Namratha Ravishankar
Pathology
 A cyst is a round circumscribed space surrounded by an
epithelial or fibrous wall of variable thickness.
Hansell DM, Bankier AA, MacMahon H, et al. Fleischner Society: Glossary
of terms for thoracic imaging. Radiology 2008;246(3):697-722.
CYSTIC LESIONS OFTHE
LUNG
 A cyst appears as a round parenchymal lucency or
low attenuating area with a well defined interface
with normal lung.The wall thickness is usually <4mm
 No associated pulmonary emphysema
 Usually contain air but may contain fluid or solid
material
Hansell DM, Bankier AA, MacMahon H, et al.
Fleischner Society: Glossary of terms for thoracic
imaging. Radiology 2008;246(3):697-722. Accessed
via Pubmed.com
 Also used to describe enlarged thin walled
air spaces in lymphangioleiyomyomatosis
and Langhan’s cell histiocytosis
 Thick walled honeycomb lungs seen in end
stage fibrosis
Entity Imaging characteristics
Lung cyst Well-circumscribed, rounded, thin-walled air-filled structure within the
lung parenchyma. Wall thickness of ≤3mm.
Cavity Air-filled space within the pulmonary parenchyma with thicker walls (>4
mm).
Emphysema Polygonal-shaped lucent area without definable walls.
Bronchiectasis Air-filled space within the lung parenchyma that branches and connects
with the airway. Associated airway abnormalities including air trapping,
bronchial wall thickening, and bronchiolar impactions.
Honeycombing Clustered subpleural airspaces with variable size and wall thickness. Other
signs of pulmonary fibrosis: architectural distortion, traction
bronchiectasis, and reticular opacities.
 They include bronchiolar check-valve mechanism, vascular
occlusion or ischaemia necrosis, and dilation of the bronchioles
 Degradation of the connective matrix, especially by
metalloproteinases, may play a further role particularly in LAM
and PLCH
1. KuhlmanJE, Reyes BL, Hruban RH, et al. Abnormal air-filled spaces in the
lung. Radiographics 1993; 13: 47–75.
2. IchikawaY, Kinoshita M, KogaT, et al. Lung cyst formation in lymphocytic
interstitial pneumonia: CT features. J Comput AssistTomogr 1994; 18: 745–
748. 331.
3. Worthy SA, Brown MJ, Muller NL.Technical report: cystic air spaces in the
lung: change in size on expiratory high-resolutionCT in 23 patients. Clin
Radiol 1998; 53: 515–519. 332
4. Lee KN,Yoon SK, Choi SJ, et al. Cystic lung disease: a comparison of cystic
size, as seen on expiratory and
5. inspiratory HRCT scans. Korean J Radiol 2000; 1: 84–90.
The valve mechanism had been defined by
BROOKE as ‘‘one in which the entrance from a
bronchus into a lung cavity become
obstructed in a valve-like manner, presumably
with a piece of necrotic tissue, and thus allows
the ingress of air during inspiration but
prevents the egress during expiration’’.
Brooke B. Excessive spontaneous inflation of a lung
cavity. Lancet 1931; 2: 240–241.
Focal or multifocal cystic lung disease
Congenital
 Bronchogenic cysts
 Pulmonary sequestration
 Congenital cystic adenomatoid malformations
(CCAM)
Infectious
 Pulmonary tuberculosis
 Coccidioidomycosis
 Pneumocystis carinii pneumonia
 Echinococcus granulosus or E multilocularis
Lymphocytic interstitial pneumonia (LIP)
Desquamative interstitial pneumonia (DIP)
Diffuse cystic lung disease
Pulmonary Langerhans’ cell histiocytosis (PLCH)
Lymphangioleiomyomatosis (LAM)
Honeycomb cystic lung disease
 Asbestosis
 Idiopathic pulmonary fibrosis
 Collagen vascular disease
 Hypersensitivity pneumonitis
 Sarcoidosis
Miscellaneous
 Cystic lung disease in Down’s syndrome118 119
 Birt-Hogg Dube syndrome120–122
 Trauma
 Bronchogenic cyst
 Pulmonary sequestration
 Congenital cystic adenomatoid malformation
 Lobar emphysema
 Bronchial atresia
 Lymphangiectasia
 Plueropulmonary blastoma
 Pneumatocoele
Others
 Lymphatic cysts
 Enteric cysts
 Mesothelial cysts
 Simple parenchymal cysts
 Shanti and Klein (2008) studied a series of 236 patients
undergoing pulmonary resection for cystic lung lesions.
 Bronchogenic cysts constituted 20% of this group. Of these
47 cases, 20 involved a lobar location, which required
lobectomy, and 27 cases were extralobar and were treated
with resection of the cyst.
Shanti CM, Klein MD. Cystic lung disease. Semin PediatrSurg. Feb
2008;17(1):2-8.
 Bronchogenic cysts are supernumery foregut
buds disconnected and separated from the
tracheobronchial tree to form a cystic mass
during embryogenesis (between 4th - 6th weeks)
 Most common site is middle mediastinum (65-
90%)
 Remote locations, including the interatrial
septum, neck, abdomen, and retroperitoneal
space.
 Most bronchogenic cysts are found
incidentally.
 In infants- compression of the trachea or
bronchi and esophagus-wheezing, stridor,
dyspnea, and dysphagia.
 Intraparenchymal cysts may manifest with
recurrent infection.
Thin walled spherical unilocular masses –fluid filled, air filled or with air fluid levels
 Lined by secretory respiratory epithelium
(cuboid or columnar ciliated epithelium)
 Wall-cartilage, elastic tissues, mucous glands
and smooth muscle
 They do not usually communicate with the
bronchial tree, and are therefore typically not
air filled.
 Contain fluid (water), variable amounts of
proteinaceous material, blood products, and
calcium oxalate
MIMICS
Enteric cyst Posterior mediastinum
Gastric epithelium
Oesophageal cyst Squamous lining
Double muscle layer
Pericardial cyst Unilocular, Mesothelial lining
Complications
Fistula formation
Ulceration of cyst wall
Superimposed infection
Haemorrhage
It is characterized by a portion of lung
that does not connect to the
tracheobronchial tree and has a systemic
arterial supply,usually from the thoracic or
abdominal aorta
Newman B. Congenital bronchopulmonary
foregut malformations: concepts and
controversies.
Pediatr Radiol 2006;36(8):773–791.
Two types of sequestration have been
described: intralobar and extralobar.
The extralobar form has its own pleural
investment and systemic venous drainage,
The intralobar form shares the pleural
investment with the normal lung and usually
(but not invariably) drains into the
pulmonary venous system
 Intralobar sequestration
Early childhood or adolesence with recurrence
lower lobe pneumonia
 Extralobar
Usually asymptomatic
May have cyanosis and feeding difficulties
Associated with diaphragmatic hernias, cardiac
malformations and foregut anomalies
 Usually seen in the left lower lobe
 CT-homogenous soft tissue mass, cysts
containing air or fluid, focal emphysema or
hypervascular focus of lung parenchyma
 Lung tissue is poorly developed and cystically
dilated
 Cysts lined by columnar to cuboidal
epithelium
 Pleura thickened with adhesions
 Parenchyma-cysts upto 5cm in dia with
mucinous or purulent material and fibrosis.
 Loose, spongy tissue with numerous small cystic spaces
containing clear, mucoid fluid.
 Dilated bronchi with mucous or purulent material
 Alveoli filled with foamy macrophages
 Thick walled vessels reflecting systemic vascular drainage
with elastic stains
1. DeParedes CG, Pierce WS, Johnson DG, Waldhausen
JA. Pulmonary sequestration in infants and children: a
20-year experience and review of the literature. J
Pediatr Surg. Apr 1970;5(2):136-47.
2. AFIP, Non neoplastic disorders of lower respiratory
tract
 A congenital pulmonary airways malformation
(CPAM) (until recently described as a congenital
cystic adenomatoid malformation (CCAM)) refers to
a multi-cystic mass of segmental lung tissue with
abnormal bronchial proliferation.
 It is considered part of the spectrum of
bronchopulmonary foregut malformations
BerrocalT, Madrid C, Novo S et-al. Congenital
anomalies of the tracheobronchial tree, lung, and
mediastinum: embryology, radiology, and
pathology. Radiographics. 24 (1): e17.
 Failure of normal broncho-alveolar
development with hamartomatous
proliferation of terminal respiratory units in
a gland-like pattern (adenomatoid) without
proper alveolar formation.
 These lesions have intracystic
communications and, unlike bronchogenic
cysts, can also have a connection to the
tracheobronchial tree
 The term congenital adenomatoid
malformation of the lung was first used by
Ch’in andTang in 1949
 Incidence of about 1 in 25,000 live births
 Stocker described 3 types which were
expanded to 5 types in 2005
 Type 0 (Tracheobronchial) to type 4
(Alveolar)
 CPAM, type 0, also known as acinar
dysplasia or agenesis, is a rarely occurring
and infrequently described malformation that
is largely incompatible with life.
 It is seen in term and premature infants who are
cyanotic at birth and survive only a few hours
 Associated with cardiovascular
abnormalities and dermal hypoplasia
 Bronchial type airways with cartilage, smooth
muscle and glands separated by abundant
loosely vascularised mesenchyme
 Ciliated pseudostratified cells with goblet
cells
 Mucous cells and cartilage in all cases
 CPAM, type 1, the large or predominant cyst
type
 First week to month of life, can be seen in
older children and even young adults.
 65% of cases ,amenable to surgery with a
good prognosis.
CT scan shows multiple large cysts (>2cm) involving the lower lobe of left lung.The cysts
are air-filled, expand the lower lobe, cause mediastinal shift and hypoplasia of right lung
 Boundary between lesion and adjacent lobe
sharply delineated
 Cysts(2-10cm in diameter) lined by
pseudostratified cilated columnar epithelium
interspersed with rows of mucous cells(in 1/3rd of
cases)
 Polypoid or papillary appearance due to elastic
tissue beneath the epithelium
 Interspersed alveolar ducts,saccules and
alveolae
 Absent cartilage and inflammation
 Type 1 congenital cystic adenomatoid malformation (CCAM), the
most frequent malformation of the lung, is the only type to
present intracystic mucinous cell clusters, which may form beyond
the cysts, extracystic mucinous proliferation resembling mucinous
bronchioloalveolar carcinomas (BACs).
 As mucinous BACs are increasingly described in the literature in
young patients with CCAM, we hypothesized that type 1 CCAM
mucinous cells could represent BAC precursors.
