IPF or Non-IPF Interstitial Lung
Diseases

By

Gamal Rabie Agmy , MD , FCCP

Professor of Chest Diseases ,Assiut University
What is the Pulmonary
Interstitium?
• Interstitial compartment is
the portion of the lung
sandwiched between the
epithelial and endothelial
basement membrane
• Expansion of the interstitial
compartment by
inflammation with or without
fibrosis
– Necrosis
– Hyperplasia
– Collapse of basement
membrane
– Inflammatory cells
The Lung Interstitium
The interstitium of the lung is not normally visible radiographically; it becomes visible only when disease (e.g., edema,
fibrosis, tumor) increases its volume and attenuation.
The interstitial space is defined as continuum of loose
connective tissue throughout the lung composed of three
subdivisions:

(i) the bronchovascular (axial), surrounding the bronchi,
arteries, and veins from the lung root to the level of the
respiratory bronchiole
(ii) the parenchymal (acinar), situated between the alveolar
and capillary basement membranes
(iii) the subpleural, situated beneath the pleura, as well as in
the interlobular septae.
Secondary pulmonary lobular
anatomy
The terminal bronchiole in the center
divides into respiratory bronchioles with
acini that contain alveoli.
Lymphatics and veins run within the
interlobular septa

Centrilobular area in blue (left)
and perilymphatic area in yellow
(right)
Ideal ILD doctor
Pulmonologist

Radiologist

Pathologist
Diffuse Parenchymal Lung Disease
DPLD of known
cause (e.g. drugs,
dust exposure,
collagen vascular
disease)

Idiopathic
Granulomatous
interstitial
DPLD (e.g.
pneumonias
sarcoidosis)

Idiopathic
pulmonary
fibrosis (IPF)

Other forms of DPLD
(e.g. LAM, HX,
eosin. pneum. etc.)

IIP other than
idiopathic
pulmonary fibrosis

Desquamative interstitial
pneumonia (DIP)

Respiratory bronchiolitis/
Interst. lung dis. (RBILD)

Acute interstitial
pneumonia (AIP)

Cryptogenic organising
pneumonia (COP)

Nonspecific interstitial
pneumonia (NSIP)

Lymphocytic interstitial
pneumonia (LIP)
Clinical Categorisation of
Idiopathic Interstitial
Pneumonias
7 histological categories
•
•
•
•
•
•
•

Usual interstitial pneumonia (UIP)
Nonspecific interstitial pneumonia (NSIP)
Organising pneumonia (OP)*
Diffuse alveolar damage (DAD)
Desquamative interstitial pneumonia (DIP)**
Respiratory bronchiolitis (RB)
Lymphocytic interstitial pneumonia (LIP)
* previously BOOP ** previously AMP
Correlation with HRCT patterns
UIP
+

NSIP
+

OP
+

DAD
+

DIP
+

RB
+

LIP
+

=
IPF

=
NSIP

=
COP

=
AIP

=
DIP

=
RB-ILD

=
LIP

 7 clinical-radiological-pathological categories
ATS/ERS International Multidisciplinary Consensus Classification of the
Idiopathic Interstitial Pneumonias, AJRCCM Vol 165. pp 277-304, 2002
IPF/UIP
„disease status‟

Histology:
• Heterogeneous appearance
ü(hardly any inflammation)
• Temporal heterogeneity
Old + new fibrosis (fibroblastic foci)
Non-specific interstitial pneumonia
’IIP-NSIP cellular / fibrotic variant’

• fine reticulation
• ground glass

• temporal uniformity on biopsy
• no / few fibroblastic foci
Cryptogenic organising
pneumonia

(BOOP)
• patchy consolidations (95%)
• perilobular opacity (50%)

Ujita, Radiology 2004; 232: 757-61
Acute interstitial
pneumonia
Congestion & oedema

Exudative phase
acute onset, with systemic features: idiopathic ARDS
 granulocytes + occasional lymphocytes; debris
 survival from diagnosis often days despite mechanical support

Respiratory bronchiolitis associated
interstitial lung disease

cigarette smoker
 obstructive or restrictive lung function
 AM with smoker’s inclusions on BAL

Desquamative interstitial pneumonia
(AMP)




smoker
BAL: AM+++N+E+L
LIP
Lymphocytic interstitial pneumonia

AIDS
 lymphoproliferative
 rheumatological
 idiopathic (rare)
 lymphocytes on BAL

Radiologist

Pulmonologist

Diagnosis
Pathologist
Correct IIP diagnoses need teamwork
and experience
Flaherty KR, AJRCCM 2004;170:904-10
Practical issues
• Clinical setting with regular meetings
of key specialists
• Not all IIP cases are classifiable:
„non-classifiable interstitial
pneumonias‟ (8th category)
• NSIP is an area of important
uncertainty (NSIP ~ provisional
category)
> 50% of inter-observer variation between pathologists
and radiologists relate to the diagnosis of NSIP
Nicholson AG, Thorax 2004; 59:500-5 // Aziz ZA, Thorax 2004; 59:506-11
ATS/ERS INTERNATIONAL
MULTIDISCIPLINARY CONSENSUS
CLASSIFICATION OF IDIOPATHIC
INTERSTITIAL PNEUMONIAS
General Principles and Recommendations
Co-chairs: William D. Travis, M.D.
Talmadge King, Jr. M.D.
Am J Respir Crit Care Med 2002; 165: 277
Classification
Diagnostic

Approach
According to
ATS/ERS Statement
2002
Roles of Clinicians,
Radiologists and Pathologists
•History

•Exposure
•Drugs

•Symptoms & Signs

Clinicians
(Pulmonologists)

Radiologists
•Should know, identify
and report patternspecific features

•Systemic
Diseases (CVD)
•Age

Pathologists
•Should know, identify
and report patternspecific features
Diagnostic Process in DPLD
History, physical examination,
chest radiograph, lung function tests

Not IIP

Possible IIP

e.g. assoc. collagen vascular disease,
environmental, drug-related, etc.

HRCT
History: Onset of Pulmonary Symptoms
ACUTE

SUBACUTE

CHRONIC

• COP

• COP

• IPF

• AIP

• Subacute HP

• NSIP

• Ac.Eos.Pn.

• Chron.Eos.Pn.

• DIP/RBILD

• Acute HP

• Drug-induced ILD

• chronic HP

• Drug-induced
injury

• CVD-associated ILD
• Asbestosis, Silicosis
Sarcoidosis
Histiocytosis X
Lymphangioleiomyomatosis
IPF
HRCT
Confident CT
diagnosis of IPF with
consistent clinical
features

Atypical clinical
or CT features
for IPF
TBBx or
BAL?

Features diagnostic
of another
DPLD e.g. HX

If non-diagnostic

Suspected
other DPLD

TBBx, BAL or
other relevant
test

Surgical lung biopsy

UIP

NSIP

RB

DIP DAD

OP

LIP

non-IIP
confirmed
IPF without surgical biopsy
(ATS/ERS Statement 2000)

Major Criteria (all
required)

Minor criteria (3 of 4
required)

• exclusion of known causes • age > 50 yr
of ILD
• insidious onset of otherwise
• abnormal PFT including
unexplained dsypnea on
restriction and impaired
exertion
gas exchange
• duration of illness > 3
• bibasilar reticular
months
abnormalities with minimal
ground glass on HRCT
• bibasilar inspiratory crackles
• TBB or BAL showing no
(velcro-type)
features to support an
alternate diagnosis
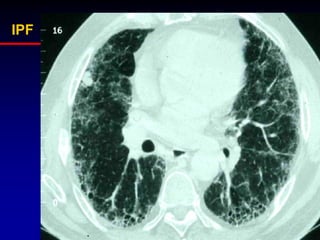
Idiopathic Pulmonary Fibrosis:
typical CT features
• Subpleural/basal
• Fine reticular
• Honeycombing
• Little/no groundglass
HRCT Criteria of IPF
1-reticular abnormality and/or traction
bronchiectasis with basal and peripheral
predominance
2-honeycombing with basal and peripheral
predominance

3-atypical features are absent
–
–
–
–

Micronodules are not present
peribronchovascular nodules are not present
consolidation is not present
ground glass attenuation, if present, is less extensive
than reticular opacity
– mediastinal adenopathy, if present, is not extensive
enough to be visible on chest X-ray

Definite IPF: all 3 are met
Probable IPF: 1 and 3 are met
Accuracy of Clinical & Radiological
Diagnosis of IPF
• 59 patients with surgical biopsies
• clinical diagnosis or radiological diagnosis
• clinical diagnosis of IPF
- 97% specific
- 62% sensitive
• HRCT diagnosis of IPF
- 90% specific
- 79% sensitive
Raghu et al, 1999
Pitfalls with CT
Technical Issues
• HRCT vs. conventional CT
• Gravity effects
• Expiration
Conventional CT vs HRCT
Conventional
CT

HRCT
IPF

inverted Position
Bronchiolitis: Mosaic Pattern
Inspiration

Exspiration
Role of BAL in IPF
• BAL may reveal alternative specific
diagnoses: malignancy, infections,
eosinophilic pneumonia, histiocytosis X,
alveolar proteinosis
• Increase in neutrophils +/eosinophils (in 90%)
suggests a fibrosing
process:
IPF, collagen/vascular
disease, asbestosis
• A lone increase in
lymphocytes is uncommon,
exclude: sarcoidosis, EAA,
BOOP, NSIP, LIP
HRCT
Confident CT
diagnosis of IPF with
consistent clinical
features

Atypical clinical
or CT features
for IPF
TBBx or
BAL?

