PRESENTED BY: DR AJAY SINGH CHOUHAN
GUIDED BY: DR R N GEHLOT
Before going to our topic lets have
a look at normal chest X ray PA
view and structures normally
visualize in it
 Complete Opacification of a hemithorax seen on a
posterior anterior radiograph of Chest usually
indicates presence of extensive disease.
 The diagnosis in such cases may be quite variable
and the differential diagnosis extends from
congenital conditions to inflammatory, infective and
malignant conditions.
 In many cases, the position of mediastinum in
opaque hemi thorax helps in narrowing down of list
of differential diagnosis on chest X-ray basis. Any
space occupying etiology of one side of lung shifts
the mediastinum to contra lateral side, whereas in
lesions with loss of healthy lung tissue may result in
volume loss that shifts the mediastinum to same
side. So
 The differential diagnosis can be shortened further
with one simple observation –
 the position of the trachea.
 Is it central, pulled or pushed from the side of
opacification?
 Trachea pulled toward the opacified side
 Pneumonectomy
 total lung collapse
 pulmonary agenesis
 pulmonary hypoplasia
 Trachea remains central in position
 consolidation
 pulmonary oedema/ARDS
 pleural mass: e.g. mesothelioma
 chest wall mass: e.g. Askin/Ewing sarcoma
 Pushed away from the opacified side
 pleural effusion.
 diaphragmatic hernia
 large pulmonary mass
 CXR from a 65 year old with right sided chest pain
 This patient has previously had a left
pneumonectomy. There is mediastinal shift to the left
and there are surgical clips visible around the left main
bronchus.
 Pneumonectomy is the complete surgical removal of the
lung. It is most commonly performed for a primary lung
malignancy. The lung is removed in its entirety providing
the patient has adequate pulmonary reserve from the
contralateral lung.
 Radiographic appearances
 Plain radiograph
 Pneumonectomy is one of the causes of a white out of the
hemithorax.
 The hemithorax is completely opacified with the trachea
pulled towards the side of the abnormality. Surgical clips
may be identified at the lung hilum.
 CT
 The lung is absent at the side of surgery, with resultant
mediastinal shift and compensatory hyperaeration of the
contralateral lung.
CT scan of post-pneumonectomy syndrome following right pneumonectomy.
Note, left mainstem bronchus compressed between the pulmonary artery
(anterior) and the aorta and spine (posterior)
Trachea pulled towards opacified
side
 Total lung collapse:
 Collapse is diminished volume of air in the lung with
associated reduction of lung volume and in
consolidation there is diminished volume of air in the
lung associated with normal lung volume
 Causes opaque hemithorax with displacement of
mediastinum to the affected side with compensatory
hyperinflation of opposite lung often with herniation
across midline.
 Herniation mostly occurs in retrosternal space but may
occur posterior to heart or under aortic arch
MECHANISMS OF COLLAPSE
 Obstructive collapse/Resorptive:
 Results from airway obstruction by an endobronchial
lesion. This prevents the passage of air along the bronchial
tree. Air distal to the obstruction is resorbed by the alveoli.
Atelectasis draws edema fluid into the alveoli. So increased
opacity results from both due to absence of air within the
lung and due to increased fluid within the alveoli.
 Causes are-
 obstructing neoplasms,
 mucous plugging in asthmatics or critically ill patients and
 foreign body aspiration
X ray of 35y male patient K/C/O testicular carcinoma on routine follow
up scanning.
Complete white out of the right hemithorax , with mild deviation of the trachea to
the right. Subtle endoluminal mass is appreciable from the right main bronchus
into the lower trachea above the carin
Complete obstruction of the right main bronchus from the level of the carina by
a soft tissue density within the lumen. The trachea is deviated to the right .
Subsequent collapse of the right lung with right hemithorax volume loss
Total lung collapse due to
endobronchial intubation
 Presentation
 Decreased oxygen saturation
in adult female patient
 Supine chest x-ray was taken
 It demonstrates the endotracheal
tube located in the right main bronchus
probably past the origin of the right
upper lobe bronchus.
There is associated complete atelectasis of
the left lung with marked shift of the
mediastinum towards the left.
Nasogastric tube in situ.
Total lung collapse due to
endobronchial intubation
 Endobronchial intubation is relatively common in patients intubated in a hurry, and
although the chest is auscultated to ensure bilateral air entry, the tube can slowly migrate
into the bronchus.
 While a well patient can easily survive on a single well ventilated lung, in the setting of
trauma or acute illness, endobronchial intubation needs to be recognised and corrected
expediently.
 Chest radiograph
 Identification of the tip of the ETT and awareness of secondary signs of the endobrochial
intubation is pivotal in making the diagnosis.
 Ideally, ETT tip position should be below the interclavicular line and approximately 2 cm
above the carina. This allows for tube tip movement when the neck is moved: 2 when the
chin is depressed, the tube tip will move downwards and when the chin is lifted, the tube
tip will move upwards.
 In circumstances where the carina cannot be visualised, its location can be inferred by
identifying the aazygos arch and the arch of the aorta.
 The right main bronchus has a more vertical orientation than the left. Thus, if
endobronchial intubation occurs, it is (more often than not) the right main bronchus
that is intubated.
 If the tube is inserted deep into the right main bronchus, the right upper lobe bronchus
can be obstructed. This results in collapse of the left lung and the right upper lobe. (In
some patients, an anomalous right upper lobe bronchus may be obstructed by a
normally sited tube.)
 Secondary signs of endobronchial intubation on chest radiograph include collapse of
lobe / segments obstructed.
Total lung collapse due to foreign
body aspiration
This is an x ray PA view from
A child who presented in the ED
With history of aspiration of
A peanut.
In this case however it is difficult
To visualize FB as peanut oil
Initiates brisk inflammatory
Response with its disintegration
But the finding in x ray is left
lung Collapse and tracheal shift
towards opacified side
so it may be in
the left Main bronchus.
FB is confirmed and removed by
bronchoscopy
Peanut in left main bronchus
White out hemithorax with trachea
shifted towards opacified side
 A 35 year old male presented with low grade fever and cough with
mucopurulent sputum since 10 days with history of recurrent similar episodes
since childhood.
 General examination revealed pallor and tachypnea.
 Chest examination showed decreased movement of right hemithorax,
ipsilateral tracheal shift, impaired percussion note and absent breath sound on
right side with scanty coarse inspiratory crackles in mammary area. The
percussion note was hyper resonant on left side along with harsh vesicular
breath sound and coarse crackles.
 He was otherwise healthy with no other co morbid illness.