Mucinous Cells inType 1 Pulmonary Congenital Cystic Adenomatoid
Malformation as Mucinous Bronchioloalveolar Carcinoma Precursors
Lantuejoul, Sylvie MD, PhD; Nicholson, Andrew G. MD†; Sartori, Giuliana
PhD; Piolat, Christian MD; Danel, Claire MD, PhD∥; Brabencova, Eva MD;
Goldstraw, Peter MD; Brambilla, Elisabeth MD, PhD*; Rossi, Giulio MD
AJSP, June 2007 -Volume 31 - Issue 6 - pp 961-969 doi:
10.1097/01.pas.0000249444.90594.27
 CCAM-Maturation defects at various points
during organogenesis and maturation
 Focal atypical goblet cell hyperplasia in 33%
 Bronchioloalveolar carcinoma in 1%.
 Mean age -26 years
 All mucinous in character
 Sheffield et al described premalignant
changes in type 1 CCAM
Epithelial hyperplasia and malignant change
in congenital lung cysts
Clin pathol 1987;40.61-14
 Mucous cell proliferation-hyperplasia
 Extension into adjacent alveoli- lepidic growth
pattern-Brochioloalveolar cell carcinoma
 IHC:IL-3,IL4 and MUC-2 nuclear staining in
atypical goblet cells and cytoplasmic and nuclear
staining in adjacent epithelium
 Chromosomal aberrations in the mucous cells
similar to those in adenocarcinoma in non
smokers
 Good prognosis with exceptional metastasis
 BAC in CCAM less aggressive disease than
BAC in a structurally normal lung
 DouglasWest et al,
Dept of histopathology and cardiothorasic
surgery,Glasgow uk
The society of thorasic surgeons
 CPAM, type 2, the medium cyst type,
accounts for 10% to 15% of cases.
 Seen within the first year of life
 Poorer outcome
 Grossly, cysts rarely more than 1.5 cm in
diameter that tend to blend with the normal
adjacent parenchyma.
Areas of low attenuation consist of clusters of multiple, small
and evenly spaced air cysts
 Multiple small cysts(0.5-2cm)
 Small relatively uniform cysts resembling
bronchioles separated by normal alveoli.
 Cysts are lined by cuboid-to-columnar
epithelium and have a thin fibromuscular
wall.
 No mucous cells or cartilage
 Solid pale tumor-like tissue with striated
muscle in 5%
 First days to month of life
 Male predominance, and owing to its large
size
 Maternal polyhydramnios and fetal anasarca,
high mortality rate
 Grossly, the lesion is “noncystic” and
appears more like dense pulmonary
parenchyma
 Grossly a solid mass without obvious cyst
formation
 Solid appearance
 Excess of bronchiolar structure separated by
small air spaces, with cuboidal lining
resembling late fetal lung
 Microscopic adenomatoid cysts
 The peripheral acinar cyst type, appears to be a
hamartomatous malformation of the distal
acinus.
 This variant is seen equally in boys and girls, with
an age range of newborn to 4 years and
accounts for 10% to 15% of cases.
 type 4 lesions may present with mild respiratory
distress, sudden respiratory distress from
tension pneumothorax, pneumonia.
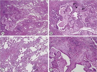
Grossly, large thin-walled cysts are present at the “periphery” of the lobe and
appear to be lined by a smooth membrane.
 Cysts(upto 10 cm) are lined by flattened
epithelial cells (type I and II alveolar lining
cells) over most of wall, with occasional low
cuboidal epithelium seen.
 The wall of the cyst is composed of loose
mesenchymal tissue with prominent arteries
and arterioles.
 Loose mesenchyme must not be confused
with similar features seen in the cystic type of
PPB.
 Focal stromal hypercellularity (50%)
 Focal immature cartilage
 Associated pleuropulmonary blastoma
(bilateral type 4 CCAM with stromal
cellularity)
 Low-grade cystic PPB has been confused with large
cyst type 1 CCAM/CPAM and type 4 CPAM, and likely
accounts for many, if not all, reports of malignancy
arising in large cyst CCAM.
 Low-grade cystic PPB can be distinguished
histopathologically on the basis of the presence of a
thin layer of primitive mesenchymal cells beneath the
cyst wall
Hill DA, Jarzembowski JA, Priest JR,Williams G,
Schoettler P, Dehner LP.Type I pleuropulmonary
blastoma: pathology and biology study of 51 cases
from the international pleuropulmonary blastoma
registry. Am J Surg Pathol 2008;32(2):282–295.
 Type 2 CPAM has been noted in nearly 50% of
cases of extralobar sequestrations.
 Type I or purely cystic PPB is usually associated with larger
cysts, more typical of type 4 CCAM.
 Controversy exists as to whether the tumor develops within a
CCAM or whether the cystic lesion represents PPB from the onset
 In a report of 50 cases from the PPB registry, the authors propose
that CCAM could be a precursor to PPB just as nephrogenic rests
and nephroblastomatosis are toWilms tumor
J.R. Priest, M.B. McDermott, S. Bhatia et al.
Pleuropulmonary blastoma,A clinicopathologic study of 50 cases
Cancer, 80 (1997), pp. 147–161
D.A. Hill, L.P. Dehner, L.V. Ackerman
A cautionary note about congenital cystic adenomatoid malformation
(CCAM) type 4
Am J Surg Pathol, 28 (2004), pp. 554–555
 Pulmonary blastomas are a relatively rare group
of primary lung neoplasms that are composed of
immature malignant epithelial and/or
mesenchymal tissues whose features may
resemble early embryological lung tissues.
 First described by Barnard in 1952.
Koss M,TravisW, Moran C. Pulmonary sarcomas,
blastomas, carcinosarcomas andTeratomas. Spencer’s
Histopathology of the Lung (5th edn). NewYork, NY:
McGraw Hill, 1996:1092–100.
BarnardWG. Embryoma of lung.Thorax 1952;7:299
 Solid, mixed and cystic heterogeneous low attenuation,
pleural effusion , contralateral mediastinal shift, and lack
of chest wall invasion .
 Type 1-Multicystic
 Cysts separated by fibrovascular septae lined
with benign respiratory epithelium
 Stroma-small round to spindle cells
condensing to form a continuous cambium
layer beneath the epithelium
 Rhabdomyoblastic differentiation
Congenital lobar emphysema (CLE) refers to an
over inflation of one or more lung lobes
presumably due to various factors including a
possible obstructive check valve mechanism at
a bronchial level .
BerrocalT, Madrid C, Novo S et-al. Congenital
anomalies of the tracheobronchial tree, lung,
and mediastinum: embryology, radiology, and
pathology. Radiographics. 24 (1):
e17.doi:10.1148/rg.e17
 Neonatal period or infancy
 Males>females
 Left upper lobe and right middle lobe
 Congenital lobar overinflation-Normal
architecture with overdistention of the alveoli
 No true emphysematous changes
Emphysema: Permanent distention of the
airspaces distal to the terminal bronchiole
with destruction of their walls
 Etiology
 Not found in up to 50%
 Bronchial obstruction found in ~25%
 Allows collapse on exhalation (ball-valve
mechanism)
 Air trapping leads to alveolar overinflation
1. Intrinsic obstruction (more common)
 Intramural: Defect in the bronchial wall
Defective quantity or quality of cartilage
 Intraluminal: Lesion in the lumen of the
bronchus
Redundant bronchial folds, mucous plugs
1. Extrinsic obstruction
 Compression of the bronchus from a lesion
outside the bronchial wall
 Cardiovascular: PDA, vascular sling
 Mass: Lymph node, bronchogenic cyst,
oncologic mass
Upper lobes are predominantly involved
LUL: 42%
RML: 35%
RUL: 21%
Lower lobes: <1%
Bilateral involvement: ~20%
Symptoms (in order of decreasing frequency)
1. Moderate respiratory distress (most)
2. Cyanosis (half)
3. Mild respiratory distress (less than half)
4. Asymptomatic (infrequent)
5. Severe life-threatening distress (least
common)
Massive distention of alveolar spaces,
but no tissue destruction
 It is necessary for pediatricians to evaluate
associated anomalies because 14% of the
cases of CLE have coexistent congenital
heart disease
 Bronchial atresia (BA) is a developmental
anomaly characterised by focal obliteration of
the proximal segment of a bronchus.
 The bronchi distal to the atresia become filled
with mucus and may form a mucocoele
 The lung distal to the atretic bronchus develops
normally but is overinflated due to collateral air
drift with air trapping.
 Most commonly occurs at the apico-posterior
segment of the left upper lobe
The bronchioles plugged by mucus and the surrounding alveoli are dilated.
Many neutrophils and macrophages were found within the bronchi and surrounding
lung parenchyma, indicating acute or chronic infection.
Alveoli were enlarged, with a loss of alveolar walls.
 Primary pulmonary lymphangiectasia (PPL) is
a rare disorder of unknown aetiology
characterised by dilatation of the
pulmonary lymphatics
Primary pulmonary lymphangiectasia in infancy
and childhood
P.M. Barker, C.R. Esther Jr, L.A. Fordha, S.J.
Maygarden, W.K. Funkhouser
European respiratory journal
 Full term infants with respiratory distress,
pleural effusion(chylous)/generalised
oedema
 Pleural effusions with diffuse interstitial
infiltrates
Diffuse thickening of the interstitium, both of the peribronchovascular interstitium and
the septa surrounding the lobules
Dilated lymphatic spaces in the sub-pleural connective tissue, along thickened interlobar
septa, and around bronchovascular axes
Developmental cysts
Non-infectious:
 Blebs and bullae
 Pulmonary Langerhans’ cell histiocytosis (PLCH)
 Lymphangioleiomyomatosis (LAM)
 Honeycomb lung
Infectious:
 Pneumatocoele
 Pneumocystis carinii pneumonia (PCP)
 Tuberculosis
 Hydatid cyst
 Coccidiodomycosis
 Pleuropulmonary blastoma
 Cystic teratoma
 Multicystic mesothelioma
 Cystic mesenchymal hamartoma
 Metastases
 Cystic bronchiectasis
HartmanTE. CT of cystic diseases of the lung.
Radiologic Clinics of North America.
2001;39(6):1231-43
Disease Findings Distribution Assoc.
