NORMAL VARIANTS OF RIGHT
AND LEFT HEART STRUCTURES
overview
 INTRODUCTION
 NORMAL ANATOMIC VARIANTS IN RIGHT
ATRIUM
 NORMAL ANATOMIC VARIANTS IN LEFT ATRIUM
 NORMAL ANATOMIC VARIANTS IN LEFT
VENTRICLE
 NORMAL ANATOMIC VARIANTS IN AORTIC
VALVE
 NORMAL ANATOMIC VARIANTS IN RIGHT
VENTRICLE
 Anatomic variants are ubiquitous, may involve any
chamber or valve structure, and are potentially
confused with pathologic structures.
 Recognition of such normal variants depends on
image quality and technique as well as experience.
 The use of multiple imaging windows and
transducers of different frequency are additional
strategies to ensure an accurate diagnosis.
 Both novice and experienced echocardiographers
may call normal structures abnormal.
 These normal variants can affect the intraoperative
diagnosis and lead to inappropriate surgery, which
can have a devastating impact on outcome.
 Careful evaluation and a consideration of the
common variants can help limit problems related to
misdiagnosis.
Normal Variants and Benign Conditions
Often Misinterpreted as Pathologic
 Right atrium
Chiari network
Eustachian valve
Crista terminalis
Catheters/pacemaker leads
Lipomatous hypertrophy of interatrial septum
Pectinate muscles
Fatty material (surrounding the tricuspid anulus)
 Left atrium
Suture line following transplant
Fossa ovalis
Calcified mitral anulus
Coronary sinus
Ridge between LUPV and LAA
Lipomatous hypertrophy of interatrial septum
Pectinate muscles
Transverse sinus
 Right ventricle
Moderator band
Muscle bundles/trabeculations
Catheters and pacemaker leads
 Left ventricle
False chords
Papillary muscles
LV trabeculations
NORMAL ANATOMIC VARIANTS IN
RIGHT ATRIUM
 Anatomic variants are particularly common in the
right atrium .
 right sinus valve of embryonic sinus venosus
normally regresses forming the crista terminalis and
the Eustachian valve.
 Such regression process is highly variable.
 Incomplete regression results a spectrum of vestiges,
such as Chiari network, Eustachian valve of inferior
vena cava , Thebesian valve of the coronary sinus,
and a prominent crista terminalis.
Eustachian Valve
 The eustachian valve is often misdiagnosed as an
intraatrial thrombus.
 The eustachian valve (called a Chiari network when
fenestrated) is the persistent portions of embryologic
valves of sinus venosus, which is important in utero
to direct inferior vena cava blood flow across the
fossa ovalis.
 The filamentous structures can be differentiated from
thrombus by their characteristic "insertion" into the
atrial wall.
 In echo, leaf-like linear structure is seen at the
junction of IVC and RA.
 RV inflow view, subxiphoid view, and TEE is
diagnostic because such windows can visualize both
Eustachian valve and IVC in the same imaging plane.
 Occasionally, prominent Eustachian valve appears to
divide RA into two chambers making apparent cor
triatriatum dexter .
 Such condition is hemodynamically insignificant in
most adults because the septation by Eustachian
valve is generally incomplete.
Chiari network
 Chiari network is a thin, web-like fenestrated
membrane that attaches along the ridge connecting
vena cavae and interatrial septum.
 It is found in 2-3% of normal heart at autopsy.
 In echo, Chiari network appears as free floating
curvilinear structure that waves with blood flow in RA.
 Chiari network is thought to a variant of Eustachian
valve.
 A part of Chiari network arises from the orifice of IVC
like Eustachian valve, but Chiari network is much
more mobile and thinner.
 Chiari network may be confused for tricuspid
vegetation, flail tricuspid valve, free RA thrombus,
and pedunculated tumors.
 Careful tracing to identify its attachment to the orifice
of IVC makes a differential diagnosis.
 Chiari network has little clinical significance, but it
might cause trouble during percutaneous procedures.
 cases of entrapment of right-heart catheters, or
entanglement and herniation into the LA by atrial
septal defect occluding device have been reported.
