Bone Scintigraphy
Bone Scanning
• Bone scintigraphy is a diagnostic
study used to evaluate the
distribution of active bone
formation in the body.
• Phosphate analogues can be
labeled with 99mTc and are used
for bone imaging because of their
good localization in the skeleton
and rapid clearance from soft
• It can be performed as:
– a) Limited bone scintigraphy or spot views
(planar images of a selected portion of the
skeleton)
– b) Whole-body bone scintigraphy (planar
images of the entire skeleton in anterior
and posterior views)
– c) SPECT (single photon emission
computed tomography- image of a portion
of the skeleton)
– d) Multiphase bone scintigraphy
(immediate and delayed images to study
• In oncology the standard technique of
bone scintigraphy is considered to be the
whole-body scan.
• Whole-body bone scintigraphy produces
planar images of the skeleton, including
anterior and posterior views of the axial
skeleton.
• Anterior and/ or posterior views of the
appendicular skeleton also are obtained.
• Additional views are obtained as needed.
• Limited bone scintigraphy or spot views
are indicated only where a specific
clinical problem detected on whole-body
imaging needs to be clarified.
• SPECT has a higher diagnostic specificity
than planar imaging and may be
preferable when there is diagnostic
uncertainty.
• Multiphase bone scintigraphy is more
useful when trauma or musculoskeletal
inflammation/infection is suspected and is
not usually indicated in oncology.
• Multiphase bone scintigraphy usually
includes blood flow images, immediate
images, and delayed images.
• The blood flow images are a dynamic
sequence of planar images of the area of
greatest interest obtained as the tracer is
injected.
• The immediate (blood pool or soft tissue
phase) images include 1 or more static
planar images of the areas of interest,
obtained immediately after the flow portion
of the study and completed within 10 min
• Delayed images may be limited to
the areas of interest or may include
the whole body, may be planar or
tomographic, and are usually
acquired 2–5 hrs after injection.
• If necessary, additional delayed
images may be obtained up to 24 h
after tracer injection.
Clinical indications
Oncological indications
• Primary tumours (e.g. Ewing’s sarcoma,
osteosarcoma)
• Staging, evaluation of response to therapy
and follow up of primary bone tumors
• Secondary tumours (metastases)
– Staging and follow-up of neoplastic diseases
– Distribution of osteoblastic activity prior to
radiometabolic therapy
Indications for non-neoplastic diseases:
• Bone scan changes occur whenever there is
an increase in blood flow to a lesion or there
is an alteration in osteoblastic activity. For
this reason, bone scan images also reveal
abnormalities in non-neoplastic diseases
such as:
– Stress and/or occult fractures.
– Trauma – accidental and nonaccidental.
– Musculoskeletal inflammation and infection
– Bone viability (grafts, infarcts, osteonecrosis).
– Metabolic bone disease.
– Arthritides
– Complications of hardware/prosthetic joint
replacement, loose or infected joint prosthesis
– Pain of suspected musculoskeletal etiology.
– Heterotopic ossification.
– Complex regional pain syndrome (CRPS)
– Spondylolysis
– Abnormal radiographic, lab or clinical findings.
– Distribution of osteoblastic activity prior to
radiopharmaceutical administration for
palliation of bone pain.
– Other bone disease, such as Paget disease,
Langerhans cell histiocytosis, or fibrous
dysplasia.
Contraindications
• Pt. recently had contrast media for
a different study.
• Pt. Recently (24-48 hrs) had a
TC99m-based nuclear scan
• patients should be well hydrated and
instructed to drink 2 or more glasses of
water between the time of injection and the
time of delayed imaging.
• The patient should be asked to urinate
immediately before delayed imaging and to
drink plenty of fluids for at least 24 h after
radiopharmaceutical administration.
• Technetium-99m medronate (methylene
diphosphonate [MDP]),
• technetium-99m oxidronate
(hydroxymethylene diphosphonate
[HMDP]),
• or hydroxyethylene diphosphonate (HDP)
is administered intravenously.
Precautions
• Pregnancy (suspected or confirmed). In the
case of a diagnostic procedure in a patient
who is known or suspected to be pregnant,
a clinical decision is necessary to weigh
the benefits against the possible harm of
carrying out any procedure.
• Breast-feeding should be discontinued and
milk expressed and discarded when
possible for 24 h (and atleast for 4 h) post
radiopharmaceutical administration).
