Approach To
Interstitial Lung Diseases
or
Diffuse Parenchymal Lung
Diseases
Gamal Rabie Agmy, MD, FCCP
Professor of Chest Diseases, Assiut university
ERS National Delegate of Egypt
Objectives
• Review the spectrum of ILD or DPLD
• Identify clues on presentation to make
the diagnosis
• Review common radiographic findings
in ILD
• Come up with an algorithm to make
the diagnosis
What is the Pulmonary
Interstitium?
• Interstitial compartment is
the portion of the lung
sandwiched between the
epithelial and endothelial
basement membrane
• Expansion of the interstitial
compartment by
inflammation with or without
fibrosis
– Necrosis
– Hyperplasia
– Collapse of basement
membrane
– Inflammatory cells
The Lung Interstitium
The interstitium of the lung is not normally visible radiographically; it becomes visible only when disease (e.g., edema,
fibrosis, tumor) increases its volume and attenuation.
The interstitial space is defined as continuum of loose
connective tissue throughout the lung composed of three
subdivisions:
(i) the bronchovascular (axial), surrounding the bronchi,
arteries, and veins from the lung root to the level of the
respiratory bronchiole
(ii) the parenchymal (acinar), situated between the alveolar
and capillary basement membranes

(iii) the subpleural, situated beneath the pleura, as well as in
the interlobular septae.
Secondary pulmonary lobular
anatomy
The terminal bronchiole in the center
divides into respiratory bronchioles with
acini that contain alveoli.
Lymphatics and veins run within the
interlobular septa

Centrilobular area in blue (left)
and perilymphatic area in yellow
(right)
Pulmonary lesions
Focal

Diffuse
Pulmonary lesions
 Focal

 Diffuse
Clinical Presentation
• Dyspnea on exertion or a persistent non
productive cough
• Abnormal CXR
• Pulmonary symptoms associated with
another disease, such as CVD
• PFT abnormalities
Approach to DPLD

DPLD of known
Cause

Idiopathic Interstitial
Pneumonias

Exposure

Drugs

Hypersensitivity
Pneumonitis

CVD

Pneumoconiosis

IPF

Granulomatous
Lung Diseases
(Sarcoidosis)

IIP other than IPF

Desquamative Interstitial
Pneumonia

Others

LAM
Histiocytosis X
Malignancy

Respiratory BronchiolitisInterstitial Lung disease
IPF: 47-64%
NSIP: 14 to 36%

Toxic Inhalation

Radiation

Acute Interstitial
Pneumonia

Cryptogenic Organizing
Pneumonia

RBILD/DIP: 1017%

COP: 4-12%
AIP: 2%
LIP: 2%

Lymphocytic Interstitial
Pneumonia

Non Specific Interstitial
Pneumonia
Incident Cases of ILD

Sarcoidosis
8%

Occupation
11%

DILD
5%

DAH
4%
CTD
9%

Other
11%

Pulmonary Fibrosis
52%

(Incidence of IPF=26-31 per 100,000)
Coultas AJRCCM 1994; 150:967
Historical Classification of IIP
UIP/IPF

UIP
DIP
UIP-BO
LIP
Giant cell IP

DIP
UIP
NSIP
DIP-RBILD
AIP

RBILD

2002
ATS/ERS

AIP
Cellular

NSIP
Fibrotic

1970

1997

Liebow and Carington

Katzenstein

Adapted from Ryu JH, et al. Mayo Clin Proc. 1998;73:1085-1101.
Adapted from ATS/ERS. Am J Respir Crit Care Med . 2002;165:277-304.

COP

LIP
Clinical Assessment
•
•
•
•

History
Physical Exam
Chest Radiograph
Pulmonary Function Testing
– At Rest
– Exercise

• Serologic Studies
• Tissue examination
History
•
•
•
•
•
•
•
•

Age
Gender
Smoking history
Medications
Duration of symptoms
Environmental exposure
Occupational exposure
Family history
History: Age and Gender
Age

Gender

– LAM
– Tuberous sclerosis
– Pneumoconiosis
History: Smoking
•

All of the following
• In Goodpasture’s
DPLD are associated
syndrome
with smoking :
– 100% of smokers vs. 20%
a)
b)
c)
d)
e)

IPF
RBILD
DIP
Histiocytosis X
Syndrome of IPF &
emphysema

of nonsmokers
experience pulmonary
hemorrhage

• Individuals exposed to
asbestos who smoke are
more likely to develop
asbestosis
History: Medications

www.pneumotox.com

Schwartz, ILD text book, 4th edition
History: Occupational and
Environmental
INORGANIC
ORGANIC: Hypersensitivity Pneumonitis
Occupational ????
History: Duration of Illness
1.

Acute Diseases (Days to weeks)
• DAD (AIP), EP, Vasculitis/DPH, Drug, CVD
________________________________________________________________________________________________________________

2.

Subacute Diseases (weeks to months)
• HSP, Sarcoid, Cellular NSIP, Drug,

“Chronic” EP, Bronchiolitis/ SAD
__________________________________________________________________________________________________________________

3.

