Radiology Interactive
Session
Gamal Agmy, MD, FCCP
Professor of Chest Diseases, Assiut university
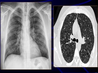
◙ An 81-year-old woman presented to A/E with
a history of recent onset of shortness of
breath. This had come on during dinner the
previous evening and had not resolved.
◙ She had asthma as a child, and cardiac
bypass 5 years ago. Blood tests indicated a
negative troponin and normal D -dimer.
◙ A chest X ray was done followed by CT
Case 1
Case 1
Case 1
What is the MOST LIKELY
diagnosis?
A. Left sided heart failure
B. Bronchial asthma.
C. FB inhalation.
D. Bronchogenic carcinoma.
E. Pulmonary embolism.
Case 1
What is the MOST LIKELY
diagnosis?
A. Left sided heart failure
B. Bronchial asthma.
.FB inhalation.C
D. Bronchogenic carcinoma.
E. Pulmonary embolism.
Case 1
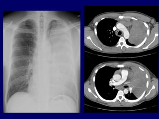
◙ A 52-year-old woman presented to her
primary care physician with a several-week
history of nonproductive cough, mild
dyspnea, chest tightness, and wheezing
◙ A chest X ray was done.
Case 2
Case 2
What is the MOST LIKELY
diagnosis?
A. Pulmonary edema.
B. Pneumonia.
C. Atelectasis.
D. Mediastinal mass.
E. Left apical pneumothorax.
Case 2
What is the MOST LIKELY
diagnosis?
A. Pulmonary edema.
B. Pneumonia.
.. AtelectasisC
D. Mediastinal mass.
E. Left apical pneumothorax.
Case 3
A 54-year-old female nonsmoker complained of
shortness of breath on exertion and a dry
cough.
What is the MOST
LIKELY diagnosis?
A. RB_ILD.
B. Non specific interstitial
fibrosis
C. IPF.
D. CVD
E. Subacute hypersensitivity
pneumonitis.
What is the MOST
LIKELY diagnosis?
A. RB_ILD.
B. Non specific interstitial
fibrosis
C. IPF.
D. CVD
hypersensitivitySubacuteE.
.pneumonitis
TO SUM UP..
• Random
– touch pleura
– scattered in lung
• Centrilobular
–away from pleura
• Perilymphatic
– around vessels, bronchi
– touch pleura or fissure
Differential diagnosis of a nodular
pattern of interstitial lung disease
SHRIMP
Sarcoidosis
Histiocytosis (Langerhan cell
histiocytosis)
Hypersensitivity pneumonitis
Rheumatoid nodules
Infection (mycobacterial, fungal, viral)
Metastases, Miliary TB
Microlithiasis, alveolar
Pneumoconioses (silicosis, coal
worker's, berylliosis)
Case 4
A 35-year-old woman presented with fatigue,
chest pain, and weight loss over the past
several months.
What is the MOST LIKELY
diagnosis?
A. Cardiomyopathy.
B. Pericardial effusion.
C. Anterior mediastinal
mass.
D. Pleural effusion.
Case 4
A 35-year-old woman presented with fatigue,
chest pain, and weight loss over the past
several months.
What is the MOST LIKELY
diagnosis?
A. Cardiomyopathy.
B. Pericardial effusion.
mediastinalC. Anterior
mass.
D. Pleural effusion.
Case 5
A 68-year-old asymptomatic
nonsmoking woman underwent
preoperative screening chest
radiography in preparation for a total
knee arthroplasty. The radiographic
findings prompted subsequent chest
CT
Case 5
Case 5
Where is this lesion MOST
LIKELY located?
A. Lung parenchyma.
B. Mediastinum.
C. Pleura.
D. Chest wall..
Case 5
Where is this lesion MOST
LIKELY located?
A. Lung parenchyma.
B. Mediastinum.
C. Pleura.
D. Chest wall..
Case 5
Case 5
Case 5
Case 5
What is the MOST LIKELY
diagnosis?
A. Primary lung cancer.
B. Chest wall chondrosarcoma.
C. Pseudotumor or vanishing
tumor of the pleura.
D. Localized fibrous tumor of the
pleura..
Case 5
What is the MOST LIKELY
diagnosis?
