gastritis, associate with increased acid
output)
50
Type A (Auto immune)
Etiology
◦ Autoimmune - antibodies to parietal cells,
gastrin receptor, intrinsic factor, and H+,K+
ATPase
 <10% of cases of chronic gastritis
 Possible autosomal dominant inheritance
51
Morphology of chronic gastritis
 Chronic inflammatory cell
infiltration
 Mucosal atrophy
 Intestinal (goblet cell)
metaplasia
Seen in Helicobacter and
autoimmune gastritis (not
chemical)
52
Autoimmune gastritis
 Autoimmune gastritis -
pernicious anemia
 Chronic atrophic
gastritis is associated
with Ab’s
- intrinsic factor
- patietal cell
 bright green IF- in the
parietal cells of the
gastric mucosa.
53
Autoimmune Gastritis -Morphology
PJ Goldblatt, MD
Diffuse mucosal damage of the body and fundic
mucosa. Antrum less involved.
54
Chronic Gastritis
 Clinical Features
◦ Usually only a few symptoms: nausea,
vomiting, upper abdominal discomfort
◦ Autoimmune
 Hypo to achlorhydria (severe loss of
parietal glands)
 Hypergastrinemia
 10% have pernicious anemia
55
Clinical Complications
◦ Autoimmune:
 Often seen in association with other
autoimmune disorders (Hashimoto
thyroiditis, Addison disease, and type I
diabetes)
 Significant risk for the development of
gastric carcinoma (2-4%) and
endocrine tumors (carcinoid tumor)
56
Chronic Gastritis
Morphology
◦ Varying degrees of mucosal damage
possible
◦ Mucosal lesions are reddened, with
thickened rugae
◦ Atrophied rugae in long-standing cases
◦ Lymphocytes and plasma cell infiltrate;
neutrophils indicate “active” inflammation
(may or may not be present)
57
◦ Regeneration - constant feature
◦ Metaplasia - mucosa of antral and
body-fundic regions converts to
columnar absorptive cells and goblet
cells (intestinal metaplasia)
◦ Atrophy - marked loss of glands
◦ Dysplasia – precursor lesion to gastric
cancer in atrophic gastritis
58
Sydney System of
Grading Chronic Gastritis
1. Site: Antral, Corporal mucosa
2. Grading of: (Mild, Moderate, Marked)
 H-Pylori
 Chronic inflammation
 Activity
 Atrophy
 Intestinal metaplasia
*Normal lymphocytes & plasma cells in lamina propria = up to
5/HPF
*No Neutrophils in lamina propria
Peptic Ulcer Disease
Peptic Ulcer Disease
 Condition characterized by
◦ Erosion of GI mucosa resulting from
digestive action of HCl and pepsin
Peptic Ulcer Disease
 Ulcer development
◦ Lower esophagus
◦ Stomach
◦ Duodenum
◦ 10% of men, 4% of women
Types
 Acute
◦ Superficial erosion
◦ Minimal erosion
 Chronic
◦ Muscular wall erosion with formation of
fibrous tissue
◦ Present continuously for many months or
intermittently
Peptic Ulcer Disease
Etiology and Pathophysiology
 Develop only in presence of acid
environment
 Excess of gastric acid not necessary
for ulcer development
 Person with a gastric ulcer has normal
to less than normal gastric acidity
compared with person with a duodenal
ulcer
Peptic Ulcer
Size – variable; 0.3 – 4 cm in
diameter
Shape - round to oval
Sharply demarcated, clean-cut,
punched-out area with clean base
Margins are usually level with
surrounding mucosa or slightly
elevated due to edema; the mucosa
is undermined at the edges
Radiating mucosal rugae
80% are solitary, 80% occur in the
duodenum, of which 90% in the
first part of the duodenum on the
anterior wall’ within a few
centimeter of the pyloric ring.
19% occur in the stomach(usually at
the lesser curvature at the border of
the body and antrum.
