Cystic Lung Lesions
By
Gamal Rabie Agmy , MD , FCCP
Professor of Chest Diseases ,Assiut University
DECREASED LUNG
ATTENUATION
Lung Cysts
Pulmonary fibrosis (Honeycombing)
Lymphangiomyomatosis
Langerhanscell histiocytosis
Lymphocytic Interstitial Pneumonia (LIP)
Differential Diagnosis
Rough Reticular Fine Reticular
Traction
Bronchiectasis
and
Interface
sign
Honey
combing
UIP UIP or NSIP
Usual Interstitial Pneumonia UIP
HRCT Findings
Reticular opacities, thickened intra- and
interlobular septa
Irregular interfaces
Honey combing and parenchymal distorsion
Ground glass opacities (never prominent)
Basal and subpleural predominance
Basal and subpleural distribution
UIP
The Many ‘HRCT Faces’ of NSIP
Honeycombing not a
prominent feature !!!!
Lymphangioleiomyomatosis (LAM)
HRCT Morphology
Thin-walled cysts (2mm - 5cm)
Uniform in size / rarely confluent
Homogeneous distribution
Chylous pleural effusion
Lymphadenopathy
in young women
Lymphangioleiomyomatosis (LAM)
Tuberous Sclerosis (young man)
Langerhans Cell
Histiocytosis
Langerhans Cell Histiocytosis
HRCT Findings
Small peribronchiolar nodules (1-5mm)
Thin-walled cysts (< 1cm),
Bizarre and confluent
Ground glass opacities
Late signs: irreversible / parenchymal fibrosis
Honey comb lung, septal thickening, bronchiectasis
1 year later
Peribronchiolar Nodules Cavitating nodules and cysts
Langerhans Cell Histiocytosis
Langerhans Cell Histiocytosis
Langerhans Cell Histiozytosis
Key Features
Upper lobe predominance
Combination of cysts and noduli
Characteristic stages
Increased Lung volume
Sparing of costophrenic angle
S
M
O
K
I
N
G
Langerhans Cell Histiocytosis
Langerhans Cell Histiocytosis
Differential Diagnosis
Only small nodules
Sarkoidosis, Silikosis
Only cysts
idiopathic Fibrosis
LAM
Destruktive emphysema
A professional diver.............
.......after cessation of smoking
Benign lymphoproliferative disorder
Diffuse interstitial infiltration of
mononuclear cells
Not limited to the air ways as
in follicular Bronchiolitis
LIP
= Lymphocytic Interstitial Pneumonia
Sjögren: LIP
LIP
= Lymphocytic Interstitial Pneumonia
Rarely idiopathic
In association with:
Sjögren‟s syndrome
Immune deficiency syndromes, AIDS
Primary biliary cirrhosis
Multicentric Castlemean‟s disease
Sjoegren disease
Dry eye and dry mouth
Fibrosis, bronchitis and bronchiolitis
LIP
Overlap
Sarcoid, DM/PM, MXCT
SLE, RA (pleural effusion)
Up to 40 x increased risk for lymphoma (mediastinal
adenopathy) and
2 x times increased risk for neoplasma
Summary..................................Quiz
Young woman Dry mouth Smoker
LAM LIP Histiocytosis
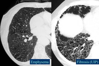
Emphysema Fibrosis (UIP)
Wegener„s disease
Rheumatoid Arthritis
Emphysema
histopathological definition
…..permanent abnormal enlargement of airspaces
distal to the bronchioles terminales and
…...destruction of the walls of the involved
airspaces
Centrilobular Emphysema
Panlobular Emphysema
CLE and PLE in one Patient
Fibrosis and Emphysema
What is Your Diagnosis ?
Cystic Changes and Decreased Density
Quiz
LAMEmphysema Fibrosis
LCHEmphysema
FibrosisEmphysema
Emphysema
Emphysema typically presents as
areas of low attenuation without
visible walls as a result of
parenchymal destruction.
EMPHYSEMA
Permanent, abnormal enlargement of air
spaces distal to the terminal bronchiole and
accompanied by the destruction of the walls
of the involved air spaces.
43
Centrilobular emphysema
Most common type
Irreversible destruction of alveolar walls
in the centrilobular portion of the lobule
Upper lobe predominance and uneven
distribution
Strongly associated with smoking.
Centrilobular (proximal or
centriacinar) emphysema
Found most commonly in the upper lobes
Manifests as multiple small areas of low attenuation without a
perceptible wall, producing a punched-out appearance.
Often the centrilobular artery is visible within the
centre of these lucencies.
45
Centrilobular emphysema due to smoking. The periphery of the
lung is spared (blue arrows). Centrilobular artery (yellow arrows)
is seen in the center of the hypodense area.
Panlobular emphysema
Affects the whole secondary lobule
Lower lobe predominance
In alpha-1-antitrypsin deficiency, but
also seen in smokers with advanced
emphysema
PANLOBULAR EMPHYSEMA
Affects the entire secondary pulmonary lobule
and is more pronounced in the lower zones
Complete destruction of the entire pulmonary
lobule.
Results in an overall decrease in lung
attenuation and a reduction in size of
pulmonary vessels
48
PANLOBULAR EMPHYSEMA
49
Panlobular emphysema
Paraseptal (distal acinar)
emphysema
Affects the peripheral parts of the secondary
pulmonary lobule
Produces subpleural lucencies.
51
Paraseptal emphysema
Cystic lung disease
Lung cysts are defined as radiolucent areas with a
wall thickness of less than 4mm.
Langerhans cell histiocytosis
Lymphangiomyomatosis complicated by pneumothorax
Bronchiectasis
Bronchiectasis is defined as localized bronchial
dilatation. (signet-ring sign)
bronchial wall thickening
lack of normal tapering with visibility of airways in
the peripheral lung
mucus retention in the broncial lumen
associated atelectasis and sometimes air trapping
ABPA: glove-finger shadow due to mucoid impaction in central
bronchiectasis in a patient with asthma.
Signet-Ring Sign
A signet-ring sign represents an axial cut of a dilated bronchus
(ring) with its accompanying small artery (signet).
Tram Tracks
Bronchial dilation with lack of tapering .
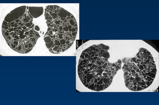
HONEYCOMBING
Defined as - small cystic spaces with irregularly
thickened walls composed of fibrous tissue.
Predominate in the peripheral and subpleural
lung regions
Subpleural honeycomb cysts typically occur in
several contiguous layers. D/D- paraseptal
emphysema in which subpleural cysts usually
occur in a single layer. 62
Honeycombing
Honeycombing is defined by the presence of small cystic
spaces with irregularly thickened walls composed of fibrous
tissue.
Causes
Lower lobe predominance :
1. UIP or interstitial fibrosis
2. Connective tissue disorders
3. Hypersensitivity pneumonitis
4.Asbestosis
5. NSIP (rare)
Upper lobe predominance :
1. End stage sarcodosis
2. Radiation
3. Hypersensitivity Pneumonitis
4. End stageARDS
64
Honeycombing
HRCT showing
subpleural
broncheolectasis
Honeycombing and traction bronchiectasis in UIP.
Typical UIP with honeycombing and traction
bronchiectasis in a patient with idiopathic
pulmonary fibrosis (IPF)
Distribution within the lung
Additional findings
Cystic lung diseases
Cystic lung diseases

Cystic lung diseases