Basics of CT Chest
Presented by
Dr. Mohammad Zannatul Rayhan
Pulmonology Phase B Resident
MU- XI
NIDCH, Mohakhali, Dhaka
8/27/2019 zannatulrayhan@gmail.com
Learning objectives
• Types of CT chest
• Basic anatomy of CT
chest
• Common pathology in std
CT chest
• HRCT interpretation
• Common parenchymal
pathology in HRCT
8/27/2019 zannatulrayhan@gmail.com
1. Standard or conventional CT:
• Slice thickness: 3-10 mm
• scans a large volume, very quickly
• Covers the full lung
• +/- contrast
8/27/2019 zannatulrayhan@gmail.com
Indications of Std CT Chest:
• Chest x- ray (CXR) abnormality
• Lung cancer staging
• F/U metastases
• Pleural and mediastinal abnormalities
• Empyema
8/27/2019 zannatulrayhan@gmail.com
2. High-resolution computed
tomography (HRCT)
• Narrow x-ray beam collimation: 1-1.3 mm vs.
conventional 3-10mm
• Cross sections are further apart: 10 mm
• High definition images of lung parenchyma:
vessels, airspaces,
• airway and interstitium
• No contrast
8/27/2019 zannatulrayhan@gmail.com
Standard Vs HRCT
8/27/2019 zannatulrayhan@gmail.com
Indication of HRCT Chest:
• Diffusely abnormal CXR
• Normal CXR with abnormal PFT’s
• Baseline for patients with diffuse lung disease
• Solitary pulmonary nodules
• Reversible (active) vs. non-reversible (fibrotic)
lung
• disease
• Hemoptysis
• Follow up known lung disease
8/27/2019 zannatulrayhan@gmail.com
3. CT with contrast
8/27/2019 zannatulrayhan@gmail.com
CT Chest Anatomy
8/27/2019 zannatulrayhan@gmail.com
CT chest anatomy : views
8/27/2019 zannatulrayhan@gmail.com
CT chest anatomy : windows
8/27/2019 zannatulrayhan@gmail.com
Hounsfield units
8/27/2019 zannatulrayhan@gmail.com
Mediastinum
8/27/2019 zannatulrayhan@gmail.com
Supraaortic region
8/27/2019 zannatulrayhan@gmail.com
Aortic arch region
8/27/2019 zannatulrayhan@gmail.com
8/27/2019 zannatulrayhan@gmail.com
Heart region
8/27/2019 zannatulrayhan@gmail.com
Bronchopulmonary segments
8/27/2019 zannatulrayhan@gmail.com
At aortic arch level
8/27/2019 zannatulrayhan@gmail.com
At left pulmonary artery level
8/27/2019 zannatulrayhan@gmail.com
At right pulmonary artery level
8/27/2019 zannatulrayhan@gmail.com
At ventricular level
8/27/2019 zannatulrayhan@gmail.com
Common Lung pathology in Std
CT Chest
8/27/2019 zannatulrayhan@gmail.com
Bronchial carcinoma
8/27/2019 zannatulrayhan@gmail.com
Bronchial carcinoma
8/27/2019 zannatulrayhan@gmail.com
Bronchial carcinoma
8/27/2019 zannatulrayhan@gmail.com
Mediastinal tumour
8/27/2019 zannatulrayhan@gmail.com
Collapse
8/27/2019 zannatulrayhan@gmail.com
Cannon ball sign
8/27/2019 zannatulrayhan@gmail.com
Metastasis
8/27/2019 zannatulrayhan@gmail.com
Bat's wing appearance
8/27/2019 zannatulrayhan@gmail.com
Sarcoidosis
8/27/2019 zannatulrayhan@gmail.com
8/27/2019 zannatulrayhan@gmail.com
HRCT interpretation
8/27/2019 zannatulrayhan@gmail.com
Relevant anatomy
HRCT Interpretation of DPLD is based on the
type of involvement of the secondary lobule.
Secondary lobule:
-smallest lung unit that is surrounded by
connective tissue septa.
-measures about 1-2 cm
-made up of 5-15 pulmonary acini, that
contain the alveoli for gas exchange.
8/27/2019 zannatulrayhan@gmail.com
Contd ..
-supplied by a terminal bronchiole in the center,
accompanying centrilobular artery.
-pulmonary veins and lymphatics run in the
periphery of the lobule within the interlobular septa.
-Two lymphatic systems:
Central network: runs along the bronchovascular
bundle towards the centre of the lobule.