Chronic Diseases (months to years)
• UIP, Fibrotic NSIP, Pneumoconioses,
CVD-related, Chronic HSP
Smoking (RBILD and PLCH)
Modified Liebow classification of the idiopathic
interstitial pneumonias (Katzenstein)

• Acute
• Acute interstitial pneumonia

(AIP)

• Subacute
•
•
•
•

Nonspecific interstitial pneumonia
Lymphocytic Interstitial Pneumonia
Cryptogenic Organizing Pneumonia
Desquamative interstitial pneumonia/
Respiratory bronchiolitis-associated
interstitial lung disease

(NSIP)
(LIP)
(COP)
(DIP)
(RBILD)

• Chronic

• Usual interstitial

pneumonia

(UIP)
Physical Findings
•
•
•
•
•
•

Resting Tachypnea
Shallow breathing
Dry crackles
Digital clubbing
Pulmonary HTN
Non-pulmonary
findings
Laboratory
ILD: Evaluation
• Rdiographic
– CXR
– HRCT

• Physiologic testing
– PFT
– Exercise test

• Lung Sampling
– BAL
– Lung biopsy: (TBBx, Surgical)
CXR: LlMITATIONS
• CXR is normal:
– in 10 to 15 % of symptomatic patients with
proven infiltrative lung disease
– 30% of those with bronchiectasis
– ~ 60 % of patients with emphysema

• CXR has a sensitivity of 80% and a
specificity of 82% percent for detection
of DPLD
• CXR can provide a confident diagnosis
in ~ 23 % of cases
A normal CXR does not rule
out the presence of DPLD
CXR CLUES
Alveolar Filling
• Air-bronchograms
• Acinar rosettes
• Diffuse consolidation
• Nodule like, poor
boarder definition
• Silhouetting:
obliteration of normal
structures
CXR CLUES
Interstitial Infiltrates
• Nodular
• Linear or reticular
• Mixed

• Honeycomb
• Cysts and traction
bronchiectasis
• GGO
4 Radiographic
patterns






Reticular pattern
Ground glass pattern
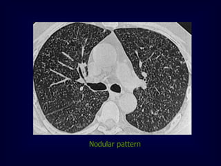
Nodular pattern
Cystic pattern
Ground glass pattern

Interstitial

Alveolar
Cystic pattern
Nodular pattern
Reticular pattern
[ Interlacing linear shadows appearing as a mesh or net]
Interstitial lung disease
Usual interstitial pneumonia
Desquamative interstitial pneumonia
Acute interstitial pneumonia
Non specific interstitial pneumonia
Interstitial pulmonary edema
Idiopathic pulmonary fibrosis
Collagen vascular diseases
Drug induced lung diseases
Radiation induced lung diseases
Interstitial peumonia

50 Y F, with cough and fever
Radiological
findings
Peribronchial cuffing [bronchial
wall thickening]
Septal lines [short lines
perpendicular to the pleura]
Honeycombing [Cystic
abnormalities =multiple
peripheral cysts, mm-cm, thick
walls]
Traction bronchiectasis
Interstitial lung disease
Other findings
Spider appearance of the interlobular
vessels due to interstitial opacities
around the vessels
Thickened interlobar fissures
Sub-pleural lines [curvilinear arc
lines parallel to the pleura]
Ground glass density
Idiopathic pulmonary fibrosis
Interstitial fibrosis
Honeycombing
F 78Y Diabetic and hypertensive presented with severe dyspnea
suspected to pulmonary embolism , treated with anticoagulants with mild
improvement
Sarcoidosis
•

Multi system granulomatous disease

• Unknown etiology
•

90% of patients with sarcoidosis have
chest changes
•
•
•
•

Bilateral hilar and mediastinal adopathy
Interstitial disease  lymph nodes
Alveolar pattern simulating acute
inflammatory disease]
Cavitation, atelectasis, effusion (rare)
Sarcoidosis
Nodal and Interstitial patterns
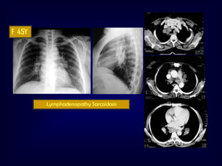
F 45Y

Lymphadenopathy Sarcoidosis
Lymphangitis carcinomatosa
Lymphangitis carinomatosa

F 59Y, with radical mastectomy
Drug induced lung diseases
Immunologic reaction to drugs
• Interstitial pattern similar to interstitial edema
which progresses to alveolar pattern
[busulfan, bleomycin, cytoxan,..]
• Alveolar in filtrates similar to pulmonary
edema [penicillin, sulfonamides,..]
• Pleural and pericardial effusion + basal
infilterates [isonaizid,…]
• Hilar adenopathy [antionvulsant,..]
Busulfan
interstitial lung disease
Air space filling disease
Replacement of alveolar air by fluid, cells, other material
Represents an ongoing potentially treatable lesion
Ground glass density [geographic
distribution] morphologic changes below
the resolution of CT due to

Ground glass pattern

Interstitial

Alveolar
HISTOLOGIC CORRELATIONS IN
GGO
a) granulomata beyond special resolution

b)

thickening of the interstitium

c)

partial filling of the alveoli (associated with cellular phase

(cellular phase OR fibrosis)

at BAL)

d)

increased blood volume

e) combination of all the above
ERS 2008
GROUND GLASS OPACITIES
CT-pathologic correlation
variety of interstitial, alveolar and vascular diseases
below the threshhold of spatial resolution of HRCT
•Partially filled alveoli
•Active interstitial inflammation
•Fine fibrotic process
•Hyperemia

RULE OUT FINE
FIBROSIS:
traction
bronchiectasis

Vessel caliber

TO FURTHER FOCUS DD
TIMING
CLINICAL SETTING
BAL
ERS 2008

Leung AN, Miller RR, Muller NL. Radiology 1993;188:209 –214
DIP
•
•
•
•
•

90% of patients with DIP smoked or had smoked cigarettes

onset of symptoms : ~ 40 yrs
dyspnoea and cough
male predominance: 2>1
inspiratory crackles : 60%
digital clubbing :50%
RARE DISEASE
Hartman et al Radiology 1993 (n=22 from 5 centers)
-in children DIP it is probably a different disease not related to smoking
-DIP also occurs in non-smokers (of 40 cases of Carrington et al: 10%)
-association with systemic disorders or infections

-DIP element (focal pigmented macrophage accumulation) histologically
ERS 2008
in all smokers - “DIP-like reaction”
GROUND GLASS:
PREVAILING FEATURE

ERS 2008

GGO in: Outpatients with Slowly Progressive Dyspnea
DIP
Typically: subpleural /lower lung zones
Reticulation seen in ~40-50%
Honeycombing NOT significant
ERS 2008
DIP

ERS 2008
Outpatients with Slowly Progressive Dyspnea

EAA
1.