Findings
IPF Honeycomb cysts
Subpleural, basilar
predominance
Irregular lines of
attenuation, ground-
glass
PLCH Thin-walled cysts Random, spares bases Nodules
LAM Thin-walled cysts Random, diffuse Chylous effusion
TS Thin-walled cysts Random, diffuse Angiomyolipomas of
kidneys and liver
LIP Thin-walled cysts Basilar predominance Ground-glass
attenuation
Cystic
Bronchiectasis
Cystic structures
contiguous with
bronchial tre
Diffuse or focal Signet ring sign: each
cystic space has an
attendant vessel
Adapted from: HartmanTE. CT of cystic diseases of the lung. Radiologic Clinics of
North America 2001;39(6):1231-43.
 CT Scan:Thin walled cystic air space
contiguous with the pleura
 Arbitrary distinction between bleb and a bulla
is of little clinical significance
Hansell DM, Bankier AA, MacMahon H, et al. Fleischner
Society: Glossary of terms for thoracic imaging.
Radiology 2008;246(3):697-722.
 The term bleb usually connotes a subpleural collection of air
within the layers of visceral pleura caused by a ruptured
alveolus.
 The air dissects through the interstitial tissue into the thin, fibrous
layer of visceral pleura where it accumulates to form a bleb.
 Rupture of a bleb is often associated with the development of
a spontaneous pneumothorax
Cystic and Bullous Lung Disease
Robert R. Klingman, MD, Vito A. Angelillo, MD, andTom R.
DeMeester, MD Departments of Surgery and Pulmonary
Medicine, Creighton University School of Medicine, Omaha,
Nebraska
AnnTkorac Surg 1991;52:576-80)
 An air filled space within the lung
parenchyma resulting from deterioration
of the alveolar tissue.
 These lesions have a fibrous wall ,
trabeculated by the remnants of alveolar
septa.
 They can develop in a lung that is otherwise
normal or in a lung in which the architecture
has been destroyed by chronic obstructive
disease.
 Bullae can reach substantial size and occupy
an entire lobe
 Usually seen in chronic obstructive
pulmonary disease but also seen in normal
young healthy individuals
 Chronic obstructive pulmonary disease- no
lobar predilection for the bullae
 Asymptomatic patients, bullae - in the upper
lobes and peripherally
Bullae are large dilated airspaces that bulge out from beneath the pleura
Bulla results from destruction
of alveolar walls (paraseptal
emphysema).The bleb
results from rupture of
alveolar air into the pleura
 Bullae in the substance of the lung
 Blebs in the visceral pleura outside the inner
elastic lamina
 PLCH is typically a disease of young adults
which predominately affects the lungs and
bones
 Very strong association with smoking(90%)
 Interstitial lung disease
 Lung affected in isolation or in association
with organ systems
 Pulmonary disease in PLCH is characterized
by peribronchiolar 1-10 mm nodules in the
early stages
 In later stages of PLCH, the major pulmonary
finding is cysts (present in 80% of patients)
and there may be no nodules present
 Lung bases are relatively spared at all
disease stages
 The abnormalities are diffuse and
symmetrical.
 The cysts in PLCH vary in size and shape, in
contrast to the uniform appearance of cysts
in lymphangioleiomyomatosis (LAM)
Characteristic combination of diffuse cysts and
centrilobular micronodules
 Cysts more pronounced later in the disease
usually less than 10mm in diameter may
measure up to 2 - 3 centimetres in size
 Thin-walled, but on occasion may be up to a few
millimetres thick
 confluence of 2 or more cysts results in bizarre
shapes :
 bilobed
 cloverleaf
 branching
 internal septations
 The earliest histologic lesion of PLCH consists of
proliferation of Langerhans’ cells along small airways
 These early cellular lesions expand to form nodules 1 to 5
mm in diameter.
 The characteristic lesion is composed of variable numbers
of Langerhans’ cells,eosinophils,plasma cells,
lymphocytes, fibroblasts, and pigmented alveolar
macrophages, which form a loosely aggregated
granulomas
 These granulomas are typically centered around distal
bronchioles, where they infiltrate and destroy airway walls
 It is postulated that as these cellular
granulomas evolve, peripheral fibrosis forms
resulting in traction on the central
bronchiole which becomes cyst-like
 Evolution from nodule, through cavitating
nodule and thick walled cysts, to the 'stable'
thin-walled cysts
 Electron microscopy may reveal
characteristic Birbeck granule
 Lymphangioleiomyomatosis (LAM) is a
disorder of smooth muscle proliferation.
 Primarily affects women of childbearing
age.
 It also can present after menopause in
women undergoing estrogen hormonal
treatment.
 This condition is indistinguishable from
pulmonary involvement in tuberous sclerosis,
which can also occur in men
 Characterized by the progressive proliferating and
infiltrating smooth muscle like cells
(lymphangioleiomyomatosis cells)
 Cystic destruction of the lung parenchyma; obstruction of
airways, blood vessels, and lymphatics
 2 main forms:tuberous sclerosis complex (TSC)–
associated LAM and sporadic LAM (S-LAM).
 In tuberous sclerosis, type II pneumocytes form clusters
termed multifocal micronodular pneumocyte hyperplasia
that are unique toTSC and may occur in the absence of
LAM in these patients
Two phases of proliferation in
lymphangiomyomatosis.
 The early phase - proliferation of immature
muscle cells which cover alveolar walls,
bronchioles, pleura and vessels, including
lymphatic routes.
 Late phase - development of cystic spaces
and wider proliferation of muscle cells
throughout the lung.
 An immunohistochemical study of
metalloproteinases (MMP) and their inhibitors
suggested that MMP-2 and MMP-9 (both of
which can degrade elastin as well as the
collagens) are responsible for the connective
tissue destruction and cyst formation in LAM
HayashiT, Fleming MV, Stetler-Stevenson WG, et al. Immunohistochemical
study of matrix metalloproteinases (MMPs) and their tissue inhibitors
(TIMPs) in pulmonary lymphangioleiomyomatosis (LAM). Hum Pathol 1997;
28: 1071–1078.
It shows thin-walled cysts of relatively uniform size diffusely distributed
throughout all lung fields .The cysts may vary in size from 2 to 40 mm
 Small clusters or nests at the edges of the
cysts and along the alveolar walls, pulmonary
blood vessels, lymphatics, and bronchioles .
 Mitotic figures are rarely seen.
 Loss of alveoli is associated with cyst
formation
 The proliferating LAM cells are
morphologically heterogeneous and can be
classified into 2 types: spindle-shaped cells
and epithelioid cells.
 Spindle-shaped cells are centrally located,
whereas the epithelioid cells exist in the
peripheral regions of the LAM cell nodules
 Lymphangioleiomyomatosis cells coexpress
smooth muscle markers (such as smooth
muscle actin and desmin) and melanocytic
markers (such as HMB-45, Melan-A/MART-
1, and microphthalmia transcription factor)
 Coexpression of contractile proteins and
melanocytic markers, LAM cells are
suggested to be of perivascular epithelioid
cell origin
 Demonstration of the presence of estrogen receptor
(ER) and progesterone receptor (PR) in the epithelioid
LAM cells (50%) who never received hormone treatment.
 ER and PR are selectively expressed in epithelioid LAM
cells and are down-regulated by hormone therapy
Matsui K,Takeda K,Yu ZX, et al. Downregulation of
estrogen and progesterone receptors in the abnormal
smooth muscle cells in pulmonary
lymphangioleiomyomatosis following therapy: an
immunohistochemical study.
Am J Respir Crit Care Med. 2000;161(3, pt 1):1002–1009.
 Recently, CD1a and cathepsin K were found to be positive in
both spindle shaped and epithelioid LAM cells
 Useful new markers for the diagnosis of pulmonary LAM and
renal angioleiomyoma
Chilosi M, Pea M, Martignoni G, et al. Cathepsin-K expression
in pulmonar lymphangioleiomyomatosis. Mod Pathol.
2009;22(2):161–166
AdachiY, HorieY, KitamuraY, et al. CD1a expression in
PEComas. Pathol Int. 2008;58(3):169–173
 Pneumatocoeles are intrapulmonary air-
filled cystic spaces that can have a variety of
sizes and appearances.
 They may contain air-fluid levels and are
usually the result of ventilator-inducted lung
injury in neonates or post-pneumonic
 Staphylococcus aureus: most common
 Pneumocystis carinii
 Streptococcus pneumoniae
 Haemophilus influenzae
 Escherichia coli
 Group A streptococci
 Klebsiella pneumoniae
 Adenovirus
 Primary tuberculosis
 Smooth inner margins
 Contain little if any fluid
 Wall (if visible) is thin and regular
 Persist despite absence of symtpoms
 Arise from necrotic foci that develop early in disease,
initially have irregular shapes and thick walls.
 Exudate disappears, and walls thin.
 Necrotic material around the pneumatocele.
 Walls can contain organized inflammatory cells with
focal collections of multinucleated giant cells.
 In 1972, Boisset reported the presence of air corridors
between the bronchiolar lumen and the interstitial
space
Boisset GF. Subpleural emphysema complicating staphylococcal and other
pneumonias.J Pediatr. Aug 1972;81(2):259-66.
 True infectious cysts that persist despite
resolution of the primary infection may occur
with Pneumocystis carinii pneumonia or
Echinococcosis (hydatid disease).
 Cysts vary in size, shape, number, wall thickness
– Thin-walled (<3mm), usually air-filled
– Usually multiple, bilateral
– May be intraparenchymal or subpleural
– upper lobe predominance
 Cystic disease now occurs in 10-34% PCP cases
 Cysts in HIV patient are highly suggestive of PCP
Boiselle, PM, Crans, CA and Kaplan, MA. The Changing Face of
Pneumocystis carinii P in AIDS Patients. AJR 1999; 172: 1301-
1309.
Lung cysts are usually multiple, thin walled and bilateral, but range
in size, shape and distribution
Alveoli which are distended with honey- combed, foamy, brightly
eosinophilic material .There is a scanty inflammatory infiltrate composed
mainly of monocyte, occasional plasma cells and histiocytes.
Grocott's silver stain shows black cysts in alveolar wall & exudates. It looks as round or
indented (“new-moon” shape). )
 Tuberculosis may present with atypical
manifestations in one-third of the cases, and
multiple thin-walled cysts are one such rare
manifestations of tuberculosis
Lee JY, Lee KS, Jung KJ et al. Pulmonary tuberculosis: CT
and
pathologic correlation. J Comput AssistTomogr 2000;
24:691-8.
