ECHOCARDIOGRAPHY IN MITRAL
STENOSIS
MITRAL VALVE/STENOSIS
Normal MV orifice area - 4 to 6 cm2
Symptoms do not usually occur until orifice area
less than 1.5cm2
Pathology
Rheumatic
• Commissural fusion
• Leaflet thickening
• Chordal shortening and fusion
• Superimposed calcification
• Annular calcification
Degenerative MS
• Rarely leaflet thickening and calcification at base
PATHOLOGY(UNCOMMON)
Congenital MS
• Subvalvular apparatus abnormalities
Inflammatory-SLE
Infiltrative
Carcinoid heart disease
Drug induced valve disease
• Leaflet thickening and restriction
• Rarely commissural fusion
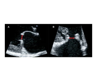
2D ECHO/PLAX/RHEUMATIC
• Valve domes in diastole
due to commissural fusion
• Leaflet thickening
beginning at the edges of
the leaflets
• Produces significant
narrowing of orifice
2D ECHO/PLAX/RHEUMATIC
• Fibrosis, thickening
and shortening of
chordae common
• Calcification may also
progressively involve
chordae
2DECHO/PSAX
2D ECHO APICAL 4CH
2D ECHO APICAL 2CH
COLOR DOPPLER/FOR MR
OTHER 2D FEATURES
• Dilated LA(20-60ml
normal)
• LA and LA appendage
thrombus
• Paradoxical septal
motion
• Dilated RV and RA
ASSESSMENT OF MS SEVERITY
M mode
2D ECHO
• MVA BY PLANIMETRY
DOPPLER
• PRESSURE GRADIENTS
• MVA BY PHT
• CONTINUITY EQUATION
• PISA
• MITRAL VALVE RESISTANCE
• Mitral Stenosis M-mode
1. Anterior motion of posterior leaflet in diastole
2. Decreased rate of diastolic closing of AML (decrease
E-F slope)
3. Loss of A wave
4. Maintenance of fixed relation of two leaflets
throughout diastole
5. Thickening and Calcification of mitral valve
6. Enlargement of left atrium
Mitral Stenosis
• Mitral stenosis M-mode
Mitral Stenosis
– Anterior motion of posterior leaflet in diastole
1. Diagnostic
2. Absent in 18% (body of posterior valve is pliable and doming)
– Decrease E-F slope
1. E-F slope is affected by mitral orifice size, severity of fibrosis,
calcification of leaflet , compliance of LV , rate and volume of filling
through MV, heart rate , diastolic motion of mitral annulus
2. not diagnostic
3. doesn’t correlate severity of stenosis
– Absence of “a” wave
1. With or with out AF
2. With out AF =correlates with severity of MS (<1.2)
Mitral Stenosis
Mitral stenosis M-mode
M MODE
NORMAL MITRAL STENOSIS
M MODE ECHO
• Decreased E-F Slope
• >80 mm/s MVA=4-6cm²
<15mm/s⇒ MVA <1.3cm²
• Thickened Mitral Leaflets
• Anterior Motion or
Immobility of Posterior
Mitral Leaflet-tethering at
tips
• Diastolic Posterior Motion of
Ventricular Septum (severity
of stenosis)
PLANIMETRYPLANIMETRY
• Best correlation with
anatomical area
• Scanning method to
avoid overestimation
• measured at leaflet tips
in a plane perpendicular
to mitral orifice
• Elliptical in shape
• Direct measure of mitral
orifice including opened
commissures in PSAX
METHOD
PLANIMETRY
• Exessive gain setting = underestimate
• Zoom mode
• Harmonic imaging
• Optimal time is mid diastole
• Multiple measurements in AF or incomplete
commissural fusion
• difficult in calcified valve and chest deformity
GRADIENTS
Pressure gradient = 4 v2
GRADIENTS
• Apical window
• CWD at or after tip of
mitral valve
• Maximal and mean
gradient
• Derived from
transmitral velocity
flow curve
• Heart rate to be
mentioned
• CD to identify mitral jet
POINTS
• Maximal gradient influenced by LA compliance
and LV diastolic function
• AF = average of 5 cycles with least variation of
R-R interval and as close possible to normal
HR
• MVG = HR,COP and associated MR
• Tachycardia, increased COP and associated MR
-overestimates gradient
Mitral Valve Area by
Pressure Half-Time (PHT)
Time for pressure to fall to half it’s original peak value
(in msec)
• calculated from deceleration slope
MVA BY PHT
MVA = 220/ pressure half-
time ()
PHT = 0.29 x Deceleration
time
MVA = 750 / Deceleration
time
• 220 is proportional to
the product of net
compliance of left
atrium and LV, and the
square root of
maximum transmitral
gradient
MVA BY PHT
• tracing deceleration
slope of E wave on
Doppler spectral
display
AF avoid short cycles and Average
different cardiac cycles
• deceleration slope is sometimes bimodal, the
decline of mitral flow velocity being more
rapid in early diastole than during the
following part of the E-wave.= deceleration
slope in mid-diastole rather than the early
deceleration slope be traced.
