DR J P SONI
Professor and Head of the Department Paediatrics
Division of Pediatric Cardiology
DR S N Medical College
Jodhpur
Doc_jpsoni@yahoo.com
AV septal defects (AVSDs) account for 4%–5% of all congenital heart defects with estimated
incidence of 0.19/1000 live births. Down syndrome is present in 50% of patients with AVSD.
Conversely, about 40%–45% of children with Down syndrome have CHD, and AVSD accounts for
almost half of these, mostly in its complete form. Patients with Down syndrome tend to develop
early and more severe form of pulmonary vascular disease with irreversible changes appearing as
early as 6 months of age.
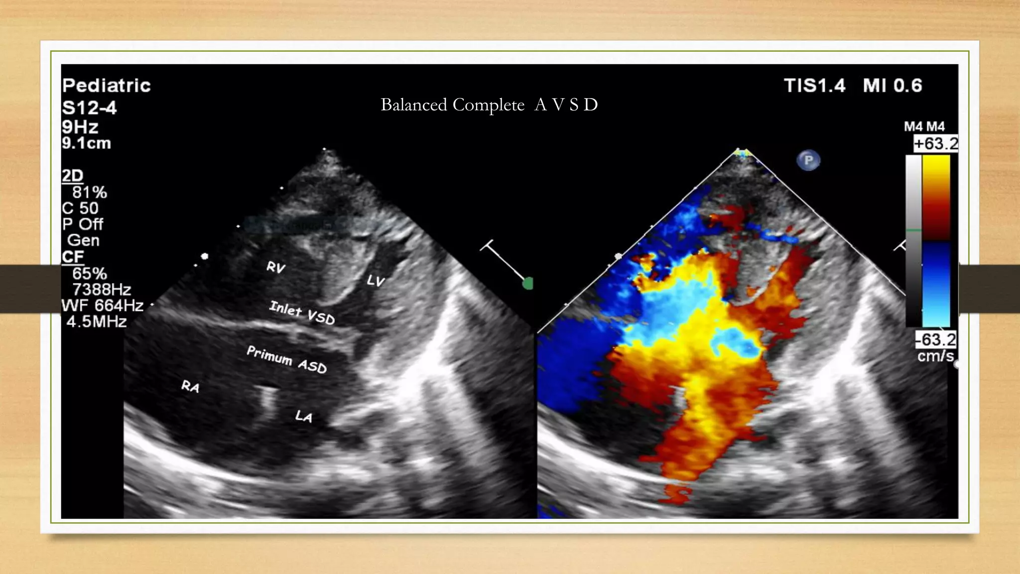
Types of atrioventricular septal defects
a. Balanced :
i. Complete AVSD: Large septal defect with an atrial component (ostium primum defect) and a
ventricular component (inlet septal defect), common AV valve ring, and common AV valve.
There may be incompetence of the right- and left-sided parts of the common AV valve.
Complete form of AVSD is generally associated with large left-to-right shunt, pulmonary
artery hypertension, and congestive heart failure. Associated with Down syn, heterotaxy and
Ellis van creveld syn. Anterior displacement of LVOT causes Goose neck deformity- elongated
lvot
ii. Intermediate AVSD: Two separate AV valves with primum ASD and large inlet VSD.
Types of atrioventricular septal defects
iii. Transitional AVSD: Two separate AV valves with primum ASD and small ( restrictive) inlet
VSD.
iv. Partial AVSD: These patients have separate annuli of right and left AV valve. There is a
primum ASD. Cleft of the anterior leaflet of AV valve is common with variable degrees of
regurgitation. Associated defects are PS< TS, TA, DSVC, CoA, HLHS, HRHS, Co tri atrium, PDA,
b. Unbalanced AVSD: One of the ventricular chambers is hypoplastic. This form is usually
associated with complex congenital defects such as heterotaxy syndrome (isomerism).
2/3 RV dominant, LV hypoplastic, HLHS, CoA
1/3 LV dominant, RV hypoplastic, Down syndrome
A - anterior leaflet; ABL - anterior bridging leaflet; I, inferior leaflet; L- left mural leaflet; P-
posterior leaflet; PBL - posterior bridging leaflet; R- right mural leaflet; S - septal leaflet
R
R R
R
Rastelli type Superior bridging leaflet & chordal attachment
A Divided & attached to crest of ventricular septum
B Partially divided into two but not attached to crest of
septum. Chordae from superior leaflet attached to pappilary
muscle in RV on septal surface
C Un-divide and unattached to ventricular septum( free
floating). Attachment to papillary muscle on RV free wall
Rastelli
Subtype %
Position of
superior
Bridging
leaflet
A 70-90 Minimal
bridging of IV
septum
Isolated
Down syn
B rare Intermediate
bridging
C 10-30 Extreme
bridging
TOF-down
DORV, TGA,
Heterotaxy
Rastelli classification
Annuli AV valve orifice VSD
Partial 2 2 nil
transitional 2 2 Small
Intermediate 1 1 large
Complete 1 1 Large
Anatomic features of all atrioventricular septal defects
AV valves insert at same level at the cardiac crux
Absence of the septum
Unwedged and anterior displacement of the aortic valve
Elongated LVOT
Counter clockwise rotation of LV papillary muscles
Cleft of left AV valve component, directed toward the ventricular septum
Level of Atrioventricular Valve Insertion :
In normal hearts, the tricuspid valve inserts onto the ventricular septum more apically than
the mitral valve. With this “offset” in the level of insertion, a portion of septum, called the
AV septum, separates the right atrium (RA) and the left ventricle. In AVSDs, both right
and left AV valve components insert at the same level, and this is best appreciated from an
apical four-chamber view. Apical four-chamber imaging demonstrates the crux of the
heart, which has been referred to as the most reliable and consistent intracardiac
landmark.
Unwedging of the Aortic Valve :
In normal hearts, the aortic valve is “wedged” between the mitral and tricuspid valves. In
AVSDs, the aortic valve is “sprung” and displaced anteriorly. This contributes to elongation
of the LVOT. This is best appreciated from the parasternal long-axis and subcostal outflow
views.