 Marked caseating necrosis of the bronchial
walls cystic bronchiectasis
 Granulomatous involvement of the
bronchioles may lead to a check-valve
mechanism leading to cyst formation
 In isolated cases, isoniazid has been
implicated
Multiple large cysts
(bilateral), thin walled, and
involving all zones of the
lung
 Hydatid cysts may be solitary or multiple, the
number depending mainly on the amount of
ova ingested and the number of embryos
filtered through the liver and lungs.
 A centrally located cyst is said to be usually
round, but may become oval or polycyclic
 Inferior lobes most commonly affected
 Intact:ruptured::3:1
 The cysts may change shape on maximum
inspiration and expiration, which is known as
the Escudero- Nimerov sign, but which is true
also of any thin-walled water filled cyst
Calcified unilocular hydatid
cyst. Contrast material-
enhanced CT scan shows a
round lesion with water
attenuation and a ringlike
pattern of calcification
(arrows).This pattern
represents calcification of
the pericyst and strongly
suggests a diagnosis of
hydatid cyst
 Outer acellular laminated membrane
 Germinal membrane
 Protoscolices, attached and budding from
the membrane
 When acute, cavities can be thick-walled or
surrounded by dense consolidation.
 Thin walled grape skin cysts can also be seen
with acute infection or as a result of healing
of the thick walled lesions
large (up to 80 micron) spherules/sporangia, as shown in this case.These are filled with
numerous spherical endospores.The sporangia and endospores can be within giant cells
or extracellularly.
 The original usage was a gross pathological
term employed at autopsy to describe lungs
with a wormeaten or honeycomb
appearance
II. HEPPLESTON,A. G. Pathology of honeycomb `lung. Thorax, 1956, II,
77-94.
 Honeycombing represents destroyed and
fibrotic lung parenchyma with numerous cystic
airspaces with thick fibrous walls representing
the late stages of lung diseases with complete
loss of acinar architecture.
 Variable wall thickness and lined by metaplastic
bronchiolar epithelium
Hansell DM, Bankier AA, MacMahon H, et al.
Fleischner Society: Glossary of terms for
thoracic imaging. Radiology. 2008;246(3):697-
722.
 Essential change is the obliteration of
bronchioles by fibrosis or granulomata and
compensatory dilatation of neighboring
bronchioles, which forms the honeycomb
appearance
Heppleston AG.The pathology of honeycomb
lung.Thorax 1956; 11:77–93
 “Clustered cystic air spaces, typically of comparable
diameters on the order of 3–10 mm but occasionally
as large as 2.5 Cm.
 Usually subpleural and characterized by welldefined
walls”
 However, “the cystic air spaces of honeycomb lung
tend to share walls”
Hansell DM, Bankier AA, MacMahon H, McLoud
TC, Muller NL, Remy J. Fleischner Society: glossary of terms for
thoracic imaging. Radiology 2008; 246:697–722
WebbWR, Muller NL, Naidich DP. Standardized terms for high-
resolution computed tomography of the lung: a proposed
glossary. JThorac Imaging 1993; 8:167–175
 Honeycombing was identified in 41–100% of
UIP, depending on the reported series .
 Nonspecific interstitial pneumonia (NSIP) and
desquamative interstitial pneumonia (DIP),
which are the chronic interstitial pneumonias
of IIP show honeycombing in 0–30% and 4.3–
39%, respectively .
 In acute interstitial pneumonia, the
frequency is lower, ranging from 6% to 14%
 Honeycomb cysts are a feature of idiopathic
pulmonary fibrosis (IPF) and typically have a
subpleural location
 Walls of the cysts are clearly defined and
thickened – a sign of fibrosis
 Predominant in posterior and lower lobes
 This characteristic distribution distinguishes UIP
from other diseases with honeycomb lung.
Diffuse ground glass opacities with cysts (arrow). (B) A high resolution
CT scan from the same patient more clearly shows cysts within ground glass
opacities.Traction bronchiectasis is also present, suggesting that the ground glass
opacities are secondary to fibrosis rather than an inflammatory process.
Multiple thin-walled
cysts occupying
most of lobe. Note
that some cysts
contain mucous
material
Idiopathic pulmonary fibrosis showing traction bronchiectasis (white
arrows).The adjacent bronchi and vasculature differentiates these structures
from true cysts. End-stage lung fibrosis is evident with diffuse honeycombing
(black arrow), reticulation and traction bronchiectasis.
 Patchwork pattern, which is characterized by
alternating zones of abnormal and normal lung side
by side without transition zones
 Small islands of residual normal or nearly normal lung
interspersed among extensively scarred parenchyma
 Combination of areas of honeycomb change and scars
that replace normal alveoli
 Honeycomb areas are characterized by enlarged
airspaces lined by bronchiolar epithelium and often
filled by mucin and variable numbers of inflammatory
cells.
 Small areas of active fibrosis (fibroblast foci) are
present in the background of collagen deposition
 It is a disease that is seen almost exclusively
in current or former smokers
 Accumulation of pigmented macrophages
within the airspaces with a homogenous
appearance and limited mononuclear
infiltrate within the interstitium.
The alveolar septa are thickened by a sparse inflammatory infiltrate that often
includes plasma cells and occasional eosinophils, and they are lined by plump
cuboidal pneumocytes.The intraluminal macrophages in DIP frequently contain
dusty brown pigment .
Cellular non-specific interstitial pneumonia (NSIP) pattern. On higher power,
the septal widening is due to a mild to moderate infiltrate of lymphocytes
with scattered plasma cells, with minimal associated fibrosis.
Marked thickening of the alveolar septa due to interstitial edema,
inflammatory cell infiltration, fibroblast proliferation (within the
interstitium and airspaces), and type II cell hyperplasia, Hyaline membranes
in focal areas along alveolar septa,Thrombi in small arteries
Honeycomb cystic lung disease
 Asbestosis
 Collagen vascular disease
 Hypersensitivity pneumonitis
 Sarcoidosis
 Bronchiectasis, or the dilatation and distortion
of bronchi and bronchioles, may be mistaken for
cystic airspace disease when a dilated airway is
viewed ‘‘en face’’
 Bronchiectasis may be the result of either a
chronic suppurative process or accompany lung
fibrosis, when it is then referred to as traction
bronchiectasis
Challenges in pulmonary fibrosis ? 3: Cystic lung disease
Gregory P Cosgrove, Stephen K Frankel, Kevin K Brown
Thorax 2007;62:820–829. doi: 10.1136/thx.2004.031013
 Cystic bronchiectasis can be differentiated from
true cystic lung disease by the continuous
relationship of the cystic structure to bronchial
tree
 Approximately uniform, medium-sized cavities
are typical of cystic bronchiectasis.
 Valsalva and Mueller maneuvers produce rapid
change in the size of cysts, which freely
communicate with the airways; this change
distinguishes cystic bronchiectasis from other
conditions.
Differentiated from cystic lung disease by the
presence of an adjacent blood vessel
suggesting a bronchovascular unit rather
than a cystic air space.
 Mesenchymal cystic hamartoma (MHC) of
the lung is a very rare disease with an
indolent clinical course and might be easily
misdiagnosed as pleuropulmonary blastoma
and other uncommon cystic lung lesions
 Bilateral multifocal cysts lined by normal or
metaplastic respiratory epithelium resting on
a cambium layer of mesenchymal cells
● Lesion is initially solid, but becomes cystic
when approximately 1 cm in diameter
● Slow growing
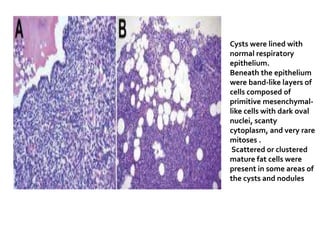
Cysts were lined with
normal respiratory
epithelium.
Beneath the epithelium
were band-like layers of
cells composed of
primitive mesenchymal-
like cells with dark oval
nuclei, scanty
cytoplasm, and very rare
mitoses .
Scattered or clustered
mature fat cells were
present in some areas of
the cysts and nodules
 Rarely described in the pleura
 Single or multiple thin walled cysts
 Multiloculated cyst lined by attenuated or
cuboidal cells with atypia
 Intrapulmonary teratomas typically range
from 2.8 to 3 cm in diameter, and are cystic
and multiloculated but may rarely be
predominantly solid
 In 42% of the cases, the cysts are in
continuity with bronchi, and have an
endobronchial component resulting in
hemoptysis or expectoration of hair or sebum
 Radiographically, lesions are typically cystic
masses often with focal calcification.
 Microscopically, mesodermal, ectodermal and
endodermal elements are seen in varying
proportions.
 Pulmonary teratomas are mostly composed of
mature, cystic somatic tissue
 Mature elements often take the form of
squamous lined cysts.
 Thymic or pancreatic elements may be seen in
mature teratomas
 The appearance of cystic lesions in the lung in
malignancy is rare and predisposes to spontaneous
pneumothoraces.
 Multiple cystic lesions occur commonly in bronchus
carcinoma and also sarcoma, bladder cancer and,
less commonly, lymphoma
 Both chemotherapy and immune suppression can
induce cavitation in malignant lesions.
 Tumour necrosis and tumour infiltration of air-
containing spaces with a check-valve mechanism are
postulated for causing these cystic lesions
 Spontaneous pneumothorax complicating
sarcoma is associated with most cell types,
recurrent in nearly half of the patients
The main cell types consisted of
angiosarcoma (39%), leiomyosarcoma
(15%) and osteosarcoma (15%)
Hoag JB, Sherman M, FasihuddinQ, et al. A comprehensive review of
spontaneous pneumothorax complicating sarcoma. Chest 2010; 138:
510–518
 Metastases from the head and neck tended to cavitate
when small and to have thin walls, whereas metastases
from squamous cell carcinomas of the bladder and
genitalia generally cavitated when they were larger and
had thickened walls.
 Seminoma, Ewing sarcoma, myxosarcoma, Wilms tumor,
osteogenic sarcoma, angiosarcoma, transitional cell
carcinoma, teratocarcinoma
Multiple,Thin-Walled Cystic Lesions of the Lung
J. David Godwin,w. RichardWebb, Charles J. Savoca
Gordon Gamsu, Philip C. Goodman
AJR 135:593-604, September 1980
0361 -803X/80/1 353-0593
 Pulmonary thromboembolism
 Neurofibromatosis
 Follicular bronchitis
 Pulmonary spread of laryngeal papillomatosis
 Hodgkin’s lymphoma
 Rheumatoid arthritis with necrobiotic
nodules
 Birt Hogg syndrome
 Down’s syndrome

Ppt cyst lung

  • 1.