A. Primary lung cancer.
B. Chest wall chondrosarcoma.
C. Pseudotumor or vanishing
tumor of the pleura.
D. Localized fibrous tumor of the
..pleura
Case 6
A 33-year-old man presented with a 3- to 4-
day history of dyspnea and a nonproductive
cough. A chest radiograph revealed bilateral
perihilar air-space opacities with intervening
normal aerated lung. He was admitted to
the general medicine ward with a
presumptive diagnosis of community-
acquired pneumonia and began taking
Moxifloxacin.
Case 6
Over the next 3 days, he developed
progressive hypoxia and was subsequently
transferred to the intensive care unit for
mechanical ventilation and nitric oxide
therapy. Follow-up chest radiography before
intubation revealed progressive bilateral
perihilar air-space disease. Subsequent
chest CT pulmonary angiography on the
same day did not show a pulmonary em-
bolus but did reveal an interesting pattern of
air-space disease .
Case 6
Case 6
Which diagnosis would be
LEAST LIKELY?
A. Tuberculosis.
B. Atypical infection with
associated bronchiolitis.
C. Hypersensitivity
pneumonitis.
D. Multiple septic pulmonary
emboli.
Case 6
Which diagnosis would be
LEAST LIKELY?
A. Tuberculosis.
B. Atypical infection with
associated bronchiolitis.
C. Hypersensitivity
pneumonitis.
D. Multiple septic pulmonary
emboli.
Head cheese sign or
“hog’s head cheese sign
It refers to mixed
densities which includes
# consolidation
# ground glass
opacities
# normal lung
# Mosaic perfusion
• Signifies mixed
infiltrative and
obstructive disease
A 37-year-old woman comes for evaluation of
progressive dyspnea on exertion. Her symptoms
started insidiously 1 year ago and have progressed to
the point that she can climb less then one flight of
stairs or walk one city block at a quick pace. She
denies nocturnal symptoms. She has a nonproductive
cough but does not have any other symptoms.
•Her past history is remarkable only for
hypothyroidism for which she takes thyroxine. She is
a nonsmoker with no recent travel, traditional HIV
risk factors, or infectious contacts.
Case 7
•Her physical examination is remarkable only for
slight tachypnea and an arterial oxygen saturation of
86% at rest. Saturation decreases to a low of 76%
during a 6-min walk. A chest radiograph was reported
as abnormal, which led to performing a CT scan
.Bronchoscopy , bronchoalveolar lavage (BAL) and
transbronchial lung biopsy were performed.
Case 7
Which of the following statements
about this condition is true?
A. A trial of prednisone therapy is warranted
initially.
B. Granulocyte-macrophage colony-stimulating
factor (GM-CSF) subcutaneous therapy works
best in patients with a predisposing condition.
C. Inhaled GM-CSF is the primary treatment
modality.
D. The patient should be offered whole lung
lavage.
Which of the following statements
about this condition is true?
A. A trial of prednisone therapy is warranted
initially.
B. Granulocyte-macrophage colony-stimulating
factor (GM-CSF) subcutaneous therapy works
best in patients with a predisposing condition.
C. Inhaled GM-CSF is the primary treatment
modality.
D. The patient should be offered whole lung
lavage.
High-resolution CT scan shows diffuse geographic
ground-glass attenuation with superimposed intra-
and interlobular septal thickening (arrowhead).
Note the polygonal appearance, which represents
the secondary pulmonary lobule.
Anti-GM-CSF antibodies have been found in the
serum and BAL fluid in patients with idiopathic PAP,
leading to the use of subcutaneous GM-CSF therapy
of the disease. However, patients with PAP
secondary to an underlying condition (eg,
hematologic malignancies, immunoglobulin
deficiency, HIV infection) do not have these
antibodies and, therefore, there is no role for GM-
CSF therapy.
Although there are reports of successful use of
inhaled GM-CSF in PAP, response rates are
generally lower than with whole lung lavage, and
this would be considered salvage therapy should
lavage not work.
High-resolution CT scan shows diffuse
geographic ground-glass attenuation
with superimposed intra- and
interlobular septal thickening
(arrowhead). Note the polygonal
appearance, which represents the
secondary pulmonary lobule.