65
Gastric Ulcer- Endoscopic Appearance
66
Gastric Ulcer- Gross Appearance
Sharply
punched-out
Large,
mucosal
defect or ulcer
Radiating
mucosal folds
67
Acute Gastric Ulcer
68
Giant gastric ulcer
69
Duodenal Peptic Ulcers- Gross
70
Microscopy:
 Overhanging gastric
mucosal margins (A)
 Necrotic fibrinoid
debris (B)
 Acute inflammatory
infiltrate (C)
 Granulation tissue
(D)
 Fibrotic scarred
base (E)
71
A
B
C, D
E
Ulcer Base
 Superficial thin layer of
necrotic fibrinoid debris
 Zone of inflammatory
infiltrate with neutrophils
 Zone of granulation
tissue with dilated blood
vessels and lymphocytes
 Zone of fibrous scarring
72
73
Gastric ulcerDuodenal Ulcer
middle age 50-60Any age specially 30-40Age
More in maleMore in maleSex
SameStress job eg. ManagerOccupation
Epi. Can radiate to
back
Epigastric , discomfortPain
Immediately after
eating
2-3 hours after eating &
midnight
Onset
EatingHungerAgg.by
Gastric ulcerDuodenal Ulcer
Lying down or vomitingEatingRelived by
Few weeks1-2 monthsDuration
Common(to relieve the
pain)
UncommonVomiting
Pt. afraid to eatGoodAppetite
Avoid fried foodGood , eat to relieve the painDiet
wt. LossNo wt. lossWeight
60%40%Hematemesis
40%60%Melena
GASTRIC TUMORS
 BENIGN:
 POLYPS (HYPERPLASTIC vs. ADENOMATOUS)
 LEIOMYOMAS (Same gross and micro as sm. muscle)
 LIPOMAS (Same gross and micro as adipose tissue)
 MALIGNANT
 (ADENO)Carcinoma
 LYMPHOMA
 POTENTIALLY MALIGNANT
 G.I.S.T. (Gastro-Intestinal “Stromal” Tumor)
 CARCINOID (NEUROENDOCRINE)
WHO GASTRIC NEOPLASMS
 Epithelial Tumors:
 Adenomatous polyps
 Adenocarcinoma (papillary, tubular, mucinous, signet
ring, adenosquamous, unclassified),
 Small cell, Carcinoid (neuroendocrine)
 Nonepithelial Tumors: Leiomyooma, Leimyosarcoma,
 Schwannoma, GIST, Granular Cell Tumor, Kaposi
sarcoma
 Malignant Lymphomas:
What is gastric cancer?
GC is not far from us……
Napoleon‘s gastric cancer:tumor
found on the lesser curvature of
the stomach: What cause? How
to treat?
Ambition is never content, even on the
summit of greatness.
He conquered the larger part of Europe,
but he could not conquer gastric cancer
How to diagnose
What is epidemiology and etilogy
What is the pathology
How to treat
Content
How to diagnose
What is epidemiology and etilogy
What is the pathology
How to treat
Content
GC Worldwide incidence
Male 16.4
Female 8.2
Male 36.3
Female 16.9
Male 77.9
Female 33.3
Male 10.8
Female 4.9
Male 43.6
Female 19.0
Male 5.9
Female 2.6
Male 11.5
Female 4.3
Male 18.6
Female 13.3
Male 8.4
Female 4.0
Eastern
Europe
Japan
Australia/
New Zealand
China
Northern
Africa
Southern
Africa
Central
America
Western
Europe
North
America
In terms of geographic distribution, high
rates apply to Japan, China and Eastern
Europe and low rates to North America.
Almost 40% of cases occur in China .
Pazdur R et al. Cancer management: A multidisciplinary
approach. edition,2002
Gastric
Cancer
H. pylori
Precancerous
changes
Genetic factors
Diet
Etiological Factors of GC
Precancerous changes
 precancerous diseases
 chronic atrophic gastritis
 gastric ulcer
 gastric polyps
 gastric remnant
 precancerous lesion
 atypical hyperplasia
“The new study suggest he was
chronically infected with the
bacteria Helicobacter pylori.”
“full of salt-preserved foods but
sparse in fruits and vegetables--
common fare for long military”
H. pylori
Genetic factors
“his father had also died of
stomach cancer which led to
the theory that he had
inherited the disease.”
Diet
Precancerous
changes
Why Napoleon died of GC
chronic atrophic gastritis?
How to diagnose
What is epidemiology and etilogy
What is the pathology
How to treat
Content
Early gastric cancer
 Defined as a tumor confined to the mucosal or submucosal
layer, with or without lymph node metastasis
Advanced gastric cancer
 invasion depth beyond submucosal layer
Morphology
SITE - Favoured location is the
lesser curvature of the antropyloric region
Gastric carcinoma is classified on the basis of
- depth of invasion
- macroscopic growth pattern
- histologic subtype
ADENOCARCINOMA
GROWTH PATTERNS
Gross: Linitis
plastica carcinoma
diffusely infiltrates
the entire gastric
wall without forming
an intraluminal
mass. The wall of
the stomach is
typically thickened
to about 2-3 cm.
and has a leathery,
inelastic
consistency.
Lauren classification
Intestinal type
--- associated with most
environmental risk factors
--- carries a better prognosis
--- shows no familial history
 Diffuse type
--- consists of scattered cell
clusters with poor prognosis
Intestinal type gland
formation by malignant
cells,
Gastric carcinoma.