  • 2.
    Pathology  A cystis a round circumscribed space surrounded by an epithelial or fibrous wall of variable thickness. Hansell DM, Bankier AA, MacMahon H, et al. Fleischner Society: Glossary of terms for thoracic imaging. Radiology 2008;246(3):697-722.
  • 3.
  • 4.
     A cystappears as a round parenchymal lucency or low attenuating area with a well defined interface with normal lung.The wall thickness is usually <4mm  No associated pulmonary emphysema  Usually contain air but may contain fluid or solid material Hansell DM, Bankier AA, MacMahon H, et al. Fleischner Society: Glossary of terms for thoracic imaging. Radiology 2008;246(3):697-722. Accessed via Pubmed.com
  • 5.
     Also usedto describe enlarged thin walled air spaces in lymphangioleiyomyomatosis and Langhan’s cell histiocytosis  Thick walled honeycomb lungs seen in end stage fibrosis
  • 6.
    Entity Imaging characteristics Lungcyst Well-circumscribed, rounded, thin-walled air-filled structure within the lung parenchyma. Wall thickness of ≤3mm. Cavity Air-filled space within the pulmonary parenchyma with thicker walls (>4 mm). Emphysema Polygonal-shaped lucent area without definable walls. Bronchiectasis Air-filled space within the lung parenchyma that branches and connects with the airway. Associated airway abnormalities including air trapping, bronchial wall thickening, and bronchiolar impactions. Honeycombing Clustered subpleural airspaces with variable size and wall thickness. Other signs of pulmonary fibrosis: architectural distortion, traction bronchiectasis, and reticular opacities.
  • 7.
     They includebronchiolar check-valve mechanism, vascular occlusion or ischaemia necrosis, and dilation of the bronchioles  Degradation of the connective matrix, especially by metalloproteinases, may play a further role particularly in LAM and PLCH 1. KuhlmanJE, Reyes BL, Hruban RH, et al. Abnormal air-filled spaces in the lung. Radiographics 1993; 13: 47–75. 2. IchikawaY, Kinoshita M, KogaT, et al. Lung cyst formation in lymphocytic interstitial pneumonia: CT features. J Comput AssistTomogr 1994; 18: 745– 748. 331. 3. Worthy SA, Brown MJ, Muller NL.Technical report: cystic air spaces in the lung: change in size on expiratory high-resolutionCT in 23 patients. Clin Radiol 1998; 53: 515–519. 332 4. Lee KN,Yoon SK, Choi SJ, et al. Cystic lung disease: a comparison of cystic size, as seen on expiratory and 5. inspiratory HRCT scans. Korean J Radiol 2000; 1: 84–90.
  • 8.
    The valve mechanismhad been defined by BROOKE as ‘‘one in which the entrance from a bronchus into a lung cavity become obstructed in a valve-like manner, presumably with a piece of necrotic tissue, and thus allows the ingress of air during inspiration but prevents the egress during expiration’’. Brooke B. Excessive spontaneous inflation of a lung cavity. Lancet 1931; 2: 240–241.
  • 10.
    Focal or multifocalcystic lung disease Congenital  Bronchogenic cysts  Pulmonary sequestration  Congenital cystic adenomatoid malformations (CCAM) Infectious  Pulmonary tuberculosis  Coccidioidomycosis  Pneumocystis carinii pneumonia  Echinococcus granulosus or E multilocularis Lymphocytic interstitial pneumonia (LIP) Desquamative interstitial pneumonia (DIP)
  • 11.
    Diffuse cystic lungdisease Pulmonary Langerhans’ cell histiocytosis (PLCH) Lymphangioleiomyomatosis (LAM) Honeycomb cystic lung disease  Asbestosis  Idiopathic pulmonary fibrosis  Collagen vascular disease  Hypersensitivity pneumonitis  Sarcoidosis Miscellaneous  Cystic lung disease in Down’s syndrome118 119  Birt-Hogg Dube syndrome120–122  Trauma
  • 14.
     Bronchogenic cyst Pulmonary sequestration  Congenital cystic adenomatoid malformation  Lobar emphysema  Bronchial atresia  Lymphangiectasia  Plueropulmonary blastoma
  • 15.
     Pneumatocoele Others  Lymphaticcysts  Enteric cysts  Mesothelial cysts  Simple parenchymal cysts
  • 16.
     Shanti andKlein (2008) studied a series of 236 patients undergoing pulmonary resection for cystic lung lesions.  Bronchogenic cysts constituted 20% of this group. Of these 47 cases, 20 involved a lobar location, which required lobectomy, and 27 cases were extralobar and were treated with resection of the cyst. Shanti CM, Klein MD. Cystic lung disease. Semin PediatrSurg. Feb 2008;17(1):2-8.
  • 17.
     Bronchogenic cystsare supernumery foregut buds disconnected and separated from the tracheobronchial tree to form a cystic mass during embryogenesis (between 4th - 6th weeks)  Most common site is middle mediastinum (65- 90%)  Remote locations, including the interatrial septum, neck, abdomen, and retroperitoneal space.
  • 18.
     Most bronchogeniccysts are found incidentally.  In infants- compression of the trachea or bronchi and esophagus-wheezing, stridor, dyspnea, and dysphagia.  Intraparenchymal cysts may manifest with recurrent infection.
  • 19.
    Thin walled sphericalunilocular masses –fluid filled, air filled or with air fluid levels
  • 21.
     Lined bysecretory respiratory epithelium (cuboid or columnar ciliated epithelium)  Wall-cartilage, elastic tissues, mucous glands and smooth muscle  They do not usually communicate with the bronchial tree, and are therefore typically not air filled.  Contain fluid (water), variable amounts of proteinaceous material, blood products, and calcium oxalate
  • 24.
    MIMICS Enteric cyst Posteriormediastinum Gastric epithelium Oesophageal cyst Squamous lining Double muscle layer Pericardial cyst Unilocular, Mesothelial lining
  • 25.
    Complications Fistula formation Ulceration ofcyst wall Superimposed infection Haemorrhage
  • 26.
    It is characterizedby a portion of lung that does not connect to the tracheobronchial tree and has a systemic arterial supply,usually from the thoracic or abdominal aorta Newman B. Congenital bronchopulmonary foregut malformations: concepts and controversies. Pediatr Radiol 2006;36(8):773–791.
  • 27.
    Two types ofsequestration have been described: intralobar and extralobar. The extralobar form has its own pleural investment and systemic venous drainage, The intralobar form shares the pleural investment with the normal lung and usually (but not invariably) drains into the pulmonary venous system
  • 29.
     Intralobar sequestration Earlychildhood or adolesence with recurrence lower lobe pneumonia  Extralobar Usually asymptomatic May have cyanosis and feeding difficulties Associated with diaphragmatic hernias, cardiac malformations and foregut anomalies
  • 32.
     Usually seenin the left lower lobe  CT-homogenous soft tissue mass, cysts containing air or fluid, focal emphysema or hypervascular focus of lung parenchyma  Lung tissue is poorly developed and cystically dilated  Cysts lined by columnar to cuboidal epithelium
  • 33.
     Pleura thickenedwith adhesions  Parenchyma-cysts upto 5cm in dia with mucinous or purulent material and fibrosis.
  • 35.
     Loose, spongytissue with numerous small cystic spaces containing clear, mucoid fluid.  Dilated bronchi with mucous or purulent material  Alveoli filled with foamy macrophages  Thick walled vessels reflecting systemic vascular drainage with elastic stains 1. DeParedes CG, Pierce WS, Johnson DG, Waldhausen JA. Pulmonary sequestration in infants and children: a 20-year experience and review of the literature. J Pediatr Surg. Apr 1970;5(2):136-47. 2. AFIP, Non neoplastic disorders of lower respiratory tract
  • 38.
     A congenitalpulmonary airways malformation (CPAM) (until recently described as a congenital cystic adenomatoid malformation (CCAM)) refers to a multi-cystic mass of segmental lung tissue with abnormal bronchial proliferation.  It is considered part of the spectrum of bronchopulmonary foregut malformations BerrocalT, Madrid C, Novo S et-al. Congenital anomalies of the tracheobronchial tree, lung, and mediastinum: embryology, radiology, and pathology. Radiographics. 24 (1): e17.
  • 40.
     Failure ofnormal broncho-alveolar development with hamartomatous proliferation of terminal respiratory units in a gland-like pattern (adenomatoid) without proper alveolar formation.  These lesions have intracystic communications and, unlike bronchogenic cysts, can also have a connection to the tracheobronchial tree
  • 41.
     The termcongenital adenomatoid malformation of the lung was first used by Ch’in andTang in 1949  Incidence of about 1 in 25,000 live births  Stocker described 3 types which were expanded to 5 types in 2005  Type 0 (Tracheobronchial) to type 4 (Alveolar)
  • 42.
     CPAM, type0, also known as acinar dysplasia or agenesis, is a rarely occurring and infrequently described malformation that is largely incompatible with life.  It is seen in term and premature infants who are cyanotic at birth and survive only a few hours  Associated with cardiovascular abnormalities and dermal hypoplasia
  • 43.
     Bronchial typeairways with cartilage, smooth muscle and glands separated by abundant loosely vascularised mesenchyme  Ciliated pseudostratified cells with goblet cells  Mucous cells and cartilage in all cases
  • 45.
     CPAM, type1, the large or predominant cyst type  First week to month of life, can be seen in older children and even young adults.  65% of cases ,amenable to surgery with a good prognosis.
  • 46.
    CT scan showsmultiple large cysts (>2cm) involving the lower lobe of left lung.The cysts are air-filled, expand the lower lobe, cause mediastinal shift and hypoplasia of right lung
  • 49.
     Boundary betweenlesion and adjacent lobe sharply delineated  Cysts(2-10cm in diameter) lined by pseudostratified cilated columnar epithelium interspersed with rows of mucous cells(in 1/3rd of cases)  Polypoid or papillary appearance due to elastic tissue beneath the epithelium  Interspersed alveolar ducts,saccules and alveolae  Absent cartilage and inflammation
  • 50.