Physiology
• Phosphonates concentrate in the mineral
phase of bone: nearly two-thirds in
hydroxyapatite crystals and one third in
calcium phosphate.
• Two major factors control accumulation of
phosphonates in bone, namely blood flow
and extraction efficiency, which in turn
depend on capillary permeability, acid-base
balance, parathyroid hormone levels, etc.
• About 50% of the activity injected
• Maximum bone accumulation is reached 1
h after injection and the level remains
practically constant up to 72 h.
• The blood clearance of these
radiopharmaceuticals is high. Three hours
after injection only 3% of the administered
activity remains in the bloodstream.
• The peak of activity through the kidneys is
reached after approximately 20 min. Within
1 h, with normal renal function, more than
30% of the unbound complex has
undergone glomerular filtration andwithin 6
• The quantity of phosphonates eliminated
via the intestines is insignificant.
• The biological half-life of phosphonates is
26 h.
• In a normal bone scan all but the smallest
bones are recognisable.
• On the anterior view it is possible to
distinguish the sternum.
• On the posterior view the bodies of
individual vertebrae are seen, as well as
pedicles and transverse and spinous
processes in the lower dorsal and
lumbar regions. In this projection the
sacro-iliac joints usually have the highest
uptake.
• In children the appearance of the bone
scan is characterised by areas of uptake
due to active growth in the epiphyseal
regions.
• After fusion of the epiphyses these areas
are no longer visible.
• When evaluating bone scan images, the
following points should be taken into
consideration:
– The bone scan is very sensitive for
localisation of skeletal metastases or tumours,
but the specificity is low. It must be interpreted
in the light of all available information,
especially patient history, physical
examination, other test results and previous
studies.
– Symmetry in the representation of right and
left sides of the skeleton and homogeneity of
tracer uptake within bone structures are
important normal features. Particular attention
should be paid to left–right asymmetries
Bone abnormalities
• Both increases and decreases in
tracer uptake have to be assessed;
abnormalities can be either focal or
diffuse.
• Increased (decreased) tracer
activity in the bone, compared with
that in normal bone, indicates
increased (decreased) osteoblastic
activity.
• Differential diagnosis can sometimes be
based on the configuration of the
abnormality or abnormalities and the
location and number of abnormalities.
Most patterns are non-specific.
• Focal decrease without adjacent increase
in tracer uptake is less common than
focally increased activity and is often
caused by benign conditions (attenuation,
artefact or absence of bone, e.g. due to
surgical resection).
• Decreases in the intensity of tracer
uptake and in the number of
abnormalities compared with a previous
study often indicate improvement or may
occur secondary to focal therapy (e.g.
radiation therapy).
• Increases in the intensity of tracer uptake
and in the number of abnormalities
compared with a previous study often
indicate progression of disease but may
reflect a flare response to therapy.
Soft tissue findings
• Normal structures should be noted: kidneys
and bladder. Tracer uptake in the kidney
can be focal or diffuse.
• Generalised increased soft tissue uptake
compared with normal bone can be due to
renal failure, dehydration or a shortened
interval between injection and imaging.
• A generalised decreased soft tissue uptake
compared with normal bone can be due to
“superscan” or a prolonged interval
between injection and imaging.
Normal Bone Scan
• tracer uptake greatest in axial
skeleton
• background activity of soft
tissue
• kidneys routinely visualized
• skull can appear uneven
(variations in calvarial
thickness)
• sites of persistently increased
symmetric uptake, are
acromial and coracoid
processes of the scapulae,
the medial ends of the
clavicles, the junction of the
Normal Bone Scan
• Hyperostosis Frontalis
• Dental Problems
Common Cold
Normal Bone Scan-Pediatrics
Growth Center
most intense: distal femur-proximal tibia-
proximal humerus (which is also the order of
relative occurence of osteosarcoma in children)
Costochondral junctions
Additional Views
Tail On Detector-TOD
SPECT
Metastatic Bone Disease
Prostate Cancer
• The presence of multiple, randomly
distributed areas of increased uptake of
varying size, shape, and intensity is highly
suggestive of bone metastases
• Though encountered in other pathologic
conditions, it is often possible to distinguish
metastatic disease from other entities by
analyzing the pattern of distribution of the
abnormalities.