White out hemithorax with trachea
shifted towards opacified side
 Chest X ray revealed an opaque right hemi thorax with signs of volume
loss and compensatory hyperinflation of the left lung.
White out hemithorax with trachea
shifted towards opacified side
 He was investigated with CT thorax.
 CT confirms the diagnosis as pulmonary agenesis
White out hemithorax with trachea
shifted towards opacified side
 Pulmonary aplasia-
 Rare congenital pathology in which there is unilateral or bilateral absence of lung
tissue. It is distinguished from pulmonary agenesis, although similar, the main
difference being that there is a short-blind ending bronchus in aplasia.
 it is usually unilateral, as bilateral pulmonary aplasia is not viable.
 Radiographic features
 Plain film
 On chest x-ray, it can present as an hemithorax white-out or ipsilateral lung volume
loss with ipsilateral shift of mediastinal structures and contralateral lung
hyperinflation. A main ipsilateral bronchus is rarely seen, although CT-scan can
demonstrate a rudimentary main bronchus 1.
 CT
 CT-scan will confirm the absence of lung parenchyma and mediastinal ipsilateral
shift. Also, there is an ipsilateral absence of pulmonary artery. It may also show
other cardiac congenital malformations and ipsilateral bronchus remnant.
White out hemithorax with trachea
shifted towards opacified side
 An 18-year-old boy presented to the medical clinic with exertional chest pain, dyspnoea during sleep,
cough with expectoration and intermittent fever for 5 days. He was a labourer . He gave a history of
antitubercular therapy taken for around 3 months. There was no history of any diu.rnal variation in
fever, chills/rigors associated, haemoptysis or anxiety/palpitations.
 X-RAY
 markedly shifted trachea (towards left),
 crowding of ribs on the left side and
 compensatory hyperplasia of the right lung.
White out hemithorax with trachea
shifted towards opacified side
White out hemithorax with trachea
shifted towards opacified side
 Pulmonary hypoplasia:
 It is characterised by the presence of both bronchi
(albeit rudimentary) and alveoli in an under-
developed lobe. Both the size and the weight of the
lung is reduced. so
 Agenesis (complete absence of the lung tissue);
 Aplasia (no lung tissue, but there is a rudimentary
bronchus);
 Hypoplasia (all lung tissues exist but underdeveloped).
 Trachea pulled toward the opacified side
 Pneumonectomy
 total lung collapse
 pulmonary agenesis
 pulmonary hypoplasia
 Trachea remains central in position
 consolidation
 pulmonary oedema/ARDS
 pleural mass: e.g. mesothelioma
 chest wall mass: e.g. Askin/Ewing sarcoma
Trachea remains central in position
 This patient presented to the emergency department
for increasing fatigue and shortness of breath.
 CXR
 Shows-
 A complete white out of the right
 lung .
 Trachea is central.
Trachea remains central in position
 USG of same patient-
 This is the appearance of consolidated lung (in this case, cancer). Normal lung is air filled and not
readily visible with ultrasound, but in consolidation as fluid fills the lung and displaces air the lung is
easier to visualize with ultrasound.
 In this image its easy to see the difference between collapsed lung (from cancer) and pleural fluid, but
in some cases complex effusions can be more difficult to distinguish. You can look for air
bronchograms (small bright reflectors from air trapped in the lung), or doppler can be used to
visualize small pulmonary vessels.
Trachea remains central in position
 Consolidation is the result of replacement of air in the alveoli
by transudate, pus, blood, cells or other substances.
Pneumonia is by far the most common cause of consolidation.
The disease usually starts within the alveoli and spreads from
one alveolus to another.
When it reaches a fissure the spread stops there.
 The key-findings on the X-ray are:
 No Tracheal shift
 ill-defined homogeneous opacity obscuring vessels
 :Silhouette sign loss of lung/soft tissue interface
 Air-bronchogram
 Extention to the pleura or fissure, but not crossing it
 No volume loss
Trachea remains central in position
Diffuse consolidation in bronchoalveolar carcinoma
The chest x-ray shows diffuse consolidation with 'white out' of the left lung
with an air-bronchogram.
This patient had a chronic disease with progressive consolidation.
The disease started as a persitent consolidation in the left lung and finally
spread to the right lung.
Final diagnosis:
bronchoalveolar carcinoma.
Trachea remains central in position
CT findings-
extensive airspace opacities with numerous air-bronchograms.
Sputum, right and left main bronchus
lavage were positive for malignant cells
consistent of carcinoma,
Trachea remains central in position
 Presentation
 Patient admitted with progressive respiratory distress 24 hours after arriving at town at 2700 meters
above sea level.
 Finding
 Diffuse indistict airspace
Opacity (right>left)
Trachea remains central in position
 Pulmonary oedema
 Pathology
 One method of classifying pulmonary oedema is as four main
categories on the basis of pathophysiology which include:
 increased hydrostatic pressure oedema
 two pathophysiological and radiological phases are recognized in the
development of pressure oedema
 interstitial oedema
 alveolar flooding or alveolar oedema
 these phases are virtually identical for left-sided heart failure and fluid
overload
 permeability oedema with diffuse alveolar damage (DAD)
 permeability oedema without diffuse alveolar damage
 mixed oedema due to simultaneous increased hydrostatic pressure and
permeability changes
 It can arise from a range of both cardiogenic and non-cardiogenic
causes.
 Causes
 cardiogenic pulmonary oedema
 left heart failure
congestive cardiac failure
 mitral regurgitation
 non cardiogenic pulmonary oedema: useful mnemonic: NOTCARDIAC
 fluid overload
 pulmonary oedema with acute asthma
 post-obstructive pulmonary oedema/ post intubation pulmonary oedema
 pulmonary oedema in pulmonary thromboembolism
 pulmonary oedema due to air embolism
 pulmonary veno-occlusive disease
 near drowning pulmonary oedema / asphyxiation pulmonary oedema
 ARDS- pulmonary oedema with diffuse alveolar damage
 heroin-induced pulmonary oedema
 pulmonary oedema following administration of cytokines
 transfusion related acute lung injury
 high-altitude pulmonary oedema
 neurogenic pulmonary oedema
 reperfusion pulmonary oedema
 pulmonary oedema following lung transplantation
 re-expansion pulmonary oedema
 post-pneumonectomy pulmonary oedema
 post lung volume reduction pulmonary oedema
 pulmonary oedema from anti snake venom administration.
 Radiographic features
 Plain radiograph
 The chest radiograph still remains the most practical and
useful method of radiologically assessing and quantifying
pulmonary oedema .