Case 8
A 45-year-old nonsmoking woman was referred
for an opinion regarding management of
recurrent pneumothorax.
•She was well until age 27 when she had a
right-sided spontaneous pneumothorax.
•Two years later, she had another right-sided
pneumothorax and underwent thoracotomy
and stapling of the right lung apex. She has
had no further episodes since that time.
•She is seeing a dermatologist for multiple
facial papules, but otherwise, her general
health is excellent. She denies any respiratory
symptoms.
Results of a physical examination are normal other
than multiple skin colored papules over the central
face and nose.
A. Langerhans cell histiocytosis.
B. Lymphangioleiomyomatosis (LAM).
C. Sarcoidosis.
D. Birt-Hogg-Dubé syndrome (BHDS).
What is the most likely diagnosis?
A. Langerhans cell histiocytosis.
B. Lymphangioleiomyomatosis (LAM).
C. Sarcoidosis.
D. Birt-Hogg-Dubé syndrome (BHDS).
What is the most likely diagnosis?
A history of recurrent pneumothorax, lung cysts,
and skin lesions (fibrofolliculomas) with normal
lung function is consistent with the diagnosis of
Birt-Hogg-Dubé syndrome (BHDS) (choice D is
correct).
Langerhans cell histiocytosis is characterized by
diffuse cystic disease of the lung, spontaneous
pneumothorax, and airway obstruction related to
cigarette smoking. These findings are not
present in this patient (choice A is incorrect).
Similarly, airflow obstruction, recurrent pleural
effusions, and diffuse pulmonary disease are
characteristic of LAM, features that also are not
found in this patient (choice B is incorrect).
Sarcoidosis is a granulomatous inflammatory
lung disease characterized by diff use
parenchymal opacities, airflow obstruction, and
possibly, skin lesions.
Lupus pernio, one of the skin manifestations of
sarcoidosis, appears as purple nodules on the
nose, cheeks, and ears, and none of these
features is present in this patient (choice C is
incorrect).
BHDS is an autosomal dominantly inherited
genodermatosis that predisposes a person to the
development of cutaneous hamartomas (fi
brofolliculomas), kidney neoplasms, lung cysts,
and spontaneous pneumothorax.
The BHD locus has been mapped to the short arm
of chromosome 17(17p11.2). BHD is composed of
14 exons, and more than 40 unique mutations in
BHD have been reported.
Most BHD germline mutations are frameshift or
nonsense mutations that are predicted to truncate
the BHD protein, folliculin.
A 27-year-old man is referred to you for evaluation of an
abnormal chest radiograph. About 5 months ago, he consulted
a doctor because of excessive thirst. Evaluation resulted in the
diagnosis of diabetes insipidus, which responded favorably to
desmopressin administered nasally. Recently, he started to
notice shortness of breath when climbing stairs, and a chest
radiograph was obtained.
Case 9
•Patient history reveals significant tobacco smoking, up to two
packs daily, for at least 14 years. The patient noticed the
shortness of breath for at least 2 years, and recently, he noted
a point of tenderness over the chest wall, lateral to the
posterior axillary line on the left.
•Oxygen saturation is 94% while breathing room air, and the
rest of his vital signs were normal. Auscultation reveals only
rare crackles without prolongation of the expiratory phase.
There is a point of tenderness over the left sixth and seventh
ribs in the posterior axillary line, and a chest CT scan is
obtained.
The most likely diagnosis is:
A. Metastatic tumor of unknown primary
site.
B. Sarcoidosis.
C. Langerhans cell histiocytosis.
D. Idiopathic pulmonary fibrosis.
The most likely diagnosis is:
A. Metastatic tumor of unknown primary
site.
B. Sarcoidosis.
C. Langerhans cell histiocytosis.
D. Idiopathic pulmonary fibrosis.
This patient exhibits most of the recognized
features of pulmonary Langerhans cell
histiocytosis (LCH), previously known as
eosinophilic granuloma and histiocytosis X:
pulmonary changes involving the middle and upper
parts of the lungs with irregularly shaped cystic
and nodular lesions of varying size; involvement of
a flat bone (the rib); and diabetes insipidus in a
young person who smokes (choice C is correct).
