Interactive Radiology
Case Presentation
Gamal Rabie Agmy, MD, FCCP
Professor of chest Diseases, Assiut university
Spot Diagnosis
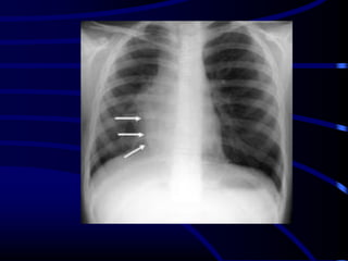
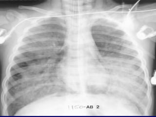
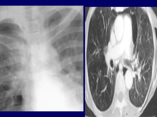
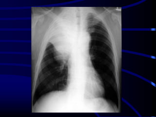
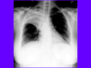
S Curve of
Golden
When there is a mass
adjacent to a fissure, the
fissure takes the shape
of an "S". The proximal
convexity is due to a
mass, and the distal
concavity is due to
atelectasis. Note the
shape of the transverse
fissure.
This example represents
a RUL mass with
atelectasis
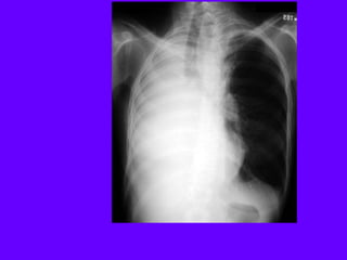
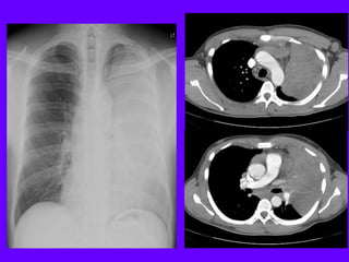
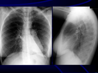
Pulmonary Artery
Overlay Sign
This is the same concept
as a silhouette sign. If
you can recognize the
interlobar pulmonary
artery, it means that the
mass seen is either in
front of or behind it.
This is an example of a
dissecting aneurysm.
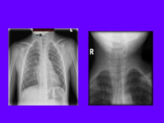
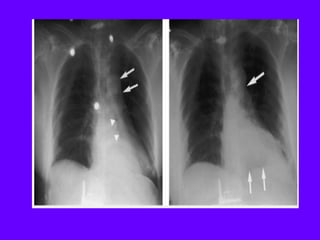
Achalasia of esophagus
Inhomogeneous cardiac density:
Right half more dense than left
Density crossing midline (right black
arrow)
Right sided inlet to outlet shadow
Right para spinal line (left black
arrow)
Barium swallow below: Dilated
esophagus
Feeding vessel sign
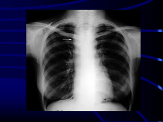
Radiographic Signs of Pneumomediastinum
Subcutaneous emphysema
Thymic sail sign
Pneumoprecardium
Ring around the artery sign
Tubular artery sign
Double bronchial wall sign
Continuous diaphragm sign
Extrapleural sign
Air in the pulmonary ligament
Incomplete Border Sign
(Pregnant Lady Sign)
The incomplete border sign is
useful to depict an
extrapulmonary mass on
chest radiograph.
An extrapulmonary mass will
often have a inner well defined
border and an ill-defined outer
margin . This can be attributed
to the inner margin being
tangential to the x-ray beam
and has good inherent
contrast with the
adjacent lung. On the other
hand, the outer margin is
enface or partially enface with
the x-ray beam and merges
with the pleural or chest wall
thus the border is obscured
Ginkgo leaf sign
• The ginkgo leaf sign is a chest plain radiography
appearance which is seen at extensive subcutaneous
emphysema of the chest wall. Air outlines the fibers of
the pectoralis major muscle and creates a branching
pattern that resembles the branching pattern in the
veins of a ginkgo leaf.
Juxtaphrenic peak sign
The juxtaphrenic peak sign refers to the peaked or
tented appearance of a hemidiaphragm which can
occur in the setting of lobar collapse. It is caused by
retraction of the lower end of diaphragm at an inferior
accessory fissure (most common), major fissure
or inferior pulmonary ligament. It is commonly seen
in upper lobe collapse but may also be seen in middle
lobe collapse.
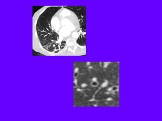
CT angiogram Sign
Identification of vessels within an
airless portion of lung on contrast-
enhanced CT .
The vessels are prominently seen
against a background of low-
attenuation material .
Associatedwith:
bronchoalveolar cell carcinoma
lymphoma
infectious pneumonias.
Fallen Lung Sign
This sign refers to the appearance
of the collapsed lung occurring
with a fractured bronchus .
The bronchial fracture results in
the lung to fall away from the
hilum, either inferiorly and laterally
in an upright patient or posteriorly,
as seen on CT in a supine patient.
DD:
Pneumothorax causes a lung to
collapse inward toward the hilum.
Luftsichel Sign
•German for sickle of air (luft: air sichel:
crescent)
•Paramediastinal lucency due to
interposition of lower lobe apex between
mediastinum and shrunken upper lobe
•Occurs more commonly on the left than in
the right
Halo Sign
CT shows nodular consolidation associated with a halo of ground-glass
opacity (GGO) in both apices resulting from invasive pulmonary
aspergillosis.