Elongation of the Left Ventricular Outflow Tract
In normal hearts, the distance from the left ventricular (LV) apex to the aortic annulus is equal to the
distance from the LV apex to the mitral annulus. The inlet and outlet portions of the left ventricle are
approximately equal in length. In contrast, the deficiency of the AV septum and apical displacement of the
left AV valve insertion in AVSDs lends a scooped-out appearance to the ventricular septum and results in a
shorter inlet portion. In addition, the anterior displacement of the unwedged aortic valve leads to an
elongated and narrowed LVOT. The narrow, long LVOT has been classically described as having a “goose neck”
appearance. This can be identified on angiographic and echocardiographic long-axis views of the left
ventricle. This anatomic feature is clinically important since it provides the substrate for development of
LVOT obstruction, especially when present with other findings such as aberrant left AV valve chordal
insertions or displacement of a papillary muscle anteriorly into the LVOT.
Cleft of the Left Atrioventricular Valve
In partial AVSDs, the anterior mitral leaflet inserts onto the crest of the ventricular septum. A cleft is
invariably present in the anterior mitral leaflet and it is directed toward the mid-portion of the ventricular
septum.
In complete AVSDs, the common AV valve consists of five leaflets, and the two that span across the
ventricular septum are known as the anterior and posterior bridging leaflets. Conceptually, the anterior
bridging leaflet corresponds to the superior half of the anterior mitral leaflet, and the posterior bridging
leaflet represents fusion of the septal tricuspid leaflet and the inferior portion of the anterior mitral leaflet.
No tongue of tissue separates the AV valve into right and left components, and the space between the
anterior and posterior bridging leaflets is analogous to the cleft in the anterior mitral leaflet in partial
AVSDs.
Counter-clockwise Rotation of the Left Ventricular Papillary Muscles
In all forms of AVSD, the LV papillary muscles are rotated counter-clockwise compared with normal. In the
parasternal short-axis projection, normal mitral papillary muscles are located at the “4 o’clock” and “8 o’clock”
positions. In AVSD, LV papillary muscles are rotated toward the “3 o’clock” and “7 o’clock” positions. This
causes the anterior mitral leaflet (or anterior bridging leaflet) to be more anteriorly located and contributes
to narrowing of the LVOT.
Diagnostic workup
Clinical
- cyanosis mild or absent
- Poor feeding, Difficulty in feeding- suck and rest cycle, suggestive of congestive cardiac failure -
- Not gaining weight
- Infants with the complete form of atrioventricular septal defect usually develop a limited ability to circulate
blood to the lungs and the rest of the body resulting in fluid build up in the heart, lung and various body
tissues (congestive heart failure). Pulmonary congestion may lead to difficulty breathing (dyspnoea) and fatigue.
Infants with complete atrioventricular septal defect often have a bluish discoloration of the skin and mucous
membranes (cyanosis) due to insufficient oxygen supply to these tissues.
Signs-
- right ventricular impulse
- Increased pulmonic component second heart sound
- variable ejection systolic murmur, apical mid‐diastolic murmur (in large left to right shunt),
- Pansystolic murmur (with atrioventricular valve regurgitation)
X-ray chest:
Cardiomegaly may be present due to dilation of the right or left heart chambers depending on
the severity and direction of AV valve regurgitation and the severity and level of left-to-right
shunting. Large left-to-right shunts lead to increased pulmonary vascular markings and
prominent pulmonary artery conus.
ECG
superior p wave axis (in associated left atrial isomerism)
PR interval prolongation is present in 50% of cases; occasionally, complete AV block develops. Other
findings include moderate-to-extreme left-axis deviation -30 to -120, q waves in leads I and aVL
(counterclockwise depolarization), and left atrial and ventricular hypertrophy if significant AV valve
regurgitation is present. partial right bundle branch block.
Right ventricular hypertrophy suggests the presence of pulmonary artery hypertension or right
ventricular outflow
tract obstruction
E C G Complete AV block
Fetal echocardiography
Atiro-ventricular valve should be seen in apical 4 chamber view ( may not be seen in basal and lateral
4 C view) to look for loss of offset, both valve At one level like bird wing, seagull sign.
Right atrial length is 40% of right ventricular length, and ratio is 40%, This ratio is increases and RA
may be equal to right ventricle length. Color Doppler depict central jet of regurgitation.
AVSD
RV
RA
LA
LV
VSD
ASD
SEA
Atiro-ventricular valve
should be seen in apical 4
chamber view ( may not
be seen in basal and
lateral
4 C view) to look for loss
of offset, both valve At
one level like bird wing,
seagull sign.
Right atrial length is 40%
of right ventricular
length, and ratio is 40%,
This ratio is increases and
RA may be equal to right
ventricle length.
Color Doppler depict
central jet of
regurgitation.
LOSS OF OFFSHOOTT
Sea gull sign
Atiro-ventricular valve should be seen in apical 4 chamber view ( may not be seen in basal and lateral
4 C view) to look for loss of offset, both valve At one level like bird wing, seagull sign.
Right atrial length is 40% of right ventricular length, and ratio is 40%, This ratio is increases and RA
may be equal to right ventricle length. Color Doppler depict central jet of regurgitation.
LOSS OF OFFSHOOTT
Sea gull sign
RV
RA
Echocardiography
It is the key tool for the diagnosis and assessment of size of atrial and
ventricular septal defects, size of the ventricles (balanced or unbalanced),
estimation of the pulmonary artery pressures, presence and severity of AV valve
regurgitation and for associated lesions such as left superior vena cava, left or
right ventricular outflow tract obstruction, and heterotaxy syndrome.
Primum Atrial Septal Defects
Echocardiography is the diagnostic modality of choice for delineation of all anatomic
features of AVSDs. The best transducer position to define the number and size of ASDs
is the subcostal view, as the plane of sound is perpendicular to the atrial septum. Both the
subcostal four-chamber and sagittal (bicaval) views are helpful in that regard. Color
Doppler delineates the shunt. The primum ASD in partial AVSD is typically large and easily
visualized in the subcostal, parasternal, and apical four-chamber projections. The TEE
four-chamber view readily demonstrates a primum ASD and the insertion of the tricuspid
and mitral valves onto the crest of the septum.
Transesophageal echocardiography may be rarely required in older patients with
suboptimal transthoracic windows.
Mitral valve abnormality
The cleft of the anterior mitral leaflet is best appreciated from subcostal and parasternal short-axis views .