Diffuse type demonstrating
signet-ring carcinoma cells.
Bormann classifications
 Gross classification
phymatoid type
ulcerative type
infiltrative ulcerative
diffuse infiltrative type
Histology classification
 Adenocarcinoma occupy 95%
 Lymphomas 2%
 Carcinoids 1%
 Adenocathomas 1%
 Squamous cell 1%
TNM classification ——T
 Primary tumor:
depth of tumor
invasion
Tx- cannot be assessed
T0- no evidence
Tis- carcinoma in situ, no invasion of
lamina
T1- invades lamina propria or
submucosa
T2- invades muscularis or subserosa
T3- penetrates serosa, no adjacent
structure
T4- invades adjacent structures
T:Primary tumor
 Direct extension into omentum, pancreas,
diaphragm, transverse colon, and
duodenum.
 If lesion extends beyond wall to a free
peritoneal surface, peritoneal involvement
is frequent.
TNM classification ——N
 Regional Lymph Nodes
NX- cannot be assessed
N0- no nodes
N1- mets in 1-6 regional
nodes
N2- mets in 7-15 regional
nodes
N3- mets in more than 15
regional nodes
TNM classification ——M
 Distant metastasis
MX- cannot be assessed
M0- no distant metastases
M1-distant metastases
Spread Patterns
 Direct invasion
 Lymph node dissemination
 Blood spread
 Intraperitoneal colonization
Special term
 Blumer shelf
A shelf palpable by reactal examination, due to
metastatic tumor cells gravitating from an abdominal
cancer and growing in the rectovesical or rectouterine
pouch
 Krukenberg tumor
A tumor in the ovary by the spread of stomach cancer
What is the classification for Napoleon
,
GC
“The scientists suggest that Napoleon died
from a T3N1M0 (stage IIIA)
gastric cancer. This means the tumour (T3)
had spread to some local lymph nodes (N1)
near the stomach, but had not spread or
metastased (M0) to other organs. The
prognosis for such tumours is known to be
very poor. ”
How to diagnose
What is epidemiology and etilogy
What is the pathology
How to treat
Content
Clinical manifestation
Early Gastric Cancer
 Asymptomatic or silent 80%
 Peptic ulcer symptoms 10%
 Nausea or vomiting 8%
 Anorexia 8%
 Early satiety 5%
 Abdominal pain 2%
 Gastrointestinal blood loss <2%
 Weight loss <2%
 Dysphagia <1%
Clinical manifestation
Advanced Gastric Cancer
 Weight loss 60%
 Abdominal pain 50%
 Nausea or vomiting 30%
 Anorexia 30%
 Dysphagia 25%
 Gastrointestinal blood loss 20%
 Early satiety 20%
 Peptic ulcer symptoms 20%
 Abdominal mass or fullness 5%
 Asymptomatic or silent <5%
Special signs
 Linitis plastica:
--- diffusely infiltrating with a rigid stomach
 Virchow’s node:
--- left supraclavicular lymph node
 Sister Mary Joseph’s node:
--- umbilical lymph node
 prerectal pouch mass (Blumer shelf)
--- seeding metastasis
Sister Mary Joseph’s node
Laboratory tests
 Assists in determining optimal therapy.
 CBC identifies anemia, with may be caused by bleeding,
liver dysfunction, or poor nutrition.
 30% have anemia.
 Tumor markers
CEA:carcino-embryonic antigen
CA19-9:carbohydrate antigen
CA724:carbohydrate antigen
Imaging Studies
 Endoscopic diagnosis
--- biopsy needed for definitive diagnosis
 Endoscopic screening
--- general population or high risk persons
How to diagnose Napoleon
,
GC
Endoscopic diagnosis?
Endoscopic Ultrasonography?
CT scan? Preoperative staging
......
Why?
