CONGESTIVE HEART FAILURE DR. MA. LENY ALDA G. JUSAYAN INTERNAL MEDICINE, FPSECP, RN, RMT Department of Pharmacology
COURSE OBJECTIVES: Explain the pathophysiology of heart failure Discuss the different drugs used in the treatment of heart failure as to its pharmacokinetics, pharmacodynamics, drug interactions, adverse effects Clinical application of the use of drugs in acute and chronic types of heart failure
HEART FAILURE Inability of the heart to pump an adequate amount of blood to the body’s needs  CONGESTIVE HEART FAILURE – refers to the state in which abnormal circulatory congestion exists a result of heart failure
Heart Failure (Pump Failure) A disorder in which the heart  loses its ability to pump blood efficiently  throughout the body Affects Cardiac Output SV X HR End result: ↓ Cardiac Output
PATHOPHYSIOLOGY: Heart failure results in DEPRESSION of the ventricular function curve COMPENSATION in the form of stretching of myocardial fibers  Stretching leads to cardiac dilatation which occurs when the left ventricle fails to eject its normal end diastolic volume
Heart Failure   Pathophysiology:   Impaired Cardiac Function Failure to pump:  Failure to empty ventricles  & reduced delivery of blood into circulation (↓ CO) Increased ventricular pressures Elevated  pulmonary  and  systemic  pressures further ↓ CO Series of  compensatory mechanisms
Heart Failure  Compensatory mechanisms of low CO… 1.  SNS stimulation…  ↑  HR  and  cardiac contractility…  ↑  CO 3. Ventricular hypertrophy … cardiac contractility… ↑ CO 2. Starling’s Law/… Ventricular dilation :  ↑  CO  4 . Decreased renal blood flow…increasing Na & H20 retention…increases blood volume, ↑ HR & CO.
Heart Failure  Compensatory mechanisms of low CO… 1.  SNS stimulation…  ↑  HR  and  cardiac contractility…  ↑  CO 3. Ventricular hypertrophy … cardiac contractility… ↑ CO 2. Starling’s Law/… Ventricular dilation :  ↑  CO  4 . Decreased renal blood flow…increasing Na & H20 retention…increases blood volume, ↑ HR & CO.
Compensatory Mechanisms in Heart Failure Mechanisms designed for acute loss in cardiac output Chronic activation of these mechanisms worsens heart failure
PATHOPHYSIOLOGY: STARLING’S LAW “ Within limits, the force of ventricular contraction is a function of the end-diastolic length of the cardiac muscle, which in turn is closely related to the ventricular end-diastolic volume.”
CARDIAC FAILURE    VENOUS PRESSURE    CARDIAC OUTPUT    BLOOD PRESSURE    SYMPATHETIC  ACTIVITY    RENAL BLOOD FLOW    RENIN ANGIOTENSIN II    ALDOSTERONE    SODIUM RETENTION      CAPILLARY FILTRATION EDEMA
NEUROHUMORAL ACTIVATION DURING MYOCARDIAL FAILURE MYOCARDIAL FAILURE    CARDIAC OUTPUT    BLOOD PRESSURE/TISSUE PERFUSION ACTIVATION OF ADRENERGIC SYSTEM ARTERIOLAR CONSTRICTION INCREASED SYSTEMIC VASCULAR RESISTANCE INCREASED RESISTANCE TO EJECTION
COMPENSATORY RESPONSES DURING HEART FAILURE:    CARDIAC OUTPUT    CAROTID SINUS FIRING    RENAL BLOOD FLOW    SYMPATHETIC DISCHARGE    RENIN RELEASE    FORCE    RATE    PRELOAD    AFTERLOAD REMODELING CARDIAC OUTPUT (VIA COMPENSATION)
Pathophysiology of Cardiac Performance Factor  Mechanism  Therapeutic Strategy  1.  PRELOAD  (work or stress the heart faces at the end of diastole)  increased blood volume and increased venous tone--->atrial filling pressure  -salt restriction -diuretic therapy -venodilator drugs 2.  AFTERLOAD  (resistance against which the heart must pump)  increased sympathetic stimulation & activation of renin-angiotensin system ---> vascular resistance ---> increased BP  - arteriolar vasodilators -decreased angiotensin II (ACE inhibitors)  3.  CONTRACTILITY decreased myocardial contractility ---> decreased CO  -inotropic drugs (cardiac glycosides)  4.  HEART RATE decreased contractility and decreased stroke volume ---> increased HR (via activation of    adrenoceptors)
 
 
 
EFFECTS: DOWN-REGULATORY CHANGES IN THE  β 1-ADRENOCEPTOR-G PROTEIN EFFECTOR SYSTEM BETA 2 RECEPTORS ARE NOT DOWN REGULATED – COUPLING WITH IP3-DAG CASCADE BETA 3 RECEPTORS ARE NOT DOWN REGULATED – MEDIATE NEGATIVE INOTROPHIC EFFECTS
EXCESSIVE BETA ACTIVATION: LEAKAGE OF CALCIUM FROM THE SR VIA RyR2 CHANNELS – VENTRICULAR STIFFENING & ARRYHTHMIAS INCREASED ANGIOTENSIN II PRODUCTION LEADS  INCREASED ALDOSTERONE SECRETION  INCREASED AFTERLOAD REMODELLING
INTRINSIC COMPENSATORY RESPONSE: MYOCARDIAL HYPERTROPHY Increase in muscle mass to help maintain cardiac performance Ischemic changes, impairment of diastolic filling, alterations in ventricular geometry  REMODELLING Dilatation & other slow structural changes that occur in the stressed myocardium Proliferation of connective tissue cells & myocardial cells Accelerated apoptosis
Causes  of Heart Failure Acute/Chronic  ♥ Problems HTN -#1 CAD MI Valvular  ♥ Disease
CAUSES OF HEART FAILURE: Final common pathway of many kinds of heart diseases Ischemic, alcoholic, restrictive, hypertrophic Optimal treatment requires identification of primary & secondary factors leading to CHF HELPFUL RESULT of dilatation: increases cardiac output HARMFUL RESULT of dilation: more wall tension, more oxygen is needed to produce any given stroke volume
CLASSIFICATION: SYSTOLIC DYSFUNCTION: Inadequate force is generated to eject blood normally  Reduce cardiac output, ejection fraction  (< 45%) Typical of acute heart failure Secondary to AMI Responsive to inotropics
CLASSIFICATION: DIASTOLIC DYSFUNCTION Inadequate relaxation to permit normal filling  Hypertrophy and stiffening of myocardium Cardiac output may be reduced  Ejection fraction may be  normal Do not respond optimally to inotropic agents
CLASSIFICATION: HIGH OUTPUT FAILURE Increase demand of the body with insufficient cardiac output Hyperthyroidism, beri-beri, anemia, AV  shunts Treatment is correction of underlying cause
CLASSIFICATION: ACUTE HEART FAILURE Sudden development of a large myocardial infarction or rupture of a cardiac valve in a patient who previously was entirely well, usually predominant systolic dysfunction
CLASSIFICATION: CHRONIC HEART FAILURE Typically observed in patients with dilated cardiomyopathy or multivalvular heart diseases that develops or progresses slowly
 
PRECIPITATING CAUSES OF HEART FAILURE: Infection Anemia Thyrotoxicosis & pregnancy Arrythmias Rheumatic, viral & other forms of myocarditis Infective endocarditis Systemic hypertension Myocardial infarction Physical, dietary, fluid, environmental & emotional excesses Pulmonary embolism
CLINICAL MANIFESTATIONS:
LEFT HEART FAILURE
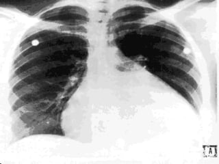
Pulmonary Edema The most severe manifestation of Left Heart Failure  Fluid leak into the pulmonary interstitial spaces (Pulmonary congestion/edema) Hypoxia and poor 02 exchange
PULMONARY CONGESTION & RESPIRATORY SYMPTOMS: Result of dilatation & increasing left ventricular end diastolic pressure, left atrial pressure & capillary pressures Results to pulmonary vascular congestion & symptoms associated with cough with blood tinged sputum
 
 
 
Clinical picture… Left  Heart Failure Dyspnea/Dyspnea on exertion  (most sensitive: absence indicates Tx effective) Cough orthopnea Paroxysmal nocturnal dyspnea (PND) Productive cough with pink frothy sputum Tachypnea  Pale, possible cyanotic Clammy and cold skin Crackles/Wheezes Extra heart sounds – S3, S4 Heart murmur
Cont. EDEMA OF THE BRONCHIAL MUCOSA Increases resistance to airflow producing respiratory distress similar to asthma (cardiac asthma)
Cont: DYSPNEA Results from reflexes initiated by vascular distention Increased rigidity of lungs & impaired gas exchange resulting from interstitial edema Accumulation of fluid in ALVEOLARS SACS (pulmonary edema)
Cont. TACHYCARDIA An early compensatory response mediated by increased sympathetic tone EDEMA   compensatory response mediated by the renin angiotensin aldosterone system & by increased sympathetic outflow CARDIOMEGALY a compensatory structural response
Right  Heart Failure Clinical picture…( Congestion ) JVD, hepatomegaly and dependent edema (LEs, thighs, abdomen-ascites )
Heart Failure  Clinical manifestations :  Pulmonary Congestion (L)  and Systemic Congestion (R) Right Heart Failure Left Heart Failure Pulmonary fluid overload Peripheral fluid overload
PHYSICAL EXAM: Jugular venous distention S3 Rales Pleural effusion Edema Hepatomegaly Ascites
 