 Features useful for broadly assessing pulmonary oedema
on a plain radiograph include:
 pulmonary venous engorgement/ pulmonary blood flow
distribution / upper lobe pulmonary venous diversion
 cardiac size/cardio-thoracic ratio: useful for assessing for
an underlying cardiogenic cause or association
 presence of peri-bronchial cuffing
 septal lines: Kerley lines
 bat wing pulmonary opacities
 pleural effusions
Pulmonary oedema grading
 grade 0: normal chest radiograph, PCWP 8-12 mmHg
 grade 1: shows evidence of upper lobe diversion on a
chest radiograph, PCWP 13-18 mmHg
 grade 2: shows interstitial oedema on a chest
radiograph, PCWP 19-25 mmHg
 grade 3: shows alveolar oedema on a chest radiograph,
PCWP >25 mmHg
Cardiogenic pulmonary edema
Congestive heart failure (CHF) is the result of insufficient output because
of cardiac failure, high resistance in the circulation or fluid overload.
Left ventricle (LV) failure is the most common and results in decreased
cardiac output and increased pulmonary venous pressure.
In the lungs LV failure will lead to dilatation of pulmonary vessels, leakage
of fluid into the interstitium and the pleural space and finally into the alveoli
resulting in pulmonary edema.
Right ventricle (RV) failure is usually the result of long standing LV failure
or pulmonary disease and causes increased systemic venous pressure resulting
in edema in dependent tissues and abdominal viscera.
 Kerley A lines-These are longer (at least 2cm and up to 6cm) unbranching
lines coursing diagonally from the hila out to the periphery of the lungs. They
are caused by distension of anastomotic channels between peripheral and
central lymphatics of the lungs. Kerley A lines are less commonly seen than
Kerley B lines. Kerley A lines are never seen without Kerley B or C lines .
 Kerley B lines
 Kerley B linesThese are short parallel lines at the lung periphery. These lines
represent interlobular septa, which are usually less than 1 cm in length and
parallel to one another at right angles to the pleura. They are located
peripherally in contact with the pleura, but are generally absent along fissural
surfaces. They may be seen in any zone but are most frequently observed at the
lung bases at the costophrenic angles on the PA radiograph, and in the
substernal region on lateral radiographs. [Causes of Kerley B lines include;
pulmonary edema, lymphangitis carcinomatosa and malignant lymphoma,
viral and mycoplasmal pneumonia, interstitial pulmonary fibrosis,
pneumoconiosis, sarcoidosis. They can be an evanescent sign on the CXR of a
patient in and out of heart failure.
 Kerley C lines
 These are the least commonly seen of the Kerley lines. They are short, fine lines
throughout the lungs, with a reticular appearance. They may represent
thickening of anastomotic lymphatics or superimposition of many Kerley B
lines.
A chest radiograph showed an enlarged cardiac silhouette, a dilated azygos vein, and
peribronchial cuffing, in addition to Kerley's A, B, and C lines. Kerley's A lines (arrows)
are linear opacities extending from the periphery to the hila; they are caused by
distention of anastomotic channels between peripheral and central lymphatics. Kerley's
B lines (white arrowheads) are short horizontal lines situated perpendicularly to the
pleural surface at the lung base; they represent edema of the interlobular septa. Kerley's
C lines (black arrowheads) are reticular opacities at the lung base, representing Kerley's
B lines en face.
CXR from 64 year old Hispanic male who was diagnosed
with advanced mesothelioma.
 The most common mesothelioma finding on radiographs is
unilateral, concentric, plaque like, or nodular pleural
thickening.Pleural effusions are common and may obscure the
presence of the un derlying pleural thickening. The tumor
frequently extends into the fissures, which become thickened
and irregular in contour. A slight right-sided predominance is
observed, possibly because of a larger pleural surface area. The
tumor can rigidly encase the lung, causing compression of lung
parenchyma, diaphragm elevation, inter-costal space narrowing,
and mediastinal shift toward the tumor. Calcified pleural
plaques are present in 20% of patients with mesothelioma and
are usually related to the previous asbestos exposure.
 Lung nodules and hilar masses usually result from direct
mesothelioma tumor extension into the lung parenchyma and
mediastinal structures, such as lymph nodes, the pericardium,
and the heart. Although usually unilateral, direct extension of
the tumor across the mediastinum into the contralateral hemi-
thorax does occur.
 Although a definite diagnosis cannot be made on the basis of
plain film findings, new unilateral pleural thickening or effusion
in a patient who has a history of exposure to asbestos is highly
suggestive of mesothelioma.
 Pleural effusion in a 70-year-old man with a history of asbestos exposure and
known left-sided MPM. Axial contrast material-enhanced CT scans obtained at
different levels show unilateral pleural effusion (P) with extensive calcified
pleural plaques (arrows).
Chest wall tumour causing opaque
hemithorax
 x ray of 16y old male
CT of same patient
Axial T1 C+ fat sat
 So the findings are
 A large soft tissue mass arising from the upper left
chest wall.
 Detruction of much of the 4th rib is noted with tumour
extending into serratus anterior but not clearly into
subscapularis. Enlarged vessels are visible
anterolaterally. On both CT and post contrast fat
saturated MRI, the mass heterogenously enhances.
 Features are consistent with subsequent proven ewing
sarcoma of the chest wall.
Ewing sarcoma of chest wall
 Ewing sarcoma family of tumours (ESFT), also referred
as Ewing sarcomas of the chest wall, are malignant
tumours affecting children and young adults, originating
either from the osseous structures or the soft tissues of the
chest wall. (ribs, scapula, sternum of clavicle) or less
frequently in the soft tissues of the chest (it was these latter
lesions that were described as Askin tumours/pPNET).
Typically they present as rapidly growing, often painful
warm soft tissue masses
 On imaging, they are usually characterised as a large
extrapulmonary invasive soft tissue masses that are
heterogeneous due the presence of haemorrhage, necrosis,
or cystic changes. Enhancement is intense and there is
increased uptake in the nuclear medicine studies.
Calcifications are uncommon and a small pleural effusion
is frequently present.
 Radiographic features
 Despite their aggressive nature, these tumours tend to
(at least initially) displace adjacent structure
(e.g. lung, diaphragm). Direct invasion is however seen
especially in larger tumours . May cause rib
destruction.
 CT
 On CT, these tumours are typically ill-defined with
heterogeneous attenuation and multiple areas of cystic
degeneration. Solid components demonstrate
enhancement following the administration of contrast.
Pleural effusions are common but are usually small .
Calcification is uncommon .
 When these tumours arise in bone onion skin
periosteal reaction may be evident.
