Muhammed Nazeer MS,FRCS
• To learn how absolute stability can be obtained using
plates
• To differentiate between plate name and function
• To learn how different types of plate function can
produce absolute stability
• To show how to reduce the biological price of rigid
fixation using plates
2
3
• Refers to shape or design
• Catalogue name
4
5
• “Surfaces of the fracture do not displace under
functional load”
• Can only be achieved by interfragmentary
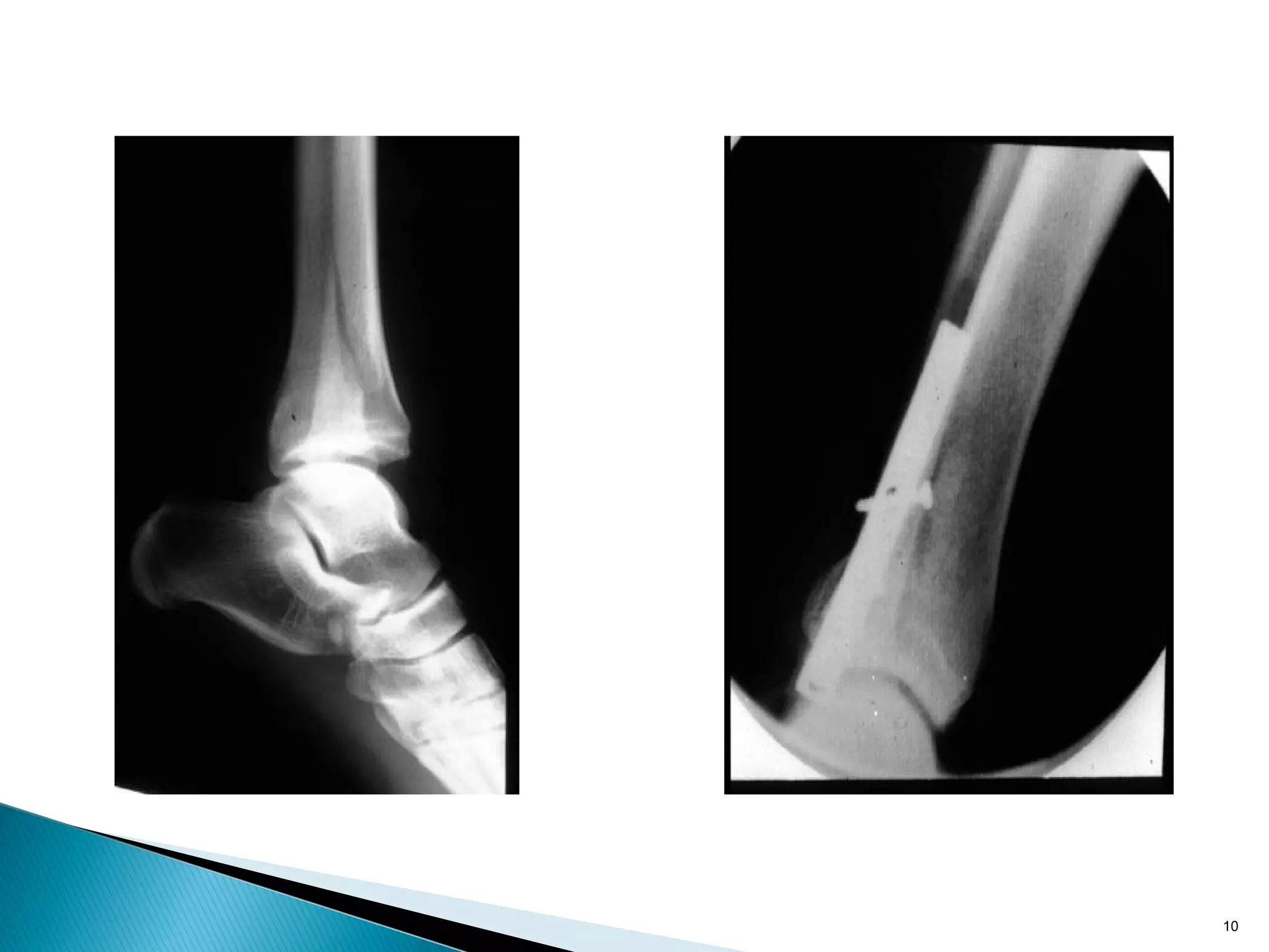
compression
Absolute stability
• A plate by itself rarely provides absolute stability
• The key tool of absolute stability is the lag screw
 Compression must sufficiently neutralize all
forces[bending, tension, shear and rotation]
6
 The surgeon not the designer of
the plate determines how a plate will
function and how it will be applied
7
• Neutralization[Protection] plate
• Compression plate
• Tension band plate
• Buttress plate
• Bridge plate—relative stability
8
• Reduces torsional and axial forces on interfragmentary
compression screw(s)