How to diagnose
What is epidemiology and etilogy
What is the pathology
How to treat
Content
G.I.S.T. TUMORS
 Can behave and/or look benign or malignant
 Usually look like smooth muscle, i.e., “stroma”
 Are usually POSITIVE for
c-KIT (CD117), i.e., express this antigen on immunochemical staining, the tumor cells are derived from the interstitial cells, of Cajal, a “neural”
type of cell
G.I.S.T. TUMORS
 c-KIT (receptor for stem cell factor)
mutations
 platelet-derived growth factor
receptor-a. (PDGFRA) mutations
 tyrosine kinase inhibitor (STIS71) has
been shown to be effective in
treatment
GIST
114
CARCINOID TUMOR
 arise from the diffuse components of the
endocrine system
 majority are found in the GI tract, and more
than 40% occur in the small intestine
 tracheobronchial tree and lungs
Gastric carcinoids
 release peptide and nonpeptide
hormones to coordinate gut function
 carcinoids are intramural or
submucosal masses that create small
polypoid lesions
Carcinoid tumor
117
119
The most important prognostic factor for GI carcinoid
tumors is location
Foregut carcinoid tumors
 rarely metastasize and are generally cured by resection
Midgut carcinoid tumors
 Aggressive, greater depth of local invasion, increased size, and presence of
necrosis and mitosis are associated with poor outcome
Hindgut carcinoids occur in appendix & rectum
 in appendix almost uniformly benign < 2cm
 Rectal carcinoid rarely metastsize
GASTRIC LYMPHOMA
Primary :
 Mucosa (gut)-associated lymphoid tissue tumor
Previously called
MALToma, MALT-type lymphoma, or MALT lymphoma,
Now called
Extranodal marginal zone B-cell lymphoma of MALT type
lymphoepithelial lesion (LEL) is a hallmark
Secondary
spread from adjacent lymph nodes
 Peptic ulcers
 Gastric carcinoma
122
123

Stomach pathology lecture

  • 1.
  • 2.
  • 3.
  • 4.
    The normal gastricmucosa  Cardia – mainly mucus-secreting cells  Fundus (body) – acid producing parietal cells, pepsin producing chief cells  Pylorus – hormone (gastrin) production 4
  • 5.
  • 6.
  • 7.
  • 8.
    Stomach  Functions ◦ Mixfood ◦ Reservoir ◦ Start digestion of  Protein  Nucleic acids  Fats ◦ Activates some enzymes ◦ Destroy some bacteria ◦ Makes intrinsic factor – B 12 absorption ◦ Destroys some bacteria ◦ Absorbs  Alcohol  Water  Lipophilic acid  B 12 8
  • 9.
    Bezoar  A bezoaris a mass found trapped in the gastrointestinal system (usually the stomach), though it can occur in other locations.  A pseudobezoar is an indigestible object introduced intentionally into the digestive system.  There are several varieties of bezoar, some of which have inorganic constituents and others organic.
  • 10.
    Stomach pathology  Congenitalanomaly – pyloric stenosis  Inflammatory conditions – gastritis, peptic ulcers  Tumors 10
  • 11.
    Pyloric stenosis  In95% of infants with pyloric stenosis the age at presentation is between 3 and 12 weeks of life, typically between 3 and 8 weeks.  Pyloric stenosis has been reported in neonates within the first day of life. 11
  • 12.
  • 13.
    etiology  3 in1,000 live births  more commonly in males  30 percent of cases occur in firstborn  genetic predisposition  Sibling has 5 times more incidence  environmental factors  Neonatal hypergastrinemia and gastric hyperacidity may have a role 13
  • 14.
    CLINICAL MANIFESTATIONS  Theclassic presentation of IHPS is the three- to six-week-old baby who develops immediate postprandial, non-bilious, often projectile VOMITING and demands to be re-fed soon afterwards  (a "hungry vomiter"). 14
  • 15.
    Palpable mass  Themass is most easily felt immediately after emesis because it may otherwise be obscured by a distended antrum and/or tensed abdominal muscles 15
  • 16.
    Pancreatic heterotopia  Pancreatictissue outside boundaries of pancreas without anatomic or vascular connections to pancreas ● Also called ectopic pancreas ● Present in 0.5% to 14% of autopsies ● Due to displacement of pancreatic tissue during embryonic development 16
  • 17.
  • 18.
  • 19.
    Definition  The termgastritis is used to denote inflammation associated with mucosal injury.  . 19
  • 20.
  • 21.
    Pathophysiology The mechanisms ofmucosal injury in gastritis is thought to be an imbalance of aggressive factors  acid production or pepsin and defensive factors  mucus production  bicarbonate  and blood flow 21
  • 22.
    Protective factors vs.hostile factors 22
  • 23.
  • 24.
    Classification of gastritis AcuteChronic •H pylori gastritis •Other infective gastritis – bacteria, virus, fungi, parasite •Acute non infective gastritis •Type A- autoimmune •Type B- h pylori related •Type AB- environmental •Chemical – reflux gastritis •Uncommon forms 24
  • 25.
    Acute & ChronicDifference ◦ Acute refers to short term inflammation ◦ Acute refering to neurophilic infiltrate ◦ Chronic referring to long standing forms ◦ Chronic referring to mononuclear cell infiltrate especially lymphocyte and macrophages 25
  • 26.
    Acute Gastritis  Definition ◦An acute mucosal inflammatory process, with neutrophilic infiltrate, that is usually transient. ◦ There may be hemorrhage into the mucosa or sloughing of the mucosa. ◦ Severe erosive form is an important cause of severe GI bleeding 26
  • 27.
