THORAX
Normal Anatomy of Thorax
With X-Ray and CT
DR. NITIN WADHWANI
Prof. and H.O.D department of Radio-diagnosis,
DY Patil medical college, hospital & research institute Kolhapur
(1) X-Ray
There are 3 types of chest films;
•Antero-Posterior (AP)
•Postero-Anterior (PA)
•Lateral
X-ray Chest Introduction
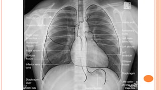
Normal Chest X-Ray
PA LAT
True Ribs
The mediastinum lies within
the thorax and is enclosed
on the right and left
by pleurae. It is surrounded
by the chest wall in front,
the lungs to the sides and
the spine at the back
Mediastinum
It contains all the organs of
the thorax except the
lungs.
The mediastinum can be divided into an upper (or superior) and lower (or inferior) part:
1) The superior mediastinum starts at the superior thoracic aperture and ends at
the thoracic plane.
2) The inferior mediastinum from this level to the diaphragm.
This lower part is subdivided into three regions, all relative to the pericardium –
•the anterior mediastinum being in front of the pericardium,
•the middle mediastinum contains the pericardium and its contents, and
•the posterior mediastinum being behind the pericardium.
How To Interpret
Chest X-ray
*Assessing The Image Quality, “RIPE” mnemonic is used;
Rotation, Inspiration, Position, Exposure(Penetration).
•Check for rotation
measure the distance from the medial end of each clavicle to the spinous
process of the vertebra at the same level, which should be equal
•Check adequacy of inspiration
Nine pairs of ribs should be seen posteriorly in order to consider a chest x-ray
adequate in terms of inspiration
•Check penetration
one should barely see the thoracic vertebrae behind the heart
•Check exposure
One needs to be able to identify both costophrenic angles and lung apices
* “RIPE”
1) Rotation: The clavicles
should appear symmetrical
and be seen as equal length.
The distance between the
thoracic spinal process and
clavicular heads should be
equal
2) Inspiration: On good
inspiration, the diaphragm
should be seen at the level of
the 8th – 10th posterior rib or
5th – 6th anterior rib.
3)Position: PA, AP, or lateral
view? The standard chest X-Rays
consists of a PA and lateral chest X-
Ray.
The normal lateral chest x-ray view is
obtained with the left chest against
the cassette. If the x-ray is a true
lateral, the right ribs are larger due to
magnification and usually projected
posteriorly to the left ribs (Figure-3).
4) Exposure / Penetration: Ideally, you should be able to see the heart,
the blood vessels, and the intervertebral spaces. Exposure should be
adequate if you are able to see approximately T4 vertebra and spinal process.
If the film is underexposed, you will not be able to see them . If the film is
overexposed, details of bone structures will be lost .
Underexposed PA X-Ray film.You can not appreciate thoracic vertebras.
Figure-7: Overexposed PA X-Ray film. You are able to see all vertebral bodies
with obvious intervertebral spaces.
The interpretation of a chest X-Ray should be approached
systematically. For chest X-Rays, there is a classic schematic:
“ABCDEF.” You should first check the patient’s name and date of the
film. You should also check the side marker, and the film position (PA
or AP). Finally, you should check patient’s position such as supine,
erect or semi-erect.
The analysis is ABCDEF:
•Airways
•Bones
•Cardiac
•Diaphragm
•Extra-thoracic tissues
•Fields and Fissures
Interpretation of a chest X-Ray
Mnemonic Explanation Note
A Airways
The trachea should be central or slightly to the right. If it is deviated, check whether it is due
to the patient's position or another pathological cause.
B Bones and soft tissues
Assess the bones visible in the image from top to bottom. The edges of the bones
should be smooth, otherwise a fracture may be indicated. Also assess for bone
density, oedema or metastatic lesion.
C Cardiac
On a PA image, the heart's width should be less than 50% of the chest width. On an AP image,
it should be between 50-60% of the chest width.
D Diaphragm
The right diaphragm is normally higher than the left. The costophrenic and cardiophrenic angles
should be clearly visible. The blunting of those angles may indicate effusion.
E Edges of the Heart The edges of the heart should be clearly defined. Otherwise, there may be
consolidation in the adjacent lung lobes.
F Fields and Fissure Check for any absence of normal lung markings in both fields. Also check for
opaque masses, consolidation, or fluid.
G Great Vessels or Assess the aorta and pulmonary vessels. The aortic knob should be visible.
Gastric bubbles A normal gastric bubble can be seen below the left diaphragm.
Airways
Bones
Cardiac
E – EXTRATHORACIC TISSUES
Mostly this means as the lung parenchyma.
Lung fields can be divided into zones: upper, middle,
and lower zones (Figure-12);
•Upper zone: from the apex to 2nd costal cartilage.
•Middle zone: between 2nd and 4th costal cartilage.
•Lower zone: between 4th and 6th costal cartilage
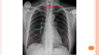
Fissures
(2) CT
CT at level of Aortic Arch
CT at level of Carina
THANKYOU
- Prathamesh Kotawadekar
(Radio JR1)
Thorax-XRAY and CT
Thorax-XRAY and CT
Thorax-XRAY and CT
Thorax-XRAY and CT
Thorax-XRAY and CT
Thorax-XRAY and CT
Thorax-XRAY and CT
Thorax-XRAY and CT
Thorax-XRAY and CT
Thorax-XRAY and CT
Thorax-XRAY and CT
Thorax-XRAY and CT
Thorax-XRAY and CT
Thorax-XRAY and CT