The only frequently en countered complication that
is not present in this patient is a history of
spontaneous pneumothorax. The radiographic
findings, especially when a CT scan shows cystic
and nodular lesions
Cystic, nodular, and fibrotic lesions seen on CT
scans are the most frequent findings, followed by
the presence of bone lesions in up to 20% of
patients, and diabetes insipidus in up to 15% of
patients. Spontaneous pneumothorax occurs in
15% to 25% of patients, although not in this
patient. Other manifestations contributing to
morbidity and mortality include pulmonary
hypertension and the development of a pulmonary
neoplasm. The most important treatment for
pulmonary LCH is cessation of smoking.
Glucocorticoids and immunosuppressive agents
have not been proven to be effective. Smoking
cessation alone will not alleviate pain in the
symptomatic rib lesions. Radiation therapy has
been useful in controlling progression and reducing
pain. Similarly, smoking cessation alone will not
control diabetes insipidus; therefore, replacement
therapy should continue.
The bone lesion could be due to a metastatic
cancer, but the chest radiograph does not show
distinct nodules and is not consistent with
metastatic cancer. Patients with sarcoidosis
may have diabetes insipidus and may have
extensive fibrosis late in the disease, but bone
lesions are rare (choice B is incorrect). While
the fibrotic lesions may be similar to those
found in patients with idiopathic pulmonary
fibrosis (IPF), bone lesions are not found in IPF
and diabetes insipidus is not associated with
IPF.
Case 10
A 47-year-old man presented with chronic renal
failure and dyspnea•
Case 10
What is the MOST
LIKELY diagnosis?
A. Lobar pneumonia.
B. Primary lung cancer.
C. Acute heart failure.
D. Anterior mediastinal mass.
E. Pericardial effusion.
Case 10
What is the MOST
LIKELY diagnosis?
A. Lobar pneumonia.
B. Primary lung cancer.
C. Acute heart failure.
D. Anterior mediastinal mass.
.E. Pericardial effusion
Case 10
Case 10
Radiology interactive session

Radiology interactive session

  • 1.
    Radiology Interactive Session Gamal Agmy,MD, FCCP Professor of Chest Diseases, Assiut university
  • 2.
    ◙ An 81-year-oldwoman presented to A/E with a history of recent onset of shortness of breath. This had come on during dinner the previous evening and had not resolved. ◙ She had asthma as a child, and cardiac bypass 5 years ago. Blood tests indicated a negative troponin and normal D -dimer. ◙ A chest X ray was done followed by CT Case 1
  • 3.
  • 4.
    Case 1 What isthe MOST LIKELY diagnosis? A. Left sided heart failure B. Bronchial asthma. C. FB inhalation. D. Bronchogenic carcinoma. E. Pulmonary embolism.
  • 5.
    Case 1 What isthe MOST LIKELY diagnosis? A. Left sided heart failure B. Bronchial asthma. .FB inhalation.C D. Bronchogenic carcinoma. E. Pulmonary embolism.
  • 6.
  • 7.
    ◙ A 52-year-oldwoman presented to her primary care physician with a several-week history of nonproductive cough, mild dyspnea, chest tightness, and wheezing ◙ A chest X ray was done. Case 2
  • 8.
    Case 2 What isthe MOST LIKELY diagnosis? A. Pulmonary edema. B. Pneumonia. C. Atelectasis. D. Mediastinal mass. E. Left apical pneumothorax.
  • 9.
    Case 2 What isthe MOST LIKELY diagnosis? A. Pulmonary edema. B. Pneumonia. .. AtelectasisC D. Mediastinal mass. E. Left apical pneumothorax.
  • 12.
    Case 3 A 54-year-oldfemale nonsmoker complained of shortness of breath on exertion and a dry cough.
  • 13.
    What is theMOST LIKELY diagnosis? A. RB_ILD. B. Non specific interstitial fibrosis C. IPF. D. CVD E. Subacute hypersensitivity pneumonitis.
  • 14.
    What is theMOST LIKELY diagnosis? A. RB_ILD. B. Non specific interstitial fibrosis C. IPF. D. CVD hypersensitivitySubacuteE. .pneumonitis
  • 15.