This halo represents hemorrhage.
When seen in leukemic patients, is highly suggestive of the diagnosis of
invasive pulmonary aspergillosis.
CT Halo Sign
Reverse Halo Sign
•Central ground-glass opacity surrounded
by denser consolidation of crescentic or
ring shape, at least 2 mm thick
•First described by Voloudaki in 1996
•Kim in 2003 used the term reverse halo
•Found to be relatively specific for crypto-
genic organizing pneumonia (COP)
Reverse Halo Sign
Seen in other conditions:
•Wegener’s granulomatosis
•lymphomatoid granulomatosis
•paracoccidiodomycosis
•neoplastic (metastasis)
•invasive aspergillosis
•lipoid pneumonia
Tree-in-Bud Sign
•
Pearl ring sign
steeple of Salisbury
Cathedral,
Wiltshire, England
Steeple sign
The steeple sign (also called wine bottle
sign) refers to tapering of the
upper trachea on a frontal chest
radiograph reminiscent of a church
steeple. The appearance is suggestive
of croup, which should be obvious
clinically. A corresponding lateral x-ray
would show narrowing of the subglottic
trachea and ballooning of the
hypopharyn
Cancer Breast
Larger right breast
Inverted nipple
Radiation Fibrosis of
Lung
Right lung smaller
Right hemithorax smaller
Paramediastinal fibrosis
Atelectasis Right Lung
Homogenous density right hemithorax
Mediastinal shift to right
Right hemithorax smaller
Right heart and diaphragmatic silhouette are not identifiable
Silhouette Sign
Adjacent Lobe/SegmentSilhouette
RLL/Basal segmentsRight diaphragm
RML/Medial segmentRight heart margin
RUL/Anterior segmentAscending aorta
LUL/Posterior segmentAortic knob
Lingula/Inferior segmentLeft heart margin
LLL/Superior and basal segmentsDescending aorta
LLL/Basal segmentsLeft diaphragm
Cardiac margins are clearly seen because there is contrast between the fluid
density of the heart and the adjacent air filled alveoli. Both being of fluid density,
you cannot visualize the partition of the right and left ventricle because there is no
contrast between them. If the adjacent lung is devoid of air, the clarity of the
silhouette will be lost. The silhouette sign is extremely useful in localizing lung
lesions.
Air Bronchogram
• In a normal chest x-ray, the tracheobronchial tree is not
visible beyond the 4th order. As the bronchial tree
branches, the cartilaginous rings become thinner, and
eventually disappear in respiratory bronchioles. The
lumen of the bronchus contains air and the surrounding
alveoli contain air. Thus, there is no contrast to visualize
the bronchi.
• The air column in the bronchi beyond the 4th order
becomes recognizable if the surrounding alveoli is filled,
providing a contrast or if the bronchi get thickened
• The term air bronchogram is used for the former state
and signifies alveolar disease.
Finger in Glove Sign
Visible on chest radiographs or CT
•Indicates mucoid impaction within an obstructed bronchus
•Characterized by branching tubular or fingerlike opacities
Flat waist Sign
This sign refers to flattening of the contours of the aortic knob and adjacent
main pulmonary artery .
It is seen in severe collapse of the left lower lobe and is caused by leftward
displacement and rotation of the heart
Secondary lobule
Basic anatomic unit of pulmonary
structure and function.
1-2 cm and is made up of 5-15
pulmonary acini
Supplied by a small bronchiole
(terminal bronchiole) in the
center, that is parallelled by the
centrilobular artery.
Pulmonary veins and lymphatics
run in the periphery
Two lymphatic systems:
 central network
 peripheral network
The terminal bronchiole in the center divides into respiratory
bronchioli with acini that contain alveoli.
Lymphatics and veins run within the interlobular septa
Centrilobular area in blue
perilymphatic area in yellow
Raoof, S. , CHEST 2006; 129:805
64
A group of terminal bronchioles
65
Unit of lung (0.5-3 cm)
Irregularly polyhedral
Supplied by a group of terminal bronchioles
and accompanying pulmonary arterioles
surrounded by lymph vessels
Demarcated by “interlobular septa”
pulmonary veins
pulmonary lymphatics
connective tissue stroma
Accompanying pulmonary arterioles
67
Surrounded by lymph vessels
68
Pulmonary veins
69
Pulmonary lymphatics
70
71
Connective Tissue Stroma
Perilymphatic distribution
Centrilobular distribution
Random distribution
ARE NODULES IN CONTACT
WITH PLEURA
NO
CENTRILOBULAR
YES
PERILYMPHATIC RANDOM
Hypersensitivity
pneumonitis.
HRCT at the level of the
upper lobes reveals an “ill-
defined centrilobular nodular
pattern” characterised by
micronodules of ground-
glass opacity that are
diffusely distributed
characteristically in the
centre of the pulmonary
lobules
RBILD.