Thorax-XRAY and CT

  • 1.
    THORAX Normal Anatomy ofThorax With X-Ray and CT DR. NITIN WADHWANI Prof. and H.O.D department of Radio-diagnosis, DY Patil medical college, hospital & research institute Kolhapur
  • 2.
  • 3.
    There are 3types of chest films; •Antero-Posterior (AP) •Postero-Anterior (PA) •Lateral X-ray Chest Introduction
  • 4.
  • 5.
  • 9.
    The mediastinum lieswithin the thorax and is enclosed on the right and left by pleurae. It is surrounded by the chest wall in front, the lungs to the sides and the spine at the back Mediastinum It contains all the organs of the thorax except the lungs.
  • 10.
    The mediastinum canbe divided into an upper (or superior) and lower (or inferior) part: 1) The superior mediastinum starts at the superior thoracic aperture and ends at the thoracic plane. 2) The inferior mediastinum from this level to the diaphragm. This lower part is subdivided into three regions, all relative to the pericardium – •the anterior mediastinum being in front of the pericardium, •the middle mediastinum contains the pericardium and its contents, and •the posterior mediastinum being behind the pericardium.
  • 18.
  • 19.
    *Assessing The ImageQuality, “RIPE” mnemonic is used; Rotation, Inspiration, Position, Exposure(Penetration). •Check for rotation measure the distance from the medial end of each clavicle to the spinous process of the vertebra at the same level, which should be equal •Check adequacy of inspiration Nine pairs of ribs should be seen posteriorly in order to consider a chest x-ray adequate in terms of inspiration •Check penetration one should barely see the thoracic vertebrae behind the heart •Check exposure One needs to be able to identify both costophrenic angles and lung apices * “RIPE”
  • 20.
    1) Rotation: Theclavicles should appear symmetrical and be seen as equal length. The distance between the thoracic spinal process and clavicular heads should be equal
  • 21.
    2) Inspiration: Ongood inspiration, the diaphragm should be seen at the level of the 8th – 10th posterior rib or 5th – 6th anterior rib.
  • 22.
    3)Position: PA, AP,or lateral view? The standard chest X-Rays consists of a PA and lateral chest X- Ray. The normal lateral chest x-ray view is obtained with the left chest against the cassette. If the x-ray is a true lateral, the right ribs are larger due to magnification and usually projected posteriorly to the left ribs (Figure-3).
  • 23.
    4) Exposure /Penetration: Ideally, you should be able to see the heart, the blood vessels, and the intervertebral spaces. Exposure should be adequate if you are able to see approximately T4 vertebra and spinal process. If the film is underexposed, you will not be able to see them . If the film is overexposed, details of bone structures will be lost .
  • 24.
    Underexposed PA X-Rayfilm.You can not appreciate thoracic vertebras.
  • 25.
    Figure-7: Overexposed PAX-Ray film. You are able to see all vertebral bodies with obvious intervertebral spaces.
  • 26.
    The interpretation ofa chest X-Ray should be approached systematically. For chest X-Rays, there is a classic schematic: “ABCDEF.” You should first check the patient’s name and date of the film. You should also check the side marker, and the film position (PA or AP). Finally, you should check patient’s position such as supine, erect or semi-erect. The analysis is ABCDEF: •Airways •Bones •Cardiac •Diaphragm •Extra-thoracic tissues •Fields and Fissures Interpretation of a chest X-Ray
  • 27.
    Mnemonic Explanation Note AAirways The trachea should be central or slightly to the right. If it is deviated, check whether it is due to the patient's position or another pathological cause. B Bones and soft tissues Assess the bones visible in the image from top to bottom. The edges of the bones should be smooth, otherwise a fracture may be indicated. Also assess for bone density, oedema or metastatic lesion. C Cardiac On a PA image, the heart's width should be less than 50% of the chest width. On an AP image, it should be between 50-60% of the chest width. D Diaphragm The right diaphragm is normally higher than the left. The costophrenic and cardiophrenic angles should be clearly visible. The blunting of those angles may indicate effusion. E Edges of the Heart The edges of the heart should be clearly defined. Otherwise, there may be consolidation in the adjacent lung lobes. F Fields and Fissure Check for any absence of normal lung markings in both fields. Also check for opaque masses, consolidation, or fluid. G Great Vessels or Assess the aorta and pulmonary vessels. The aortic knob should be visible. Gastric bubbles A normal gastric bubble can be seen below the left diaphragm.
  • 28.
  • 29.
  • 30.
  • 32.
    E – EXTRATHORACICTISSUES Mostly this means as the lung parenchyma. Lung fields can be divided into zones: upper, middle, and lower zones (Figure-12); •Upper zone: from the apex to 2nd costal cartilage. •Middle zone: between 2nd and 4th costal cartilage. •Lower zone: between 4th and 6th costal cartilage
  • 33.
  • 35.
  • 37.
    CT at levelof Aortic Arch
  • 38.
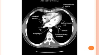
    CT at levelof Carina
  • 47.

Editor's Notes

  • #4 Chest X-ray interpretation is one of the fundamental skills of every doctor. Radiologists are particularly exposed to various chest x-rays during a regular shift. Therefore, knowing the basics and pathologies in the regular setting is very important.
  • #22 The chest x-ray shows adequate inspiration.
  • #23 The right ribs (red arrows) and left ribs (green arrows) on the lateral chest X-Ray.
  • #33 So you should compare the lung parenchyma left to right in the upper, middle and lower zones and see whether there is a difference. Look for equal radiolucency between the left and the right lungs zones. The horizontal fissure on the right divides the upper and middle lobes; from the hilum to the 6th rib at the axillary line. You should also check soft tissues outside the thorax for subcutaneous air, foreign body, bizarre density, etc.