Centilobular nodules
•

Ill defined (unlike
sarcoidosis)

2.

Patchy or diffuse GGO

3.

Superimposition of (1)
and (2)

4.

Geographic low
density areas on
inspiratory HRCT

5.

Regional air trapping
on expiratory HRCT

ERS 2008
ERS 2008
Ground glass pattern

[ Increased attenuation of the lung with preserved

broncho vascular marking ]

 Patients with AIDS, ground glass
opacities= P.carinii pneumonia

 Patients
ground

with lung
glass

transplant
opacities=

cytomegalovirus pneumonia or rejection

P.carinii pneumonia in
an AIDS patient
Air bronchogram sign
Air filled bronchi passing through opaque lung parenchyma

Pulmonary
lesion
Alveolar
pathology

Consolidation
Bilateral lower lobe pneumonia
Air space filling
 TRASEUDATE
 EXEUDATE
 BLOOD
 TUMOR CELLS
 PROTEINS

ALVEOLAR EDEMA

*

*

PNEUMONIA

*

HEMORRHAGIC DISORDERS

ALVEOLAR CELL CACINOMA

*

ALVEOLAR PROTIENOSIS
Pulmonary edema
Pulmonary edema, 2 cases
Diffuse pulmonary hemorrhage
Hemoptysis, anemia and air space opacities
Appear rapidly and clear within few days
Spare the lung apex and peripheral zones
Bilateral, may be asymmetric, air bronchogram
Repeated attacks → pulmonary fibrosis

Pulmonary hemorrhage
(normal heart) [3 days, 6
days, one month]
Pulmonary hemorrhage in SLE
Bronchoalveolar carcinoma

Other causes: Lymphoma,
pulmonary edema, some
types
of
pneumonia
[obstructive, lipoid]

6-10% of primary lung cancer
Cough, sputum, weight loss, hemoptysis, bronchorrhea
Radiographic patterns :
Single or multiple pulmonary nodules [ Air bronchogram]
Segmental or lobar consolidation.
Diffuse air space disease .

CT angiogram (non specific)

Visualization of
pulmonary vessels
within airless lung
Alveolar cell Carcinoma
Broncho aleveolar carcinoma
Brocho-alveolar cell Carcinoma
Pneumonia versus bronchoalveolar carcinoma
F 72 Y with chest pain dyspnea and
frothy expectoration
Alveolar proteinosis
Alveolar filling by proteinaceous material
Male : female 4:1
Possible causes:
 Idiopathic
 Occupational (silica)
 Drug- induced
 Immune compromise

Geographic distribution of areas of ground
glass opacities + thickened interlobular septa
within  crazy paving appearance
Air bronchogram is uncommon
Photograph of a pavement street in Buenos Aires, Argentina (left), drawings
of the lungs (center) and lung tissue (top right), and close-up high-resolution
CT scan (bottom right) show the crazy-paving pattern.
Alveolar proteinosis [crazy- paving]
Nodular pattern [ multiple rounded opacities 110mm]
Miliary [1-2mm], the size of millet seeds
TB
Metastases
Pneumoconiosis
Sarcoidosis
Alveolar cell carcinoma






Hematogenous dissemination
Innumerable fine nodules
Uniform distribution
Mild thickening of
the interstitial lung markings

Miliary TB
Miliary TB
Sarcoidosis
with miliary
nodules and
lymph nodes

M 57 Y
Miliary deposits
of breast cancer
Silicosis
Inhalation of high concentrations of silicon dioxide
•
•

Fine interstitial opacities with B Kerley’s lines (early)
Multiple nodular shadows scattered in the lungs (classic)
• Sparing apex and base
• Calcification may occur
Progressive massive fibrosis



Nodules enlarge and coalesce to form masses
Bilateral, almost symmetrical
• Almost always in the upper ½ of the lungs
• The more the fibrosis, the less apparent
nodules
Silicosis
Pulmonary alveolar microlithiasis
Innumerable tiny calcific particles are diffusely distributed in the alveoli

•
•
•
•

Most patients are asymptomatic
Dense sharply defined nodules
The density is greatest in the lung bases
Black pleura sign [unaffected pleura
between lung and ribs]
Alveolar microlithiasis
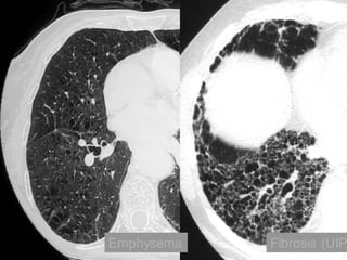
Cystic pattern
[ multiple thin walled air containing lesions 1cm or more ]
Histeocytosis
Lymphangioleiomyomatosis
Lymphocytic interstitial pneumonia
Emphysema
Cystic bronchiectasis
Tuberous sclerosis
Lung Cysts
Differential Diagnosis
Pulmonary fibrosis (Honeycombing)
Lymphangliomyomatosis
Langerhans cell histiocytosis
Lymphocytic Interstitial Pneumonia (LIP)
UIP