HRCT at the level of the upper
lobes exhibits an “ill-defined
centrilobular nodular pattern”
characterised by micronodules of
ground-glass opacity that are
diffusely distributed
characteristically in the centre of
the pulmonary lobules. In this case
the history of smoking favours the
diagnosis of respiratory
bronchiolitis interstitial lung disease
Miliary TB
HRCT at the level of the upper
lobes exhibits a “miliary nodular
pattern” characterised by random
micronodules diffusely and
symmetrically distributed within the
lungs having approximately the
same size
Miliary metastatic disease.
HRCT at the level of the upper lobes
shows a “milary nodular pattern”
characterised by random and
perilymphatic micronodules diffusely
distributed throughout the lungs that
have a more variable size compared ...
Differential diagnosis of a nodular
pattern of interstitial lung disease
SHRIMP
Sarcoidosis
Histiocytosis (Langerhan cell
histiocytosis)
Hypersensitivity pneumonitis
Rheumatoid nodules
Infection (mycobacterial, fungal, viral)
Metastases, Miliary TB
Microlithiasis, alveolar
Pneumoconioses (silicosis, coal
worker's, berylliosis)
A 27-year-old man is referred to you for evaluation of an
abnormal chest radiograph. About 5 months ago, he consulted
a doctor because of excessive thirst. Evaluation resulted in the
diagnosis of diabetes insipidus, which responded favorably to
desmopressin administered nasally. Recently, he started to
notice shortness of breath when climbing stairs, and a chest
radiograph was obtained.
•Patient history reveals significant tobacco smoking, up to two
packs daily, for at least 14 years. The patient noticed the
shortness of breath for at least 2 years, and recently, he noted
a point of tenderness over the chest wall, lateral to the
posterior axillary line on the left.
•Oxygen saturation is 94% while breathing room air, and the
rest of his vital signs were normal. Auscultation reveals only
rare crackles without prolongation of the expiratory phase.
There is a point of tenderness over the left sixth and seventh
ribs in the posterior axillary line, and a chest CT scan is
obtained.
The most likely diagnosis is:
A. Metastatic tumor of unknown primary
site.
B. Sarcoidosis.
C. Langerhans cell histiocytosis.
D. Idiopathic pulmonary fibrosis.
The most likely diagnosis is:
A. Metastatic tumor of unknown primary
site.
B. Sarcoidosis.
C. Langerhans cell histiocytosis.
D. Idiopathic pulmonary fibrosis.
DECREASED
LUNG
ATTENUATION
Lung Cysts
Pulmonary fibrosis (Honeycombing)
Lymphangiomyomatosis
Langerhanscell histiocytosis
Lymphocytic Interstitial Pneumonia (LIP)
Differential Diagnosis
Rough Reticular Fine Reticular
Traction
Bronchiectasis
and
Interface
sign
Honey
combing
UIP UIP or NSIP
Usual Interstitial Pneumonia UIP
HRCT Findings
Reticular opacities, thickened intra- and
interlobular septa
Irregular interfaces
Honey combing and parenchymal distorsion
Ground glass opacities (never prominent)
Basal and subpleural predominance
Basal and subpleural distribution
UIP
Lymphangioleiomyomatosis
(LAM)
HRCT Morphology
Thin-walled cysts (2mm - 5cm)
Uniform in size / rarely confluent
Homogeneous distribution
Chylous pleural effusion
Lymphadenopathy
in young women
Lymphangioleiomyomatosis (LAM)
Tuberous Sclerosis (young man)
Langerhans Cell Histiocytosis
HRCT Findings
Small peribronchiolar nodules (1-5mm)
Thin-walled cysts (< 1cm),
Bizarre and confluent
Ground glass opacities
Late signs: irreversible / parenchymal fibrosis
Honey comb lung, septal thickening,
bronchiectasis
1 year later
Peribronchiolar Nodules Cavitating nodules and cysts
Langerhans Cell Histiocytosis
Langerhans Cell Histiocytosis
Langerhans Cell Histiozytosis
Key Features
Upper lobe predominance
Combination of cysts and noduli
Characteristic stages
Increased Lung volume
Sparing of costophrenic angle
S
M
O
K
I
N
G
.......after cessation of smoking
Benign lymphoproliferative
disorder
Diffuse interstitial infiltration of
mononuclear cells
Not limited to the air ways as
in follicular Bronchiolitis
LIP
= Lymphocytic Interstitial Pneumonia
Sjögren: LIP
LIP
= Lymphocytic Interstitial Pneumonia
Rarely idiopathic
In association with:
Sjögren‟s syndrome
Immune deficiency syndromes, AIDS
Primary biliary cirrhosis
Multicentric Castlemean‟s disease
Sjoegren disease
Dry eye and dry mouth
Fibrosis, bronchitis and bronchiolitis
LIP
Overlap
Sarcoid, DM/PM, MXCT
SLE, RA (pleural effusion)
Up to 40 x increased risk for lymphoma (mediastinal
adenopathy) and
2 x times increased risk for neoplasma
Young woman Dry mouth Smoker
LAM LIP Histiocytosis
Wegener„s disease
Rheumatoid Arthritis
Emphysema
histopathological definition
…..permanent abnormal enlargement of
airspaces distal to the bronchioles terminales
and
…...destruction of the walls of the involved
airspaces
Centrilobular Emphysema
Panlobular Emphysema
CLE and PLE in one Patient
Fibrosis and Emphysema
LAMEmphysema Fibrosis
LCHEmphysema
FibrosisEmphysema
Emphysema
Emphysema typically presents as
areas of low attenuation without
visible walls as a result of
parenchymal destruction.