The cleft changes the appearance of the mitral valve from the usual “fish-mouth” to a triangular
configuration. In patients with AVSD, the mitral valve cleft is directed toward the ventricular septum; in
contrast, in patients with “isolated cleft of the mitral valve,” it is directed toward the LVOT. The cleft causes
mitral regurgitation due to improper leaflet coaptation in that area. This regurgitation is usually progressive
as the patient ages. The cleft is closed at the time of repair.
Several other abnormalities may occur in the mitral valve or the left component of the common AV valve. Left
AV valve abnormalities occur much more commonly in partial than in complete AVSD. A tongue of tissue may
divide the mitral valve into two orifices, creating what is known as a “double-orifice” mitral valve. This has
been described in approximately 3% to 5% of AVSDs. The effective combined area of the two orifices is
always smaller than the total area of the undivided orifice. Therefore, a double-orifice mitral valve is
generally associated with stenosis. The leaflets are thickened and exhibit limited diastolic excursion.
Parachute deformity of the mitral valve has also been described in AVSDs. As the name
suggests, mitral chordae attach to only one papillary muscle, creating the appearance of a
parachute. The single dominant papillary muscle may restrict the left-sided orifice, causing
functional stenosis. The parasternal short-axis view is best to assess the number of
papillary muscles and it determines the presence of a two-orifice mitral valve. The mitral
inflow gradient typically is evaluated by spectral Doppler from the apical four-chamber
projection. However, in the setting of a large ASD, this measurement underestimates the
severity of the stenosis because the ASD “decompresses” the left atrium.
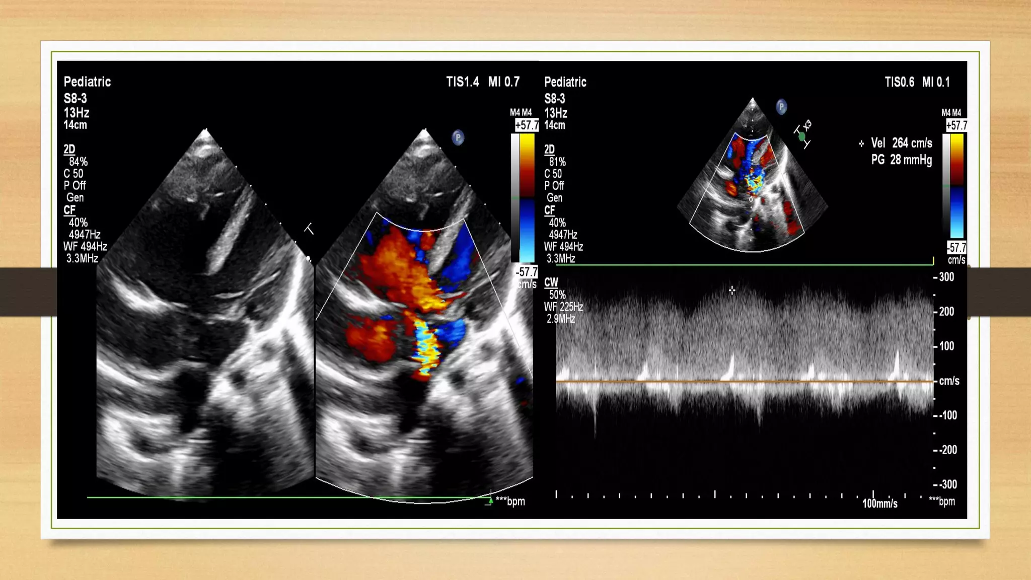
Left Ventricular Outflow Tract
Obstruction
In AVSD, the LVOT is elongate and narrow. LVOT obstruction may be present
preoperatively but more commonly develops postoperatively. LVOT obstruction is more
common in partial AVSD than in complete AVSD. An explanation for this may be the
fixation of the mitral valve leaflets to the crest of the ventricular septum. Other factors
that contribute to LVOT obstruction are accessory chordal attachments to the septum and
anterior displacement of the papillary muscles.
THE CONCEPT OF BALANCE
Both partial and complete AVSD can be either “balanced” or “unbalanced” based on how the AV
junction is shared by the ventricles. If the AV inlet is equally shared by the two ventricular
chambers, then this is consistent with a balanced AVSD. In an unbalanced AVSD, one ventricle is
hypoplastic compared with the other. The larger ventricle is termed the “dominant” ventricle. For
example, unbalanced AVSD with right ventricular (RV) dominance has a hypoplastic left ventricle
with more than half of the AV junction committed to the right ventricle. RV dominance is
associated with coarctation of the aorta and other arch anomalies. In contrast, unbalanced AVSD
with LV dominance has a hypoplastic right ventricle and is associated with pulmonary stenosis or
atresia. Unbalanced AVSD occurs in 10% to 15% of all AVSDs and two-thirds are RV dominant
AV valve index
AV valve index (AVVI) as a left/right valve area ratio. The AVVI may be used as the basis for an
algorithm to stratify patients into a single-ventricle or biventricular pathway.
Those with AVVI less than 0.67 who have a large VSD would be considered for a single-ventricle
path.
The subcostal sagittal view is the most helpful for the determination of the Rastelli
classification of AVSD.
The apical four-chamber scanning plane is posterior to the anterior bridging leaflet and does not
adequately evaluate its attachments. The posterior bridging leaflet can be seen and typically
appears “attached” to the septum in all forms of AVSD.