UIP or NSIP

Rough Reticular

Fine Reticular

Traction
Bronchiectasis
and
Interface
sign

Honey
combing
Usual Interstitial Pneumonia
UIP
HRCT Findings

Reticular opacities, thickened intra- and
interlobular septa
Irregular interfaces
Honey combing and parenchymal distorsion
Ground glass opacities (never prominent)
Basal and subpleural predominance
Basal and subpleural
distribution
UIP
The Many ‘HRCT Faces’ of NSIP

Honeycombing not
a
prominent feature
!!!!
Lymphangioleiomyomatosis
(LAM)
HRCT Morphology
Thin-walled cysts (2mm - 5cm)
Uniform in size / rarely confluent
Homogeneous distribution
Chylous pleural effusion
Lymphadenopathy

in young women
Lymphangioleiomyomatosis
(LAM)
Tuberous Sclerosis (young man)
Langerhans Cell Histiocytosis
HRCT Findings
Small peribronchiolar nodules (1-5mm)
Thin-walled cysts (< 1cm),
Bizarre and confluent
Ground glass opacities
Late signs: irreversible / parenchymal fibrosis
Honey comb lung, septal thickening,
bronchiectasis
Langerhans Cell Histiocytosis

1 year later
Peribronchiolar Nodules Cavitating nodules and cysts
Langerhans Cell Histiocytosis
Langerhans Cell Histiozytosis
Key Features
Upper lobe predominance

Combination of cysts and noduli
Characteristic stages
Increased Lung volume
Sparing of costophrenic angle

S
M
O
K
I
N
G
Langerhans Cell Histiocytosis
Langerhans Cell Histiocytosis
Differential Diagnosis
Only small nodules
Sarcoidosis, Silicosis

Only cysts
idiopathic Fibrosis
LAM
Destructive emphysema
A professional diver..........
.......after cessation of smoki
LIP = Lymphocytic Interstitial
Pneumonia
Benign lymphoproliferative
disorder
Diffuse interstitial infiltration of
mononuclear cells
Not limited to the air ways as
in follicular Bronchiolitis
Sjögren: LIP
LIP = Lymphocytic Interstitial
Pneumonia

Rarely idiopathic

In association with:
Sjögren’s syndrome
Immune deficiency syndromes, AIDS
Primary biliary cirrhosis
Multicentric Castlemean’s disease
Sjoegren disease
Dry eye and dry mouth
Fibrosis, bronchitis and bronchiolitis
LIP

Up to 40 x increased risk for lymphoma (mediastinal
adenopathy) and
2 x times increased risk for neoplasma
Overlap
Sarcoid, DM/PM, MXCT
SLE, RA (pleural effusion)
Young woman

LAM

Dry mouth

LIP

Smoker

Histiocytosis
Emphysema

Fibrosis (UIP
Wegener‘s disease
Rheumatoid Arthritis
Outline
Typical HRCT patterns of lung diseases
with cysts
Mosaic pattern and its differential
Emphysema
Atypical HRCT patterns
Quiz
Where is the pathology ???????
in the areas with increased density
meaning there is ground glass
in the areas with decreased density
meaning there is air trapping
Pathology in black areas
Airtrapping: Airway
Disease
Bronchiolitis obliterans (constrictive bronchiolitis)
idiopathic, connective tissue diseases, drug reaction,
after transplantation, after infection

Hypersensitivity pneumonitis
granulomatous inflammation of bronchiolar wall

Sarcoidosis
granulomatous inflammation of bronchiolar wall

Asthma / Bronchiectasis / Airway diseases
Airway Disease
what you see……
In inspiration
sharply demarcated areas of seemingly increased
density (normal) and decreased density
demarcation by interlobular septa

In expiration
‘black’ areas remain in volume and density
‘white’ areas decrease in volume and increase in
density
INCREASE IN CONTRAST
DIFFERENCES
AIRTRAPPING
Bronchiolitis

obliterans
Early Sarcoidosis
Chronic
EAA
Hypersensitivity pneumonitis
Extr. Allerg. Alveolitis (EAA) HRCT

Morphology
acute - subacute
acinar (centrilobular) unsharp densities
ground glass (patchy - diffuse)
chronic: fibrosis
Intra- / interlobular septal thickening
Irregular interfaces
Traction bronchiectasis
Pathology in white Areas
Alveolitis / Pneumonitis
Ground glass
desquamative intertitial pneumoinia (DIP)
nonspecific interstitial pneumonia (NSIP)
organizing pneumonia

In expiration
both areas (white and black) decrease in
volume and increase in density
DECREASE IN CONTRAST
DIFFERENCES
DI
P
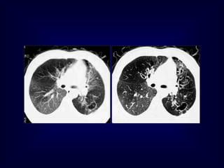
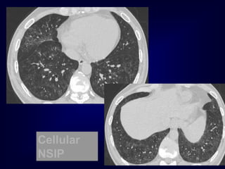
Cellular
NSIP
Mosaic Perfusion
Chronic pulmonary embolism
LOOK FOR
Pulmonary hypertension
idiopathic, cardiac disease, pulmonary

disease
CTEPH =
Chronic thrombembolic
pulmonary hypertension
Outline
Typical HRCT patterns of lung diseases
with cysts
Mosaic pattern and its differential
Emphysema
Atypical HRCT patterns
Quiz
Emphysema
histopathological definition
…..permanent abnormal enlargement of
airspaces distal to the bronchioles terminales
and
…...destruction of the walls of the involved
airspaces
Centrilobular Emphysema
Panlobular Emphysema
CLE and PLE in one Patient
Fibrosis and Emphysema
CT findings:
• Relatively well-defined, low attenuation areas
with very thin (invisible) walls, surrounded by
normal lung parenchyma.
• As disease progresses:
– Amount of intervening normal lung decreases.
– Number and size of the pulmonary vessels
decrease.
– +/- Abnormal vessel branching angles (>90o), with
vessel bowing around the bullae.
Emphysema