 MRI
 Typically these masses are heterogeneous on MRI
as well as CT on account of numerous areas of
necrosis, degenerative cystic change and
haemorrhage . Smaller tumours are more likely be
homogeneous .
• T1: iso- or hyperintense to muscle
• T2: heterogeneous high signal
• T1 C+ (Gd): prominent heterogeneous enhancement
 When tumours arise in the paravertebral region,
direct extension through the neural exit foramen may
be seen .
 Differential diagnosis
 The differential is that of other tumours of the chest wall,
especially other sarcomas, including:
 rhabdomyosarcoma
 usually indistinguishable
 thorax is a rare location
 osteosarcoma
 tumour matrix ossification/calcification
 thorax is an atypical location
 chest wall and pleural metastases
 usually the most common primary tumours are also on the
chest: lung cancer and breast cancer
 lymphoma
 homogeneous and vivid enhancing mass without rib
destruction
 solitary fibrous tumour of the pleura
 chest wall involvement rare
Trachea pushed away from the
opacified side
Pleural effusion
 Pleural effusion tends to be used as a catch-all term
denoting a collection of fluid within the pleural space.
This can be further divided into exudates and transudates
depending on the biochemical analysis of aspirated
pleural fluid. Essentially it represents any pathological
process which overwhelms the pleura's ability to
reabsorb fluid.
 Although sometimes the term pleural effusion is used to
include all kinds of fluid that may accumulate in the
pleural cavity. In clinical practice, it usually excludes non-
transudate types of fluid, which can have distinctly
different aetiologies, despite appearing identical on
radiography like
 empyema (pyothorax)
• chylothorax
• haemothorax
Radiographic appearances
 Plain radiograph
 Chest radiographs are the most commonly used examination to assess for the
presence of a pleural effusion; however, it should be noted that on a routine erect
chest x-ray as much as 250-600 ml of fluid is required before it becomes evident . A
lateral decubitus film is most sensitive, able to identify even a small amount of fluid. At
the other extreme, supine films can mask large quantities of fluid.
 Chest radiograph (lateral decubitus)
 A lateral decubitus film (obtained with the patient lying on their side, effusion side
down, with a cross table shoot through technique) can visualise small amounts of fluid
layering against the dependent parietal pleura.
 Chest radiograph (erect)
 Both PA and AP erect films are insensitive to small amounts of fluid. Features include:
• blunting of the costophrenic angle
• blunting of the cardiophrenic angle
• fluid within the horizontal or oblique fissures
• eventually, a meniscus will be seen, on frontal films seen laterally and gently sloping
medially (note: if a hydropneumothorax is present, no such meniscus will be visible)
• with large volume effusions, mediastinal shift occurs away from the effusion (note: if
coexistent collapse dominates then mediastinal shift may occur towards the effusion)
 Lateral films are able to identify a smaller amount of fluid as the costophrenic angles
are deepest posteriorly.
Up right PA view and lateral
decubitus views
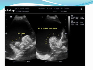
 Ultrasound
 Ultrasound allows the detection of small amounts of
pleural locular fluid, with positive identification of amounts
as small as 3 to 5 ml, that cannot be identified by x-rays,
which is only capable of detecting volumes above 50 ml
of liquid. Contrary to the radiological method, ultrasound
allows an easy differentiation of loculated pleural fluid
and thickened pleura. Moreover, it is effective in
guiding thoracentesis (thoracocentesis), even in small
fluid collections .
 The ultrasound image of pleural effusion is characterised
by an echo-free space between the visceral and parietal
pleura. Septations may be seen in the pleural fluid, and
may indicate underlying infection but can be seen in
chylothorax or haemothorax
 CT
 Role of CT in pleural effusion is mainly to access
mediastinal/lung pathology causative of pleural
effusion.
 CT scanning is excellent at detecting small amounts of
fluid and is also often able to identify the underlying
intrathoracic causes (e.g. malignant pleural
deposits or primary lung neoplasms) as well as
subdiaphragmatic diseases (e.g. subdiaphragmatic
abscess).
 In addition, CT can also help distinguish between a
pleural effusion and a pleural empyema.
Pleural effusion with complete
right lower lobe collapse
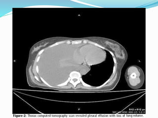
Opaque hemithorax caused by
large pulmonary mass
This is a chest x ray taken from a 48y male
Who presented with left sided chest pain
Dry cough and wt loss since 4 month.
Chest x ray showed a left opaque
Thorax with mediastinal shift opposite to
Opacified side,
These findings was suggestive of a massive
Pleural effusion on clinico-radiological
Assessment.
However thoracocentesis revealed dry tap
On ultrasound of the chest disclosed a
solid, smooth marginated mass
occupying the left hemithorax with
multiple well-defined
rounded cystic spaces and focal areas of
calcification. There was no pleural effusion.
Computed tomography (CT) of the thorax showed
a well-defined heterogeneously enhancing mass
measuring 16.6cm x 13.7cm, and occupying almost
the whole of the left hemi thorax. The mass showed
non-enhancing areas with CT values of 40±5 HU
suggesting a cystic degeneration and areas of
calcification. The mass displaced the mediastinum to
the right side with preservation of the fat planes
between the mediastinum and the mass.
Bipopsy confirmed the case as giant primary pulmonary
fibrosarcoma.
 Patient Data
 Age: Newborn
 Gender: Male
 Presentation
 Baby did not cry at birth.
Chest X-ray (AP view) of 1 hour old
newborn baby shows herniation of
bowel contents into left thoracic
cavity through diaphragm with
displacement of left lung and
mediastinum towards right and
resultant right lung collapse.
Diaphragmatic hernia
 Diaphragmatic hernias are defined as congenital or acquired defect in
the diaphragm.
 Congenital
 There are two main types of congenital diaphragmatic hernia (CDH)s.
Congenital hiatus hernias may also occur, but are uncommon and distinct.
• Bochdalek hernia: most common, located posteriorly and usually present in
infancy
• Morgagni hernia: smaller, anterior and presents later, through the
sternocostal angles.
• Acquired
• traumatic diaphragmatic rupture
• hiatus hernia
• iatrogenic
 Depending on the location and size of the defect retroperitoneal or intra-
abdominal organs and tissues can prolapse into thoracic cavity due to the
negative intra-thoracic pressure.
 Imaging findings
 Initially, hemithorax may appear opaque because loops are
fluid-filled
 Paucity of bowel loops beneath the diaphragm
 Once air swallowing begins, multiple lucencies contained
within bowel are seen
 Respiratory distress may increase as intestine occupies
more space
 Some loops may remain fluid-filled
 Mediastinal shift to the opposite side
 Relative paucity of gas in abdomen
 If stomach remains in abdomen, more centrally located
than normal
 Contrast through an NGT is diagnostic
Imaging in opaqe hemithorax [autosaved]
Imaging in opaqe hemithorax [autosaved]

Imaging in opaqe hemithorax [autosaved]

  • 1.
