By
Rajasri Manimaran
Group 2
Definition:
• Arteriosclerosis occurs when the blood vessels that carry oxygen and
nutrients from your heart to the rest of your body (arteries) become
thick and stiff — sometimes restricting blood flow to your organs
and tissues.
• Healthy arteries are flexible and elastic, but over time, the walls in
your arteries can harden, a condition commonly called hardening of
the arteries.
• Atherosclerosis is a specific type of arteriosclerosis, but the terms
are sometimes used interchangeably.
• Atherosclerosis refers to the build-up of fats, cholesterol and other
substances in and on your artery walls (plaques), which can restrict
blood flow.
• These plaques can burst, triggering a blood clot. Although
atherosclerosis is often considered a heart problem, it can affect
arteries anywhere in your body.
• Atherosclerosis usually is preventable and is treatable.
Types of atherosclerosis:
• Atherosclerosis can occur anywhere in the body, including the heart,
legs, and kidneys.
Coronary Artery Disease
• This condition occurs when the coronary arteries of the heart
become hard. The coronary arteries are blood vessels that provide
the heart’s muscle tissue with oxygen and blood. Plaque prevents
blood flow to the heart.
Carotid Artery Disease
• The carotid arteries are found in your neck and supply blood to
your brain. These arteries may be compromised
if plaque builds up in their walls. The lack
of circulation may cause a decrease of
blood and oxygen to the brain’s tissue
and cells.
Peripheral Artery Disease
• Your legs, arms, and lower body
depend on your arteries to
supply blood and oxygen to
their tissues. Hardened arteries
can cause circulation problems
in these areas of the body.
Kidney Disease
• The renal arteries supply blood
to the kidneys. Kidneys filter
waste products and extra water
from your blood. When they
cannot filter properly, waste
products build up inside the
renal arteries, making them
hard. The hardened vessels may
lead to kidney failure.
Symptoms:
Most symptoms of atherosclerosis do not show until a blockage
occurs. Common symptoms include:
• chest pain (angina)
• pain in the leg, arm, and anywhere else that an artery is blocked
• shortness of breath
• fatigue
• confusion (if the blockage affects
circulation to the brain)
• muscle weakness in the legs from
lack of circulation
Epidemiology:
• Despite advances in medical, interventional, and surgical treatment,
atherosclerotic disease remains the most important cause of death
in developed and underprivileged nations.
• In the United States alone, coronary artery disease causes
approximately 1 of every 6 deaths, accounting for more than
400,000 deaths annually.
• Each year, an estimated 785,000 Americans have an initial
myocardial infarction, and 470,000 Americans have a recurrent
attack.
• The prevalence and severity of atherosclerosis among individuals
and groups are related to several risk factors.
Major risk factors:
• Increasing age
• Male gender
• Family history
• Genetic abnormalities
• Hyperlipidemia
• Hypertension
• Cigarette smoking
• Diabetes
• C- reactive protein
Non modifiable Modifiable
Additional risk factors:
• Inflammation
• Hyperhomocystinemia
• Metabolic syndrome
• Lipoprotein
• Factors affecting hemostasis
• Stressful lifestyle and obesity
Pathogenesis:
Hypothetical sequence of cellular
interaction:
Morphology:
Fatty streak:
• Earliest lesion
• Composed of lipid- filled foamy
macrophages
• Begin as multiple minute flat
yellow spots, which eventually
turns up to elongated streak
• May be precursors of plaques
• Not all fatty streak are destined
to become advanced lesions
Atherosclerotic plaque:
• Impinge on the lumen of the
artery and grossly appear
white to yellow.
• Plaque vary from 0.3 to 1.5cm
in diameter but can coalesce to
form larger masses.
• Have 3 principal components:
• Cells, including smooth muscle
cells, macrophages, and T cells.
• ECM, including collagen, elastic
fibers, and proteoglycans, and
• Intracellular and extracellular
lipids.
Atherosclerotic plaques are susceptible to
the following clinically important changes:
• Rupture, ulceration or erosion of the intimal surface of
atheromatous plaques exposes the blood to highly thrombogenic
substances and induces thrombosis.
• Hemorrhage into a plaque: rupture of the overlying fibrous cap, or
of the thin-walled vessels in the areas of neovascularization, can
cause intra-plaque hemorrhage
• Atheroembolism: ruptured plaque discharge artherosclerotic
debris into bloodstream, producing microemboli
• Aneurysm formation: atherosclerosis- induced pressure or ischemic
atrophy of the underlying media, with loss of elastic tissue, causes
weakness resulting in aneurysmal dilation and potential rupture.
Consequences of atherosclerotic
disease:
Screening and diagnosis:
Stress
Test
Coronary
Angiography
Electro-
cardiogram
Other test:
•Blood tests: used to evaluate kidney and thyroid function as well as
to check cholesterol levels and the presence of anemia.
•Chest X-ray: shows the size of your heart and whether there is fluid
build up around the heart and lungs.
•Echocardiogram: shows a graphic outline of the heart’s movement
•Ejection fraction (EF): determines how well your heart pumps with
each beat.