EMPHYSEMA
Permanent, abnormal enlargement of air
spaces distal to the terminal bronchiole
and accompanied by the destruction of
the walls of the involved air spaces.
119
Centrilobular emphysema
Most common type
Irreversible destruction of alveolar
walls in the centrilobular portion of the
lobule
Upper lobe predominance and
uneven distribution
Strongly associated with smoking.
Centrilobular (proximal or
centriacinar) emphysema
Found most commonly in the upper lobes
Manifests as multiple small areas of low attenuation without a
perceptible wall, producing a punched-out appearance.
Often the centrilobular artery is visible within the
centre of these lucencies.
121
Centrilobular emphysema due to smoking. The periphery of
the lung is spared (blue arrows). Centrilobular artery (yellow
arrows) is seen in the center of the hypodense area.
Panlobular emphysema
Affects the whole secondary lobule
Lower lobe predominance
In alpha-1-antitrypsin deficiency, but
also seen in smokers with advanced
emphysema
PANLOBULAR EMPHYSEMA
Affects the entire secondary pulmonary
lobule and is more pronounced in the lower
zones
Complete destruction of the entire pulmonary
lobule.
Results in an overall decrease in lung
attenuation and a reduction in size of
pulmonary vessels
124
PANLOBULAR EMPHYSEMA
125
Panlobular emphysema
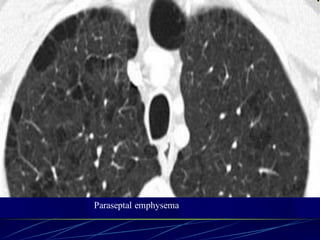
Paraseptal (distal acinar)
emphysema
Affects the peripheral parts of
the secondary pulmonary lobule
Produces subpleural lucencies.
127
Paraseptal emphysema
Cystic lung disease
Lung cysts are defined as radiolucent areas with a
wall thickness of less than 4mm.
Langerhans cell histiocytosis
Lymphangiomyomatosis complicated by pneumothorax
Bronchiectasis
Bronchiectasis is defined as localized bronchial
dilatation. (signet-ring sign)
bronchial wall thickening
lack of normal tapering with visibility of airways
in the peripheral lung
mucus retention in the broncial lumen
associated atelectasis and sometimes air
trapping
ABPA: glove-fingershadow dueto mucoid impaction in central
bronchiectasisin a patientwith asthma.
Signet-Ring Sign
A signet-ring sign represents an axial cut of a dilated bronchus
(ring) with its accompanying small artery (signet).
Tram Tracks
Bronchial dilation with lack of tapering .
HONEYCOMBING
Defined as - small cystic spaces with
irregularly thickened walls composed of
fibrous tissue.
Predominate in the peripheral and subpleural
lung regions
Subpleural honeycomb cysts typically occur
in several contiguous layers. D/D- paraseptal
emphysema in which subpleural cysts usually
138
Honeycombing
Honeycombing is defined by the presence of small cystic
spaces with irregularly thickened walls composed of
fibrous tissue.
Causes
Lower lobe predominance :
1. UIP or interstitial fibrosis
2. Connective tissue disorders
3. Asbestosis
4. NSIP (rare)
Upper lobe predominance :
1. End stage sarcodosis
2. Radiation
3. Hypersensitivity Pneumonitis
4. End stage ARDS
140
Honeycombing
HRCT
showing
subpleural
broncheolecta
Honeycombing and traction bronchiectasis in UIP.
Typical UIP with honeycombing and traction
bronchiectasis in a patient with idiopathic
pulmonary fibrosis (IPF)
Mosiac pattern
Where is the pathology ???????
in the areas with increased density
meaning there is ground glass
in the areas with decreased density
meaning there is air trapping
Pathology in black areas
Airtrapping: Airway
Disease
Bronchiolitis obliterans (constrictive bronchiolitis)
idiopathic, connective tissue diseases, drug reaction,
after transplantation, after infection
Hypersensitivity pneumonitis
granulomatous inflammation of bronchiolar wall
Sarcoidosis
granulomatous inflammation of bronchiolar wall
Asthma / Bronchiectasis / Airway diseases
Airway Disease
what you see……
In inspiration
sharply demarcated areas of seemingly increased
density (normal) and decreased density
demarcation by interlobular septa
In expiration
„black‟ areas remain in volume and density
„white‟ areas decrease in volume and increase in
density
INCREASE IN CONTRAST
DIFFERENCES
AIRTRAPPING
Bronchiolitis
obliterans
Early Sarcoidosis
Chronic
EAA
Hypersensitivity pneumonitis
Extr. Allerg. Alveolitis (EAA) HRCT
Morphology
chronic: fibrosis
Intra- / interlobular septal thickening
Irregular interfaces
Traction bronchiectasis
acute - subacute
acinar (centrilobular) unsharp densities
ground glass (patchy - diffuse)
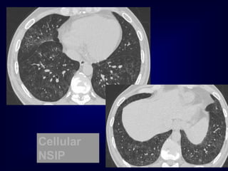
Pathology in white Areas
Alveolitis / Pneumonitis
Ground glass
desquamative intertitial pneumoinia (DIP)
nonspecific interstitial pneumonia (NSIP)
organizing pneumonia
In expiration
both areas (white and black) decrease in
volume and increase in density
DECREASE IN CONTRAST
DIFFERENCES
DI
P
Cellular
NSIP
Mosaic Perfusion
Chronic pulmonary embolism
LOOK FOR
Pulmonary hypertension
idiopathic, cardiac disease, pulmonary
disease
CTEPH =
Chronic thrombembolic
pulmonary hypertension
Hydrostatic pulmonary
oedema
“septal pattern” characterised by
thickened smoothly interlobular
septae in the right parahilar area.
