ECHOCARDIOGRAPHIC EVALUATION
OF
AORTIC REGURGITATION
Introduction
• Echocardiographic approach to the patient with AR includes
not only the evaluation of the presence of regurgitation but
also the etiology and severity of regurgitation along with the
effects of the regurgitant lesion on ventricular size and
function.
Aortic
regurgitation
Congenital
Bicuspid
aortic valve
QAV, unicuspid.
pentacuspid
Subaortic
membrane
Cuspal
Prolapse-
VSD
Acquired
Valvular
Acute
IE
Trauma
Aortic dissection
Chronic
Rheumatic
Sclerotic aortic
valve
Aortic root
involvement
HTN
Marfans
syndrome
Ankylosing
spondyltis
Rheumatic AR
• Acute rheumatic fever can cause mitral regurgitation and
less commonly mild to moderate AR and focal nodules on
valve leaflets.
• Cusp fibrosis and calcification can occur resulting in
varying degrees of AR.
• AS with+/- AR is more common and results from
commisural fusion –CRHD.
• Aortic valve involement in the absence of rheumatic mitral
valve disease is uncommon.
Calcific /Degenerative AR
• Atherosclerotic degeneration.
• Myxomatous degeneration.
Bicuspid aortopathy
• MC congenital cardiac defect
• Prevalence between 0.5% -2%.
• Systolic doming seen in Plax.
• Psax at great arteries level in systole.
• Heavy calcification difficult to identify BAV.
• Thoracic aneurysms and coarctation can be assosciated.
• Increased risk of dissection.
Ankylosing spondylitis
• Thickening of the aortic wall.
• Thickening of the aortic cusps.
• Localised basal AML thickening – suboartic bump.
ROLDAN et al, Aortic root disease and valve disease assosciated with
Ankylosing spondylitis.
JACC 1998;32(5):1397:404.
Behcet’s syndrome
• Anuerysmal changes with redundant coronary cusp
motion.
• Vegetation like mobile lesions.
• Echo free spaces mimicking abscess pockets.
• Poor prognosis after AVR –valve dehiscence.
Han JK et al ,Bechcet’s disease as a frequently unrecognised cause of AR
suggestive and misleading echocardiographic findings.
J Am Soc Echocardiography.2009;22(11):1269-74.
AR due to LVAD
• Commissural fusion
• Typically diastolic or continuous.
• Only systole.
Mudd Jet al, Fusion of aortic valve commisssures in patients supported by a continous
Axial flow left ventricular assist devices.
J Heart Lung Transplantation.2008;27(12):1269-74.
El Khoury G, et al Functional classification of aortic
root/valve abnormalities and their correlation with etiologies and
surgical procedures.
Curr Opin Cardiol. 2005;20:115–121.
Carpentier’s classification
A. Anterior aortic cusp flail
B.Partial cusp prolapse with
mid cusp bending
C.Whole cusp prolapse
D.Free edge fenestration
TYPE II AR
Echocardiographic Prediction of “Repairability”
• 1.Unless severely calcified, most type 1 and 2 AR lesions were
considered as “repairable”, i.e. amenable to some form of
conservative surgery, including valve sparing surgery, cusp
repair, or a combination thereof.
• 2.In moderately calcified valves (grade 3), the localization of the
calcifications was taken into account. (calcifications confined to
the free margins, aortic repair was considered to be feasible).
• 3.Calcifications involving the body of the cusp - nonrepairable.
• 4.Finally, type 3 lesions were a priori considered as
nonrepairable.
ACC/AHA2014 VHD Guidelines
• Acute severe AR caused by aortic dissection is a surgical
emergency that requires particularly prompt identification and
management.
• The sensitivity and specificity of TTE for diagnosis of aortic
dissection are only 60% to 80%, whereas TEE has a sensitivity
of 98% to 100% and a specificity of 95% to 100%.
• CT imaging - very accurate, rapid approach to diagnosis at many
centers.
