Bone plates
Dr Saiel Kumarjuvekar
JR3 Orthopaedics
BJGMC & SGH PUNE
Introduction
• The goal of plate fixation is to restore anatomy and impart mechanical
limb stability, ultimately allowing uneventful fracture healing.
• It transmits forces from one end of the bone to other, thus protecting
the area of fracture.
• It also holds the fracture ends together , maintaining proper
alignment during the healing process.
Classification/ Principles
• Protection [ neutralization] plate
• Compression plate
• Bridge plate
• Buttress plate
• Condylar plate
• Tension band plate
Protection [ Neutralization ] Plate
• Plate is applied as an adjunct to lag screws.
• In fractures such as short oblique, butterfly fragments, etc,
interfragmentary compression is achieved by the lag screws and the
construct is further protected from bending , torsional and shearing
forces.
• Healing takes place via primary healing.
Reduce the fracture and fix the
fracture with one or more lag
screws.
The appropriately contoured
plate is applied to the bone and
screws inserted in a neutral
mode.
Depending of the plate design,
bone quality, implant availably,
and surgeon's preference, fixed
angle locking head screws,
variable angle locking head
screws or non-locking screws
may be inserted.
It is not necessary to fill every
hole, if enough screws are
inserted to obtain sufficient hold
to maintain the reduction until
the fracture heals.
Compression plate
• Here the plate is used to achieve satisfactory interfragmentary
compression.
• Plate is attached to one end of the fracture and then it is pulled
across the fracture site, which causes tension in the plate but thereby
producing compression at the fracture leading to primary healing.
• Various methods are used to achieve compression using plates
Dynamic compression plate
prebending the plate
eccentric screw placement
tensioning devices
Lag screw through the plate
Bridge plating
• Bridge plating techniques are used for multifragmentary long
bone fractures where intramedullary nailing or conventional
plate fixation is not suitable.
• The plate provides relative stability by fixation of the two main
fragments, achieving correct length, alignment, and rotation.
The fracture site is left undisturbed and fracture healing by
callus formation is promoted.
• To leave the fracture site as undisturbed as possible, bridge
plates are often inserted through a minimally invasive approach.
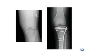
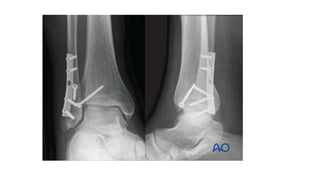
Buttress/Antiglide plate
• “holds” the bone up
• A buttress is a construction that resists axial load by
applyingforce at 90° to the axis of potential deformity.
• When used in intraarticular fractures- buttress
• When used in diaphyseal fractures- antiglide
• The plates are usually precontoured according to the shape
Tension band plate
• Tension band principle acts by conversion of tension forces into
compression forces.
• Application of plate on tension side
• Opposite cortex should be intact
• The function of a tension band is to convert tensile force into
compressive force. After fracture reduction, the opposite cortex
must provide a bony buttress to prevent cyclic bending and
failure of fixation.
Condylar plates
• These are special type of implants
• It is most commonly used in periarticular fractures , wherein it
maintains the anatomical reduction as well as fixes the metaphyseal
fragments to the diaphysis.
• Eg 95 degree dcp is used in the management of distal femur fractures,
proximal femur comminuted fractures, osteotomies of proximal
femur, etc.
Plate designs
• DCP
• LC-DCP
• RECON PLATES
• SEMI TUBULAR PLATES
• LOCKING PLATES
DCP
• First introduced in 1969
• Available as 3.5,4.5 / narrow and broad
• Can achieve absolute stability by achieving interfragmentary
compression.
• Screw insertion can be inclined upto 25 degrees in longitudinal and 7
degrees in transverse plane.
• Firmly in contact with the bone, thus hindering the periosteal blood
supply.
• Therefore , high risk of refracture after implant removal.
LC-DCP
• Were designed in 1994.
• Plate bone footprint is reduced.
• Decrease contact between the plate and the bone , thus maintaining
the periosteal blood supply.
• Contouring is easier and better as the thickness is uniform unlike that
of DCP., preventing kinking at he screw holes.
• More inclination possible while inserting screws.
Drill sleeves
Recon plates
• Deep notches between holes
• Easy contouring in multiple planes
• Uses - acetabulum, olecranon , clavicle , distal humerus,etc
Locking plates [ LCP ]
• Latest type of plate design or evolving technique of plating.
• It is used as a internal fixator.
• The pitch of the screw head is identical to the pitch of the screw body to prevent
compression.
• There are fixed angle and variable angle plating systems available.
• Shearing forces are better tolerated as compared to conventional screws and
resistance to pullout is high.
• Extraperiosteal placement, thus maintaining the periosteal blood supply by
reducing the bone plate interface.
• As the screws are tightened, they "lock" to the plate, thus stabilizing the
segments without the need to compress the bone to the plate.
• advantage to the use of locking plate/screw systems is that the screws are
unlikely to loosen from the plate.
• Locking plates are fracture fixation devices with threaded screw holes,
which fix the screws to the plate working as fixed angle devices.
• Pullout strength of locking screws is more than that of conventional screws
• The process of stress shielding is also reduced significantly.
• Locking plates are very useful in osteoporotic bones.
• Combi hole design, for locking and non locking screws.
• Flexibilty of choice within a single implant.
• Hybrid plating: use of locking plus non locking screws in a construct
• Locking plate fixation, on the other hand, seeks to maintain a certain
elasticity to stimulate bone healing. Locking plates are generally less
rigid than conventional plates.