•Curved arrow: area of low attenuation.
•Solid arrow: zones of vascular disruption.
•Open arrow: area of lung destruction.
Emphysematous Bullae

www.ctsnet.org/doc/6761
Quantitative CT:
• Spirometically triggered images at 10% and
90% vital capacity (VC) have been reported
to be able to distinguish patients with chronic
bronchitis from those with emphysema.
– Patients with emphysema had significantly lower
mean lung attenuation at 90% VC than normal
subjects or patients with chronic bronchitis.
– Attenuation was the same for normal subjects and
those with chronic bronchitis.
Asthma:

Marc Gosselin,
MD
HRCT findings:
• Bronchial wall thickening
• Mucoid impaction
• Mosaic lung attenuation with air
trapping
– Findings may be reversible with
pharmacologic treatment.

• Centrilobular thickening
Asthma:

Marc Gosselin, MD
Most frequent CT findings of
bronchiactasis:
Most frequent

Less frequent

• Lack of tapering of the bronchial
lumen
• Bronchial wall thickening
• Bronchial dilatation
• Visualized peripheral bronchi
• Mucus plugging
Bronchiectasis

Radiology 2002; 225: 663-672

Arrows demonstrating various grades of bronchial wall thickening,
with lack of tapering of the bronchial wall lumen.
Cystic Bronchiectasis

www.emedicine.com
Bronchiectasis
Signet ring?

or

Solitaire ring?
Radiology 1999; 212: 67-68

“Signet ring” sign

“Question Dogma”

…Marc Gosselin, MD
Cystic Changes and Decreased Density

Quiz

What is Your Diagnosis ?
Emphysema

Fibrosis

LAM
Emphysema

LCH
LCH

Bronchiolitis
…..black holes……

Clues to Diagnosis
Is there a wall ?
What is the shape and size ?
Smoker ?
Other signs
(e.g., bronchiectasis, pulmonary hypertension)
Reversed Halo Sign on High-Resolution CT of Cryptogenic
Organizing Pneumonia
Kim et al AJR 2003; 180:1251-1254
90% of their pts!

reversed halo signs (central ground-glass opacity and surrounding air-space consolidation of
crescentic and ring shapes)

Voloudaki et al
GGO ring :
ERS 2008

septal inflammation
cellular debris
organising pneumonia
Bullous lung disease
 Uncommon cause of respiratory distress in young males
 Patients have history of significant cigarette smoking
 Multiple large bullae impair the pulmonary mechanics

50Y M

Primary bullous disease – Vanishing lung syndrome
Reticular pattern

Interstitial lung disease
Usual interstitial pneumonia
Desquamative interstitial pneumonia
Acute interstitial pneumonia
Non specific interstitial pneumonia
Interstitial pulmonary edema
Idiopathic pulmonary fibrosis
Collagen vascular diseases
Drug induced lung diseases
Radiation induced lung diseases
Interstitial lung disease
Clinical
HISTORY

EXAMINATION

DRUGS

COLLAGEN DISEASE

RADIATION

CARDIAC TROUBLES

MEDIASINAL NODES
SARCOID , LYMPHAGITIS
AIR SPACE FILLING
• TRASEUDATE
• EXEUDATE
• BLOOD

ALVEOLAR EDEMA

*

PNEUMONIA

HEMORRHAGIC

*

DISORDERS

• TUMOR CELLS

ALVEOLAR CELL

CACINOMA

• PROTEINS
CLINICAL

*

PROTIENOSIS

ALVEOLAR
IMAGING

*
Nodular pattern

[ multiple rounded opacities 1-10mm]
Milliary [1-2mm], the size of millet seeds

• TB
• Metastases
• Pneumoconiosis
Milliary TB
Clinical
History
DUST EXPOSURE
PRIMARY MALIGNANCY

Imaging
DENSITY & SIZE OF NODULES
SUGGESTIVE FINDINGS
OTHER DEPOSITS [ BONES , LIVER ]

COMPLICATIONS OF PNUMOCONIOSIS
Cystic pattern
[ multiple thin walled air containing lesions 1cm or more ]

Histeocytosis
Lymphangioleiomyomatosis
Lymphocytic interstitial pneumonia
Emphysema
Cystic bronchiectasis
Tuberous sclerosis
Clinical
HISTORY & EXAMINATION
Tuberous sclerosis
Emphysema

IMAGING
Histeocytosis
Lymphangioleiomyomatosis
Emphysema
Cystic bronchiectasis
HRCT: Radiographic Pattern
Radiographic Patterns in ILD
Pleural Involvement
Lymphangitic Carcinomatosis
LAM
Drug Induced
Radiation Pneumonitis
Asbestosis
Effusion
Thickening
Plaques
Mesothelioma
Collagen vascular disease

Adenopathy
Sarcoidosis
Lymphoma
Lymphangitic CA
LIP
Amyloidosis
Berylliosis
Silicosis

Kerley B lines
Chronic LV failure
Lymphangitic CA
Lymphoma
LAM
Veno-occlusive disease
Acute Eosinophilic Pneumonia
PFT: Lung Volumes
Restrictive Disease