Crista Terminalis
 Crista terminalis is a well-defined fibromuscular ridge
separating a smooth sinus venarum and trabeculated
RA.
 Externally, it corresponds to the sulcus terminalis,
and internally, it extends from SVC to IVC along the
lateral RA wall.
 Embryologically, crista terminalis develops from the
septum spurium, which corresponds to the fused
boundary between embryonic sinus venosus and RA
proper.
 Prominent crista terminalis may be confused for RA
tumor on TTE.
 Echo findings s/o prominent crista terminalis instead
of tumor are as following:
 a nodular mass of similar echogenicity with adjacent
myocardium;
 the location on posterolateral wall of RA near the
SVC, which corresponds to the course of crista
terminalis connecting the SVC and IVC;
 the phasic change in size becoming thicker or larger
during atrial systole.
 Bicaval view of TEE best visualizes the crista
terminalis.
Pacer wire
 Thrombi in the RA may mimic anatomic variants .
Clinical settings would help a diagnosis.
 Migrating free thrombi appears highly mobile snake-
like structure mimicking Chiari network.
 migrating thrombi is thicker than Chiari network, and
the end of thrombi is not fixed around the IVC orifice.
 RA tumors are needed to be differentiated from
anatomic variants.
 myxoma appears as a globular or spherical mass
with friable surface and heterogenous internal
echogenicity.
 Myxomas typically arise from the interatrial septum
around the fossa ovalis.
 Metastatic tumors including hepatoma, RCC, &
sarcoma from pelvic organs reaching RA through IVC
can be seen in echo.
 Careful tracing the origin of mass will give a clue for
differential diagnosis from benign anatomic variants.
Atrial Septum Variants: Atrial
Septal Aneurysm
 Atrial septal aneurysm (ASA) is found in 1% of adults
at autopsy.
 An excursion of > 10 mm beyond the plane of
interatrial septum is recognized as ASA,although
such cut-off value is arbitrary.
 ASA may involve only the region of fossa ovalis, or
the entire interatrial septum.
 Frequent a/w ASD, PFO, MVP, Marfan syndrome
suggests that ASA is congenital malformation with
genetic background.
 In echo, redundant IAS bulges beyond the atrial
septal plane . Phasic oscillation along the cardiac or
respiratory cycle is common.
 Prominent ASA may appear as cystic mass in long
axis views, but diagnosis is rarely difficult particularly
with the aid of TEE.
 ASA is known to be a/w atrial arrhythmia & ischemic
stroke.
 ASA is frequently accompanied by PFO causing
embolic events, and ASA itself was known as an
independent predictor of cryptogenic stroke.
Lipomatous Hypertrophy of
the Atrial Septum
 lipomatous hypertrophy refers the condition of
prominent thickening of interatrial septum, usually > 2
cm, caused by excessive fatty infiltration.
 it actually represents the fat-filled extracardiac
spaces which is not encapsulated unlike true lipoma.
 Echocardiographic diagnosis is made when a marked
atrial septal thickening > 15-20 mm in the absence of
any other explanation for the abnormal thickening.
 region of fossa ovalis is typically spared, which
makes a characteristic dumbbell- or hour glass-
shaped lesion.
 Subcostal window can be best used . ME bicaval
view differentiates lipomatous hypertrophy from other
structures.
 superior and inferior "mass" is corresponds to the fat-
filled groove between atria (Waterston's groove) and
ventricles (inferior pyramidal space), respectively.
 Patients with lipomatous hypertrophy tend to have
heavy pericardial and periaortic fat infiltration.
 Lesser degree of atrial septal thickening can occur in
amyloidosis, tumors, and a surgical patch covering
repaired atrial septal defect.
 It is generally benign condition & asymptomatic.
 However, the blood flow obstruction of SVC and
coronary sinus, intra-atrial conduction disturbance,
supraventricular arrhythmia, syncope, and even
sudden death had been reported.