• CMR imaging - chronic aortic disease but is rarely used in
unstable patients with suspected dissection.
• Angiography should be considered only when the diagnosis
cannot be determined by noninvasive imaging and when patients
have suspected or known CAD, especially those with previous
CABG.
Acute AR
• 1. M MODE
• 2.COLOR M MODE
• 3.2D ECHO
• 4.COLOR DOPPLER--- JET WIDTH ,JET AREA,VENA
CONTRACTA WIDTH
• 5.PULSED WAVE DOPPLER METHODS – PISA,Volumetric
methods - RV,RF,ROA
• 6.CW DOPPLER
• 7.LV size and function
• 8.LA size
Establishing a diagnosis of AR
• Visualizing the aortic valve –anatomic condition predisposing to
development of AR can be known.
• Doppler imaging will be the most important and sometimes the
only clue to diagnosis(when valve appears normal).
• Jet of AR can be recorded with pulsed, continuous wave or Color
flow doppler imaging(highly sensitive,to be used as
complementary in evaluation).
M mode
• As the aortic jet cascades across the anterior mitral leaflet, it
creates a high frequency fluttering.
• Rapid sampling rate of M mode echo needed for detection.
• One of the earliest examples of use of M mode echocardiography
to indirectly assess valve disease.
• In Acute AR, premature closure of the mitral valve due to
rapidly increasing LV diastolic pressure.
• Hyperdynamic IVS motion due to excessive volume overload
on LV due to chronic AR. – exaggeration of normal diastolic
septal dip, increase in amplitude of septal motion compared to
posterior wall.
Color M mode
Two dimensional imaging
• 1.Abnormal mitral valve motion due to impingement on the
anterior leaflet by a posteriorly directed aortic regurgitation jet –
deformation of leaflet during diastole.
• 2.Dilation of the sinotubular junction – loss of the geometry of
aortic leaflet coaptation – jet arises centrally.
• 3.Causes of acute AR – IE can be identified.
• 4.Paravalvular abscess leading to acute AR.
• 5.Aortic dissection causing AR can be detected.
• 6.LV response to volume overload - dilation of LV –spherical
shape.
• 7.LV mass increases.
• 8.Hyperdynamic IVS motion.
Reverse doming
• When AR is directed at the anterior mitral leaflet,an
abnormal diastolic curved contour with concavity facing
the interventricular septum may occur;referred to as
reverse doming(as the concavity is opposite to that seen in
rheumatic mitral stenosis.
C.M.Otto,Textbook of clinical echocardiography,4th ed.
Doppler imaging
• Specific diagnosis of AR requires doppler imaging(even in cases of
severe AR the 2D imaging can be normal).
• The jet of AR can be recorded with PW,CW or CFD imaging.
• All three methods are highly sensitive in detection of AR.
Pulsed wave doppler
• As AR velocity is high,aliasing occurs inevitably.
• Highly sensitive.
• Multiple views required sometimes.
• False positive –MS, prosthetic mitral valve.
Continous wave doppler
• Because of high velocity of AR jet.
• Differentiates AR from MS.
• Density of the jet – a qualitative indication of the volume of
regurgitation can also be assessed.(density is a function of
number of RBC,increases with increase in regurgitant volume).
• Velocity of the regurgitant jet.
• Rate of deceleration of retrograde flow.
Color flow mapping
• Most commonly used one to assess the severity.
• Sensitivity of greater than 95% and a specificity of nearly
100% for establishing the diagnosis.
• Prevalence of trivial or mild regurgitation increases with age.
• Among normal subjects <40 yrs of age, AR is rare,occuring in less
than 1%.in older people(>60yrs)it is 10-20%.more common in
very elderly(>80yrs).
• Jet persists throughout diastole usually and is useful in estimating
the severity.
• False negative rates- high heart rate – decreased diastole.-
continous wave doppler is useful.