Review: Subjective Data Pt. may c/o anxiety DOE PND orthopnea productive cough with  pink  frothy sputum Fatigue and weakness
Review: Objective Data PA may reveal: Left heart Failure Tachypnea/SOB Use of accessory muscles Wheezes/Crackles skin Clammy/cold pale/cyanotic Right Heart Failure peripheral edema JVD Ascites, enlarged spleen/liver
FRAMINGHAM CRITERIA FOR DIAGNOSIS OF CHF: MAJOR CRITERIA PND NECK VEIN ENGORGEMENT RALES CARDIOMEGALY ACUTE PULMONARY EDEMA S3 GALLOP    VENOUS PRESSURE (>16 cmH2O) (+) HEPATOJUGULAR REFLUX MINOR CRITERIA EXTREMITY EDEMA NIGHT COUGH DYSPNEA ON EXERTION HEPATOMEGALY PLEURAL EFFUSION VITAL CAPACITY REDUCED BY 1/3  TACHYCARDIA ONE MAJOR + 2 MINOR
NEW YORK HEART ASSOCIATION FUNCTIONAL CLASSSIFICATION : CLASS I : no limitations on ordinary physical activities and symptoms that occur only with greater than ordinary exercise CLASS II: slight limitation of ordinary activities, which result in fatigue & palpitations with ordinary physical activity
CLASS III: results in no symptoms at rest, but fatigue with less than ordinary physical activity CLASS IV: associated with symptoms even when the patient is at rest
“ All the signs of CHF are the consequences of inadequate force of contraction&quot;
Potential Therapeutic Targets in Heart Failure  Preload   Afterload  Contractility
CLINICAL MANAGEMENT OF CONGESTIVE HEART FAILURE OBJECTIVES: Increase cardiac contractility Decrease preload ( left ventricular pressure) Decrease afterload (systemic vascular resistance) Normalize heart rate and rhythm
Approaches : Reduce workload  of heart 1.Limit activity level reduce weight control hypertension  2. Restrict  sodium  (low salt diet) 3. Give  diuretics  (removal of retained salt and water)
4. Give  angiotensin-converting enzyme inhibitors (decreases afterload and retained salt and water) 5. Give  digitalis  (positive inotropic effect on depressed heart) 6. Give  vasodilators  (decreases preload & afterload)
DRUGS COMMONLY USED IN HEART FAILURE
Positive Inotropic Agents   Cardiac Glycosides Phosphodiesterase inhibitors  -adrenoceptor agonists and dopamine receptor agonists
Cardiac Glycosides digoxin  digitoxin  deslanoside  ouabain
DIGITALIS Derived from foxglove plant  Digitalis lanata Prototype – DIGOXIN Steroid nucleus linked to a lactone ring at the 17 position and series of sugars at carbon 3 of the nucleus
BASIC PHARMACOLOGY OF DRUGS USED IN CONGESIVE HEART FAILURE : DIGITALIS PHARMACOKINETICS: DIGOXIN DIGITOXIN LIPID SOLUBILITY MEDIUM HIGH ORAL AVAILABILITY 75% >90% HALF-LIFE 40 HRS 168 HRS PLASMA PROTEIN BINDING 20-40 HRS >90 HRS PERCENTAGE METABOLIZED   <20  >80 VOLUME OF DISTRIBUTION 6.3 L/KG 0.6 L/KG
PHARMACOKINETICS: T1/2  =  ( 40 hrs ) Therapeutic plasma concentration:  0.5-2 ng/ml Toxic plasma concentration:  >2 ng/ml *digitalis must be present in the body in certain &quot;saturating&quot; amount  before any effect on congestive failure is noted  this is achieved by giving a large initial dose in a process called &quot; digitalization &quot;
after intial dosages, digitalis is given in &quot;maintenance&quot; amounts sufficient to replace that which is excreted  to avoid exceeding therapeutic range during digitalization: - the loading dose should be adjusted according    to the health of the patient - slow digitalization (over 1 week) is the safest    technique plasma digoxin levels should be monitored
METABOLISM & EXCRETION: Digoxin –  not extensively metabolized, 2/3 excreted unchanged in the kidneys Digitoxin  – metabolized in the liver and excreted into the gut via the bile
PROPERTIES OF CARDIAC GLYCOSIDES: OUABAIN DIGOXIN DIGITOXIN Lipid solubility (oil/water coefficient) Low Medium High Oral availability (% absorbed) 0 75 > 90 Half-life in the body (hrs) 21 40 168 Plasma protein binding (% bound) 0 <20 >80 Volume of distribution 18 6.3 0.6
MECHANICAL EFFECTS: Inhibit the monovalent cation transport enzyme coupled  Na+- K+ ATPase  & increased intracellular Na+ content     increases intracellular Ca2+  through a Na+ - Ca2+ exchange carrier mechanism Increases myocardial uptake of Ca2+ augments Ca2+ release to the myofilaments during excitation    invokes a positive inotropic response
 
 
 
Mechanism of Digitalis Action: Molecular Inhibition of Na/K ATPase   blunting of Ca 2+  extrusion     Ca 2+ i      sarcomere shortening
ELECTRICAL EFFECTS: Produces alterations in the electrical properties of both contractile cells and the specialized automatic cells     increased automaticity & ectopic impulse activity Prolongs the effective refractory period  of the AV node    slow ventricular rate in atrial flutter & fibrillation
Direct Electrophysiological Effects: Cellular Action Potential
Afterdepolarizations
TISSUE OR VARIABLE EFFECTS AT THERAPEUTIC DOSAGE EFFECTS AT TOXIC DOSAGE Sinus node    rate    rate Atrial muscle    Refractory period    Refractory period, arrhythmias Atrioventricular node    Conduction velocity,   refractory period    Refractory period, arrhythmias Purkinje system, ventricular muscle Slight    refractory period Extrasystoles, tachycardia, fibrillation Electrocardiogram    PR interval,    QT interval Tachycardia, fibrillation, arrest at extremely high dosage
EFFECTS IN HEART FAILURE: Stimulates myocardial contractility Improves ventricular emptying Increase cardiac output Augments ejection fraction Promotes diuresis Reduces elevated diastolic pressure & volume & end –systolic volume Reduces symptoms resulting from pulmonary vascular congestion & elevated systemic venous pressure
 
Summary Direct Electrophysiological Effects Less negative membrane potential: decreased conduction velocity Decreased action potential duration: decreased refractory period in ventricles Enhanced automaticity due to Steeper phase 4 Afterdepolarizations
Parasympathomimetic Effects  Decreased conduction velocity in the AV node  increased effective refractory period in the AV  Heart block (toxic concentrations)
EKG Effects of Digitalis decrease in R-T interval  inversion of T wave   Uncoupled P waves (Toxic concentrations)  Bigeminy (toxic concentrations)
Therapeutic Uses of Digitalis Congestive Heart Failure   Atrial fibrillation
Overall Benefit of Digitalis to Myocardial Function      cardiac output      cardiac efficiency      heart rate     cardiac size   NO survival benefit
Other Beneficial Effects  Restoration of baroreceptor sensitivity  Reduction in sympathetic activity   increased renal perfusion, with    edema formation
Adverse Effects  Cardiac  AV block  Bradycardia  Ventricular extrasystole  Arrhythmias  CNS   GI Therapeutic index is ~ 2!
INTERACTIONS: POTASSIUM HYPERKALEMIA: reduces enzyme inhibiting actions of digitalis, abnormal cardiac automaticity is inhibited HYPOKALEMIA: facilitates enzyme inhibiting actions CALCIUM  Facilitates the toxic actions digitalis by accelerating the overloading of intracellular calcium stores that appears to be responsible for abnormal automaticity HYPERCALCEMIA: increases the risk of digitalis induced arryhythmia MAGNESIUM Opposite to those of calcium
Serum Electrolytes Affect Toxicity K + Digitalis competes for K binding at Na/K ATPase Hypokalemia:  increase toxicity Hyperkalemia: decrease toxicity Mg 2+ Hypomagnesemia: increases toxicity Ca 2+ Hypercalcemia: increases toxicity
DIGITALIS INTOXICATION: Serious & potentially fatal complication Anorexia, nausea & vomiting = earliest signs of digitalis intoxication Arrythmias: ventricular premature beats, bigeminy, ventricular & atrial tachycardia w/ variable AV block Chronic digitalis intoxication = exacerbations of heart failure, weight loss, cachexia, neuralgias, gynecomastia, yellow vision, delirium
TREATMENT OF DIGITALIS INTOXICATION: Tachyarrythmias: withdrawal of the drug, treatment with beta blocker or lidocaine Hypokalemia: potassium administration by the oral route Digitoxin Ab (Fab fragments)
Treatment of Digitalis Toxicity reduce dose:  1st degree heart block, ectopic beats Atropine: advanced heart block KCl:  increased automaticity Antiarrythmics: ventricular arrhythmias Fab antibodies:  toxic serum concentration; acute toxicity
PHOSPHODIESTERASE INHIBITORS BIPYRIDINES Inamrinone & Milrinone Levosimendan Parenteral forms only Half-life: 2-3 hrs 10-40% excreted in the urine MOA: increase inward calcium influx in the heart during action potential & inhibits phosphodiesterase ADVERSE EFFECTS: nausea, vomiting, thrombocytopenia, liver enzyme changes
 
