Presenter:
Dr. Md. Ahasanul Kabir
Resident, Phase B
UCC, BSMMU
Chairperson:
Asso. Prof. Dr. Tanjima Parvin
UCC, BSMMU
 RV function is strongly associated with clinical outcomes although being
neglected
 Limited data regarding the normal dimensions of the right ventricle
because of its complex shape.
 Thin walled pyramidal structures,
wraps around LV
 Composed of 3 distinct portions:
1. Smooth muscular inflow (body)
2. Outflow region
3. Trabecular apical region.
 Additional unique structures to RV:
1) Crista supraventricularis
2) Prominent trabeculations
3) Moderator band
 RV volume > LV volume
 RV mass = 1/6th of LV mass
Segment nomenclature & coronary supply
of RV walls
Function of the Right Ventricle
 Why should we measure RV function?
RV is not just a conduit of blood flow : has its unique function
Prognostic significance in various clinical settings
Risk stratification or guide to optimal therapy
Function of the Right Ventricle….
 Maintain adequate pulmonary artery perfusion pressure to improve
gas exchange
 Maintain low systemic venous pressure to prevent congestion of
tissues or organs
 Affect LV function
: Limit LV preload in RV dysfunction
: Ventricular interdependence
Key views
PLAX & RV inflow
Initial screening of
RA/RV, TR jet
PASX
IVS flattening, TR jet,
RVOT outflow pattern,
PR jet
A4C & modified A4C
RA/RV size, TV, annular
motion, TR jet, IAS
Subcostal
RVH, IVC
RV Wall Thickness
Useful measurement for RVH (Pressure overload)
 ↑RV wall thickness - can be seen in infiltrative and
hypertrophic cardiomyopathies
Measured at end-diastole by m-mode or 2d echo from the
subcostal window, preferably at the level of the tip of the
anterior tricuspid leaflet or left parasternal windows
when there is significant thickening of the visceral
pericardium, measurement of the RV wall may be
challenging.
Certain conditions are associated with RV wall thinning -
ARVD
No accepted echo criteria to define an abnormally thin
RV wall.
 Normal: less than 0.5 cm
 Measure at the level of TV chordae & at the peak of R wave of ECG on
subcostal view
 Well correlated with peak RV systolic pressure
RV Wall Thickness….
Advantages:
 Can be measured by
M-mode or 2D
echocardiography from
either the subcostal or
left parasternal
window.
Disadvantages:
 Lack of established
prognostic information
RV DIMENSIONS
Using 2D echocardiography, RV size can be measured
from a 4-chamber view obtained from the apical window
at end-diastole
Taken at 3 levels:
 Diameters above the tricuspid valve annulus
 Mid RV cavity
 Distance from the TV annulus to RV apex
RV DIMENSIONS
RV dilation:
 Basal > 4.2 cm
 Mid: > 3.5 cm
 Longitudinal: > 8.6 cm
RV DIMENSIONS…
Advantages:
Easily obtained on an
apical 4-chamber view
Markers of RV
dilatation.
Disadvantages:
Highly dependent on
probe rotation by the
user, which can result
in an underestimation
of RV width.
2D and M-mode: RVOT Size
 Best viewed from the left parasternal and subcostal windows
 Size of the RVOT measured at end-diastole on the QRS deflection.
 In PLAX view, a portion of the proximal RVOT can be measured
(RVOT-Prox)
 In PSAX, RVOT linear dimension measured from
Anterior aortic wall to the RV free wall above the aortic valve (RVOT-Prox)
&
Just proximal to the pulmonary valve (RVOT-Distal)
 PLAX view of RVOT - used in evaluation for ARVD
Right ventricular function assessed by five
methods –
1. FAC
2. TAPSE
3. TEI INDEX
4. S’ (Tissue doppler systolic signal velocity of TV lateral
annulus)
5. Visual estimation of RV free wall and TV annular motion
RV Area and FAC
Endocardial border is traced A4C views from the tricuspid
annulus along the free wall to the apex, then back to the
annulus, along the interventricular septum at end-
diastole (ED) and end-systole(ES).
Trabeculation, tricuspid leaflets, and chords are included
in the chamber.
RV Area and FAC
 Normal FAC >35%.