Features diagnostic
of another
DPLD e.g. HX

If non-diagnostic

Suspected
other DPLD

TBBx, BAL or
other relevant
test

Surgical lung biopsy

UIP

NSIP

RB

DIP DAD

OP

LIP

non-IIP
confirmed
When do we need surgical biopsy in
idiopathic interstitial pneumonias?
• IPF-like CT pattern and age > 50 yrs: no
• COP with characteristic
clinical/CT/BAL/TBLB features: no
• RBILD/DIP?
• Other IIP entities: yes
Surgical Lung Biopsy – special risk
in IPF
• 60 pat with UIP (46 idiopathic, 14
associated with collagen/vasc dis) from
Mayo Clinic 1986 - 1995
• 10/60 (=17%) died within 30 days after
surgical biopsy
3/16 (19%) after VATS
7/44 (16%) after thoracotomy and
biopsy
• All 10 who died had IPF, 5 of these were
biopsied for accelerated progress
Utz et al, ERJ 2001; 17: 175
Mortality and Risk factors for
Surgical Lung Biopsy in IIP
• 200 pat. with IIP (140 IPF, 46 NSIP, 14
COP), retrospective study
• 4.3% died within 30 days after surgical
biopsy,
no difference between VATS or OLB
no difference between IPF and other
IIPs

• Biopsy at time of acute exacerbation:
mortality 29% vs 3%
• DLCO<50%: mortality 11% vs 1.4%
Park JH et al, Eur J Cardiothorac Surg 2007
Key histopathological features
- UIP Pattern
• Dense fibrosis and
honeycombing
• Fibroblastic foci prominent
• Patchy, heterogeneous
pattern
• Subpleural, paraseptel
distribution
UIP pattern

Fibroblastic
Foci

Courtesy T.V. Colby
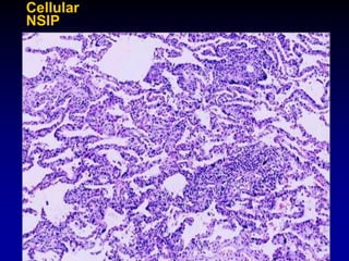
Nonspecific Interstitial Pneumonia (NSIP)
Pattern
• Preserved architecture,
variable fibrosis and
cellularity
• Few fibroblastic foci

• Temporally homogenous
• Inconsistent distribution
Cellular
NSIP
Desquamative Interstitial Pneumonia (DIP)
Pattern
• Intra-alveolar
macrophage
accumulation
• No fibroblastic
foci
• Uniform
involvement

• Diffuse
distribution
Pulmonologists’ Problems
with Pathologists
• No description of pattern-specific
features
• No final report of the pattern
How to make the diagnosis of an IIP
entity?
• Not by histology alone!
• To define a disease as idiopathic, all known
associated conditions and causes have to be
excluded.
• This cannot be done by the pathologist – none
of the histologic patterns are specific for the
idiopathic entities but also seen in associated
conditions.
• The final diagnosis can only be made in a
clinical/radiologic/pathologic synopsis.
Controversy and Confusion with
the term UIP
• Clinicians have used the name of the
histological patterns for the clinical diagnosis
• Radiologists use the term UIP for the HR-CT
pattern
• What is UIP? - A histological (or CT/or BAL)
pattern, not a clinical diagnosis
• Is UIP the same as IPF? -- No!
(Histological UIP pattern can be seen in other ILDs)

• Why not call IPF “idiopathic UIP“?
Clinical conditions associated with
UIP pattern
• Idiopathic pulmonary fibrosis/crytogenic fibrosing
alveolitis
• Collagen vascular disease
• Drug toxity
• Chronic hypersensitivity pneumonitis

• Asbestosis
• Familial idopathic pulmonary fibrosis
• Hermansky-Pudlak syndrom
Prognosis of
Fibrotic Interstitial Pneumonia

IIP vs CVD-IP
(n = 362; IIP 269, CVD 93)

Idiopathic UIP vs CVD-UIP v
Idiopathic NSIP vs CVD-NS
Park JH, et al. AJRCCM 2007; 175: 705
Clinical conditions associated
with NSIP pattern
• No detectable cause (idiopathic NSIP)
• Collagen vascular disease
• Hypersensitivity pneumonitis
• Drug-induced pneumonitis
• Infection
• Immunodeficiency including HIV
infection
Chronic bird fancier‘s lung: histopathological and clinical correlation
Ohtani et al 2005

• BOOP
• NSIP, cellular

2
5

recurrent episodes,
good outcome

• NSIP, fibrotic
• UIP-like

8
11

insidious onset,
unfavorable outcome

Total

n = 26
Controversy
• Do NSIP and DIP reflect early stages of
the IPF/UIP patients ?
• Majority of researchers believe now that
these three histologic patterns also
reflect three different entities
DIP
Initial

24 months later

Ryu 2005
Controversies with RBILD/DIP
• Should RBILD be included in the IIP„s?
100% are cigarette smokers, so a
disease of known aetiology!
• DIP is not exclusively seen in smokers,
15% are nonsmokers
Ryu et al. Chest 2005,127:178
Is histopathology still the gold
standard for diagnosis?
Problems:
• Sampling error

• Interoberserver variation between
histopathologists
Discordant Lobar Histology
Lower lobe: UIP

Middle lobe: NSIP
Histopathologic Variability:
Survival Depends on the UIP Pattern
NSIP (n=30)

Cumulative
proportion
surviving

Discordant UIP(n=28)

Concordant UIP
(n=51)

Flaherty et al: AJRCCM, 2001

Years

CP1047154-2
Is histopathology still the gold
standard for diagnosis?
Problems:
• Sampling error

• Interoberserver variation between
histopathologists
Rating of κ scores
agreement

κ score

• perfect

> 0.8

• substantial

0.6 - 0.8

• moderate

0.4 - 0.6

• fair

0.2 - 0.4

• slight

0.0 - 0.2

• poor

= 0.0
Landis JR, Koch GG. 1977
Interobserver variation
between histopathologists




In a recent study, 133 biopsies were
assessed by 10 experienced specialist
histopathologists
The interobserver agreement was barely
clinically acceptable: Kappa coefficient of
agreement only 0.4
Nicholson et al, Thorax 2004
Kappa coefficients of agreement
between 10 pathologists (Nicholson 2004)
Diagnosis

Lobar
diagnosis
(n=98)

Final
diagnosis
(n=48)

UIP

0.40

0.49

NSIP

0.32

0.32

DIP

0.67

0.71

OP

0.59

0.67

EAA

0.39

0.35

Sarcoidosis

0.76

0.82

Overall

0.39

0.43
Ideal ILD doctor
"Pulmo-radio-pathologist"

Combining 3 brains in one
head!
HRCT in the Idiopathic
Interstitial Pneumonias
• A radiologist‟s view of the spectrum
of IIPs
• HRCT sketches of the IIPs
• Issues:
– “Added value” signs on HRCT
– Observer variation
– Overlap lung disease
Idiopathic interstitial pneumonias
a perception / definition:

“A group of disorders with a shifting
histopathological classification,
unclear clinical significance, and
largely unmemorable imaging
features.”
E.G.Journeyman 2001
IIPs included in the current classification:
•
•
•
•
•

Usual interstitial pneumonia (UIP)
Non-specific interstitial pneumonia (NSIP)
Respiratory Bronchiolitis (RB-ILD)
Desquamative interstitial pneumonia (DIP)
Diffuse alveolar damage / Acute interstitial
pneumonia (AIP)
• Organizing pneumonia (OP)
• Lymphoid interstitial pneumonia (LIP)
International Consensus (ATS/ERS) Classification
of Idiopathic Interstitial Pneumonias 2002
Organizing pneumonia
Respiratory Bronchiolitis-ILD
Lymphoid interstitial pneumonia
Acute interstitial pneumonia
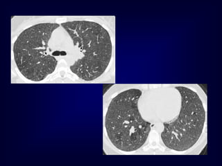
UIP: HRCT appearances
• Subpleural basal honeycombing
– May be component of ground glass opacification
and fine reticular elements
– Volume loss and traction bronchiectasis
– Enlarged mediastinal lymph nodes
UIP

basal subpleural
honeycombing*
*not merely reticular pattern, check density within cystic
air spaces
UIP

sarcoid
Accelerated UIP

5 weeks later
Differential diagnosis for rapid
development of widespread
ground glass opacification in IPF:
•
•
•
•
•

Accelerated phase of the disease
Supervening heart failure (oedema)
Opportunistic infection
Drug reaction – esp. novel drugs
(Spurious – expiratory CT)
Added value features on “UIP
HRCT”
• Lung cancer
– n.b. differential of mass-like TB

• Pulmonary oedema
• “Not UIP”
– Hypersensitivity pneumonitis
– Centrilobular emphysema / presbyteric
lung
NSIP…
NSIP: initial reports of CT
spectrum of findings:
• Ground glass opacification with or
without areas of consolidation
• Linear opacities and reticular pattern,
but honeycombing limited or absent

• Lower zone predominance, may be
subpleural predilection
Park et al Radiology 1995;195:645
Hartman et al Radiology 2000;217:701
NSIP

A fibrosing lung disease
in which ground glass is
predominant and
honeycombing is minimal
or absent, often with a
peripheral basal
distribution
Some history:
• 1989: No histological difference between CFA
and fibrosing alveolitis in systemic sclerosis1.
• 1994: Fibrosing alveolitis associated with
systemic sclerosis has a better prognosis than
lone CFA2.
• 1992/4: Kitaichi, Katzenstein describe NSIP
• 1997: Chan et al paper in Thorax
• 1998 – : Clinicians, radiologists recognize NSIP
and its prognostic implications
1