Phosphodiesterase Inhibitors: Therapeutic Use short term support in advanced cardiac failure   long term use not possible
Adverse Effects of Phosphodiesterase Inhibitors Cardiac arrhythmias   GI:  Nausea and vomiting   Sudden death
 -Adrenoceptor and Dopamine Receptor Agonists   Dobutamine   Dopamine
BETA ADRENOCEPTOR STIMULANTS: DOBUTAMINE Increases cardiac output  Decrease in ventricular filling pressure Given parenterally CONTRAINDICATIONS:  pheochromocytoma, tachyarrythmias ADVERSE EFFECTS:  precipitation or exacerbation of arrythmia DOPAMINE Raise blood pressure
 
Mechanism of Action:   Dobutamine   Stimulation of cardiac     adrenoceptors:    inotropy >    chronotropy   peripheral vasodilatation      myocardial oxygen demand
Mechanism of Action:  Dopamine   Stimulation of peripheral postjunctional D1 and prejunctional D2 receptors Splanchnic and renal vasodilatation
Therapeutic Use   Dobutamine:   management of acute failure only  Dopamine:   restore renal blood in acute failure
Adverse Effects   Dobutamine   Tolerance   Tachycardia Dopamine   tachycardia  arrhythmias   peripheral vasoconstriction
DRUGS WITHOUT POSITIVE INOTROPIC EFFECTS USED IN HEART FAILURE: DIURETICS Reduce salt & water retention     reduce ventricular preload Reduction in venous pressure     reduction of edema & its symptoms, reduction of cardiac size    improved efficiency of pump function
Diuretics:   Mechanism of Action in Heart Failure Preload reduction: reduction of excess plasma volume and edema fluid   Afterload reduction: lowered blood pressure Reduction of facilitation of sympathetic nervous system
ACE Inhibitors in Heart Failure
ANGIOTENSIN-CONVERTING ENZYME INHIBITORS: Reduce peripheral resistance     reduce afterload Reduce salt & water retention ( by reducing aldosterone secretion)     reduce preload Reduce the long term remodelling of the heart vessels ( maybe responsible for the observed reduction in the mortality & morbidity)
Mechanism of Action   Afterload reduction   Preload reduction   Reduction of facilitation of sympathetic nervous system   Reduction of cardiac hypertrophy
ACE Inhibitors: Therapeutic Uses   Drugs of choice in heart failure (with diuretics) Current investigational use :  Acute myocardial infarction   ATII antagonists
 
VASODILATORS Reduce the preload (through venodilatation), or reduction in afterload (through arteriolar dilatation) or both Decrease the load of the myocardium
VASODILATORS: HYDRALAZINE, ISDN Reduction in preload  through venodilatation  Reduction in afterload  through arteriolar dilation
VASODILATORS NESIRITIDE Brain natriuretic peptide (BNP) Approved for acute heart failure Increases cGMP in smooth muscle cells & reduces venous & arteriolar tone  Causes diuresis T ½  = 18 minutes Intrvenous dose
VASODILATORS BOSENTAN Competitive inhibitor of endothelin Oral Approved for use in pulmonary hypertension Teratogenic & hepatotoxic effects
-Blockers in Heart Failure:     Mechanism of Action   Standard   -blockers:  Reduction in damaging sympathetic influences in the heart (tachycardia, arrhythmias, remodeling)  inhibition of renin release Carvedilol:  Beta blockade effects peripheral vasodilatation via   1 -adrenoceptor blockade (carvedilol)
BETA-ADRENOCEPTOR BLOCKERS: BISOPROLOL, CARVEDILOL, METOPROLOL Reduction in mortality in patients with stable Class II & Class III heart failure Attenuation of the adverse effects of cathecolamines (apoptosis) Up regulation of Beta receptors Decreased HR, & remodelling
DIURETICS
Principles important for understanding effects of diuretics Interference with Na +  reabsorption at one nephron site interferes with other renal functions linked to it It also leads to increased Na +  reabsorption at other sites Increased flow and Na +  delivery to distal nephron stimulates K  +  (and H  + ) secretion
Diuretics act only if Na +  reaches their site of action.  The magnitude of the diuretic effect depends on the amount of Na +  reaching that site Diuretic actions at different nephron sites can produce synergism All, except spironolactone, act from the lumenal side of the tubular cellular membrane Principles important for understanding effects of diuretics
 
From Knauf & Mutschler Klin. Wochenschr. 1991 69:239-250 70% 20% 5% 4.5% 0.5% Volume 1.5 L/day Urine Na 100 mEq/L Na Excretion 155 mEq/day 100% GFR 180 L/day  Plasma Na 145 mEq/L Filtered Load 26,100 mEq/day CA Inhibitors Proximal tubule Loop Diuretics Loop of Henle Thiazides Distal tubule Antikaliuretics Collecting  duct Thick  Ascending  Limb
 
 
RENAL TRANSPORT MECHANISM: PROXIMAL CONVOLUTED TUBULE: Carries out isosmotic reabsorption of amino acids, glucose and cations Bicarbonate reabsorption 40-50% Na reabsorption Via specific transport systems: NaHCO3 –   Na/H exchanger (NHE3)
LOOP OF HENLE: Pumps Na, K & Cl out of the lumen into the interstitium Provides the concentration gradient for the countercurrent concentrating mechanism Diluting segment –  thick ascending limb of the loop of henle Ca & Mg reabsorption Na/K/2Cl cotransporter (NKCC2)
DISTAL CONVOLUTED TUBULE: Actively pumps Na & Cl out of the lumen nephron 10 % Na reabsorbed Impermeable to water Ca & Mg reabsorption Na/Ca exchanger (NCC)
COLLECTING TUBULE: Final site of NaCl reabsorption Tight regulation of body fluid volume Determines the final Na concentration of the urine Influenced by mineralocorticoids Important site of K secretion by the kidney Principal cells  are the major sites of Na, K and H20 transport Intercalated cells  are the primary sites of H secretion Do not contain cotransport system for Na
Reabsorption of Na via the epithelial Na channel  (ENaC)  and its coupled K secretion is regulated by  aldosterone ADH/AVP  controls the permeability of the segment to water
DIURETICS Drugs that increase the rate of urine flow Increase the rate of Na & Cl excretion Decrease reabsorption of K, Ca & Mg
DIURETICS CLASSIFICATION: CARBONIC ANHYDRASE INHIBITORS OSMOTIC DIURETICS LOOP DIURETICS THIAZIDE DIURETICS POTASSIUM SPARING DIURETICS SITE OF ACTION: Proximal tubule Proimal tubule, Loop of Henle, Collecting tubule Ascending limb of the loop of Henle Distal convoluted tubule Collecting tubule
CARBONIC ANHYDRASE INHIBITORS: CLASSIFICATION & PROTOTYPES: ACETAZOLAMIDE (Diamox) – a sulfonamide derivative MECHANISM OF ACTION: Inhibit carbonic anhydrase w/c slows the ff. rxn: H + HCO3    H2O + CO2 Inhibit the dehydration of H2C03 Drug effect occurs throughout the body Block NaHCO3 reabsorption HCO3 diuresis
 
PHARMACOKINETICS: Well absorbed after oral administration Onset of action: 30 minutes Duration: 12 hrs Excretion: proximal tubule
PHARMACODYNAMICS: Depresses the HC03 reabsorption in the PCT Significant HC03 losses –  hyperchloremic metabolic acidosis
CLINICAL USES: Treatment of glaucoma – major application Urinary alkalinization Epilepsy Acute mountain sickness Correction of metabolic alkalosis
TOXICITY: Hyperchloremic metabolic acidosis Renal stones Renal potassium wasting Drowsiness & paresthesias – large doses
CONTRAINDICATIONS: HYPERAMMONEMIA Decrease urinary excretion of NH4 due to alkalinization of the urine HEPATIC ENCEPHALOPATHY
LOOP DIURETICS CLASSIFICATION & PROTOTYPES: Furosemide – prototype & sulfonamide derivative Bumetanide- sulfonamide Ethacrynic Acid – phenoxyacetic acid
PHARMACOKINETICS: Rapidly absorbed  Diuretic response is extremely rapid following IV injection Duration of effect: 2-3 hrs Half life: dependent on renal function Excreted in the kidney
PHARMACOKINETICS: TORSEMIDE Absorption: 1 hr Duration: 4-6 hrs FUROSEMIDE Absorption: 2-3 hrs Duration: 2-3 hrs
MECHANISM OF ACTION: Inhibits the coupled Na+/K+/2Cl transport system  (NKCC2)  in the luminal membrane of the thick ascending limb of the loop of henle   reduce NaCl reabsorption Increases Mg & Ca+ excretion Induces synthesis of renal prostaglandins Increases renal blood flow Reduces pulmonary congestion & left ventricular filling pressures
 
