Echocardiographic evaluation of
Aortic Stenosis
Anatomy
 Aortic valve is composed of three cusps of equal size, each of
which is surrounded by a sinus
 Cusps are separated by three commissures and supported by
a fibrous anulus
 Each cusp is crescent shaped and capable of opening fully to
allow unimpeded forward flow, then closing tightly to prevent
regurgitation
Normal Aortic valve
Anatomy
 Free edge of each cusp curves upward from the commissure
and forms a slight thickening at the tip or midpoint, called the
Arantius nodule
When the valve closes, the three nodes meet in the center,
allowing coaptation to occur along three lines that radiate out
from this center point
 Overlap of valve tissue along the lines of closure produces a
tight seal and prevents backflow during diastole
Anatomy
When viewed from
a 2D echo
parasternal short-
axis projection,
these three lines of
closure are seen as
an “inverted
Mercedes Benz
sign”
Anatomy
• Behind each cusp is its associated Valsalva sinus
• Sinuses represent outpunching in the aortic root directly
behind each cusp
• Function to support the cusps during systole and provide a
reservoir of blood to augment coronary artery flow during
diastole
Anatomy
Left and right coronary arteries arise from the left and right
sinuses, respectively, and are associated with the left and right
aortic cusps
Third, or noncoronary sinus, is
posterior and rightward, just
above the base of the interatrial
septum, and is associated with
the noncoronary aortic cusp
RCC
LCC
NCC
LA
LAA
RA
RVOT
RV
Anatomy
 The area of a normal aortic valve is 3 to 4 cm2
 Normal opening generally produces 2 cm of
leaflet separation
Maintained throughout the cardiac cycle until low
cardiac output or LVOT obstruction
Goals of Echo
 Establishing the diagnosis
 Quantifying severity
 Assessing left ventricular function
 Identify concomitant valvular abnormalities
Role of 2D Echo
 Visualizes the entire aortic valve structure
 Helpful in identifying noncalcific as well as calcific aortic
stenosis
 Degree of valvular calcification, the size of the aortic
anulus and the supravalvular ascending aorta, and the
presence of secondary subvalvular obstruction are easily
evaluated
 Useful for determining the degree of LV hypertrophy
(wall thickness and mass), LA enlargement, ventricular
function, and the integrity of the other valves
Role of 2D Echo
 Cusps are thickened and showed restricted mobility
 Their position during systole is no longer parallel to the aortic
walls, and the edges are often seen to point toward the center
of the aorta
 In severe cases, a nearly total lack of mobility may be present
and the anatomy may become so distorted that identification
of the individual cusps is impossible
2D Echo-Long axis view
Diastole Systole
2D Echo-Short axis view
Diastole Systole
Y or inverted Mercedes-Benz sign
2D - Apical five chamber view
2D – Suprasternal view
Aortic Valve
 Acquired valvular aortic stenosis – cusps become thickened,
restricted.
 Position during systole is no longer parallel to the aortic walls.
 Edges point toward the center of the aorta.
 Severe cases – total lack of mobility. identification of cusps
may be impossible.
CLASSIFICATION OF
AORTIC STENOSIS
Aortic Stenosis
Congenital
Valvular
Bicuspid aortic
valve
Unicuspid
Quadricuspid
Subvalvular
Dynamic
HOCM
Fixed
Membranous
Fibromuscular
Acquired
Degenerative Rheumatic
Native valve
disease
Prosthetic
valve
PPM
IESupravalvular
Type I, II, III
Aortic sclerosis
 About 25% of all adults over age 65 yrs have aortic valve sclerosis.
 Thickened calcified cusps with preserved mobility.
 No significant obstruction to LV outflow.
 Typically associated with peak doppler velocity of < 2.5 m/sec
 In Cardiovascular Health Study ,for group of patients  65 yrs,the aortic
valve was normal in 70% of cases, sclerotic in 29% and stenotic in 2%
(JACC.1997;29(3))
 In Euro Heart Survey of 4910 pts in 25 countries,AS was the most frequent
lesion,accounting for 43% of patients with VHD (Eur Heart J.2003;24(13):1231-43)
Calcific Aortic Stenosis
 10-15% of aortic sclerosis patients progress to severe AS.
 Nodular calcific masses on aortic side of cusps.
 No commissural fusion.
 Free edges of cusps are not involved.
 Stellate- shaped systolic orifice
Cosmi et al,Arch Int Med 2002;162(20):2345-7.
Calcific Aortic Stenosis
 Plax (Parasternal long axis) view
showing echogenic and immobile
aortic valve.
 Marked increase in echogenicity.
 Reduced systolic opening.
Calcific Aortic Stenosis
 Parasternal short-axis view
showing calcified aortic valve
leaflets. Immobility of the cusps
results in only a slit like aortic
valve orifice in systole
 Used for valve area (planimetry).
Calcific Aortic Stenosis
 Calcification of a bicuspid or tricuspid valve, the severity can be
graded semi-quantitatively as
0 1+ 2+ 3+ 4+
Schaefer BM et al.Heart 2008;94:1634–1638.
 The degree of valve calcification is a predictor of clinical outcome.
Rosenhek R et al. N Engl J Med 2000;343:611–7.
 Directly planimetered aortic valve areas should be interpreted
with caution because of the complex anatomy of the orifice and
calcific shadowing and reverberation, even with 3D imaging.
 Direct measurement of valve area on imaging reflects anatomic
valve area, whereas the doppler data provide functional area.
Bicuspid Aortic valve
Bicuspid Aortic Valve (BAV)
 Accounts for 2/3rd of cases of severe AS in adults < 70 yrs.
 1/3rd of cases in adults > 70 yrs of age.
 Severe AS of a BAV is difficult to be differentiated from that of tricuspid
one.
 Usual view for differentiation is PARASTERNAL SHORT AXIS VIEW at
the level of great vessels in systole.
 PARASTERNAL Long axis view shows systolic bowing of the leaflets into
aorta – “Dome like”.
 M MODE – Eccentric closure line (to be taken at the tips of bowed
leaflets).
Bicuspid Aortic valve
 Two cusps are seen in systole with only two commissures framing an
elliptical systolic orifice (the fish mouth appearance).
 Diastolic images may mimic a tricuspid valve when a raphe is
present.
Bicuspid Aortic valve
 In children, valve may be stenotic
without extensive calcification.
 In adults, stenosis typically is due to
calcific changes, which often obscures
the number of cusps, making
determination of bicuspid vs. tricuspid
valve difficult.
Eccentricity index
Types of BAV
FUSION OF CUSPS FREQUENCY LEAFLET
CLOSURE LINE
REMARKS
RIGHT AND LEFT 70 -80% Anterolateral –
posteromedial closure
line
Larger anterior
leaflet.