Peripheral network: that is located within the
interlobular septa and along the pleural linings.
8/27/2019 zannatulrayhan@gmail.com
8/27/2019 zannatulrayhan@gmail.com
Centrilobular area: Central part of the secondary lobule.
-site of diseases that enter the lung through the airways.
ie. hypersensitivity pneumonitis, respiratory bronchiolitis,
centrilobular emphysema.
Perilymphatic area: Peripheral part of secondary lobule.
-site of diseases that are located in the lymphatics / in
interlobular septa.
ie. sarcoid, lymphangitic carcinomatosis, pulmonary edema.
8/27/2019 zannatulrayhan@gmail.com
8/27/2019 zannatulrayhan@gmail.com
HRCT Basic Interpretation
Algorithmic approach
Dominant HR-pattern Reticular
Nodular
High attenuation
Low attenuation
Distribution in secondary lobule Centilobular
Perilymphatic
Random
Distribution within lung Upper zones, lower zones
Central, peripheral
Additional findings
Pleural fluid
lymphadenopathy
Traction bronchiectasis8/27/2019 zannatulrayhan@gmail.com
Distribution within the Lung
8/27/2019 zannatulrayhan@gmail.com
Reticular pattern: Too many lines producing a
net like appearance.
As a result of thickening of the interlobular
septa
Due to fluid, fibrous tissue or cellular
infiltration in interstitium
Or as a result of fibrosis as in honeycombing.
8/27/2019 zannatulrayhan@gmail.com
Septal Thickening:
Smooth-
Lymphagitic spread of carcinoma or lymphoma
Interstitial pulmonary oedema
Alveolar proteinosis
Nodular or irregular-
Lymphagitic spread of carcinoma or lymphoma
Sarcoidosis
Silicosis
8/27/2019 zannatulrayhan@gmail.com
8/27/2019 zannatulrayhan@gmail.com
Honeycombing: represents the second reticular
pattern recognizable on HRCT.
Honeycomb cysts typically occur in several
contiguous layers.
Pathologically defined by the presence of small
cystic spaces lined by bronchiolar epithelium
with thickened walls composed of dense
fibrous tissue.
8/27/2019 zannatulrayhan@gmail.com
Causes of Honeycombing
UIP or Interstitial Fibrosis
IPF
RA, Scleroderma
Drug reaction
Asbestosis
End Stage Hypersensitivity Pneumonitis
End Stage Sarcoidosis
8/27/2019 zannatulrayhan@gmail.com
8/27/2019 zannatulrayhan@gmail.com
Honeycombing in a patient with UIP8/27/2019 zannatulrayhan@gmail.com
Nodular Pattern :
Three categories: according to their distribution
A. Random
B. Centrilobular
C. Perilymphatic
Random distribution:
-Random refers to no preference for a specific location
in the secondary lobule.
-Nodules are randomly distributed relative to
structures of the lung and secondary lobule.
-Nodules can usually be seen to involve the pleural
surfaces and fissures, but lack the subpleural
predominance.8/27/2019 zannatulrayhan@gmail.com
Centrilobular distribution:
-nodules are limited to the centrilobular region.
-centrilobular nodules spare the pleural surfaces.
-most peripheral nodules are centered 5-10 mm from
fissures or the pleural surface.
Perilymphatic distribution:
- nodules are seen in relation to pleural surfaces,
interlobular septa and the peribronchovascular
interstitium.
-Nodules are almost always visible in a subpleural
location, particularly in relation to the fissures.
8/27/2019 zannatulrayhan@gmail.com
8/27/2019 zannatulrayhan@gmail.com
NODULAR PATTERN8/27/2019 zannatulrayhan@gmail.com
8/27/2019 zannatulrayhan@gmail.com
Tree in bud:
Tree-in-bud describes the appearance of an
irregular and often nodular branching structure,
most easily identified in the lung periphery.
It represents dilated and impacted (mucus or
pus-filled) centrilobular bronchioles.
8/27/2019 zannatulrayhan@gmail.com
In centrilobular nodules recognition of 'tree-in bud‘
helps to narrowing the D/D.8/27/2019 zannatulrayhan@gmail.com
8/27/2019 zannatulrayhan@gmail.com
Typical Tree-in-bud appearance
in a patient with active TB.8/27/2019 zannatulrayhan@gmail.com
High Attenuation Pattern:
Ground-glass-opacity (GGO):
-Hazy increase in lung opacity without obscuration
of underlying vessels
-'dark bronchus' sign
Consolidation :
-increase in lung opacity obscuring the vessels.