• rare patients with a concave shape of the
tracing- T1/2 measurement may not be
feasible.
Factors that may affect PHT by
influencing LA pressure
More rapid LA pressure decline shorten PHT
LA draining to second chamber –ASD
• LA pressure drop rapidly
• PHT shortened
Stiff LA –low LA compliance
• LA pressure drop rapidly
• PHT shortened
Factors affect PHT by influencing LV
pressure
More rapid LV pressure rise shorten PHT
If LV fills from a second source PHT –AR
• LV pressure rise more rapidly
• PHT will be shortened
If LV is stiff-low ventricular compliance
• LV pressure may rise more rapidly
• PHT will be shortened
PRACTICAL POINTS
• All factors affect PHT (ASD, AR, low LA or LV
compliance ) =Shorten PHT = overestimation
• PHT never under estimate
• if PHT >220 MS is severe
• If PHT is < 220 consider other methods to
assess severity
• Unreliable immediately post BMV, causes
under estimation of MVA.
• When gradient and compliance are subject to
important and abrupt changes.
• Immediately after balloon mitral
commissurotomy =discrepancies between the
decrease in mitral gradient and the increase in
net compliance.
CONTINUITY EQATION
CONTINUITY EQUATION
• MVA X VTI mitral= LVOT area X VTI aortic
• MVA = LVOT area X VTI aortic
VTI mitral
• MVA= p D2 X VTI aortic
4 VTI mitral
• D is diameter of LVOT in cm and VTI in cm
• Method not useful in AF,AR or MR
PISA
• hemispherical shape of
convergence of diastolic
mitral flow on atrial side
of mitral valve and flow
acceleration blood
towards mitral valve
MVA x MV = PISA x AV
MVA = PISA x AV
MV
PISA = 2pr2 x a
180
MVA = 2pr2 x AV x a
MV 180
METHOD
• Zoom on the flow convergence
• Upshift the baseline velocity and use an aliasing
velocity of 20–30 cm/s
• Measure the radius of the flow convergence region
and the transmitral velocity at the same time in early
diastole
• Measure the α angle formed by the mitral leaflets
• fixed angle value of 100° =accurate MVA estimation
in MS.
METHOD
• used in presence of significant MR, AR,
differing heart rhythms
• Not affected by LA,LV compliance
• Multiple measurements required
Mitral leaflet separation (MLS) index
• Distance between the tips of the mitral
leaflets
• semiquantitative
• value of 1.2 cm or more = non severe MS
• <0.8 cm -severe MS.
• not accurate in heavy mitral valvular
calcification and post BMV
Mitral valve resistance
• ratio of mean mitral gradient to transmitral
diastolic flow rate
• dividing SV by diastolic filling period.
• less dependent on flow conditions.
• MVR = Mean MVG____
Trans Mitral D.F.R
PAH
STRESS ECHOCARDIOGRAPHY
• unmask symptoms in MVA<1.5cm2 and no or
doubtful complaints
• Discrepancy between resting doppler and clinical
findings
• Semi-supine echocardiography exercise (30 to 60
secs of leg lifts) is now preferred to post exercise
echocardiography
• Allows monitoring gradient and pulmonary
pressure in each step of increasing workload
• Mean mitral gradient and PASP to be assessed
during exercise
• Mean gradient >15 mmhg with exercise is
considered severe MS
• A PASP > 60 mmHg on exercise has been
proposed as an indication for BMV
• Dobutamine stress echo mean gradient >18
mmhg with Stress is considered severe MS but
is less physiological.