Assessing the severity
Nonquantitative approach
• Diastolic flow reversal in the descending aorta.
• Retrograde velocities can be recorded through out diastole.
• Dependent on vessel compliance, location of sample volume.
• Simple and practical marker of severity.
• Holodiastolic flow reversal in the descending aorta has
been correlated with severe AR.
PW doppler
• Mapping the AR jet -first approach in estimating severity using
doppler imaging.
• Jet detected proximal to aortic valve,gradually withdrawn
towards the apex to track the length of the regurgitation jet.
• Limitation –assumption of centrally directed jet,and cane be
tracked towards the apex,eccentric jet –underestimated.
CW doppler
• The simplest approach is the comparison of the density or
darkness of the envelope of the antegrade aortic flow and the
regurgitant jet.
• The larger the regurgitant volume,the darker the regurgitant jet is
on CW doppler.
• Shape of the jet
• Highest velocity in early diastole – 4-6m/sec.
• Mild AR- jet shape is flat.- compliant LV allows slow and modest
increase in LV pressure and aortic diastolic pressure is
maintained.
• Severe AR – steeper slope - increasing LV pressure and more
rapidly decreasing aortic pressure leads to rapid deceleration of
the regurgitant jet velocity.
Slope of AR ,PHT
• The deceleration of jet velocity can be described as either
the slope or the pressure half time of the jet.
• A pressure half time less than 250 msec or a slope
greater than 400cm/sec2 is an indicator of severe AR.
• Affected by aortic compliance,blood pressure,LV size,
compliance of LV.
Slope(cm/sec2) PHT(msec) DT (msec)
Mild <250 >500 >1800
Moderate 250-400 250-500 800-1800
Severe >400 <250(200) <800
Labovitz et al compared both PHT and the slope with the gold standard angiography,
and found that slope correlated well with angiographic findings than PHT .
Circulation 1983:68:229.
Estimating the severity of AR
• The size of regurgitant jet within the LV.
• The extent of regurgitant jet within the LV.
• The effective regurgitant orifice area.
• Volume of regurgitant flow
• Fraction of regurgitant flow
• Distinct but interrelated,measures of severity.
• Effective regurgitant orifice area – most imp hemodynamic
parameter – quite challenging to derive in pts with AR.
• Length of the jet conveys unreliable information about the
severity.
Length of the AR jet
1+ Localised to just below the valve
2+ Flow disturbance extends upto the mitral valve
3+ Upto the papillary muscle
4+ Beyond the papillary muscle
Height of AR jet
• From parasternal long axis view – the height of the jet just below
the valve can be measured using electronic calipers.
• Dimension expressed as the percentage of LVOT dimension to
provide an estimate of severity.
Jet height/outflow tract dimension ratio.
• Greater the percentage – the more severe the regurgitation.
• A jet that occupies more than 60% of the LVOT(either height or
area)usually indicates severe AR.
• Short axis view at the level of great arteries – area of jet compared
to aortic orifice.
Jet Height/LVOT height (PL ax)
1+ 1-24%
2+ 25-46%
3+ 47-64%
4+ >65%
limitations
• Eccentric jets cannot be assessed the severity.
• No one image plane conveys complete information about its
shape and extent (three dimensional).
• Changes in gain, color scale, transducer frequency,wall filters will
affect the jet appearance, independent of severity.
• Width of aortic regurgitation jet is often greater from an apical
view (lateral resolution) compared to that of PLax
(axialresolution).
• Image quality is better in PLax than in apical view.
• Regurgitant orifice area of chronic AR decreases during diastole.
Jet area
• In PSax view
• Using color doppler
• Compared to LVOT area
1+ 0-3%
2+ 4-24%
3+ 25-59%
4+ >60%
Vena contracta
• <0.3cm mild
• 0.3-0.6 – moderate
• >0.6 - severe
PISA
• Technically not possible to visualize the isovelocity shells that
converge on the AR orifice.