NORMAL ANATOMIC VARIANTS IN
LEFT ATRIUM
 Dilated coronary sinus (persistent L superior vena
cava)
 Coumadin Ridge-Raphe between L superior
pulmonary vein and LAA
 Atrial suture line (transplant)
 Beam-width artifact from calcified aortic valve, AV
prosthesis, etc.
 A dilated coronary sinus can mimic an LA mass in the
parasternal long axis view, as can a prominent
descending aorta from the apical view.
 A left arm injection of agitated saline will define a
persistent left superior vena cava draining into the
coronary sinus, which is the m.c structural anomaly
a/w dilatation of coronary sinus.
Dilated coronary sinus
Coumadin Ridge
 A prominent muscle ridge is formed between the LAA
and the atrial insertion of the LUPV is referred to as
the coumadin ridge or "Q-tip" sign.
 This prominence is often misdiagnosed as thrombus .
 lack of mobility and characteristic location, best seen
in the ME two-chamber view, help distinguish it from
an abnormal structure.
NORMAL ANATOMIC VARIANTS IN
LEFT VENTRICLE
 False tendon
 Papillary muscles
 Left ventricular web (aberrant chordae)
 Prominent mitral annular calcification
False tendons
 false tendons are fibromuscular structures crossing
the LV cavity.
 LV bands may pass between papillary muscles, from
papillary muscle to the ventricular septum, between
free walls, or from free wall to interventricular septum,
in contrary to true chordae tendineae connecting
papillary muscle and mitral valve leaflets.
 False tendon is found up to 55% in normal hearts by
autopsy .
 In echo, LV bands appear as string-like thin bands
passing LV cavity , which may be transverse,
longitudinal, or sagittal, and single or multiple.
 location, direction, length and thickness of LV bands
may vary depending on their embryonic origin of
inner cardiac muscle layer and contents.
 Muscular bands become shorter and thicker in
systole, and vice versa in diastole.
 Fibrous bands become straight and taut in diastole,
and vice versa in systole.
 Off-axis images demonstrating the overall length of
bands, normal LV structures on both ends, and
constant motion during cardiac cycle are the key
features.
 False tendon located near LV apex may be confused
for mural thrombus particularly in images of true LV
apex being not completely visualized.
Papillary muscles
 vary in shape, thickness, & location in LV wall.
 More than one belly is observed in up to 50% .
 Accessory papillary muscle may be confused for
pathologic structures such as LV thrombus or
papillary muscle tumors when it arises from an
unusual location.
 presence of LV band is strongly indicative of the
accessory papillary muscle instead of pathologic
entity.
 Normally contractile adjacent LV wall help to exclude
the mural thrombi.
 Papillary muscle variants in architecture and location
have peculiar clinical significance in hypertrophic
cardiomyopathy.
 Anterior displacement of hypertrophied papillary
muscle is known to accentuate the resting trans-LV
outflow tract pressure gradients.
Prominent mitral annular
calcification
NORMAL ANATOMIC
VARIANTS IN AORTIC VALVE
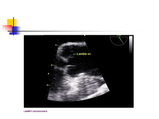
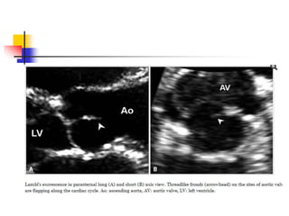
 Lambl’s excrescenses
Aortic Valve Mass: Lambl's
Excrescences
 Fine filamentous strands, Lambl excrescences, can
be seen originating from the aortic valve of elderly
patients.
 It is considered as a degenerative change on the
surface of leaflets due to mechanical wear and tear.
 Multiple adjacent excrescences may stick together
and grow up to large, complex form called "giant
Lambl's excrescence". Whether the excrescences
may serve as a nidus for bacterial growth or cause a
systemic embolism is controversial.
 In echo, it appears as very thin, delicate, lint-like mobile
threads arising from the free borders or ventricular
surfaces of aortic leaflets . Improving image quality
increases to find this lesion.
 significance of Lambl's excrescences lies in the
differential diagnosis from the vegetation of infective
endocarditis.