    Etiology ◦ Frequently associatedwith, among others:  heavy use of NSAIDS, especially aspirin  excessive alcohol consumption  heavy smoking  severe stress e.g. trauma, burns, surgery  Ischemia  Systemic infection ◦ Often, idiopathic 27
  • 28.
    NSAIDs NSAIDs and aspirinalso interfere with the protective mucus layer by inhibiting mucosal cyclooxygenase activity, reducing levels of mucosal prostaglandins 28
  • 29.
    Smoking  Promotes gastritis& ulcer occurrence  Increases the likelihood of ulcer complications  Mechanisms ◦ Stimulate gastric acid secretion ◦ Stimulate bile salt reflux ◦ Causes alteration in mucosal blood flow ◦ Decrease mucus secretion ◦ Reduces prostaglandin synthesis ◦ Decrease pancreatic bicarbonate secretion 29
  • 30.
    Acute Gastritis -Pathogenesis 30 All above Factor Acid secretion + back diffusion + Bicarbonate buffer + Blood flow Disruption of Mucus layer + Direct Mucosal Injury Acute Gastritis
  • 31.
    Stages of AcuteGastritis  Acute superficial gastritis Inflammation of superficial gastric mucosa.  Acute erosive gastritis Destruction of multiple small zones of superficial mucosa.  Acute Gastric Ulceration Destruction of full thickness of mucosa 31
  • 32.
    Mucosal congestion ,edema inflammation& ulceration ACUTE GASTRITIS - MORPHOLOGY 32
  • 33.
    Acute Gastritis -Morphology Ranges from edema with neutrophil infiltration, vascular congestion,& an intact epithelium, to erosion (mucosal defect that does not cross the muscularis mucosa) and hemorrhage. 33
  • 34.
    Acute Gastritis  Gastricmucosa demonstrates infiltration by Neutrophils 34
  • 35.
  • 36.
    Acute Gastritis  diffuselyhyperemic gastric mucosa  causes for acute gastritis ◦ alcoholism ◦ drugs ◦ infections, etc. 36
  • 37.
  • 38.
    Chronic Gastritis  Definition ◦Chronic mucosal inflammatory changes leading to atrophy and metaplasia (usually without erosions)  Dysplasia and ultimate neoplasia are complications. 38
  • 39.
  • 40.
  • 41.
    Type B (AntralGastritis) ◦ 90% of patients with antral chronic gastritis: Helicobacter pylori infected  Motile, gram negative curvilinear rods that elaborate urease (buffers gastric acid) & toxins and have adhesins to bind to the epithelium.  Pathogenesis ◦ H. pylori (urease  NH4 + + toxins) + Host (acid + peptic enzymes)  Chronic Inflammation ◦ Antibodies  Gland destruction + Mucosal atrophy   acid   intrinsic factor (which can lead to pernicious anemia) 41
  • 42.
  • 43.
    H. pylori –silver stain 43
  • 44.
    H. pylori –giemsa stain 44
  • 45.
    H. pylori –H & E stain 45
  • 46.
    Pathogenetic qualities ofH.pylori; Adheres to gastric epithelium Lives within mucous gel layer overlying gastric epithelium Penetrates intercellular junctions Invades gastric glands and canaliculi of parietal cells Secretes urease to produce ammonia, which protects it from gastric acid Produces cytotoxins that may play role in pathogenicity Induces epithelial cytolysis and disrupts intercellular junctions Increases permeability of mucous layer to hydrogen ions and pepsin Enables gastric acid and pepsin to create ulcer craters Evades host immune defenses Damages tissue. 46
  • 47.
  • 48.
    Noninvasive Urea Breath Test(UBT) Blood test Invasive Biopsy Urease TestHistology
  • 49.
    Culture Stool antigen test Uppergastrointestinal (upper GI) X-ray Other tests Endoscopy
  • 50.
    Helicobacter gastritis  2patterns of infection ◦ Diffuse involvement of body and antrum (“pan gastritis” associated with diminishing acid output) ◦ Infection confined to antrum (antral gastritis, associate with increased acid output) 50
  • 51.
    Type A (Autoimmune) Etiology ◦ Autoimmune - antibodies to parietal cells, gastrin receptor, intrinsic factor, and H+,K+ ATPase  <10% of cases of chronic gastritis  Possible autosomal dominant inheritance 51
  • 52.
    Morphology of chronicgastritis  Chronic inflammatory cell infiltration  Mucosal atrophy  Intestinal (goblet cell) metaplasia Seen in Helicobacter and autoimmune gastritis (not chemical) 52
  • 53.
    Autoimmune gastritis  Autoimmunegastritis - pernicious anemia  Chronic atrophic gastritis is associated with Ab’s - intrinsic factor - patietal cell  bright green IF- in the parietal cells of the gastric mucosa. 53
  • 54.