Area =2r2
Flow= Area * Va
EROA = FLOW/V max
RV= ERO* VTI
Volumetric method
• The four valves in the heart are in series,the flow or stroke
volume at any point must be equal.
• In AR,the total stroke volume through the aortic valve in systole
must equal the forward stroke volume(other nonregurgitant
valve) plus the regurgitant volume.
• Stroke volume = product of CSA x TVI.
• Forward stroke volume at mitral vlave ( in competent)
• Total stroke volume at aortic valve – forward + regurgitant.
• Regurgitant volume = aortic – mitral.
• Validated.
• Regurgitant fraction = RV/SV *100
Regurgitant volume = AV stroke volume –MV
stroke volume
• Regurgitant volume greater than 60 ml indicates severe AR.
• Regurgitant fraction greater than 50%
Regurgitant fraction
• Xie et al – simple method for calculation.
• Only mitral and aortic VTI are required.
• RF = {1 – (1/0.77)}  [VTI mitral /VTI aortic]
Conservation of
momentum(continuity equation)
• Momentum – product of volumetric flow rate and velocity is
constant at any point in the regurgitant jet.
• As jet expands in diastole to include a greater volume of
blood,the velocity must decrease proportionately.
Momentum = Flow (Q)  v
Momentum = Area V²
ROA = Jet area  V² jet /v² ROA
Forward and reverse flow by PWDoppler
• Sample volume placed in the descending aorta.
• Ratio of forward and reverse flows are calculated.
• Aortic cross section remains constant throughout.
• RF = VTI diastole /VTI systole  (Dd/Ds)²
• Touche et al, correction factor for pulsatile diameter
changes that are normally seen during systole and diastole
– value of 0.94.
Finally..
• No single measure of regurgitation severity is sufficient for
clinical decision making
• Each provides clues to severity
• Imperfect,cannot be relied in isolation.
Acute vs chronic AR
• Response of the LV
• LV diastolic pressure increases rapidly in acute AR.
• Shape of the regurgitant jet
• Rate of deceleration of flow are important for distinguish
Effect of Aortic Regurgitation
• Aortic Regurgitation imposes a volume overload on the left
ventricle.
• A reduced forward stroke volume.
Assessing the LV
• EDLV dimension
• ESLV dimension
• EF
• FS
• End systolic wall stress
• LV systolic dysfunction secondary to AR –indication for
surgical intervention.
• ESD >4.5 cm –early manifestation of decompensation -
indication for surgical intervention.
Accepted cut off values for non significant LV
dimensions in chronic severe AR
• LVEDD <56 mm
• LVEDVI <82ml/m2
• LVESD <40mm
• LVESVI < 30ml/m2
EAE guidelines for valvular regurgitation,2012
In asymptomatic patients with AR
• LVEF  50%.
• ESD > 50 mm
• ESD /BSA >25mm/m²
• LVESVI  45ml/m²
Newer imaging modalities
• Tissue doppler peak systolic velocity (medial annulus)
<9.5 cm/sec is a good indicator of poor exercise response.
• Strain rate imaging is also a sensitive tool in detecting the
spectrum of changes in radial and longitudinal
deformation in asymptomatic or minimally symptomatic
patients with AR.
• Data supporting the incremental value of tissue doppler
and strain rate imaging for detecting the subclinical LV
dysfunction is scarce.
Guiffin et al ,Am Heart J 1991;122:1049-56.
Vinereanu D et al,Heart 2001;85:30-6.
Marcinak et al,Eur Jechocardiography 2009;10:112-9
ECHOCARDIOGRAM IN AORTIC REGURGITATION (AR)
ECHOCARDIOGRAM IN AORTIC REGURGITATION (AR)
ECHOCARDIOGRAM IN AORTIC REGURGITATION (AR)
ECHOCARDIOGRAM IN AORTIC REGURGITATION (AR)
ECHOCARDIOGRAM IN AORTIC REGURGITATION (AR)
ECHOCARDIOGRAM IN AORTIC REGURGITATION (AR)

ECHOCARDIOGRAM IN AORTIC REGURGITATION (AR)

  • 1.