Associated lesions
• Quantitation of LAE
• Associated MR and its mechanism
• Severity AS (underestimated)
• AR- t1/2 method to assess MS is not valid
• TR ,tricuspid annulus
• Secondary pulmonary HTN-TR
3D ECHO
Higher accuracy than 2D echo
Detailed information of commissural
fusion and subvalvular involvement
MVA measurement in calcified and
irregular valve
MVA measurement after BMV
MANAGEMENT OF MS-Mitral
Balloon Valvuloplasty
• May delay or avoid surgery
• 80% patients have long term relief of
symptoms
• 7% restenosis rate at 7 years
• ECHO to determine ‘pliability’,MR
• Wilkins score, cormier’s method
Wilkin’s score -Mitral valve score <8 are
excellent candidates for BMV
Limitations of wilkin’s score
• commissural involvement is not included
• Limited in ability to differentiate nodular
fibrosis from calcification.
• Doesn’t account for uneven distribution of
pathologic abnormalities.
• Frequent underestimation of subvalvular
disease.
Cormier’s method (subvalvular
disease)
Guiding the Procedure and Detecting Acute
Complication
 guide the transeptal puncture.
 Atrial or ventricular perforation with
tamponade
 Acute mitral regurgitation
 Valvular disruption.
Evaluating the short- and long-term results of the
intervention.
 Assessment of valve area
– Planimetry ideal , half time shoudnt be used
 Long term results
– Assessment can be done by all methods with predictors
of restenosis being echo score and valve area following
procedure
GRADING OF SEVERITY OF
MS/SUMMARY
MILD MODERATE SEVERE
SPECIFIC
VALVE AREA(cm2) >1.5 1-1.5 <1
NONSPECIFIC
MEAN GRADIENT
(mmHg)
<5 5-10 >10
PASP (mmHg) <30 30-50 >50
• pressure half time
• Expected normal half time is longer than native valve and
varies with type and size
• bioprosthetic valve, and for mechanical valves -220/t1/2
provides reasonable approximation
• Continuity equation
• Pressure gradient can also be used with gradients varying
with type and size of valve
In Prosthetic Mitral Valve Stenosis
Mitral Stenosis
Echocardiography in mitral stenosis

Echocardiography in mitral stenosis

  • 1.
  • 2.
    MITRAL VALVE/STENOSIS Normal MVorifice area - 4 to 6 cm2 Symptoms do not usually occur until orifice area less than 1.5cm2
  • 3.
    Pathology Rheumatic • Commissural fusion •Leaflet thickening • Chordal shortening and fusion • Superimposed calcification • Annular calcification Degenerative MS • Rarely leaflet thickening and calcification at base
  • 4.
    PATHOLOGY(UNCOMMON) Congenital MS • Subvalvularapparatus abnormalities Inflammatory-SLE Infiltrative Carcinoid heart disease Drug induced valve disease • Leaflet thickening and restriction • Rarely commissural fusion
  • 5.
    2D ECHO/PLAX/RHEUMATIC • Valvedomes in diastole due to commissural fusion • Leaflet thickening beginning at the edges of the leaflets • Produces significant narrowing of orifice
  • 6.
    2D ECHO/PLAX/RHEUMATIC • Fibrosis,thickening and shortening of chordae common • Calcification may also progressively involve chordae
  • 7.
  • 8.
  • 9.
  • 10.
  • 11.
    OTHER 2D FEATURES •Dilated LA(20-60ml normal) • LA and LA appendage thrombus • Paradoxical septal motion • Dilated RV and RA
  • 12.
    ASSESSMENT OF MSSEVERITY M mode 2D ECHO • MVA BY PLANIMETRY DOPPLER • PRESSURE GRADIENTS • MVA BY PHT • CONTINUITY EQUATION • PISA • MITRAL VALVE RESISTANCE
  • 13.
    • Mitral StenosisM-mode 1. Anterior motion of posterior leaflet in diastole 2. Decreased rate of diastolic closing of AML (decrease E-F slope) 3. Loss of A wave 4. Maintenance of fixed relation of two leaflets throughout diastole 5. Thickening and Calcification of mitral valve 6. Enlargement of left atrium Mitral Stenosis
  • 14.
    • Mitral stenosisM-mode Mitral Stenosis
  • 15.