CLINICAL USES: Treatment of edematous states (CHF & ascites) Acute pulmonary edema in w/c a separate pulmonary vasodilating action may play a useful additive role Sometimes used in hypertension if response to thiazide is inadequate but their short duration of action is a disadvantage Treatment of severe hypercalcemia induced by a carcinoma – less common Acute renal failure Hyperkalemia
TOXICITY: Hypokalemic metabolic alkalosis Hyperuricemia Hypovolemia & cardiovascular complications Ototoxicity – important toxic effect of the loop agents hypomagnesemia
THIAZIDE DIURETICS CLASSIFICATION & PROTOTYPE: HYDROCHLOROTHIAZIDE – sulfonamide derivative INDAPAMIDE – new thiazide like agent with a significant vasodilating effect than Na diuretic effect
 
MECHANISM OF ACTION: Inhibit NaCl transporter  (NCC)  in the early segment of the distal convoluted tubule  REDUCE THE DILUTING CAPACITY OF THE NEPHRON
EFFECTS: Urinary excretion Full doses – produce a moderate Na & Cl diuresis   hypokalemic metabolic alkalosis Reduced the blood pressure by reduction of the blood volume but with continued use these agents appear to reduce vascular resistance
CLINICAL USE: Hypertension – major application, for w/c their long duration of action & moderate intensity of action are useful Chronic therapy for edematous conditions (CHF) another common application Recurrent renal calcium stone formation can sometimes be controlled with thiazides Nephrogenic diabetes insipidus
TOXICITY: Hypokalemic metabolic alkalosis &   hyperuricemia Chronic therapy is often associated with potassium wasting Hyperlipidemia Hyponatremia Allergic reactions
CONRAINDICATIONS: HEPATIC CIRRHOSIS BORDERLINE RENAL FAILURE
POTASSIUM SPARING DIURETICS: CLASSIFICATION & PROTOTYPES SPIRINOLACTONE, EPLERENONE– antagonist of aldosterone in the collecting tubules Has a slow onset & offset of action (24-72 hrs) TRIAMTERENE & AMILORIDE – inhibitors of Na flux in the collecting tubule
CLINICAL USE: Hyperaldosteronism – important indication Potassium wasting caused by chronic therapy with loop diuretic or thiazide if not controlled by dietary K supplements Most common use is in the form of products that combine a thiazide with a K sparing agent
ADVERSE EFFECTS: Decrease K & H ion excretion and may cause  hyperchloremic metabolic acidosis Interfere with steroid biosynthesis
TOXICITY: Hyperkalemia  – most important toxic effect Metabolic acidosis in cirrhotic patients Gynecomastia & antiandrogenic effects Hyperchloremic metabolic acidosis Acute renal failure Kidney stones - triamterene
CONTRAINDICATIONS: Oral K administration Concomittant use of other agents that blunt the RAS (Beta blockers, ACE inhibitors) – HYPERKALEMIA Liver disease CYP3A4 inhibitors (ketoconazole, itraconazole) – increase blood levels of EPLERENONE
OSMOTIC DIURETICS CLASSIFICATION & PROTOTYPE: MANNITOL – prototype osmotic diuretic given intravenously
MECHANISM OF ACTION: Holds water in the lumen by virtue of its osmotic effect Major location for this action is the  proximal convoluted tubule , where the bulk of isosmotic reabsorption takes place Reabsorption of H2O is also reduced in the  descending limb of the loop of henle  & the  collecting tubule
EFFECTS: Volume or urine is increased Most filtered solutes will be excreted in larger amounts unless they are actively reabsorbed
CLINICAL USES: Maintain high urine flow (when renal blood flow is reduced & in conditions of solute overload from severe hemolysis or rhabdomyolysis) Useful in reducing intraocular pressure in acute glaucoma & increase intracranial pressure in neurologic conditions Removal of renal toxins
ANTIDIURETIC HORMONE AGONISTS VASOPRESSIN DESMOPRESSIN Treatment of central diabetes insipidus
TOXICITY: Nephrogenic Diabetes Insipidus Renal failure
ANTIDIURETIC HORMONE ANTAGONISTS  CONIVAPTAN  Receptor antagonist LITHIUM DEMECLOCYLINE Oral administration T ½ = 5-10 hrs
PHARMACODYNAMICS Inhibits the effects of ADH in the collecting tubule Conivaptan – pharmacologic antagonist at V1a & V2 receptors Lithium & Demeclocyline – reduce the formation of cAMP in response to ADH, interfere with the actions of cAMP in the collecting tubule cells
CLINICAL INDICATIONS: Syndrome of Inappropriate ADH Secretion (SIADH) When water restriction is not effective Other elevations of ADH
TOXICITY: Extracellular volume expansion Dehydration Hyperkalemia Hypernatremia
Asymptomatic LV Dysfunction Mild to moderate CHF Moderate to severe CHF ACE inhibitor Digoxin Digoxin Beta blocker Diuretics Diuretics   ACE inhibitor ACE inhibitor   Beta blocker Beta blocker   Spironolactone  
THANK YOU!!!
POST TEST 1. Site of action of loop diuretics: A. loop of henle  B. distal convoluted tubule 2. Site of action of thiazide diuretics: A. Loop of henle B. distal convoluted tubule 3. Site of action of K sparing diuretics: A. Collecting tubule B. loop of henle 4. Toxic level of digitalis: A. .2 ng/ml B. 2.0 ng/ml 5. Prevents early remodelling of the heart: A. ACE inhibitors B. diuretics 6. A vasodilator: A. Nitrates B. furosemide 7. Decreases intracranial pressure: A. Digitalis B. Mannitol 8. Decreases intraocular pressure: A. acetazolamide B. furosemide 9. Potent vasoconstrictor: A. bradykinin B. angiotensin II 10. Early compensatory response of the heart to a decrease cardiac output: A. tacchycardia B. cardiomegaly