RIGHT AND
NONCORONARY
20-30% Anterior –posterior
closure line
Larger rightward
leaflet
LEFT AND
NONCORONARY
1-2% Medial – lateral closure
line
Many bicuspid aortic valves have a raphe in the larger leaflet.
Clear identification of number of leaflets is possible only in systole.
Schaefer et al ,Am J Cardiol 99(5);686-90.2007
Unicuspid aortic valve
 Single eccentric orifice
 Prominent systolic doming
 Acommisural
 unicommisural
Quadricuspid aortic valve
QUADRICUSPID AORTIC VALVE
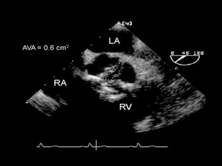
Subvalvular aortic stenosis
 Thin discrete membrane consisting of endocardial fold and
fibrous tissue.
 A fibromuscular ridge
 Diffuse tunnel-like narrowing of the LVOT
 Accessory or anomalous mitral valve tissue
 Young adults
 Valve not stenotic but
high gradients think of
subvalvular AS
 TEE – confirmation.
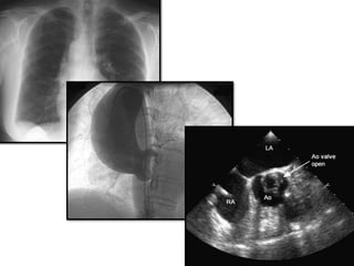
Supravalvular Aortic stenosis
 Type I - Thick, fibrous
ring above the aortic valve
with less mobility and has
the easily identifiable
'hourglass' appearance of
the aorta.
Supravalvular Aortic stenosis
 Type II - Thin, discrete fibrous
membrane located above the
aortic valve
The membrane usually
mobile and may demonstrate
doming during systole.
 Type III - Diffuse narrowing
Rheumatic Aortic Stenosis
 Characterized by
 Commissural fusion
 Triangular systolic orifice
 Thickening & calcification
 Accompanied by rheumatic mitral valve changes
 30% of patients with MS, aortic valve is also affected in
RHD
Rheumatic aortic stenosis
 Parasternal short axis view showing commissural fusion, leaflet
thickening and calcification, small triangular systolic orifice
Differentiation of Rheumatic Vs Calcified AS
Rheumatic as Calcific as
Commissures Fused Free
Leaflets Tips to base Base to tips
Orifice Triangular Stellate shaped
Age of patient No particular Usually elderly
Mitral valve 30% of ms cases Mac +
Others Tips thickened, calcified
(inextreme)
TIPS ARE FREE (CALCIFIC
NODULES CAN BE PRESENT
not at TIPS)
How to Assess
Aortic Stenosis
Aortic stenosis
 Valvular AS is most common
 Goals of echocardiographic evaluation of this condition
 Establishing a diagnosis
 Defining the cause & level of obstruction
 Quantifying the severity
 Evaluation of coexisting valvular lesions
 Assessing LV function
 In patients with known AS, for routine annual evaluation of
asymptomatic severe AS, reevaluation in case of change in clinical
status
 It is not recommended to annually reevaluate asymptomatic mild
AS, unless there is change in clinical status
Aortic Stenosis
 Reduced LV function - alters the relationship between
transvalvular pressure gradient and aortic valve area,
complicating the quantitative determination of severity
 Also need to be assessed are
 Proximal aortic dilation
 Coexisting mitral valve disease
 Measurement of PAP
M Mode- Normal aortic valve
M Mode- Aortic Stenosis
 Maximal aortic cusp separation (MACS)
 Vertical distance between right CC and non CC during systole
M Mode- Aortic Stenosis
Aortic valve area MACS Measurement Predictive value
Normal AVA >2Cm2 Normal MACS >15mm 100%
AVA>1.0 > 12mm 96%
AVA< 0.75 < 8mm 97%
Gray area 8-12 mm …..
DeMaria A N et al. Circulation.Suppl II. 58:232,1978
M Mode- Aortic Stenosis
Limitations
 Single dimension
 Asymmetrical AV involvement
 Calcification / thickness
 ↓ LV systolic function
 ↓ CO status
M mode of Aortic valve in
LV dysfunction
HOCM
Sub aortic membrane
BAV
Calcific AS
Qualitative information of stenosis by 2D echo
 Thickened calcified cusps that display preserved mobility define
aortic sclerosis (peak doppler velocity of  2.5 m/sec)
 Heavily calcified cusps with little or no mobility suggest severe
aortic stenosis
 If one cusp is seen to move normally, critical aortic stenosis has
been excluded
 Can lead to overestimation of severity
 To be combined with doppler assessment
Doppler assessment
 Practical noninvasive method for determining the pressure
gradient across the stenotic aortic valve
 Maximal jet velocity through the stenotic valve
 Simplified Bernoulli equation – peak instantaneous gradient
(validated both in in vitro and clinically)
 Correlates well with simultaneous measurements obtained by
invasive means
 Maximal jet velocity through the stenotic orifice to be recorded
for an accurate assessment, irrespective of the view taken
“ Aortic jet velocity alone is the strongest predictor of
clinical outcome, the most reliable and reproducible
measure for serial follow up studies and a key element
in decision making about the time of valve
replacement.”
JET VELOCITY
 Continuous-wave (CW) Doppler (CWD) ultrasound
 Multiple acoustic windows (apical and suprasternal or
right parasternal)
 Colour Doppler is helpful to avoid recording
the CWD signal of an eccentric mitral regurgitation
(MR)
Careful patient positioning and adjustment of transducer
position and angle are crucial as velocity measurement
assumes a parallel intercept angle between the ultrasound
beam and direction of blood flow
 Apical five chamber view, suprasternal view, right
parasternal view to be used for assessment
 Rarely subcostal view, left parasternal window
 Align the doppler beam with the direction of flow of the
stenotic jet
Failure to do this – underestimation of severity
 Color doppler may be used to improve alignment
 Highest jet velocity obtained should be used for
calculation of gradient
• A smooth velocity curve with a dense outer edge and clear
maximum velocity should be recorded.
• The maximum velocity is measured at the outer edge of
the dark signal
• Fine linear signals at the peak of the curve are due to the
transit time effect and should not be included in
measurements
• The outer edge of the dark ‘envelope’ of the velocity curve
is traced to provide both the velocity–time integral (VTI)
for the continuity equation and the mean gradient
• Usually, three or more beats are averaged in sinus rhythm,
averaging of more beats is mandatory with irregular rhythms
(at least 5 consecutive beats)
• Cutoff for severe AS is 4m/sec
Shape of the CW Doppler velocity curve
• Level and Severity
• The maximum velocity occurs later in systole and the curve is
more rounded in shape with more severe obstruction
• Mild obstruction- the peak is in early systole
with a triangular shape of the velocity curve
• Severe obstruction- Rounded curve with the peak moving
towards midsystole in severe stenosis, reflecting a high
gradient throughout systole
Dynamic subaortic obstruction shows a
characteristic late-peaking velocity curve, often with a
concave upward curve in early systole
Intercept angle
 Parallel intercept angle between direction of the jet and the
ultrasound beam.