 It is challenging in most cases, and a diagnostic decision
making often depends on clinical settings.
Papillary fibroelastoma
 benign avascular tumor arising from the normal
endocardium,most frequently from valvular
endocardium.
 it may be a hamartoma developing in a degenerative
wear-and-tear process.
 Characteristic numerous gelatinous papillary fronds
of tumor surface consist of dense connective tissue
core covered by endothelium.
 In echo, a small mobile tumor with fine frond-like
surface attaches to the downstream side of the valve
by a small stalk .Surgical resection is needed as it
may cause a systemic embolism.
 It is challenging to differentiate a papillary
fibroelastoma from giant Lambl's excrescence, as
they are similar both echocardiographically and
pathologically.
Papillary fibroelastoma
vegetation
NORMAL ANATOMIC VARIANTS IN
RIGHT VENTRICLE
 Heavy trabeculation
 Moderator band
 Papillary muscles
 Swan-Ganz catheter or pacer wire
Heavy trabeculation
 Multiple trabeculation is a characteristic of RV.
 pattern of trabeculation is highly variable and
exaggeration of normal trabeculation might be
confused for cardiomyopathy.
 True pathologic hypertrabeculation occurring in
developmental arrest of RV myocardium is rare, and
it is often accompanied by other CHDs including
tricuspid valve anomaly, ASD or VSD, & LV non-
compaction.
Heavy trabeculation
prominent papillary muscle
Moderator band
 The moderator band of the right ventricle has been
misinterpreted as an intracardiac mass.
 In echo, moderator band is a thick echo-dense band-
like structure across the RV cavity and connects the
lower interventricular septum and the anterior
papillary muscle
 It is often best seen in the ME four-chamber view
Swan-Ganz catheter or pacer wire
Periaortic Echo-Free Space: Pericardial
Sinus vs. Periannular Abscess
 Free pericardial fluid distributed within the transverse
sinus and several recesses might be confused for a
periannular abscess in transthoracic and TEE .
 Diagnosis is particularly complicated in the febrile
patients of post-operative course because the tissue
edema and fluid collection due to inflammatory or
procedural causes mimic the true pathologic process.
Pericardial Echo-Free Space: Epicardial
Fat vs. Pericardial Effusion
 Epicardial adipose tissue often appears as echo-free
space mimicking pericardial effusion in echo.
 Most adipose tissue distributes in atrio-ventricular or
interventricular groove.
 Excessive fatty infiltration tends to occur in old,
obese, and diabetic patients, particularly in women.
 differentiation of adipose tissue from fluid is based on
echogenicity, texture, mobility, and location.
 With exception of loculated effusion, free pericardial
fluid accumulates on dependent region, usually
posterior of left in supine position.
 Anteriorly located echo-free space is likely to be
epicardial fat deposition rather than pericardial
effusion .
 Mobility of adjacent tissue is a clue to
differentiation.
 As adipose tissue is less mobile than pericardial fluid,
surrounding epicardial and pericardial layer move
less freely in case of fatty infiltration.
 adipose tissue is more echogenic and lobulated than
fluid with homogenous echogenicity.
 CT imaging can definitely differentiate epicardial
adipose tissue from fluid collection in complicated
case.
Pleural Effusion
 Pleural effusions of the left side of the chest can
mimic aortic dissection.
 In the descending aorta long-axis view, a pleural
effusion will parallel the course of the aorta and have
the appearance of a true lumen–false lumen
dissection.
 Changing to the descending aorta short-axis view
and identifying the characteristic triangular shape of a
left-sided pleural effusion easily confirms the
diagnosis of effusion versus dissection.
Thank you

Normal variants of heart structures

  • 1.
