Sean Tierney,
Consultant Vascular Surgeon
Adelaide & Meath
National Children’s Hospital,
Tallaght
IssuesIssues
inin
AAA managementAAA management
20132013
http://www.perfuse.netVascular surgery @ Tallaght
AAA - Issues for discussionAAA - Issues for discussion
• Screening
• Surveillance
• Predicting Operative Risk
– Reducing operative risk
• Choosing operative
option
• Perioperative issues
• Technical
– Open repair
– EVAR
• Complex anatomy
– Fenestrated
– Branched
http://www.perfuse.netVascular surgery @ Tallaght
ScreeningScreening
“Multicentre Aneurysm Screening Study” Thompson S G et al. BMJ 2009
http://www.perfuse.netVascular surgery @ Tallaght
ScreeningScreening
• £7600 after 10 years (per DALY
gained)
• Impact of EVAR unknown
“Multicentre Aneurysm Screening Study” Thompson S G et al. BMJ 2009
http://www.perfuse.netVascular surgery @ Tallaght
ScreeningScreening
Country Min diameter referred if Prevalence AAA
Western Australia >30 mm >50 mm >30 mm 7%; >55 mm 2.5%
Denmark >30 mm >50 mm 3.30%
England >30 mm >55mm 1.70%
Norway >30 mm >55mm 3.40%
New Zealand >30 mm >55mm 8.9% in high risk males >65 years
Scotland >30 mm >55mm
Sweden >30 mm >55mm 1.7% + 0.5% (known)
Italy >30 mm >55mm 6.20%
Wales >30 mm >55mm
Northern Ireland >30 mm >55mm
USA >30 mm >55mm
Criteria (England): 0–44 mm yearly
45–54 mm 3 monthly
European Journal of Vascular and Endovascular Surgery
Volume 45, Issue 3, March 2013, Pages 231–234
http://www.perfuse.netVascular surgery @ Tallaght
PrognosisPrognosis
Szilagyi 1966
% 5 year survival
6cm
http://www.perfuse.netVascular surgery @ Tallaght
Law of Laplace (sphere)
P =2T/R
0
20
40
60
80
<5cm 5.0-5.9cm >6.0-6.0cm >7.0cm
5 year risk of rupture
Aneurysm size
RisksRisks
http://www.perfuse.netVascular surgery @ Tallaght
Operative mortality (open repair)Operative mortality (open repair)
Brady et al. BJS 2000 (Small AAA trial)
http://www.perfuse.netVascular surgery @ Tallaght
Predictors of mortalityPredictors of mortality
0.04 0.01
0.01
Brady et al. BJS 2000 (Small AAA trial)
http://www.perfuse.netVascular surgery @ Tallaght
Open surgeryOpen surgery
http://www.perfuse.netVascular surgery @ Tallaght
New technologyNew technology
Parodi et al Ann Vasc 1991
http://www.perfuse.netVascular surgery @ Tallaght
Anaesthesia & positionAnaesthesia & position
• Epidural/spinal
• Occasionally GA
• Possible under LA
∀ ± Central access
• Arterial line
• OSI (radiolucent) table
http://www.perfuse.netVascular surgery @ Tallaght
PositionPosition
• Arms tucked in by
sides
• Contrast pressure
injector (angio)
• C Arm
• 2 tables – open/endo
http://www.perfuse.netVascular surgery @ Tallaght
Set up & equipmentSet up & equipment
1
2
Scrub/N 1
C-arm
Monitors
Injector
Scrub/N 2
http://www.perfuse.netVascular surgery @ Tallaght
Draping & incisionDraping & incision
http://www.perfuse.netVascular surgery @ Tallaght
ExposureExposure
http://www.perfuse.netVascular surgery @ Tallaght
AnimationAnimation
Tri Fab design
http://www.perfuse.netVascular surgery @ Tallaght
ClosureClosure
• Arteriotomy
closure
• 6/0 prolene
http://www.perfuse.netVascular surgery @ Tallaght
EVAR - 1EVAR - 1 OutcomesOutcomes
http://www.perfuse.netVascular surgery @ Tallaght
ReinterventionsReinterventions
Trial Year N AAA Reinterventions P value
EVAR Open
EVAR 2010 1252 > 5.5 cm 10% 28% <0.001
DREAM 2010 351 > 5 cm 30% 18% 0.03
ACE 2011 316 > 5 cm 24% 14% <0.01
OVER 2012 881 > 5 cm 22.1%b 17.8%b 0.12
European Journal of Vascular and Endovascular Surgery
Volume 45, Issue 4, April 2013, Pages 313–314
http://www.perfuse.netVascular surgery @ Tallaght
EVAR - 2EVAR - 2 OutcomesOutcomes
Lancet 2005; 365: 2187–
92
http://www.perfuse.netVascular surgery @ Tallaght
EndoleakEndoleak
“Persistent blood flow outside the endograft but
contained within the aneurysm sac”
• Type I
– failure of seal at the fixation points or at junctions between
graft components
• Type II
– persistent backflow into the sac from patent native branches
(e.g lumbar arteries, IMA etc)
• Type III
– graft failure or segment separation
• Type IV
– graft porosity
• Type V
– unknown
http://www.perfuse.netVascular surgery @ Tallaght
OptionsOptions
??
http://www.perfuse.netVascular surgery @ Tallaght
Fenestrated graftFenestrated graft
http://www.perfuse.netVascular surgery @ Tallaght
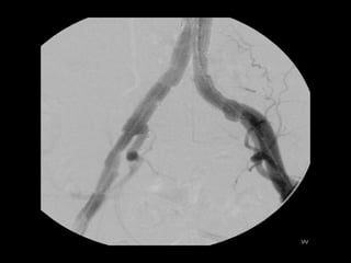
Iliac branch graftIliac branch graft
http://www.perfuse.netVascular surgery @ Tallaght
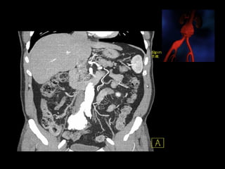
Iliac aneurysmIliac aneurysm
http://www.perfuse.netVascular surgery @ Tallaght
Place for EVARPlace for EVAR
IndicationsIndications
• still unresolved issues
• anatomical suitability
• older vs younger
• ? high risk patient
• significant costs
• Complement rather than
replaces open surgery

Abdominal Aortic Aneurysm 2015