 Cosine  = 1
 Intercept angles within 15 of parallel – will result in an error in
velocity of 5% or less
 Intercept angle of 30 - error of 30%
 This will result in even larger error in calculated pressure gradient
Other high velocity systolic jets that may be
mistaken for aortic stenosis
 Sub aortic obstruction(fixed or dynamic)
 Mitral regurgitation
 Tricuspid regurgitation
 Ventricular septal defect
 Pulmonic or branch pulmonary artery stenosis
 Subclavian artery stenosis
 Maximal gradient is derived from the equation - simplified
bernoulli equation
P(in mmHg) = 4v²
 V = maximal jet velocity expressed in meters per second.
 Distal velocity is sufficiently greater than the proximal
velocity that the latter can be ignored
 In cases where the proximal velocity is greater than 1.5m/sec
and the distal velocity is modestly elevated(<3.5m/sec),the
proximal velocity cannot be ignored, then
 P(in mmHg) = 4(Vmax² - Vproximal²)
 Severe AR
 Combined valvular and subvalvular stenosis
Mean Pressure Gradient
 It is most often obtained by planimetry of the doppler
envelope, which allows the computer to integrate the
instantaneous velocity data and provide a mean value.
 Mean gradient cannot be obtained by squaring the mean
velocity.
 Mean gradient is linearly related to the maximal gradient,
can be estimated from the formula:
 P max +2 mm Hg
 Mean gradient is approx. 2/3 rd s of the peak
instantaneous gradient.
 Both mean and peak gradients to be reported
1.45
=P mean(in mmHg)
Accuracy of Bernoulli equation
 Well established in quantification of stenosis pressure gradients
 Doppler gradients tend to be slightly higher than the
corresponding values obtained in the catheterization laboratory.
 The difference is due to phenomenon of pressure recovery, not
due to inaccuracy of either technique.
Pressure recovery
 The conversion of potential energy to kinetic energy across a
narrowed valve results in a high velocity and a drop in pressure.
 Distal to the orifice, flow decelerates again. Kinetic energy will
be reconverted into potential energy with a corresponding
increase in pressure, the so-called PR.
Pressure recovery
 In the setting of native aortic valve stenosis, some recovery of
pressure downstream from the vena contracta can be expected
 This occurs as the jet expands and decelerates downstream from
the vena contracta resulting in a lower net pressure gradient
compared to peak pressure gradient
 The net gradient is measured in the catheterization laboratory,
typically as the pressure difference between LV and ascending
aorta
 Peak pressure gradient is derived from CW doppler by measuring
the highest velocity within the vena contracta at the level of the
orifice
 In most cases, pressure recovery has a negligible effect on the
accuracy of gradient calculation
Pressure recovery
 Pressure recovery is greatest in stenosis with gradual distal widening
 Aortic stenosis with its abrupt widening from the small orifice to the
larger aorta has an unfavorable geometry for pressure recovery
PR= 4v²× 2EOA/AoA (1-EOA/AoA)
Pressure recovery
Pressure recovery is more significant
 Small aortic root, ascending aorta(<3.0cm in diameter)
 Domed congenital aortic stenosis
 Certain types of prosthetic valves.
 Tapered stenosis
 Supravalvular AS
 Coarctation
Discrepancies, think of …
 Technically poor doppler recording
 Inability to align the interrogation angle parallel to flow also
results in underestimation
 Low velocity jets <3m/sec, the error is modest
 Angle less than 20- insignificant degree of underestimation.
 Intercept angle increases beyond 20,the magnitude of error
increases rapidly
 Measures velocity over time, doppler derived data always
represent instantaneous gradient.
 In catheterization laboratory, peak to peak gradient is reported
which is often less than the peak instantaneous gradient, they
are contrived and never exist in time.
 Mean gradients to be used, correlate well between the
catheterization and echocardiographic data.
 Valve gradients are dynamic measurements that vary with HR,
loading conditions, blood pressure and inotropic state.
Overestimation of the pressure gradient
 Mistaken identity of the recorded signal
 Mitral regurgitation jet has a contour similar to that of the jet of
severe aortic stenosis. because of similarities in location and
direction of the two jets, mistaken identity can occur.
Can be avoided by
 1.Two jets should be recorded by sweeping the transducer back
and forth to clearly indicate to the interpreter which jet is which.
 2.Timing of the two jets – MR jet is of longer duration, beginning
during isovolumic contraction and extending into isovolumic
relaxation
Comparing pressure gradients calculated from
doppler velocities to pressures measured at cardiac
catheterization
Aortic valve area
Continuity equation
Continuity equation
 Determination of aortic valve area
 Based on the principle of conservation of mass,the continuity
equation states that the stroke volume proximal to the aortic
valve (within the left ventricular outflow tract) must equal the
stroke volume through he stenotic orifice.
 Stroke volume is the product of cross sectional area (CSA) and
time velocity integral (TVI),the continuity equation can be
arranged to yield.
AV area = CSA LVOT  TVI LVOT / TVI AS
CSA
 To measure the CSA of the outflow tract, the diameter of the
outflow tract is generally measured from the parasternal long axis
view and the shape is assumed to be circular
Area =  r²
 Small errors in measuring in measuring the linear dimension will
be compounded in the final formula
 The smaller the annulus, the greater is the percentage error
introduced by any given mismeasurement
 Potential factors for errors – image quality, annular
calcification(which obscures the true dimension),non circular
annulus(which invalidates the formula)
 Underestimation is more common than overestimation
TVI of outflow tract/AS
 From the apical window
 Pulsed doppler imaging
 Positioning the sample volume just proximal to the stenotic
valve. (still laminar)
 From same transducer position CW doppler imaging should be
used to record the jet velocity envelope.
 Using planimetry, the TVI of both can be derived.
 If units for the measurement of the outflow tract diameter are
centimeters, the value of the aortic valve area will be
centimeters squared.
AV area = CSA LVOT  V LVOT/V AS
 Continuity equation has been validated in a variety of invitro and
clinical settings
 Correlates well with the invasive data using the Gorlin equation
 Errors – area and flow assessment to be done at the same level.
 The point at which flow is laminar in apical view to be taken for the
measurement of TVI of LVOT.
Advantages of continuity equation
 Not influenced by the presence of Aortic regurgitation.
 Not affected by the stroke volume
“..a determination of aortic valve area is especially
important in patients with significant aortic
regurgitation and/or reduced left ventricular function.”