Harrison et al Respir Med 1989;83:403-14

2

Wells et al Am J Respir Crit Care Med 1994;149:1583
“systemic sclerosis type”

“lone CFA type”

Chan et al. Thorax 1997;52:265
n.b. Subsequent pathological studies have shown that NSIP is the
most prevalent pattern in systemic sclerosis associated pulmonary
fibrosis
NSIP Gr 3 (fibrotic)
NSIP Gr 1 (cellular)
NSIP

Hmmm…….
UIP
NSIP with superimposed centrilobular emphysema
• Cigarette smoking
• Ageing (presbyteric) lung

“expected”
changes
Cigarette smokers
2x cigarette smokers
(<65 years old)
80 year old
73 year old
If not UIP (n.b. non-typical HRCT UIP)
consider:
•
•
•
•

NSIP (fibrotic)
Chronic hypersensitivity pneumonitis
Fibrotic sarcoidosis
Organizing pneumonia admixed fibrosis
UIP
– The most frequently encountered and lethal IIP
– Characteristic HRCT features in approximately 50%
– Biopsy unnecessary when HRCT and clinical
features typical

NSIP
– Better prognosis than UIP
– Commonest IIP in connective tissue disease
– HRCT pattern recognisable but not specific (may be
a front for UIP)
Radiologists’ Observer Variation

Thorax 2004;59:506
Interobserver variation between pathologists
in diffuse parenchymal lung
AG Nicholson, BJ Addis1, H Bharucha2, CA Clelland3, B Corrin, AR
Gibbs4, PS Hasleton5, K Kerr6, NB Ibrahim7, S Stewart8, W Wallace9,
and AU Wells10.

Departments of Histopathology, Royal Brompton Hospital, Southampton
General Hospital1, Royal Victoria Hospital, Belfast2, John Radcliffe
Infirmary3, Llandough Hospital 4, Wythenshawe Hospital 5, Aberdeen
Royal Hospitals6, Frenchay Hospital 7, Papworth Hospital 8, Edinburgh
Royal Hospital9, and Department of Medicine10, Royal Brompton
Hospital, UK.

Thorax 2004;59:500
Kappa values
for histopathological diagnosis
[<0.4 = poor, 0.4-0.6 = satisfactory, 0.6-0.8 = good, >0.8 = excellent]

Overall kappa value = 0.38 for lobar diagnoses
DIAGNOSIS (n=133)

KAPPA COEFFICIENT FOR LOBAR Dx

UIP

0.42

NSIP

0.29

OP

0.57

Hypersensitivity pneumonitis

0.36

Sarcoidosis

0.76

Other diffuse lung diseases

0.41
“The only use of a diagnostic test
is to reduce uncertainty”
EJ Potchen 1998
Change in diagnostic
perception:
1st choice diagnosis changed in
51% of cases after HRCT
• Significant increase in diagnostic
confidence
• Overall kappa for 1st choice diagnosis
before HRCT 0.47 (moderate)
after
HRCT 0.72 (good)
Aziz et al Radiology 2006;238:725
Weighted kappa coefficients of individual disease
categories for the entire cohort before and after HRCT
Kw before HRCT

Kw after HRCT

Idiopathic pulmonary fibrosis

0.58

0.89

Non-specific interstitial pneumonitis

0.20

0.63

Sarcoidosis

0.68

0.88

Hypersensitivity pneumonitis

0.65

0.67

Cryptogenic organizing pneumonia

0.51

0.71

Smoking related-interstitial lung disease

0.30

0.46

Interstitial pneumonias secondary to
connective tissue disease

0.69

0.78
“OVERLAP LUNG DISEASE” IN
THE CONTEXT OF THE IIPs
When HRCT shows several
patterns, it may be that:
– Single disease has more than one HRCT
pattern

OR
– More than one disease present

OR
– Two phases of one disease
Examples of coexistence:
• Non-specific interstitial
pneumonia (NSIP) - usual
interstitial pneumonia (UIP)
• Smoking related interstitial
diseases
– RB-ILD / NSIP / Langerhan’s /
emphysema

2

1
Possible / probable
transformations:
•
•
•
•
•

AIP → NSIP
OP → NSIP / UIP?
DIP → NSIP
RBILD → emphysema?
Normal → fibrosis / emphysema (aging)
• AIP – acute interstitial pneumonia
• OP – organizing pneumonia
• NSIP – non-specific interstitial pneumonia
Clearly separated in the ATS/ERS classification
Defining features of Acute
Interstitial Pneumonia (AIP)
• Clinical: fulminant
• Pathology: weeping lung (DAD)
• Imaging: whiteout
Defining features of
Organizing Pneumonia (OP)

• Clinical: ~non-bacterial pneumonia
• Pathology: loose granulation tissue
• Imaging: multifocal consolidation
Defining features of Nonspecific Interstitial Pneumonia
(NSIP)

• Clinical: chronic indolent
• Pathology: uniform fibrosis
• Imaging: ground glass + distortion
So, AIP, OP and NSIP are very
different entities…
Strands of evidence suggesting overlap
between in situations in which AIP/NSIP/OP
occur:
• Dilated airways (irreversible) in gr. glass of ARDS

(Howling et al 1998)
• Original description of NSIP; some cases = ARDS
survivors (Katzenstein et al 1994)
• Variable behaviour of patients with polymyositis
associated lung disease (Tazelaar et al 1990)
• Accelerated phase of UIP/NSIP→AIP

(Colby 2000)
• HRCT descriptions of NSIP with consolidation
(OP) (Park et al 1998)
2000

2003

2005
Chest 2003;124:1185
HRCT and the Idiopathic Interstitial Pneumonias
• Value
– Some IIPs have diagnostic HRCT appearances
– Alternative diagnoses + complications
– Increased understanding of evolution

• Limitations
– NSIP masquerading as UIP
– Clinical significance of limited disease
– Experience / observer variation issues
Lung Cysts
Differential Diagnosis
Pulmonary fibrosis (Honeycombing)
Lymphangliomyomatosis
Langerhans cell histiocytosis
Lymphocytic Interstitial Pneumonia (LIP)
UIP

UIP or NSIP

Traction
Bronchiectasis
and
Interface
sign

Honey
combing

Rough Reticular

Fine Reticular
Usual Interstitial Pneumonia
UIP
HRCT Findings

Reticular opacities, thickened intra- and
interlobular septa
Irregular interfaces
Honey combing and parenchymal distorsion
Ground glass opacities (never prominent)
Basal and subpleural predominance
Basal and subpleural
distribution
UIP
The Many ‘HRCT Faces’ of NSIP

Honeycombing not
a
prominent feature
!!!!
Lymphangioleiomyomatosis
(LAM)
HRCT Morphology
Thin-walled cysts (2mm - 5cm)
Uniform in size / rarely confluent
Homogeneous distribution
Chylous pleural effusion
Lymphadenopathy
in young women
Lymphangioleiomyomatosis
(LAM)
Tuberous Sclerosis (young man)
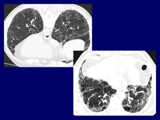
Langerhans Cell Histiocytosis
HRCT Findings
Small peribronchiolar nodules (1-5mm)
Thin-walled cysts (< 1cm),
Bizarre and confluent

Ground glass opacities
Late signs: irreversible / parenchymal fibrosis
Honey comb lung, septal thickening,
bronchiectasis
Langerhans Cell Histiocytosis

1 year later
Peribronchiolar Nodules Cavitating nodules and cysts
Langerhans Cell Histiocytosis
Langerhans Cell Histiozytosis
Key Features
Upper lobe predominance
Combination of cysts and noduli
Characteristic stages
Increased Lung volume
Sparing of costophrenic angle

S
M
O
K
I
N
G
Langerhans Cell Histiocytosis
Langerhans Cell Histiocytosis
Differential Diagnosis
Only small nodules
Sarcoidosis, Silicosis

Only cysts
idiopathic Fibrosis
LAM
Destructive emphysema
A professional diver..........
.......after cessation of smoki
LIP = Lymphocytic Interstitial
Pneumonia
Benign lymphoproliferative
disorder
Diffuse interstitial infiltration of
mononuclear cells
Not limited to the air ways as
in follicular Bronchiolitis
Sjögren: LIP
LIP = Lymphocytic Interstitial
Pneumonia

Rarely idiopathic
In association with:
Sjögren‟s syndrome
Immune deficiency syndromes, AIDS
Primary biliary cirrhosis
Multicentric Castlemean‟s disease
Sjoegren disease
Dry eye and dry mouth
Fibrosis, bronchitis and bronchiolitis
LIP

Up to 40 x increased risk for lymphoma (mediastinal
adenopathy) and
2 x times increased risk for neoplasma
Overlap
Sarcoid, DM/PM, MXCT
SLE, RA (pleural effusion)
Young woman

LAM

Dry mouth

LIP

Smoker

Histiocytosis
Emphysema

Fibrosis (UIP
Wegener„s disease
Rheumatoid Arthritis
Outline
Typical HRCT patterns of lung diseases
with cysts
Mosaic pattern and its differential
Emphysema
Atypical HRCT patterns
Quiz
Where is the pathology ???????
in the areas with increased density
meaning there is ground glass
in the areas with decreased density
meaning there is air trapping
Pathology in black areas
Airtrapping: Airway
Disease
Bronchiolitis obliterans (constrictive bronchiolitis)
idiopathic, connective tissue diseases, drug reaction,
after transplantation, after infection

Hypersensitivity pneumonitis
granulomatous inflammation of bronchiolar wall

Sarcoidosis
granulomatous inflammation of bronchiolar wall

Asthma / Bronchiectasis / Airway diseases
Airway Disease
what you see……
In inspiration
sharply demarcated areas of seemingly increased
density (normal) and decreased density
demarcation by interlobular septa