Right pleural effusion is also seen
Lymphangitic carcinomatosis.
HRCT of the right lung shows a
“septal pattern” characterised by
diffuse nodular thickening of the
interlobular septae and the right
major fissure
Interactive radiology case presentation

Interactive radiology case presentation

  • 2.
    Interactive Radiology Case Presentation GamalRabie Agmy, MD, FCCP Professor of chest Diseases, Assiut university
  • 3.
  • 5.
    S Curve of Golden Whenthere is a mass adjacent to a fissure, the fissure takes the shape of an "S". The proximal convexity is due to a mass, and the distal concavity is due to atelectasis. Note the shape of the transverse fissure. This example represents a RUL mass with atelectasis
  • 7.
    Pulmonary Artery Overlay Sign Thisis the same concept as a silhouette sign. If you can recognize the interlobar pulmonary artery, it means that the mass seen is either in front of or behind it. This is an example of a dissecting aneurysm.
  • 9.
    Achalasia of esophagus Inhomogeneouscardiac density: Right half more dense than left Density crossing midline (right black arrow) Right sided inlet to outlet shadow Right para spinal line (left black arrow) Barium swallow below: Dilated esophagus
  • 11.
  • 17.
    Radiographic Signs ofPneumomediastinum Subcutaneous emphysema Thymic sail sign Pneumoprecardium Ring around the artery sign Tubular artery sign Double bronchial wall sign Continuous diaphragm sign Extrapleural sign Air in the pulmonary ligament
  • 24.
    Incomplete Border Sign (PregnantLady Sign) The incomplete border sign is useful to depict an extrapulmonary mass on chest radiograph. An extrapulmonary mass will often have a inner well defined border and an ill-defined outer margin . This can be attributed to the inner margin being tangential to the x-ray beam and has good inherent contrast with the adjacent lung. On the other hand, the outer margin is enface or partially enface with the x-ray beam and merges with the pleural or chest wall thus the border is obscured
  • 26.
    Ginkgo leaf sign •The ginkgo leaf sign is a chest plain radiography appearance which is seen at extensive subcutaneous emphysema of the chest wall. Air outlines the fibers of the pectoralis major muscle and creates a branching pattern that resembles the branching pattern in the veins of a ginkgo leaf.
  • 28.
    Juxtaphrenic peak sign Thejuxtaphrenic peak sign refers to the peaked or tented appearance of a hemidiaphragm which can occur in the setting of lobar collapse. It is caused by retraction of the lower end of diaphragm at an inferior accessory fissure (most common), major fissure or inferior pulmonary ligament. It is commonly seen in upper lobe collapse but may also be seen in middle lobe collapse.
  • 30.
    CT angiogram Sign Identificationof vessels within an airless portion of lung on contrast- enhanced CT . The vessels are prominently seen against a background of low- attenuation material . Associatedwith: bronchoalveolar cell carcinoma lymphoma infectious pneumonias.
  • 32.
    Fallen Lung Sign Thissign refers to the appearance of the collapsed lung occurring with a fractured bronchus . The bronchial fracture results in the lung to fall away from the hilum, either inferiorly and laterally in an upright patient or posteriorly, as seen on CT in a supine patient. DD: Pneumothorax causes a lung to collapse inward toward the hilum.
  • 34.
    Luftsichel Sign •German forsickle of air (luft: air sichel: crescent) •Paramediastinal lucency due to interposition of lower lobe apex between mediastinum and shrunken upper lobe •Occurs more commonly on the left than in the right
  • 36.
    Halo Sign CT showsnodular consolidation associated with a halo of ground-glass opacity (GGO) in both apices resulting from invasive pulmonary aspergillosis. This halo represents hemorrhage. When seen in leukemic patients, is highly suggestive of the diagnosis of invasive pulmonary aspergillosis.
  • 37.
  • 39.
    Reverse Halo Sign •Centralground-glass opacity surrounded by denser consolidation of crescentic or ring shape, at least 2 mm thick •First described by Voloudaki in 1996 •Kim in 2003 used the term reverse halo •Found to be relatively specific for crypto- genic organizing pneumonia (COP)
  • 40.