AVSD
Complete
Partial
Transitional
Intermediate
AVSD
Rastelli A
Rastelli B
Rastelli C
Mural Leaflet
Absent
Deficient
Adequate
Pappilary muscle
Single
Two – closely spaced
Two separate
Straddling
Left orifice
Single
Double
Primary vs secondary orifice
Mural Leaflet
Absent
Deficient
Adequate
Cleft
Competent
Leaking :
medial or lateral
right , left , both
LV –RA shunt
VSD size
Small
Large
AVSD
Balanced
unbalanced
Associated lesions
tetralogy of Fallot
(so called “Tet canal”)
LVOT obstruction
Balanced Complete A V S D
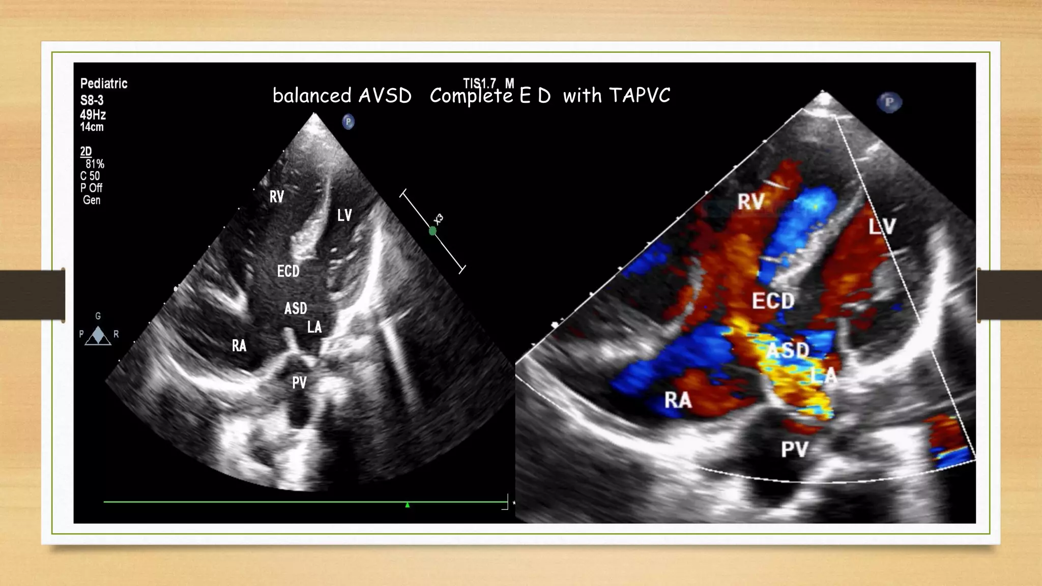
balanced AVSD Complete E D with TAPVC
Unbalanced AVSD Complete E D
Cardiac catheterization
It is required in patients with pulmonary hypertension and suspected pulmonary vascular
disease. Cardiac catheterization is performed for interventional purpose - device closure
Fetus with AVSD
Fetal ECHO - 4 CV revealed Atiro-ventricular valve should be seen in apical 4 chamber view
( may not be seen in basal and lateral 4 C view) to look for loss of offset, both valve At one level
like bird wing, seagull sign.
Right atrial length is 40% of right ventricular length, and ratio is 40%,
This ratio is increases and RA may be equal to right ventricle length.
Color Doppler depict single channel of blood entering ventricle with central jet of regurgitation
During ventricular systole.
What fetal echo will show ?
Fetus with AVSD
AVSD
Complete Partial AVSD Balanced Unbalanced
What is the spectrum of disease ?
2nd Step : Try and find out associated cardiac anomaly -
TOF
DORV
Right Aortic Arch
Other cono-truncal anomalies
Pul. atresia
Anomalies of pul. And systemic vein - left and right isomerism
Coarctation of aorta
What are the associated anomalies ?
Associated Cardiac &/or extra-cardiac anomalies
Associated extra-cardiac anomalies
2nd Step : Try to find out associated Extra cardiac defects
Balance AVSD with extra cardiac anomalies
40-45% 21 trisomy, 40 have complete AVSD
Unbalance AVSD - associated with Heterotaxy - chromosomal abnormality unlikely.
AVSD
isolated Complex AVSD
Does Fetus with AVSD need Genetic testing ?
AVSD is associated with Genetic disorders -
21 trisomy in 40-45%%
need CVS or Amniocentesis
For Karyo typing and / or FISH
Or
CGH array -
AVSD
Isolated/Balance Complex/Unbalanced
SITE OF DELIVERY : Normal hospital With NICU Tertiary care Hospital
TIMING OF DILERY : At Term At Term
MODE OF DELIVERY : Normal Normal
PLANNING OF Surgery
POSTNATAL CARE:
How to counsel couple regarding pregnancy management ?
Fetus with antenatal diagnosis of AVSD
What is the prognosis, does need regular follow up
AVSD
Balanced AVSD Un balanced AVSD
Excellent prognosis
Low operative mortality
Complete -
Uncontrol CHF – surgery – 2weeks,
Control CHF - surgery at 3 months of age
Surgery – closing VS, ASD and reconstruction
of AV valve
Unbalanced AVSD – Palliative surgery –
univentricular heart
Medical treatment
Prior to surgery, congestive heart failure associated with ASVD may be managed by reducing fluid
volume with diuretic drugs and vasodilators, if necessary, the dietary restriction of fluids and
salt.
The drug digoxin may also be administered to decrease the heart rate and increase the strength
of the heart's contractions.
Oxygen therapy and adequate nutrition may also prove beneficial.
Because children with ASVD are susceptible to bacterial infection of the membranes that
surround the heart (endocarditis), any respiratory infection should be treated vigorously and
early. Affected individuals should also be given antibiotics before invasive dental procedures (e.g.,
root canal or extractions) or other surgical procedures to help prevent potentially life-
threatening infections.
Ideal age of surgery
i. Complete AVSD:
a. Uncontrolled heart failure: Complete surgical repair as soon as possible (Class I)
b. Controlled heart failure: Complete surgical repair by 3 months of age (Class I)
c. Pulmonary artery banding: May be considered in select patients under 3 months of age
(Class IIb).
ii. Partial or intermediate AVSD, stable, and with normal pulmonary artery pressures: Surgical
repair at 2–3 years of age (Class I)
iii. Associated moderate or severe AV valve regurgitation may necessitate early surgery in
partial or intermediate forms.
iv. Pulmonary artery banding is reserved for complex cases and in patients with
contraindications for cardiopulmonary bypass (Class IIb).
v. Surgery for moderate-to-severe left AV valve regurgitation is recommended as per the
guidelines for mitral regurgitation –
i. Symptomatic patients with moderate-to-severe MR with left ventricular ejection fraction
>30% (Class I).
ii. Symptomatic patients with moderate-to-severe MR with left ventricular ejection fraction
<30% (Class IIb).
iii. Asymptomatic patients with severe MR: Surgery indicated if any of the following present
(Class IIa):
a. Left ventricular ejection fraction <60%
b. Left ventricular end-systolic dimension Z score >3 for mitral valve replacement and >2.5 if
likelihood of mitral valve repair is >95%
c. Pulmonary artery systolic pressure >50 mmHg.
iv. Asymptomatic patients with moderate or severe MR undergoing cardiac surgery for another
indication (Class IIa).
vi. Surgery for left ventricular outflow tract obstruction is reasonable with a peak systolic
gradient of ≥50 mmHg, or at a lesser gradient if heart failure symptoms are present, or if
concomitant moderate-to-severe atrioventricular or aortic regurgitation is present (Class
IIa).
vii. Those presenting beyond 6 months of life with significant pulmonary hypertension and
suspected elevated PVR should be referred to a higher center for further evaluation to
assess operability.