  • 2.
    Introduction • Echocardiographic approachto the patient with AR includes not only the evaluation of the presence of regurgitation but also the etiology and severity of regurgitation along with the effects of the regurgitant lesion on ventricular size and function.
  • 3.
    Aortic regurgitation Congenital Bicuspid aortic valve QAV, unicuspid. pentacuspid Subaortic membrane Cuspal Prolapse- VSD Acquired Valvular Acute IE Trauma Aorticdissection Chronic Rheumatic Sclerotic aortic valve Aortic root involvement HTN Marfans syndrome Ankylosing spondyltis
  • 4.
    Rheumatic AR • Acuterheumatic fever can cause mitral regurgitation and less commonly mild to moderate AR and focal nodules on valve leaflets. • Cusp fibrosis and calcification can occur resulting in varying degrees of AR. • AS with+/- AR is more common and results from commisural fusion –CRHD. • Aortic valve involement in the absence of rheumatic mitral valve disease is uncommon.
  • 5.
    Calcific /Degenerative AR •Atherosclerotic degeneration. • Myxomatous degeneration.
  • 6.
    Bicuspid aortopathy • MCcongenital cardiac defect • Prevalence between 0.5% -2%. • Systolic doming seen in Plax. • Psax at great arteries level in systole. • Heavy calcification difficult to identify BAV. • Thoracic aneurysms and coarctation can be assosciated. • Increased risk of dissection.
  • 7.
    Ankylosing spondylitis • Thickeningof the aortic wall. • Thickening of the aortic cusps. • Localised basal AML thickening – suboartic bump. ROLDAN et al, Aortic root disease and valve disease assosciated with Ankylosing spondylitis. JACC 1998;32(5):1397:404.
  • 9.
    Behcet’s syndrome • Anuerysmalchanges with redundant coronary cusp motion. • Vegetation like mobile lesions. • Echo free spaces mimicking abscess pockets. • Poor prognosis after AVR –valve dehiscence. Han JK et al ,Bechcet’s disease as a frequently unrecognised cause of AR suggestive and misleading echocardiographic findings. J Am Soc Echocardiography.2009;22(11):1269-74.
  • 11.
    AR due toLVAD • Commissural fusion • Typically diastolic or continuous. • Only systole. Mudd Jet al, Fusion of aortic valve commisssures in patients supported by a continous Axial flow left ventricular assist devices. J Heart Lung Transplantation.2008;27(12):1269-74.
  • 12.
    El Khoury G,et al Functional classification of aortic root/valve abnormalities and their correlation with etiologies and surgical procedures. Curr Opin Cardiol. 2005;20:115–121.
  • 13.
  • 14.
    A. Anterior aorticcusp flail B.Partial cusp prolapse with mid cusp bending C.Whole cusp prolapse D.Free edge fenestration TYPE II AR
  • 16.
    Echocardiographic Prediction of“Repairability” • 1.Unless severely calcified, most type 1 and 2 AR lesions were considered as “repairable”, i.e. amenable to some form of conservative surgery, including valve sparing surgery, cusp repair, or a combination thereof. • 2.In moderately calcified valves (grade 3), the localization of the calcifications was taken into account. (calcifications confined to the free margins, aortic repair was considered to be feasible). • 3.Calcifications involving the body of the cusp - nonrepairable. • 4.Finally, type 3 lesions were a priori considered as nonrepairable.
  • 18.
  • 19.
    • Acute severeAR caused by aortic dissection is a surgical emergency that requires particularly prompt identification and management. • The sensitivity and specificity of TTE for diagnosis of aortic dissection are only 60% to 80%, whereas TEE has a sensitivity of 98% to 100% and a specificity of 95% to 100%. • CT imaging - very accurate, rapid approach to diagnosis at many centers. • CMR imaging - chronic aortic disease but is rarely used in unstable patients with suspected dissection. • Angiography should be considered only when the diagnosis cannot be determined by noninvasive imaging and when patients have suspected or known CAD, especially those with previous CABG. Acute AR
  • 22.