    Reverse Halo Sign Seenin other conditions: •Wegener’s granulomatosis •lymphomatoid granulomatosis •paracoccidiodomycosis •neoplastic (metastasis) •invasive aspergillosis •lipoid pneumonia
  • 43.
  • 45.
  • 47.
  • 48.
    Steeple sign The steeplesign (also called wine bottle sign) refers to tapering of the upper trachea on a frontal chest radiograph reminiscent of a church steeple. The appearance is suggestive of croup, which should be obvious clinically. A corresponding lateral x-ray would show narrowing of the subglottic trachea and ballooning of the hypopharyn
  • 50.
    Cancer Breast Larger rightbreast Inverted nipple Radiation Fibrosis of Lung Right lung smaller Right hemithorax smaller Paramediastinal fibrosis
  • 52.
    Atelectasis Right Lung Homogenousdensity right hemithorax Mediastinal shift to right Right hemithorax smaller Right heart and diaphragmatic silhouette are not identifiable
  • 53.
    Silhouette Sign Adjacent Lobe/SegmentSilhouette RLL/BasalsegmentsRight diaphragm RML/Medial segmentRight heart margin RUL/Anterior segmentAscending aorta LUL/Posterior segmentAortic knob Lingula/Inferior segmentLeft heart margin LLL/Superior and basal segmentsDescending aorta LLL/Basal segmentsLeft diaphragm Cardiac margins are clearly seen because there is contrast between the fluid density of the heart and the adjacent air filled alveoli. Both being of fluid density, you cannot visualize the partition of the right and left ventricle because there is no contrast between them. If the adjacent lung is devoid of air, the clarity of the silhouette will be lost. The silhouette sign is extremely useful in localizing lung lesions.
  • 55.
    Air Bronchogram • Ina normal chest x-ray, the tracheobronchial tree is not visible beyond the 4th order. As the bronchial tree branches, the cartilaginous rings become thinner, and eventually disappear in respiratory bronchioles. The lumen of the bronchus contains air and the surrounding alveoli contain air. Thus, there is no contrast to visualize the bronchi. • The air column in the bronchi beyond the 4th order becomes recognizable if the surrounding alveoli is filled, providing a contrast or if the bronchi get thickened • The term air bronchogram is used for the former state and signifies alveolar disease.
  • 57.
    Finger in GloveSign Visible on chest radiographs or CT •Indicates mucoid impaction within an obstructed bronchus •Characterized by branching tubular or fingerlike opacities
  • 59.
    Flat waist Sign Thissign refers to flattening of the contours of the aortic knob and adjacent main pulmonary artery . It is seen in severe collapse of the left lower lobe and is caused by leftward displacement and rotation of the heart
  • 60.
    Secondary lobule Basic anatomicunit of pulmonary structure and function. 1-2 cm and is made up of 5-15 pulmonary acini Supplied by a small bronchiole (terminal bronchiole) in the center, that is parallelled by the centrilobular artery. Pulmonary veins and lymphatics run in the periphery Two lymphatic systems:  central network  peripheral network
  • 61.
    The terminal bronchiolein the center divides into respiratory bronchioli with acini that contain alveoli. Lymphatics and veins run within the interlobular septa
  • 62.
    Centrilobular area inblue perilymphatic area in yellow
  • 63.
    Raoof, S. ,CHEST 2006; 129:805
  • 64.
  • 65.
    A group ofterminal bronchioles 65
  • 66.
    Unit of lung(0.5-3 cm) Irregularly polyhedral Supplied by a group of terminal bronchioles and accompanying pulmonary arterioles surrounded by lymph vessels Demarcated by “interlobular septa” pulmonary veins pulmonary lymphatics connective tissue stroma
  • 67.
  • 68.
  • 69.
  • 70.
  • 71.
  • 72.
  • 73.
    ARE NODULES INCONTACT WITH PLEURA NO CENTRILOBULAR YES PERILYMPHATIC RANDOM
  • 74.
    Hypersensitivity pneumonitis. HRCT at thelevel of the upper lobes reveals an “ill- defined centrilobular nodular pattern” characterised by micronodules of ground- glass opacity that are diffusely distributed characteristically in the centre of the pulmonary lobules
  • 75.
    RBILD. HRCT at thelevel of the upper lobes exhibits an “ill-defined centrilobular nodular pattern” characterised by micronodules of ground-glass opacity that are diffusely distributed characteristically in the centre of the pulmonary lobules. In this case the history of smoking favours the diagnosis of respiratory bronchiolitis interstitial lung disease
  • 76.
    Miliary TB HRCT atthe level of the upper lobes exhibits a “miliary nodular pattern” characterised by random micronodules diffusely and symmetrically distributed within the lungs having approximately the same size
  • 77.
    Miliary metastatic disease. HRCTat the level of the upper lobes shows a “milary nodular pattern” characterised by random and perilymphatic micronodules diffusely distributed throughout the lungs that have a more variable size compared ...
  • 79.