• Always used with lag screws
• Requires anatomical reduction
9
10
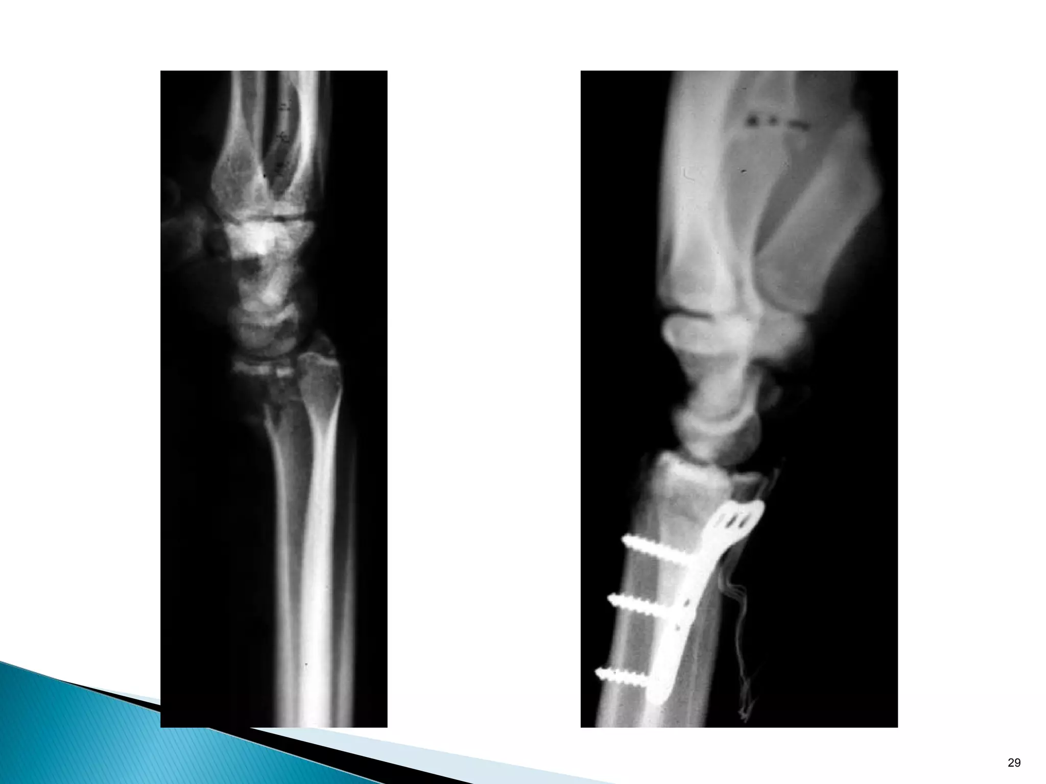
• Requires a transverse or short oblique fracture pattern
• Requires a simple fracture pattern
• Requires perfect plate contouring
11
12
Compression plate:
eccentric DC (dynamic compression) hole
Removable device:
compression device
Interfragmentary compression by plate
13
14
Axial compression with removable
compression device
Metaphysis: plate contoured but
slightly less (shorter) than bone,
bone is pulled towards plate
Diaphysis: in order to compress
Opposite cortex plate must be prebent
15
16
 A plate applied to the tension side of a bone so
that tension forces on the plate side of the bone are
converted to compression forces on the opposite
cortex
17
18
• Only works if you have a true tension side
• Only works if opposite cortex is intact
• Converts tension forces to compression forces on
opposite cortex
19
20
Absolute stability: tension band principle
In the eccentrically loaded femur the tension side is always
lateral.