In expiration
„black‟ areas remain in volume and density
„white‟ areas decrease in volume and increase in
density
INCREASE IN CONTRAST
DIFFERENCES
AIRTRAPPING
Bronchiolitis

obliterans
Early Sarcoidosis
Chronic
EAA
Hypersensitivity pneumonitis
Extr. Allerg. Alveolitis (EAA) HRCT

Morphology
acute - subacute
acinar (centrilobular) unsharp densities
ground glass (patchy - diffuse)
chronic: fibrosis
Intra- / interlobular septal thickening
Irregular interfaces
Traction bronchiectasis
Pathology in white Areas
Alveolitis / Pneumonitis
Ground glass
desquamative intertitial pneumoinia (DIP)
nonspecific interstitial pneumonia (NSIP)
organizing pneumonia

In expiration
both areas (white and black) decrease in
volume and increase in density
DECREASE IN CONTRAST
DIFFERENCES
DI
P
Cellular
NSIP
Mosaic Perfusion
Chronic pulmonary embolism

LOOK FOR
Pulmonary hypertension
idiopathic, cardiac disease, pulmonary
disease
CTEPH =
Chronic thrombembolic
pulmonary hypertension
HRCT: Radiographic Pattern
Radiographic Patterns in ILD
Pleural Involvement
Lymphangitic Carcinomatosis
LAM
Drug Induced
Radiation Pneumonitis
Asbestosis
Effusion
Thickening
Plaques
Mesothelioma
Collagen vascular disease

Adenopathy
Sarcoidosis
Lymphoma
Lymphangitic CA
LIP
Amyloidosis
Berylliosis
Silicosis

Kerley B lines
Chronic LV failure
Lymphangitic CA
Lymphoma
LAM
Veno-occlusive disease
Acute Eosinophilic Pneumonia
Probability of Histologic Diagnosis of Diffuse Diseases
Transbronchial
Biopsy

Surgical
Biopsy

1. Granulomatous diseases
2. Malignant tumors/lymphangitic

3. DAD (any cause)
4. Certain infections

Often

5. Alveolar proteinosis
6. Eosinophilic pneumonia

7. Vasculitis
8. Amyloidosis
9. EG/HX/PLCH

Sometimes

10. LAM

11. RB/RBILD/DIP
12. UIP/NSIP/LIP COP
13. Small airways disease
14. PHT and PVOD
Courtesy of Kevin O. Leslie, MD.

Never
Practical Approach to
Interstitial Lung Diseases
Patterns of Interstitial Lung Disease
Linear Pattern
A linear pattern is seen when there is
thickening of the interlobular septa,
producing Kerley lines.
Kerley A lines

Kerley B lines
Kerley A lines
The interlobular septa contain
pulmonary veins and lymphatics.
The most common cause of interlobular
septal thickening, producing Kerley A
and B lines, is pulmonary edema, as a
result of pulmonary venous
hypertension and distension of the
lymphatics.

Kerley B lines
DD of Kerly Lines:
Pulmonary edema is the most common cause
Mitral stenosis
Lymphangitic carcinomatosis
Malignant lymphoma
Congenital lymphangiectasia
Idiopathic pulmonary fibrosis
Pneumoconiosis
Sarcoidosis
b. Reticular Pattern
A reticular pattern results from the summation or
superimposition of irregular linear opacities.
The term reticular is defined as meshed, or in the
form of a network. Reticular opacities can be
described as fine, medium, or coarse, as the width of
the opacities increases.
A classic reticular pattern is seen with pulmonary fibrosis, in
which multiple curvilinear opacities form small cystic
spaces along the pleural margins and lung bases
(honeycomb lung)
This 50-year-old man presented with end-stage lung fibrosis
PA chest radiograph shows medium to coarse reticular
B: CT scan shows multiple small cysts (honeycombing) involving
predominantly the subpleural peripheral regions of lung. Traction
bronchiectasis, another sign of end-stage lung fibrosis.
c. Nodular pattern
 A nodular pattern consists of multiple round opacities,
generally ranging in diameter from 1 mm to 1 cm

 Nodular opacities may be described as miliary (1 to 2 mm,
the size of millet seeds), small, medium, or large, as the
diameter of the opacities increases

 A nodular pattern, especially with predominant distribution,
suggests a specific differential diagnosis
Disseminated histoplasmosis and nodular ILD.
CT scan shows multiple bilateral round circumscribed
pulmonary nodules.
Hematogenous metastases and nodular ILD. This 45-yearold woman presented with metastatic gastric carcinoma.
The PA chest radiograph shows a diffuse pattern of
nodules, 6 to 10 mm in diameter.
Differential diagnosis of a nodular
pattern of interstitial lung disease

SHRIMP
Sarcoidosis
Histiocytosis (Langerhan cell
histiocytosis)
Hypersensitivity pneumonitis
Rheumatoid nodules
Infection (mycobacterial, fungal, viral)
Metastases, Miliary TB
Microlithiasis, alveolar
Pneumoconioses (silicosis, coal
worker's, berylliosis)
d. Reticulonodular pattern
A reticulonodular pattern results from a
combination of reticular and nodular opacities.
This pattern is often difficult to distinguish from
a purely reticular or nodular pattern, and in
such a case a differential diagnosis should be
developed based on the predominant pattern.

If there is no predominant pattern, causes of both
nodular and reticular patterns should be
considered.
How To Approach
a Practical
Diagnosis?
Rule no. 1

An acute appearance suggests pulmonary
edema, acute milliary TB, or acute interstitial
neumonia,acute esinophillic pneumonia
Disseminated histoplasmosis and reticulonodular ILD.
A: PA chest radiograph, close-up of right upper lung, shows reticulonodular
ILD.
B: CT scan shows multiple circumscribed round pulmonary nodules, 2 to 3
mm in diameter.
Rule no. 2

Reticulonodular lower lung predominant
distribution with decreased lung volumes
suggests: (APC)
1. Asbestosis
2. Aspiration (chronic)
3. Pulmonary fibrosis (idiopathic)
4.Collagen vascular disease
Asbestos-related
pleural disease and
asbestosis
Pulmonary fibrosis and rheumatoid arthritis.
Systemic sclerosis.
A: PA chest radiograph shows a bibasilar and subpleural distribution of fine
reticular ILD. The presence of a dilated esophagus (arrows) provides a clue
to the correct diagnosis.
B: CT scan shows peripheral ILD and a dilated esophagus (arrow).
Rule no. 3

A middle or upper lung predominant distribution
suggests: (Mycobacterium Settle Superiorly in
Lung)
1. Mycobacterial or fungal disease
2. Silicosis
3. Sarcoidosis
4. Langerhans Cell Histiocytosis
Complicated silicosis. PA chest radiograph shows multiple
nodules involving the upper and middle lungs, with coalescence
of nodules in the left upper lobe resulting in early progressive
massive fibrosis
Sarcoidosis. CT scan shows nodular thickening of the bronchovascular
bundles (solid arrow) and subpleural nodules (dashed arrow), illustrating the
typical perilymphatic distribution of sarcoidosis.
Langerhan cell histiocytosis.
This 50-year-old man had a
30 pack-year history of
cigarette smoking.
A: PA chest radiograph
shows hyperinflation of the
lungs and fine bilateral
reticular ILD.
B: CT scan shows multiple
cysts (solid arrow) and
nodules (dashed arrow).
Rule no. 4

Associated lymphadenopathy suggests :
1.Sarcoidosis-Berryliosis
2.neoplasm (lymphangitic carcinomatosis,
lymphoma, metastases)
3. infection (viral, mycobacterial, or fungal)
4. silicosis
Simple silicosis.
A: CT scan with lung windowing shows numerous
circumscribed pulmonary nodules, 2 to 3 mm in diameter
(arrows).
B: CT scan with mediastinal windowing shows densely
calcified hilar (solid arrows) and subcarinal (dashed arrow)
nodes.
Rule no. 5

Associated pleural thickening and/or
calcification suggest asbestosis.
Rule no. 6

Associated pleural effusion suggests :
1.pulmonary edema
2.lymphangitic carcinomatosis
3.lymphoma
4.collagen vascular disease
5.LAM
Cardiogenic pulmonary edema.
PA chest radiograph shows enlargement of the cardiac
silhouette, bilateral ILD, enlargement of the azygos vein
(solid arrow), and peribronchial cuffing (dashed arrow).
Lymphangitic carcinomatosis. This 53-year-old man
presented with chronic obstructive pulmonary disease and
large-cell bronchogenic carcinoma of the right lung.
CT scan shows unilateral nodular thickening (arrows) and a
malignant right pleural effusion.
Rule no. 7

Associated pneumothorax suggests
lymphangioleiomyomatosis or LCH.
Lymphangioleiomyomatosis
(LAM).

A: PA chest radiograph shows a
right basilar pneumothorax and
two right pleural drainage
catheters. The lung volumes are
increased, which is
characteristic of LAM, and there
is diffuse reticular ILD.
B: CT scan shows bilateral thinwalled cysts and a loculated
right pneumothorax (P).
A p p ro a c h to th e IL D P a tie n t
P a tie n t w ith S u sp e c te d
IL D

H x, P E , C X R , P F T , L a b s
D x lik e ly b y
b ro n c h ?

Y es

Y es

Is b ro n ch
d ia g n o stic?

No

STO P

HRCT

H x and H R C T
co n siste n t
w ith IP F

H x and H R C T
D x o f o th e r
IL D

S u sp e cte d
o th e r IL D

STOP

D x lik e ly b y
b ro n c h ?