    Differential diagnosis ofa nodular pattern of interstitial lung disease SHRIMP Sarcoidosis Histiocytosis (Langerhan cell histiocytosis) Hypersensitivity pneumonitis Rheumatoid nodules Infection (mycobacterial, fungal, viral) Metastases, Miliary TB Microlithiasis, alveolar Pneumoconioses (silicosis, coal worker's, berylliosis)
  • 83.
    A 27-year-old manis referred to you for evaluation of an abnormal chest radiograph. About 5 months ago, he consulted a doctor because of excessive thirst. Evaluation resulted in the diagnosis of diabetes insipidus, which responded favorably to desmopressin administered nasally. Recently, he started to notice shortness of breath when climbing stairs, and a chest radiograph was obtained. •Patient history reveals significant tobacco smoking, up to two packs daily, for at least 14 years. The patient noticed the shortness of breath for at least 2 years, and recently, he noted a point of tenderness over the chest wall, lateral to the posterior axillary line on the left. •Oxygen saturation is 94% while breathing room air, and the rest of his vital signs were normal. Auscultation reveals only rare crackles without prolongation of the expiratory phase. There is a point of tenderness over the left sixth and seventh ribs in the posterior axillary line, and a chest CT scan is obtained.
  • 85.
    The most likelydiagnosis is: A. Metastatic tumor of unknown primary site. B. Sarcoidosis. C. Langerhans cell histiocytosis. D. Idiopathic pulmonary fibrosis.
  • 86.
    The most likelydiagnosis is: A. Metastatic tumor of unknown primary site. B. Sarcoidosis. C. Langerhans cell histiocytosis. D. Idiopathic pulmonary fibrosis.
  • 87.
  • 88.
    Lung Cysts Pulmonary fibrosis(Honeycombing) Lymphangiomyomatosis Langerhanscell histiocytosis Lymphocytic Interstitial Pneumonia (LIP) Differential Diagnosis
  • 89.
    Rough Reticular FineReticular Traction Bronchiectasis and Interface sign Honey combing UIP UIP or NSIP
  • 90.
    Usual Interstitial PneumoniaUIP HRCT Findings Reticular opacities, thickened intra- and interlobular septa Irregular interfaces Honey combing and parenchymal distorsion Ground glass opacities (never prominent) Basal and subpleural predominance
  • 91.
    Basal and subpleuraldistribution UIP
  • 92.
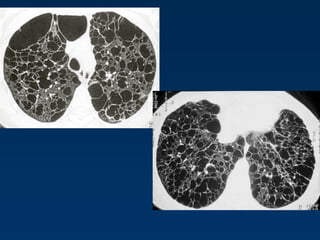
    Lymphangioleiomyomatosis (LAM) HRCT Morphology Thin-walled cysts(2mm - 5cm) Uniform in size / rarely confluent Homogeneous distribution Chylous pleural effusion Lymphadenopathy in young women
  • 95.
  • 96.
  • 97.
    Langerhans Cell Histiocytosis HRCTFindings Small peribronchiolar nodules (1-5mm) Thin-walled cysts (< 1cm), Bizarre and confluent Ground glass opacities Late signs: irreversible / parenchymal fibrosis Honey comb lung, septal thickening, bronchiectasis
  • 98.
    1 year later PeribronchiolarNodules Cavitating nodules and cysts Langerhans Cell Histiocytosis
  • 99.
  • 100.
    Langerhans Cell Histiozytosis KeyFeatures Upper lobe predominance Combination of cysts and noduli Characteristic stages Increased Lung volume Sparing of costophrenic angle S M O K I N G
  • 101.
  • 102.
    Benign lymphoproliferative disorder Diffuse interstitialinfiltration of mononuclear cells Not limited to the air ways as in follicular Bronchiolitis LIP = Lymphocytic Interstitial Pneumonia
  • 103.
  • 104.
    LIP = Lymphocytic InterstitialPneumonia Rarely idiopathic In association with: Sjögren‟s syndrome Immune deficiency syndromes, AIDS Primary biliary cirrhosis Multicentric Castlemean‟s disease
  • 105.
    Sjoegren disease Dry eyeand dry mouth Fibrosis, bronchitis and bronchiolitis LIP Overlap Sarcoid, DM/PM, MXCT SLE, RA (pleural effusion) Up to 40 x increased risk for lymphoma (mediastinal adenopathy) and 2 x times increased risk for neoplasma
  • 106.
    Young woman Drymouth Smoker LAM LIP Histiocytosis
  • 107.
  • 108.
  • 109.
    Emphysema histopathological definition …..permanent abnormalenlargement of airspaces distal to the bronchioles terminales and …...destruction of the walls of the involved airspaces
  • 110.
  • 111.
  • 112.
    CLE and PLEin one Patient
  • 113.
  • 114.
  • 115.
  • 116.
  • 118.
    Emphysema Emphysema typically presentsas areas of low attenuation without visible walls as a result of parenchymal destruction.
  • 119.
    EMPHYSEMA Permanent, abnormal enlargementof air spaces distal to the terminal bronchiole and accompanied by the destruction of the walls of the involved air spaces. 119
  • 120.