A plate MUST be placed on convex (tension) side to counteract
distraction forces.
However there must also be a medial bony buttress, if
missing, the plate will break due to fatigue.
21
Plate on concave side distracts fracture
Absolute stability: tension band principle
22
23
•Resist axial load by applying force at 90 degree to the axis of
potential deformity
•Metaphyseal tibial plateau split fractures
24
• Used when the fracture will only displace in one direction
• Only useful in metaphyseal fractures
• Applied so as to resist one deforming force
25
26
27
28
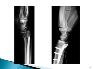
29
 Plate may be a reduction tool
30
31
Direct (primary) bone healing without
visible, external callus
32
Absolute stability
only after rigid fixation with
interfragmentary compression
Internal remodelling
replaces dead structures
Fracture gradually disappears
Minimal periosteal callus
Direct (primary) fracture healing
33
Hazards of absolute stability
Too aggressive exposure, periosteal stripping
Lack of respect for vascularity of all tissues
Poor soft-tissue care
Too much metal
Too stiff construct
Slow healing
Catastrophies
Careful technique →
interfragmentary compression →
absolute stability
Errors in technique and principles →
complications
• Delayed healing
• Implant failures
• Nonunions
• Wound complications and infections
34
35
36
• Cortical blood supply damage—potential problem
• Devascularization and transient osteoporosis beneath plate
37
• Change the design of the plate
• Change the surgical technique
38
39
• Plates rely on friction between the plate and bone to
achieve stability
• The bone under the plate will always suffer a degree
of vascular damage
• The smaller the footprint of the plate the less the
damage will be
• Gradual evolution of plate design
• Minimize detrimental effects on bone
40
DCP
LC-DCP
PC-Fix
LCP
Preservation of the soft-tissue envelope profoundly
affects bone healing
41
• Always preserve soft tissues
• Use the least amount of metal
• Percutaneous approaches
• MIPO (minimally invasive plate osteosynthesis)
42
43
Biological fixation & absolute stability?
• Balance between surgical fracture stabilization and
the insult to the biology caused by the technique
• A demanding surgical technique requiring much
experience and the correct indications
44
Absolute stability of
conventional plating
Biologic damage of surgical
dissection and open
reduction
 Respect for soft-tissue envelope surrounding fractures is
essential
45
Caution! Open
carefully,
intraarticular fracture
inside
No returns
or second
chances
Handle
with
care
46
Fractures requiring anatomical reduction and early functional aftercare
• articular fractures
• forearm fractures: closed/open
Fractures not suited for relative stability
• simple (type A) metaphyseal fracture
•Function of the plate is not the design but the surgeons technique
Utmost care for the vascularity of soft tissues, periosteum, and bone!
Take home message

Absolute stability plate fixation

  • 1.
  • 2.
    • To learnhow absolute stability can be obtained using plates • To differentiate between plate name and function • To learn how different types of plate function can produce absolute stability • To show how to reduce the biological price of rigid fixation using plates 2
  • 3.
  • 4.
    • Refers toshape or design • Catalogue name 4
  • 5.
    5 • “Surfaces ofthe fracture do not displace under functional load” • Can only be achieved by interfragmentary compression Absolute stability • A plate by itself rarely provides absolute stability • The key tool of absolute stability is the lag screw
  • 6.
     Compression mustsufficiently neutralize all forces[bending, tension, shear and rotation] 6
  • 7.
     The surgeonnot the designer of the plate determines how a plate will function and how it will be applied 7
  • 8.
    • Neutralization[Protection] plate •Compression plate • Tension band plate • Buttress plate • Bridge plate—relative stability 8
  • 9.
    • Reduces torsionaland axial forces on interfragmentary compression screw(s) • Always used with lag screws • Requires anatomical reduction 9
  • 10.