STOP

A typ ica l
clin ica l o r C T
fe a tu re s o f IP F
Y es

Is b ro n ch
d ia g n o stic?

No

No

Y es

STO P

VATS

U IP

N S IP

R B IL D

D IP

DAD

OP

L IP

N o n IIP

M a rtine z F , F la h erty K . A va ila ble a t: h ttp ://w w w .ch e stn e t.o rg /e d u ca tion /onlin e /p ccu /vol1 8 /lesso n s03 _ 04 /le sso n 03 .p hp .
Ipf or non ipf interstitial lung diseases

Ipf or non ipf interstitial lung diseases

  • 2.
    IPF or Non-IPFInterstitial Lung Diseases By Gamal Rabie Agmy , MD , FCCP Professor of Chest Diseases ,Assiut University
  • 4.
    What is thePulmonary Interstitium? • Interstitial compartment is the portion of the lung sandwiched between the epithelial and endothelial basement membrane • Expansion of the interstitial compartment by inflammation with or without fibrosis – Necrosis – Hyperplasia – Collapse of basement membrane – Inflammatory cells
  • 6.
    The Lung Interstitium Theinterstitium of the lung is not normally visible radiographically; it becomes visible only when disease (e.g., edema, fibrosis, tumor) increases its volume and attenuation. The interstitial space is defined as continuum of loose connective tissue throughout the lung composed of three subdivisions: (i) the bronchovascular (axial), surrounding the bronchi, arteries, and veins from the lung root to the level of the respiratory bronchiole (ii) the parenchymal (acinar), situated between the alveolar and capillary basement membranes (iii) the subpleural, situated beneath the pleura, as well as in the interlobular septae.
  • 7.
  • 8.
    The terminal bronchiolein the center divides into respiratory bronchioles with acini that contain alveoli. Lymphatics and veins run within the interlobular septa Centrilobular area in blue (left) and perilymphatic area in yellow (right)
  • 9.
  • 10.
    Diffuse Parenchymal LungDisease DPLD of known cause (e.g. drugs, dust exposure, collagen vascular disease) Idiopathic Granulomatous interstitial DPLD (e.g. pneumonias sarcoidosis) Idiopathic pulmonary fibrosis (IPF) Other forms of DPLD (e.g. LAM, HX, eosin. pneum. etc.) IIP other than idiopathic pulmonary fibrosis Desquamative interstitial pneumonia (DIP) Respiratory bronchiolitis/ Interst. lung dis. (RBILD) Acute interstitial pneumonia (AIP) Cryptogenic organising pneumonia (COP) Nonspecific interstitial pneumonia (NSIP) Lymphocytic interstitial pneumonia (LIP)
  • 11.
  • 12.
    7 histological categories • • • • • • • Usualinterstitial pneumonia (UIP) Nonspecific interstitial pneumonia (NSIP) Organising pneumonia (OP)* Diffuse alveolar damage (DAD) Desquamative interstitial pneumonia (DIP)** Respiratory bronchiolitis (RB) Lymphocytic interstitial pneumonia (LIP) * previously BOOP ** previously AMP
  • 13.
    Correlation with HRCTpatterns UIP + NSIP + OP + DAD + DIP + RB + LIP + = IPF = NSIP = COP = AIP = DIP = RB-ILD = LIP  7 clinical-radiological-pathological categories ATS/ERS International Multidisciplinary Consensus Classification of the Idiopathic Interstitial Pneumonias, AJRCCM Vol 165. pp 277-304, 2002
  • 14.
    IPF/UIP „disease status‟ Histology: • Heterogeneousappearance ü(hardly any inflammation) • Temporal heterogeneity Old + new fibrosis (fibroblastic foci)
  • 15.
    Non-specific interstitial pneumonia ’IIP-NSIPcellular / fibrotic variant’ • fine reticulation • ground glass • temporal uniformity on biopsy • no / few fibroblastic foci
  • 16.
    Cryptogenic organising pneumonia (BOOP) • patchyconsolidations (95%) • perilobular opacity (50%) Ujita, Radiology 2004; 232: 757-61
  • 17.
    Acute interstitial pneumonia Congestion &oedema Exudative phase acute onset, with systemic features: idiopathic ARDS  granulocytes + occasional lymphocytes; debris  survival from diagnosis often days despite mechanical support 
  • 18.
    Respiratory bronchiolitis associated interstitiallung disease cigarette smoker  obstructive or restrictive lung function  AM with smoker’s inclusions on BAL 
  • 19.
  • 20.
    LIP Lymphocytic interstitial pneumonia AIDS lymphoproliferative  rheumatological  idiopathic (rare)  lymphocytes on BAL 
  • 21.
    Radiologist Pulmonologist Diagnosis Pathologist Correct IIP diagnosesneed teamwork and experience Flaherty KR, AJRCCM 2004;170:904-10
  • 22.
    Practical issues • Clinicalsetting with regular meetings of key specialists • Not all IIP cases are classifiable: „non-classifiable interstitial pneumonias‟ (8th category) • NSIP is an area of important uncertainty (NSIP ~ provisional category) > 50% of inter-observer variation between pathologists and radiologists relate to the diagnosis of NSIP Nicholson AG, Thorax 2004; 59:500-5 // Aziz ZA, Thorax 2004; 59:506-11
  • 23.
    ATS/ERS INTERNATIONAL MULTIDISCIPLINARY CONSENSUS CLASSIFICATIONOF IDIOPATHIC INTERSTITIAL PNEUMONIAS General Principles and Recommendations Co-chairs: William D. Travis, M.D. Talmadge King, Jr. M.D. Am J Respir Crit Care Med 2002; 165: 277
  • 24.
  • 25.
  • 26.
    Roles of Clinicians, Radiologistsand Pathologists •History •Exposure •Drugs •Symptoms & Signs Clinicians (Pulmonologists) Radiologists •Should know, identify and report patternspecific features •Systemic Diseases (CVD) •Age Pathologists •Should know, identify and report patternspecific features
  • 27.
    Diagnostic Process inDPLD History, physical examination, chest radiograph, lung function tests Not IIP Possible IIP e.g. assoc. collagen vascular disease, environmental, drug-related, etc. HRCT
  • 28.
    History: Onset ofPulmonary Symptoms ACUTE SUBACUTE CHRONIC • COP • COP • IPF • AIP • Subacute HP • NSIP • Ac.Eos.Pn. • Chron.Eos.Pn. • DIP/RBILD • Acute HP • Drug-induced ILD • chronic HP • Drug-induced injury • CVD-associated ILD • Asbestosis, Silicosis
  • 29.
  • 30.
  • 31.
  • 32.
  • 33.
    HRCT Confident CT diagnosis ofIPF with consistent clinical features Atypical clinical or CT features for IPF TBBx or BAL? Features diagnostic of another DPLD e.g. HX If non-diagnostic Suspected other DPLD TBBx, BAL or other relevant test Surgical lung biopsy UIP NSIP RB DIP DAD OP LIP non-IIP confirmed
  • 34.
    IPF without surgicalbiopsy (ATS/ERS Statement 2000) Major Criteria (all required) Minor criteria (3 of 4 required) • exclusion of known causes • age > 50 yr of ILD • insidious onset of otherwise • abnormal PFT including unexplained dsypnea on restriction and impaired exertion gas exchange • duration of illness > 3 • bibasilar reticular months abnormalities with minimal ground glass on HRCT • bibasilar inspiratory crackles • TBB or BAL showing no (velcro-type) features to support an alternate diagnosis
  • 35.
    Idiopathic Pulmonary Fibrosis: typicalCT features • Subpleural/basal • Fine reticular • Honeycombing • Little/no groundglass
  • 36.
    HRCT Criteria ofIPF 1-reticular abnormality and/or traction bronchiectasis with basal and peripheral predominance 2-honeycombing with basal and peripheral predominance 3-atypical features are absent – – – – Micronodules are not present peribronchovascular nodules are not present consolidation is not present ground glass attenuation, if present, is less extensive than reticular opacity – mediastinal adenopathy, if present, is not extensive enough to be visible on chest X-ray Definite IPF: all 3 are met Probable IPF: 1 and 3 are met
  • 37.
    Accuracy of Clinical& Radiological Diagnosis of IPF • 59 patients with surgical biopsies • clinical diagnosis or radiological diagnosis • clinical diagnosis of IPF - 97% specific - 62% sensitive • HRCT diagnosis of IPF - 90% specific - 79% sensitive Raghu et al, 1999
  • 38.
    Pitfalls with CT TechnicalIssues • HRCT vs. conventional CT • Gravity effects • Expiration
  • 39.
    Conventional CT vsHRCT Conventional CT HRCT
  • 40.
  • 41.
  • 42.
    Role of BALin IPF • BAL may reveal alternative specific diagnoses: malignancy, infections, eosinophilic pneumonia, histiocytosis X, alveolar proteinosis • Increase in neutrophils +/eosinophils (in 90%) suggests a fibrosing process: IPF, collagen/vascular disease, asbestosis • A lone increase in lymphocytes is uncommon, exclude: sarcoidosis, EAA, BOOP, NSIP, LIP
  • 43.
    HRCT Confident CT diagnosis ofIPF with consistent clinical features Atypical clinical or CT features for IPF TBBx or BAL? Features diagnostic of another DPLD e.g. HX If non-diagnostic Suspected other DPLD TBBx, BAL or other relevant test Surgical lung biopsy UIP NSIP RB DIP DAD OP LIP non-IIP confirmed