     Type 1congenital cystic adenomatoid malformation (CCAM), the most frequent malformation of the lung, is the only type to present intracystic mucinous cell clusters, which may form beyond the cysts, extracystic mucinous proliferation resembling mucinous bronchioloalveolar carcinomas (BACs).  As mucinous BACs are increasingly described in the literature in young patients with CCAM, we hypothesized that type 1 CCAM mucinous cells could represent BAC precursors. Mucinous Cells inType 1 Pulmonary Congenital Cystic Adenomatoid Malformation as Mucinous Bronchioloalveolar Carcinoma Precursors Lantuejoul, Sylvie MD, PhD; Nicholson, Andrew G. MD†; Sartori, Giuliana PhD; Piolat, Christian MD; Danel, Claire MD, PhD∥; Brabencova, Eva MD; Goldstraw, Peter MD; Brambilla, Elisabeth MD, PhD*; Rossi, Giulio MD AJSP, June 2007 -Volume 31 - Issue 6 - pp 961-969 doi: 10.1097/01.pas.0000249444.90594.27
  • 52.
     CCAM-Maturation defectsat various points during organogenesis and maturation  Focal atypical goblet cell hyperplasia in 33%  Bronchioloalveolar carcinoma in 1%.  Mean age -26 years  All mucinous in character  Sheffield et al described premalignant changes in type 1 CCAM Epithelial hyperplasia and malignant change in congenital lung cysts Clin pathol 1987;40.61-14
  • 53.
     Mucous cellproliferation-hyperplasia  Extension into adjacent alveoli- lepidic growth pattern-Brochioloalveolar cell carcinoma  IHC:IL-3,IL4 and MUC-2 nuclear staining in atypical goblet cells and cytoplasmic and nuclear staining in adjacent epithelium  Chromosomal aberrations in the mucous cells similar to those in adenocarcinoma in non smokers  Good prognosis with exceptional metastasis
  • 54.
     BAC inCCAM less aggressive disease than BAC in a structurally normal lung  DouglasWest et al, Dept of histopathology and cardiothorasic surgery,Glasgow uk The society of thorasic surgeons
  • 55.
     CPAM, type2, the medium cyst type, accounts for 10% to 15% of cases.  Seen within the first year of life  Poorer outcome  Grossly, cysts rarely more than 1.5 cm in diameter that tend to blend with the normal adjacent parenchyma.
  • 56.
    Areas of lowattenuation consist of clusters of multiple, small and evenly spaced air cysts
  • 58.
     Multiple smallcysts(0.5-2cm)  Small relatively uniform cysts resembling bronchioles separated by normal alveoli.  Cysts are lined by cuboid-to-columnar epithelium and have a thin fibromuscular wall.  No mucous cells or cartilage  Solid pale tumor-like tissue with striated muscle in 5%
  • 62.
     First daysto month of life  Male predominance, and owing to its large size  Maternal polyhydramnios and fetal anasarca, high mortality rate  Grossly, the lesion is “noncystic” and appears more like dense pulmonary parenchyma
  • 63.
     Grossly asolid mass without obvious cyst formation
  • 65.
     Solid appearance Excess of bronchiolar structure separated by small air spaces, with cuboidal lining resembling late fetal lung  Microscopic adenomatoid cysts
  • 67.
     The peripheralacinar cyst type, appears to be a hamartomatous malformation of the distal acinus.  This variant is seen equally in boys and girls, with an age range of newborn to 4 years and accounts for 10% to 15% of cases.  type 4 lesions may present with mild respiratory distress, sudden respiratory distress from tension pneumothorax, pneumonia.
  • 68.
    Grossly, large thin-walledcysts are present at the “periphery” of the lobe and appear to be lined by a smooth membrane.
  • 69.
     Cysts(upto 10cm) are lined by flattened epithelial cells (type I and II alveolar lining cells) over most of wall, with occasional low cuboidal epithelium seen.  The wall of the cyst is composed of loose mesenchymal tissue with prominent arteries and arterioles.  Loose mesenchyme must not be confused with similar features seen in the cystic type of PPB.
  • 71.
     Focal stromalhypercellularity (50%)  Focal immature cartilage  Associated pleuropulmonary blastoma (bilateral type 4 CCAM with stromal cellularity)
  • 72.
     Low-grade cysticPPB has been confused with large cyst type 1 CCAM/CPAM and type 4 CPAM, and likely accounts for many, if not all, reports of malignancy arising in large cyst CCAM.  Low-grade cystic PPB can be distinguished histopathologically on the basis of the presence of a thin layer of primitive mesenchymal cells beneath the cyst wall Hill DA, Jarzembowski JA, Priest JR,Williams G, Schoettler P, Dehner LP.Type I pleuropulmonary blastoma: pathology and biology study of 51 cases from the international pleuropulmonary blastoma registry. Am J Surg Pathol 2008;32(2):282–295.
  • 73.
     Type 2CPAM has been noted in nearly 50% of cases of extralobar sequestrations.
  • 74.
     Type Ior purely cystic PPB is usually associated with larger cysts, more typical of type 4 CCAM.  Controversy exists as to whether the tumor develops within a CCAM or whether the cystic lesion represents PPB from the onset  In a report of 50 cases from the PPB registry, the authors propose that CCAM could be a precursor to PPB just as nephrogenic rests and nephroblastomatosis are toWilms tumor J.R. Priest, M.B. McDermott, S. Bhatia et al. Pleuropulmonary blastoma,A clinicopathologic study of 50 cases Cancer, 80 (1997), pp. 147–161 D.A. Hill, L.P. Dehner, L.V. Ackerman A cautionary note about congenital cystic adenomatoid malformation (CCAM) type 4 Am J Surg Pathol, 28 (2004), pp. 554–555
  • 75.
     Pulmonary blastomasare a relatively rare group of primary lung neoplasms that are composed of immature malignant epithelial and/or mesenchymal tissues whose features may resemble early embryological lung tissues.  First described by Barnard in 1952. Koss M,TravisW, Moran C. Pulmonary sarcomas, blastomas, carcinosarcomas andTeratomas. Spencer’s Histopathology of the Lung (5th edn). NewYork, NY: McGraw Hill, 1996:1092–100. BarnardWG. Embryoma of lung.Thorax 1952;7:299
  • 76.
     Solid, mixedand cystic heterogeneous low attenuation, pleural effusion , contralateral mediastinal shift, and lack of chest wall invasion .
  • 78.
     Type 1-Multicystic Cysts separated by fibrovascular septae lined with benign respiratory epithelium  Stroma-small round to spindle cells condensing to form a continuous cambium layer beneath the epithelium  Rhabdomyoblastic differentiation
  • 82.
    Congenital lobar emphysema(CLE) refers to an over inflation of one or more lung lobes presumably due to various factors including a possible obstructive check valve mechanism at a bronchial level . BerrocalT, Madrid C, Novo S et-al. Congenital anomalies of the tracheobronchial tree, lung, and mediastinum: embryology, radiology, and pathology. Radiographics. 24 (1): e17.doi:10.1148/rg.e17
  • 83.
     Neonatal periodor infancy  Males>females  Left upper lobe and right middle lobe
  • 84.
     Congenital lobaroverinflation-Normal architecture with overdistention of the alveoli  No true emphysematous changes Emphysema: Permanent distention of the airspaces distal to the terminal bronchiole with destruction of their walls
  • 85.
     Etiology  Notfound in up to 50%  Bronchial obstruction found in ~25%  Allows collapse on exhalation (ball-valve mechanism)  Air trapping leads to alveolar overinflation
  • 86.
    1. Intrinsic obstruction(more common)  Intramural: Defect in the bronchial wall Defective quantity or quality of cartilage  Intraluminal: Lesion in the lumen of the bronchus Redundant bronchial folds, mucous plugs 1. Extrinsic obstruction  Compression of the bronchus from a lesion outside the bronchial wall  Cardiovascular: PDA, vascular sling  Mass: Lymph node, bronchogenic cyst, oncologic mass
  • 87.
    Upper lobes arepredominantly involved LUL: 42% RML: 35% RUL: 21% Lower lobes: <1% Bilateral involvement: ~20%
  • 88.
    Symptoms (in orderof decreasing frequency) 1. Moderate respiratory distress (most) 2. Cyanosis (half) 3. Mild respiratory distress (less than half) 4. Asymptomatic (infrequent) 5. Severe life-threatening distress (least common)
  • 94.
    Massive distention ofalveolar spaces, but no tissue destruction
  • 96.
     It isnecessary for pediatricians to evaluate associated anomalies because 14% of the cases of CLE have coexistent congenital heart disease
  • 97.
     Bronchial atresia(BA) is a developmental anomaly characterised by focal obliteration of the proximal segment of a bronchus.  The bronchi distal to the atresia become filled with mucus and may form a mucocoele  The lung distal to the atretic bronchus develops normally but is overinflated due to collateral air drift with air trapping.  Most commonly occurs at the apico-posterior segment of the left upper lobe
  • 99.
    The bronchioles pluggedby mucus and the surrounding alveoli are dilated. Many neutrophils and macrophages were found within the bronchi and surrounding lung parenchyma, indicating acute or chronic infection. Alveoli were enlarged, with a loss of alveolar walls.
  • 100.
     Primary pulmonarylymphangiectasia (PPL) is a rare disorder of unknown aetiology characterised by dilatation of the pulmonary lymphatics Primary pulmonary lymphangiectasia in infancy and childhood P.M. Barker, C.R. Esther Jr, L.A. Fordha, S.J. Maygarden, W.K. Funkhouser European respiratory journal
  • 101.
     Full terminfants with respiratory distress, pleural effusion(chylous)/generalised oedema  Pleural effusions with diffuse interstitial infiltrates
  • 102.
    Diffuse thickening ofthe interstitium, both of the peribronchovascular interstitium and the septa surrounding the lobules
  • 103.
    Dilated lymphatic spacesin the sub-pleural connective tissue, along thickened interlobar septa, and around bronchovascular axes
  • 104.
    Developmental cysts Non-infectious:  Blebsand bullae  Pulmonary Langerhans’ cell histiocytosis (PLCH)  Lymphangioleiomyomatosis (LAM)  Honeycomb lung Infectious:  Pneumatocoele  Pneumocystis carinii pneumonia (PCP)  Tuberculosis  Hydatid cyst  Coccidiodomycosis
  • 105.
     Pleuropulmonary blastoma Cystic teratoma  Multicystic mesothelioma  Cystic mesenchymal hamartoma  Metastases
  • 106.
     Cystic bronchiectasis HartmanTE.CT of cystic diseases of the lung. Radiologic Clinics of North America. 2001;39(6):1231-43
  • 107.