    Autoimmune Gastritis -Morphology PJGoldblatt, MD Diffuse mucosal damage of the body and fundic mucosa. Antrum less involved. 54
  • 55.
    Chronic Gastritis  ClinicalFeatures ◦ Usually only a few symptoms: nausea, vomiting, upper abdominal discomfort ◦ Autoimmune  Hypo to achlorhydria (severe loss of parietal glands)  Hypergastrinemia  10% have pernicious anemia 55
  • 56.
    Clinical Complications ◦ Autoimmune: Often seen in association with other autoimmune disorders (Hashimoto thyroiditis, Addison disease, and type I diabetes)  Significant risk for the development of gastric carcinoma (2-4%) and endocrine tumors (carcinoid tumor) 56
  • 57.
    Chronic Gastritis Morphology ◦ Varyingdegrees of mucosal damage possible ◦ Mucosal lesions are reddened, with thickened rugae ◦ Atrophied rugae in long-standing cases ◦ Lymphocytes and plasma cell infiltrate; neutrophils indicate “active” inflammation (may or may not be present) 57
  • 58.
    ◦ Regeneration -constant feature ◦ Metaplasia - mucosa of antral and body-fundic regions converts to columnar absorptive cells and goblet cells (intestinal metaplasia) ◦ Atrophy - marked loss of glands ◦ Dysplasia – precursor lesion to gastric cancer in atrophic gastritis 58
  • 59.
    Sydney System of GradingChronic Gastritis 1. Site: Antral, Corporal mucosa 2. Grading of: (Mild, Moderate, Marked)  H-Pylori  Chronic inflammation  Activity  Atrophy  Intestinal metaplasia *Normal lymphocytes & plasma cells in lamina propria = up to 5/HPF *No Neutrophils in lamina propria
  • 60.
  • 61.
    Peptic Ulcer Disease Condition characterized by ◦ Erosion of GI mucosa resulting from digestive action of HCl and pepsin
  • 62.
    Peptic Ulcer Disease Ulcer development ◦ Lower esophagus ◦ Stomach ◦ Duodenum ◦ 10% of men, 4% of women
  • 63.
    Types  Acute ◦ Superficialerosion ◦ Minimal erosion  Chronic ◦ Muscular wall erosion with formation of fibrous tissue ◦ Present continuously for many months or intermittently
  • 64.
    Peptic Ulcer Disease Etiologyand Pathophysiology  Develop only in presence of acid environment  Excess of gastric acid not necessary for ulcer development  Person with a gastric ulcer has normal to less than normal gastric acidity compared with person with a duodenal ulcer
  • 65.
    Peptic Ulcer Size –variable; 0.3 – 4 cm in diameter Shape - round to oval Sharply demarcated, clean-cut, punched-out area with clean base Margins are usually level with surrounding mucosa or slightly elevated due to edema; the mucosa is undermined at the edges Radiating mucosal rugae 80% are solitary, 80% occur in the duodenum, of which 90% in the first part of the duodenum on the anterior wall’ within a few centimeter of the pyloric ring. 19% occur in the stomach(usually at the lesser curvature at the border of the body and antrum. 65
  • 66.
  • 67.
    Gastric Ulcer- GrossAppearance Sharply punched-out Large, mucosal defect or ulcer Radiating mucosal folds 67
  • 68.
  • 69.
  • 70.
  • 71.
    Microscopy:  Overhanging gastric mucosalmargins (A)  Necrotic fibrinoid debris (B)  Acute inflammatory infiltrate (C)  Granulation tissue (D)  Fibrotic scarred base (E) 71 A B C, D E
  • 72.
    Ulcer Base  Superficialthin layer of necrotic fibrinoid debris  Zone of inflammatory infiltrate with neutrophils  Zone of granulation tissue with dilated blood vessels and lymphocytes  Zone of fibrous scarring 72
  • 73.
  • 74.
    Gastric ulcerDuodenal Ulcer middleage 50-60Any age specially 30-40Age More in maleMore in maleSex SameStress job eg. ManagerOccupation Epi. Can radiate to back Epigastric , discomfortPain Immediately after eating 2-3 hours after eating & midnight Onset EatingHungerAgg.by
  • 75.
    Gastric ulcerDuodenal Ulcer Lyingdown or vomitingEatingRelived by Few weeks1-2 monthsDuration Common(to relieve the pain) UncommonVomiting Pt. afraid to eatGoodAppetite Avoid fried foodGood , eat to relieve the painDiet wt. LossNo wt. lossWeight 60%40%Hematemesis 40%60%Melena
  • 76.