Congestive hf lect

  • 1.
    CONGESTIVE HEART FAILUREDR. MA. LENY ALDA G. JUSAYAN INTERNAL MEDICINE, FPSECP, RN, RMT Department of Pharmacology
  • 2.
    COURSE OBJECTIVES: Explainthe pathophysiology of heart failure Discuss the different drugs used in the treatment of heart failure as to its pharmacokinetics, pharmacodynamics, drug interactions, adverse effects Clinical application of the use of drugs in acute and chronic types of heart failure
  • 3.
    HEART FAILURE Inabilityof the heart to pump an adequate amount of blood to the body’s needs CONGESTIVE HEART FAILURE – refers to the state in which abnormal circulatory congestion exists a result of heart failure
  • 4.
    Heart Failure (PumpFailure) A disorder in which the heart loses its ability to pump blood efficiently throughout the body Affects Cardiac Output SV X HR End result: ↓ Cardiac Output
  • 5.
    PATHOPHYSIOLOGY: Heart failureresults in DEPRESSION of the ventricular function curve COMPENSATION in the form of stretching of myocardial fibers Stretching leads to cardiac dilatation which occurs when the left ventricle fails to eject its normal end diastolic volume
  • 6.
    Heart Failure Pathophysiology: Impaired Cardiac Function Failure to pump: Failure to empty ventricles & reduced delivery of blood into circulation (↓ CO) Increased ventricular pressures Elevated pulmonary and systemic pressures further ↓ CO Series of compensatory mechanisms
  • 7.
    Heart Failure Compensatory mechanisms of low CO… 1. SNS stimulation… ↑ HR and cardiac contractility… ↑ CO 3. Ventricular hypertrophy … cardiac contractility… ↑ CO 2. Starling’s Law/… Ventricular dilation : ↑ CO 4 . Decreased renal blood flow…increasing Na & H20 retention…increases blood volume, ↑ HR & CO.
  • 8.
    Heart Failure Compensatory mechanisms of low CO… 1. SNS stimulation… ↑ HR and cardiac contractility… ↑ CO 3. Ventricular hypertrophy … cardiac contractility… ↑ CO 2. Starling’s Law/… Ventricular dilation : ↑ CO 4 . Decreased renal blood flow…increasing Na & H20 retention…increases blood volume, ↑ HR & CO.
  • 9.
    Compensatory Mechanisms inHeart Failure Mechanisms designed for acute loss in cardiac output Chronic activation of these mechanisms worsens heart failure
  • 10.
    PATHOPHYSIOLOGY: STARLING’S LAW“ Within limits, the force of ventricular contraction is a function of the end-diastolic length of the cardiac muscle, which in turn is closely related to the ventricular end-diastolic volume.”
  • 11.
    CARDIAC FAILURE  VENOUS PRESSURE  CARDIAC OUTPUT  BLOOD PRESSURE  SYMPATHETIC ACTIVITY  RENAL BLOOD FLOW  RENIN ANGIOTENSIN II  ALDOSTERONE  SODIUM RETENTION  CAPILLARY FILTRATION EDEMA
  • 12.
    NEUROHUMORAL ACTIVATION DURINGMYOCARDIAL FAILURE MYOCARDIAL FAILURE  CARDIAC OUTPUT  BLOOD PRESSURE/TISSUE PERFUSION ACTIVATION OF ADRENERGIC SYSTEM ARTERIOLAR CONSTRICTION INCREASED SYSTEMIC VASCULAR RESISTANCE INCREASED RESISTANCE TO EJECTION
  • 13.
    COMPENSATORY RESPONSES DURINGHEART FAILURE:  CARDIAC OUTPUT  CAROTID SINUS FIRING  RENAL BLOOD FLOW  SYMPATHETIC DISCHARGE  RENIN RELEASE  FORCE  RATE  PRELOAD  AFTERLOAD REMODELING CARDIAC OUTPUT (VIA COMPENSATION)
  • 14.
    Pathophysiology of CardiacPerformance Factor Mechanism Therapeutic Strategy 1. PRELOAD (work or stress the heart faces at the end of diastole) increased blood volume and increased venous tone--->atrial filling pressure -salt restriction -diuretic therapy -venodilator drugs 2. AFTERLOAD (resistance against which the heart must pump) increased sympathetic stimulation & activation of renin-angiotensin system ---> vascular resistance ---> increased BP - arteriolar vasodilators -decreased angiotensin II (ACE inhibitors) 3. CONTRACTILITY decreased myocardial contractility ---> decreased CO -inotropic drugs (cardiac glycosides) 4. HEART RATE decreased contractility and decreased stroke volume ---> increased HR (via activation of  adrenoceptors)
  • 15.
  • 16.
  • 17.
  • 18.
    EFFECTS: DOWN-REGULATORY CHANGESIN THE β 1-ADRENOCEPTOR-G PROTEIN EFFECTOR SYSTEM BETA 2 RECEPTORS ARE NOT DOWN REGULATED – COUPLING WITH IP3-DAG CASCADE BETA 3 RECEPTORS ARE NOT DOWN REGULATED – MEDIATE NEGATIVE INOTROPHIC EFFECTS
  • 19.
    EXCESSIVE BETA ACTIVATION:LEAKAGE OF CALCIUM FROM THE SR VIA RyR2 CHANNELS – VENTRICULAR STIFFENING & ARRYHTHMIAS INCREASED ANGIOTENSIN II PRODUCTION LEADS INCREASED ALDOSTERONE SECRETION INCREASED AFTERLOAD REMODELLING
  • 20.
    INTRINSIC COMPENSATORY RESPONSE:MYOCARDIAL HYPERTROPHY Increase in muscle mass to help maintain cardiac performance Ischemic changes, impairment of diastolic filling, alterations in ventricular geometry REMODELLING Dilatation & other slow structural changes that occur in the stressed myocardium Proliferation of connective tissue cells & myocardial cells Accelerated apoptosis
  • 21.
    Causes ofHeart Failure Acute/Chronic ♥ Problems HTN -#1 CAD MI Valvular ♥ Disease
  • 22.
    CAUSES OF HEARTFAILURE: Final common pathway of many kinds of heart diseases Ischemic, alcoholic, restrictive, hypertrophic Optimal treatment requires identification of primary & secondary factors leading to CHF HELPFUL RESULT of dilatation: increases cardiac output HARMFUL RESULT of dilation: more wall tension, more oxygen is needed to produce any given stroke volume
  • 23.
    CLASSIFICATION: SYSTOLIC DYSFUNCTION:Inadequate force is generated to eject blood normally Reduce cardiac output, ejection fraction (< 45%) Typical of acute heart failure Secondary to AMI Responsive to inotropics
  • 24.
    CLASSIFICATION: DIASTOLIC DYSFUNCTIONInadequate relaxation to permit normal filling Hypertrophy and stiffening of myocardium Cardiac output may be reduced Ejection fraction may be normal Do not respond optimally to inotropic agents
  • 25.
    CLASSIFICATION: HIGH OUTPUTFAILURE Increase demand of the body with insufficient cardiac output Hyperthyroidism, beri-beri, anemia, AV shunts Treatment is correction of underlying cause
  • 26.
    CLASSIFICATION: ACUTE HEARTFAILURE Sudden development of a large myocardial infarction or rupture of a cardiac valve in a patient who previously was entirely well, usually predominant systolic dysfunction
  • 27.
    CLASSIFICATION: CHRONIC HEARTFAILURE Typically observed in patients with dilated cardiomyopathy or multivalvular heart diseases that develops or progresses slowly
  • 28.
  • 29.
    PRECIPITATING CAUSES OFHEART FAILURE: Infection Anemia Thyrotoxicosis & pregnancy Arrythmias Rheumatic, viral & other forms of myocarditis Infective endocarditis Systemic hypertension Myocardial infarction Physical, dietary, fluid, environmental & emotional excesses Pulmonary embolism
  • 30.
  • 31.
  • 32.
    Pulmonary Edema Themost severe manifestation of Left Heart Failure Fluid leak into the pulmonary interstitial spaces (Pulmonary congestion/edema) Hypoxia and poor 02 exchange
  • 33.
    PULMONARY CONGESTION &RESPIRATORY SYMPTOMS: Result of dilatation & increasing left ventricular end diastolic pressure, left atrial pressure & capillary pressures Results to pulmonary vascular congestion & symptoms associated with cough with blood tinged sputum
  • 34.
  • 35.
  • 36.
  • 37.
    Clinical picture… Left Heart Failure Dyspnea/Dyspnea on exertion (most sensitive: absence indicates Tx effective) Cough orthopnea Paroxysmal nocturnal dyspnea (PND) Productive cough with pink frothy sputum Tachypnea Pale, possible cyanotic Clammy and cold skin Crackles/Wheezes Extra heart sounds – S3, S4 Heart murmur
  • 38.
    Cont. EDEMA OFTHE BRONCHIAL MUCOSA Increases resistance to airflow producing respiratory distress similar to asthma (cardiac asthma)
  • 39.
    Cont: DYSPNEA Resultsfrom reflexes initiated by vascular distention Increased rigidity of lungs & impaired gas exchange resulting from interstitial edema Accumulation of fluid in ALVEOLARS SACS (pulmonary edema)
  • 40.
    Cont. TACHYCARDIA Anearly compensatory response mediated by increased sympathetic tone EDEMA compensatory response mediated by the renin angiotensin aldosterone system & by increased sympathetic outflow CARDIOMEGALY a compensatory structural response
  • 41.
    Right HeartFailure Clinical picture…( Congestion ) JVD, hepatomegaly and dependent edema (LEs, thighs, abdomen-ascites )
  • 42.
    Heart Failure Clinical manifestations : Pulmonary Congestion (L) and Systemic Congestion (R) Right Heart Failure Left Heart Failure Pulmonary fluid overload Peripheral fluid overload
  • 43.
    PHYSICAL EXAM: Jugularvenous distention S3 Rales Pleural effusion Edema Hepatomegaly Ascites
  • 44.
  • 45.
    Review: Subjective DataPt. may c/o anxiety DOE PND orthopnea productive cough with pink frothy sputum Fatigue and weakness
  • 46.
    Review: Objective DataPA may reveal: Left heart Failure Tachypnea/SOB Use of accessory muscles Wheezes/Crackles skin Clammy/cold pale/cyanotic Right Heart Failure peripheral edema JVD Ascites, enlarged spleen/liver
  • 47.
    FRAMINGHAM CRITERIA FORDIAGNOSIS OF CHF: MAJOR CRITERIA PND NECK VEIN ENGORGEMENT RALES CARDIOMEGALY ACUTE PULMONARY EDEMA S3 GALLOP  VENOUS PRESSURE (>16 cmH2O) (+) HEPATOJUGULAR REFLUX MINOR CRITERIA EXTREMITY EDEMA NIGHT COUGH DYSPNEA ON EXERTION HEPATOMEGALY PLEURAL EFFUSION VITAL CAPACITY REDUCED BY 1/3 TACHYCARDIA ONE MAJOR + 2 MINOR
  • 48.
    NEW YORK HEARTASSOCIATION FUNCTIONAL CLASSSIFICATION : CLASS I : no limitations on ordinary physical activities and symptoms that occur only with greater than ordinary exercise CLASS II: slight limitation of ordinary activities, which result in fatigue & palpitations with ordinary physical activity
  • 49.
    CLASS III: resultsin no symptoms at rest, but fatigue with less than ordinary physical activity CLASS IV: associated with symptoms even when the patient is at rest
  • 50.
    “ All thesigns of CHF are the consequences of inadequate force of contraction&quot;
  • 51.
    Potential Therapeutic Targetsin Heart Failure Preload Afterload Contractility
  • 52.
    CLINICAL MANAGEMENT OFCONGESTIVE HEART FAILURE OBJECTIVES: Increase cardiac contractility Decrease preload ( left ventricular pressure) Decrease afterload (systemic vascular resistance) Normalize heart rate and rhythm
  • 53.
    Approaches : Reduceworkload of heart 1.Limit activity level reduce weight control hypertension 2. Restrict sodium (low salt diet) 3. Give diuretics (removal of retained salt and water)
  • 54.