    NORMAL VARIANTS OFRIGHT AND LEFT HEART STRUCTURES
  • 2.
    overview  INTRODUCTION  NORMALANATOMIC VARIANTS IN RIGHT ATRIUM  NORMAL ANATOMIC VARIANTS IN LEFT ATRIUM  NORMAL ANATOMIC VARIANTS IN LEFT VENTRICLE  NORMAL ANATOMIC VARIANTS IN AORTIC VALVE  NORMAL ANATOMIC VARIANTS IN RIGHT VENTRICLE
  • 3.
     Anatomic variantsare ubiquitous, may involve any chamber or valve structure, and are potentially confused with pathologic structures.  Recognition of such normal variants depends on image quality and technique as well as experience.  The use of multiple imaging windows and transducers of different frequency are additional strategies to ensure an accurate diagnosis.
  • 4.
     Both noviceand experienced echocardiographers may call normal structures abnormal.  These normal variants can affect the intraoperative diagnosis and lead to inappropriate surgery, which can have a devastating impact on outcome.  Careful evaluation and a consideration of the common variants can help limit problems related to misdiagnosis.
  • 5.
    Normal Variants andBenign Conditions Often Misinterpreted as Pathologic  Right atrium Chiari network Eustachian valve Crista terminalis Catheters/pacemaker leads Lipomatous hypertrophy of interatrial septum Pectinate muscles Fatty material (surrounding the tricuspid anulus)
  • 6.
     Left atrium Sutureline following transplant Fossa ovalis Calcified mitral anulus Coronary sinus Ridge between LUPV and LAA Lipomatous hypertrophy of interatrial septum Pectinate muscles Transverse sinus
  • 7.
     Right ventricle Moderatorband Muscle bundles/trabeculations Catheters and pacemaker leads  Left ventricle False chords Papillary muscles LV trabeculations
  • 8.
    NORMAL ANATOMIC VARIANTSIN RIGHT ATRIUM  Anatomic variants are particularly common in the right atrium .  right sinus valve of embryonic sinus venosus normally regresses forming the crista terminalis and the Eustachian valve.  Such regression process is highly variable.  Incomplete regression results a spectrum of vestiges, such as Chiari network, Eustachian valve of inferior vena cava , Thebesian valve of the coronary sinus, and a prominent crista terminalis.
  • 9.
    Eustachian Valve  Theeustachian valve is often misdiagnosed as an intraatrial thrombus.  The eustachian valve (called a Chiari network when fenestrated) is the persistent portions of embryologic valves of sinus venosus, which is important in utero to direct inferior vena cava blood flow across the fossa ovalis.
  • 10.
     The filamentousstructures can be differentiated from thrombus by their characteristic "insertion" into the atrial wall.  In echo, leaf-like linear structure is seen at the junction of IVC and RA.  RV inflow view, subxiphoid view, and TEE is diagnostic because such windows can visualize both Eustachian valve and IVC in the same imaging plane.
  • 11.
     Occasionally, prominentEustachian valve appears to divide RA into two chambers making apparent cor triatriatum dexter .  Such condition is hemodynamically insignificant in most adults because the septation by Eustachian valve is generally incomplete.
  • 15.
    Chiari network  Chiarinetwork is a thin, web-like fenestrated membrane that attaches along the ridge connecting vena cavae and interatrial septum.  It is found in 2-3% of normal heart at autopsy.  In echo, Chiari network appears as free floating curvilinear structure that waves with blood flow in RA.  Chiari network is thought to a variant of Eustachian valve.  A part of Chiari network arises from the orifice of IVC like Eustachian valve, but Chiari network is much more mobile and thinner.
  • 16.
     Chiari networkmay be confused for tricuspid vegetation, flail tricuspid valve, free RA thrombus, and pedunculated tumors.  Careful tracing to identify its attachment to the orifice of IVC makes a differential diagnosis.  Chiari network has little clinical significance, but it might cause trouble during percutaneous procedures.  cases of entrapment of right-heart catheters, or entanglement and herniation into the LA by atrial septal defect occluding device have been reported.
  • 18.