    – Anterior motionof posterior leaflet in diastole 1. Diagnostic 2. Absent in 18% (body of posterior valve is pliable and doming) – Decrease E-F slope 1. E-F slope is affected by mitral orifice size, severity of fibrosis, calcification of leaflet , compliance of LV , rate and volume of filling through MV, heart rate , diastolic motion of mitral annulus 2. not diagnostic 3. doesn’t correlate severity of stenosis – Absence of “a” wave 1. With or with out AF 2. With out AF =correlates with severity of MS (<1.2) Mitral Stenosis Mitral stenosis M-mode
  • 16.
  • 17.
    M MODE ECHO •Decreased E-F Slope • >80 mm/s MVA=4-6cm² <15mm/s⇒ MVA <1.3cm² • Thickened Mitral Leaflets • Anterior Motion or Immobility of Posterior Mitral Leaflet-tethering at tips • Diastolic Posterior Motion of Ventricular Septum (severity of stenosis)
  • 18.
    PLANIMETRYPLANIMETRY • Best correlationwith anatomical area • Scanning method to avoid overestimation • measured at leaflet tips in a plane perpendicular to mitral orifice • Elliptical in shape • Direct measure of mitral orifice including opened commissures in PSAX METHOD
  • 19.
    PLANIMETRY • Exessive gainsetting = underestimate • Zoom mode • Harmonic imaging • Optimal time is mid diastole • Multiple measurements in AF or incomplete commissural fusion • difficult in calcified valve and chest deformity
  • 20.
  • 21.
    GRADIENTS • Apical window •CWD at or after tip of mitral valve • Maximal and mean gradient • Derived from transmitral velocity flow curve • Heart rate to be mentioned • CD to identify mitral jet
  • 22.
    POINTS • Maximal gradientinfluenced by LA compliance and LV diastolic function • AF = average of 5 cycles with least variation of R-R interval and as close possible to normal HR • MVG = HR,COP and associated MR • Tachycardia, increased COP and associated MR -overestimates gradient
  • 23.
    Mitral Valve Areaby Pressure Half-Time (PHT) Time for pressure to fall to half it’s original peak value (in msec) • calculated from deceleration slope
  • 25.
    MVA BY PHT MVA= 220/ pressure half- time () PHT = 0.29 x Deceleration time MVA = 750 / Deceleration time • 220 is proportional to the product of net compliance of left atrium and LV, and the square root of maximum transmitral gradient
  • 26.
    MVA BY PHT •tracing deceleration slope of E wave on Doppler spectral display
  • 27.
    AF avoid shortcycles and Average different cardiac cycles
  • 28.
    • deceleration slopeis sometimes bimodal, the decline of mitral flow velocity being more rapid in early diastole than during the following part of the E-wave.= deceleration slope in mid-diastole rather than the early deceleration slope be traced. • rare patients with a concave shape of the tracing- T1/2 measurement may not be feasible.
  • 30.
    Factors that mayaffect PHT by influencing LA pressure More rapid LA pressure decline shorten PHT LA draining to second chamber –ASD • LA pressure drop rapidly • PHT shortened Stiff LA –low LA compliance • LA pressure drop rapidly • PHT shortened
  • 31.
    Factors affect PHTby influencing LV pressure More rapid LV pressure rise shorten PHT If LV fills from a second source PHT –AR • LV pressure rise more rapidly • PHT will be shortened If LV is stiff-low ventricular compliance • LV pressure may rise more rapidly • PHT will be shortened
  • 32.
    PRACTICAL POINTS • Allfactors affect PHT (ASD, AR, low LA or LV compliance ) =Shorten PHT = overestimation • PHT never under estimate • if PHT >220 MS is severe • If PHT is < 220 consider other methods to assess severity • Unreliable immediately post BMV, causes under estimation of MVA.
  • 33.
    • When gradientand compliance are subject to important and abrupt changes. • Immediately after balloon mitral commissurotomy =discrepancies between the decrease in mitral gradient and the increase in net compliance.
  • 34.
  • 35.
    CONTINUITY EQUATION • MVAX VTI mitral= LVOT area X VTI aortic • MVA = LVOT area X VTI aortic VTI mitral • MVA= p D2 X VTI aortic 4 VTI mitral • D is diameter of LVOT in cm and VTI in cm • Method not useful in AF,AR or MR
  • 36.