Limitations of continuity-equation valve area
 Intra- and interobserver variability
AS jet and LVOT velocity 3 to4%
LVOT diameter 5% to 8%
 When sub aortic flow velocities are abnormal SV calculation at
this site are not accurate
 Sample volume placement near to septum or anterior mitral
leaflet
 Observed changes in valve area with changes in flow rate
 AS and normal LV function, the effects of flow rate are minimal
 This effect may be significant in presence concurrent LV
dysfunction
Limitations of continuity-equation valve area
Left ventricular systolic dysfunction
 Low-flow low-gradient AS includes the following
conditions:
 Effective orifice area < 1.0 Cm2
 LV ejection fraction < 40%
 Mean pressure gradient < 30–40 mmHg
 Severe AS and severely reduced LVEF represent 5% of
AS patients
Vahanian A et al. Eur Heart J 2007;28:230–68.
 Another approach to reducing error related to LVOT diameter
measurements is removing CSA from the simplified continuity
equation
 This dimensionless velocity ratio expresses the size of the
valvular effective area as a proportion of the CSA of the LVOT
Velocity ratio= VLVOT/VAV
 In the absence of valve stenosis, the velocity ratio approaches
1 , with smaller numbers indicating more severe stenosis
Velocity Ratio/ Dimensionless index
Aortic valve resistance
 Flow independent measure of stenosis severity that
depends on the ratio of mean pressure gradient and mean
flow rate and is calculated as
Resistance =  P mean / Q mean  1333
 Relation between the mean resistance and valve area is
given by the formula:
Resistance = 28 Gradient mean / AV area
 Advantages over the continuity equation ,have not been
established.
Stroke Work Loss
 Novel approach to calculate severity of aortic stenosis
 SWL% = 100X∆P Mean/ ∆P Mean +SBP
 Left ventricle expends work during systole to keep the aortic
valve open and to eject blood into the aorta.
 It is less dependent on the flow compared with other
parameters
 A cut off value more than 25% effectively discriminated
between patient experiencing a good and poor outcome
 Calculation of SWL has limited practical application
Energy loss index
Damien Garcia.et al. Circulation. 2000;101:765-771.
 Fluid energy loss across stenotic aortic valves is influenced by
factors other than the valve effective orifice area
 An experimental model was designed to measure EOA and
energy loss in 2 fixed stenoses and 7 bioprosthetic valves for
different flow rates and 2 different aortic sizes (25 and 38 mm)
EOA and energy loss is influenced by both flow rate and AA
and that the energy loss is systematically higher (15±2%) in the
large aorta
 Energy loss coefficient (EOA × AA)/(AA - EOA) accurately
predicted the energy loss in all situations .
 Closely related to the increase in left ventricular workload than
EOA.
 To account for varying flow rates, the coefficient was indexed
for body surface area in a retrospective study of 138 patients
with moderate or severe aortic stenosis.
 The energy loss index measured by Doppler echocardiography
was superior to the EOA in predicting the end points
 An energy loss index >0.52 cm2/m2 was the best predictor of
diverse outcomes (positive predictive value of 67%).
Energy loss index
Aortic valve area -Planimetry
 Planimetry may be an acceptable alternative when
Doppler estimation of flow velocities is unreliable
 Planimetry may be inaccurate when valve
calcification causes shadows or reverberations
limiting identification of the orifice
 Doppler-derived mean-valve area correlated better
with maximal anatomic area than with mean-
anatomic area.
Marie Arsenault, et al. J. Am. Coll. Cardiol. 1998;32;1931-1937
Aortic valve area - Planimetry
Defining the severity of Aortic stenosis
 Normal adults , aortic valve area is between 3.0 and 4.0 cm²
 Clinically significant aortic stenosis generally requires the valve
area to be reduced to less than one fourth of normal or
between 0.75 and 1.0 cm2
 Relationship between valve area and severity is further
influenced by patient size – aortic valve area of 0.9cm² may be
severe in a large patient but only moderate in a smaller person
 Inconsistent relationship between valve area and symptoms.
ACC/AHA guidelines2014
Effects of concurrent conditions
on assessment of severity
Effect of Stroke Volume
 For a given valve area, flow velocity and pressure gradient
vary with the change in stroke volume and cardiac output
 Cardiac output or stroke volume should be taken into account
when the severity of valvular stenosis is determined
 Left ventricular systolic dysfunction
- can decrease the gradient across the valve
- dobutamine infusion is useful
 Left ventricular hypertrophy
- Small ventricular cavity & small LV ejects a small SV so that,
even in severe AS the AS velocity and mean gradient may
be lower than expected.
- Continuity-equation valve area is accurate in this situation
Hypertension
 35–45% of patients
 Primarily affect flow and gradients but less AVA
measurements
 Control of blood pressure is recommended
 The echocardiographic report should always include a
blood pressure measurement
Aortic regurgitation
 About 80% of adults with AS also have aortic
regurgitation
 High transaortic volume flow rate, maximum velocity,
and mean gradient will be higher than expected for a
given valve area
 In this situation, reporting accurate quantitative data
for the severity of both stenosis and regurgitation
Effect of concurrent conditions contd…
Mitral valve disease
 With severe MR, transaortic flow rate may be low
resulting in a low gradient. Valve area calculations
remain accurate in this setting
 A high-velocity MR jet may be mistaken for the AS jet.
Timing of the signal is the most reliable way to
distinguish
Effect of concurrent conditions contd…
 Overestimation of the true pressure gradient is less
common but can occur
 Result of mistaken identity of the recorded signal e.g., MR
jet has a contour similar to that of a jet of severe AS
 Avoid by sweeping the transducer back and forth to clearly
indicate to the interpreter which jet is which
 Another helpful clue involves the timing of the two jets MR
is longer in duration, beginning during isovolumetric
contraction and extending into isovolumetric relaxation
High cardiac output
 Relatively high gradients in the presence of mild
or moderate AS
 The shape of the CWD spectrum with a very early
peak may help to quantify the severity correctly
Ascending aorta
 Aortic root dilation
 Coarctation of aorta
Effect of concurrent conditions contd…
TEE
 Not routine practice to use TEE to evaluate aortic stenosis
 Transducer facing anteriorly and horizontally (0) in mid
esophagus
 Pulling transducer up – ascending aorta,right pulmonary artery.
 120 - reverse parasternal long axis TTE view.
 Transgastric level – transducer 180 - descending aorta
TEE
 Intraoperatively in AVR for assessment of severity of
MR and need for mitral valve replacement
 Atheroma grading
 Aortic aneurysm
 Aortic dissection
 During TAVI
After prosthetic valve implantation
 Assessing the severity of stenosis
 PPM
 Pressure recovery
 EOA in patients with pressure recovery.
3 DIMENSIONAL ECHOCARDIOGRAPHY
3D Echo of Aortic Stenosis
THREE DIMENSIONAL ECHO/DOPPLER
Strain imaging
 Global longitudinal strain by speckle tracking may be a more
robust measure of systolic function in patients with severe
aortic stenosis
 A longitudinal strain less than 15.9% significantly predicted
those at higher risk of death, symptoms or need for surgery
during follow up, as opposed to EF, which had no
discriminatory ability.