VC

VC

VC

TLC
TLC

RV

Normal

TLC
RV
RV

ILD

NM Disease
Probability of Histologic Diagnosis of Diffuse Diseases
Transbronchial
Biopsy

Surgical
Biopsy

1. Granulomatous diseases
2. Malignant tumors/lymphangitic
3. DAD (any cause)

4. Certain infections

Often

5. Alveolar proteinosis
6. Eosinophilic pneumonia
7. Vasculitis
8. Amyloidosis
9. EG/HX/PLCH

Sometimes

10. LAM
11. RB/RBILD/DIP

12. UIP/NSIP/LIP COP
13. Small airways disease
14. PHT and PVOD
Courtesy of Kevin O. Leslie, MD.

Never
Pracical Aproach to
Interstitial Lung Diseases
Patterns of Interstitial
Lung Disease
Linear Pattern
A linear pattern is seen when there is
thickening of the interlobular septa,
producing Kerley lines.
Kerley A lines

Kerley B lines
Kerley A lines

The interlobular septa contain
pulmonary veins and lymphatics.
The most common cause of interlobular
septal thickening, producing Kerley A
and B lines, is pulmonary edema, as a
result of pulmonary venous
hypertension and distension of the
lymphatics.

Kerley B lines
DD of Kerly Lines:
Pulmonary edema is the most common cause
Mitral stenosis
Lymphangitic carcinomatosis
Malignant lymphoma
Congenital lymphangiectasia
Idiopathic pulmonary fibrosis
Pneumoconiosis
Sarcoidosis
b. Reticular Pattern
A reticular pattern results from the summation
or superimposition of irregular linear
opacities.
The term reticular is defined as meshed, or in
the form of a network. Reticular opacities can be
described as fine, medium, or coarse, as the
width of the opacities increases.
A classic reticular pattern is seen with pulmonary fibrosis,
in which multiple curvilinear opacities form small
cystic spaces along the pleural margins and lung
bases (honeycomb lung)
This 50-year-old man presented with end-stage lung fibrosis
PA chest radiograph shows medium to coarse reticular
B: CT scan shows multiple small cysts (honeycombing) involving
predominantly the subpleural peripheral regions of lung. Traction
bronchiectasis, another sign of end-stage lung fibrosis.
c. Nodular pattern
 A nodular pattern consists of multiple round opacities,
generally ranging in diameter from 1 mm to 1 cm
 Nodular opacities may be described as miliary (1 to 2 mm,
the size of millet seeds), small, medium, or large, as the
diameter of the opacities increases
 A nodular pattern, especially with predominant
distribution, suggests a specific differential diagnosis
Disseminated histoplasmosis and nodular ILD.
CT scan shows multiple bilateral round circumscribed
pulmonary nodules.
Hematogenous metastases and nodular ILD. This 45-yearold woman presented with metastatic gastric carcinoma.
The PA chest radiograph shows a diffuse pattern of
nodules, 6 to 10 mm in diameter.
Differential diagnosis of a
nodular pattern of interstitial
lung disease

SHRIMP
Sarcoidosis
Histiocytosis (Langerhan cell
histiocytosis)
Hypersensitivity pneumonitis
Rheumatoid nodules
Infection (mycobacterial, fungal, viral)
Metastases
Microlithiasis, alveolar
Pneumoconioses (silicosis, coal
worker's, berylliosis)
d. Reticulonodular pattern results
A reticulonodular pattern results from a
combination of reticular and nodular opacities.
This pattern is often difficult to distinguish from
a purely reticular or nodular pattern, and in
such a case a differential diagnosis should be
developed based on the predominant pattern.

If there is no predominant pattern, causes of
both nodular and reticular patterns should be
considered.
How To Approach
a Practical
Diagnosis?
Rule no. 1

An acute appearance suggests pulmonary
edema ,miliary TB,DAD or pneumonia
Disseminated histoplasmosis and reticulonodular ILD.
A: PA chest radiograph, close-up of right upper lung, shows reticulonodular
ILD.
B: CT scan shows multiple circumscribed round pulmonary nodules, 2 to 3
mm in diameter.
Rule no. 2

Reticulonodular lower lung predominant
distribution with decreased lung volumes
suggests: (APC)
1. Asbestosis
2. Aspiration (chronic)
3. Pulmonary fibrosis (idiopathic)
4.Collagen vascular disease
Asbestos-related
pleural disease and
asbestosis
Pulmonary fibrosis and rheumatoid arthritis.
Systemic sclerosis.
A: PA chest radiograph shows a bibasilar and subpleural distribution of fine
reticular ILD. The presence of a dilated esophagus (arrows) provides a clue
to the correct diagnosis.
B: CT scan shows peripheral ILD and a dilated esophagus (arrow).
Rule no. 3

A middle or upper lung predominant distribution
suggests: (Mycobacterium Settle Superiorly in
Lung)
1. Mycobacterial or fungal disease
2. Silicosis
3. Sarcoidosis
4. Langerhans Cell Histiocytosis
Complicated silicosis. PA chest radiograph shows multiple
nodules involving the upper and middle lungs, with coalescence
of nodules in the left upper lobe resulting in early progressive
massive fibrosis
Sarcoidosis. CT scan shows nodular thickening of the bronchovascular
bundles (solid arrow) and subpleural nodules (dashed arrow), illustrating the
typical perilymphatic distribution of sarcoidosis.
Langerhan cell histiocytosis.
This 50-year-old man had a
30 pack-year history of
cigarette smoking.
A: PA chest radiograph
shows hyperinflation of the
lungs and fine bilateral
reticular ILD.
B: CT scan shows multiple
cysts (solid arrow) and
nodules (dashed arrow).
Rule no. 4