    Crista Terminalis  Cristaterminalis is a well-defined fibromuscular ridge separating a smooth sinus venarum and trabeculated RA.  Externally, it corresponds to the sulcus terminalis, and internally, it extends from SVC to IVC along the lateral RA wall.  Embryologically, crista terminalis develops from the septum spurium, which corresponds to the fused boundary between embryonic sinus venosus and RA proper.  Prominent crista terminalis may be confused for RA tumor on TTE.
  • 19.
     Echo findingss/o prominent crista terminalis instead of tumor are as following:  a nodular mass of similar echogenicity with adjacent myocardium;  the location on posterolateral wall of RA near the SVC, which corresponds to the course of crista terminalis connecting the SVC and IVC;  the phasic change in size becoming thicker or larger during atrial systole.  Bicaval view of TEE best visualizes the crista terminalis.
  • 22.
  • 23.
     Thrombi inthe RA may mimic anatomic variants . Clinical settings would help a diagnosis.  Migrating free thrombi appears highly mobile snake- like structure mimicking Chiari network.  migrating thrombi is thicker than Chiari network, and the end of thrombi is not fixed around the IVC orifice.
  • 25.
     RA tumorsare needed to be differentiated from anatomic variants.  myxoma appears as a globular or spherical mass with friable surface and heterogenous internal echogenicity.  Myxomas typically arise from the interatrial septum around the fossa ovalis.  Metastatic tumors including hepatoma, RCC, & sarcoma from pelvic organs reaching RA through IVC can be seen in echo.  Careful tracing the origin of mass will give a clue for differential diagnosis from benign anatomic variants.
  • 26.
    Atrial Septum Variants:Atrial Septal Aneurysm  Atrial septal aneurysm (ASA) is found in 1% of adults at autopsy.  An excursion of > 10 mm beyond the plane of interatrial septum is recognized as ASA,although such cut-off value is arbitrary.  ASA may involve only the region of fossa ovalis, or the entire interatrial septum.  Frequent a/w ASD, PFO, MVP, Marfan syndrome suggests that ASA is congenital malformation with genetic background.
  • 27.
     In echo,redundant IAS bulges beyond the atrial septal plane . Phasic oscillation along the cardiac or respiratory cycle is common.  Prominent ASA may appear as cystic mass in long axis views, but diagnosis is rarely difficult particularly with the aid of TEE.  ASA is known to be a/w atrial arrhythmia & ischemic stroke.  ASA is frequently accompanied by PFO causing embolic events, and ASA itself was known as an independent predictor of cryptogenic stroke.
  • 29.
    Lipomatous Hypertrophy of theAtrial Septum  lipomatous hypertrophy refers the condition of prominent thickening of interatrial septum, usually > 2 cm, caused by excessive fatty infiltration.  it actually represents the fat-filled extracardiac spaces which is not encapsulated unlike true lipoma.  Echocardiographic diagnosis is made when a marked atrial septal thickening > 15-20 mm in the absence of any other explanation for the abnormal thickening.
  • 30.
     region offossa ovalis is typically spared, which makes a characteristic dumbbell- or hour glass- shaped lesion.  Subcostal window can be best used . ME bicaval view differentiates lipomatous hypertrophy from other structures.  superior and inferior "mass" is corresponds to the fat- filled groove between atria (Waterston's groove) and ventricles (inferior pyramidal space), respectively.
  • 31.
     Patients withlipomatous hypertrophy tend to have heavy pericardial and periaortic fat infiltration.  Lesser degree of atrial septal thickening can occur in amyloidosis, tumors, and a surgical patch covering repaired atrial septal defect.  It is generally benign condition & asymptomatic.  However, the blood flow obstruction of SVC and coronary sinus, intra-atrial conduction disturbance, supraventricular arrhythmia, syncope, and even sudden death had been reported.
  • 34.
    NORMAL ANATOMIC VARIANTSIN LEFT ATRIUM  Dilated coronary sinus (persistent L superior vena cava)  Coumadin Ridge-Raphe between L superior pulmonary vein and LAA  Atrial suture line (transplant)  Beam-width artifact from calcified aortic valve, AV prosthesis, etc.
  • 35.
