Radiology Chest assessment
Case 1
Findings with marks
CXR of adult female
Bilateral symmetrical bulky hila (3)
 lungs = N (1)
CP angles = N (1)
Dx = Sarcoidosis ( stage 1) (3)
DD = lymphoma (1)
What next = CT chest (1)
 CXR PA view
 Large rounded nodules in bilateral upper zones (1)
 Containing calcific specks (1)
 Peripheral emphysema upper lobes (1)
 Tiny nodules mid and lower zones (2)
 Dx : Pneumoconiosis with progressive massive fibrosis (4)
What next = CT chest (1)
Findings
Findings
 CXR
 Young child (1)
 Left upper lobe hypertransradiant (1)
 Overinflated and herniated to towards right (2)
 Marked attenuation of vessels in it (1)
 Crowding of vessels in left lower lung (1)
 DX= Congenital lobar emphysema (4)
Case 4
Findings
CTPA (1)
Filling defects in Bilateral pulmonary arteries (2)
Bilateral pleural effusions (2)
Soft tissue opacity right lung (1)
Dx : Pulmonary Embolism (3)
What Next = Doppler scan of lower limbs (1)
Case 5
Findings
• CXR
• Adult female (1)
• Right mastectomy (2)
• Tenting of right hemi diaphragm (1)
• Heterogeneous opacities right lower zone (1)
• Ipsilateral cardiac shift(1)
• Dx= CA right breast ( mastectomy ) with
radiation fibrosis (4)
Findings
• CXR
• Bilateral bulky central pulmonary arteries (2)
• Peripheral pruning of vessels (2)
• Normal cardiac size (1)
• Right cervical rib (1)
• Dx= Pulmonary hypertension (3)
• What Next = Echocardiography (1)
Case 7 : Sudden shortness of breath
Findings
• CXR
• Hyper inflated left lung (2)
• Hyper lucent left lung (1)
• Mediastinal shift towards right (1)
• Increased intercostal space between left sided ribs (1)
• Dx = obstructive emphysema ( FB inhalation) (3)
• What Next = bronchoscopy (2)
Case 8
Findings
 CXR
 Hypertransradiant left lung (2)
 Oligemic left lung (1)
 Increase bronchovascular markings in left retrocardiac
region (2)
 Right lung = N (1)
 Dx = Left lower lobe collapse with compensatory
hyperinflation of upper lobe (3)
 What Next = Lateral CXR, CT (1)
Case 9
• CT chest with contrast ( lung + mediastinal window) (1)
• Large, heterogeneous mass right breast (1)
• Skin thickening + nipple retraction (1)
• Nodules right upper lobe (1)
• Reticulations right upper lobe (1)
• Bilateral pleural effusions (1)
• Hypodense area in liver (1)
• Dx = CA breast with lymphangitis carcinomatosa and
liver metastasis (2)
What Next = FNAC breast (1)
Findings
Case 10 : Asthmatic patient c/o cough
Findings
CT chest axial image ( lung window) (1)
Bilateral bronchiectasis (2)
Mucus plugs ( glove finger ) (3)
Dx = ABPA (4)
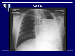
Case 11
Findings
CXR
Opaque left hemi thorax with air fluid level (2)
Ipsilateral mediastinal shift (2)
Overinflated right lung (2)
Dx =Left pneumonectomy (4)
Case 12
Findings
• CT chest lung and mediastinal windows axial + coronal
views (1)
• Small, lucent left lung (2)
• ipsilateral mediastinal shift (1)
• Left sided bronchiectasis (1)
• Small left pulmonary artery (2)
Dx: Macleod's syndrome (3)
Findings
 X-ray chest PA view of adult male (01)
 Opaque left hemi thorax (01)
 Mediastinal shift toward left (01)
 No air-bronchogram, cavitations or bony lesion (02)
 Normal right lung (01)
 Diagnosis: -
Collapse left lung (due to hilar mass ?) (03)
 Advised: -
CECT chest (01)
Case 14
Findings
• CXR
• Lung apical lung mass (1)
• Destruction of left 4th rib (2)
• CP angles = clear (1)
• Right lung = normal (1)
• Dx : pancoast tumor (4)
• What Next = CT chest (1)
Findings
X-ray chest PA view of adult male (01)
Cystic shadows in both lower zones (02)
Dextrocardia with blurring of cardiac outline (02)
Diagnosis: - Dextrocardia with bilateral bronchiectasis (02)
(Kartagener's syndrome ) (02)
Advised: -X-ray PNS (01)

Radiology chest assessment

  • 1.