    PRESENTED BY: DRAJAY SINGH CHOUHAN GUIDED BY: DR R N GEHLOT
  • 2.
    Before going toour topic lets have a look at normal chest X ray PA view and structures normally visualize in it
  • 4.
     Complete Opacificationof a hemithorax seen on a posterior anterior radiograph of Chest usually indicates presence of extensive disease.  The diagnosis in such cases may be quite variable and the differential diagnosis extends from congenital conditions to inflammatory, infective and malignant conditions.  In many cases, the position of mediastinum in opaque hemi thorax helps in narrowing down of list of differential diagnosis on chest X-ray basis. Any space occupying etiology of one side of lung shifts the mediastinum to contra lateral side, whereas in lesions with loss of healthy lung tissue may result in volume loss that shifts the mediastinum to same side. So
  • 5.
     The differentialdiagnosis can be shortened further with one simple observation –  the position of the trachea.  Is it central, pulled or pushed from the side of opacification?
  • 6.
     Trachea pulledtoward the opacified side  Pneumonectomy  total lung collapse  pulmonary agenesis  pulmonary hypoplasia
  • 7.
     Trachea remainscentral in position  consolidation  pulmonary oedema/ARDS  pleural mass: e.g. mesothelioma  chest wall mass: e.g. Askin/Ewing sarcoma
  • 8.
     Pushed awayfrom the opacified side  pleural effusion.  diaphragmatic hernia  large pulmonary mass
  • 9.
     CXR froma 65 year old with right sided chest pain  This patient has previously had a left pneumonectomy. There is mediastinal shift to the left and there are surgical clips visible around the left main bronchus.
  • 10.
     Pneumonectomy isthe complete surgical removal of the lung. It is most commonly performed for a primary lung malignancy. The lung is removed in its entirety providing the patient has adequate pulmonary reserve from the contralateral lung.  Radiographic appearances  Plain radiograph  Pneumonectomy is one of the causes of a white out of the hemithorax.  The hemithorax is completely opacified with the trachea pulled towards the side of the abnormality. Surgical clips may be identified at the lung hilum.  CT  The lung is absent at the side of surgery, with resultant mediastinal shift and compensatory hyperaeration of the contralateral lung.
  • 11.
    CT scan ofpost-pneumonectomy syndrome following right pneumonectomy. Note, left mainstem bronchus compressed between the pulmonary artery (anterior) and the aorta and spine (posterior)
  • 12.
    Trachea pulled towardsopacified side  Total lung collapse:  Collapse is diminished volume of air in the lung with associated reduction of lung volume and in consolidation there is diminished volume of air in the lung associated with normal lung volume  Causes opaque hemithorax with displacement of mediastinum to the affected side with compensatory hyperinflation of opposite lung often with herniation across midline.  Herniation mostly occurs in retrosternal space but may occur posterior to heart or under aortic arch
  • 13.
    MECHANISMS OF COLLAPSE Obstructive collapse/Resorptive:  Results from airway obstruction by an endobronchial lesion. This prevents the passage of air along the bronchial tree. Air distal to the obstruction is resorbed by the alveoli. Atelectasis draws edema fluid into the alveoli. So increased opacity results from both due to absence of air within the lung and due to increased fluid within the alveoli.  Causes are-  obstructing neoplasms,  mucous plugging in asthmatics or critically ill patients and  foreign body aspiration
  • 15.
    X ray of35y male patient K/C/O testicular carcinoma on routine follow up scanning. Complete white out of the right hemithorax , with mild deviation of the trachea to the right. Subtle endoluminal mass is appreciable from the right main bronchus into the lower trachea above the carin
  • 16.
    Complete obstruction ofthe right main bronchus from the level of the carina by a soft tissue density within the lumen. The trachea is deviated to the right . Subsequent collapse of the right lung with right hemithorax volume loss
  • 17.
    Total lung collapsedue to endobronchial intubation  Presentation  Decreased oxygen saturation in adult female patient  Supine chest x-ray was taken  It demonstrates the endotracheal tube located in the right main bronchus probably past the origin of the right upper lobe bronchus. There is associated complete atelectasis of the left lung with marked shift of the mediastinum towards the left. Nasogastric tube in situ.
  • 18.
    Total lung collapsedue to endobronchial intubation  Endobronchial intubation is relatively common in patients intubated in a hurry, and although the chest is auscultated to ensure bilateral air entry, the tube can slowly migrate into the bronchus.  While a well patient can easily survive on a single well ventilated lung, in the setting of trauma or acute illness, endobronchial intubation needs to be recognised and corrected expediently.  Chest radiograph  Identification of the tip of the ETT and awareness of secondary signs of the endobrochial intubation is pivotal in making the diagnosis.  Ideally, ETT tip position should be below the interclavicular line and approximately 2 cm above the carina. This allows for tube tip movement when the neck is moved: 2 when the chin is depressed, the tube tip will move downwards and when the chin is lifted, the tube tip will move upwards.  In circumstances where the carina cannot be visualised, its location can be inferred by identifying the aazygos arch and the arch of the aorta.  The right main bronchus has a more vertical orientation than the left. Thus, if endobronchial intubation occurs, it is (more often than not) the right main bronchus that is intubated.  If the tube is inserted deep into the right main bronchus, the right upper lobe bronchus can be obstructed. This results in collapse of the left lung and the right upper lobe. (In some patients, an anomalous right upper lobe bronchus may be obstructed by a normally sited tube.)  Secondary signs of endobronchial intubation on chest radiograph include collapse of lobe / segments obstructed.
  • 19.
    Total lung collapsedue to foreign body aspiration This is an x ray PA view from A child who presented in the ED With history of aspiration of A peanut. In this case however it is difficult To visualize FB as peanut oil Initiates brisk inflammatory Response with its disintegration But the finding in x ray is left lung Collapse and tracheal shift towards opacified side so it may be in the left Main bronchus.
  • 20.
    FB is confirmedand removed by bronchoscopy Peanut in left main bronchus
  • 21.
    White out hemithoraxwith trachea shifted towards opacified side  A 35 year old male presented with low grade fever and cough with mucopurulent sputum since 10 days with history of recurrent similar episodes since childhood.  General examination revealed pallor and tachypnea.  Chest examination showed decreased movement of right hemithorax, ipsilateral tracheal shift, impaired percussion note and absent breath sound on right side with scanty coarse inspiratory crackles in mammary area. The percussion note was hyper resonant on left side along with harsh vesicular breath sound and coarse crackles.  He was otherwise healthy with no other co morbid illness.