• Metastatic disease occasionally manifests
as a solitary abnormality, usually in the
spine like in degenerative d/s. SPECT is
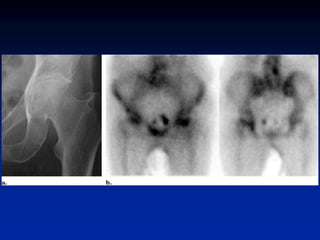
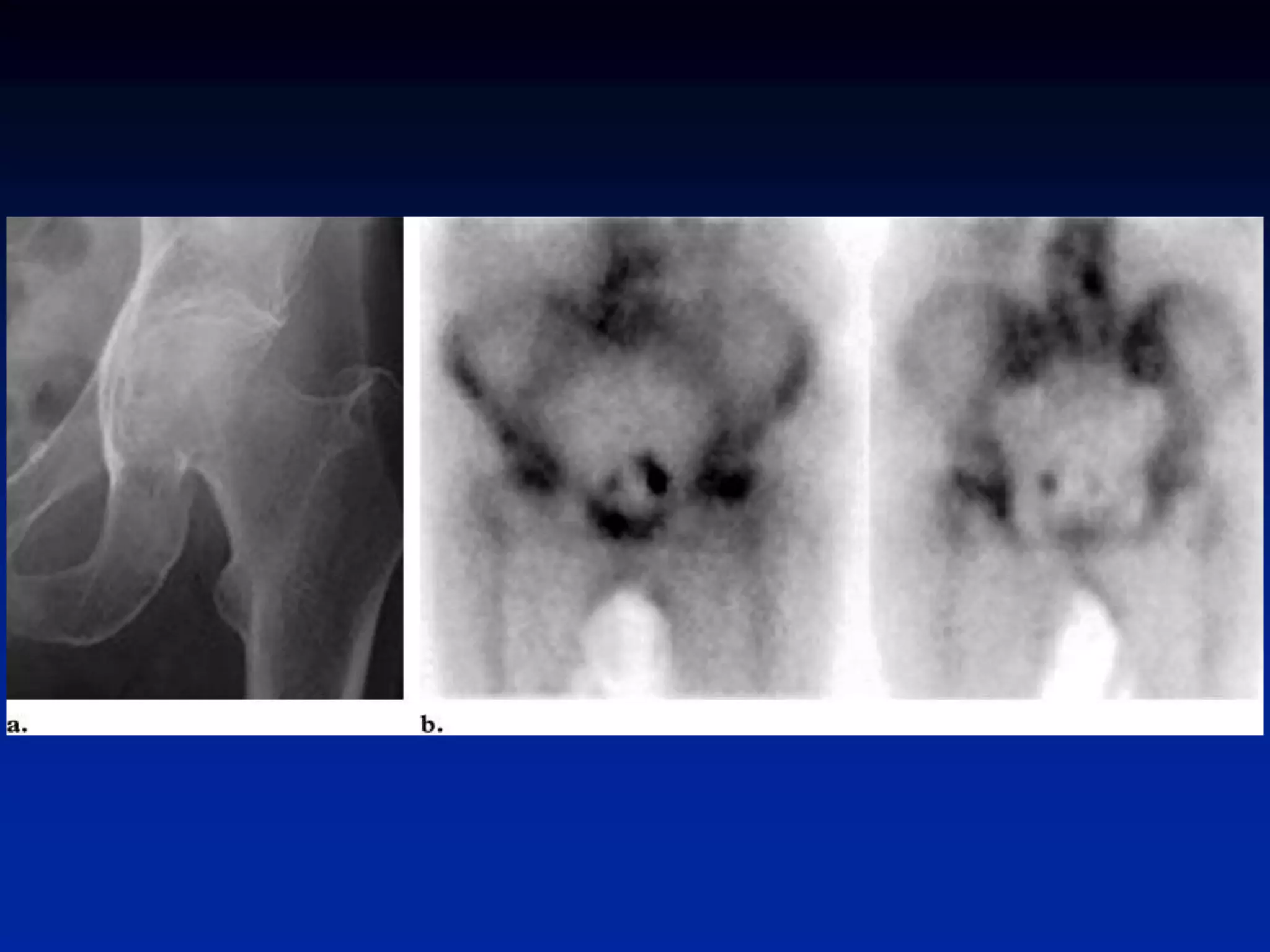
Metastatic Bone Disease ?