    TO SUM UP.. •Random – touch pleura – scattered in lung • Centrilobular –away from pleura • Perilymphatic – around vessels, bronchi – touch pleura or fissure
  • 17.
    Differential diagnosis ofa nodular pattern of interstitial lung disease SHRIMP Sarcoidosis Histiocytosis (Langerhan cell histiocytosis) Hypersensitivity pneumonitis Rheumatoid nodules Infection (mycobacterial, fungal, viral) Metastases, Miliary TB Microlithiasis, alveolar Pneumoconioses (silicosis, coal worker's, berylliosis)
  • 18.
    Case 4 A 35-year-oldwoman presented with fatigue, chest pain, and weight loss over the past several months. What is the MOST LIKELY diagnosis? A. Cardiomyopathy. B. Pericardial effusion. C. Anterior mediastinal mass. D. Pleural effusion.
  • 19.
    Case 4 A 35-year-oldwoman presented with fatigue, chest pain, and weight loss over the past several months. What is the MOST LIKELY diagnosis? A. Cardiomyopathy. B. Pericardial effusion. mediastinalC. Anterior mass. D. Pleural effusion.
  • 21.
    Case 5 A 68-year-oldasymptomatic nonsmoking woman underwent preoperative screening chest radiography in preparation for a total knee arthroplasty. The radiographic findings prompted subsequent chest CT
  • 22.
  • 23.
    Case 5 Where isthis lesion MOST LIKELY located? A. Lung parenchyma. B. Mediastinum. C. Pleura. D. Chest wall..
  • 24.
    Case 5 Where isthis lesion MOST LIKELY located? A. Lung parenchyma. B. Mediastinum. C. Pleura. D. Chest wall..
  • 25.
  • 26.
  • 27.
  • 28.
    Case 5 What isthe MOST LIKELY diagnosis? A. Primary lung cancer. B. Chest wall chondrosarcoma. C. Pseudotumor or vanishing tumor of the pleura. D. Localized fibrous tumor of the pleura..
  • 29.
    Case 5 What isthe MOST LIKELY diagnosis? A. Primary lung cancer. B. Chest wall chondrosarcoma. C. Pseudotumor or vanishing tumor of the pleura. D. Localized fibrous tumor of the ..pleura
  • 30.
    Case 6 A 33-year-oldman presented with a 3- to 4- day history of dyspnea and a nonproductive cough. A chest radiograph revealed bilateral perihilar air-space opacities with intervening normal aerated lung. He was admitted to the general medicine ward with a presumptive diagnosis of community- acquired pneumonia and began taking Moxifloxacin.
  • 31.
    Case 6 Over thenext 3 days, he developed progressive hypoxia and was subsequently transferred to the intensive care unit for mechanical ventilation and nitric oxide therapy. Follow-up chest radiography before intubation revealed progressive bilateral perihilar air-space disease. Subsequent chest CT pulmonary angiography on the same day did not show a pulmonary em- bolus but did reveal an interesting pattern of air-space disease .
  • 32.
  • 33.
    Case 6 Which diagnosiswould be LEAST LIKELY? A. Tuberculosis. B. Atypical infection with associated bronchiolitis. C. Hypersensitivity pneumonitis. D. Multiple septic pulmonary emboli.
  • 34.
    Case 6 Which diagnosiswould be LEAST LIKELY? A. Tuberculosis. B. Atypical infection with associated bronchiolitis. C. Hypersensitivity pneumonitis. D. Multiple septic pulmonary emboli.
  • 35.
    Head cheese signor “hog’s head cheese sign It refers to mixed densities which includes # consolidation # ground glass opacities # normal lung # Mosaic perfusion • Signifies mixed infiltrative and obstructive disease
  • 36.
    A 37-year-old womancomes for evaluation of progressive dyspnea on exertion. Her symptoms started insidiously 1 year ago and have progressed to the point that she can climb less then one flight of stairs or walk one city block at a quick pace. She denies nocturnal symptoms. She has a nonproductive cough but does not have any other symptoms. •Her past history is remarkable only for hypothyroidism for which she takes thyroxine. She is a nonsmoker with no recent travel, traditional HIV risk factors, or infectious contacts. Case 7
  • 37.