End diastolic area – End systolic area
100
End diastolic area
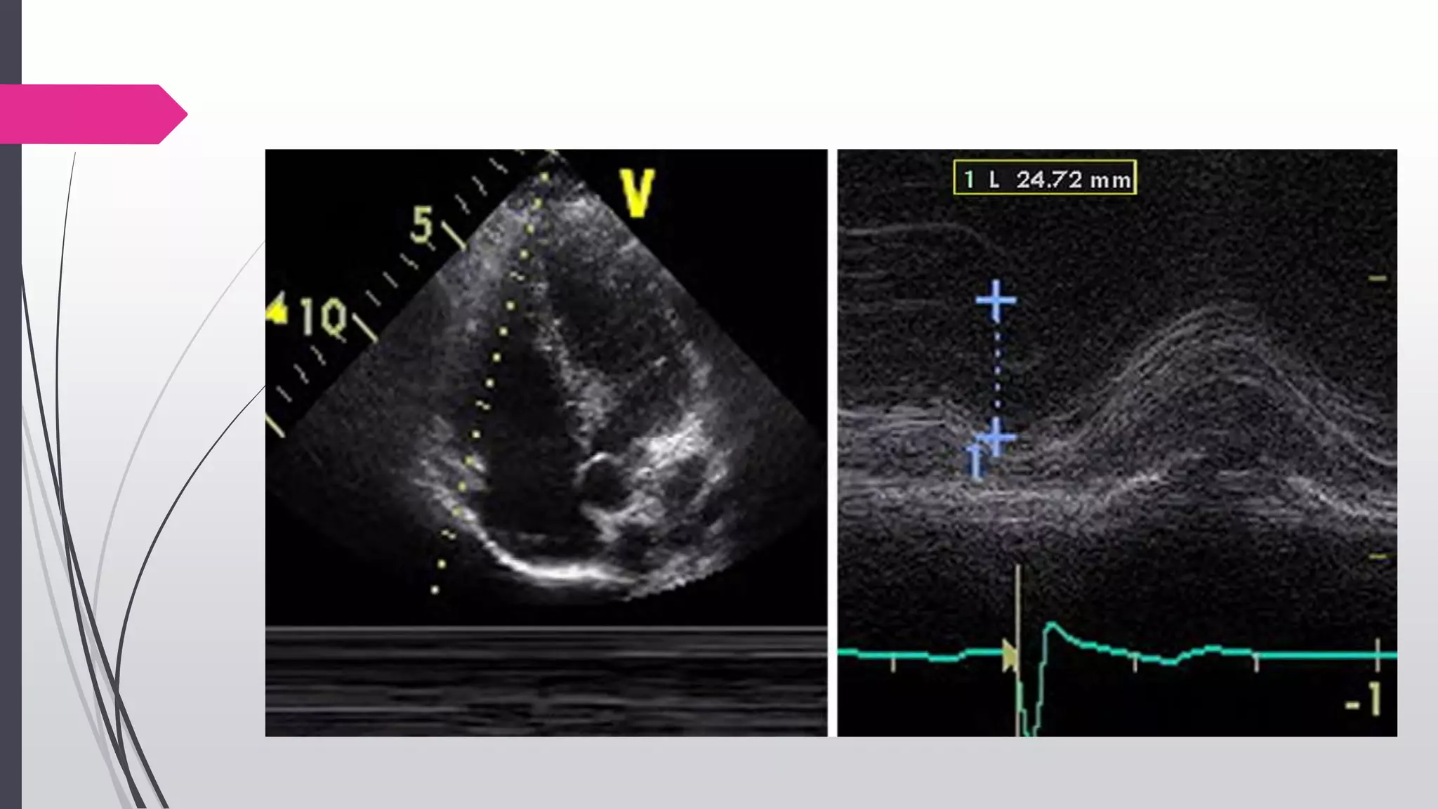
TAPSE or Tricuspid Annular Motion (TAM)
TAPSE or TAM is a method to measure the distance of
systolic excursion of the RV annular segment along its
longitudinal plane, from a standard apical 4-chamber
window.
Acquired by placing an M-mode cursor through the
tricuspid annulus & measuring the amount of longitudinal
motion of the annulus at peak systole
TAPSE <16mm → RV dysfunction
TAPSE…
Advantages:
 Simple, less dependent on
optimal image quality, and
reproducible
 Does not require
sophisticated equipment or
prolonged image analysis.