     A dilatedcoronary sinus can mimic an LA mass in the parasternal long axis view, as can a prominent descending aorta from the apical view.  A left arm injection of agitated saline will define a persistent left superior vena cava draining into the coronary sinus, which is the m.c structural anomaly a/w dilatation of coronary sinus.
  • 36.
  • 37.
    Coumadin Ridge  Aprominent muscle ridge is formed between the LAA and the atrial insertion of the LUPV is referred to as the coumadin ridge or "Q-tip" sign.  This prominence is often misdiagnosed as thrombus .  lack of mobility and characteristic location, best seen in the ME two-chamber view, help distinguish it from an abnormal structure.
  • 40.
    NORMAL ANATOMIC VARIANTSIN LEFT VENTRICLE  False tendon  Papillary muscles  Left ventricular web (aberrant chordae)  Prominent mitral annular calcification
  • 41.
    False tendons  falsetendons are fibromuscular structures crossing the LV cavity.  LV bands may pass between papillary muscles, from papillary muscle to the ventricular septum, between free walls, or from free wall to interventricular septum, in contrary to true chordae tendineae connecting papillary muscle and mitral valve leaflets.
  • 42.
     False tendonis found up to 55% in normal hearts by autopsy .  In echo, LV bands appear as string-like thin bands passing LV cavity , which may be transverse, longitudinal, or sagittal, and single or multiple.  location, direction, length and thickness of LV bands may vary depending on their embryonic origin of inner cardiac muscle layer and contents.
  • 43.
     Muscular bandsbecome shorter and thicker in systole, and vice versa in diastole.  Fibrous bands become straight and taut in diastole, and vice versa in systole.  Off-axis images demonstrating the overall length of bands, normal LV structures on both ends, and constant motion during cardiac cycle are the key features.  False tendon located near LV apex may be confused for mural thrombus particularly in images of true LV apex being not completely visualized.
  • 45.
    Papillary muscles  varyin shape, thickness, & location in LV wall.  More than one belly is observed in up to 50% .  Accessory papillary muscle may be confused for pathologic structures such as LV thrombus or papillary muscle tumors when it arises from an unusual location.  presence of LV band is strongly indicative of the accessory papillary muscle instead of pathologic entity.  Normally contractile adjacent LV wall help to exclude the mural thrombi.
  • 46.
     Papillary musclevariants in architecture and location have peculiar clinical significance in hypertrophic cardiomyopathy.  Anterior displacement of hypertrophied papillary muscle is known to accentuate the resting trans-LV outflow tract pressure gradients.
  • 48.
  • 49.
    NORMAL ANATOMIC VARIANTS INAORTIC VALVE  Lambl’s excrescenses
  • 50.
    Aortic Valve Mass:Lambl's Excrescences  Fine filamentous strands, Lambl excrescences, can be seen originating from the aortic valve of elderly patients.  It is considered as a degenerative change on the surface of leaflets due to mechanical wear and tear.  Multiple adjacent excrescences may stick together and grow up to large, complex form called "giant Lambl's excrescence". Whether the excrescences may serve as a nidus for bacterial growth or cause a systemic embolism is controversial.
  • 51.
     In echo,it appears as very thin, delicate, lint-like mobile threads arising from the free borders or ventricular surfaces of aortic leaflets . Improving image quality increases to find this lesion.  significance of Lambl's excrescences lies in the differential diagnosis from the vegetation of infective endocarditis.  It is challenging in most cases, and a diagnostic decision making often depends on clinical settings.
  • 54.
    Papillary fibroelastoma  benignavascular tumor arising from the normal endocardium,most frequently from valvular endocardium.  it may be a hamartoma developing in a degenerative wear-and-tear process.  Characteristic numerous gelatinous papillary fronds of tumor surface consist of dense connective tissue core covered by endothelium.
  • 55.
     In echo,a small mobile tumor with fine frond-like surface attaches to the downstream side of the valve by a small stalk .Surgical resection is needed as it may cause a systemic embolism.  It is challenging to differentiate a papillary fibroelastoma from giant Lambl's excrescence, as they are similar both echocardiographically and pathologically.