•Treatment:
•Lifestyle changes
•Medications
•Angiography and stenting
•Bypass surgery
Treatment:
Atherosclerosis

Atherosclerosis

  • 1.
  • 2.
    Definition: • Arteriosclerosis occurswhen the blood vessels that carry oxygen and nutrients from your heart to the rest of your body (arteries) become thick and stiff — sometimes restricting blood flow to your organs and tissues. • Healthy arteries are flexible and elastic, but over time, the walls in your arteries can harden, a condition commonly called hardening of the arteries.
  • 3.
    • Atherosclerosis isa specific type of arteriosclerosis, but the terms are sometimes used interchangeably. • Atherosclerosis refers to the build-up of fats, cholesterol and other substances in and on your artery walls (plaques), which can restrict blood flow. • These plaques can burst, triggering a blood clot. Although atherosclerosis is often considered a heart problem, it can affect arteries anywhere in your body. • Atherosclerosis usually is preventable and is treatable.
  • 4.
    Types of atherosclerosis: •Atherosclerosis can occur anywhere in the body, including the heart, legs, and kidneys. Coronary Artery Disease • This condition occurs when the coronary arteries of the heart become hard. The coronary arteries are blood vessels that provide the heart’s muscle tissue with oxygen and blood. Plaque prevents blood flow to the heart. Carotid Artery Disease • The carotid arteries are found in your neck and supply blood to your brain. These arteries may be compromised if plaque builds up in their walls. The lack of circulation may cause a decrease of blood and oxygen to the brain’s tissue and cells.
  • 5.
    Peripheral Artery Disease •Your legs, arms, and lower body depend on your arteries to supply blood and oxygen to their tissues. Hardened arteries can cause circulation problems in these areas of the body. Kidney Disease • The renal arteries supply blood to the kidneys. Kidneys filter waste products and extra water from your blood. When they cannot filter properly, waste products build up inside the renal arteries, making them hard. The hardened vessels may lead to kidney failure.
  • 6.
    Symptoms: Most symptoms ofatherosclerosis do not show until a blockage occurs. Common symptoms include: • chest pain (angina) • pain in the leg, arm, and anywhere else that an artery is blocked • shortness of breath • fatigue • confusion (if the blockage affects circulation to the brain) • muscle weakness in the legs from lack of circulation
  • 7.
    Epidemiology: • Despite advancesin medical, interventional, and surgical treatment, atherosclerotic disease remains the most important cause of death in developed and underprivileged nations. • In the United States alone, coronary artery disease causes approximately 1 of every 6 deaths, accounting for more than 400,000 deaths annually. • Each year, an estimated 785,000 Americans have an initial myocardial infarction, and 470,000 Americans have a recurrent attack. • The prevalence and severity of atherosclerosis among individuals and groups are related to several risk factors.
  • 8.
    Major risk factors: •Increasing age • Male gender • Family history • Genetic abnormalities • Hyperlipidemia • Hypertension • Cigarette smoking • Diabetes • C- reactive protein Non modifiable Modifiable Additional risk factors: • Inflammation • Hyperhomocystinemia • Metabolic syndrome • Lipoprotein • Factors affecting hemostasis • Stressful lifestyle and obesity
  • 9.
  • 12.
    Hypothetical sequence ofcellular interaction:
  • 13.
    Morphology: Fatty streak: • Earliestlesion • Composed of lipid- filled foamy macrophages • Begin as multiple minute flat yellow spots, which eventually turns up to elongated streak • May be precursors of plaques • Not all fatty streak are destined to become advanced lesions
  • 15.
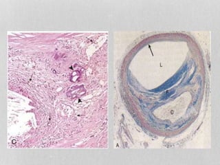
    Atherosclerotic plaque: • Impingeon the lumen of the artery and grossly appear white to yellow. • Plaque vary from 0.3 to 1.5cm in diameter but can coalesce to form larger masses. • Have 3 principal components: • Cells, including smooth muscle cells, macrophages, and T cells. • ECM, including collagen, elastic fibers, and proteoglycans, and • Intracellular and extracellular lipids.
  • 18.
    Atherosclerotic plaques aresusceptible to the following clinically important changes: • Rupture, ulceration or erosion of the intimal surface of atheromatous plaques exposes the blood to highly thrombogenic substances and induces thrombosis. • Hemorrhage into a plaque: rupture of the overlying fibrous cap, or of the thin-walled vessels in the areas of neovascularization, can cause intra-plaque hemorrhage • Atheroembolism: ruptured plaque discharge artherosclerotic debris into bloodstream, producing microemboli • Aneurysm formation: atherosclerosis- induced pressure or ischemic atrophy of the underlying media, with loss of elastic tissue, causes weakness resulting in aneurysmal dilation and potential rupture.
  • 20.
  • 21.
  • 22.
    Other test: •Blood tests:used to evaluate kidney and thyroid function as well as to check cholesterol levels and the presence of anemia. •Chest X-ray: shows the size of your heart and whether there is fluid build up around the heart and lungs. •Echocardiogram: shows a graphic outline of the heart’s movement •Ejection fraction (EF): determines how well your heart pumps with each beat. •Treatment: •Lifestyle changes •Medications •Angiography and stenting •Bypass surgery
  • 23.