‫بسم ال الرحمن الرحيم‬
           Cor pulmonale
                By

Prof. Dr. Rasheed Abd El Khalek
              .M. D
  Head Of Internal Medicine & Intensive Care
                 Department
Definitions
   Cor pulmonale is a latin word means ”pulmonary heart” .
   The world Health Organizaton in 1963 adopted this definition of
    cor pulmonale :” hypertrophy of the right ventricle resulting from
    diseases affecting the function and/or structure of the lungs,
    except when these pulmonary alterations are the result of
    diseases that primarily affect the left side of the heart , as
    congenital heart diseases”
   Cor pulmonale is a disease of the right ventricle characterized by
    hypertrophy and dilation that results from diseases directly
    affecting the lung parenchyma or lung vasculature. Of note ,right
    heart failure need not be present in cor pulmonale .
Subtypes Of Cor Pulmonale
   Cor pulmonale can be either acute or chronic in development.
   Acute cor pulmonale is the result of a sudden increase in right
    ventricular pressure, as seen in massive pulmonary embolism or
    acute respiratory distress syndrome.
   Chronic cor pulmonale can be further characterized by hypoxic or
    vascular obliterans pathophysiology.
   The most common disease process associated with hypoxic
    subtype is chronic obstructive pulmonary disease (COPD).
   The most common process associated with obliterans subtype is
    pulmonary thromboembolic disease.
Pathophysiology
   Under normal phsyologic conditions, the right ventricle pumps against a low-
    resistance circuit.
   Normal pulmonary vascular resistance is approximately one-tenth the
    resistance of the systemic arteries.
   The right ventricle is thin walled and able to accommodate considerable
    changes in volume without large changes in pressure.
   Increased cardiac output leads to recruitment of underperfused pulmonary
    vessels and distention of other pulmonary vessels.
   The initial pathophysiologic event in the production of cor pulmonale is
    elevation of the pulmonary vascular resistance.
   As the resistance increases, the pulmonary arterial pressure rises, right
    ventricular work increases, right ventricular hypertrophy (i.e.,thickening,
    dilation, or both ).
   Right ventricular failure occurs when compensation through dilation and
    hypertrophy are exhausted.
Causes
 Any process that results in pulmonary
  hypertension can cause cor pulmonale.
 Pulmonary hypertension is defined as
  mean pulmonary artery pressure >20
  mmHg at rest or >30 mmHg with
  exercise.
Pathophysiology of pulmonary
            hypertension
1.   Hypoxic pulmonary vasoconstriction and
     arterial occlusion are the major causes of
     pulmonary hypertension.
2.   Both produce reduced blood flow with
     increased vascular resistance.
3.   Acute hypoxic pulmonary vaso –constriction
     optimizes ventilation – perfusion relationships
     when regional ventilation demands in the lung
     are not met.
4. However, chronic hypoxemia leading to
   chronic vasoconstriction produces
   smooth ms proliferation in small
   pulmonary arteries.
5. Decreased luminal cross sectional
   diameter leads to increased resistance
   and increased pulmonary artery
   pressure.
6. These architectural changes in
   pulmonary arteries may promote platelet
   aggregation and activation.
7. This leads to thrombi formation that
   further increases pulmonary vascular
   resistance and pulmonary hypertension.
8. Hypoxemia produces changes in
   vascular mediators such as Nitric Oxide,
   Endothelin1 (ET1) and platelet derived
   growth factors (PDGf A and B).
9. Nitric oxide is a vasodilator; hypoxemia
   reduces endothelial cell production of
   nitric oxide and results in impaired
   smooth ms relaxation.
10. Hypoxemia increases ET1 production
    and PDGF A and B .
11. ET1 is apotent vasoconstrictor, and
    PDGF A and B results in pulmonary
    vascular remodeling.
12. All causes increased pulmonary artery
    resistance and causes pulmonary
    hypertension.
Presentation
 The signs and symptoms of cor
  pulmonale are often subtle unless the
  disease process becomes far advanced.
 In addition, clinicians tend to focus on
  the disease giving rise to cor pulmonale
  rather than on cor pulmonale itself.
 Manifestations of cor pulmonale are
  similar to those of right side heart failure.