    PISA • hemispherical shapeof convergence of diastolic mitral flow on atrial side of mitral valve and flow acceleration blood towards mitral valve
  • 37.
    MVA x MV= PISA x AV MVA = PISA x AV MV PISA = 2pr2 x a 180 MVA = 2pr2 x AV x a MV 180
  • 38.
    METHOD • Zoom onthe flow convergence • Upshift the baseline velocity and use an aliasing velocity of 20–30 cm/s • Measure the radius of the flow convergence region and the transmitral velocity at the same time in early diastole • Measure the α angle formed by the mitral leaflets • fixed angle value of 100° =accurate MVA estimation in MS.
  • 41.
    METHOD • used inpresence of significant MR, AR, differing heart rhythms • Not affected by LA,LV compliance • Multiple measurements required
  • 42.
    Mitral leaflet separation(MLS) index • Distance between the tips of the mitral leaflets • semiquantitative • value of 1.2 cm or more = non severe MS • <0.8 cm -severe MS. • not accurate in heavy mitral valvular calcification and post BMV
  • 44.
    Mitral valve resistance •ratio of mean mitral gradient to transmitral diastolic flow rate • dividing SV by diastolic filling period. • less dependent on flow conditions.
  • 45.
    • MVR =Mean MVG____ Trans Mitral D.F.R
  • 46.
  • 47.
    STRESS ECHOCARDIOGRAPHY • unmasksymptoms in MVA<1.5cm2 and no or doubtful complaints • Discrepancy between resting doppler and clinical findings • Semi-supine echocardiography exercise (30 to 60 secs of leg lifts) is now preferred to post exercise echocardiography • Allows monitoring gradient and pulmonary pressure in each step of increasing workload
  • 48.
    • Mean mitralgradient and PASP to be assessed during exercise • Mean gradient >15 mmhg with exercise is considered severe MS • A PASP > 60 mmHg on exercise has been proposed as an indication for BMV • Dobutamine stress echo mean gradient >18 mmhg with Stress is considered severe MS but is less physiological.
  • 49.
    Associated lesions • Quantitationof LAE • Associated MR and its mechanism • Severity AS (underestimated) • AR- t1/2 method to assess MS is not valid • TR ,tricuspid annulus • Secondary pulmonary HTN-TR
  • 50.
    3D ECHO Higher accuracythan 2D echo Detailed information of commissural fusion and subvalvular involvement MVA measurement in calcified and irregular valve MVA measurement after BMV
  • 51.
    MANAGEMENT OF MS-Mitral BalloonValvuloplasty • May delay or avoid surgery • 80% patients have long term relief of symptoms • 7% restenosis rate at 7 years • ECHO to determine ‘pliability’,MR • Wilkins score, cormier’s method
  • 53.
    Wilkin’s score -Mitralvalve score <8 are excellent candidates for BMV
  • 54.
    Limitations of wilkin’sscore • commissural involvement is not included • Limited in ability to differentiate nodular fibrosis from calcification. • Doesn’t account for uneven distribution of pathologic abnormalities. • Frequent underestimation of subvalvular disease.
  • 55.
  • 56.
    Guiding the Procedureand Detecting Acute Complication  guide the transeptal puncture.  Atrial or ventricular perforation with tamponade  Acute mitral regurgitation  Valvular disruption.
  • 57.
    Evaluating the short-and long-term results of the intervention.  Assessment of valve area – Planimetry ideal , half time shoudnt be used  Long term results – Assessment can be done by all methods with predictors of restenosis being echo score and valve area following procedure
  • 60.
    GRADING OF SEVERITYOF MS/SUMMARY MILD MODERATE SEVERE SPECIFIC VALVE AREA(cm2) >1.5 1-1.5 <1 NONSPECIFIC MEAN GRADIENT (mmHg) <5 5-10 >10 PASP (mmHg) <30 30-50 >50
  • 61.
    • pressure halftime • Expected normal half time is longer than native valve and varies with type and size • bioprosthetic valve, and for mechanical valves -220/t1/2 provides reasonable approximation • Continuity equation • Pressure gradient can also be used with gradients varying with type and size of valve In Prosthetic Mitral Valve Stenosis Mitral Stenosis