-'air bronchogram'
8/27/2019 zannatulrayhan@gmail.com
8/27/2019 zannatulrayhan@gmail.com
Ground-glass opacity:
-result of air space disease
i.e.-Filling of the alveolar spaces with pus, edema,
hemorrhage, inflammatory or tumor cells.
or
-result of interstitial lung disease
i.e.-Thickening of the interstitium or alveolar
walls below the spatial resolution of the HRCT as
seen in fibrosis.
8/27/2019 zannatulrayhan@gmail.com
8/27/2019 zannatulrayhan@gmail.com
Ground glass opacity8/27/2019 zannatulrayhan@gmail.com
Mosaic attenuation:
-density differences between affected and
nonaffected lung areas.
-there are patchy areas of black and white lung.
Less dense More dense
Normal area Infiltrative area
Air trapped area Normal area
Olegamic area Hyperfused area
8/27/2019 zannatulrayhan@gmail.com
8/27/2019 zannatulrayhan@gmail.com
Three different causes of mosaic attenuation
8/27/2019 zannatulrayhan@gmail.com
Crazy Paving:
-combination of ground glass opacity with
superimposed septal thickening
Crazy paving in alveolar proteinosis8/27/2019 zannatulrayhan@gmail.com
Consolidation:
-appears as a homogeneous increase in pulmonary
parenchymal attenuation that obscures the margins
of vessels and airway walls
8/27/2019 zannatulrayhan@gmail.com
Chronic consolidations as a result of
COP (cryptogenic organizing pneumonia)8/27/2019 zannatulrayhan@gmail.com
Low Attenuation Pattern:
-abnormalities that result in decreased lung
attenuation or air-filled lesions.
These include:
-Emphysema
-Lung cysts
-Bronchiectasis
-Honeycombing
8/27/2019 zannatulrayhan@gmail.com
8/27/2019 zannatulrayhan@gmail.com
Emphysema:
-areas of low attenuation without visible walls as a
result of parenchymal destruction.
Centrilobular emphysema:
-Most common type
-Centrilobular portion of the lobule
-Upper lobe predominance and uneven distribution
-Strongly associated with smoking.
8/27/2019 zannatulrayhan@gmail.com
Centrilobular emphysema due to smoking8/27/2019 zannatulrayhan@gmail.com
Panlobular emphysema:
-Affects the whole secondary lobule
-Lower lobe predominance
-In alpha-1-antitrypsin deficiency, but also seen in
smoker.
8/27/2019 zannatulrayhan@gmail.com
Paraseptal emphysema:
-Adjacent to the pleura and interlobar fissures
-Can be isolated phenomenon in young adults or in
older patients with centrilobular emphysema
-In young adults often associated with spontaneous
pneumothorax.
Paraseptal emphysema with small bulla8/27/2019 zannatulrayhan@gmail.com
Cystic lung disease:
-Lung cyst is radiolucent area with a wall thickness
of less than 4mm.
8/27/2019 zannatulrayhan@gmail.com
Lung cysts in Langerhans cell histiocytosis8/27/2019 zannatulrayhan@gmail.com
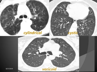
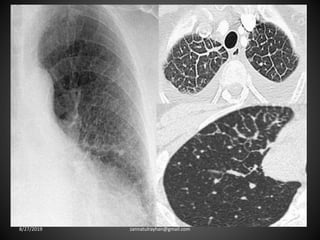
Bronchiectasis: localized bronchial dilatation.
The diagnosis is based on a combination of the
following findings:
-bronchial dilatation (signet-ring sign)
-bronchial wall thickening
-lack of normal tapering with visibility of airways in
the peripheral lung
-mucus retention in the bronchial lumen
-associated atelectasis and sometimes air trapping
8/27/2019 zannatulrayhan@gmail.com
8/27/2019 zannatulrayhan@gmail.com
8/27/2019 zannatulrayhan@gmail.com
8/27/2019 zannatulrayhan@gmail.com
8/27/2019 zannatulrayhan@gmail.com
Bronchiectasis few having air-fluid levels8/27/2019 zannatulrayhan@gmail.com
cysticcylindrical
varicoid8/27/2019 zannatulrayhan@gmail.com
8/27/2019 zannatulrayhan@gmail.com
8/27/2019 zannatulrayhan@gmail.com

Basics of CT Chest