Disadvantages:
 Assumes that the
displacement of a single
segment represents the
function of a complex 3D
structure.
 It is angle dependent, and
there are no large-scale
validation studies.
 Finally, TAPSE may be load
dependent.
RIMP or Tei index
Global estimate of both systolic and diastolic function of
the right ventricle.
Based on the relationship between ejection and non
ejection work of the heart
Obtained by two methods: the pulsed Doppler
method & the tissue Doppler method.
RIMP or Tei index
The upper reference limit RIMP is 0.40 using the
pulsed Doppler method & 0.55 using the pulsed
tissue Doppler method.
IVCT + IVRT
ET
 Advantages:
 Feasible in a large majority of subjects both with and without TR
 Reproducible
 Avoids the geometric assumptions and limitations of complex RV
geometry.
 Disadvantages:
 Unreliable when RV ET and TR time are measured with differing R-R
intervals, as in atrial fibrillation.
 It is load dependent & unreliable when RA pressure is elevated.
TISSUE DOPPLER IMAGING
 An apical four chamber view is used
 The pulsed Doppler sample volume is placed in either the tricuspid
annulus or the middle of the basal segment of the RV free wall
 The S´velocity is read as the highest systolic velocity without over-
gaining the Doppler envelope
Normal > 10 cm/s
TISSUE DOPPLER IMAGING
Advantages
 A simple, reproducible technique
with good discriminatory ability to
detect normal versus abnormal RV
function
 Pulsed Doppler is available on all
modern systems
 Maybe obtained and analyzed off-
line
Disadvantages
 Less reproducible for non basal
segments
 Is angle dependent
 Limited normative data in all ranges'
and in both sexes
 It assumes that the function of a
single segment represents the
function of the entire right ventricle
RV DIASTOLIC FUNCTION
From the apical 4-chamber view, the Doppler beam should be
aligned parallel to RV inflow
Sample volume is placed at the tips of the tricuspid valve
leaflets
Measure at held end-expiration and/or take the average of ≥ 5
consecutive beats
Measurements are essentially the same as those used for the
left side
RV DIASTOLIC FUNCTION
Variable Lower reference value Upper reference value
E(cm/s) 35 73
A (cm/s) 21 58
E/A ratio 0.8 <2
Deceleration time (ms) 120 220
IVRT (ms) 23 73
E’ (cm/s) 8 20
A’ (cm/s) 7 20
E’/A’ ratio 0.5 1.9
E/E’ 2 6
RECOMMENDATION
 Measurement of RV diastolic function should be considered in
patients with suspected RV impairment as a marker of early or
subtle RV dysfunction, or in patients with known RV impairment as
a marker for poor prognosis
 Transtricupsid E/A ratio, E/E’ ratio, and RA size have been most
validated are the preferred measures
Grading of RV Diastolic Dysfunction should be done as follows:
Impaired relaxation E/A ratio < 0.8
Pseudonormal filling E/A ratio 0.8-< 2.0 with an E/E’ ratio > 6 or diastolic
prominence in the hepatic veins
Restrictive filling E/A ratio > 2.1 with deceleration time < 120 ms
RIGHT ATRIAL ASSESSMENT
 Apical 4-chamber view
 Estimation of right atrial area by planimetry
 The maximum long distance of the RA is from the center of
the tricuspid annulus to the superior RA wall, parallel to the
interatrial septum
 A mid RA minor distance is defined from the mid level of
the RA free wall to the interatrial septum perpendicular to
the long axis
 RA area is traced at the end of ventricular systole, excluding
the IVC, SVC, and RAA
RA Enlargement:
Area > 18 cm2
Length (major dimension) > 53mm, Diameter (minor dimension) > 44mm
RA PRESSURE DETERMINATION
 Measurement of the IVC should be obtained at end-
expiration and just proximal to the junction of the
hepatic veins that lie approximately 0.5 to 3.0 cm
proximal to the ostium of the right atrium
 To accurately assess IVC collapse, the change in
diameter of the IVC with a sniff and also with quiet
respiration should be measured, ensuring that the