    4. Give angiotensin-converting enzyme inhibitors (decreases afterload and retained salt and water) 5. Give digitalis (positive inotropic effect on depressed heart) 6. Give vasodilators (decreases preload & afterload)
  • 55.
    DRUGS COMMONLY USEDIN HEART FAILURE
  • 56.
    Positive Inotropic Agents Cardiac Glycosides Phosphodiesterase inhibitors  -adrenoceptor agonists and dopamine receptor agonists
  • 57.
    Cardiac Glycosides digoxin digitoxin deslanoside ouabain
  • 58.
    DIGITALIS Derived fromfoxglove plant Digitalis lanata Prototype – DIGOXIN Steroid nucleus linked to a lactone ring at the 17 position and series of sugars at carbon 3 of the nucleus
  • 59.
    BASIC PHARMACOLOGY OFDRUGS USED IN CONGESIVE HEART FAILURE : DIGITALIS PHARMACOKINETICS: DIGOXIN DIGITOXIN LIPID SOLUBILITY MEDIUM HIGH ORAL AVAILABILITY 75% >90% HALF-LIFE 40 HRS 168 HRS PLASMA PROTEIN BINDING 20-40 HRS >90 HRS PERCENTAGE METABOLIZED <20 >80 VOLUME OF DISTRIBUTION 6.3 L/KG 0.6 L/KG
  • 60.
    PHARMACOKINETICS: T1/2 = ( 40 hrs ) Therapeutic plasma concentration: 0.5-2 ng/ml Toxic plasma concentration: >2 ng/ml *digitalis must be present in the body in certain &quot;saturating&quot; amount before any effect on congestive failure is noted this is achieved by giving a large initial dose in a process called &quot; digitalization &quot;
  • 61.
    after intial dosages,digitalis is given in &quot;maintenance&quot; amounts sufficient to replace that which is excreted to avoid exceeding therapeutic range during digitalization: - the loading dose should be adjusted according to the health of the patient - slow digitalization (over 1 week) is the safest technique plasma digoxin levels should be monitored
  • 62.
    METABOLISM & EXCRETION:Digoxin – not extensively metabolized, 2/3 excreted unchanged in the kidneys Digitoxin – metabolized in the liver and excreted into the gut via the bile
  • 63.
    PROPERTIES OF CARDIACGLYCOSIDES: OUABAIN DIGOXIN DIGITOXIN Lipid solubility (oil/water coefficient) Low Medium High Oral availability (% absorbed) 0 75 > 90 Half-life in the body (hrs) 21 40 168 Plasma protein binding (% bound) 0 <20 >80 Volume of distribution 18 6.3 0.6
  • 64.
    MECHANICAL EFFECTS: Inhibitthe monovalent cation transport enzyme coupled Na+- K+ ATPase & increased intracellular Na+ content  increases intracellular Ca2+ through a Na+ - Ca2+ exchange carrier mechanism Increases myocardial uptake of Ca2+ augments Ca2+ release to the myofilaments during excitation  invokes a positive inotropic response
  • 65.
  • 66.
  • 67.
  • 68.
    Mechanism of DigitalisAction: Molecular Inhibition of Na/K ATPase blunting of Ca 2+ extrusion  Ca 2+ i  sarcomere shortening
  • 69.
    ELECTRICAL EFFECTS: Producesalterations in the electrical properties of both contractile cells and the specialized automatic cells  increased automaticity & ectopic impulse activity Prolongs the effective refractory period of the AV node  slow ventricular rate in atrial flutter & fibrillation
  • 70.
    Direct Electrophysiological Effects:Cellular Action Potential
  • 71.
  • 72.
    TISSUE OR VARIABLEEFFECTS AT THERAPEUTIC DOSAGE EFFECTS AT TOXIC DOSAGE Sinus node  rate  rate Atrial muscle  Refractory period  Refractory period, arrhythmias Atrioventricular node  Conduction velocity,  refractory period  Refractory period, arrhythmias Purkinje system, ventricular muscle Slight  refractory period Extrasystoles, tachycardia, fibrillation Electrocardiogram  PR interval,  QT interval Tachycardia, fibrillation, arrest at extremely high dosage
  • 73.
    EFFECTS IN HEARTFAILURE: Stimulates myocardial contractility Improves ventricular emptying Increase cardiac output Augments ejection fraction Promotes diuresis Reduces elevated diastolic pressure & volume & end –systolic volume Reduces symptoms resulting from pulmonary vascular congestion & elevated systemic venous pressure
  • 74.
  • 75.
    Summary Direct ElectrophysiologicalEffects Less negative membrane potential: decreased conduction velocity Decreased action potential duration: decreased refractory period in ventricles Enhanced automaticity due to Steeper phase 4 Afterdepolarizations
  • 76.
    Parasympathomimetic Effects Decreased conduction velocity in the AV node increased effective refractory period in the AV Heart block (toxic concentrations)
  • 77.
    EKG Effects ofDigitalis decrease in R-T interval inversion of T wave Uncoupled P waves (Toxic concentrations) Bigeminy (toxic concentrations)
  • 78.
    Therapeutic Uses ofDigitalis Congestive Heart Failure Atrial fibrillation
  • 79.
    Overall Benefit ofDigitalis to Myocardial Function  cardiac output  cardiac efficiency  heart rate  cardiac size NO survival benefit
  • 80.
    Other Beneficial Effects Restoration of baroreceptor sensitivity Reduction in sympathetic activity increased renal perfusion, with  edema formation
  • 81.
    Adverse Effects Cardiac AV block Bradycardia Ventricular extrasystole Arrhythmias CNS GI Therapeutic index is ~ 2!
  • 82.
    INTERACTIONS: POTASSIUM HYPERKALEMIA:reduces enzyme inhibiting actions of digitalis, abnormal cardiac automaticity is inhibited HYPOKALEMIA: facilitates enzyme inhibiting actions CALCIUM Facilitates the toxic actions digitalis by accelerating the overloading of intracellular calcium stores that appears to be responsible for abnormal automaticity HYPERCALCEMIA: increases the risk of digitalis induced arryhythmia MAGNESIUM Opposite to those of calcium
  • 83.
    Serum Electrolytes AffectToxicity K + Digitalis competes for K binding at Na/K ATPase Hypokalemia: increase toxicity Hyperkalemia: decrease toxicity Mg 2+ Hypomagnesemia: increases toxicity Ca 2+ Hypercalcemia: increases toxicity
  • 84.
    DIGITALIS INTOXICATION: Serious& potentially fatal complication Anorexia, nausea & vomiting = earliest signs of digitalis intoxication Arrythmias: ventricular premature beats, bigeminy, ventricular & atrial tachycardia w/ variable AV block Chronic digitalis intoxication = exacerbations of heart failure, weight loss, cachexia, neuralgias, gynecomastia, yellow vision, delirium
  • 85.
    TREATMENT OF DIGITALISINTOXICATION: Tachyarrythmias: withdrawal of the drug, treatment with beta blocker or lidocaine Hypokalemia: potassium administration by the oral route Digitoxin Ab (Fab fragments)
  • 86.
    Treatment of DigitalisToxicity reduce dose: 1st degree heart block, ectopic beats Atropine: advanced heart block KCl: increased automaticity Antiarrythmics: ventricular arrhythmias Fab antibodies: toxic serum concentration; acute toxicity
  • 87.
    PHOSPHODIESTERASE INHIBITORS BIPYRIDINESInamrinone & Milrinone Levosimendan Parenteral forms only Half-life: 2-3 hrs 10-40% excreted in the urine MOA: increase inward calcium influx in the heart during action potential & inhibits phosphodiesterase ADVERSE EFFECTS: nausea, vomiting, thrombocytopenia, liver enzyme changes
  • 88.
  • 89.
    Phosphodiesterase Inhibitors: TherapeuticUse short term support in advanced cardiac failure long term use not possible
  • 90.
    Adverse Effects ofPhosphodiesterase Inhibitors Cardiac arrhythmias GI: Nausea and vomiting Sudden death
  • 91.
     -Adrenoceptor andDopamine Receptor Agonists Dobutamine Dopamine
  • 92.
    BETA ADRENOCEPTOR STIMULANTS:DOBUTAMINE Increases cardiac output Decrease in ventricular filling pressure Given parenterally CONTRAINDICATIONS: pheochromocytoma, tachyarrythmias ADVERSE EFFECTS: precipitation or exacerbation of arrythmia DOPAMINE Raise blood pressure
  • 93.
  • 94.
    Mechanism of Action: Dobutamine Stimulation of cardiac    adrenoceptors:  inotropy >  chronotropy peripheral vasodilatation  myocardial oxygen demand
  • 95.
    Mechanism of Action: Dopamine Stimulation of peripheral postjunctional D1 and prejunctional D2 receptors Splanchnic and renal vasodilatation
  • 96.
    Therapeutic Use Dobutamine: management of acute failure only Dopamine: restore renal blood in acute failure
  • 97.
    Adverse Effects Dobutamine Tolerance Tachycardia Dopamine tachycardia arrhythmias peripheral vasoconstriction
  • 98.
    DRUGS WITHOUT POSITIVEINOTROPIC EFFECTS USED IN HEART FAILURE: DIURETICS Reduce salt & water retention  reduce ventricular preload Reduction in venous pressure  reduction of edema & its symptoms, reduction of cardiac size  improved efficiency of pump function
  • 99.
    Diuretics: Mechanism of Action in Heart Failure Preload reduction: reduction of excess plasma volume and edema fluid Afterload reduction: lowered blood pressure Reduction of facilitation of sympathetic nervous system
  • 100.
    ACE Inhibitors inHeart Failure
  • 101.
    ANGIOTENSIN-CONVERTING ENZYME INHIBITORS:Reduce peripheral resistance  reduce afterload Reduce salt & water retention ( by reducing aldosterone secretion)  reduce preload Reduce the long term remodelling of the heart vessels ( maybe responsible for the observed reduction in the mortality & morbidity)
  • 102.
    Mechanism of Action Afterload reduction Preload reduction Reduction of facilitation of sympathetic nervous system Reduction of cardiac hypertrophy
  • 103.
    ACE Inhibitors: TherapeuticUses Drugs of choice in heart failure (with diuretics) Current investigational use : Acute myocardial infarction ATII antagonists
  • 104.
  • 105.
    VASODILATORS Reduce thepreload (through venodilatation), or reduction in afterload (through arteriolar dilatation) or both Decrease the load of the myocardium
  • 106.
    VASODILATORS: HYDRALAZINE, ISDNReduction in preload through venodilatation Reduction in afterload through arteriolar dilation
  • 107.
    VASODILATORS NESIRITIDE Brainnatriuretic peptide (BNP) Approved for acute heart failure Increases cGMP in smooth muscle cells & reduces venous & arteriolar tone Causes diuresis T ½ = 18 minutes Intrvenous dose
  • 108.
    VASODILATORS BOSENTAN Competitiveinhibitor of endothelin Oral Approved for use in pulmonary hypertension Teratogenic & hepatotoxic effects
  • 109.
    -Blockers in HeartFailure: Mechanism of Action Standard  -blockers: Reduction in damaging sympathetic influences in the heart (tachycardia, arrhythmias, remodeling) inhibition of renin release Carvedilol: Beta blockade effects peripheral vasodilatation via  1 -adrenoceptor blockade (carvedilol)
  • 110.
    BETA-ADRENOCEPTOR BLOCKERS: BISOPROLOL,CARVEDILOL, METOPROLOL Reduction in mortality in patients with stable Class II & Class III heart failure Attenuation of the adverse effects of cathecolamines (apoptosis) Up regulation of Beta receptors Decreased HR, & remodelling