Associated lymphadenopathy suggests :
1.Sarcoidosis
2.neoplasm (lymphangitic carcinomatosis,
lymphoma, metastases)
3. infection (viral, mycobacterial, or fungal)
4. Silicosis
5.Congestive heart failure with congestive
lymphadenopathy.
Simple silicosis.
A: CT scan with lung windowing shows numerous
circumscribed pulmonary nodules, 2 to 3 mm in diameter
(arrows).
B: CT scan with mediastinal windowing shows densely
calcified hilar (solid arrows) and subcarinal (dashed arrow)
nodes.
Rule no. 5

Associated pleural thickening and/or
calcification suggest asbestosis.
Rule no. 6

Associated pleural effusion suggests :
1.pulmonary edema
2.lymphangitic carcinomatosis
3.lymphoma
4.collagen vascular disease
5.LAM
Cardiogenic pulmonary edema.
PA chest radiograph shows enlargement of the cardiac
silhouette, bilateral ILD, enlargement of the azygos vein
(solid arrow), and peribronchial cuffing (dashed arrow).
Lymphangitic carcinomatosis. This 53-year-old man
presented with chronic obstructive pulmonary disease and
large-cell bronchogenic carcinoma of the right lung.
CT scan shows unilateral nodular thickening (arrows) and a
malignant right pleural effusion.
Rule no. 7

Associated pneumothorax suggests
lymphangioleiomyomatosis or LCH.
Lymphangioleiomyomatosis
(LAM).
A: PA chest radiograph shows a
right basilar pneumothorax and
two right pleural drainage
catheters. The lung volumes are
increased, which is
characteristic of LAM, and there
is diffuse reticular ILD.
B: CT scan shows bilateral thinwalled cysts and a loculated
right pneumothorax (P).
Tell me the rules
again?
1. Acute
•P.Edema
•Pneumonia
•.Miliary TB
•.DAD

2. Pleural effusion

•1.pulmonary edema
•2.lymphangitic carcinomatosis
•3.lymphoma
•4.collagen vascular disease

3.Pneumothorax
•lymphangioleiomyom
atosis
•LCH

4.Predominantly Below with
reduced volume
1.Asbestosis
2. Aspiration (chronic)
3. Pulmonary fibrosis (idiopathic)
4.Collagen vascular disease
5. A middle or upper lung predominant

1.
2.
3.
4.

Mycobacterial or fungal disease
Silicosis
Sarcoidosis
Langerhans Cell Histiocytosis
6. Associated lymphadenopathy

7. Pleural Thickening
and or Calcification
•Asbestosis

1.Sarcoidosis
2.neoplasm (lymphangitic
carcinomatosis, lymphoma,
metastases)
3. infection (viral, mycobacterial, or
fungal)
4. Silicosis 5.CHF
Approach to the ILD Patient
Patient with Suspected
ILD
Hx, PE, CXR, PFT, Labs
Dx likely by
bronch?

Yes

Yes

Is bronch
diagnostic?

No

STOP

HRCT

Hx and HRCT
consistent
with IPF

Hx and HRCT
Dx of other
ILD

Suspected
other ILD

STOP

Dx likely by
bronch?

STOP

Atypical
clinical or CT
features of IPF
Yes

Is bronch
diagnostic?

No

No

Yes

STOP

VATS

UIP

NSIP

RBILD

DIP

DAD

OP

LIP

Non IIP

Martinez F, Flaherty K. Available at: http://www.chestnet.org/education/online/pccu/vol18/lessons03_04/lesson03.php.
Approach To Diffuse Parenchymal Lung Diseases