change in diameter does not reflect a translation of
the IVC into another plane
Estimation of RA pressure from IVC
diameter
Variable Normal (0-5
[3] mm Hg)
Normal (0-5 [3] mm Hg)
Intermediate (5-10 [8]
mm Hg)
High (15mm)
IVC diameter ≤ 2.1 cm ≤ 2.1 cm >2.1 cm >2.1 cm
Collapse with
sniff
>50% <50% >50% <50%
Secondary
indices of
elevated RA
pressure
 Restrictive filling
 Tricuspid E/E0 > 6
 Diastolic flow
predominance in hepatic
veins (systolic filling
fraction < 55%)
Ref: ASE 2010
RV PATHOLOGY
1. RV VOLUME OVERLOAD
2. RV PRESSURE OVERLOAD
3. RV INFARCTION
4. ARVD
5. PULMONARY EMBOLISM
6. CARDIAC TEMPONADE
HEMODYNAMIC ASSESSMENT
 Systolic pulmonary artery pressure
Estimated with TR jet velocity using simplified Bernoulli equation (
provided there is no RVOT obstruction )
RVSP = 4(V)2+RApressure
Normal peak RVSP is 35 to 36mmHg assuming RA pressure of 3 to
5mmHg
Note : Measure TR jet velocity from various views to get the highest
velocity
SYSTOLIC PULMONARY ARTERY PRESSURE
HEMODYNAMIC ASSESSMENT
 Pulmonary artery end diastolic pressure ( PADP )
Estimated from velocity of end diastolic pulmonary regurgitant jet
using
PAEDP = 4(End velocity of PR jet)2+ RA
pressure
HEMODYNAMIC ASSESSMENT
 Mean Pulmonary Pressure can be measured :
MAP = 1/3 (SPAP ) + 2/3(PADP)
 MPAP = 4(Peak velocity of PR jet)+RA PRESSURE
EXCEPTION
 If the transducer is not parallel to the flow to the TR jet ,peak
velocity of the jet will be reduced and underestimation of PASP
 Incorrectly estimating mean RA pressure from the IVC can lead to
under or overestimation of pulmonary pressure
Echo assessment of RV function

Echo assessment of RV function

  • 1.
    Presenter: Dr. Md. AhasanulKabir Resident, Phase B UCC, BSMMU Chairperson: Asso. Prof. Dr. Tanjima Parvin UCC, BSMMU
  • 2.
     RV functionis strongly associated with clinical outcomes although being neglected  Limited data regarding the normal dimensions of the right ventricle because of its complex shape.  Thin walled pyramidal structures, wraps around LV  Composed of 3 distinct portions: 1. Smooth muscular inflow (body) 2. Outflow region 3. Trabecular apical region.
  • 3.
     Additional uniquestructures to RV: 1) Crista supraventricularis 2) Prominent trabeculations 3) Moderator band  RV volume > LV volume  RV mass = 1/6th of LV mass
  • 4.
    Segment nomenclature &coronary supply of RV walls
  • 5.
    Function of theRight Ventricle  Why should we measure RV function? RV is not just a conduit of blood flow : has its unique function Prognostic significance in various clinical settings Risk stratification or guide to optimal therapy
  • 6.
    Function of theRight Ventricle….  Maintain adequate pulmonary artery perfusion pressure to improve gas exchange  Maintain low systemic venous pressure to prevent congestion of tissues or organs  Affect LV function : Limit LV preload in RV dysfunction : Ventricular interdependence
  • 7.
    Key views PLAX &RV inflow Initial screening of RA/RV, TR jet PASX IVS flattening, TR jet, RVOT outflow pattern, PR jet A4C & modified A4C RA/RV size, TV, annular motion, TR jet, IAS Subcostal RVH, IVC
  • 10.
    RV Wall Thickness Usefulmeasurement for RVH (Pressure overload)  ↑RV wall thickness - can be seen in infiltrative and hypertrophic cardiomyopathies Measured at end-diastole by m-mode or 2d echo from the subcostal window, preferably at the level of the tip of the anterior tricuspid leaflet or left parasternal windows when there is significant thickening of the visceral pericardium, measurement of the RV wall may be challenging.
  • 11.
    Certain conditions areassociated with RV wall thinning - ARVD No accepted echo criteria to define an abnormally thin RV wall.
  • 12.
     Normal: lessthan 0.5 cm  Measure at the level of TV chordae & at the peak of R wave of ECG on subcostal view  Well correlated with peak RV systolic pressure
  • 13.