  • 44.
    When do weneed surgical biopsy in idiopathic interstitial pneumonias? • IPF-like CT pattern and age > 50 yrs: no • COP with characteristic clinical/CT/BAL/TBLB features: no • RBILD/DIP? • Other IIP entities: yes
  • 45.
    Surgical Lung Biopsy– special risk in IPF • 60 pat with UIP (46 idiopathic, 14 associated with collagen/vasc dis) from Mayo Clinic 1986 - 1995 • 10/60 (=17%) died within 30 days after surgical biopsy 3/16 (19%) after VATS 7/44 (16%) after thoracotomy and biopsy • All 10 who died had IPF, 5 of these were biopsied for accelerated progress Utz et al, ERJ 2001; 17: 175
  • 46.
    Mortality and Riskfactors for Surgical Lung Biopsy in IIP • 200 pat. with IIP (140 IPF, 46 NSIP, 14 COP), retrospective study • 4.3% died within 30 days after surgical biopsy, no difference between VATS or OLB no difference between IPF and other IIPs • Biopsy at time of acute exacerbation: mortality 29% vs 3% • DLCO<50%: mortality 11% vs 1.4% Park JH et al, Eur J Cardiothorac Surg 2007
  • 47.
    Key histopathological features -UIP Pattern • Dense fibrosis and honeycombing • Fibroblastic foci prominent • Patchy, heterogeneous pattern • Subpleural, paraseptel distribution
  • 48.
  • 49.
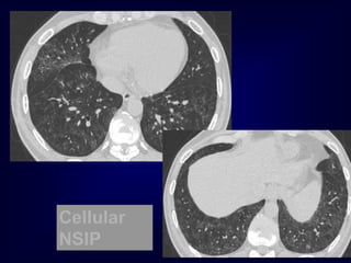
    Nonspecific Interstitial Pneumonia(NSIP) Pattern • Preserved architecture, variable fibrosis and cellularity • Few fibroblastic foci • Temporally homogenous • Inconsistent distribution
  • 50.
  • 51.
    Desquamative Interstitial Pneumonia(DIP) Pattern • Intra-alveolar macrophage accumulation • No fibroblastic foci • Uniform involvement • Diffuse distribution
  • 52.
    Pulmonologists’ Problems with Pathologists •No description of pattern-specific features • No final report of the pattern
  • 53.
    How to makethe diagnosis of an IIP entity? • Not by histology alone! • To define a disease as idiopathic, all known associated conditions and causes have to be excluded. • This cannot be done by the pathologist – none of the histologic patterns are specific for the idiopathic entities but also seen in associated conditions. • The final diagnosis can only be made in a clinical/radiologic/pathologic synopsis.
  • 54.
    Controversy and Confusionwith the term UIP • Clinicians have used the name of the histological patterns for the clinical diagnosis • Radiologists use the term UIP for the HR-CT pattern • What is UIP? - A histological (or CT/or BAL) pattern, not a clinical diagnosis • Is UIP the same as IPF? -- No! (Histological UIP pattern can be seen in other ILDs) • Why not call IPF “idiopathic UIP“?
  • 55.
    Clinical conditions associatedwith UIP pattern • Idiopathic pulmonary fibrosis/crytogenic fibrosing alveolitis • Collagen vascular disease • Drug toxity • Chronic hypersensitivity pneumonitis • Asbestosis • Familial idopathic pulmonary fibrosis • Hermansky-Pudlak syndrom
  • 56.
    Prognosis of Fibrotic InterstitialPneumonia IIP vs CVD-IP (n = 362; IIP 269, CVD 93) Idiopathic UIP vs CVD-UIP v Idiopathic NSIP vs CVD-NS Park JH, et al. AJRCCM 2007; 175: 705
  • 57.
    Clinical conditions associated withNSIP pattern • No detectable cause (idiopathic NSIP) • Collagen vascular disease • Hypersensitivity pneumonitis • Drug-induced pneumonitis • Infection • Immunodeficiency including HIV infection
  • 58.
    Chronic bird fancier‘slung: histopathological and clinical correlation Ohtani et al 2005 • BOOP • NSIP, cellular 2 5 recurrent episodes, good outcome • NSIP, fibrotic • UIP-like 8 11 insidious onset, unfavorable outcome Total n = 26
  • 59.
    Controversy • Do NSIPand DIP reflect early stages of the IPF/UIP patients ? • Majority of researchers believe now that these three histologic patterns also reflect three different entities
  • 60.
  • 61.
    Controversies with RBILD/DIP •Should RBILD be included in the IIP„s? 100% are cigarette smokers, so a disease of known aetiology! • DIP is not exclusively seen in smokers, 15% are nonsmokers Ryu et al. Chest 2005,127:178
  • 62.
    Is histopathology stillthe gold standard for diagnosis? Problems: • Sampling error • Interoberserver variation between histopathologists
  • 63.
    Discordant Lobar Histology Lowerlobe: UIP Middle lobe: NSIP
  • 64.
    Histopathologic Variability: Survival Dependson the UIP Pattern NSIP (n=30) Cumulative proportion surviving Discordant UIP(n=28) Concordant UIP (n=51) Flaherty et al: AJRCCM, 2001 Years CP1047154-2
  • 65.
    Is histopathology stillthe gold standard for diagnosis? Problems: • Sampling error • Interoberserver variation between histopathologists
  • 66.
    Rating of κscores agreement κ score • perfect > 0.8 • substantial 0.6 - 0.8 • moderate 0.4 - 0.6 • fair 0.2 - 0.4 • slight 0.0 - 0.2 • poor = 0.0 Landis JR, Koch GG. 1977
  • 67.
    Interobserver variation between histopathologists   Ina recent study, 133 biopsies were assessed by 10 experienced specialist histopathologists The interobserver agreement was barely clinically acceptable: Kappa coefficient of agreement only 0.4 Nicholson et al, Thorax 2004
  • 68.
    Kappa coefficients ofagreement between 10 pathologists (Nicholson 2004) Diagnosis Lobar diagnosis (n=98) Final diagnosis (n=48) UIP 0.40 0.49 NSIP 0.32 0.32 DIP 0.67 0.71 OP 0.59 0.67 EAA 0.39 0.35 Sarcoidosis 0.76 0.82 Overall 0.39 0.43
  • 69.
  • 70.
    HRCT in theIdiopathic Interstitial Pneumonias
  • 71.
    • A radiologist‟sview of the spectrum of IIPs • HRCT sketches of the IIPs • Issues: – “Added value” signs on HRCT – Observer variation – Overlap lung disease
  • 72.
    Idiopathic interstitial pneumonias aperception / definition: “A group of disorders with a shifting histopathological classification, unclear clinical significance, and largely unmemorable imaging features.” E.G.Journeyman 2001
  • 73.
    IIPs included inthe current classification: • • • • • Usual interstitial pneumonia (UIP) Non-specific interstitial pneumonia (NSIP) Respiratory Bronchiolitis (RB-ILD) Desquamative interstitial pneumonia (DIP) Diffuse alveolar damage / Acute interstitial pneumonia (AIP) • Organizing pneumonia (OP) • Lymphoid interstitial pneumonia (LIP) International Consensus (ATS/ERS) Classification of Idiopathic Interstitial Pneumonias 2002
  • 74.
  • 75.
  • 76.
  • 77.
  • 78.
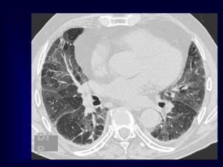
    UIP: HRCT appearances •Subpleural basal honeycombing – May be component of ground glass opacification and fine reticular elements – Volume loss and traction bronchiectasis – Enlarged mediastinal lymph nodes
  • 81.
    UIP basal subpleural honeycombing* *not merelyreticular pattern, check density within cystic air spaces
  • 82.
  • 83.
  • 84.
    Differential diagnosis forrapid development of widespread ground glass opacification in IPF: • • • • • Accelerated phase of the disease Supervening heart failure (oedema) Opportunistic infection Drug reaction – esp. novel drugs (Spurious – expiratory CT)
  • 85.
    Added value featureson “UIP HRCT” • Lung cancer – n.b. differential of mass-like TB • Pulmonary oedema • “Not UIP” – Hypersensitivity pneumonitis – Centrilobular emphysema / presbyteric lung
  • 86.
  • 87.
    NSIP: initial reportsof CT spectrum of findings: • Ground glass opacification with or without areas of consolidation • Linear opacities and reticular pattern, but honeycombing limited or absent • Lower zone predominance, may be subpleural predilection Park et al Radiology 1995;195:645 Hartman et al Radiology 2000;217:701
  • 89.
    NSIP A fibrosing lungdisease in which ground glass is predominant and honeycombing is minimal or absent, often with a peripheral basal distribution
  • 90.
    Some history: • 1989:No histological difference between CFA and fibrosing alveolitis in systemic sclerosis1. • 1994: Fibrosing alveolitis associated with systemic sclerosis has a better prognosis than lone CFA2. • 1992/4: Kitaichi, Katzenstein describe NSIP • 1997: Chan et al paper in Thorax • 1998 – : Clinicians, radiologists recognize NSIP and its prognostic implications 1 Harrison et al Respir Med 1989;83:403-14 2 Wells et al Am J Respir Crit Care Med 1994;149:1583
  • 91.
    “systemic sclerosis type” “loneCFA type” Chan et al. Thorax 1997;52:265 n.b. Subsequent pathological studies have shown that NSIP is the most prevalent pattern in systemic sclerosis associated pulmonary fibrosis
  • 92.
    NSIP Gr 3(fibrotic)
  • 93.
    NSIP Gr 1(cellular)
  • 94.
  • 95.