• Multiple Fractures
• Radiotracer
accumulation in both the
vertebral body and
pedicles usually indicates
metastatic disease, whereas
abnormalities that involve
the vertebral body and
facets but spare the
pedicles are usually benign
• Activity that is confined
to the vertebral body can
be due to tumor, trauma, or
infection
Metastatic Bone Disease
Flare Phenomenon
Usually occurs 3-6 months post chemotherapy
Flare phenomenon
• seen in patients who are responding to
treatment, reflects healing of the bone
lesions and has been described as the
“flare” phenomenon.
• This phenomenon is usually observed within
3 months after initiation of treatment and is
often associated radiographically with the
sclerotic changes that indicate healing.
• Continued increase in the number and
intensity of lesions beyond 6 months is
usually indicative of disease progression
Superscan
• When the metastatic process is
diffuse, virtually all of the radiotracer
is concentrated in the skeleton, with
little or no activity in the soft tissues or
urinary tract. The resulting pattern,
which is characterized by excellent
bone detail, is frequently referred to as
a superscan
• A superscan may also be associated
with metabolic bone disease. Unlike in
metastatic disease, however, the
uptake in metabolic bone disease is
more uniform in appearance and
extends into the distal appendicular
skeleton.
Hypertrophic
Osteoarthropathy
•linear tracer uptake
along the femurs,
tibias, and distal upper
extremitis (black
arrows)
•nonuniform, irregular
cortical uptake
involving the long
bones and giving rise
to the “tramline sign”
Osteosarcoma
Ewing Sarcoma
Multiple Myeloma
• lytic bone lesions
(bone formation is
markedly
suppressed or
absent)
• unless associated
fracture present
bone scan often
normal
Benign Bone Tumors
• Osteoid Osteoma (and
osteoblastoma)
• Enchondroma
• Osteochondroma
• Chondroblastoma
Osteoid Osteoma
– “double density” sign
Enchondroma
• typically only mildly increased
uptake unless secondary fractures
occur
Osteochondroma
• uptake on bone scan varies
Chondroblastoma
• uptake on bone scan varies
Skeletal Trauma
• 95% visualized by day 3, maximum
positivity by day 7 (age<65 y)
• advanced age, debilitation can cause
delayed or non-visualization
• return to normal depends:
– location and degree of damage
– age of patient
• patients age<65y: 60-80% of non-
displaced fx revert to normal in 1 year,
95% by 3 y)
• patients >65 year can remain positive
Stress Fractures
• radiograph can be negative
• occurs in normal bone that undergoes abnormal
stress (insufficiency fractures occur with normal
stress in bones that are weakened)
• most common sites are the femoral neck and
tibia.
• typical pattern is oval area of increased uptake
with long axis parallel to axis of bone
Shin Splints (Periostitis)
• exercise induced pain along medial or
posteromedial aspect of tibia
• associated with increased tracer uptake
• >1/3 of bone length
• middle to distal tibia
• usually bilateral (not necessarily symmetrical)
• microperiosteal tears (via Sharpey’s fibers)
• positive finding does not predict further injury
• Hyperperfusion and hyperemia are
typically present in acute stress fracture.
• Unlike in stress fractures, angiograms and
blood pool images are usually normal in
shin splints. Delayed bone images reveal
longitudinally oriented linear areas of
increased uptake of varying intensity that
involve one-third or more of the posterior
tibial cortex
Bone Infarction/AVN
• appearance depends on time course
– In the acute phase of vascular compromise,
no radiotracer is delivered to the bone tissue.
At scintigraphy, the affected part of the
bone appears as a photopenic defect.
– After revascularization, exuberant
osteoblastic repair manifests as intense
radiotracer uptake.
–Subsequently, when repair is complete,
radiotracer uptake may return to
baseline levels
• less sensitive than MRI
Legg-Calve-Perthes
• early imaging photon
deficient lesion
• increased activity with
healing (for months)
Osteomyelitis
• increased tracer uptake
– (except occasionally in children
paradoxically decreased secondary to
increased pressure in marrow space)
• skeletal scintigram for whole body
survey
• MRI very sensitive, but limited as survey
tool
• A combination of focal hyperperfusion,
focal hyperemia, and focally increased
bone uptake is virtually diagnostic for
osteomyelitis
Osteomyelitis vs Cellulitis
• MRI of limited value in the diabetic foot
• three phase bone scan for differentiation of
cellulitis vs OM
• non specific-similar pattern in:
–neuropathic joint
–gout
–acute fractures
–healing osteonecrosis
–RSD
• The first (dynamic) phase reflects the
relative amount of blood flow to the
area of interest, whereas the second
(blood pool) phase reflects the amount
of activity that has extravasated into
the tissues around the area of interest.