All patients with AVSD must be advised to maintain good oro-dental hygiene.
Cohen Formula
Diagnosis is based on a long axis left ventricular / right ventricular ratio (LAR).
0.4-0.6 : balanced 2 ventricle repair
<0.4 : RV dominance
>0.6 : LV dominance
<0.19 extreme imbalance – single ventricle repair
Surgical procedure
The classic single-patch technique consists of dividing the AV valve into right and left
components, placement of a single patch across the ASD and VSD, and then reattaching the
two “halves” of the AV valve to the mid-portion of the patch. As the name implies, a double-
patch technique uses two patches: a pericardial patch for closure of the ASD and a synthetic
patch to close the VSD. The modified single patch or “Australian technique” is a third
pathway for repair. It involves “tucking” the bridging leaflets onto the crest of the
ventricular septum while leaving the leaflets intact rather than dividing them. One then
attaches the two “halves” of the AV valve onto the septum.
Postoperative echocardiography is used to assess AV valve regurgitation or stenosis, residual
atrial or ventricular septal defects, LVOT obstruction, pulmonary hypertension, and
ventricular dysfunction
Contraindication for surgery
Repair AVSD with severe pulmonary arterial hypertension and irreversible pulmonary vascular
occlusive disease (Class III).
Patients with borderline operability due to pulmonary vascular disease should be referred to a
higher center for further evaluation. The decision to operate or not should be made on an
individual basis taking into account the total picture of the case including results of the
investigations.
Important determinants of long-term prognosis
These include left AV valve stenosis/regurgitation (5%–10%)
Subaortic stenosis (5%)
Atrial arrhythmias
Late-onset CHB and
issues related to Down syndrome (if present).
• Left atrioventricular valve regurgitation ( 5 – 10% )
• Left ventricular outflow tract obstruction – subaortic - 5%
• Late onset complete heart block
• Pulmonary vascular disease
• Atrial or ventricular dysrhythmias
• Left atrioventricular valve stenosis
• Right atrioventricular valve stenosis/regurgitation
• Residual ventricular septal defect
• Aortic incompetence
Important determinants of long-term prognosis
Recommendations for follow-up
i. Lifelong follow-up is required.
ii. In patients with no significant residual abnormality, annual follow-up is required till 10 years
of age followed by 2–3-yearly follow-up.
The patient should undergo physical examination, ECG, and echocardiography at each visit, and
a Holter monitor test may be required in select cases.
iii. IE prophylaxis is recommended for 6 months after surgical closure.
However, all patients are advised to maintain good oro-dental hygiene after this period also.

A v canal defect may 2021

  • 1.
    DR J PSONI Professor and Head of the Department Paediatrics Division of Pediatric Cardiology DR S N Medical College Jodhpur Doc_jpsoni@yahoo.com
  • 2.
    AV septal defects(AVSDs) account for 4%–5% of all congenital heart defects with estimated incidence of 0.19/1000 live births. Down syndrome is present in 50% of patients with AVSD. Conversely, about 40%–45% of children with Down syndrome have CHD, and AVSD accounts for almost half of these, mostly in its complete form. Patients with Down syndrome tend to develop early and more severe form of pulmonary vascular disease with irreversible changes appearing as early as 6 months of age.
  • 3.
    Types of atrioventricularseptal defects a. Balanced : i. Complete AVSD: Large septal defect with an atrial component (ostium primum defect) and a ventricular component (inlet septal defect), common AV valve ring, and common AV valve. There may be incompetence of the right- and left-sided parts of the common AV valve. Complete form of AVSD is generally associated with large left-to-right shunt, pulmonary artery hypertension, and congestive heart failure. Associated with Down syn, heterotaxy and Ellis van creveld syn. Anterior displacement of LVOT causes Goose neck deformity- elongated lvot ii. Intermediate AVSD: Two separate AV valves with primum ASD and large inlet VSD.
  • 4.
    Types of atrioventricularseptal defects iii. Transitional AVSD: Two separate AV valves with primum ASD and small ( restrictive) inlet VSD. iv. Partial AVSD: These patients have separate annuli of right and left AV valve. There is a primum ASD. Cleft of the anterior leaflet of AV valve is common with variable degrees of regurgitation. Associated defects are PS< TS, TA, DSVC, CoA, HLHS, HRHS, Co tri atrium, PDA, b. Unbalanced AVSD: One of the ventricular chambers is hypoplastic. This form is usually associated with complex congenital defects such as heterotaxy syndrome (isomerism). 2/3 RV dominant, LV hypoplastic, HLHS, CoA 1/3 LV dominant, RV hypoplastic, Down syndrome
  • 6.
    A - anteriorleaflet; ABL - anterior bridging leaflet; I, inferior leaflet; L- left mural leaflet; P- posterior leaflet; PBL - posterior bridging leaflet; R- right mural leaflet; S - septal leaflet R R R R
  • 7.
    Rastelli type Superiorbridging leaflet & chordal attachment A Divided & attached to crest of ventricular septum B Partially divided into two but not attached to crest of septum. Chordae from superior leaflet attached to pappilary muscle in RV on septal surface C Un-divide and unattached to ventricular septum( free floating). Attachment to papillary muscle on RV free wall
  • 8.
    Rastelli Subtype % Position of superior Bridging leaflet A70-90 Minimal bridging of IV septum Isolated Down syn B rare Intermediate bridging C 10-30 Extreme bridging TOF-down DORV, TGA, Heterotaxy Rastelli classification
  • 9.
    Annuli AV valveorifice VSD Partial 2 2 nil transitional 2 2 Small Intermediate 1 1 large Complete 1 1 Large
  • 10.
    Anatomic features ofall atrioventricular septal defects AV valves insert at same level at the cardiac crux Absence of the septum Unwedged and anterior displacement of the aortic valve Elongated LVOT Counter clockwise rotation of LV papillary muscles Cleft of left AV valve component, directed toward the ventricular septum
  • 11.