  • 56.
  • 57.
  • 59.
    NORMAL ANATOMIC VARIANTSIN RIGHT VENTRICLE  Heavy trabeculation  Moderator band  Papillary muscles  Swan-Ganz catheter or pacer wire
  • 60.
    Heavy trabeculation  Multipletrabeculation is a characteristic of RV.  pattern of trabeculation is highly variable and exaggeration of normal trabeculation might be confused for cardiomyopathy.  True pathologic hypertrabeculation occurring in developmental arrest of RV myocardium is rare, and it is often accompanied by other CHDs including tricuspid valve anomaly, ASD or VSD, & LV non- compaction.
  • 61.
  • 62.
  • 63.
    Moderator band  Themoderator band of the right ventricle has been misinterpreted as an intracardiac mass.  In echo, moderator band is a thick echo-dense band- like structure across the RV cavity and connects the lower interventricular septum and the anterior papillary muscle  It is often best seen in the ME four-chamber view
  • 66.
  • 67.
    Periaortic Echo-Free Space:Pericardial Sinus vs. Periannular Abscess  Free pericardial fluid distributed within the transverse sinus and several recesses might be confused for a periannular abscess in transthoracic and TEE .  Diagnosis is particularly complicated in the febrile patients of post-operative course because the tissue edema and fluid collection due to inflammatory or procedural causes mimic the true pathologic process.
  • 69.
    Pericardial Echo-Free Space:Epicardial Fat vs. Pericardial Effusion  Epicardial adipose tissue often appears as echo-free space mimicking pericardial effusion in echo.  Most adipose tissue distributes in atrio-ventricular or interventricular groove.  Excessive fatty infiltration tends to occur in old, obese, and diabetic patients, particularly in women.  differentiation of adipose tissue from fluid is based on echogenicity, texture, mobility, and location.
  • 70.
     With exceptionof loculated effusion, free pericardial fluid accumulates on dependent region, usually posterior of left in supine position.  Anteriorly located echo-free space is likely to be epicardial fat deposition rather than pericardial effusion .  Mobility of adjacent tissue is a clue to differentiation.
  • 71.
     As adiposetissue is less mobile than pericardial fluid, surrounding epicardial and pericardial layer move less freely in case of fatty infiltration.  adipose tissue is more echogenic and lobulated than fluid with homogenous echogenicity.  CT imaging can definitely differentiate epicardial adipose tissue from fluid collection in complicated case.
  • 73.
    Pleural Effusion  Pleuraleffusions of the left side of the chest can mimic aortic dissection.  In the descending aorta long-axis view, a pleural effusion will parallel the course of the aorta and have the appearance of a true lumen–false lumen dissection.  Changing to the descending aorta short-axis view and identifying the characteristic triangular shape of a left-sided pleural effusion easily confirms the diagnosis of effusion versus dissection.
  • 75.

Editor's Notes

  • #24 The presence of atrial arrhythmia including atrial fibrillation, low flow status including RV failure, and the presence of foreign body favor the likelihood of thrombi. Thromboemboli-in-transit that arises in low extremity vein may be found in RA.
  • #26 Myxoma is the m.c primary tumor occurring in RA.
  • #28 Longstanding elevation of atrial pressure may contribute to ASA formation, inducing a septum to bulge toward the lower pressure chamber.
  • #31 that is, fatty mass of lipomatous hypertrophy is contiguous with epicardial fat pads.
  • #32 Typical bi-lobed appearance with sparing of fossa ovalis, and clinical information for a systemic illness would guide a diagnosis. Otherwise, computed tomography (CT) and magnetic resonance imaging are useful to differentiate fatty infiltration.
  • #59 It is important to differentiate valvular strands and tumors from vegetation . Although each lesion has characteristic echocardiographic features , accurate diagnosis generally depends on clinical settings.
  • #60 They need to be differentiated from pathologic entities such as primary and metastatic tumors, thrombi, and vegetations.