:Symptoms of Cor Pulmonale
   Fatigability
   Dyspnea on exertion
   Syncope
   Chest pain
   Palpitation
   Abdominal edema or distension
   Lower extremity edema
Clinical Signs Of Cor
            :Pulmonale
 Accentuated A wave of the jugular venous
  pulsations
 Prominent jugular V wave, indicating the
  presence of tricuspid regurgitation
 Palpable left parasternal lift
 Accentuated pulmonic component of the
  second heart sound
 Right sided S4 heart sound
 Murmurs of tricuspid and pulmonic
  insufficiency
 Dependent prepheral edema and
  hepatomegaly
The mortality associated with cor
               pulmonale
   Patients with COPD have a 60% 5-year survival
    rate, whereas patients with COPD and
    pulmonary artery pressure in excessof 25 mmHg
    have a survival of only 36%.
   The 5-year survival rate for patients with COPD
    who develop preipheral edema is approximately
    30%.
   It is unclear whether pulmonary artery
    hypertension is the cause of death or whether it
    is a marker of increased motality.
Electrocardiography criteria of right
      ventricular hypertrophy
 Right axis deviation.
 P pulmonale (large P wave ) in the inferior
  and anterior leads “ right atrial
  enlargement “.
 Right bundle branch block.
 Right precordial T-wave inversions.
 Delayed interinsicoid deflection of right
  precordial leads.
E.C.G criteria of R.V.H
 S1Q3 T3 pattern.
 QR pattern in lead V1 or V3R.
 An R wave in V1 or V3R.
 An R/S ratio >1 in V1 or <1 in V5 or V6.
S1 Q3 T3 Pattern
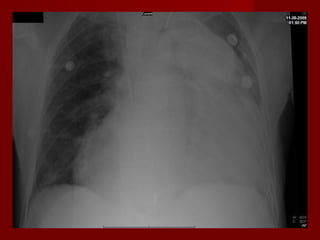
Investigations Help In Diagnosis
    Chest Radiograph:
1.   Enlarged pulmonary artery.
2.   Enlarged right ventricle.
3.   Distended azygous or other central vein.
4.   Westermark sign “oligemia of lung lobe or
     entire lung “.
5.   Hampton’s hump “wedge shaped opacity
6.   COPD signs as anterior-posterior diameter ,
     flattening of diaphragm , honeycombing and
     hyperlucency.
  Computed tomography:
1. Main pulmonary artery diameter
   measurements >29 mm have a
   sensitivity of 84 % and specificity of 75%
   for the diagnosis of pulmonary
   hypertension.
2. There are data to suggest that an
   enlarged main pulmonary artery
   diameter and ratio of segmental
   pulmonary artery diameter to
   corresponding bronchus diameter > 1
   increases the specificity of a pulmonary
   hypertension diagnosis.
  Echocardiography :
1. An adequate examination is reported in
   up to 65 – 80 % of patients with COPD
   because of the technical difficulty
   associated with hyperinflation.
2. A better examination can be obtained
   with transesophageal echocardiography.
3. Doppler echocardiography has aided in
   the assessment of pulmonary artery
   pressure by measuring the flow of
   regurgitant blood across the tricuspid
   valave or by measuring right vetricular
   ejection flow.
    Right heart catheterization :
1.   This is the gold standard for thorough
     evaluation and diagnosis of pulmonary
     hypertension.
    Radionuclide angiography (gated blood
     pool scan ):
1.   This test is most useful for measuring right and
     left ventricular ejection fraction.
    Magnetic resonance imaging :
1.   This non invasive technique yields highly
     accurate dimensions of the right ventricle.
Treatment
    Non pharmacological treatment :
1.   Oxygen therapy.
2.   Phlebotomy.
3.   Non invasive positive pressure ventilation
     (NIPPV).
    Pharmacological treatment :
1.   Diuretics .
2.   Anticoagulation .
3.   Vasodilators .
Oxygen therapy
   This is considered a mainstay of treatment for
    patients with COPD .
   Large controlled trials demonstrate that long
    term administration of oxygen improves survival
    in hypoxemic patients with COPD.
   Oxygen therapy decreases pulmonary vascular
    resistance by diminishing pulmonary
    vasoconstriction and improves right ventricular
    stroke volume and cardiac output .
Phlebotomy
   In patient with pronounced polycythemia
    (hematocrit >60 % ), phlebotomy may provide
    symptomatic relief .
   In resting patients , phlebotomy can affect a mild
    decrease in pulmonary artery pressure and
    pulmonary vascular resistance .