    • 1. MMODE • 2.COLOR M MODE • 3.2D ECHO • 4.COLOR DOPPLER--- JET WIDTH ,JET AREA,VENA CONTRACTA WIDTH • 5.PULSED WAVE DOPPLER METHODS – PISA,Volumetric methods - RV,RF,ROA • 6.CW DOPPLER • 7.LV size and function • 8.LA size
  • 23.
    Establishing a diagnosisof AR • Visualizing the aortic valve –anatomic condition predisposing to development of AR can be known. • Doppler imaging will be the most important and sometimes the only clue to diagnosis(when valve appears normal). • Jet of AR can be recorded with pulsed, continuous wave or Color flow doppler imaging(highly sensitive,to be used as complementary in evaluation).
  • 24.
    M mode • Asthe aortic jet cascades across the anterior mitral leaflet, it creates a high frequency fluttering. • Rapid sampling rate of M mode echo needed for detection. • One of the earliest examples of use of M mode echocardiography to indirectly assess valve disease. • In Acute AR, premature closure of the mitral valve due to rapidly increasing LV diastolic pressure. • Hyperdynamic IVS motion due to excessive volume overload on LV due to chronic AR. – exaggeration of normal diastolic septal dip, increase in amplitude of septal motion compared to posterior wall.
  • 26.
  • 27.
    Two dimensional imaging •1.Abnormal mitral valve motion due to impingement on the anterior leaflet by a posteriorly directed aortic regurgitation jet – deformation of leaflet during diastole. • 2.Dilation of the sinotubular junction – loss of the geometry of aortic leaflet coaptation – jet arises centrally. • 3.Causes of acute AR – IE can be identified. • 4.Paravalvular abscess leading to acute AR. • 5.Aortic dissection causing AR can be detected. • 6.LV response to volume overload - dilation of LV –spherical shape. • 7.LV mass increases. • 8.Hyperdynamic IVS motion.
  • 32.
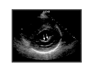
    Reverse doming • WhenAR is directed at the anterior mitral leaflet,an abnormal diastolic curved contour with concavity facing the interventricular septum may occur;referred to as reverse doming(as the concavity is opposite to that seen in rheumatic mitral stenosis. C.M.Otto,Textbook of clinical echocardiography,4th ed.
  • 34.
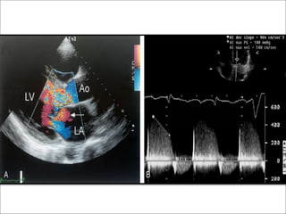
    Doppler imaging • Specificdiagnosis of AR requires doppler imaging(even in cases of severe AR the 2D imaging can be normal). • The jet of AR can be recorded with PW,CW or CFD imaging. • All three methods are highly sensitive in detection of AR.
  • 35.
    Pulsed wave doppler •As AR velocity is high,aliasing occurs inevitably. • Highly sensitive. • Multiple views required sometimes. • False positive –MS, prosthetic mitral valve.
  • 36.
    Continous wave doppler •Because of high velocity of AR jet. • Differentiates AR from MS. • Density of the jet – a qualitative indication of the volume of regurgitation can also be assessed.(density is a function of number of RBC,increases with increase in regurgitant volume). • Velocity of the regurgitant jet. • Rate of deceleration of retrograde flow.
  • 37.
    Color flow mapping •Most commonly used one to assess the severity. • Sensitivity of greater than 95% and a specificity of nearly 100% for establishing the diagnosis. • Prevalence of trivial or mild regurgitation increases with age. • Among normal subjects <40 yrs of age, AR is rare,occuring in less than 1%.in older people(>60yrs)it is 10-20%.more common in very elderly(>80yrs). • Jet persists throughout diastole usually and is useful in estimating the severity. • False negative rates- high heart rate – decreased diastole.- continous wave doppler is useful.