CONCLUSIONS
 ECHO useful tool to profile aortic stenosis
 Severity assessment correlates with catheterization
measurements
 Role of Dobutamine in low gradient AS
 Three dimensional echo adds information to Aortic
stenosis assessment
Aortic stenosis Echo

Aortic stenosis Echo

  • 1.
  • 2.
    Anatomy  Aortic valveis composed of three cusps of equal size, each of which is surrounded by a sinus  Cusps are separated by three commissures and supported by a fibrous anulus  Each cusp is crescent shaped and capable of opening fully to allow unimpeded forward flow, then closing tightly to prevent regurgitation
  • 3.
  • 4.
    Anatomy  Free edgeof each cusp curves upward from the commissure and forms a slight thickening at the tip or midpoint, called the Arantius nodule When the valve closes, the three nodes meet in the center, allowing coaptation to occur along three lines that radiate out from this center point  Overlap of valve tissue along the lines of closure produces a tight seal and prevents backflow during diastole
  • 5.
    Anatomy When viewed from a2D echo parasternal short- axis projection, these three lines of closure are seen as an “inverted Mercedes Benz sign”
  • 6.
    Anatomy • Behind eachcusp is its associated Valsalva sinus • Sinuses represent outpunching in the aortic root directly behind each cusp • Function to support the cusps during systole and provide a reservoir of blood to augment coronary artery flow during diastole
  • 7.
    Anatomy Left and rightcoronary arteries arise from the left and right sinuses, respectively, and are associated with the left and right aortic cusps Third, or noncoronary sinus, is posterior and rightward, just above the base of the interatrial septum, and is associated with the noncoronary aortic cusp RCC LCC NCC LA LAA RA RVOT RV
  • 8.
    Anatomy  The areaof a normal aortic valve is 3 to 4 cm2  Normal opening generally produces 2 cm of leaflet separation Maintained throughout the cardiac cycle until low cardiac output or LVOT obstruction
  • 9.
    Goals of Echo Establishing the diagnosis  Quantifying severity  Assessing left ventricular function  Identify concomitant valvular abnormalities
  • 10.
    Role of 2DEcho  Visualizes the entire aortic valve structure  Helpful in identifying noncalcific as well as calcific aortic stenosis  Degree of valvular calcification, the size of the aortic anulus and the supravalvular ascending aorta, and the presence of secondary subvalvular obstruction are easily evaluated  Useful for determining the degree of LV hypertrophy (wall thickness and mass), LA enlargement, ventricular function, and the integrity of the other valves
  • 11.
    Role of 2DEcho  Cusps are thickened and showed restricted mobility  Their position during systole is no longer parallel to the aortic walls, and the edges are often seen to point toward the center of the aorta  In severe cases, a nearly total lack of mobility may be present and the anatomy may become so distorted that identification of the individual cusps is impossible
  • 12.
    2D Echo-Long axisview Diastole Systole
  • 13.
    2D Echo-Short axisview Diastole Systole Y or inverted Mercedes-Benz sign
  • 14.
    2D - Apicalfive chamber view
  • 15.
  • 16.
    Aortic Valve  Acquiredvalvular aortic stenosis – cusps become thickened, restricted.  Position during systole is no longer parallel to the aortic walls.  Edges point toward the center of the aorta.  Severe cases – total lack of mobility. identification of cusps may be impossible.
  • 17.
  • 18.
  • 19.
    Aortic sclerosis  About25% of all adults over age 65 yrs have aortic valve sclerosis.  Thickened calcified cusps with preserved mobility.  No significant obstruction to LV outflow.  Typically associated with peak doppler velocity of < 2.5 m/sec  In Cardiovascular Health Study ,for group of patients  65 yrs,the aortic valve was normal in 70% of cases, sclerotic in 29% and stenotic in 2% (JACC.1997;29(3))  In Euro Heart Survey of 4910 pts in 25 countries,AS was the most frequent lesion,accounting for 43% of patients with VHD (Eur Heart J.2003;24(13):1231-43)
  • 20.
    Calcific Aortic Stenosis 10-15% of aortic sclerosis patients progress to severe AS.  Nodular calcific masses on aortic side of cusps.  No commissural fusion.  Free edges of cusps are not involved.  Stellate- shaped systolic orifice Cosmi et al,Arch Int Med 2002;162(20):2345-7.
  • 21.
    Calcific Aortic Stenosis Plax (Parasternal long axis) view showing echogenic and immobile aortic valve.  Marked increase in echogenicity.  Reduced systolic opening.
  • 22.
    Calcific Aortic Stenosis Parasternal short-axis view showing calcified aortic valve leaflets. Immobility of the cusps results in only a slit like aortic valve orifice in systole  Used for valve area (planimetry).
  • 23.
    Calcific Aortic Stenosis Calcification of a bicuspid or tricuspid valve, the severity can be graded semi-quantitatively as 0 1+ 2+ 3+ 4+ Schaefer BM et al.Heart 2008;94:1634–1638.  The degree of valve calcification is a predictor of clinical outcome. Rosenhek R et al. N Engl J Med 2000;343:611–7.
  • 24.
     Directly planimeteredaortic valve areas should be interpreted with caution because of the complex anatomy of the orifice and calcific shadowing and reverberation, even with 3D imaging.  Direct measurement of valve area on imaging reflects anatomic valve area, whereas the doppler data provide functional area.
  • 25.
  • 26.
    Bicuspid Aortic Valve(BAV)  Accounts for 2/3rd of cases of severe AS in adults < 70 yrs.  1/3rd of cases in adults > 70 yrs of age.  Severe AS of a BAV is difficult to be differentiated from that of tricuspid one.  Usual view for differentiation is PARASTERNAL SHORT AXIS VIEW at the level of great vessels in systole.  PARASTERNAL Long axis view shows systolic bowing of the leaflets into aorta – “Dome like”.  M MODE – Eccentric closure line (to be taken at the tips of bowed leaflets).
  • 27.
    Bicuspid Aortic valve Two cusps are seen in systole with only two commissures framing an elliptical systolic orifice (the fish mouth appearance).  Diastolic images may mimic a tricuspid valve when a raphe is present.
  • 28.
    Bicuspid Aortic valve In children, valve may be stenotic without extensive calcification.  In adults, stenosis typically is due to calcific changes, which often obscures the number of cusps, making determination of bicuspid vs. tricuspid valve difficult.
  • 29.
  • 33.