    •Her physical examinationis remarkable only for slight tachypnea and an arterial oxygen saturation of 86% at rest. Saturation decreases to a low of 76% during a 6-min walk. A chest radiograph was reported as abnormal, which led to performing a CT scan .Bronchoscopy , bronchoalveolar lavage (BAL) and transbronchial lung biopsy were performed. Case 7
  • 40.
    Which of thefollowing statements about this condition is true? A. A trial of prednisone therapy is warranted initially. B. Granulocyte-macrophage colony-stimulating factor (GM-CSF) subcutaneous therapy works best in patients with a predisposing condition. C. Inhaled GM-CSF is the primary treatment modality. D. The patient should be offered whole lung lavage.
  • 41.
    Which of thefollowing statements about this condition is true? A. A trial of prednisone therapy is warranted initially. B. Granulocyte-macrophage colony-stimulating factor (GM-CSF) subcutaneous therapy works best in patients with a predisposing condition. C. Inhaled GM-CSF is the primary treatment modality. D. The patient should be offered whole lung lavage.
  • 42.
    High-resolution CT scanshows diffuse geographic ground-glass attenuation with superimposed intra- and interlobular septal thickening (arrowhead). Note the polygonal appearance, which represents the secondary pulmonary lobule.
  • 45.
    Anti-GM-CSF antibodies havebeen found in the serum and BAL fluid in patients with idiopathic PAP, leading to the use of subcutaneous GM-CSF therapy of the disease. However, patients with PAP secondary to an underlying condition (eg, hematologic malignancies, immunoglobulin deficiency, HIV infection) do not have these antibodies and, therefore, there is no role for GM- CSF therapy.
  • 46.
    Although there arereports of successful use of inhaled GM-CSF in PAP, response rates are generally lower than with whole lung lavage, and this would be considered salvage therapy should lavage not work.
  • 47.
    High-resolution CT scanshows diffuse geographic ground-glass attenuation with superimposed intra- and interlobular septal thickening (arrowhead). Note the polygonal appearance, which represents the secondary pulmonary lobule.
  • 48.
    Case 8 A 45-year-oldnonsmoking woman was referred for an opinion regarding management of recurrent pneumothorax. •She was well until age 27 when she had a right-sided spontaneous pneumothorax.
  • 49.
    •Two years later,she had another right-sided pneumothorax and underwent thoracotomy and stapling of the right lung apex. She has had no further episodes since that time. •She is seeing a dermatologist for multiple facial papules, but otherwise, her general health is excellent. She denies any respiratory symptoms.
  • 50.
    Results of aphysical examination are normal other than multiple skin colored papules over the central face and nose.
  • 52.
    A. Langerhans cellhistiocytosis. B. Lymphangioleiomyomatosis (LAM). C. Sarcoidosis. D. Birt-Hogg-Dubé syndrome (BHDS). What is the most likely diagnosis?
  • 53.
    A. Langerhans cellhistiocytosis. B. Lymphangioleiomyomatosis (LAM). C. Sarcoidosis. D. Birt-Hogg-Dubé syndrome (BHDS). What is the most likely diagnosis?
  • 54.
    A history ofrecurrent pneumothorax, lung cysts, and skin lesions (fibrofolliculomas) with normal lung function is consistent with the diagnosis of Birt-Hogg-Dubé syndrome (BHDS) (choice D is correct). Langerhans cell histiocytosis is characterized by diffuse cystic disease of the lung, spontaneous pneumothorax, and airway obstruction related to cigarette smoking. These findings are not present in this patient (choice A is incorrect).
  • 55.
    Similarly, airflow obstruction,recurrent pleural effusions, and diffuse pulmonary disease are characteristic of LAM, features that also are not found in this patient (choice B is incorrect). Sarcoidosis is a granulomatous inflammatory lung disease characterized by diff use parenchymal opacities, airflow obstruction, and possibly, skin lesions.
  • 56.
    Lupus pernio, oneof the skin manifestations of sarcoidosis, appears as purple nodules on the nose, cheeks, and ears, and none of these features is present in this patient (choice C is incorrect). BHDS is an autosomal dominantly inherited genodermatosis that predisposes a person to the development of cutaneous hamartomas (fi brofolliculomas), kidney neoplasms, lung cysts, and spontaneous pneumothorax.