    Disease Findings DistributionAssoc. Findings IPF Honeycomb cysts Subpleural, basilar predominance Irregular lines of attenuation, ground- glass PLCH Thin-walled cysts Random, spares bases Nodules LAM Thin-walled cysts Random, diffuse Chylous effusion
  • 108.
    TS Thin-walled cystsRandom, diffuse Angiomyolipomas of kidneys and liver LIP Thin-walled cysts Basilar predominance Ground-glass attenuation Cystic Bronchiectasis Cystic structures contiguous with bronchial tre Diffuse or focal Signet ring sign: each cystic space has an attendant vessel Adapted from: HartmanTE. CT of cystic diseases of the lung. Radiologic Clinics of North America 2001;39(6):1231-43.
  • 109.
     CT Scan:Thinwalled cystic air space contiguous with the pleura  Arbitrary distinction between bleb and a bulla is of little clinical significance Hansell DM, Bankier AA, MacMahon H, et al. Fleischner Society: Glossary of terms for thoracic imaging. Radiology 2008;246(3):697-722.
  • 110.
     The termbleb usually connotes a subpleural collection of air within the layers of visceral pleura caused by a ruptured alveolus.  The air dissects through the interstitial tissue into the thin, fibrous layer of visceral pleura where it accumulates to form a bleb.  Rupture of a bleb is often associated with the development of a spontaneous pneumothorax Cystic and Bullous Lung Disease Robert R. Klingman, MD, Vito A. Angelillo, MD, andTom R. DeMeester, MD Departments of Surgery and Pulmonary Medicine, Creighton University School of Medicine, Omaha, Nebraska AnnTkorac Surg 1991;52:576-80)
  • 111.
     An airfilled space within the lung parenchyma resulting from deterioration of the alveolar tissue.  These lesions have a fibrous wall , trabeculated by the remnants of alveolar septa.  They can develop in a lung that is otherwise normal or in a lung in which the architecture has been destroyed by chronic obstructive disease.
  • 112.
     Bullae canreach substantial size and occupy an entire lobe  Usually seen in chronic obstructive pulmonary disease but also seen in normal young healthy individuals  Chronic obstructive pulmonary disease- no lobar predilection for the bullae  Asymptomatic patients, bullae - in the upper lobes and peripherally
  • 113.
    Bullae are largedilated airspaces that bulge out from beneath the pleura
  • 116.
    Bulla results fromdestruction of alveolar walls (paraseptal emphysema).The bleb results from rupture of alveolar air into the pleura
  • 117.
     Bullae inthe substance of the lung  Blebs in the visceral pleura outside the inner elastic lamina
  • 118.
     PLCH istypically a disease of young adults which predominately affects the lungs and bones  Very strong association with smoking(90%)  Interstitial lung disease  Lung affected in isolation or in association with organ systems
  • 119.
     Pulmonary diseasein PLCH is characterized by peribronchiolar 1-10 mm nodules in the early stages  In later stages of PLCH, the major pulmonary finding is cysts (present in 80% of patients) and there may be no nodules present  Lung bases are relatively spared at all disease stages
  • 120.
     The abnormalitiesare diffuse and symmetrical.  The cysts in PLCH vary in size and shape, in contrast to the uniform appearance of cysts in lymphangioleiomyomatosis (LAM)
  • 121.
    Characteristic combination ofdiffuse cysts and centrilobular micronodules
  • 123.
     Cysts morepronounced later in the disease usually less than 10mm in diameter may measure up to 2 - 3 centimetres in size  Thin-walled, but on occasion may be up to a few millimetres thick  confluence of 2 or more cysts results in bizarre shapes :  bilobed  cloverleaf  branching  internal septations
  • 125.
     The earliesthistologic lesion of PLCH consists of proliferation of Langerhans’ cells along small airways  These early cellular lesions expand to form nodules 1 to 5 mm in diameter.  The characteristic lesion is composed of variable numbers of Langerhans’ cells,eosinophils,plasma cells, lymphocytes, fibroblasts, and pigmented alveolar macrophages, which form a loosely aggregated granulomas  These granulomas are typically centered around distal bronchioles, where they infiltrate and destroy airway walls
  • 129.
     It ispostulated that as these cellular granulomas evolve, peripheral fibrosis forms resulting in traction on the central bronchiole which becomes cyst-like  Evolution from nodule, through cavitating nodule and thick walled cysts, to the 'stable' thin-walled cysts  Electron microscopy may reveal characteristic Birbeck granule
  • 130.
     Lymphangioleiomyomatosis (LAM)is a disorder of smooth muscle proliferation.  Primarily affects women of childbearing age.  It also can present after menopause in women undergoing estrogen hormonal treatment.  This condition is indistinguishable from pulmonary involvement in tuberous sclerosis, which can also occur in men
  • 131.
     Characterized bythe progressive proliferating and infiltrating smooth muscle like cells (lymphangioleiomyomatosis cells)  Cystic destruction of the lung parenchyma; obstruction of airways, blood vessels, and lymphatics  2 main forms:tuberous sclerosis complex (TSC)– associated LAM and sporadic LAM (S-LAM).  In tuberous sclerosis, type II pneumocytes form clusters termed multifocal micronodular pneumocyte hyperplasia that are unique toTSC and may occur in the absence of LAM in these patients
  • 132.
    Two phases ofproliferation in lymphangiomyomatosis.  The early phase - proliferation of immature muscle cells which cover alveolar walls, bronchioles, pleura and vessels, including lymphatic routes.  Late phase - development of cystic spaces and wider proliferation of muscle cells throughout the lung.
  • 133.
     An immunohistochemicalstudy of metalloproteinases (MMP) and their inhibitors suggested that MMP-2 and MMP-9 (both of which can degrade elastin as well as the collagens) are responsible for the connective tissue destruction and cyst formation in LAM HayashiT, Fleming MV, Stetler-Stevenson WG, et al. Immunohistochemical study of matrix metalloproteinases (MMPs) and their tissue inhibitors (TIMPs) in pulmonary lymphangioleiomyomatosis (LAM). Hum Pathol 1997; 28: 1071–1078.
  • 134.
    It shows thin-walledcysts of relatively uniform size diffusely distributed throughout all lung fields .The cysts may vary in size from 2 to 40 mm
  • 137.
     Small clustersor nests at the edges of the cysts and along the alveolar walls, pulmonary blood vessels, lymphatics, and bronchioles .  Mitotic figures are rarely seen.  Loss of alveoli is associated with cyst formation
  • 138.
     The proliferatingLAM cells are morphologically heterogeneous and can be classified into 2 types: spindle-shaped cells and epithelioid cells.  Spindle-shaped cells are centrally located, whereas the epithelioid cells exist in the peripheral regions of the LAM cell nodules
  • 142.
     Lymphangioleiomyomatosis cellscoexpress smooth muscle markers (such as smooth muscle actin and desmin) and melanocytic markers (such as HMB-45, Melan-A/MART- 1, and microphthalmia transcription factor)  Coexpression of contractile proteins and melanocytic markers, LAM cells are suggested to be of perivascular epithelioid cell origin
  • 143.
     Demonstration ofthe presence of estrogen receptor (ER) and progesterone receptor (PR) in the epithelioid LAM cells (50%) who never received hormone treatment.  ER and PR are selectively expressed in epithelioid LAM cells and are down-regulated by hormone therapy Matsui K,Takeda K,Yu ZX, et al. Downregulation of estrogen and progesterone receptors in the abnormal smooth muscle cells in pulmonary lymphangioleiomyomatosis following therapy: an immunohistochemical study. Am J Respir Crit Care Med. 2000;161(3, pt 1):1002–1009.
  • 144.
     Recently, CD1aand cathepsin K were found to be positive in both spindle shaped and epithelioid LAM cells  Useful new markers for the diagnosis of pulmonary LAM and renal angioleiomyoma Chilosi M, Pea M, Martignoni G, et al. Cathepsin-K expression in pulmonar lymphangioleiomyomatosis. Mod Pathol. 2009;22(2):161–166 AdachiY, HorieY, KitamuraY, et al. CD1a expression in PEComas. Pathol Int. 2008;58(3):169–173
  • 145.
     Pneumatocoeles areintrapulmonary air- filled cystic spaces that can have a variety of sizes and appearances.  They may contain air-fluid levels and are usually the result of ventilator-inducted lung injury in neonates or post-pneumonic
  • 146.
     Staphylococcus aureus:most common  Pneumocystis carinii  Streptococcus pneumoniae  Haemophilus influenzae  Escherichia coli  Group A streptococci  Klebsiella pneumoniae  Adenovirus  Primary tuberculosis
  • 147.
     Smooth innermargins  Contain little if any fluid  Wall (if visible) is thin and regular  Persist despite absence of symtpoms
  • 148.
     Arise fromnecrotic foci that develop early in disease, initially have irregular shapes and thick walls.  Exudate disappears, and walls thin.  Necrotic material around the pneumatocele.  Walls can contain organized inflammatory cells with focal collections of multinucleated giant cells.  In 1972, Boisset reported the presence of air corridors between the bronchiolar lumen and the interstitial space Boisset GF. Subpleural emphysema complicating staphylococcal and other pneumonias.J Pediatr. Aug 1972;81(2):259-66.
  • 149.
     True infectiouscysts that persist despite resolution of the primary infection may occur with Pneumocystis carinii pneumonia or Echinococcosis (hydatid disease).
  • 150.
     Cysts varyin size, shape, number, wall thickness – Thin-walled (<3mm), usually air-filled – Usually multiple, bilateral – May be intraparenchymal or subpleural – upper lobe predominance  Cystic disease now occurs in 10-34% PCP cases  Cysts in HIV patient are highly suggestive of PCP Boiselle, PM, Crans, CA and Kaplan, MA. The Changing Face of Pneumocystis carinii P in AIDS Patients. AJR 1999; 172: 1301- 1309.
  • 151.
    Lung cysts areusually multiple, thin walled and bilateral, but range in size, shape and distribution
  • 152.
    Alveoli which aredistended with honey- combed, foamy, brightly eosinophilic material .There is a scanty inflammatory infiltrate composed mainly of monocyte, occasional plasma cells and histiocytes.
  • 153.
    Grocott's silver stainshows black cysts in alveolar wall & exudates. It looks as round or indented (“new-moon” shape). )
  • 154.
     Tuberculosis maypresent with atypical manifestations in one-third of the cases, and multiple thin-walled cysts are one such rare manifestations of tuberculosis Lee JY, Lee KS, Jung KJ et al. Pulmonary tuberculosis: CT and pathologic correlation. J Comput AssistTomogr 2000; 24:691-8.