    Types of BAV FUSIONOF CUSPS FREQUENCY LEAFLET CLOSURE LINE REMARKS RIGHT AND LEFT 70 -80% Anterolateral – posteromedial closure line Larger anterior leaflet. RIGHT AND NONCORONARY 20-30% Anterior –posterior closure line Larger rightward leaflet LEFT AND NONCORONARY 1-2% Medial – lateral closure line Many bicuspid aortic valves have a raphe in the larger leaflet. Clear identification of number of leaflets is possible only in systole. Schaefer et al ,Am J Cardiol 99(5);686-90.2007
  • 38.
    Unicuspid aortic valve Single eccentric orifice  Prominent systolic doming  Acommisural  unicommisural
  • 40.
  • 41.
  • 42.
    Subvalvular aortic stenosis Thin discrete membrane consisting of endocardial fold and fibrous tissue.  A fibromuscular ridge  Diffuse tunnel-like narrowing of the LVOT  Accessory or anomalous mitral valve tissue
  • 43.
     Young adults Valve not stenotic but high gradients think of subvalvular AS  TEE – confirmation.
  • 44.
    Supravalvular Aortic stenosis Type I - Thick, fibrous ring above the aortic valve with less mobility and has the easily identifiable 'hourglass' appearance of the aorta.
  • 45.
    Supravalvular Aortic stenosis Type II - Thin, discrete fibrous membrane located above the aortic valve The membrane usually mobile and may demonstrate doming during systole.  Type III - Diffuse narrowing
  • 46.
    Rheumatic Aortic Stenosis Characterized by  Commissural fusion  Triangular systolic orifice  Thickening & calcification  Accompanied by rheumatic mitral valve changes  30% of patients with MS, aortic valve is also affected in RHD
  • 47.
    Rheumatic aortic stenosis Parasternal short axis view showing commissural fusion, leaflet thickening and calcification, small triangular systolic orifice
  • 48.
    Differentiation of RheumaticVs Calcified AS Rheumatic as Calcific as Commissures Fused Free Leaflets Tips to base Base to tips Orifice Triangular Stellate shaped Age of patient No particular Usually elderly Mitral valve 30% of ms cases Mac + Others Tips thickened, calcified (inextreme) TIPS ARE FREE (CALCIFIC NODULES CAN BE PRESENT not at TIPS)
  • 51.
  • 52.
    Aortic stenosis  ValvularAS is most common  Goals of echocardiographic evaluation of this condition  Establishing a diagnosis  Defining the cause & level of obstruction  Quantifying the severity  Evaluation of coexisting valvular lesions  Assessing LV function  In patients with known AS, for routine annual evaluation of asymptomatic severe AS, reevaluation in case of change in clinical status  It is not recommended to annually reevaluate asymptomatic mild AS, unless there is change in clinical status
  • 53.
    Aortic Stenosis  ReducedLV function - alters the relationship between transvalvular pressure gradient and aortic valve area, complicating the quantitative determination of severity  Also need to be assessed are  Proximal aortic dilation  Coexisting mitral valve disease  Measurement of PAP
  • 54.
    M Mode- Normalaortic valve
  • 55.
  • 56.
     Maximal aorticcusp separation (MACS)  Vertical distance between right CC and non CC during systole M Mode- Aortic Stenosis Aortic valve area MACS Measurement Predictive value Normal AVA >2Cm2 Normal MACS >15mm 100% AVA>1.0 > 12mm 96% AVA< 0.75 < 8mm 97% Gray area 8-12 mm ….. DeMaria A N et al. Circulation.Suppl II. 58:232,1978
  • 57.
    M Mode- AorticStenosis Limitations  Single dimension  Asymmetrical AV involvement  Calcification / thickness  ↓ LV systolic function  ↓ CO status
  • 58.
    M mode ofAortic valve in LV dysfunction
  • 59.
  • 60.
  • 61.
  • 62.
  • 63.
    Qualitative information ofstenosis by 2D echo  Thickened calcified cusps that display preserved mobility define aortic sclerosis (peak doppler velocity of  2.5 m/sec)  Heavily calcified cusps with little or no mobility suggest severe aortic stenosis  If one cusp is seen to move normally, critical aortic stenosis has been excluded  Can lead to overestimation of severity  To be combined with doppler assessment
  • 64.
    Doppler assessment  Practicalnoninvasive method for determining the pressure gradient across the stenotic aortic valve  Maximal jet velocity through the stenotic valve  Simplified Bernoulli equation – peak instantaneous gradient (validated both in in vitro and clinically)  Correlates well with simultaneous measurements obtained by invasive means  Maximal jet velocity through the stenotic orifice to be recorded for an accurate assessment, irrespective of the view taken
  • 65.
    “ Aortic jetvelocity alone is the strongest predictor of clinical outcome, the most reliable and reproducible measure for serial follow up studies and a key element in decision making about the time of valve replacement.”
  • 66.
    JET VELOCITY  Continuous-wave(CW) Doppler (CWD) ultrasound  Multiple acoustic windows (apical and suprasternal or right parasternal)  Colour Doppler is helpful to avoid recording the CWD signal of an eccentric mitral regurgitation (MR)
  • 67.
    Careful patient positioningand adjustment of transducer position and angle are crucial as velocity measurement assumes a parallel intercept angle between the ultrasound beam and direction of blood flow
  • 68.
     Apical fivechamber view, suprasternal view, right parasternal view to be used for assessment  Rarely subcostal view, left parasternal window  Align the doppler beam with the direction of flow of the stenotic jet Failure to do this – underestimation of severity  Color doppler may be used to improve alignment  Highest jet velocity obtained should be used for calculation of gradient
  • 69.
    • A smoothvelocity curve with a dense outer edge and clear maximum velocity should be recorded. • The maximum velocity is measured at the outer edge of the dark signal • Fine linear signals at the peak of the curve are due to the transit time effect and should not be included in measurements • The outer edge of the dark ‘envelope’ of the velocity curve is traced to provide both the velocity–time integral (VTI) for the continuity equation and the mean gradient
  • 70.
    • Usually, threeor more beats are averaged in sinus rhythm, averaging of more beats is mandatory with irregular rhythms (at least 5 consecutive beats) • Cutoff for severe AS is 4m/sec
  • 71.
    Shape of theCW Doppler velocity curve • Level and Severity • The maximum velocity occurs later in systole and the curve is more rounded in shape with more severe obstruction • Mild obstruction- the peak is in early systole with a triangular shape of the velocity curve • Severe obstruction- Rounded curve with the peak moving towards midsystole in severe stenosis, reflecting a high gradient throughout systole
  • 72.
    Dynamic subaortic obstructionshows a characteristic late-peaking velocity curve, often with a concave upward curve in early systole
  • 73.
    Intercept angle  Parallelintercept angle between direction of the jet and the ultrasound beam.  Cosine  = 1  Intercept angles within 15 of parallel – will result in an error in velocity of 5% or less  Intercept angle of 30 - error of 30%  This will result in even larger error in calculated pressure gradient
  • 74.