    Level of AtrioventricularValve Insertion : In normal hearts, the tricuspid valve inserts onto the ventricular septum more apically than the mitral valve. With this “offset” in the level of insertion, a portion of septum, called the AV septum, separates the right atrium (RA) and the left ventricle. In AVSDs, both right and left AV valve components insert at the same level, and this is best appreciated from an apical four-chamber view. Apical four-chamber imaging demonstrates the crux of the heart, which has been referred to as the most reliable and consistent intracardiac landmark. Unwedging of the Aortic Valve : In normal hearts, the aortic valve is “wedged” between the mitral and tricuspid valves. In AVSDs, the aortic valve is “sprung” and displaced anteriorly. This contributes to elongation of the LVOT. This is best appreciated from the parasternal long-axis and subcostal outflow views.
  • 12.
    Elongation of theLeft Ventricular Outflow Tract In normal hearts, the distance from the left ventricular (LV) apex to the aortic annulus is equal to the distance from the LV apex to the mitral annulus. The inlet and outlet portions of the left ventricle are approximately equal in length. In contrast, the deficiency of the AV septum and apical displacement of the left AV valve insertion in AVSDs lends a scooped-out appearance to the ventricular septum and results in a shorter inlet portion. In addition, the anterior displacement of the unwedged aortic valve leads to an elongated and narrowed LVOT. The narrow, long LVOT has been classically described as having a “goose neck” appearance. This can be identified on angiographic and echocardiographic long-axis views of the left ventricle. This anatomic feature is clinically important since it provides the substrate for development of LVOT obstruction, especially when present with other findings such as aberrant left AV valve chordal insertions or displacement of a papillary muscle anteriorly into the LVOT.
  • 13.
    Cleft of theLeft Atrioventricular Valve In partial AVSDs, the anterior mitral leaflet inserts onto the crest of the ventricular septum. A cleft is invariably present in the anterior mitral leaflet and it is directed toward the mid-portion of the ventricular septum. In complete AVSDs, the common AV valve consists of five leaflets, and the two that span across the ventricular septum are known as the anterior and posterior bridging leaflets. Conceptually, the anterior bridging leaflet corresponds to the superior half of the anterior mitral leaflet, and the posterior bridging leaflet represents fusion of the septal tricuspid leaflet and the inferior portion of the anterior mitral leaflet. No tongue of tissue separates the AV valve into right and left components, and the space between the anterior and posterior bridging leaflets is analogous to the cleft in the anterior mitral leaflet in partial AVSDs. Counter-clockwise Rotation of the Left Ventricular Papillary Muscles In all forms of AVSD, the LV papillary muscles are rotated counter-clockwise compared with normal. In the parasternal short-axis projection, normal mitral papillary muscles are located at the “4 o’clock” and “8 o’clock” positions. In AVSD, LV papillary muscles are rotated toward the “3 o’clock” and “7 o’clock” positions. This causes the anterior mitral leaflet (or anterior bridging leaflet) to be more anteriorly located and contributes to narrowing of the LVOT.
  • 15.
    Diagnostic workup Clinical - cyanosismild or absent - Poor feeding, Difficulty in feeding- suck and rest cycle, suggestive of congestive cardiac failure - - Not gaining weight - Infants with the complete form of atrioventricular septal defect usually develop a limited ability to circulate blood to the lungs and the rest of the body resulting in fluid build up in the heart, lung and various body tissues (congestive heart failure). Pulmonary congestion may lead to difficulty breathing (dyspnoea) and fatigue. Infants with complete atrioventricular septal defect often have a bluish discoloration of the skin and mucous membranes (cyanosis) due to insufficient oxygen supply to these tissues. Signs- - right ventricular impulse - Increased pulmonic component second heart sound - variable ejection systolic murmur, apical mid‐diastolic murmur (in large left to right shunt), - Pansystolic murmur (with atrioventricular valve regurgitation)
  • 16.
    X-ray chest: Cardiomegaly maybe present due to dilation of the right or left heart chambers depending on the severity and direction of AV valve regurgitation and the severity and level of left-to-right shunting. Large left-to-right shunts lead to increased pulmonary vascular markings and prominent pulmonary artery conus.
  • 17.
    ECG superior p waveaxis (in associated left atrial isomerism) PR interval prolongation is present in 50% of cases; occasionally, complete AV block develops. Other findings include moderate-to-extreme left-axis deviation -30 to -120, q waves in leads I and aVL (counterclockwise depolarization), and left atrial and ventricular hypertrophy if significant AV valve regurgitation is present. partial right bundle branch block. Right ventricular hypertrophy suggests the presence of pulmonary artery hypertension or right ventricular outflow tract obstruction
  • 18.
    E C GComplete AV block
  • 19.
    Fetal echocardiography Atiro-ventricular valveshould be seen in apical 4 chamber view ( may not be seen in basal and lateral 4 C view) to look for loss of offset, both valve At one level like bird wing, seagull sign. Right atrial length is 40% of right ventricular length, and ratio is 40%, This ratio is increases and RA may be equal to right ventricle length. Color Doppler depict central jet of regurgitation.
  • 20.
  • 21.
    Atiro-ventricular valve should beseen in apical 4 chamber view ( may not be seen in basal and lateral 4 C view) to look for loss of offset, both valve At one level like bird wing, seagull sign. Right atrial length is 40% of right ventricular length, and ratio is 40%, This ratio is increases and RA may be equal to right ventricle length. Color Doppler depict central jet of regurgitation. LOSS OF OFFSHOOTT Sea gull sign
  • 22.
    Atiro-ventricular valve shouldbe seen in apical 4 chamber view ( may not be seen in basal and lateral 4 C view) to look for loss of offset, both valve At one level like bird wing, seagull sign. Right atrial length is 40% of right ventricular length, and ratio is 40%, This ratio is increases and RA may be equal to right ventricle length. Color Doppler depict central jet of regurgitation. LOSS OF OFFSHOOTT Sea gull sign RV RA
  • 23.
