Congestive Heart Failure
Objectives
 definition of CHF
 Pathophysiology
 signs and symptoms of CHF
 causes of CHF
 precipitating factors
 investigation of patient with CHF
 monitoring of patient with CHF
 important lines of management
Important message
• Clinical presentation of disease
• NOT a diagnosis
Cardiac Physiology
                 (remember this?)
• CO = SV x HR

• HR: parasympathetic and sympathetic tone

• SV: preload, afterload, contractility
Preload
• Def: Passive stretch of muscle prior to contraction
• Measurement: Swan-Ganz
   – LVEDP


• Really a function of diastole
• Affected by compliance
   – Low compliance = higher LVEDP @ lower LVEDV
Afterload
• Def: Force opposing/stretching muscle after
  contraction begins



• Measurement: SVR
Contractility
• Def: Normal ability of the muscle to contract
  at a given force for a given stretch,
  independent of preload or afterload forces

• In other words:
  – How healthy is your heart muscle?
• Ischemia, Hypertrophy (?), Muscle loss
Predisposing Cardiac Diseases
•   Myocardial infarction
•   Chronic ischemia
•   Cardiomyopathy
•   Arrhythmias
•   Diastolic dysfunction
•   Valvular diseases
    – AS , AI
    – MR
Precipitating Factors
•   Infection               •   Sodium Intake
•   Pulm Embolus            •   Medications!!!
•   Noncompliance           •   Anemia
•   Arrhythmia              •   Thyroid disorders
•   Myocardial Infarction   •   Endocarditis
•   Stress reaction
Classifying Heart Failure
• Anatomically
  – Left versus Right


• Physiologically
  – Systolic versus Diastolic


• Functionally
  – How symptomatic is your patient?
Left versus Right Failure
Left Heart Failure        Right Heart Failure
  - Dyspnea                 - Dec. exercise
  - Dec. exercise           tolerance
  tolerance                 - Edema
  - Cough                   - HJR / JVD
  - Orthopnea               - Hepatomegaly
  - Pink, frothy sputum     - Ascites
Systolic versus Diastolic
• Systolic– “can’t pump”      • Diastolic- “can’t fill”
   –   Aortic Stenosis           – Hypertrophy
   –   HTN                       – Infiltration
   –   Aortic Insufficiency      – Fibrosis
   –   Mitral Regurgitation
   –   Muscle Loss
        • Ischemia
        • Fibrosis
        • Infiltration
Clinical Data
• CXR
  – Kerley’s lines : A and B
  – Pulmonary Edema
  – Pleural Effusions (bilateral)
• EKG
  – Left atrial enlargement
  – Arrhythmias
  – Hypertrophy (left or right)
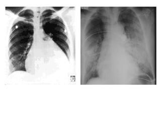
Cardiomyopathy   Pulmonary Edema
Clinical Data
• HEART SOUNDS!!!
• Systolic Murmurs
  – Mitral Regurg
  – Aortic Stenosis
• Diastolic Murmurs
  – Aortic Insufficiency
• S3: Rapid filling of a diseased ventricle
Clinical Data
• Laboratory Data

• Chemistry
  – Renal Function: Be Wary

• BNP
  –   Used in ER departments the world over
  –   Good negative correlation
  –   Need baseline for positivity
  –   Pulmonary versus cardiac dyspnea
Treatment of CHF
• Treat Precipitating Factor(s)!!!!

•   Adjust Heart Rate
•   Decrease Preload
•   Decrease Afterload
•   Increase Contractility
•   Increase Oxygenation
Treatment of CHF
• Oxygen – nasal, BiPAP, intubation
• Morphine
• Preload Reduction
  – Loop diuretics
  – Nitrates
  – ACEi / ARB
  – Morphine
Treatment of CHF
• Afterload Reduction
  – IV NTG, Nitroprusside
  – Hydralazine
  – ACEi / ARB
• Ionotropic Support
  – Dopamine / Dobutamine
  – Amrinone / Milrinone
  – Digoxin (chronic)
  – Mechanical (ABP)
Admission Orders
•   Admit: Telemetry or ICU
•   EKG STAT, then daily x 3 days
•   2D Echo
•   CXR
•   Labs: BMP, CBC, CE x 3, Coags, LFTs, UA
•   Pulse ox (ABG)
•   Oxygen
•   ASA 81mg PO daily
Treatment of CHF
• Beta-Blockers
  – Chronic > Acute
  – Carvedilol , Metoprolol , Bisoprolol
• Fluid Balance
  – Restrict fluid / salt intake
  – Monitor I/Os and daily weight
  – Dialysis if needed
• Aspirin
• Nitroglycerin
   – IV:10-200 mcg/min
• Morphine 1-5mg IV q10-20 min prn
• Lasix 20-200mg IV (q 6-8 hours)
• ACEi
   – Captopril 6.25-50mg PO q8h
   – Enalapril 2.5-20mg PO BID
• Hydralazine 10-100mg PO q6-8 h
• Beta Blocker
    – Probably not acutely
    – Start Coreg or Toprol XL prior to discharge
•   Fluid Restrict 1000ml daily
•   Low salt diet
•   Daily patient weights
•   Daily I/Os
• Dobutamine 500mg in 250cc D5W
  – 3-10 mcg/kg/min
• Digoxin
  – Titrate to effective dose prior to discharge
  – Not in renal faliure
• IABP
  – Cardiogenic shock unresponsive to above tx
• Dialysis
  – Critical renal failure patients
Questions