   In general , blood viscosity has less effect than
    blood volume on pulmonary arterial pressure .
   Phlebotomy , with a goal hematocrit of 50 %,
    may improve exercise tolerance in patients with
    polycythemic COPD.
 Phlebotomy is not an optimal single
 therapy but can be considered in
 polycythemic patients with acute
 decompensation .
Noninvasive positive pressure
        (ventilation ( NIPPV
 For patients with acute COPD
  exacerbations, NIPPV has been shown to
  improve outcomes in acute hospitalization.
 No such data exist for long-term treatment
  of COPD or sleep-disordered breathing
  with NIPPV.
 There is evidence that oxygenation is
  improved in these patients, but reduction
  in pulmonary artery pressure is only
  anecdotal.
Diuretics
 Diuretic therapy with salt restricted diet
  may be needed in congestive heart failure
  to take care of the excessive water that
  the lungs share and to improve alveolar
  ventilation and gas exchange.
 However, the use of diuretics may
  produce hemodynamic adverse effects,
  such as volume depletion, decrease
  venous return to the right ventricle, and
  decreased cardiac output.
 Another complication is the production of
 hypokalemic metabolic alkalosis, which
 diminishes the Co2 stimulus to the
 respiratory center, decreasing ventilatory
 drive.
Anticoagulation
 Chronic anticoagulation with Warfarin may
 provide benefit for those patients with Cor
 Pulmonale resulting from thrombo-
 occlusive pulmonary disease.
vasodilators
 Vasodilators improve cardiac output in
  many patients with cor pulmonale.
 However, treatment with vasodilators may
  be associated with adverse effects,
  including systemic hypotension that
  coronary perfusion pressure, blunting of
  hypoxic pulmonary vasoconstriction and
  circulatory collapse.
Different classes of vasodilators
         used in Cor Pulmonale
  Nonspecific vasodilators:
1. Hydralazine increases cardiac output in
   patients with COPD; however, its ability
   to decrease pulmonary artery pressure is
   unpredictable.
2. Nitroprusside may provide benefit but
   also runs the risk of systemic
   hypotension and compromise of
   adequate coronary perfusion pressure.
3. Calcium channel blockers such as
   Nifedipine reduce pulmonary vascular
   resistance and increase cardiac output
   only for the short term.
4. Verapamil and Diltiazem have not
   proved effective in dilating pulmonary
   vasculature.
  Pulmonary vasodilators :
1. Prostaglandins decrease pulmonary
   artery pressure and increase right
   ventricular ejection fraction and cardiac
   output.
2. Aerosolized prostacyclin causes
   pulmonary artery vasodilatation and
   improves cardiac output and arterial
   oxyhemoglobin saturation in patients
   with chronic pulmonary hypertension.
3.   Nitric oxide provides a real clinical
     scenario. It reliably decreases pulmonary
     vascular resistance without causing
     systemic hypotension and preserves or
     improves optimal ventilation-perfusion
     match. Its drawbacks are difficult
     administration, high cost, and a well-
     documented tachyphylactic effect.
     Multiple studies have shown that its
     benefits are most significant for only 1-3
     days, especially in patients with acute
     respiratory distress syndrome.
  Inotropes with vasodilatory
   properties :
1. Dobutamine is an inotropic agent with
   vasodilatory effect which improves right
   ventricular function and cardiac output,
   but its effect on systemic blood pressure
   is unpredictable.
2. Amrinone lowers pulmonary artery
   pressure and rises cardiac output and
   systemic blood pressure.
  Endothelin receptor antagonist :
1. Bosentan is an endothelin receptor
   antagonist that produces pulmonary
   vasodilation and attenuates ventricular
   remodeling and improve survival on
   chronic use.
Role of digoxin in treatment
 Cardiac output improves in about 10% of
  patients with primary pulmonary
  hypertension who receive digoxin.
 This rate is similar to that in patient with
  left ventricular dyfunction.
 Patients who receive digoxin also show a
  modest increase in pulmonary pressure,
  perhaps due to increase in cardiac output.
 Clinical studies show improvement in right
  ventricular function only in those patients
  who have reduced left ventricular ejection
  fraction.
 Recently, digoxin has fallen out of favor in
  the setting of left ventricular dysfunction;
  the trend in clinical medicine has been its
  continued use in rate control.
KEY POINTS OF COR
              PULMONALE
   Right side heart failure is not necessary to make
    the diagnosis of cor pulmonale.