    Echocardiography It is thekey tool for the diagnosis and assessment of size of atrial and ventricular septal defects, size of the ventricles (balanced or unbalanced), estimation of the pulmonary artery pressures, presence and severity of AV valve regurgitation and for associated lesions such as left superior vena cava, left or right ventricular outflow tract obstruction, and heterotaxy syndrome. Primum Atrial Septal Defects Echocardiography is the diagnostic modality of choice for delineation of all anatomic features of AVSDs. The best transducer position to define the number and size of ASDs is the subcostal view, as the plane of sound is perpendicular to the atrial septum. Both the subcostal four-chamber and sagittal (bicaval) views are helpful in that regard. Color Doppler delineates the shunt. The primum ASD in partial AVSD is typically large and easily visualized in the subcostal, parasternal, and apical four-chamber projections. The TEE four-chamber view readily demonstrates a primum ASD and the insertion of the tricuspid and mitral valves onto the crest of the septum. Transesophageal echocardiography may be rarely required in older patients with suboptimal transthoracic windows.
  • 24.
    Mitral valve abnormality Thecleft of the anterior mitral leaflet is best appreciated from subcostal and parasternal short-axis views . The cleft changes the appearance of the mitral valve from the usual “fish-mouth” to a triangular configuration. In patients with AVSD, the mitral valve cleft is directed toward the ventricular septum; in contrast, in patients with “isolated cleft of the mitral valve,” it is directed toward the LVOT. The cleft causes mitral regurgitation due to improper leaflet coaptation in that area. This regurgitation is usually progressive as the patient ages. The cleft is closed at the time of repair. Several other abnormalities may occur in the mitral valve or the left component of the common AV valve. Left AV valve abnormalities occur much more commonly in partial than in complete AVSD. A tongue of tissue may divide the mitral valve into two orifices, creating what is known as a “double-orifice” mitral valve. This has been described in approximately 3% to 5% of AVSDs. The effective combined area of the two orifices is always smaller than the total area of the undivided orifice. Therefore, a double-orifice mitral valve is generally associated with stenosis. The leaflets are thickened and exhibit limited diastolic excursion.
  • 25.
    Parachute deformity ofthe mitral valve has also been described in AVSDs. As the name suggests, mitral chordae attach to only one papillary muscle, creating the appearance of a parachute. The single dominant papillary muscle may restrict the left-sided orifice, causing functional stenosis. The parasternal short-axis view is best to assess the number of papillary muscles and it determines the presence of a two-orifice mitral valve. The mitral inflow gradient typically is evaluated by spectral Doppler from the apical four-chamber projection. However, in the setting of a large ASD, this measurement underestimates the severity of the stenosis because the ASD “decompresses” the left atrium.
  • 26.
    Left Ventricular OutflowTract Obstruction In AVSD, the LVOT is elongate and narrow. LVOT obstruction may be present preoperatively but more commonly develops postoperatively. LVOT obstruction is more common in partial AVSD than in complete AVSD. An explanation for this may be the fixation of the mitral valve leaflets to the crest of the ventricular septum. Other factors that contribute to LVOT obstruction are accessory chordal attachments to the septum and anterior displacement of the papillary muscles.
  • 27.
    THE CONCEPT OFBALANCE Both partial and complete AVSD can be either “balanced” or “unbalanced” based on how the AV junction is shared by the ventricles. If the AV inlet is equally shared by the two ventricular chambers, then this is consistent with a balanced AVSD. In an unbalanced AVSD, one ventricle is hypoplastic compared with the other. The larger ventricle is termed the “dominant” ventricle. For example, unbalanced AVSD with right ventricular (RV) dominance has a hypoplastic left ventricle with more than half of the AV junction committed to the right ventricle. RV dominance is associated with coarctation of the aorta and other arch anomalies. In contrast, unbalanced AVSD with LV dominance has a hypoplastic right ventricle and is associated with pulmonary stenosis or atresia. Unbalanced AVSD occurs in 10% to 15% of all AVSDs and two-thirds are RV dominant
  • 28.
    AV valve index AVvalve index (AVVI) as a left/right valve area ratio. The AVVI may be used as the basis for an algorithm to stratify patients into a single-ventricle or biventricular pathway. Those with AVVI less than 0.67 who have a large VSD would be considered for a single-ventricle path. The subcostal sagittal view is the most helpful for the determination of the Rastelli classification of AVSD. The apical four-chamber scanning plane is posterior to the anterior bridging leaflet and does not adequately evaluate its attachments. The posterior bridging leaflet can be seen and typically appears “attached” to the septum in all forms of AVSD.
  • 29.
    AVSD Complete Partial Transitional Intermediate AVSD Rastelli A Rastelli B RastelliC Mural Leaflet Absent Deficient Adequate Pappilary muscle Single Two – closely spaced Two separate Straddling Left orifice Single Double Primary vs secondary orifice Mural Leaflet Absent Deficient Adequate Cleft Competent Leaking : medial or lateral right , left , both LV –RA shunt VSD size Small Large AVSD Balanced unbalanced Associated lesions tetralogy of Fallot (so called “Tet canal”) LVOT obstruction
  • 31.
  • 34.
    balanced AVSD CompleteE D with TAPVC
  • 36.
  • 39.
    Cardiac catheterization It isrequired in patients with pulmonary hypertension and suspected pulmonary vascular disease. Cardiac catheterization is performed for interventional purpose - device closure
  • 40.
    Fetus with AVSD FetalECHO - 4 CV revealed Atiro-ventricular valve should be seen in apical 4 chamber view ( may not be seen in basal and lateral 4 C view) to look for loss of offset, both valve At one level like bird wing, seagull sign. Right atrial length is 40% of right ventricular length, and ratio is 40%, This ratio is increases and RA may be equal to right ventricle length. Color Doppler depict single channel of blood entering ventricle with central jet of regurgitation During ventricular systole. What fetal echo will show ?
  • 41.
    Fetus with AVSD AVSD CompletePartial AVSD Balanced Unbalanced What is the spectrum of disease ?
  • 42.
    2nd Step :Try and find out associated cardiac anomaly - TOF DORV Right Aortic Arch Other cono-truncal anomalies Pul. atresia Anomalies of pul. And systemic vein - left and right isomerism Coarctation of aorta What are the associated anomalies ? Associated Cardiac &/or extra-cardiac anomalies
  • 43.