  • 22.
    White out hemithoraxwith trachea shifted towards opacified side  Chest X ray revealed an opaque right hemi thorax with signs of volume loss and compensatory hyperinflation of the left lung.
  • 23.
    White out hemithoraxwith trachea shifted towards opacified side  He was investigated with CT thorax.  CT confirms the diagnosis as pulmonary agenesis
  • 24.
    White out hemithoraxwith trachea shifted towards opacified side  Pulmonary aplasia-  Rare congenital pathology in which there is unilateral or bilateral absence of lung tissue. It is distinguished from pulmonary agenesis, although similar, the main difference being that there is a short-blind ending bronchus in aplasia.  it is usually unilateral, as bilateral pulmonary aplasia is not viable.  Radiographic features  Plain film  On chest x-ray, it can present as an hemithorax white-out or ipsilateral lung volume loss with ipsilateral shift of mediastinal structures and contralateral lung hyperinflation. A main ipsilateral bronchus is rarely seen, although CT-scan can demonstrate a rudimentary main bronchus 1.  CT  CT-scan will confirm the absence of lung parenchyma and mediastinal ipsilateral shift. Also, there is an ipsilateral absence of pulmonary artery. It may also show other cardiac congenital malformations and ipsilateral bronchus remnant.
  • 25.
    White out hemithoraxwith trachea shifted towards opacified side  An 18-year-old boy presented to the medical clinic with exertional chest pain, dyspnoea during sleep, cough with expectoration and intermittent fever for 5 days. He was a labourer . He gave a history of antitubercular therapy taken for around 3 months. There was no history of any diu.rnal variation in fever, chills/rigors associated, haemoptysis or anxiety/palpitations.  X-RAY  markedly shifted trachea (towards left),  crowding of ribs on the left side and  compensatory hyperplasia of the right lung.
  • 26.
    White out hemithoraxwith trachea shifted towards opacified side
  • 27.
    White out hemithoraxwith trachea shifted towards opacified side  Pulmonary hypoplasia:  It is characterised by the presence of both bronchi (albeit rudimentary) and alveoli in an under- developed lobe. Both the size and the weight of the lung is reduced. so  Agenesis (complete absence of the lung tissue);  Aplasia (no lung tissue, but there is a rudimentary bronchus);  Hypoplasia (all lung tissues exist but underdeveloped).
  • 28.
     Trachea pulledtoward the opacified side  Pneumonectomy  total lung collapse  pulmonary agenesis  pulmonary hypoplasia
  • 29.
     Trachea remainscentral in position  consolidation  pulmonary oedema/ARDS  pleural mass: e.g. mesothelioma  chest wall mass: e.g. Askin/Ewing sarcoma
  • 30.
    Trachea remains centralin position  This patient presented to the emergency department for increasing fatigue and shortness of breath.  CXR  Shows-  A complete white out of the right  lung .  Trachea is central.
  • 31.
    Trachea remains centralin position  USG of same patient-  This is the appearance of consolidated lung (in this case, cancer). Normal lung is air filled and not readily visible with ultrasound, but in consolidation as fluid fills the lung and displaces air the lung is easier to visualize with ultrasound.  In this image its easy to see the difference between collapsed lung (from cancer) and pleural fluid, but in some cases complex effusions can be more difficult to distinguish. You can look for air bronchograms (small bright reflectors from air trapped in the lung), or doppler can be used to visualize small pulmonary vessels.
  • 32.
    Trachea remains centralin position  Consolidation is the result of replacement of air in the alveoli by transudate, pus, blood, cells or other substances. Pneumonia is by far the most common cause of consolidation. The disease usually starts within the alveoli and spreads from one alveolus to another. When it reaches a fissure the spread stops there.  The key-findings on the X-ray are:  No Tracheal shift  ill-defined homogeneous opacity obscuring vessels  :Silhouette sign loss of lung/soft tissue interface  Air-bronchogram  Extention to the pleura or fissure, but not crossing it  No volume loss
  • 33.
    Trachea remains centralin position Diffuse consolidation in bronchoalveolar carcinoma The chest x-ray shows diffuse consolidation with 'white out' of the left lung with an air-bronchogram. This patient had a chronic disease with progressive consolidation. The disease started as a persitent consolidation in the left lung and finally spread to the right lung. Final diagnosis: bronchoalveolar carcinoma.
  • 34.
    Trachea remains centralin position CT findings- extensive airspace opacities with numerous air-bronchograms. Sputum, right and left main bronchus lavage were positive for malignant cells consistent of carcinoma,
  • 35.
    Trachea remains centralin position  Presentation  Patient admitted with progressive respiratory distress 24 hours after arriving at town at 2700 meters above sea level.  Finding  Diffuse indistict airspace Opacity (right>left)
  • 36.
    Trachea remains centralin position  Pulmonary oedema  Pathology  One method of classifying pulmonary oedema is as four main categories on the basis of pathophysiology which include:  increased hydrostatic pressure oedema  two pathophysiological and radiological phases are recognized in the development of pressure oedema  interstitial oedema  alveolar flooding or alveolar oedema  these phases are virtually identical for left-sided heart failure and fluid overload  permeability oedema with diffuse alveolar damage (DAD)  permeability oedema without diffuse alveolar damage  mixed oedema due to simultaneous increased hydrostatic pressure and permeability changes  It can arise from a range of both cardiogenic and non-cardiogenic causes.
  • 37.
     Causes  cardiogenicpulmonary oedema  left heart failure congestive cardiac failure  mitral regurgitation  non cardiogenic pulmonary oedema: useful mnemonic: NOTCARDIAC  fluid overload  pulmonary oedema with acute asthma  post-obstructive pulmonary oedema/ post intubation pulmonary oedema  pulmonary oedema in pulmonary thromboembolism  pulmonary oedema due to air embolism  pulmonary veno-occlusive disease  near drowning pulmonary oedema / asphyxiation pulmonary oedema  ARDS- pulmonary oedema with diffuse alveolar damage  heroin-induced pulmonary oedema  pulmonary oedema following administration of cytokines  transfusion related acute lung injury  high-altitude pulmonary oedema  neurogenic pulmonary oedema  reperfusion pulmonary oedema  pulmonary oedema following lung transplantation  re-expansion pulmonary oedema  post-pneumonectomy pulmonary oedema  post lung volume reduction pulmonary oedema  pulmonary oedema from anti snake venom administration.
  • 38.