    Other high velocitysystolic jets that may be mistaken for aortic stenosis  Sub aortic obstruction(fixed or dynamic)  Mitral regurgitation  Tricuspid regurgitation  Ventricular septal defect  Pulmonic or branch pulmonary artery stenosis  Subclavian artery stenosis
  • 75.
     Maximal gradientis derived from the equation - simplified bernoulli equation P(in mmHg) = 4v²  V = maximal jet velocity expressed in meters per second.  Distal velocity is sufficiently greater than the proximal velocity that the latter can be ignored
  • 76.
     In caseswhere the proximal velocity is greater than 1.5m/sec and the distal velocity is modestly elevated(<3.5m/sec),the proximal velocity cannot be ignored, then  P(in mmHg) = 4(Vmax² - Vproximal²)  Severe AR  Combined valvular and subvalvular stenosis
  • 77.
    Mean Pressure Gradient It is most often obtained by planimetry of the doppler envelope, which allows the computer to integrate the instantaneous velocity data and provide a mean value.  Mean gradient cannot be obtained by squaring the mean velocity.  Mean gradient is linearly related to the maximal gradient, can be estimated from the formula:  P max +2 mm Hg  Mean gradient is approx. 2/3 rd s of the peak instantaneous gradient.  Both mean and peak gradients to be reported 1.45 =P mean(in mmHg)
  • 78.
    Accuracy of Bernoulliequation  Well established in quantification of stenosis pressure gradients  Doppler gradients tend to be slightly higher than the corresponding values obtained in the catheterization laboratory.  The difference is due to phenomenon of pressure recovery, not due to inaccuracy of either technique.
  • 79.
    Pressure recovery  Theconversion of potential energy to kinetic energy across a narrowed valve results in a high velocity and a drop in pressure.  Distal to the orifice, flow decelerates again. Kinetic energy will be reconverted into potential energy with a corresponding increase in pressure, the so-called PR.
  • 80.
    Pressure recovery  Inthe setting of native aortic valve stenosis, some recovery of pressure downstream from the vena contracta can be expected  This occurs as the jet expands and decelerates downstream from the vena contracta resulting in a lower net pressure gradient compared to peak pressure gradient  The net gradient is measured in the catheterization laboratory, typically as the pressure difference between LV and ascending aorta  Peak pressure gradient is derived from CW doppler by measuring the highest velocity within the vena contracta at the level of the orifice  In most cases, pressure recovery has a negligible effect on the accuracy of gradient calculation
  • 81.
    Pressure recovery  Pressurerecovery is greatest in stenosis with gradual distal widening  Aortic stenosis with its abrupt widening from the small orifice to the larger aorta has an unfavorable geometry for pressure recovery PR= 4v²× 2EOA/AoA (1-EOA/AoA)
  • 84.
    Pressure recovery Pressure recoveryis more significant  Small aortic root, ascending aorta(<3.0cm in diameter)  Domed congenital aortic stenosis  Certain types of prosthetic valves.  Tapered stenosis  Supravalvular AS  Coarctation
  • 85.
    Discrepancies, think of…  Technically poor doppler recording  Inability to align the interrogation angle parallel to flow also results in underestimation  Low velocity jets <3m/sec, the error is modest  Angle less than 20- insignificant degree of underestimation.  Intercept angle increases beyond 20,the magnitude of error increases rapidly
  • 86.
     Measures velocityover time, doppler derived data always represent instantaneous gradient.  In catheterization laboratory, peak to peak gradient is reported which is often less than the peak instantaneous gradient, they are contrived and never exist in time.  Mean gradients to be used, correlate well between the catheterization and echocardiographic data.  Valve gradients are dynamic measurements that vary with HR, loading conditions, blood pressure and inotropic state.
  • 87.
    Overestimation of thepressure gradient  Mistaken identity of the recorded signal  Mitral regurgitation jet has a contour similar to that of the jet of severe aortic stenosis. because of similarities in location and direction of the two jets, mistaken identity can occur. Can be avoided by  1.Two jets should be recorded by sweeping the transducer back and forth to clearly indicate to the interpreter which jet is which.  2.Timing of the two jets – MR jet is of longer duration, beginning during isovolumic contraction and extending into isovolumic relaxation
  • 88.
    Comparing pressure gradientscalculated from doppler velocities to pressures measured at cardiac catheterization
  • 89.
  • 90.
    Continuity equation  Determinationof aortic valve area  Based on the principle of conservation of mass,the continuity equation states that the stroke volume proximal to the aortic valve (within the left ventricular outflow tract) must equal the stroke volume through he stenotic orifice.  Stroke volume is the product of cross sectional area (CSA) and time velocity integral (TVI),the continuity equation can be arranged to yield. AV area = CSA LVOT  TVI LVOT / TVI AS
  • 91.
    CSA  To measurethe CSA of the outflow tract, the diameter of the outflow tract is generally measured from the parasternal long axis view and the shape is assumed to be circular Area =  r²  Small errors in measuring in measuring the linear dimension will be compounded in the final formula  The smaller the annulus, the greater is the percentage error introduced by any given mismeasurement  Potential factors for errors – image quality, annular calcification(which obscures the true dimension),non circular annulus(which invalidates the formula)  Underestimation is more common than overestimation
  • 92.
    TVI of outflowtract/AS  From the apical window  Pulsed doppler imaging  Positioning the sample volume just proximal to the stenotic valve. (still laminar)  From same transducer position CW doppler imaging should be used to record the jet velocity envelope.  Using planimetry, the TVI of both can be derived.  If units for the measurement of the outflow tract diameter are centimeters, the value of the aortic valve area will be centimeters squared.
  • 94.
    AV area =CSA LVOT  V LVOT/V AS
  • 95.
     Continuity equationhas been validated in a variety of invitro and clinical settings  Correlates well with the invasive data using the Gorlin equation  Errors – area and flow assessment to be done at the same level.  The point at which flow is laminar in apical view to be taken for the measurement of TVI of LVOT.
  • 97.
    Advantages of continuityequation  Not influenced by the presence of Aortic regurgitation.  Not affected by the stroke volume “..a determination of aortic valve area is especially important in patients with significant aortic regurgitation and/or reduced left ventricular function.”
  • 98.
    Limitations of continuity-equationvalve area  Intra- and interobserver variability AS jet and LVOT velocity 3 to4% LVOT diameter 5% to 8%  When sub aortic flow velocities are abnormal SV calculation at this site are not accurate  Sample volume placement near to septum or anterior mitral leaflet
  • 99.
     Observed changesin valve area with changes in flow rate  AS and normal LV function, the effects of flow rate are minimal  This effect may be significant in presence concurrent LV dysfunction Limitations of continuity-equation valve area
  • 100.