    Centrilobular emphysema Most commontype Irreversible destruction of alveolar walls in the centrilobular portion of the lobule Upper lobe predominance and uneven distribution Strongly associated with smoking.
  • 121.
    Centrilobular (proximal or centriacinar)emphysema Found most commonly in the upper lobes Manifests as multiple small areas of low attenuation without a perceptible wall, producing a punched-out appearance. Often the centrilobular artery is visible within the centre of these lucencies. 121
  • 122.
    Centrilobular emphysema dueto smoking. The periphery of the lung is spared (blue arrows). Centrilobular artery (yellow arrows) is seen in the center of the hypodense area.
  • 123.
    Panlobular emphysema Affects thewhole secondary lobule Lower lobe predominance In alpha-1-antitrypsin deficiency, but also seen in smokers with advanced emphysema
  • 124.
    PANLOBULAR EMPHYSEMA Affects theentire secondary pulmonary lobule and is more pronounced in the lower zones Complete destruction of the entire pulmonary lobule. Results in an overall decrease in lung attenuation and a reduction in size of pulmonary vessels 124
  • 125.
  • 126.
  • 127.
    Paraseptal (distal acinar) emphysema Affectsthe peripheral parts of the secondary pulmonary lobule Produces subpleural lucencies. 127
  • 128.
  • 129.
    Cystic lung disease Lungcysts are defined as radiolucent areas with a wall thickness of less than 4mm.
  • 130.
  • 131.
  • 132.
    Bronchiectasis Bronchiectasis is definedas localized bronchial dilatation. (signet-ring sign) bronchial wall thickening lack of normal tapering with visibility of airways in the peripheral lung mucus retention in the broncial lumen associated atelectasis and sometimes air trapping
  • 133.
    ABPA: glove-fingershadow duetomucoid impaction in central bronchiectasisin a patientwith asthma.
  • 134.
    Signet-Ring Sign A signet-ringsign represents an axial cut of a dilated bronchus (ring) with its accompanying small artery (signet).
  • 136.
  • 137.
    Bronchial dilation withlack of tapering .
  • 138.
    HONEYCOMBING Defined as -small cystic spaces with irregularly thickened walls composed of fibrous tissue. Predominate in the peripheral and subpleural lung regions Subpleural honeycomb cysts typically occur in several contiguous layers. D/D- paraseptal emphysema in which subpleural cysts usually 138
  • 139.
    Honeycombing Honeycombing is definedby the presence of small cystic spaces with irregularly thickened walls composed of fibrous tissue.
  • 140.
    Causes Lower lobe predominance: 1. UIP or interstitial fibrosis 2. Connective tissue disorders 3. Asbestosis 4. NSIP (rare) Upper lobe predominance : 1. End stage sarcodosis 2. Radiation 3. Hypersensitivity Pneumonitis 4. End stage ARDS 140
  • 141.
  • 142.
    Honeycombing and tractionbronchiectasis in UIP.
  • 143.
    Typical UIP withhoneycombing and traction bronchiectasis in a patient with idiopathic pulmonary fibrosis (IPF)
  • 144.
  • 145.
    Where is thepathology ??????? in the areas with increased density meaning there is ground glass in the areas with decreased density meaning there is air trapping
  • 146.
    Pathology in blackareas Airtrapping: Airway Disease Bronchiolitis obliterans (constrictive bronchiolitis) idiopathic, connective tissue diseases, drug reaction, after transplantation, after infection Hypersensitivity pneumonitis granulomatous inflammation of bronchiolar wall Sarcoidosis granulomatous inflammation of bronchiolar wall Asthma / Bronchiectasis / Airway diseases
  • 147.
    Airway Disease what yousee…… In inspiration sharply demarcated areas of seemingly increased density (normal) and decreased density demarcation by interlobular septa In expiration „black‟ areas remain in volume and density „white‟ areas decrease in volume and increase in density INCREASE IN CONTRAST DIFFERENCES AIRTRAPPING
  • 148.
  • 149.
  • 150.
  • 151.
    Hypersensitivity pneumonitis Extr. Allerg.Alveolitis (EAA) HRCT Morphology chronic: fibrosis Intra- / interlobular septal thickening Irregular interfaces Traction bronchiectasis acute - subacute acinar (centrilobular) unsharp densities ground glass (patchy - diffuse)
  • 154.
    Pathology in whiteAreas Alveolitis / Pneumonitis Ground glass desquamative intertitial pneumoinia (DIP) nonspecific interstitial pneumonia (NSIP) organizing pneumonia In expiration both areas (white and black) decrease in volume and increase in density DECREASE IN CONTRAST DIFFERENCES
  • 155.
  • 156.
  • 157.
    Mosaic Perfusion Chronic pulmonaryembolism LOOK FOR Pulmonary hypertension idiopathic, cardiac disease, pulmonary disease
  • 158.
  • 159.
    Hydrostatic pulmonary oedema “septal pattern”characterised by thickened smoothly interlobular septae in the right parahilar area. Right pleural effusion is also seen
  • 161.
    Lymphangitic carcinomatosis. HRCT ofthe right lung shows a “septal pattern” characterised by diffuse nodular thickening of the interlobular septae and the right major fissure