  • 111.
  • 112.
    Principles important forunderstanding effects of diuretics Interference with Na + reabsorption at one nephron site interferes with other renal functions linked to it It also leads to increased Na + reabsorption at other sites Increased flow and Na + delivery to distal nephron stimulates K + (and H + ) secretion
  • 113.
    Diuretics act onlyif Na + reaches their site of action. The magnitude of the diuretic effect depends on the amount of Na + reaching that site Diuretic actions at different nephron sites can produce synergism All, except spironolactone, act from the lumenal side of the tubular cellular membrane Principles important for understanding effects of diuretics
  • 114.
  • 115.
    From Knauf &Mutschler Klin. Wochenschr. 1991 69:239-250 70% 20% 5% 4.5% 0.5% Volume 1.5 L/day Urine Na 100 mEq/L Na Excretion 155 mEq/day 100% GFR 180 L/day Plasma Na 145 mEq/L Filtered Load 26,100 mEq/day CA Inhibitors Proximal tubule Loop Diuretics Loop of Henle Thiazides Distal tubule Antikaliuretics Collecting duct Thick Ascending Limb
  • 116.
  • 117.
  • 118.
    RENAL TRANSPORT MECHANISM:PROXIMAL CONVOLUTED TUBULE: Carries out isosmotic reabsorption of amino acids, glucose and cations Bicarbonate reabsorption 40-50% Na reabsorption Via specific transport systems: NaHCO3 – Na/H exchanger (NHE3)
  • 119.
    LOOP OF HENLE:Pumps Na, K & Cl out of the lumen into the interstitium Provides the concentration gradient for the countercurrent concentrating mechanism Diluting segment – thick ascending limb of the loop of henle Ca & Mg reabsorption Na/K/2Cl cotransporter (NKCC2)
  • 120.
    DISTAL CONVOLUTED TUBULE:Actively pumps Na & Cl out of the lumen nephron 10 % Na reabsorbed Impermeable to water Ca & Mg reabsorption Na/Ca exchanger (NCC)
  • 121.
    COLLECTING TUBULE: Finalsite of NaCl reabsorption Tight regulation of body fluid volume Determines the final Na concentration of the urine Influenced by mineralocorticoids Important site of K secretion by the kidney Principal cells are the major sites of Na, K and H20 transport Intercalated cells are the primary sites of H secretion Do not contain cotransport system for Na
  • 122.
    Reabsorption of Navia the epithelial Na channel (ENaC) and its coupled K secretion is regulated by aldosterone ADH/AVP controls the permeability of the segment to water
  • 123.
    DIURETICS Drugs thatincrease the rate of urine flow Increase the rate of Na & Cl excretion Decrease reabsorption of K, Ca & Mg
  • 124.
    DIURETICS CLASSIFICATION: CARBONICANHYDRASE INHIBITORS OSMOTIC DIURETICS LOOP DIURETICS THIAZIDE DIURETICS POTASSIUM SPARING DIURETICS SITE OF ACTION: Proximal tubule Proimal tubule, Loop of Henle, Collecting tubule Ascending limb of the loop of Henle Distal convoluted tubule Collecting tubule
  • 125.
    CARBONIC ANHYDRASE INHIBITORS:CLASSIFICATION & PROTOTYPES: ACETAZOLAMIDE (Diamox) – a sulfonamide derivative MECHANISM OF ACTION: Inhibit carbonic anhydrase w/c slows the ff. rxn: H + HCO3  H2O + CO2 Inhibit the dehydration of H2C03 Drug effect occurs throughout the body Block NaHCO3 reabsorption HCO3 diuresis
  • 126.
  • 127.
    PHARMACOKINETICS: Well absorbedafter oral administration Onset of action: 30 minutes Duration: 12 hrs Excretion: proximal tubule
  • 128.
    PHARMACODYNAMICS: Depresses theHC03 reabsorption in the PCT Significant HC03 losses – hyperchloremic metabolic acidosis
  • 129.
    CLINICAL USES: Treatmentof glaucoma – major application Urinary alkalinization Epilepsy Acute mountain sickness Correction of metabolic alkalosis
  • 130.
    TOXICITY: Hyperchloremic metabolicacidosis Renal stones Renal potassium wasting Drowsiness & paresthesias – large doses
  • 131.
    CONTRAINDICATIONS: HYPERAMMONEMIA Decreaseurinary excretion of NH4 due to alkalinization of the urine HEPATIC ENCEPHALOPATHY
  • 132.
    LOOP DIURETICS CLASSIFICATION& PROTOTYPES: Furosemide – prototype & sulfonamide derivative Bumetanide- sulfonamide Ethacrynic Acid – phenoxyacetic acid
  • 133.
    PHARMACOKINETICS: Rapidly absorbed Diuretic response is extremely rapid following IV injection Duration of effect: 2-3 hrs Half life: dependent on renal function Excreted in the kidney
  • 134.
    PHARMACOKINETICS: TORSEMIDE Absorption:1 hr Duration: 4-6 hrs FUROSEMIDE Absorption: 2-3 hrs Duration: 2-3 hrs
  • 135.
    MECHANISM OF ACTION:Inhibits the coupled Na+/K+/2Cl transport system (NKCC2) in the luminal membrane of the thick ascending limb of the loop of henle  reduce NaCl reabsorption Increases Mg & Ca+ excretion Induces synthesis of renal prostaglandins Increases renal blood flow Reduces pulmonary congestion & left ventricular filling pressures
  • 136.
  • 137.
    CLINICAL USES: Treatmentof edematous states (CHF & ascites) Acute pulmonary edema in w/c a separate pulmonary vasodilating action may play a useful additive role Sometimes used in hypertension if response to thiazide is inadequate but their short duration of action is a disadvantage Treatment of severe hypercalcemia induced by a carcinoma – less common Acute renal failure Hyperkalemia
  • 138.
    TOXICITY: Hypokalemic metabolicalkalosis Hyperuricemia Hypovolemia & cardiovascular complications Ototoxicity – important toxic effect of the loop agents hypomagnesemia
  • 139.
    THIAZIDE DIURETICS CLASSIFICATION& PROTOTYPE: HYDROCHLOROTHIAZIDE – sulfonamide derivative INDAPAMIDE – new thiazide like agent with a significant vasodilating effect than Na diuretic effect
  • 140.
  • 141.
    MECHANISM OF ACTION:Inhibit NaCl transporter (NCC) in the early segment of the distal convoluted tubule REDUCE THE DILUTING CAPACITY OF THE NEPHRON
  • 142.
    EFFECTS: Urinary excretionFull doses – produce a moderate Na & Cl diuresis  hypokalemic metabolic alkalosis Reduced the blood pressure by reduction of the blood volume but with continued use these agents appear to reduce vascular resistance
  • 143.
    CLINICAL USE: Hypertension– major application, for w/c their long duration of action & moderate intensity of action are useful Chronic therapy for edematous conditions (CHF) another common application Recurrent renal calcium stone formation can sometimes be controlled with thiazides Nephrogenic diabetes insipidus
  • 144.
    TOXICITY: Hypokalemic metabolicalkalosis & hyperuricemia Chronic therapy is often associated with potassium wasting Hyperlipidemia Hyponatremia Allergic reactions
  • 145.
    CONRAINDICATIONS: HEPATIC CIRRHOSISBORDERLINE RENAL FAILURE
  • 146.
    POTASSIUM SPARING DIURETICS:CLASSIFICATION & PROTOTYPES SPIRINOLACTONE, EPLERENONE– antagonist of aldosterone in the collecting tubules Has a slow onset & offset of action (24-72 hrs) TRIAMTERENE & AMILORIDE – inhibitors of Na flux in the collecting tubule
  • 147.
    CLINICAL USE: Hyperaldosteronism– important indication Potassium wasting caused by chronic therapy with loop diuretic or thiazide if not controlled by dietary K supplements Most common use is in the form of products that combine a thiazide with a K sparing agent
  • 148.
    ADVERSE EFFECTS: DecreaseK & H ion excretion and may cause hyperchloremic metabolic acidosis Interfere with steroid biosynthesis
  • 149.
    TOXICITY: Hyperkalemia – most important toxic effect Metabolic acidosis in cirrhotic patients Gynecomastia & antiandrogenic effects Hyperchloremic metabolic acidosis Acute renal failure Kidney stones - triamterene
  • 150.
    CONTRAINDICATIONS: Oral Kadministration Concomittant use of other agents that blunt the RAS (Beta blockers, ACE inhibitors) – HYPERKALEMIA Liver disease CYP3A4 inhibitors (ketoconazole, itraconazole) – increase blood levels of EPLERENONE
  • 151.
    OSMOTIC DIURETICS CLASSIFICATION& PROTOTYPE: MANNITOL – prototype osmotic diuretic given intravenously
  • 152.
    MECHANISM OF ACTION:Holds water in the lumen by virtue of its osmotic effect Major location for this action is the proximal convoluted tubule , where the bulk of isosmotic reabsorption takes place Reabsorption of H2O is also reduced in the descending limb of the loop of henle & the collecting tubule
  • 153.
    EFFECTS: Volume orurine is increased Most filtered solutes will be excreted in larger amounts unless they are actively reabsorbed
  • 154.
    CLINICAL USES: Maintainhigh urine flow (when renal blood flow is reduced & in conditions of solute overload from severe hemolysis or rhabdomyolysis) Useful in reducing intraocular pressure in acute glaucoma & increase intracranial pressure in neurologic conditions Removal of renal toxins
  • 155.
    ANTIDIURETIC HORMONE AGONISTSVASOPRESSIN DESMOPRESSIN Treatment of central diabetes insipidus
  • 156.
    TOXICITY: Nephrogenic DiabetesInsipidus Renal failure
  • 157.
    ANTIDIURETIC HORMONE ANTAGONISTS CONIVAPTAN Receptor antagonist LITHIUM DEMECLOCYLINE Oral administration T ½ = 5-10 hrs
  • 158.
    PHARMACODYNAMICS Inhibits theeffects of ADH in the collecting tubule Conivaptan – pharmacologic antagonist at V1a & V2 receptors Lithium & Demeclocyline – reduce the formation of cAMP in response to ADH, interfere with the actions of cAMP in the collecting tubule cells
  • 159.
    CLINICAL INDICATIONS: Syndromeof Inappropriate ADH Secretion (SIADH) When water restriction is not effective Other elevations of ADH
  • 160.
    TOXICITY: Extracellular volumeexpansion Dehydration Hyperkalemia Hypernatremia
  • 161.
    Asymptomatic LV DysfunctionMild to moderate CHF Moderate to severe CHF ACE inhibitor Digoxin Digoxin Beta blocker Diuretics Diuretics   ACE inhibitor ACE inhibitor   Beta blocker Beta blocker   Spironolactone  
  • 162.
  • 163.
    POST TEST 1.Site of action of loop diuretics: A. loop of henle B. distal convoluted tubule 2. Site of action of thiazide diuretics: A. Loop of henle B. distal convoluted tubule 3. Site of action of K sparing diuretics: A. Collecting tubule B. loop of henle 4. Toxic level of digitalis: A. .2 ng/ml B. 2.0 ng/ml 5. Prevents early remodelling of the heart: A. ACE inhibitors B. diuretics 6. A vasodilator: A. Nitrates B. furosemide 7. Decreases intracranial pressure: A. Digitalis B. Mannitol 8. Decreases intraocular pressure: A. acetazolamide B. furosemide 9. Potent vasoconstrictor: A. bradykinin B. angiotensin II 10. Early compensatory response of the heart to a decrease cardiac output: A. tacchycardia B. cardiomegaly