     Radiographic features Plain radiograph  The chest radiograph still remains the most practical and useful method of radiologically assessing and quantifying pulmonary oedema .  Features useful for broadly assessing pulmonary oedema on a plain radiograph include:  pulmonary venous engorgement/ pulmonary blood flow distribution / upper lobe pulmonary venous diversion  cardiac size/cardio-thoracic ratio: useful for assessing for an underlying cardiogenic cause or association  presence of peri-bronchial cuffing  septal lines: Kerley lines  bat wing pulmonary opacities  pleural effusions
  • 39.
    Pulmonary oedema grading grade 0: normal chest radiograph, PCWP 8-12 mmHg  grade 1: shows evidence of upper lobe diversion on a chest radiograph, PCWP 13-18 mmHg  grade 2: shows interstitial oedema on a chest radiograph, PCWP 19-25 mmHg  grade 3: shows alveolar oedema on a chest radiograph, PCWP >25 mmHg
  • 40.
    Cardiogenic pulmonary edema Congestiveheart failure (CHF) is the result of insufficient output because of cardiac failure, high resistance in the circulation or fluid overload. Left ventricle (LV) failure is the most common and results in decreased cardiac output and increased pulmonary venous pressure. In the lungs LV failure will lead to dilatation of pulmonary vessels, leakage of fluid into the interstitium and the pleural space and finally into the alveoli resulting in pulmonary edema. Right ventricle (RV) failure is usually the result of long standing LV failure or pulmonary disease and causes increased systemic venous pressure resulting in edema in dependent tissues and abdominal viscera.
  • 41.
     Kerley Alines-These are longer (at least 2cm and up to 6cm) unbranching lines coursing diagonally from the hila out to the periphery of the lungs. They are caused by distension of anastomotic channels between peripheral and central lymphatics of the lungs. Kerley A lines are less commonly seen than Kerley B lines. Kerley A lines are never seen without Kerley B or C lines .  Kerley B lines  Kerley B linesThese are short parallel lines at the lung periphery. These lines represent interlobular septa, which are usually less than 1 cm in length and parallel to one another at right angles to the pleura. They are located peripherally in contact with the pleura, but are generally absent along fissural surfaces. They may be seen in any zone but are most frequently observed at the lung bases at the costophrenic angles on the PA radiograph, and in the substernal region on lateral radiographs. [Causes of Kerley B lines include; pulmonary edema, lymphangitis carcinomatosa and malignant lymphoma, viral and mycoplasmal pneumonia, interstitial pulmonary fibrosis, pneumoconiosis, sarcoidosis. They can be an evanescent sign on the CXR of a patient in and out of heart failure.  Kerley C lines  These are the least commonly seen of the Kerley lines. They are short, fine lines throughout the lungs, with a reticular appearance. They may represent thickening of anastomotic lymphatics or superimposition of many Kerley B lines.
  • 42.
    A chest radiographshowed an enlarged cardiac silhouette, a dilated azygos vein, and peribronchial cuffing, in addition to Kerley's A, B, and C lines. Kerley's A lines (arrows) are linear opacities extending from the periphery to the hila; they are caused by distention of anastomotic channels between peripheral and central lymphatics. Kerley's B lines (white arrowheads) are short horizontal lines situated perpendicularly to the pleural surface at the lung base; they represent edema of the interlobular septa. Kerley's C lines (black arrowheads) are reticular opacities at the lung base, representing Kerley's B lines en face.
  • 43.
    CXR from 64year old Hispanic male who was diagnosed with advanced mesothelioma.
  • 44.
     The mostcommon mesothelioma finding on radiographs is unilateral, concentric, plaque like, or nodular pleural thickening.Pleural effusions are common and may obscure the presence of the un derlying pleural thickening. The tumor frequently extends into the fissures, which become thickened and irregular in contour. A slight right-sided predominance is observed, possibly because of a larger pleural surface area. The tumor can rigidly encase the lung, causing compression of lung parenchyma, diaphragm elevation, inter-costal space narrowing, and mediastinal shift toward the tumor. Calcified pleural plaques are present in 20% of patients with mesothelioma and are usually related to the previous asbestos exposure.  Lung nodules and hilar masses usually result from direct mesothelioma tumor extension into the lung parenchyma and mediastinal structures, such as lymph nodes, the pericardium, and the heart. Although usually unilateral, direct extension of the tumor across the mediastinum into the contralateral hemi- thorax does occur.  Although a definite diagnosis cannot be made on the basis of plain film findings, new unilateral pleural thickening or effusion in a patient who has a history of exposure to asbestos is highly suggestive of mesothelioma.
  • 45.
     Pleural effusionin a 70-year-old man with a history of asbestos exposure and known left-sided MPM. Axial contrast material-enhanced CT scans obtained at different levels show unilateral pleural effusion (P) with extensive calcified pleural plaques (arrows).
  • 46.
    Chest wall tumourcausing opaque hemithorax  x ray of 16y old male
  • 47.
    CT of samepatient
  • 48.
    Axial T1 C+fat sat
  • 49.
     So thefindings are  A large soft tissue mass arising from the upper left chest wall.  Detruction of much of the 4th rib is noted with tumour extending into serratus anterior but not clearly into subscapularis. Enlarged vessels are visible anterolaterally. On both CT and post contrast fat saturated MRI, the mass heterogenously enhances.  Features are consistent with subsequent proven ewing sarcoma of the chest wall.
  • 50.
    Ewing sarcoma ofchest wall  Ewing sarcoma family of tumours (ESFT), also referred as Ewing sarcomas of the chest wall, are malignant tumours affecting children and young adults, originating either from the osseous structures or the soft tissues of the chest wall. (ribs, scapula, sternum of clavicle) or less frequently in the soft tissues of the chest (it was these latter lesions that were described as Askin tumours/pPNET). Typically they present as rapidly growing, often painful warm soft tissue masses  On imaging, they are usually characterised as a large extrapulmonary invasive soft tissue masses that are heterogeneous due the presence of haemorrhage, necrosis, or cystic changes. Enhancement is intense and there is increased uptake in the nuclear medicine studies. Calcifications are uncommon and a small pleural effusion is frequently present.
  • 51.
     Radiographic features Despite their aggressive nature, these tumours tend to (at least initially) displace adjacent structure (e.g. lung, diaphragm). Direct invasion is however seen especially in larger tumours . May cause rib destruction.  CT  On CT, these tumours are typically ill-defined with heterogeneous attenuation and multiple areas of cystic degeneration. Solid components demonstrate enhancement following the administration of contrast. Pleural effusions are common but are usually small . Calcification is uncommon .  When these tumours arise in bone onion skin periosteal reaction may be evident.
