Orthopedics	Conference	
Extern เทวัช ห่านศรีวิจิตร
Extern รวิภา วงศ์โรจน์รัตนา
Case
• เด็กชายไทย อายุ <= ปี
• มาด้วยล้มแขนขวากระแทกพืGน H ชัIวโมง ก่อนมาโรงพยาบาล
Present illness
• 3 hr PTA ผู้ป่วยเล่นกระโดดยางแล้วล้ม มือขวากระแทกพืGน หลังจากนัGน
ปวดข้อมือขวา บวม ไม่สามารถกระดกข้อมือขวาได้ ไม่ชา มารดาจึงพามา
โรงพยาบาล
Physical Examination
• ABCD passed
• Right arm :
• swelling right wrist
• Tender at wrist
• Limit ROM of wrist due to pain
• Motor
• Ulnar nerve
• Median nerve
• Radial nerve
• Sensory
• Ulnar
• Median
• Radial
• Vascular
• Radial artery
• Ulnar artery
• Capillary refill < 2 sec
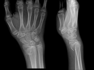
XXX
Investigation
X-ray Right wrist
AP,Lateral
Impression
• Right wrist
• Close fracture
• Extra articular
• Anterior displacement
• Volar tilt
• Radial inclination 14˚
• Radial height 8mm
• Salter-Harries type 2
• Fernandez type 2
Reduction
DER	Parameters	
Radial	inclinationVolar	tilt Radial	height
.
.
£
Indication for surgery
• Open fracture
• Unacceptable alignment
• Unstable
• Fernandez type II, IV, V and some case in I, III
• Lafontaine criteria ≥ 3 of 5 instability
parameters
• Age > 60
• Ulnar fracture
• Dorsal comminution
• Intra-articular
• Dorsal angulation > 20
• Secondary displacement after casting
DER Unacceptable alignment in adult
• Articular step off or gap > 2mm
• Shortening > 5 mm
• Dorsal tilt > 10°
• Radial inclination < 15°
• Volar tilt > 20°
Associated conditions
• DRUJ injuries
• radial styloid fractures
• soft tissue injuries
• scapholunate ligament injury
• lunotriquetral ligament injury
Complication
• Compartment syndrome
• Median nerve neuropathy
• Distal radio-ulnar joint instability
• Post traumatic arthritis
• Malunion
• Physeal arrest (ped)

Ortho conference