    RV Wall Thickness…. Advantages: Can be measured by M-mode or 2D echocardiography from either the subcostal or left parasternal window. Disadvantages:  Lack of established prognostic information
  • 14.
    RV DIMENSIONS Using 2Dechocardiography, RV size can be measured from a 4-chamber view obtained from the apical window at end-diastole Taken at 3 levels:  Diameters above the tricuspid valve annulus  Mid RV cavity  Distance from the TV annulus to RV apex
  • 15.
    RV DIMENSIONS RV dilation: Basal > 4.2 cm  Mid: > 3.5 cm  Longitudinal: > 8.6 cm
  • 16.
    RV DIMENSIONS… Advantages: Easily obtainedon an apical 4-chamber view Markers of RV dilatation. Disadvantages: Highly dependent on probe rotation by the user, which can result in an underestimation of RV width.
  • 17.
    2D and M-mode:RVOT Size  Best viewed from the left parasternal and subcostal windows  Size of the RVOT measured at end-diastole on the QRS deflection.  In PLAX view, a portion of the proximal RVOT can be measured (RVOT-Prox)
  • 18.
     In PSAX,RVOT linear dimension measured from Anterior aortic wall to the RV free wall above the aortic valve (RVOT-Prox) & Just proximal to the pulmonary valve (RVOT-Distal)  PLAX view of RVOT - used in evaluation for ARVD
  • 19.
    Right ventricular functionassessed by five methods – 1. FAC 2. TAPSE 3. TEI INDEX 4. S’ (Tissue doppler systolic signal velocity of TV lateral annulus) 5. Visual estimation of RV free wall and TV annular motion
  • 20.
    RV Area andFAC Endocardial border is traced A4C views from the tricuspid annulus along the free wall to the apex, then back to the annulus, along the interventricular septum at end- diastole (ED) and end-systole(ES). Trabeculation, tricuspid leaflets, and chords are included in the chamber.
  • 21.
    RV Area andFAC  Normal FAC >35%. End diastolic area – End systolic area 100 End diastolic area
  • 23.
    TAPSE or TricuspidAnnular Motion (TAM) TAPSE or TAM is a method to measure the distance of systolic excursion of the RV annular segment along its longitudinal plane, from a standard apical 4-chamber window. Acquired by placing an M-mode cursor through the tricuspid annulus & measuring the amount of longitudinal motion of the annulus at peak systole TAPSE <16mm → RV dysfunction
  • 25.
    TAPSE… Advantages:  Simple, lessdependent on optimal image quality, and reproducible  Does not require sophisticated equipment or prolonged image analysis. Disadvantages:  Assumes that the displacement of a single segment represents the function of a complex 3D structure.  It is angle dependent, and there are no large-scale validation studies.  Finally, TAPSE may be load dependent.
  • 26.
    RIMP or Teiindex Global estimate of both systolic and diastolic function of the right ventricle. Based on the relationship between ejection and non ejection work of the heart Obtained by two methods: the pulsed Doppler method & the tissue Doppler method.
  • 27.
    RIMP or Teiindex The upper reference limit RIMP is 0.40 using the pulsed Doppler method & 0.55 using the pulsed tissue Doppler method. IVCT + IVRT ET
  • 29.
     Advantages:  Feasiblein a large majority of subjects both with and without TR  Reproducible  Avoids the geometric assumptions and limitations of complex RV geometry.  Disadvantages:  Unreliable when RV ET and TR time are measured with differing R-R intervals, as in atrial fibrillation.  It is load dependent & unreliable when RA pressure is elevated.
  • 30.
    TISSUE DOPPLER IMAGING An apical four chamber view is used  The pulsed Doppler sample volume is placed in either the tricuspid annulus or the middle of the basal segment of the RV free wall  The S´velocity is read as the highest systolic velocity without over- gaining the Doppler envelope
  • 31.
  • 32.
    TISSUE DOPPLER IMAGING Advantages A simple, reproducible technique with good discriminatory ability to detect normal versus abnormal RV function  Pulsed Doppler is available on all modern systems  Maybe obtained and analyzed off- line Disadvantages  Less reproducible for non basal segments  Is angle dependent  Limited normative data in all ranges' and in both sexes  It assumes that the function of a single segment represents the function of the entire right ventricle
  • 33.