    GASTRIC TUMORS  BENIGN: POLYPS (HYPERPLASTIC vs. ADENOMATOUS)  LEIOMYOMAS (Same gross and micro as sm. muscle)  LIPOMAS (Same gross and micro as adipose tissue)  MALIGNANT  (ADENO)Carcinoma  LYMPHOMA  POTENTIALLY MALIGNANT  G.I.S.T. (Gastro-Intestinal “Stromal” Tumor)  CARCINOID (NEUROENDOCRINE)
  • 77.
    WHO GASTRIC NEOPLASMS Epithelial Tumors:  Adenomatous polyps  Adenocarcinoma (papillary, tubular, mucinous, signet ring, adenosquamous, unclassified),  Small cell, Carcinoid (neuroendocrine)  Nonepithelial Tumors: Leiomyooma, Leimyosarcoma,  Schwannoma, GIST, Granular Cell Tumor, Kaposi sarcoma  Malignant Lymphomas:
  • 78.
  • 79.
    GC is notfar from us…… Napoleon‘s gastric cancer:tumor found on the lesser curvature of the stomach: What cause? How to treat? Ambition is never content, even on the summit of greatness. He conquered the larger part of Europe, but he could not conquer gastric cancer
  • 80.
    How to diagnose Whatis epidemiology and etilogy What is the pathology How to treat Content
  • 81.
    How to diagnose Whatis epidemiology and etilogy What is the pathology How to treat Content
  • 82.
    GC Worldwide incidence Male16.4 Female 8.2 Male 36.3 Female 16.9 Male 77.9 Female 33.3 Male 10.8 Female 4.9 Male 43.6 Female 19.0 Male 5.9 Female 2.6 Male 11.5 Female 4.3 Male 18.6 Female 13.3 Male 8.4 Female 4.0 Eastern Europe Japan Australia/ New Zealand China Northern Africa Southern Africa Central America Western Europe North America In terms of geographic distribution, high rates apply to Japan, China and Eastern Europe and low rates to North America. Almost 40% of cases occur in China . Pazdur R et al. Cancer management: A multidisciplinary approach. edition,2002
  • 83.
  • 84.
    Precancerous changes  precancerousdiseases  chronic atrophic gastritis  gastric ulcer  gastric polyps  gastric remnant  precancerous lesion  atypical hyperplasia
  • 85.
    “The new studysuggest he was chronically infected with the bacteria Helicobacter pylori.” “full of salt-preserved foods but sparse in fruits and vegetables-- common fare for long military” H. pylori Genetic factors “his father had also died of stomach cancer which led to the theory that he had inherited the disease.” Diet Precancerous changes Why Napoleon died of GC chronic atrophic gastritis?
  • 86.
    How to diagnose Whatis epidemiology and etilogy What is the pathology How to treat Content
  • 87.
    Early gastric cancer Defined as a tumor confined to the mucosal or submucosal layer, with or without lymph node metastasis
  • 88.
    Advanced gastric cancer invasion depth beyond submucosal layer
  • 89.
    Morphology SITE - Favouredlocation is the lesser curvature of the antropyloric region Gastric carcinoma is classified on the basis of - depth of invasion - macroscopic growth pattern - histologic subtype
  • 90.
  • 91.
    Gross: Linitis plastica carcinoma diffuselyinfiltrates the entire gastric wall without forming an intraluminal mass. The wall of the stomach is typically thickened to about 2-3 cm. and has a leathery, inelastic consistency.
  • 92.
    Lauren classification Intestinal type ---associated with most environmental risk factors --- carries a better prognosis --- shows no familial history  Diffuse type --- consists of scattered cell clusters with poor prognosis
  • 93.
    Intestinal type gland formationby malignant cells, Gastric carcinoma. Diffuse type demonstrating signet-ring carcinoma cells.
  • 94.
    Bormann classifications  Grossclassification phymatoid type ulcerative type infiltrative ulcerative diffuse infiltrative type
  • 95.
    Histology classification  Adenocarcinomaoccupy 95%  Lymphomas 2%  Carcinoids 1%  Adenocathomas 1%  Squamous cell 1%
  • 96.
    TNM classification ——T Primary tumor: depth of tumor invasion Tx- cannot be assessed T0- no evidence Tis- carcinoma in situ, no invasion of lamina T1- invades lamina propria or submucosa T2- invades muscularis or subserosa T3- penetrates serosa, no adjacent structure T4- invades adjacent structures
  • 97.
    T:Primary tumor  Directextension into omentum, pancreas, diaphragm, transverse colon, and duodenum.  If lesion extends beyond wall to a free peritoneal surface, peritoneal involvement is frequent.
  • 98.