   Any process that cause pulmonary hypertension
    can cause cor pulmonale.
   COPD is the most common cause of chronic cor
    pulmonale.
   Cor pulmonale is common in advanced
    obstructive lung disease and has a poor 5-year
    survival rate.
   Ventricular interdependence can developin late
    stages of cor pulmonale.
PRAISE BE TO ALLAAH
       THANKS

Cor pulmonale

  • 1.
    ‫بسم ال الرحمنالرحيم‬ Cor pulmonale By Prof. Dr. Rasheed Abd El Khalek .M. D Head Of Internal Medicine & Intensive Care Department
  • 3.
    Definitions  Cor pulmonale is a latin word means ”pulmonary heart” .  The world Health Organizaton in 1963 adopted this definition of cor pulmonale :” hypertrophy of the right ventricle resulting from diseases affecting the function and/or structure of the lungs, except when these pulmonary alterations are the result of diseases that primarily affect the left side of the heart , as congenital heart diseases”  Cor pulmonale is a disease of the right ventricle characterized by hypertrophy and dilation that results from diseases directly affecting the lung parenchyma or lung vasculature. Of note ,right heart failure need not be present in cor pulmonale .
  • 4.
    Subtypes Of CorPulmonale  Cor pulmonale can be either acute or chronic in development.  Acute cor pulmonale is the result of a sudden increase in right ventricular pressure, as seen in massive pulmonary embolism or acute respiratory distress syndrome.  Chronic cor pulmonale can be further characterized by hypoxic or vascular obliterans pathophysiology.  The most common disease process associated with hypoxic subtype is chronic obstructive pulmonary disease (COPD).  The most common process associated with obliterans subtype is pulmonary thromboembolic disease.
  • 5.
    Pathophysiology  Under normal phsyologic conditions, the right ventricle pumps against a low- resistance circuit.  Normal pulmonary vascular resistance is approximately one-tenth the resistance of the systemic arteries.  The right ventricle is thin walled and able to accommodate considerable changes in volume without large changes in pressure.  Increased cardiac output leads to recruitment of underperfused pulmonary vessels and distention of other pulmonary vessels.  The initial pathophysiologic event in the production of cor pulmonale is elevation of the pulmonary vascular resistance.  As the resistance increases, the pulmonary arterial pressure rises, right ventricular work increases, right ventricular hypertrophy (i.e.,thickening, dilation, or both ).  Right ventricular failure occurs when compensation through dilation and hypertrophy are exhausted.
  • 6.
    Causes  Any processthat results in pulmonary hypertension can cause cor pulmonale.  Pulmonary hypertension is defined as mean pulmonary artery pressure >20 mmHg at rest or >30 mmHg with exercise.
  • 8.
    Pathophysiology of pulmonary hypertension 1. Hypoxic pulmonary vasoconstriction and arterial occlusion are the major causes of pulmonary hypertension. 2. Both produce reduced blood flow with increased vascular resistance. 3. Acute hypoxic pulmonary vaso –constriction optimizes ventilation – perfusion relationships when regional ventilation demands in the lung are not met.
  • 9.
    4. However, chronichypoxemia leading to chronic vasoconstriction produces smooth ms proliferation in small pulmonary arteries. 5. Decreased luminal cross sectional diameter leads to increased resistance and increased pulmonary artery pressure.
  • 10.
    6. These architecturalchanges in pulmonary arteries may promote platelet aggregation and activation. 7. This leads to thrombi formation that further increases pulmonary vascular resistance and pulmonary hypertension.
  • 11.
    8. Hypoxemia produceschanges in vascular mediators such as Nitric Oxide, Endothelin1 (ET1) and platelet derived growth factors (PDGf A and B). 9. Nitric oxide is a vasodilator; hypoxemia reduces endothelial cell production of nitric oxide and results in impaired smooth ms relaxation.
  • 12.
    10. Hypoxemia increasesET1 production and PDGF A and B . 11. ET1 is apotent vasoconstrictor, and PDGF A and B results in pulmonary vascular remodeling. 12. All causes increased pulmonary artery resistance and causes pulmonary hypertension.
  • 13.
    Presentation  The signsand symptoms of cor pulmonale are often subtle unless the disease process becomes far advanced.  In addition, clinicians tend to focus on the disease giving rise to cor pulmonale rather than on cor pulmonale itself.  Manifestations of cor pulmonale are similar to those of right side heart failure.