    RV DIASTOLIC FUNCTION Fromthe apical 4-chamber view, the Doppler beam should be aligned parallel to RV inflow Sample volume is placed at the tips of the tricuspid valve leaflets Measure at held end-expiration and/or take the average of ≥ 5 consecutive beats Measurements are essentially the same as those used for the left side
  • 34.
    RV DIASTOLIC FUNCTION VariableLower reference value Upper reference value E(cm/s) 35 73 A (cm/s) 21 58 E/A ratio 0.8 <2 Deceleration time (ms) 120 220 IVRT (ms) 23 73 E’ (cm/s) 8 20 A’ (cm/s) 7 20 E’/A’ ratio 0.5 1.9 E/E’ 2 6
  • 35.
    RECOMMENDATION  Measurement ofRV diastolic function should be considered in patients with suspected RV impairment as a marker of early or subtle RV dysfunction, or in patients with known RV impairment as a marker for poor prognosis  Transtricupsid E/A ratio, E/E’ ratio, and RA size have been most validated are the preferred measures Grading of RV Diastolic Dysfunction should be done as follows: Impaired relaxation E/A ratio < 0.8 Pseudonormal filling E/A ratio 0.8-< 2.0 with an E/E’ ratio > 6 or diastolic prominence in the hepatic veins Restrictive filling E/A ratio > 2.1 with deceleration time < 120 ms
  • 36.
    RIGHT ATRIAL ASSESSMENT Apical 4-chamber view  Estimation of right atrial area by planimetry  The maximum long distance of the RA is from the center of the tricuspid annulus to the superior RA wall, parallel to the interatrial septum  A mid RA minor distance is defined from the mid level of the RA free wall to the interatrial septum perpendicular to the long axis  RA area is traced at the end of ventricular systole, excluding the IVC, SVC, and RAA RA Enlargement: Area > 18 cm2 Length (major dimension) > 53mm, Diameter (minor dimension) > 44mm
  • 37.
    RA PRESSURE DETERMINATION Measurement of the IVC should be obtained at end- expiration and just proximal to the junction of the hepatic veins that lie approximately 0.5 to 3.0 cm proximal to the ostium of the right atrium  To accurately assess IVC collapse, the change in diameter of the IVC with a sniff and also with quiet respiration should be measured, ensuring that the change in diameter does not reflect a translation of the IVC into another plane
  • 38.
    Estimation of RApressure from IVC diameter Variable Normal (0-5 [3] mm Hg) Normal (0-5 [3] mm Hg) Intermediate (5-10 [8] mm Hg) High (15mm) IVC diameter ≤ 2.1 cm ≤ 2.1 cm >2.1 cm >2.1 cm Collapse with sniff >50% <50% >50% <50% Secondary indices of elevated RA pressure  Restrictive filling  Tricuspid E/E0 > 6  Diastolic flow predominance in hepatic veins (systolic filling fraction < 55%) Ref: ASE 2010
  • 39.
    RV PATHOLOGY 1. RVVOLUME OVERLOAD 2. RV PRESSURE OVERLOAD 3. RV INFARCTION 4. ARVD 5. PULMONARY EMBOLISM 6. CARDIAC TEMPONADE
  • 40.
    HEMODYNAMIC ASSESSMENT  Systolicpulmonary artery pressure Estimated with TR jet velocity using simplified Bernoulli equation ( provided there is no RVOT obstruction ) RVSP = 4(V)2+RApressure Normal peak RVSP is 35 to 36mmHg assuming RA pressure of 3 to 5mmHg Note : Measure TR jet velocity from various views to get the highest velocity
  • 41.
  • 42.
    HEMODYNAMIC ASSESSMENT  Pulmonaryartery end diastolic pressure ( PADP ) Estimated from velocity of end diastolic pulmonary regurgitant jet using PAEDP = 4(End velocity of PR jet)2+ RA pressure
  • 43.
    HEMODYNAMIC ASSESSMENT  MeanPulmonary Pressure can be measured : MAP = 1/3 (SPAP ) + 2/3(PADP)  MPAP = 4(Peak velocity of PR jet)+RA PRESSURE
  • 44.
    EXCEPTION  If thetransducer is not parallel to the flow to the TR jet ,peak velocity of the jet will be reduced and underestimation of PASP  Incorrectly estimating mean RA pressure from the IVC can lead to under or overestimation of pulmonary pressure