  • 57.
    The BHD locushas been mapped to the short arm of chromosome 17(17p11.2). BHD is composed of 14 exons, and more than 40 unique mutations in BHD have been reported. Most BHD germline mutations are frameshift or nonsense mutations that are predicted to truncate the BHD protein, folliculin.
  • 58.
    A 27-year-old manis referred to you for evaluation of an abnormal chest radiograph. About 5 months ago, he consulted a doctor because of excessive thirst. Evaluation resulted in the diagnosis of diabetes insipidus, which responded favorably to desmopressin administered nasally. Recently, he started to notice shortness of breath when climbing stairs, and a chest radiograph was obtained. Case 9
  • 59.
    •Patient history revealssignificant tobacco smoking, up to two packs daily, for at least 14 years. The patient noticed the shortness of breath for at least 2 years, and recently, he noted a point of tenderness over the chest wall, lateral to the posterior axillary line on the left. •Oxygen saturation is 94% while breathing room air, and the rest of his vital signs were normal. Auscultation reveals only rare crackles without prolongation of the expiratory phase. There is a point of tenderness over the left sixth and seventh ribs in the posterior axillary line, and a chest CT scan is obtained.
  • 61.
    The most likelydiagnosis is: A. Metastatic tumor of unknown primary site. B. Sarcoidosis. C. Langerhans cell histiocytosis. D. Idiopathic pulmonary fibrosis.
  • 62.
    The most likelydiagnosis is: A. Metastatic tumor of unknown primary site. B. Sarcoidosis. C. Langerhans cell histiocytosis. D. Idiopathic pulmonary fibrosis.
  • 63.
    This patient exhibitsmost of the recognized features of pulmonary Langerhans cell histiocytosis (LCH), previously known as eosinophilic granuloma and histiocytosis X: pulmonary changes involving the middle and upper parts of the lungs with irregularly shaped cystic and nodular lesions of varying size; involvement of a flat bone (the rib); and diabetes insipidus in a young person who smokes (choice C is correct). The only frequently en countered complication that is not present in this patient is a history of spontaneous pneumothorax. The radiographic findings, especially when a CT scan shows cystic and nodular lesions
  • 64.
    Cystic, nodular, andfibrotic lesions seen on CT scans are the most frequent findings, followed by the presence of bone lesions in up to 20% of patients, and diabetes insipidus in up to 15% of patients. Spontaneous pneumothorax occurs in 15% to 25% of patients, although not in this patient. Other manifestations contributing to morbidity and mortality include pulmonary hypertension and the development of a pulmonary neoplasm. The most important treatment for pulmonary LCH is cessation of smoking.
  • 65.
    Glucocorticoids and immunosuppressiveagents have not been proven to be effective. Smoking cessation alone will not alleviate pain in the symptomatic rib lesions. Radiation therapy has been useful in controlling progression and reducing pain. Similarly, smoking cessation alone will not control diabetes insipidus; therefore, replacement therapy should continue.
  • 66.
    The bone lesioncould be due to a metastatic cancer, but the chest radiograph does not show distinct nodules and is not consistent with metastatic cancer. Patients with sarcoidosis may have diabetes insipidus and may have extensive fibrosis late in the disease, but bone lesions are rare (choice B is incorrect). While the fibrotic lesions may be similar to those found in patients with idiopathic pulmonary fibrosis (IPF), bone lesions are not found in IPF and diabetes insipidus is not associated with IPF.
  • 67.
    Case 10 A 47-year-oldman presented with chronic renal failure and dyspnea•
  • 68.
    Case 10 What isthe MOST LIKELY diagnosis? A. Lobar pneumonia. B. Primary lung cancer. C. Acute heart failure. D. Anterior mediastinal mass. E. Pericardial effusion.
  • 69.
    Case 10 What isthe MOST LIKELY diagnosis? A. Lobar pneumonia. B. Primary lung cancer. C. Acute heart failure. D. Anterior mediastinal mass. .E. Pericardial effusion
  • 70.
  • 71.