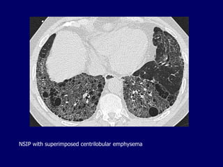
    NSIP with superimposedcentrilobular emphysema
  • 96.
    • Cigarette smoking •Ageing (presbyteric) lung “expected” changes
  • 97.
  • 98.
  • 99.
  • 100.
  • 101.
    If not UIP(n.b. non-typical HRCT UIP) consider: • • • • NSIP (fibrotic) Chronic hypersensitivity pneumonitis Fibrotic sarcoidosis Organizing pneumonia admixed fibrosis
  • 103.
    UIP – The mostfrequently encountered and lethal IIP – Characteristic HRCT features in approximately 50% – Biopsy unnecessary when HRCT and clinical features typical NSIP – Better prognosis than UIP – Commonest IIP in connective tissue disease – HRCT pattern recognisable but not specific (may be a front for UIP)
  • 104.
  • 105.
    Interobserver variation betweenpathologists in diffuse parenchymal lung AG Nicholson, BJ Addis1, H Bharucha2, CA Clelland3, B Corrin, AR Gibbs4, PS Hasleton5, K Kerr6, NB Ibrahim7, S Stewart8, W Wallace9, and AU Wells10. Departments of Histopathology, Royal Brompton Hospital, Southampton General Hospital1, Royal Victoria Hospital, Belfast2, John Radcliffe Infirmary3, Llandough Hospital 4, Wythenshawe Hospital 5, Aberdeen Royal Hospitals6, Frenchay Hospital 7, Papworth Hospital 8, Edinburgh Royal Hospital9, and Department of Medicine10, Royal Brompton Hospital, UK. Thorax 2004;59:500
  • 106.
    Kappa values for histopathologicaldiagnosis [<0.4 = poor, 0.4-0.6 = satisfactory, 0.6-0.8 = good, >0.8 = excellent] Overall kappa value = 0.38 for lobar diagnoses DIAGNOSIS (n=133) KAPPA COEFFICIENT FOR LOBAR Dx UIP 0.42 NSIP 0.29 OP 0.57 Hypersensitivity pneumonitis 0.36 Sarcoidosis 0.76 Other diffuse lung diseases 0.41
  • 107.
    “The only useof a diagnostic test is to reduce uncertainty” EJ Potchen 1998
  • 108.
    Change in diagnostic perception: 1stchoice diagnosis changed in 51% of cases after HRCT • Significant increase in diagnostic confidence • Overall kappa for 1st choice diagnosis before HRCT 0.47 (moderate) after HRCT 0.72 (good) Aziz et al Radiology 2006;238:725
  • 109.
    Weighted kappa coefficientsof individual disease categories for the entire cohort before and after HRCT Kw before HRCT Kw after HRCT Idiopathic pulmonary fibrosis 0.58 0.89 Non-specific interstitial pneumonitis 0.20 0.63 Sarcoidosis 0.68 0.88 Hypersensitivity pneumonitis 0.65 0.67 Cryptogenic organizing pneumonia 0.51 0.71 Smoking related-interstitial lung disease 0.30 0.46 Interstitial pneumonias secondary to connective tissue disease 0.69 0.78
  • 110.
    “OVERLAP LUNG DISEASE”IN THE CONTEXT OF THE IIPs
  • 111.
    When HRCT showsseveral patterns, it may be that: – Single disease has more than one HRCT pattern OR – More than one disease present OR – Two phases of one disease
  • 112.
    Examples of coexistence: •Non-specific interstitial pneumonia (NSIP) - usual interstitial pneumonia (UIP) • Smoking related interstitial diseases – RB-ILD / NSIP / Langerhan’s / emphysema 2 1
  • 113.
    Possible / probable transformations: • • • • • AIP→ NSIP OP → NSIP / UIP? DIP → NSIP RBILD → emphysema? Normal → fibrosis / emphysema (aging)
  • 114.
    • AIP –acute interstitial pneumonia • OP – organizing pneumonia • NSIP – non-specific interstitial pneumonia Clearly separated in the ATS/ERS classification
  • 115.
    Defining features ofAcute Interstitial Pneumonia (AIP) • Clinical: fulminant • Pathology: weeping lung (DAD) • Imaging: whiteout
  • 116.
    Defining features of OrganizingPneumonia (OP) • Clinical: ~non-bacterial pneumonia • Pathology: loose granulation tissue • Imaging: multifocal consolidation
  • 117.
    Defining features ofNonspecific Interstitial Pneumonia (NSIP) • Clinical: chronic indolent • Pathology: uniform fibrosis • Imaging: ground glass + distortion
  • 118.
    So, AIP, OPand NSIP are very different entities…
  • 119.
    Strands of evidencesuggesting overlap between in situations in which AIP/NSIP/OP occur: • Dilated airways (irreversible) in gr. glass of ARDS (Howling et al 1998) • Original description of NSIP; some cases = ARDS survivors (Katzenstein et al 1994) • Variable behaviour of patients with polymyositis associated lung disease (Tazelaar et al 1990) • Accelerated phase of UIP/NSIP→AIP (Colby 2000) • HRCT descriptions of NSIP with consolidation (OP) (Park et al 1998)
  • 120.
  • 121.
  • 122.
    HRCT and theIdiopathic Interstitial Pneumonias • Value – Some IIPs have diagnostic HRCT appearances – Alternative diagnoses + complications – Increased understanding of evolution • Limitations – NSIP masquerading as UIP – Clinical significance of limited disease – Experience / observer variation issues
  • 123.
    Lung Cysts Differential Diagnosis Pulmonaryfibrosis (Honeycombing) Lymphangliomyomatosis Langerhans cell histiocytosis Lymphocytic Interstitial Pneumonia (LIP)
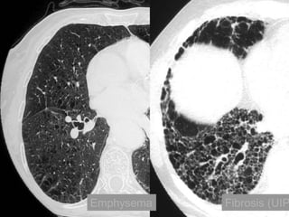
  • 124.
  • 125.
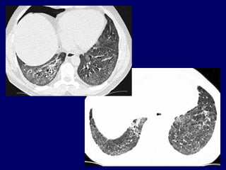
    Usual Interstitial Pneumonia UIP HRCTFindings Reticular opacities, thickened intra- and interlobular septa Irregular interfaces Honey combing and parenchymal distorsion Ground glass opacities (never prominent) Basal and subpleural predominance
  • 126.
  • 127.
    The Many ‘HRCTFaces’ of NSIP Honeycombing not a prominent feature !!!!
  • 128.
    Lymphangioleiomyomatosis (LAM) HRCT Morphology Thin-walled cysts(2mm - 5cm) Uniform in size / rarely confluent Homogeneous distribution Chylous pleural effusion Lymphadenopathy in young women
  • 131.
  • 132.
  • 133.
    Langerhans Cell Histiocytosis HRCTFindings Small peribronchiolar nodules (1-5mm) Thin-walled cysts (< 1cm), Bizarre and confluent Ground glass opacities Late signs: irreversible / parenchymal fibrosis Honey comb lung, septal thickening, bronchiectasis
  • 134.
    Langerhans Cell Histiocytosis 1year later Peribronchiolar Nodules Cavitating nodules and cysts
  • 135.
  • 136.
    Langerhans Cell Histiozytosis KeyFeatures Upper lobe predominance Combination of cysts and noduli Characteristic stages Increased Lung volume Sparing of costophrenic angle S M O K I N G
  • 137.
  • 138.
    Langerhans Cell Histiocytosis DifferentialDiagnosis Only small nodules Sarcoidosis, Silicosis Only cysts idiopathic Fibrosis LAM Destructive emphysema
  • 139.
  • 140.
  • 141.
    LIP = LymphocyticInterstitial Pneumonia Benign lymphoproliferative disorder Diffuse interstitial infiltration of mononuclear cells Not limited to the air ways as in follicular Bronchiolitis
  • 142.
  • 143.
    LIP = LymphocyticInterstitial Pneumonia Rarely idiopathic In association with: Sjögren‟s syndrome Immune deficiency syndromes, AIDS Primary biliary cirrhosis Multicentric Castlemean‟s disease
  • 144.
    Sjoegren disease Dry eyeand dry mouth Fibrosis, bronchitis and bronchiolitis LIP Up to 40 x increased risk for lymphoma (mediastinal adenopathy) and 2 x times increased risk for neoplasma Overlap Sarcoid, DM/PM, MXCT SLE, RA (pleural effusion)
  • 145.
  • 146.
  • 147.
  • 148.
  • 149.
    Outline Typical HRCT patternsof lung diseases with cysts Mosaic pattern and its differential Emphysema Atypical HRCT patterns Quiz
  • 151.
    Where is thepathology ??????? in the areas with increased density meaning there is ground glass in the areas with decreased density meaning there is air trapping
  • 152.
    Pathology in blackareas Airtrapping: Airway Disease Bronchiolitis obliterans (constrictive bronchiolitis) idiopathic, connective tissue diseases, drug reaction, after transplantation, after infection Hypersensitivity pneumonitis granulomatous inflammation of bronchiolar wall Sarcoidosis granulomatous inflammation of bronchiolar wall Asthma / Bronchiectasis / Airway diseases
  • 153.
    Airway Disease what yousee…… In inspiration sharply demarcated areas of seemingly increased density (normal) and decreased density demarcation by interlobular septa In expiration „black‟ areas remain in volume and density „white‟ areas decrease in volume and increase in density INCREASE IN CONTRAST DIFFERENCES AIRTRAPPING
  • 154.
  • 155.
  • 156.
  • 157.
    Hypersensitivity pneumonitis Extr. Allerg.Alveolitis (EAA) HRCT Morphology acute - subacute acinar (centrilobular) unsharp densities ground glass (patchy - diffuse) chronic: fibrosis Intra- / interlobular septal thickening Irregular interfaces Traction bronchiectasis
  • 160.