  • 11.
    • Requires atransverse or short oblique fracture pattern • Requires a simple fracture pattern • Requires perfect plate contouring 11
  • 12.
    12 Compression plate: eccentric DC(dynamic compression) hole Removable device: compression device Interfragmentary compression by plate
  • 13.
  • 14.
    14 Axial compression withremovable compression device Metaphysis: plate contoured but slightly less (shorter) than bone, bone is pulled towards plate Diaphysis: in order to compress Opposite cortex plate must be prebent
  • 15.
  • 16.
  • 17.
     A plateapplied to the tension side of a bone so that tension forces on the plate side of the bone are converted to compression forces on the opposite cortex 17
  • 18.
  • 19.
    • Only worksif you have a true tension side • Only works if opposite cortex is intact • Converts tension forces to compression forces on opposite cortex 19
  • 20.
    20 Absolute stability: tensionband principle In the eccentrically loaded femur the tension side is always lateral. A plate MUST be placed on convex (tension) side to counteract distraction forces. However there must also be a medial bony buttress, if missing, the plate will break due to fatigue.
  • 21.
    21 Plate on concaveside distracts fracture Absolute stability: tension band principle
  • 22.
  • 23.
  • 24.
    •Resist axial loadby applying force at 90 degree to the axis of potential deformity •Metaphyseal tibial plateau split fractures 24
  • 25.
    • Used whenthe fracture will only displace in one direction • Only useful in metaphyseal fractures • Applied so as to resist one deforming force 25
  • 26.
  • 27.
  • 28.
  • 29.
  • 30.
     Plate maybe a reduction tool 30
  • 31.
    31 Direct (primary) bonehealing without visible, external callus
  • 32.
    32 Absolute stability only afterrigid fixation with interfragmentary compression Internal remodelling replaces dead structures Fracture gradually disappears Minimal periosteal callus Direct (primary) fracture healing
  • 33.
    33 Hazards of absolutestability Too aggressive exposure, periosteal stripping Lack of respect for vascularity of all tissues Poor soft-tissue care Too much metal Too stiff construct Slow healing Catastrophies
  • 34.
    Careful technique → interfragmentarycompression → absolute stability Errors in technique and principles → complications • Delayed healing • Implant failures • Nonunions • Wound complications and infections 34
  • 35.
  • 36.
  • 37.
    • Cortical bloodsupply damage—potential problem • Devascularization and transient osteoporosis beneath plate 37
  • 38.
    • Change thedesign of the plate • Change the surgical technique 38
  • 39.
    39 • Plates relyon friction between the plate and bone to achieve stability • The bone under the plate will always suffer a degree of vascular damage • The smaller the footprint of the plate the less the damage will be
  • 40.
    • Gradual evolutionof plate design • Minimize detrimental effects on bone 40 DCP LC-DCP PC-Fix LCP
  • 41.
    Preservation of thesoft-tissue envelope profoundly affects bone healing 41
  • 42.
    • Always preservesoft tissues • Use the least amount of metal • Percutaneous approaches • MIPO (minimally invasive plate osteosynthesis) 42
  • 43.
    43 Biological fixation &absolute stability? • Balance between surgical fracture stabilization and the insult to the biology caused by the technique • A demanding surgical technique requiring much experience and the correct indications
  • 44.
    44 Absolute stability of conventionalplating Biologic damage of surgical dissection and open reduction
  • 45.
     Respect forsoft-tissue envelope surrounding fractures is essential 45 Caution! Open carefully, intraarticular fracture inside No returns or second chances Handle with care
  • 46.
    46 Fractures requiring anatomicalreduction and early functional aftercare • articular fractures • forearm fractures: closed/open Fractures not suited for relative stability • simple (type A) metaphyseal fracture •Function of the plate is not the design but the surgeons technique Utmost care for the vascularity of soft tissues, periosteum, and bone! Take home message

Editor's Notes

  • #5 AO_zeichen unten links neben bild muss weg –photoshop!?
  • #19 Ao-zeichen