    Left ventricular systolicdysfunction  Low-flow low-gradient AS includes the following conditions:  Effective orifice area < 1.0 Cm2  LV ejection fraction < 40%  Mean pressure gradient < 30–40 mmHg  Severe AS and severely reduced LVEF represent 5% of AS patients Vahanian A et al. Eur Heart J 2007;28:230–68.
  • 101.
     Another approachto reducing error related to LVOT diameter measurements is removing CSA from the simplified continuity equation  This dimensionless velocity ratio expresses the size of the valvular effective area as a proportion of the CSA of the LVOT Velocity ratio= VLVOT/VAV  In the absence of valve stenosis, the velocity ratio approaches 1 , with smaller numbers indicating more severe stenosis Velocity Ratio/ Dimensionless index
  • 102.
    Aortic valve resistance Flow independent measure of stenosis severity that depends on the ratio of mean pressure gradient and mean flow rate and is calculated as Resistance =  P mean / Q mean  1333  Relation between the mean resistance and valve area is given by the formula: Resistance = 28 Gradient mean / AV area  Advantages over the continuity equation ,have not been established.
  • 103.
    Stroke Work Loss Novel approach to calculate severity of aortic stenosis  SWL% = 100X∆P Mean/ ∆P Mean +SBP  Left ventricle expends work during systole to keep the aortic valve open and to eject blood into the aorta.  It is less dependent on the flow compared with other parameters  A cut off value more than 25% effectively discriminated between patient experiencing a good and poor outcome  Calculation of SWL has limited practical application
  • 104.
    Energy loss index DamienGarcia.et al. Circulation. 2000;101:765-771.  Fluid energy loss across stenotic aortic valves is influenced by factors other than the valve effective orifice area  An experimental model was designed to measure EOA and energy loss in 2 fixed stenoses and 7 bioprosthetic valves for different flow rates and 2 different aortic sizes (25 and 38 mm) EOA and energy loss is influenced by both flow rate and AA and that the energy loss is systematically higher (15±2%) in the large aorta
  • 105.
     Energy losscoefficient (EOA × AA)/(AA - EOA) accurately predicted the energy loss in all situations .  Closely related to the increase in left ventricular workload than EOA.  To account for varying flow rates, the coefficient was indexed for body surface area in a retrospective study of 138 patients with moderate or severe aortic stenosis.  The energy loss index measured by Doppler echocardiography was superior to the EOA in predicting the end points  An energy loss index >0.52 cm2/m2 was the best predictor of diverse outcomes (positive predictive value of 67%). Energy loss index
  • 106.
    Aortic valve area-Planimetry  Planimetry may be an acceptable alternative when Doppler estimation of flow velocities is unreliable  Planimetry may be inaccurate when valve calcification causes shadows or reverberations limiting identification of the orifice  Doppler-derived mean-valve area correlated better with maximal anatomic area than with mean- anatomic area. Marie Arsenault, et al. J. Am. Coll. Cardiol. 1998;32;1931-1937
  • 107.
    Aortic valve area- Planimetry
  • 109.
    Defining the severityof Aortic stenosis  Normal adults , aortic valve area is between 3.0 and 4.0 cm²  Clinically significant aortic stenosis generally requires the valve area to be reduced to less than one fourth of normal or between 0.75 and 1.0 cm2  Relationship between valve area and severity is further influenced by patient size – aortic valve area of 0.9cm² may be severe in a large patient but only moderate in a smaller person  Inconsistent relationship between valve area and symptoms.
  • 110.
  • 113.
    Effects of concurrentconditions on assessment of severity
  • 114.
    Effect of StrokeVolume  For a given valve area, flow velocity and pressure gradient vary with the change in stroke volume and cardiac output  Cardiac output or stroke volume should be taken into account when the severity of valvular stenosis is determined
  • 115.
     Left ventricularsystolic dysfunction - can decrease the gradient across the valve - dobutamine infusion is useful  Left ventricular hypertrophy - Small ventricular cavity & small LV ejects a small SV so that, even in severe AS the AS velocity and mean gradient may be lower than expected. - Continuity-equation valve area is accurate in this situation
  • 116.
    Hypertension  35–45% ofpatients  Primarily affect flow and gradients but less AVA measurements  Control of blood pressure is recommended  The echocardiographic report should always include a blood pressure measurement
  • 117.
    Aortic regurgitation  About80% of adults with AS also have aortic regurgitation  High transaortic volume flow rate, maximum velocity, and mean gradient will be higher than expected for a given valve area  In this situation, reporting accurate quantitative data for the severity of both stenosis and regurgitation Effect of concurrent conditions contd…
  • 118.
    Mitral valve disease With severe MR, transaortic flow rate may be low resulting in a low gradient. Valve area calculations remain accurate in this setting  A high-velocity MR jet may be mistaken for the AS jet. Timing of the signal is the most reliable way to distinguish Effect of concurrent conditions contd…
  • 119.
     Overestimation ofthe true pressure gradient is less common but can occur  Result of mistaken identity of the recorded signal e.g., MR jet has a contour similar to that of a jet of severe AS  Avoid by sweeping the transducer back and forth to clearly indicate to the interpreter which jet is which  Another helpful clue involves the timing of the two jets MR is longer in duration, beginning during isovolumetric contraction and extending into isovolumetric relaxation
  • 121.
    High cardiac output Relatively high gradients in the presence of mild or moderate AS  The shape of the CWD spectrum with a very early peak may help to quantify the severity correctly Ascending aorta  Aortic root dilation  Coarctation of aorta Effect of concurrent conditions contd…
  • 122.
    TEE  Not routinepractice to use TEE to evaluate aortic stenosis  Transducer facing anteriorly and horizontally (0) in mid esophagus  Pulling transducer up – ascending aorta,right pulmonary artery.  120 - reverse parasternal long axis TTE view.  Transgastric level – transducer 180 - descending aorta
  • 123.
  • 124.
     Intraoperatively inAVR for assessment of severity of MR and need for mitral valve replacement  Atheroma grading  Aortic aneurysm  Aortic dissection  During TAVI
  • 125.
    After prosthetic valveimplantation  Assessing the severity of stenosis  PPM  Pressure recovery  EOA in patients with pressure recovery.
  • 126.
  • 129.
    3D Echo ofAortic Stenosis
  • 131.
  • 132.
    Strain imaging  Globallongitudinal strain by speckle tracking may be a more robust measure of systolic function in patients with severe aortic stenosis  A longitudinal strain less than 15.9% significantly predicted those at higher risk of death, symptoms or need for surgery during follow up, as opposed to EF, which had no discriminatory ability.
  • 133.
    CONCLUSIONS  ECHO usefultool to profile aortic stenosis  Severity assessment correlates with catheterization measurements  Role of Dobutamine in low gradient AS  Three dimensional echo adds information to Aortic stenosis assessment

Editor's Notes

  • #43 Long axis view in a patent with a subaortic membrane (arrow).