Congestive heart failure

  • 1.
  • 2.
    Objectives  definition ofCHF  Pathophysiology  signs and symptoms of CHF  causes of CHF  precipitating factors  investigation of patient with CHF  monitoring of patient with CHF  important lines of management
  • 3.
    Important message • Clinicalpresentation of disease • NOT a diagnosis
  • 4.
    Cardiac Physiology (remember this?) • CO = SV x HR • HR: parasympathetic and sympathetic tone • SV: preload, afterload, contractility
  • 5.
    Preload • Def: Passivestretch of muscle prior to contraction • Measurement: Swan-Ganz – LVEDP • Really a function of diastole • Affected by compliance – Low compliance = higher LVEDP @ lower LVEDV
  • 6.
    Afterload • Def: Forceopposing/stretching muscle after contraction begins • Measurement: SVR
  • 7.
    Contractility • Def: Normalability of the muscle to contract at a given force for a given stretch, independent of preload or afterload forces • In other words: – How healthy is your heart muscle? • Ischemia, Hypertrophy (?), Muscle loss
  • 8.
    Predisposing Cardiac Diseases • Myocardial infarction • Chronic ischemia • Cardiomyopathy • Arrhythmias • Diastolic dysfunction • Valvular diseases – AS , AI – MR
  • 9.
    Precipitating Factors • Infection • Sodium Intake • Pulm Embolus • Medications!!! • Noncompliance • Anemia • Arrhythmia • Thyroid disorders • Myocardial Infarction • Endocarditis • Stress reaction
  • 10.
    Classifying Heart Failure •Anatomically – Left versus Right • Physiologically – Systolic versus Diastolic • Functionally – How symptomatic is your patient?
  • 11.
    Left versus RightFailure Left Heart Failure Right Heart Failure - Dyspnea - Dec. exercise - Dec. exercise tolerance tolerance - Edema - Cough - HJR / JVD - Orthopnea - Hepatomegaly - Pink, frothy sputum - Ascites
  • 12.
    Systolic versus Diastolic •Systolic– “can’t pump” • Diastolic- “can’t fill” – Aortic Stenosis – Hypertrophy – HTN – Infiltration – Aortic Insufficiency – Fibrosis – Mitral Regurgitation – Muscle Loss • Ischemia • Fibrosis • Infiltration
  • 14.
    Clinical Data • CXR – Kerley’s lines : A and B – Pulmonary Edema – Pleural Effusions (bilateral) • EKG – Left atrial enlargement – Arrhythmias – Hypertrophy (left or right)
  • 15.
    Cardiomyopathy Pulmonary Edema
  • 16.
    Clinical Data • HEARTSOUNDS!!! • Systolic Murmurs – Mitral Regurg – Aortic Stenosis • Diastolic Murmurs – Aortic Insufficiency • S3: Rapid filling of a diseased ventricle
  • 17.
    Clinical Data • LaboratoryData • Chemistry – Renal Function: Be Wary • BNP – Used in ER departments the world over – Good negative correlation – Need baseline for positivity – Pulmonary versus cardiac dyspnea
  • 18.
    Treatment of CHF •Treat Precipitating Factor(s)!!!! • Adjust Heart Rate • Decrease Preload • Decrease Afterload • Increase Contractility • Increase Oxygenation
  • 19.
    Treatment of CHF •Oxygen – nasal, BiPAP, intubation • Morphine • Preload Reduction – Loop diuretics – Nitrates – ACEi / ARB – Morphine
  • 20.
    Treatment of CHF •Afterload Reduction – IV NTG, Nitroprusside – Hydralazine – ACEi / ARB • Ionotropic Support – Dopamine / Dobutamine – Amrinone / Milrinone – Digoxin (chronic) – Mechanical (ABP)
  • 22.
    Admission Orders • Admit: Telemetry or ICU • EKG STAT, then daily x 3 days • 2D Echo • CXR • Labs: BMP, CBC, CE x 3, Coags, LFTs, UA • Pulse ox (ABG) • Oxygen • ASA 81mg PO daily
  • 23.
    Treatment of CHF •Beta-Blockers – Chronic > Acute – Carvedilol , Metoprolol , Bisoprolol • Fluid Balance – Restrict fluid / salt intake – Monitor I/Os and daily weight – Dialysis if needed • Aspirin
  • 24.
    • Nitroglycerin – IV:10-200 mcg/min • Morphine 1-5mg IV q10-20 min prn • Lasix 20-200mg IV (q 6-8 hours) • ACEi – Captopril 6.25-50mg PO q8h – Enalapril 2.5-20mg PO BID • Hydralazine 10-100mg PO q6-8 h
  • 25.
    • Beta Blocker – Probably not acutely – Start Coreg or Toprol XL prior to discharge • Fluid Restrict 1000ml daily • Low salt diet • Daily patient weights • Daily I/Os
  • 26.
    • Dobutamine 500mgin 250cc D5W – 3-10 mcg/kg/min • Digoxin – Titrate to effective dose prior to discharge – Not in renal faliure • IABP – Cardiogenic shock unresponsive to above tx • Dialysis – Critical renal failure patients
  • 27.