• Decreased risk of infection compared to conventional plates , as
lesser bone necrosis and dead space formation.
mipo
Thank you

Bone plates

  • 1.
    Bone plates Dr SaielKumarjuvekar JR3 Orthopaedics BJGMC & SGH PUNE
  • 2.
    Introduction • The goalof plate fixation is to restore anatomy and impart mechanical limb stability, ultimately allowing uneventful fracture healing. • It transmits forces from one end of the bone to other, thus protecting the area of fracture. • It also holds the fracture ends together , maintaining proper alignment during the healing process.
  • 3.
    Classification/ Principles • Protection[ neutralization] plate • Compression plate • Bridge plate • Buttress plate • Condylar plate • Tension band plate
  • 4.
    Protection [ Neutralization] Plate • Plate is applied as an adjunct to lag screws. • In fractures such as short oblique, butterfly fragments, etc, interfragmentary compression is achieved by the lag screws and the construct is further protected from bending , torsional and shearing forces. • Healing takes place via primary healing.
  • 5.
    Reduce the fractureand fix the fracture with one or more lag screws. The appropriately contoured plate is applied to the bone and screws inserted in a neutral mode. Depending of the plate design, bone quality, implant availably, and surgeon's preference, fixed angle locking head screws, variable angle locking head screws or non-locking screws may be inserted. It is not necessary to fill every hole, if enough screws are inserted to obtain sufficient hold to maintain the reduction until the fracture heals.
  • 8.
    Compression plate • Herethe plate is used to achieve satisfactory interfragmentary compression. • Plate is attached to one end of the fracture and then it is pulled across the fracture site, which causes tension in the plate but thereby producing compression at the fracture leading to primary healing. • Various methods are used to achieve compression using plates Dynamic compression plate prebending the plate eccentric screw placement tensioning devices Lag screw through the plate
  • 12.
    Bridge plating • Bridgeplating techniques are used for multifragmentary long bone fractures where intramedullary nailing or conventional plate fixation is not suitable. • The plate provides relative stability by fixation of the two main fragments, achieving correct length, alignment, and rotation. The fracture site is left undisturbed and fracture healing by callus formation is promoted. • To leave the fracture site as undisturbed as possible, bridge plates are often inserted through a minimally invasive approach.
  • 15.
    Buttress/Antiglide plate • “holds”the bone up • A buttress is a construction that resists axial load by applyingforce at 90° to the axis of potential deformity. • When used in intraarticular fractures- buttress • When used in diaphyseal fractures- antiglide • The plates are usually precontoured according to the shape
  • 19.
    Tension band plate •Tension band principle acts by conversion of tension forces into compression forces. • Application of plate on tension side • Opposite cortex should be intact • The function of a tension band is to convert tensile force into compressive force. After fracture reduction, the opposite cortex must provide a bony buttress to prevent cyclic bending and failure of fixation.
  • 22.
    Condylar plates • Theseare special type of implants • It is most commonly used in periarticular fractures , wherein it maintains the anatomical reduction as well as fixes the metaphyseal fragments to the diaphysis. • Eg 95 degree dcp is used in the management of distal femur fractures, proximal femur comminuted fractures, osteotomies of proximal femur, etc.
  • 23.
    Plate designs • DCP •LC-DCP • RECON PLATES • SEMI TUBULAR PLATES • LOCKING PLATES
  • 24.
    DCP • First introducedin 1969 • Available as 3.5,4.5 / narrow and broad • Can achieve absolute stability by achieving interfragmentary compression. • Screw insertion can be inclined upto 25 degrees in longitudinal and 7 degrees in transverse plane. • Firmly in contact with the bone, thus hindering the periosteal blood supply. • Therefore , high risk of refracture after implant removal.
  • 25.
    LC-DCP • Were designedin 1994. • Plate bone footprint is reduced. • Decrease contact between the plate and the bone , thus maintaining the periosteal blood supply. • Contouring is easier and better as the thickness is uniform unlike that of DCP., preventing kinking at he screw holes. • More inclination possible while inserting screws.
  • 28.
  • 30.
    Recon plates • Deepnotches between holes • Easy contouring in multiple planes • Uses - acetabulum, olecranon , clavicle , distal humerus,etc
  • 31.
    Locking plates [LCP ] • Latest type of plate design or evolving technique of plating. • It is used as a internal fixator. • The pitch of the screw head is identical to the pitch of the screw body to prevent compression. • There are fixed angle and variable angle plating systems available. • Shearing forces are better tolerated as compared to conventional screws and resistance to pullout is high. • Extraperiosteal placement, thus maintaining the periosteal blood supply by reducing the bone plate interface. • As the screws are tightened, they "lock" to the plate, thus stabilizing the segments without the need to compress the bone to the plate. • advantage to the use of locking plate/screw systems is that the screws are unlikely to loosen from the plate.
  • 32.
    • Locking platesare fracture fixation devices with threaded screw holes, which fix the screws to the plate working as fixed angle devices. • Pullout strength of locking screws is more than that of conventional screws • The process of stress shielding is also reduced significantly. • Locking plates are very useful in osteoporotic bones. • Combi hole design, for locking and non locking screws. • Flexibilty of choice within a single implant. • Hybrid plating: use of locking plus non locking screws in a construct • Locking plate fixation, on the other hand, seeks to maintain a certain elasticity to stimulate bone healing. Locking plates are generally less rigid than conventional plates. • Decreased risk of infection compared to conventional plates , as lesser bone necrosis and dead space formation.
  • 38.
  • 40.