    Pathology in whiteAreas Alveolitis / Pneumonitis Ground glass desquamative intertitial pneumoinia (DIP) nonspecific interstitial pneumonia (NSIP) organizing pneumonia In expiration both areas (white and black) decrease in volume and increase in density DECREASE IN CONTRAST DIFFERENCES
  • 161.
  • 162.
  • 163.
    Mosaic Perfusion Chronic pulmonaryembolism LOOK FOR Pulmonary hypertension idiopathic, cardiac disease, pulmonary disease
  • 164.
  • 165.
  • 166.
    Radiographic Patterns inILD Pleural Involvement Lymphangitic Carcinomatosis LAM Drug Induced Radiation Pneumonitis Asbestosis Effusion Thickening Plaques Mesothelioma Collagen vascular disease Adenopathy Sarcoidosis Lymphoma Lymphangitic CA LIP Amyloidosis Berylliosis Silicosis Kerley B lines Chronic LV failure Lymphangitic CA Lymphoma LAM Veno-occlusive disease Acute Eosinophilic Pneumonia
  • 167.
    Probability of HistologicDiagnosis of Diffuse Diseases Transbronchial Biopsy Surgical Biopsy 1. Granulomatous diseases 2. Malignant tumors/lymphangitic 3. DAD (any cause) 4. Certain infections Often 5. Alveolar proteinosis 6. Eosinophilic pneumonia 7. Vasculitis 8. Amyloidosis 9. EG/HX/PLCH Sometimes 10. LAM 11. RB/RBILD/DIP 12. UIP/NSIP/LIP COP 13. Small airways disease 14. PHT and PVOD Courtesy of Kevin O. Leslie, MD. Never
  • 168.
  • 169.
  • 170.
    Linear Pattern A linearpattern is seen when there is thickening of the interlobular septa, producing Kerley lines. Kerley A lines Kerley B lines Kerley A lines The interlobular septa contain pulmonary veins and lymphatics. The most common cause of interlobular septal thickening, producing Kerley A and B lines, is pulmonary edema, as a result of pulmonary venous hypertension and distension of the lymphatics. Kerley B lines
  • 171.
    DD of KerlyLines: Pulmonary edema is the most common cause Mitral stenosis Lymphangitic carcinomatosis Malignant lymphoma Congenital lymphangiectasia Idiopathic pulmonary fibrosis Pneumoconiosis Sarcoidosis
  • 173.
    b. Reticular Pattern Areticular pattern results from the summation or superimposition of irregular linear opacities. The term reticular is defined as meshed, or in the form of a network. Reticular opacities can be described as fine, medium, or coarse, as the width of the opacities increases. A classic reticular pattern is seen with pulmonary fibrosis, in which multiple curvilinear opacities form small cystic spaces along the pleural margins and lung bases (honeycomb lung)
  • 174.
    This 50-year-old manpresented with end-stage lung fibrosis PA chest radiograph shows medium to coarse reticular B: CT scan shows multiple small cysts (honeycombing) involving predominantly the subpleural peripheral regions of lung. Traction bronchiectasis, another sign of end-stage lung fibrosis.
  • 175.
    c. Nodular pattern A nodular pattern consists of multiple round opacities, generally ranging in diameter from 1 mm to 1 cm  Nodular opacities may be described as miliary (1 to 2 mm, the size of millet seeds), small, medium, or large, as the diameter of the opacities increases  A nodular pattern, especially with predominant distribution, suggests a specific differential diagnosis
  • 176.
    Disseminated histoplasmosis andnodular ILD. CT scan shows multiple bilateral round circumscribed pulmonary nodules.
  • 177.
    Hematogenous metastases andnodular ILD. This 45-yearold woman presented with metastatic gastric carcinoma. The PA chest radiograph shows a diffuse pattern of nodules, 6 to 10 mm in diameter.
  • 178.
    Differential diagnosis ofa nodular pattern of interstitial lung disease SHRIMP Sarcoidosis Histiocytosis (Langerhan cell histiocytosis) Hypersensitivity pneumonitis Rheumatoid nodules Infection (mycobacterial, fungal, viral) Metastases, Miliary TB Microlithiasis, alveolar Pneumoconioses (silicosis, coal worker's, berylliosis)
  • 179.
    d. Reticulonodular pattern Areticulonodular pattern results from a combination of reticular and nodular opacities. This pattern is often difficult to distinguish from a purely reticular or nodular pattern, and in such a case a differential diagnosis should be developed based on the predominant pattern. If there is no predominant pattern, causes of both nodular and reticular patterns should be considered.
  • 180.
    How To Approach aPractical Diagnosis?
  • 181.
    Rule no. 1 Anacute appearance suggests pulmonary edema, acute milliary TB, or acute interstitial neumonia,acute esinophillic pneumonia
  • 182.
    Disseminated histoplasmosis andreticulonodular ILD. A: PA chest radiograph, close-up of right upper lung, shows reticulonodular ILD. B: CT scan shows multiple circumscribed round pulmonary nodules, 2 to 3 mm in diameter.
  • 183.
    Rule no. 2 Reticulonodularlower lung predominant distribution with decreased lung volumes suggests: (APC) 1. Asbestosis 2. Aspiration (chronic) 3. Pulmonary fibrosis (idiopathic) 4.Collagen vascular disease
  • 184.
  • 185.
    Pulmonary fibrosis andrheumatoid arthritis.
  • 186.
    Systemic sclerosis. A: PAchest radiograph shows a bibasilar and subpleural distribution of fine reticular ILD. The presence of a dilated esophagus (arrows) provides a clue to the correct diagnosis. B: CT scan shows peripheral ILD and a dilated esophagus (arrow).
  • 187.
    Rule no. 3 Amiddle or upper lung predominant distribution suggests: (Mycobacterium Settle Superiorly in Lung) 1. Mycobacterial or fungal disease 2. Silicosis 3. Sarcoidosis 4. Langerhans Cell Histiocytosis
  • 188.
    Complicated silicosis. PAchest radiograph shows multiple nodules involving the upper and middle lungs, with coalescence of nodules in the left upper lobe resulting in early progressive massive fibrosis
  • 189.
    Sarcoidosis. CT scanshows nodular thickening of the bronchovascular bundles (solid arrow) and subpleural nodules (dashed arrow), illustrating the typical perilymphatic distribution of sarcoidosis.
  • 190.
    Langerhan cell histiocytosis. This50-year-old man had a 30 pack-year history of cigarette smoking. A: PA chest radiograph shows hyperinflation of the lungs and fine bilateral reticular ILD. B: CT scan shows multiple cysts (solid arrow) and nodules (dashed arrow).
  • 191.
    Rule no. 4 Associatedlymphadenopathy suggests : 1.Sarcoidosis-Berryliosis 2.neoplasm (lymphangitic carcinomatosis, lymphoma, metastases) 3. infection (viral, mycobacterial, or fungal) 4. silicosis
  • 192.
    Simple silicosis. A: CTscan with lung windowing shows numerous circumscribed pulmonary nodules, 2 to 3 mm in diameter (arrows). B: CT scan with mediastinal windowing shows densely calcified hilar (solid arrows) and subcarinal (dashed arrow) nodes.
  • 193.
    Rule no. 5 Associatedpleural thickening and/or calcification suggest asbestosis.
  • 194.
    Rule no. 6 Associatedpleural effusion suggests : 1.pulmonary edema 2.lymphangitic carcinomatosis 3.lymphoma 4.collagen vascular disease 5.LAM
  • 195.
    Cardiogenic pulmonary edema. PAchest radiograph shows enlargement of the cardiac silhouette, bilateral ILD, enlargement of the azygos vein (solid arrow), and peribronchial cuffing (dashed arrow).
  • 196.
    Lymphangitic carcinomatosis. This53-year-old man presented with chronic obstructive pulmonary disease and large-cell bronchogenic carcinoma of the right lung. CT scan shows unilateral nodular thickening (arrows) and a malignant right pleural effusion.
  • 197.
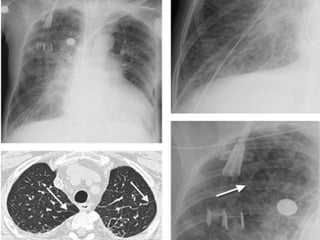
    Rule no. 7 Associatedpneumothorax suggests lymphangioleiomyomatosis or LCH.
  • 198.
    Lymphangioleiomyomatosis (LAM). A: PA chestradiograph shows a right basilar pneumothorax and two right pleural drainage catheters. The lung volumes are increased, which is characteristic of LAM, and there is diffuse reticular ILD. B: CT scan shows bilateral thinwalled cysts and a loculated right pneumothorax (P).
  • 200.
    A p pro a c h to th e IL D P a tie n t P a tie n t w ith S u sp e c te d IL D H x, P E , C X R , P F T , L a b s D x lik e ly b y b ro n c h ? Y es Y es Is b ro n ch d ia g n o stic? No STO P HRCT H x and H R C T co n siste n t w ith IP F H x and H R C T D x o f o th e r IL D S u sp e cte d o th e r IL D STOP D x lik e ly b y b ro n c h ? STOP A typ ica l clin ica l o r C T fe a tu re s o f IP F Y es Is b ro n ch d ia g n o stic? No No Y es STO P VATS U IP N S IP R B IL D D IP DAD OP L IP N o n IIP M a rtine z F , F la h erty K . A va ila ble a t: h ttp ://w w w .ch e stn e t.o rg /e d u ca tion /onlin e /p ccu /vol1 8 /lesso n s03 _ 04 /le sso n 03 .p hp .