  • 38.
    Assessing the severity Nonquantitativeapproach • Diastolic flow reversal in the descending aorta. • Retrograde velocities can be recorded through out diastole. • Dependent on vessel compliance, location of sample volume. • Simple and practical marker of severity. • Holodiastolic flow reversal in the descending aorta has been correlated with severe AR.
  • 40.
    PW doppler • Mappingthe AR jet -first approach in estimating severity using doppler imaging. • Jet detected proximal to aortic valve,gradually withdrawn towards the apex to track the length of the regurgitation jet. • Limitation –assumption of centrally directed jet,and cane be tracked towards the apex,eccentric jet –underestimated.
  • 41.
    CW doppler • Thesimplest approach is the comparison of the density or darkness of the envelope of the antegrade aortic flow and the regurgitant jet. • The larger the regurgitant volume,the darker the regurgitant jet is on CW doppler. • Shape of the jet • Highest velocity in early diastole – 4-6m/sec. • Mild AR- jet shape is flat.- compliant LV allows slow and modest increase in LV pressure and aortic diastolic pressure is maintained. • Severe AR – steeper slope - increasing LV pressure and more rapidly decreasing aortic pressure leads to rapid deceleration of the regurgitant jet velocity.
  • 42.
    Slope of AR,PHT • The deceleration of jet velocity can be described as either the slope or the pressure half time of the jet. • A pressure half time less than 250 msec or a slope greater than 400cm/sec2 is an indicator of severe AR. • Affected by aortic compliance,blood pressure,LV size, compliance of LV.
  • 43.
    Slope(cm/sec2) PHT(msec) DT(msec) Mild <250 >500 >1800 Moderate 250-400 250-500 800-1800 Severe >400 <250(200) <800 Labovitz et al compared both PHT and the slope with the gold standard angiography, and found that slope correlated well with angiographic findings than PHT . Circulation 1983:68:229.
  • 45.
    Estimating the severityof AR • The size of regurgitant jet within the LV. • The extent of regurgitant jet within the LV. • The effective regurgitant orifice area. • Volume of regurgitant flow • Fraction of regurgitant flow • Distinct but interrelated,measures of severity. • Effective regurgitant orifice area – most imp hemodynamic parameter – quite challenging to derive in pts with AR. • Length of the jet conveys unreliable information about the severity.
  • 46.
  • 47.
    1+ Localised tojust below the valve 2+ Flow disturbance extends upto the mitral valve 3+ Upto the papillary muscle 4+ Beyond the papillary muscle
  • 48.
    Height of ARjet • From parasternal long axis view – the height of the jet just below the valve can be measured using electronic calipers. • Dimension expressed as the percentage of LVOT dimension to provide an estimate of severity. Jet height/outflow tract dimension ratio. • Greater the percentage – the more severe the regurgitation. • A jet that occupies more than 60% of the LVOT(either height or area)usually indicates severe AR. • Short axis view at the level of great arteries – area of jet compared to aortic orifice.
  • 49.
    Jet Height/LVOT height(PL ax) 1+ 1-24% 2+ 25-46% 3+ 47-64% 4+ >65%
  • 54.
    limitations • Eccentric jetscannot be assessed the severity. • No one image plane conveys complete information about its shape and extent (three dimensional). • Changes in gain, color scale, transducer frequency,wall filters will affect the jet appearance, independent of severity. • Width of aortic regurgitation jet is often greater from an apical view (lateral resolution) compared to that of PLax (axialresolution). • Image quality is better in PLax than in apical view. • Regurgitant orifice area of chronic AR decreases during diastole.
  • 55.
    Jet area • InPSax view • Using color doppler • Compared to LVOT area 1+ 0-3% 2+ 4-24% 3+ 25-59% 4+ >60%
  • 56.