    TNM classification ——N Regional Lymph Nodes NX- cannot be assessed N0- no nodes N1- mets in 1-6 regional nodes N2- mets in 7-15 regional nodes N3- mets in more than 15 regional nodes
  • 99.
    TNM classification ——M Distant metastasis MX- cannot be assessed M0- no distant metastases M1-distant metastases
  • 100.
    Spread Patterns  Directinvasion  Lymph node dissemination  Blood spread  Intraperitoneal colonization
  • 101.
    Special term  Blumershelf A shelf palpable by reactal examination, due to metastatic tumor cells gravitating from an abdominal cancer and growing in the rectovesical or rectouterine pouch  Krukenberg tumor A tumor in the ovary by the spread of stomach cancer
  • 102.
    What is theclassification for Napoleon , GC “The scientists suggest that Napoleon died from a T3N1M0 (stage IIIA) gastric cancer. This means the tumour (T3) had spread to some local lymph nodes (N1) near the stomach, but had not spread or metastased (M0) to other organs. The prognosis for such tumours is known to be very poor. ”
  • 103.
    How to diagnose Whatis epidemiology and etilogy What is the pathology How to treat Content
  • 104.
    Clinical manifestation Early GastricCancer  Asymptomatic or silent 80%  Peptic ulcer symptoms 10%  Nausea or vomiting 8%  Anorexia 8%  Early satiety 5%  Abdominal pain 2%  Gastrointestinal blood loss <2%  Weight loss <2%  Dysphagia <1%
  • 105.
    Clinical manifestation Advanced GastricCancer  Weight loss 60%  Abdominal pain 50%  Nausea or vomiting 30%  Anorexia 30%  Dysphagia 25%  Gastrointestinal blood loss 20%  Early satiety 20%  Peptic ulcer symptoms 20%  Abdominal mass or fullness 5%  Asymptomatic or silent <5%
  • 106.
    Special signs  Linitisplastica: --- diffusely infiltrating with a rigid stomach  Virchow’s node: --- left supraclavicular lymph node  Sister Mary Joseph’s node: --- umbilical lymph node  prerectal pouch mass (Blumer shelf) --- seeding metastasis
  • 107.
  • 108.
    Laboratory tests  Assistsin determining optimal therapy.  CBC identifies anemia, with may be caused by bleeding, liver dysfunction, or poor nutrition.  30% have anemia.  Tumor markers CEA:carcino-embryonic antigen CA19-9:carbohydrate antigen CA724:carbohydrate antigen
  • 109.
    Imaging Studies  Endoscopicdiagnosis --- biopsy needed for definitive diagnosis  Endoscopic screening --- general population or high risk persons
  • 110.
    How to diagnoseNapoleon , GC Endoscopic diagnosis? Endoscopic Ultrasonography? CT scan? Preoperative staging ...... Why?
  • 111.
    How to diagnose Whatis epidemiology and etilogy What is the pathology How to treat Content
  • 112.
    G.I.S.T. TUMORS  Canbehave and/or look benign or malignant  Usually look like smooth muscle, i.e., “stroma”  Are usually POSITIVE for c-KIT (CD117), i.e., express this antigen on immunochemical staining, the tumor cells are derived from the interstitial cells, of Cajal, a “neural” type of cell
  • 113.
    G.I.S.T. TUMORS  c-KIT(receptor for stem cell factor) mutations  platelet-derived growth factor receptor-a. (PDGFRA) mutations  tyrosine kinase inhibitor (STIS71) has been shown to be effective in treatment
  • 114.
  • 115.
    CARCINOID TUMOR  arisefrom the diffuse components of the endocrine system  majority are found in the GI tract, and more than 40% occur in the small intestine  tracheobronchial tree and lungs
  • 116.
    Gastric carcinoids  releasepeptide and nonpeptide hormones to coordinate gut function  carcinoids are intramural or submucosal masses that create small polypoid lesions
  • 117.
  • 119.
  • 120.
    The most importantprognostic factor for GI carcinoid tumors is location Foregut carcinoid tumors  rarely metastasize and are generally cured by resection Midgut carcinoid tumors  Aggressive, greater depth of local invasion, increased size, and presence of necrosis and mitosis are associated with poor outcome Hindgut carcinoids occur in appendix & rectum  in appendix almost uniformly benign < 2cm  Rectal carcinoid rarely metastsize
  • 121.
    GASTRIC LYMPHOMA Primary : Mucosa (gut)-associated lymphoid tissue tumor Previously called MALToma, MALT-type lymphoma, or MALT lymphoma, Now called Extranodal marginal zone B-cell lymphoma of MALT type lymphoepithelial lesion (LEL) is a hallmark Secondary spread from adjacent lymph nodes
  • 122.
     Peptic ulcers Gastric carcinoma 122
  • 123.