Editor's Notes

  • #12 S
  • #14 WHILE INCREASED PRELOAD, FORCE AND HR INTITIALLY INCREASE CARDIAC OUTPUT, INCREASED ARTERIAL TONERESULTS IN INCREASED AFTERLOAD &amp; DECREASED EJEX
  • #25 EJECTION FRACTION IS THE RATIO OF THE STROKE VOLUME TO END-DIASTOLIC VOLUME WHICH MAY BE ESTIMATED BY RADIOCONTRAST OR RADIONUCLIDE ANGIOGRAPHY OR ECHOCARDIOGRAPHY THAT IS DEPRESSED IN SYSTOLIC hf EVEN WHEN THE STROKE VOLUME ITSELF IS NORMAL
  • #33 Elevation in LVEDP (left ventricular end-diastolic pressure) Increases left atrial pressure Backs into the pulmonary vascular bed &amp;quot;Pulmonary edema&amp;quot; is water on the lungs.  Fluid is not only in the lung tissues, but actually in the air spaces as well.  This is a severe degree of heart failure, and requires immediate and aggressive management. When the heart&apos;s output decreases, the body does many things to try and compensate for it. It will release hormones to make the heart beat stronger. The heart will beat faster. Many of these reflexes however, only create a short term gain, and may ultimately hurt the heart&apos;s function. When the kidneys sense a decrease in flow, they release hormones which cause the body to hold sodium and water.  In the short term, this will lead to an increase in the volume of blood which is circulating, and provide the kidneys with the blood volume they are looking for.  However, this extra volume of fluid is more than can be held in the blood vessels, and it will start to exude out into the tissues of the bo Develops when the imbalance in pump function causes an increase in lung fluid secondary to leakage from pulmonary capillaries into the interstitium and alveoli of the lung. Life threatening situation in which the lung alveoli become filled with serosanguinous fluid. Most common cause is acut L venricular failure secondary to CAD –thus producing the cymptom of pink frothy sputum---
  • #66 CONTROL OF CARDIAC CONTRACTILITY: CONTROL OF NORMAL CARDIAC CONTRACTILILITY CONTROL OF NORMAL CARDIAC CONTRACTILITY : SENSITIVITY OF THE CONTRACTILE PROTEINS TO CALCIUM, AMOUNT OF CALCIUM RELEASED FROM THE SR, AMOUNT OF CALCIUM STORED IN THE SR, AMOUNT OF TRIGGER CALCIUM &amp; ACTVITY OF SODIUM-CALCIUM EXCHANGER, INTRACELLULAR SODIUM CONCERTRATION &amp; ACTIVITY OF Na-K ATPase