The third (delayed [bone]) phase
reflects the rate of bone turnover.
• The classic appearance of
osteomyelitis on three-phase bone
scans consists of focal hyperperfusion,
focal hyperemia, and focally increased
Plantar fascitis
Reflex Sympathetic
Dystrophy (complex
regional pain syndrome)
diffuse, uniformly
increased uptake
throughout the
affected
region
Prosthesis-Loosening vs
Infection
• increased uptake normal after surgery
–~1y w/ cemented, ~2-3y w/ non-cemented
• start w/ bone scan if negative no
infection or loosening
• if positive and unclear whether
loosening or infection consider Tc-
HMPAO-WBC scan to differentiate
Infection from loosening
l
loosening Infection
Bone Dysplasias
• Paget’s Disease
– accelerated rate of bone turnover
– excessive resorption and formation of bone
– intensely increased activity throughout the
involvedbones
– most common: pelvis
• Others
– fibrous dysplasia
– Osteognesis imperfecta
– Osteopetrosis
– Melorheostosis
Heterotopic ossification
Sources of error
• – Patient movement
• – Greater than necessary collimator-to-
patient distance
• – Imaging too soon after injection, before
the radiopharmaceutical has been optimally
cleared from soft tissues
• – Injection artefacts
• – Radiopharmaceutical degradation
• – Urine contamination or a urinary diversion
reservoir
• – Prosthetic implants, radiographic
contrast materials or other attenuating
artefacts which may obscure normal
structures
• – Homogeneously increased bony activity
(e.g. “super-scan”)
• – Restraint artefacts caused by soft-tissue
compression
• – Prior administration of a higher energy
radionuclide (131I, 67Ga, 111In) or of a
99mTc radiopharmaceutical which
accumulates in an organ that could
• – Significant findings outside the area of
interest may be missed if a limited study
is performed
• – Changing bladder activity during SPET
of the pelvic region
• – Purely lytic lesions
• – Pubic lesions obscured by underlying
bladder activity
• – Renal failure
Bone scan

Bone scan

  • 1.
  • 2.
    Bone Scanning • Bonescintigraphy is a diagnostic study used to evaluate the distribution of active bone formation in the body. • Phosphate analogues can be labeled with 99mTc and are used for bone imaging because of their good localization in the skeleton and rapid clearance from soft
  • 3.
    • It canbe performed as: – a) Limited bone scintigraphy or spot views (planar images of a selected portion of the skeleton) – b) Whole-body bone scintigraphy (planar images of the entire skeleton in anterior and posterior views) – c) SPECT (single photon emission computed tomography- image of a portion of the skeleton) – d) Multiphase bone scintigraphy (immediate and delayed images to study
  • 4.
    • In oncologythe standard technique of bone scintigraphy is considered to be the whole-body scan. • Whole-body bone scintigraphy produces planar images of the skeleton, including anterior and posterior views of the axial skeleton. • Anterior and/ or posterior views of the appendicular skeleton also are obtained. • Additional views are obtained as needed.
  • 5.
    • Limited bonescintigraphy or spot views are indicated only where a specific clinical problem detected on whole-body imaging needs to be clarified. • SPECT has a higher diagnostic specificity than planar imaging and may be preferable when there is diagnostic uncertainty. • Multiphase bone scintigraphy is more useful when trauma or musculoskeletal inflammation/infection is suspected and is not usually indicated in oncology.
  • 6.
    • Multiphase bonescintigraphy usually includes blood flow images, immediate images, and delayed images. • The blood flow images are a dynamic sequence of planar images of the area of greatest interest obtained as the tracer is injected. • The immediate (blood pool or soft tissue phase) images include 1 or more static planar images of the areas of interest, obtained immediately after the flow portion of the study and completed within 10 min
  • 7.
    • Delayed imagesmay be limited to the areas of interest or may include the whole body, may be planar or tomographic, and are usually acquired 2–5 hrs after injection. • If necessary, additional delayed images may be obtained up to 24 h after tracer injection.
  • 8.