  • 14.
    :Symptoms of CorPulmonale  Fatigability  Dyspnea on exertion  Syncope  Chest pain  Palpitation  Abdominal edema or distension  Lower extremity edema
  • 15.
    Clinical Signs OfCor :Pulmonale  Accentuated A wave of the jugular venous pulsations  Prominent jugular V wave, indicating the presence of tricuspid regurgitation  Palpable left parasternal lift  Accentuated pulmonic component of the second heart sound  Right sided S4 heart sound
  • 16.
     Murmurs oftricuspid and pulmonic insufficiency  Dependent prepheral edema and hepatomegaly
  • 17.
    The mortality associatedwith cor pulmonale  Patients with COPD have a 60% 5-year survival rate, whereas patients with COPD and pulmonary artery pressure in excessof 25 mmHg have a survival of only 36%.  The 5-year survival rate for patients with COPD who develop preipheral edema is approximately 30%.  It is unclear whether pulmonary artery hypertension is the cause of death or whether it is a marker of increased motality.
  • 18.
    Electrocardiography criteria ofright ventricular hypertrophy  Right axis deviation.  P pulmonale (large P wave ) in the inferior and anterior leads “ right atrial enlargement “.  Right bundle branch block.  Right precordial T-wave inversions.  Delayed interinsicoid deflection of right precordial leads.
  • 19.
    E.C.G criteria ofR.V.H  S1Q3 T3 pattern.  QR pattern in lead V1 or V3R.  An R wave in V1 or V3R.  An R/S ratio >1 in V1 or <1 in V5 or V6.
  • 20.
    S1 Q3 T3Pattern
  • 21.
    Investigations Help InDiagnosis  Chest Radiograph: 1. Enlarged pulmonary artery. 2. Enlarged right ventricle. 3. Distended azygous or other central vein. 4. Westermark sign “oligemia of lung lobe or entire lung “. 5. Hampton’s hump “wedge shaped opacity 6. COPD signs as anterior-posterior diameter , flattening of diaphragm , honeycombing and hyperlucency.
  • 23.
     Computedtomography: 1. Main pulmonary artery diameter measurements >29 mm have a sensitivity of 84 % and specificity of 75% for the diagnosis of pulmonary hypertension. 2. There are data to suggest that an enlarged main pulmonary artery diameter and ratio of segmental pulmonary artery diameter to corresponding bronchus diameter > 1 increases the specificity of a pulmonary hypertension diagnosis.
  • 24.
     Echocardiography: 1. An adequate examination is reported in up to 65 – 80 % of patients with COPD because of the technical difficulty associated with hyperinflation. 2. A better examination can be obtained with transesophageal echocardiography. 3. Doppler echocardiography has aided in the assessment of pulmonary artery pressure by measuring the flow of regurgitant blood across the tricuspid valave or by measuring right vetricular ejection flow.
  • 26.
    Right heart catheterization : 1. This is the gold standard for thorough evaluation and diagnosis of pulmonary hypertension.  Radionuclide angiography (gated blood pool scan ): 1. This test is most useful for measuring right and left ventricular ejection fraction.  Magnetic resonance imaging : 1. This non invasive technique yields highly accurate dimensions of the right ventricle.
  • 27.
    Treatment  Non pharmacological treatment : 1. Oxygen therapy. 2. Phlebotomy. 3. Non invasive positive pressure ventilation (NIPPV).  Pharmacological treatment : 1. Diuretics . 2. Anticoagulation . 3. Vasodilators .
  • 28.
    Oxygen therapy  This is considered a mainstay of treatment for patients with COPD .  Large controlled trials demonstrate that long term administration of oxygen improves survival in hypoxemic patients with COPD.  Oxygen therapy decreases pulmonary vascular resistance by diminishing pulmonary vasoconstriction and improves right ventricular stroke volume and cardiac output .
  • 29.
    Phlebotomy  In patient with pronounced polycythemia (hematocrit >60 % ), phlebotomy may provide symptomatic relief .  In resting patients , phlebotomy can affect a mild decrease in pulmonary artery pressure and pulmonary vascular resistance .  In general , blood viscosity has less effect than blood volume on pulmonary arterial pressure .  Phlebotomy , with a goal hematocrit of 50 %, may improve exercise tolerance in patients with polycythemic COPD.