  • 2.
  • 3.
    Findings with marks CXRof adult female Bilateral symmetrical bulky hila (3)  lungs = N (1) CP angles = N (1) Dx = Sarcoidosis ( stage 1) (3) DD = lymphoma (1) What next = CT chest (1)
  • 5.
     CXR PAview  Large rounded nodules in bilateral upper zones (1)  Containing calcific specks (1)  Peripheral emphysema upper lobes (1)  Tiny nodules mid and lower zones (2)  Dx : Pneumoconiosis with progressive massive fibrosis (4) What next = CT chest (1) Findings
  • 7.
    Findings  CXR  Youngchild (1)  Left upper lobe hypertransradiant (1)  Overinflated and herniated to towards right (2)  Marked attenuation of vessels in it (1)  Crowding of vessels in left lower lung (1)  DX= Congenital lobar emphysema (4)
  • 8.
  • 9.
    Findings CTPA (1) Filling defectsin Bilateral pulmonary arteries (2) Bilateral pleural effusions (2) Soft tissue opacity right lung (1) Dx : Pulmonary Embolism (3) What Next = Doppler scan of lower limbs (1)
  • 10.
  • 11.
    Findings • CXR • Adultfemale (1) • Right mastectomy (2) • Tenting of right hemi diaphragm (1) • Heterogeneous opacities right lower zone (1) • Ipsilateral cardiac shift(1) • Dx= CA right breast ( mastectomy ) with radiation fibrosis (4)
  • 13.
    Findings • CXR • Bilateralbulky central pulmonary arteries (2) • Peripheral pruning of vessels (2) • Normal cardiac size (1) • Right cervical rib (1) • Dx= Pulmonary hypertension (3) • What Next = Echocardiography (1)
  • 14.
    Case 7 :Sudden shortness of breath
  • 15.
    Findings • CXR • Hyperinflated left lung (2) • Hyper lucent left lung (1) • Mediastinal shift towards right (1) • Increased intercostal space between left sided ribs (1) • Dx = obstructive emphysema ( FB inhalation) (3) • What Next = bronchoscopy (2)
  • 16.
  • 17.
    Findings  CXR  Hypertransradiantleft lung (2)  Oligemic left lung (1)  Increase bronchovascular markings in left retrocardiac region (2)  Right lung = N (1)  Dx = Left lower lobe collapse with compensatory hyperinflation of upper lobe (3)  What Next = Lateral CXR, CT (1)
  • 18.
  • 19.
    • CT chestwith contrast ( lung + mediastinal window) (1) • Large, heterogeneous mass right breast (1) • Skin thickening + nipple retraction (1) • Nodules right upper lobe (1) • Reticulations right upper lobe (1) • Bilateral pleural effusions (1) • Hypodense area in liver (1) • Dx = CA breast with lymphangitis carcinomatosa and liver metastasis (2) What Next = FNAC breast (1) Findings
  • 20.
    Case 10 :Asthmatic patient c/o cough
  • 21.
    Findings CT chest axialimage ( lung window) (1) Bilateral bronchiectasis (2) Mucus plugs ( glove finger ) (3) Dx = ABPA (4)
  • 22.
  • 23.
    Findings CXR Opaque left hemithorax with air fluid level (2) Ipsilateral mediastinal shift (2) Overinflated right lung (2) Dx =Left pneumonectomy (4)
  • 24.
  • 25.
    Findings • CT chestlung and mediastinal windows axial + coronal views (1) • Small, lucent left lung (2) • ipsilateral mediastinal shift (1) • Left sided bronchiectasis (1) • Small left pulmonary artery (2) Dx: Macleod's syndrome (3)
  • 27.
    Findings  X-ray chestPA view of adult male (01)  Opaque left hemi thorax (01)  Mediastinal shift toward left (01)  No air-bronchogram, cavitations or bony lesion (02)  Normal right lung (01)  Diagnosis: - Collapse left lung (due to hilar mass ?) (03)  Advised: - CECT chest (01)
  • 28.
  • 29.
    Findings • CXR • Lungapical lung mass (1) • Destruction of left 4th rib (2) • CP angles = clear (1) • Right lung = normal (1) • Dx : pancoast tumor (4) • What Next = CT chest (1)
  • 31.
    Findings X-ray chest PAview of adult male (01) Cystic shadows in both lower zones (02) Dextrocardia with blurring of cardiac outline (02) Diagnosis: - Dextrocardia with bilateral bronchiectasis (02) (Kartagener's syndrome ) (02) Advised: -X-ray PNS (01)