    Clinical indications Oncological indications •Primary tumours (e.g. Ewing’s sarcoma, osteosarcoma) • Staging, evaluation of response to therapy and follow up of primary bone tumors • Secondary tumours (metastases) – Staging and follow-up of neoplastic diseases – Distribution of osteoblastic activity prior to radiometabolic therapy
  • 9.
    Indications for non-neoplasticdiseases: • Bone scan changes occur whenever there is an increase in blood flow to a lesion or there is an alteration in osteoblastic activity. For this reason, bone scan images also reveal abnormalities in non-neoplastic diseases such as: – Stress and/or occult fractures. – Trauma – accidental and nonaccidental. – Musculoskeletal inflammation and infection – Bone viability (grafts, infarcts, osteonecrosis). – Metabolic bone disease. – Arthritides
  • 10.
    – Complications ofhardware/prosthetic joint replacement, loose or infected joint prosthesis – Pain of suspected musculoskeletal etiology. – Heterotopic ossification. – Complex regional pain syndrome (CRPS) – Spondylolysis – Abnormal radiographic, lab or clinical findings. – Distribution of osteoblastic activity prior to radiopharmaceutical administration for palliation of bone pain. – Other bone disease, such as Paget disease, Langerhans cell histiocytosis, or fibrous dysplasia.
  • 11.
    Contraindications • Pt. recentlyhad contrast media for a different study. • Pt. Recently (24-48 hrs) had a TC99m-based nuclear scan
  • 12.
    • patients shouldbe well hydrated and instructed to drink 2 or more glasses of water between the time of injection and the time of delayed imaging. • The patient should be asked to urinate immediately before delayed imaging and to drink plenty of fluids for at least 24 h after radiopharmaceutical administration.
  • 13.
    • Technetium-99m medronate(methylene diphosphonate [MDP]), • technetium-99m oxidronate (hydroxymethylene diphosphonate [HMDP]), • or hydroxyethylene diphosphonate (HDP) is administered intravenously.
  • 14.
    Precautions • Pregnancy (suspectedor confirmed). In the case of a diagnostic procedure in a patient who is known or suspected to be pregnant, a clinical decision is necessary to weigh the benefits against the possible harm of carrying out any procedure. • Breast-feeding should be discontinued and milk expressed and discarded when possible for 24 h (and atleast for 4 h) post radiopharmaceutical administration).
  • 15.
    Physiology • Phosphonates concentratein the mineral phase of bone: nearly two-thirds in hydroxyapatite crystals and one third in calcium phosphate. • Two major factors control accumulation of phosphonates in bone, namely blood flow and extraction efficiency, which in turn depend on capillary permeability, acid-base balance, parathyroid hormone levels, etc. • About 50% of the activity injected
  • 16.
    • Maximum boneaccumulation is reached 1 h after injection and the level remains practically constant up to 72 h. • The blood clearance of these radiopharmaceuticals is high. Three hours after injection only 3% of the administered activity remains in the bloodstream. • The peak of activity through the kidneys is reached after approximately 20 min. Within 1 h, with normal renal function, more than 30% of the unbound complex has undergone glomerular filtration andwithin 6
  • 17.
    • The quantityof phosphonates eliminated via the intestines is insignificant. • The biological half-life of phosphonates is 26 h. • In a normal bone scan all but the smallest bones are recognisable. • On the anterior view it is possible to distinguish the sternum.
  • 18.
    • On theposterior view the bodies of individual vertebrae are seen, as well as pedicles and transverse and spinous processes in the lower dorsal and lumbar regions. In this projection the sacro-iliac joints usually have the highest uptake. • In children the appearance of the bone scan is characterised by areas of uptake due to active growth in the epiphyseal regions. • After fusion of the epiphyses these areas are no longer visible.
  • 19.
    • When evaluatingbone scan images, the following points should be taken into consideration: – The bone scan is very sensitive for localisation of skeletal metastases or tumours, but the specificity is low. It must be interpreted in the light of all available information, especially patient history, physical examination, other test results and previous studies. – Symmetry in the representation of right and left sides of the skeleton and homogeneity of tracer uptake within bone structures are important normal features. Particular attention should be paid to left–right asymmetries
  • 20.
    Bone abnormalities • Bothincreases and decreases in tracer uptake have to be assessed; abnormalities can be either focal or diffuse. • Increased (decreased) tracer activity in the bone, compared with that in normal bone, indicates increased (decreased) osteoblastic activity.