  • 30.
     Phlebotomy isnot an optimal single therapy but can be considered in polycythemic patients with acute decompensation .
  • 31.
    Noninvasive positive pressure (ventilation ( NIPPV  For patients with acute COPD exacerbations, NIPPV has been shown to improve outcomes in acute hospitalization.  No such data exist for long-term treatment of COPD or sleep-disordered breathing with NIPPV.  There is evidence that oxygenation is improved in these patients, but reduction in pulmonary artery pressure is only anecdotal.
  • 32.
    Diuretics  Diuretic therapywith salt restricted diet may be needed in congestive heart failure to take care of the excessive water that the lungs share and to improve alveolar ventilation and gas exchange.  However, the use of diuretics may produce hemodynamic adverse effects, such as volume depletion, decrease venous return to the right ventricle, and decreased cardiac output.
  • 33.
     Another complicationis the production of hypokalemic metabolic alkalosis, which diminishes the Co2 stimulus to the respiratory center, decreasing ventilatory drive.
  • 34.
    Anticoagulation  Chronic anticoagulationwith Warfarin may provide benefit for those patients with Cor Pulmonale resulting from thrombo- occlusive pulmonary disease.
  • 35.
    vasodilators  Vasodilators improvecardiac output in many patients with cor pulmonale.  However, treatment with vasodilators may be associated with adverse effects, including systemic hypotension that coronary perfusion pressure, blunting of hypoxic pulmonary vasoconstriction and circulatory collapse.
  • 36.
    Different classes ofvasodilators used in Cor Pulmonale  Nonspecific vasodilators: 1. Hydralazine increases cardiac output in patients with COPD; however, its ability to decrease pulmonary artery pressure is unpredictable. 2. Nitroprusside may provide benefit but also runs the risk of systemic hypotension and compromise of adequate coronary perfusion pressure.
  • 37.
    3. Calcium channelblockers such as Nifedipine reduce pulmonary vascular resistance and increase cardiac output only for the short term. 4. Verapamil and Diltiazem have not proved effective in dilating pulmonary vasculature.
  • 38.
     Pulmonaryvasodilators : 1. Prostaglandins decrease pulmonary artery pressure and increase right ventricular ejection fraction and cardiac output. 2. Aerosolized prostacyclin causes pulmonary artery vasodilatation and improves cardiac output and arterial oxyhemoglobin saturation in patients with chronic pulmonary hypertension.
  • 39.
    3. Nitric oxide provides a real clinical scenario. It reliably decreases pulmonary vascular resistance without causing systemic hypotension and preserves or improves optimal ventilation-perfusion match. Its drawbacks are difficult administration, high cost, and a well- documented tachyphylactic effect. Multiple studies have shown that its benefits are most significant for only 1-3 days, especially in patients with acute respiratory distress syndrome.
  • 40.
     Inotropeswith vasodilatory properties : 1. Dobutamine is an inotropic agent with vasodilatory effect which improves right ventricular function and cardiac output, but its effect on systemic blood pressure is unpredictable. 2. Amrinone lowers pulmonary artery pressure and rises cardiac output and systemic blood pressure.
  • 41.
     Endothelinreceptor antagonist : 1. Bosentan is an endothelin receptor antagonist that produces pulmonary vasodilation and attenuates ventricular remodeling and improve survival on chronic use.
  • 42.
    Role of digoxinin treatment  Cardiac output improves in about 10% of patients with primary pulmonary hypertension who receive digoxin.  This rate is similar to that in patient with left ventricular dyfunction.  Patients who receive digoxin also show a modest increase in pulmonary pressure, perhaps due to increase in cardiac output.
  • 43.
     Clinical studiesshow improvement in right ventricular function only in those patients who have reduced left ventricular ejection fraction.  Recently, digoxin has fallen out of favor in the setting of left ventricular dysfunction; the trend in clinical medicine has been its continued use in rate control.
  • 44.
    KEY POINTS OFCOR PULMONALE  Right side heart failure is not necessary to make the diagnosis of cor pulmonale.  Any process that cause pulmonary hypertension can cause cor pulmonale.  COPD is the most common cause of chronic cor pulmonale.  Cor pulmonale is common in advanced obstructive lung disease and has a poor 5-year survival rate.  Ventricular interdependence can developin late stages of cor pulmonale.
  • 45.
    PRAISE BE TOALLAAH THANKS