    Vena contracta • <0.3cmmild • 0.3-0.6 – moderate • >0.6 - severe
  • 59.
    PISA • Technically notpossible to visualize the isovelocity shells that converge on the AR orifice.
  • 61.
    Area =2r2 Flow= Area* Va EROA = FLOW/V max RV= ERO* VTI
  • 63.
    Volumetric method • Thefour valves in the heart are in series,the flow or stroke volume at any point must be equal. • In AR,the total stroke volume through the aortic valve in systole must equal the forward stroke volume(other nonregurgitant valve) plus the regurgitant volume. • Stroke volume = product of CSA x TVI. • Forward stroke volume at mitral vlave ( in competent) • Total stroke volume at aortic valve – forward + regurgitant. • Regurgitant volume = aortic – mitral. • Validated. • Regurgitant fraction = RV/SV *100
  • 64.
    Regurgitant volume =AV stroke volume –MV stroke volume
  • 65.
    • Regurgitant volumegreater than 60 ml indicates severe AR. • Regurgitant fraction greater than 50%
  • 66.
    Regurgitant fraction • Xieet al – simple method for calculation. • Only mitral and aortic VTI are required. • RF = {1 – (1/0.77)}  [VTI mitral /VTI aortic]
  • 67.
    Conservation of momentum(continuity equation) •Momentum – product of volumetric flow rate and velocity is constant at any point in the regurgitant jet. • As jet expands in diastole to include a greater volume of blood,the velocity must decrease proportionately. Momentum = Flow (Q)  v Momentum = Area V² ROA = Jet area  V² jet /v² ROA
  • 68.
    Forward and reverseflow by PWDoppler • Sample volume placed in the descending aorta. • Ratio of forward and reverse flows are calculated. • Aortic cross section remains constant throughout. • RF = VTI diastole /VTI systole  (Dd/Ds)² • Touche et al, correction factor for pulsatile diameter changes that are normally seen during systole and diastole – value of 0.94.
  • 70.
    Finally.. • No singlemeasure of regurgitation severity is sufficient for clinical decision making • Each provides clues to severity • Imperfect,cannot be relied in isolation.
  • 71.
    Acute vs chronicAR • Response of the LV • LV diastolic pressure increases rapidly in acute AR. • Shape of the regurgitant jet • Rate of deceleration of flow are important for distinguish
  • 73.
    Effect of AorticRegurgitation • Aortic Regurgitation imposes a volume overload on the left ventricle. • A reduced forward stroke volume.
  • 74.
    Assessing the LV •EDLV dimension • ESLV dimension • EF • FS • End systolic wall stress • LV systolic dysfunction secondary to AR –indication for surgical intervention. • ESD >4.5 cm –early manifestation of decompensation - indication for surgical intervention.
  • 75.
    Accepted cut offvalues for non significant LV dimensions in chronic severe AR • LVEDD <56 mm • LVEDVI <82ml/m2 • LVESD <40mm • LVESVI < 30ml/m2 EAE guidelines for valvular regurgitation,2012
  • 76.
    In asymptomatic patientswith AR • LVEF  50%. • ESD > 50 mm • ESD /BSA >25mm/m² • LVESVI  45ml/m²
  • 77.
    Newer imaging modalities •Tissue doppler peak systolic velocity (medial annulus) <9.5 cm/sec is a good indicator of poor exercise response. • Strain rate imaging is also a sensitive tool in detecting the spectrum of changes in radial and longitudinal deformation in asymptomatic or minimally symptomatic patients with AR. • Data supporting the incremental value of tissue doppler and strain rate imaging for detecting the subclinical LV dysfunction is scarce. Guiffin et al ,Am Heart J 1991;122:1049-56. Vinereanu D et al,Heart 2001;85:30-6. Marcinak et al,Eur Jechocardiography 2009;10:112-9