  • 52.
     MRI  Typicallythese masses are heterogeneous on MRI as well as CT on account of numerous areas of necrosis, degenerative cystic change and haemorrhage . Smaller tumours are more likely be homogeneous . • T1: iso- or hyperintense to muscle • T2: heterogeneous high signal • T1 C+ (Gd): prominent heterogeneous enhancement  When tumours arise in the paravertebral region, direct extension through the neural exit foramen may be seen .
  • 53.
     Differential diagnosis The differential is that of other tumours of the chest wall, especially other sarcomas, including:  rhabdomyosarcoma  usually indistinguishable  thorax is a rare location  osteosarcoma  tumour matrix ossification/calcification  thorax is an atypical location  chest wall and pleural metastases  usually the most common primary tumours are also on the chest: lung cancer and breast cancer  lymphoma  homogeneous and vivid enhancing mass without rib destruction  solitary fibrous tumour of the pleura  chest wall involvement rare
  • 54.
    Trachea pushed awayfrom the opacified side
  • 56.
    Pleural effusion  Pleuraleffusion tends to be used as a catch-all term denoting a collection of fluid within the pleural space. This can be further divided into exudates and transudates depending on the biochemical analysis of aspirated pleural fluid. Essentially it represents any pathological process which overwhelms the pleura's ability to reabsorb fluid.  Although sometimes the term pleural effusion is used to include all kinds of fluid that may accumulate in the pleural cavity. In clinical practice, it usually excludes non- transudate types of fluid, which can have distinctly different aetiologies, despite appearing identical on radiography like  empyema (pyothorax) • chylothorax • haemothorax
  • 57.
    Radiographic appearances  Plainradiograph  Chest radiographs are the most commonly used examination to assess for the presence of a pleural effusion; however, it should be noted that on a routine erect chest x-ray as much as 250-600 ml of fluid is required before it becomes evident . A lateral decubitus film is most sensitive, able to identify even a small amount of fluid. At the other extreme, supine films can mask large quantities of fluid.  Chest radiograph (lateral decubitus)  A lateral decubitus film (obtained with the patient lying on their side, effusion side down, with a cross table shoot through technique) can visualise small amounts of fluid layering against the dependent parietal pleura.  Chest radiograph (erect)  Both PA and AP erect films are insensitive to small amounts of fluid. Features include: • blunting of the costophrenic angle • blunting of the cardiophrenic angle • fluid within the horizontal or oblique fissures • eventually, a meniscus will be seen, on frontal films seen laterally and gently sloping medially (note: if a hydropneumothorax is present, no such meniscus will be visible) • with large volume effusions, mediastinal shift occurs away from the effusion (note: if coexistent collapse dominates then mediastinal shift may occur towards the effusion)  Lateral films are able to identify a smaller amount of fluid as the costophrenic angles are deepest posteriorly.
  • 58.
    Up right PAview and lateral decubitus views
  • 60.
     Ultrasound  Ultrasoundallows the detection of small amounts of pleural locular fluid, with positive identification of amounts as small as 3 to 5 ml, that cannot be identified by x-rays, which is only capable of detecting volumes above 50 ml of liquid. Contrary to the radiological method, ultrasound allows an easy differentiation of loculated pleural fluid and thickened pleura. Moreover, it is effective in guiding thoracentesis (thoracocentesis), even in small fluid collections .  The ultrasound image of pleural effusion is characterised by an echo-free space between the visceral and parietal pleura. Septations may be seen in the pleural fluid, and may indicate underlying infection but can be seen in chylothorax or haemothorax
  • 61.
     CT  Roleof CT in pleural effusion is mainly to access mediastinal/lung pathology causative of pleural effusion.  CT scanning is excellent at detecting small amounts of fluid and is also often able to identify the underlying intrathoracic causes (e.g. malignant pleural deposits or primary lung neoplasms) as well as subdiaphragmatic diseases (e.g. subdiaphragmatic abscess).  In addition, CT can also help distinguish between a pleural effusion and a pleural empyema.
  • 62.
    Pleural effusion withcomplete right lower lobe collapse
  • 64.
    Opaque hemithorax causedby large pulmonary mass This is a chest x ray taken from a 48y male Who presented with left sided chest pain Dry cough and wt loss since 4 month. Chest x ray showed a left opaque Thorax with mediastinal shift opposite to Opacified side, These findings was suggestive of a massive Pleural effusion on clinico-radiological Assessment. However thoracocentesis revealed dry tap On ultrasound of the chest disclosed a solid, smooth marginated mass occupying the left hemithorax with multiple well-defined rounded cystic spaces and focal areas of calcification. There was no pleural effusion.
  • 65.
    Computed tomography (CT)of the thorax showed a well-defined heterogeneously enhancing mass measuring 16.6cm x 13.7cm, and occupying almost the whole of the left hemi thorax. The mass showed non-enhancing areas with CT values of 40±5 HU suggesting a cystic degeneration and areas of calcification. The mass displaced the mediastinum to the right side with preservation of the fat planes between the mediastinum and the mass. Bipopsy confirmed the case as giant primary pulmonary fibrosarcoma.
  • 66.
     Patient Data Age: Newborn  Gender: Male  Presentation  Baby did not cry at birth. Chest X-ray (AP view) of 1 hour old newborn baby shows herniation of bowel contents into left thoracic cavity through diaphragm with displacement of left lung and mediastinum towards right and resultant right lung collapse.
  • 67.
    Diaphragmatic hernia  Diaphragmatichernias are defined as congenital or acquired defect in the diaphragm.  Congenital  There are two main types of congenital diaphragmatic hernia (CDH)s. Congenital hiatus hernias may also occur, but are uncommon and distinct. • Bochdalek hernia: most common, located posteriorly and usually present in infancy • Morgagni hernia: smaller, anterior and presents later, through the sternocostal angles. • Acquired • traumatic diaphragmatic rupture • hiatus hernia • iatrogenic  Depending on the location and size of the defect retroperitoneal or intra- abdominal organs and tissues can prolapse into thoracic cavity due to the negative intra-thoracic pressure.
  • 68.
     Imaging findings Initially, hemithorax may appear opaque because loops are fluid-filled  Paucity of bowel loops beneath the diaphragm  Once air swallowing begins, multiple lucencies contained within bowel are seen  Respiratory distress may increase as intestine occupies more space  Some loops may remain fluid-filled  Mediastinal shift to the opposite side  Relative paucity of gas in abdomen  If stomach remains in abdomen, more centrally located than normal  Contrast through an NGT is diagnostic