  • 21.
    • Differential diagnosiscan sometimes be based on the configuration of the abnormality or abnormalities and the location and number of abnormalities. Most patterns are non-specific. • Focal decrease without adjacent increase in tracer uptake is less common than focally increased activity and is often caused by benign conditions (attenuation, artefact or absence of bone, e.g. due to surgical resection).
  • 22.
    • Decreases inthe intensity of tracer uptake and in the number of abnormalities compared with a previous study often indicate improvement or may occur secondary to focal therapy (e.g. radiation therapy). • Increases in the intensity of tracer uptake and in the number of abnormalities compared with a previous study often indicate progression of disease but may reflect a flare response to therapy.
  • 23.
    Soft tissue findings •Normal structures should be noted: kidneys and bladder. Tracer uptake in the kidney can be focal or diffuse. • Generalised increased soft tissue uptake compared with normal bone can be due to renal failure, dehydration or a shortened interval between injection and imaging. • A generalised decreased soft tissue uptake compared with normal bone can be due to “superscan” or a prolonged interval between injection and imaging.
  • 24.
    Normal Bone Scan •tracer uptake greatest in axial skeleton • background activity of soft tissue • kidneys routinely visualized • skull can appear uneven (variations in calvarial thickness) • sites of persistently increased symmetric uptake, are acromial and coracoid processes of the scapulae, the medial ends of the clavicles, the junction of the
  • 25.
    Normal Bone Scan •Hyperostosis Frontalis • Dental Problems Common Cold
  • 26.
    Normal Bone Scan-Pediatrics GrowthCenter most intense: distal femur-proximal tibia- proximal humerus (which is also the order of relative occurence of osteosarcoma in children) Costochondral junctions
  • 27.
  • 28.
  • 29.
  • 30.
    • The presenceof multiple, randomly distributed areas of increased uptake of varying size, shape, and intensity is highly suggestive of bone metastases • Though encountered in other pathologic conditions, it is often possible to distinguish metastatic disease from other entities by analyzing the pattern of distribution of the abnormalities. • Metastatic disease occasionally manifests as a solitary abnormality, usually in the spine like in degenerative d/s. SPECT is
  • 31.
    Metastatic Bone Disease? • Multiple Fractures • Radiotracer accumulation in both the vertebral body and pedicles usually indicates metastatic disease, whereas abnormalities that involve the vertebral body and facets but spare the pedicles are usually benign • Activity that is confined to the vertebral body can be due to tumor, trauma, or infection
  • 34.
  • 35.
    Flare Phenomenon Usually occurs3-6 months post chemotherapy
  • 36.
    Flare phenomenon • seenin patients who are responding to treatment, reflects healing of the bone lesions and has been described as the “flare” phenomenon. • This phenomenon is usually observed within 3 months after initiation of treatment and is often associated radiographically with the sclerotic changes that indicate healing. • Continued increase in the number and intensity of lesions beyond 6 months is usually indicative of disease progression
  • 38.
    Superscan • When themetastatic process is diffuse, virtually all of the radiotracer is concentrated in the skeleton, with little or no activity in the soft tissues or urinary tract. The resulting pattern, which is characterized by excellent bone detail, is frequently referred to as a superscan • A superscan may also be associated with metabolic bone disease. Unlike in metastatic disease, however, the uptake in metabolic bone disease is more uniform in appearance and extends into the distal appendicular skeleton.
  • 39.
    Hypertrophic Osteoarthropathy •linear tracer uptake alongthe femurs, tibias, and distal upper extremitis (black arrows) •nonuniform, irregular cortical uptake involving the long bones and giving rise to the “tramline sign”
  • 40.
  • 41.
  • 42.
    Multiple Myeloma • lyticbone lesions (bone formation is markedly suppressed or absent) • unless associated fracture present bone scan often normal
  • 43.
    Benign Bone Tumors •Osteoid Osteoma (and osteoblastoma) • Enchondroma • Osteochondroma • Chondroblastoma
  • 44.
  • 45.
    Enchondroma • typically onlymildly increased uptake unless secondary fractures occur
  • 46.
  • 47.
  • 48.
    Skeletal Trauma • 95%visualized by day 3, maximum positivity by day 7 (age<65 y) • advanced age, debilitation can cause delayed or non-visualization • return to normal depends: – location and degree of damage – age of patient • patients age<65y: 60-80% of non- displaced fx revert to normal in 1 year, 95% by 3 y) • patients >65 year can remain positive
  • 51.