  • 155.
     Marked caseatingnecrosis of the bronchial walls cystic bronchiectasis  Granulomatous involvement of the bronchioles may lead to a check-valve mechanism leading to cyst formation  In isolated cases, isoniazid has been implicated
  • 156.
    Multiple large cysts (bilateral),thin walled, and involving all zones of the lung
  • 157.
     Hydatid cystsmay be solitary or multiple, the number depending mainly on the amount of ova ingested and the number of embryos filtered through the liver and lungs.  A centrally located cyst is said to be usually round, but may become oval or polycyclic
  • 158.
     Inferior lobesmost commonly affected  Intact:ruptured::3:1  The cysts may change shape on maximum inspiration and expiration, which is known as the Escudero- Nimerov sign, but which is true also of any thin-walled water filled cyst
  • 159.
    Calcified unilocular hydatid cyst.Contrast material- enhanced CT scan shows a round lesion with water attenuation and a ringlike pattern of calcification (arrows).This pattern represents calcification of the pericyst and strongly suggests a diagnosis of hydatid cyst
  • 161.
     Outer acellularlaminated membrane  Germinal membrane  Protoscolices, attached and budding from the membrane
  • 163.
     When acute,cavities can be thick-walled or surrounded by dense consolidation.  Thin walled grape skin cysts can also be seen with acute infection or as a result of healing of the thick walled lesions
  • 165.
    large (up to80 micron) spherules/sporangia, as shown in this case.These are filled with numerous spherical endospores.The sporangia and endospores can be within giant cells or extracellularly.
  • 166.
     The originalusage was a gross pathological term employed at autopsy to describe lungs with a wormeaten or honeycomb appearance II. HEPPLESTON,A. G. Pathology of honeycomb `lung. Thorax, 1956, II, 77-94.
  • 167.
     Honeycombing representsdestroyed and fibrotic lung parenchyma with numerous cystic airspaces with thick fibrous walls representing the late stages of lung diseases with complete loss of acinar architecture.  Variable wall thickness and lined by metaplastic bronchiolar epithelium Hansell DM, Bankier AA, MacMahon H, et al. Fleischner Society: Glossary of terms for thoracic imaging. Radiology. 2008;246(3):697- 722.
  • 168.
     Essential changeis the obliteration of bronchioles by fibrosis or granulomata and compensatory dilatation of neighboring bronchioles, which forms the honeycomb appearance Heppleston AG.The pathology of honeycomb lung.Thorax 1956; 11:77–93
  • 169.
     “Clustered cysticair spaces, typically of comparable diameters on the order of 3–10 mm but occasionally as large as 2.5 Cm.  Usually subpleural and characterized by welldefined walls”  However, “the cystic air spaces of honeycomb lung tend to share walls” Hansell DM, Bankier AA, MacMahon H, McLoud TC, Muller NL, Remy J. Fleischner Society: glossary of terms for thoracic imaging. Radiology 2008; 246:697–722 WebbWR, Muller NL, Naidich DP. Standardized terms for high- resolution computed tomography of the lung: a proposed glossary. JThorac Imaging 1993; 8:167–175
  • 171.
     Honeycombing wasidentified in 41–100% of UIP, depending on the reported series .  Nonspecific interstitial pneumonia (NSIP) and desquamative interstitial pneumonia (DIP), which are the chronic interstitial pneumonias of IIP show honeycombing in 0–30% and 4.3– 39%, respectively .  In acute interstitial pneumonia, the frequency is lower, ranging from 6% to 14%
  • 172.
     Honeycomb cystsare a feature of idiopathic pulmonary fibrosis (IPF) and typically have a subpleural location  Walls of the cysts are clearly defined and thickened – a sign of fibrosis  Predominant in posterior and lower lobes  This characteristic distribution distinguishes UIP from other diseases with honeycomb lung.
  • 174.
    Diffuse ground glassopacities with cysts (arrow). (B) A high resolution CT scan from the same patient more clearly shows cysts within ground glass opacities.Traction bronchiectasis is also present, suggesting that the ground glass opacities are secondary to fibrosis rather than an inflammatory process.
  • 175.
    Multiple thin-walled cysts occupying mostof lobe. Note that some cysts contain mucous material
  • 176.
    Idiopathic pulmonary fibrosisshowing traction bronchiectasis (white arrows).The adjacent bronchi and vasculature differentiates these structures from true cysts. End-stage lung fibrosis is evident with diffuse honeycombing (black arrow), reticulation and traction bronchiectasis.
  • 177.
     Patchwork pattern,which is characterized by alternating zones of abnormal and normal lung side by side without transition zones  Small islands of residual normal or nearly normal lung interspersed among extensively scarred parenchyma  Combination of areas of honeycomb change and scars that replace normal alveoli  Honeycomb areas are characterized by enlarged airspaces lined by bronchiolar epithelium and often filled by mucin and variable numbers of inflammatory cells.  Small areas of active fibrosis (fibroblast foci) are present in the background of collagen deposition
  • 179.
     It isa disease that is seen almost exclusively in current or former smokers  Accumulation of pigmented macrophages within the airspaces with a homogenous appearance and limited mononuclear infiltrate within the interstitium.
  • 180.
    The alveolar septaare thickened by a sparse inflammatory infiltrate that often includes plasma cells and occasional eosinophils, and they are lined by plump cuboidal pneumocytes.The intraluminal macrophages in DIP frequently contain dusty brown pigment .
  • 181.
    Cellular non-specific interstitialpneumonia (NSIP) pattern. On higher power, the septal widening is due to a mild to moderate infiltrate of lymphocytes with scattered plasma cells, with minimal associated fibrosis.
  • 182.
    Marked thickening ofthe alveolar septa due to interstitial edema, inflammatory cell infiltration, fibroblast proliferation (within the interstitium and airspaces), and type II cell hyperplasia, Hyaline membranes in focal areas along alveolar septa,Thrombi in small arteries
  • 185.
    Honeycomb cystic lungdisease  Asbestosis  Collagen vascular disease  Hypersensitivity pneumonitis  Sarcoidosis
  • 186.
     Bronchiectasis, orthe dilatation and distortion of bronchi and bronchioles, may be mistaken for cystic airspace disease when a dilated airway is viewed ‘‘en face’’  Bronchiectasis may be the result of either a chronic suppurative process or accompany lung fibrosis, when it is then referred to as traction bronchiectasis Challenges in pulmonary fibrosis ? 3: Cystic lung disease Gregory P Cosgrove, Stephen K Frankel, Kevin K Brown Thorax 2007;62:820–829. doi: 10.1136/thx.2004.031013
  • 187.
     Cystic bronchiectasiscan be differentiated from true cystic lung disease by the continuous relationship of the cystic structure to bronchial tree  Approximately uniform, medium-sized cavities are typical of cystic bronchiectasis.  Valsalva and Mueller maneuvers produce rapid change in the size of cysts, which freely communicate with the airways; this change distinguishes cystic bronchiectasis from other conditions.
  • 188.
    Differentiated from cysticlung disease by the presence of an adjacent blood vessel suggesting a bronchovascular unit rather than a cystic air space.
  • 192.
     Mesenchymal cystichamartoma (MHC) of the lung is a very rare disease with an indolent clinical course and might be easily misdiagnosed as pleuropulmonary blastoma and other uncommon cystic lung lesions
  • 194.
     Bilateral multifocalcysts lined by normal or metaplastic respiratory epithelium resting on a cambium layer of mesenchymal cells ● Lesion is initially solid, but becomes cystic when approximately 1 cm in diameter ● Slow growing
  • 195.
    Cysts were linedwith normal respiratory epithelium. Beneath the epithelium were band-like layers of cells composed of primitive mesenchymal- like cells with dark oval nuclei, scanty cytoplasm, and very rare mitoses . Scattered or clustered mature fat cells were present in some areas of the cysts and nodules
  • 196.
     Rarely describedin the pleura  Single or multiple thin walled cysts  Multiloculated cyst lined by attenuated or cuboidal cells with atypia
  • 198.
     Intrapulmonary teratomastypically range from 2.8 to 3 cm in diameter, and are cystic and multiloculated but may rarely be predominantly solid  In 42% of the cases, the cysts are in continuity with bronchi, and have an endobronchial component resulting in hemoptysis or expectoration of hair or sebum
  • 199.
     Radiographically, lesionsare typically cystic masses often with focal calcification.  Microscopically, mesodermal, ectodermal and endodermal elements are seen in varying proportions.  Pulmonary teratomas are mostly composed of mature, cystic somatic tissue  Mature elements often take the form of squamous lined cysts.  Thymic or pancreatic elements may be seen in mature teratomas
  • 200.
     The appearanceof cystic lesions in the lung in malignancy is rare and predisposes to spontaneous pneumothoraces.  Multiple cystic lesions occur commonly in bronchus carcinoma and also sarcoma, bladder cancer and, less commonly, lymphoma  Both chemotherapy and immune suppression can induce cavitation in malignant lesions.  Tumour necrosis and tumour infiltration of air- containing spaces with a check-valve mechanism are postulated for causing these cystic lesions
  • 201.
     Spontaneous pneumothoraxcomplicating sarcoma is associated with most cell types, recurrent in nearly half of the patients The main cell types consisted of angiosarcoma (39%), leiomyosarcoma (15%) and osteosarcoma (15%) Hoag JB, Sherman M, FasihuddinQ, et al. A comprehensive review of spontaneous pneumothorax complicating sarcoma. Chest 2010; 138: 510–518
  • 202.
     Metastases fromthe head and neck tended to cavitate when small and to have thin walls, whereas metastases from squamous cell carcinomas of the bladder and genitalia generally cavitated when they were larger and had thickened walls.  Seminoma, Ewing sarcoma, myxosarcoma, Wilms tumor, osteogenic sarcoma, angiosarcoma, transitional cell carcinoma, teratocarcinoma Multiple,Thin-Walled Cystic Lesions of the Lung J. David Godwin,w. RichardWebb, Charles J. Savoca Gordon Gamsu, Philip C. Goodman AJR 135:593-604, September 1980 0361 -803X/80/1 353-0593
  • 203.
     Pulmonary thromboembolism Neurofibromatosis  Follicular bronchitis  Pulmonary spread of laryngeal papillomatosis  Hodgkin’s lymphoma  Rheumatoid arthritis with necrobiotic nodules  Birt Hogg syndrome  Down’s syndrome