    Associated extra-cardiac anomalies 2ndStep : Try to find out associated Extra cardiac defects Balance AVSD with extra cardiac anomalies 40-45% 21 trisomy, 40 have complete AVSD Unbalance AVSD - associated with Heterotaxy - chromosomal abnormality unlikely.
  • 44.
    AVSD isolated Complex AVSD DoesFetus with AVSD need Genetic testing ? AVSD is associated with Genetic disorders - 21 trisomy in 40-45%% need CVS or Amniocentesis For Karyo typing and / or FISH Or CGH array -
  • 45.
    AVSD Isolated/Balance Complex/Unbalanced SITE OFDELIVERY : Normal hospital With NICU Tertiary care Hospital TIMING OF DILERY : At Term At Term MODE OF DELIVERY : Normal Normal PLANNING OF Surgery POSTNATAL CARE: How to counsel couple regarding pregnancy management ?
  • 46.
    Fetus with antenataldiagnosis of AVSD What is the prognosis, does need regular follow up AVSD Balanced AVSD Un balanced AVSD Excellent prognosis Low operative mortality Complete - Uncontrol CHF – surgery – 2weeks, Control CHF - surgery at 3 months of age Surgery – closing VS, ASD and reconstruction of AV valve Unbalanced AVSD – Palliative surgery – univentricular heart
  • 47.
    Medical treatment Prior tosurgery, congestive heart failure associated with ASVD may be managed by reducing fluid volume with diuretic drugs and vasodilators, if necessary, the dietary restriction of fluids and salt. The drug digoxin may also be administered to decrease the heart rate and increase the strength of the heart's contractions. Oxygen therapy and adequate nutrition may also prove beneficial. Because children with ASVD are susceptible to bacterial infection of the membranes that surround the heart (endocarditis), any respiratory infection should be treated vigorously and early. Affected individuals should also be given antibiotics before invasive dental procedures (e.g., root canal or extractions) or other surgical procedures to help prevent potentially life- threatening infections.
  • 48.
    Ideal age ofsurgery i. Complete AVSD: a. Uncontrolled heart failure: Complete surgical repair as soon as possible (Class I) b. Controlled heart failure: Complete surgical repair by 3 months of age (Class I) c. Pulmonary artery banding: May be considered in select patients under 3 months of age (Class IIb). ii. Partial or intermediate AVSD, stable, and with normal pulmonary artery pressures: Surgical repair at 2–3 years of age (Class I) iii. Associated moderate or severe AV valve regurgitation may necessitate early surgery in partial or intermediate forms. iv. Pulmonary artery banding is reserved for complex cases and in patients with contraindications for cardiopulmonary bypass (Class IIb).
  • 49.
    v. Surgery formoderate-to-severe left AV valve regurgitation is recommended as per the guidelines for mitral regurgitation – i. Symptomatic patients with moderate-to-severe MR with left ventricular ejection fraction >30% (Class I). ii. Symptomatic patients with moderate-to-severe MR with left ventricular ejection fraction <30% (Class IIb). iii. Asymptomatic patients with severe MR: Surgery indicated if any of the following present (Class IIa): a. Left ventricular ejection fraction <60% b. Left ventricular end-systolic dimension Z score >3 for mitral valve replacement and >2.5 if likelihood of mitral valve repair is >95% c. Pulmonary artery systolic pressure >50 mmHg. iv. Asymptomatic patients with moderate or severe MR undergoing cardiac surgery for another indication (Class IIa).
  • 50.
    vi. Surgery forleft ventricular outflow tract obstruction is reasonable with a peak systolic gradient of ≥50 mmHg, or at a lesser gradient if heart failure symptoms are present, or if concomitant moderate-to-severe atrioventricular or aortic regurgitation is present (Class IIa). vii. Those presenting beyond 6 months of life with significant pulmonary hypertension and suspected elevated PVR should be referred to a higher center for further evaluation to assess operability. All patients with AVSD must be advised to maintain good oro-dental hygiene.
  • 51.
    Cohen Formula Diagnosis isbased on a long axis left ventricular / right ventricular ratio (LAR). 0.4-0.6 : balanced 2 ventricle repair <0.4 : RV dominance >0.6 : LV dominance <0.19 extreme imbalance – single ventricle repair
  • 52.
    Surgical procedure The classicsingle-patch technique consists of dividing the AV valve into right and left components, placement of a single patch across the ASD and VSD, and then reattaching the two “halves” of the AV valve to the mid-portion of the patch. As the name implies, a double- patch technique uses two patches: a pericardial patch for closure of the ASD and a synthetic patch to close the VSD. The modified single patch or “Australian technique” is a third pathway for repair. It involves “tucking” the bridging leaflets onto the crest of the ventricular septum while leaving the leaflets intact rather than dividing them. One then attaches the two “halves” of the AV valve onto the septum. Postoperative echocardiography is used to assess AV valve regurgitation or stenosis, residual atrial or ventricular septal defects, LVOT obstruction, pulmonary hypertension, and ventricular dysfunction
  • 53.
    Contraindication for surgery RepairAVSD with severe pulmonary arterial hypertension and irreversible pulmonary vascular occlusive disease (Class III). Patients with borderline operability due to pulmonary vascular disease should be referred to a higher center for further evaluation. The decision to operate or not should be made on an individual basis taking into account the total picture of the case including results of the investigations. Important determinants of long-term prognosis These include left AV valve stenosis/regurgitation (5%–10%) Subaortic stenosis (5%) Atrial arrhythmias Late-onset CHB and issues related to Down syndrome (if present).
  • 54.
    • Left atrioventricularvalve regurgitation ( 5 – 10% ) • Left ventricular outflow tract obstruction – subaortic - 5% • Late onset complete heart block • Pulmonary vascular disease • Atrial or ventricular dysrhythmias • Left atrioventricular valve stenosis • Right atrioventricular valve stenosis/regurgitation • Residual ventricular septal defect • Aortic incompetence Important determinants of long-term prognosis
  • 55.
    Recommendations for follow-up i.Lifelong follow-up is required. ii. In patients with no significant residual abnormality, annual follow-up is required till 10 years of age followed by 2–3-yearly follow-up. The patient should undergo physical examination, ECG, and echocardiography at each visit, and a Holter monitor test may be required in select cases. iii. IE prophylaxis is recommended for 6 months after surgical closure. However, all patients are advised to maintain good oro-dental hygiene after this period also.