    Stress Fractures • radiographcan be negative • occurs in normal bone that undergoes abnormal stress (insufficiency fractures occur with normal stress in bones that are weakened) • most common sites are the femoral neck and tibia. • typical pattern is oval area of increased uptake with long axis parallel to axis of bone
  • 53.
    Shin Splints (Periostitis) •exercise induced pain along medial or posteromedial aspect of tibia • associated with increased tracer uptake • >1/3 of bone length • middle to distal tibia • usually bilateral (not necessarily symmetrical) • microperiosteal tears (via Sharpey’s fibers) • positive finding does not predict further injury
  • 54.
    • Hyperperfusion andhyperemia are typically present in acute stress fracture. • Unlike in stress fractures, angiograms and blood pool images are usually normal in shin splints. Delayed bone images reveal longitudinally oriented linear areas of increased uptake of varying intensity that involve one-third or more of the posterior tibial cortex
  • 56.
    Bone Infarction/AVN • appearancedepends on time course – In the acute phase of vascular compromise, no radiotracer is delivered to the bone tissue. At scintigraphy, the affected part of the bone appears as a photopenic defect. – After revascularization, exuberant osteoblastic repair manifests as intense radiotracer uptake. –Subsequently, when repair is complete, radiotracer uptake may return to baseline levels • less sensitive than MRI
  • 57.
    Legg-Calve-Perthes • early imagingphoton deficient lesion • increased activity with healing (for months)
  • 58.
    Osteomyelitis • increased traceruptake – (except occasionally in children paradoxically decreased secondary to increased pressure in marrow space) • skeletal scintigram for whole body survey • MRI very sensitive, but limited as survey tool • A combination of focal hyperperfusion, focal hyperemia, and focally increased bone uptake is virtually diagnostic for osteomyelitis
  • 59.
    Osteomyelitis vs Cellulitis •MRI of limited value in the diabetic foot • three phase bone scan for differentiation of cellulitis vs OM • non specific-similar pattern in: –neuropathic joint –gout –acute fractures –healing osteonecrosis –RSD
  • 60.
    • The first(dynamic) phase reflects the relative amount of blood flow to the area of interest, whereas the second (blood pool) phase reflects the amount of activity that has extravasated into the tissues around the area of interest. The third (delayed [bone]) phase reflects the rate of bone turnover. • The classic appearance of osteomyelitis on three-phase bone scans consists of focal hyperperfusion, focal hyperemia, and focally increased
  • 62.
  • 63.
    Reflex Sympathetic Dystrophy (complex regionalpain syndrome) diffuse, uniformly increased uptake throughout the affected region
  • 64.
    Prosthesis-Loosening vs Infection • increaseduptake normal after surgery –~1y w/ cemented, ~2-3y w/ non-cemented • start w/ bone scan if negative no infection or loosening • if positive and unclear whether loosening or infection consider Tc- HMPAO-WBC scan to differentiate Infection from loosening l
  • 65.
  • 66.
    Bone Dysplasias • Paget’sDisease – accelerated rate of bone turnover – excessive resorption and formation of bone – intensely increased activity throughout the involvedbones – most common: pelvis • Others – fibrous dysplasia – Osteognesis imperfecta – Osteopetrosis – Melorheostosis
  • 68.
  • 69.
    Sources of error •– Patient movement • – Greater than necessary collimator-to- patient distance • – Imaging too soon after injection, before the radiopharmaceutical has been optimally cleared from soft tissues • – Injection artefacts • – Radiopharmaceutical degradation • – Urine contamination or a urinary diversion reservoir
  • 70.
    • – Prostheticimplants, radiographic contrast materials or other attenuating artefacts which may obscure normal structures • – Homogeneously increased bony activity (e.g. “super-scan”) • – Restraint artefacts caused by soft-tissue compression • – Prior administration of a higher energy radionuclide (131I, 67Ga, 111In) or of a 99mTc radiopharmaceutical which accumulates in an organ that could
  • 71.
    • – Significantfindings outside the area of interest may be missed if a limited study is performed • – Changing bladder activity during SPET of the pelvic region • – Purely lytic lesions • – Pubic lesions obscured by underlying bladder activity • – Renal failure