Approach To Diffuse Parenchymal Lung Diseases

  • 2.
    Approach To Interstitial LungDiseases or Diffuse Parenchymal Lung Diseases Gamal Rabie Agmy, MD, FCCP Professor of Chest Diseases, Assiut university ERS National Delegate of Egypt
  • 3.
    Objectives • Review thespectrum of ILD or DPLD • Identify clues on presentation to make the diagnosis • Review common radiographic findings in ILD • Come up with an algorithm to make the diagnosis
  • 5.
    What is thePulmonary Interstitium? • Interstitial compartment is the portion of the lung sandwiched between the epithelial and endothelial basement membrane • Expansion of the interstitial compartment by inflammation with or without fibrosis – Necrosis – Hyperplasia – Collapse of basement membrane – Inflammatory cells
  • 7.
    The Lung Interstitium Theinterstitium of the lung is not normally visible radiographically; it becomes visible only when disease (e.g., edema, fibrosis, tumor) increases its volume and attenuation. The interstitial space is defined as continuum of loose connective tissue throughout the lung composed of three subdivisions: (i) the bronchovascular (axial), surrounding the bronchi, arteries, and veins from the lung root to the level of the respiratory bronchiole (ii) the parenchymal (acinar), situated between the alveolar and capillary basement membranes (iii) the subpleural, situated beneath the pleura, as well as in the interlobular septae.
  • 8.
  • 9.
    The terminal bronchiolein the center divides into respiratory bronchioles with acini that contain alveoli. Lymphatics and veins run within the interlobular septa Centrilobular area in blue (left) and perilymphatic area in yellow (right)
  • 10.
  • 11.
  • 12.
    Clinical Presentation • Dyspneaon exertion or a persistent non productive cough • Abnormal CXR • Pulmonary symptoms associated with another disease, such as CVD • PFT abnormalities
  • 13.
    Approach to DPLD DPLDof known Cause Idiopathic Interstitial Pneumonias Exposure Drugs Hypersensitivity Pneumonitis CVD Pneumoconiosis IPF Granulomatous Lung Diseases (Sarcoidosis) IIP other than IPF Desquamative Interstitial Pneumonia Others LAM Histiocytosis X Malignancy Respiratory BronchiolitisInterstitial Lung disease IPF: 47-64% NSIP: 14 to 36% Toxic Inhalation Radiation Acute Interstitial Pneumonia Cryptogenic Organizing Pneumonia RBILD/DIP: 1017% COP: 4-12% AIP: 2% LIP: 2% Lymphocytic Interstitial Pneumonia Non Specific Interstitial Pneumonia
  • 14.
    Incident Cases ofILD Sarcoidosis 8% Occupation 11% DILD 5% DAH 4% CTD 9% Other 11% Pulmonary Fibrosis 52% (Incidence of IPF=26-31 per 100,000) Coultas AJRCCM 1994; 150:967
  • 15.
    Historical Classification ofIIP UIP/IPF UIP DIP UIP-BO LIP Giant cell IP DIP UIP NSIP DIP-RBILD AIP RBILD 2002 ATS/ERS AIP Cellular NSIP Fibrotic 1970 1997 Liebow and Carington Katzenstein Adapted from Ryu JH, et al. Mayo Clin Proc. 1998;73:1085-1101. Adapted from ATS/ERS. Am J Respir Crit Care Med . 2002;165:277-304. COP LIP
  • 16.
    Clinical Assessment • • • • History Physical Exam ChestRadiograph Pulmonary Function Testing – At Rest – Exercise • Serologic Studies • Tissue examination
  • 17.
    History • • • • • • • • Age Gender Smoking history Medications Duration ofsymptoms Environmental exposure Occupational exposure Family history
  • 18.
    History: Age andGender Age Gender – LAM – Tuberous sclerosis – Pneumoconiosis
  • 19.
    History: Smoking • All ofthe following • In Goodpasture’s DPLD are associated syndrome with smoking : – 100% of smokers vs. 20% a) b) c) d) e) IPF RBILD DIP Histiocytosis X Syndrome of IPF & emphysema of nonsmokers experience pulmonary hemorrhage • Individuals exposed to asbestos who smoke are more likely to develop asbestosis
  • 20.
  • 21.
  • 22.
  • 23.
  • 24.
    History: Duration ofIllness 1. Acute Diseases (Days to weeks) • DAD (AIP), EP, Vasculitis/DPH, Drug, CVD ________________________________________________________________________________________________________________ 2. Subacute Diseases (weeks to months) • HSP, Sarcoid, Cellular NSIP, Drug, “Chronic” EP, Bronchiolitis/ SAD __________________________________________________________________________________________________________________ 3. Chronic Diseases (months to years) • UIP, Fibrotic NSIP, Pneumoconioses, CVD-related, Chronic HSP Smoking (RBILD and PLCH)
  • 25.
    Modified Liebow classificationof the idiopathic interstitial pneumonias (Katzenstein) • Acute • Acute interstitial pneumonia (AIP) • Subacute • • • • Nonspecific interstitial pneumonia Lymphocytic Interstitial Pneumonia Cryptogenic Organizing Pneumonia Desquamative interstitial pneumonia/ Respiratory bronchiolitis-associated interstitial lung disease (NSIP) (LIP) (COP) (DIP) (RBILD) • Chronic • Usual interstitial pneumonia (UIP)
  • 26.
    Physical Findings • • • • • • Resting Tachypnea Shallowbreathing Dry crackles Digital clubbing Pulmonary HTN Non-pulmonary findings
  • 31.
  • 32.
    ILD: Evaluation • Rdiographic –CXR – HRCT • Physiologic testing – PFT – Exercise test • Lung Sampling – BAL – Lung biopsy: (TBBx, Surgical)
  • 33.
    CXR: LlMITATIONS • CXRis normal: – in 10 to 15 % of symptomatic patients with proven infiltrative lung disease – 30% of those with bronchiectasis – ~ 60 % of patients with emphysema • CXR has a sensitivity of 80% and a specificity of 82% percent for detection of DPLD • CXR can provide a confident diagnosis in ~ 23 % of cases
  • 34.
    A normal CXRdoes not rule out the presence of DPLD
  • 35.
    CXR CLUES Alveolar Filling •Air-bronchograms • Acinar rosettes • Diffuse consolidation • Nodule like, poor boarder definition • Silhouetting: obliteration of normal structures
  • 36.
    CXR CLUES Interstitial Infiltrates •Nodular • Linear or reticular • Mixed • Honeycomb • Cysts and traction bronchiectasis • GGO
  • 37.
    4 Radiographic patterns     Reticular pattern Groundglass pattern Nodular pattern Cystic pattern
  • 38.
  • 39.
  • 40.
  • 42.
    Reticular pattern [ Interlacinglinear shadows appearing as a mesh or net] Interstitial lung disease Usual interstitial pneumonia Desquamative interstitial pneumonia Acute interstitial pneumonia Non specific interstitial pneumonia Interstitial pulmonary edema Idiopathic pulmonary fibrosis Collagen vascular diseases Drug induced lung diseases Radiation induced lung diseases
  • 43.
    Interstitial peumonia 50 YF, with cough and fever
  • 44.
    Radiological findings Peribronchial cuffing [bronchial wallthickening] Septal lines [short lines perpendicular to the pleura] Honeycombing [Cystic abnormalities =multiple peripheral cysts, mm-cm, thick walls] Traction bronchiectasis
  • 45.
    Interstitial lung disease Otherfindings Spider appearance of the interlobular vessels due to interstitial opacities around the vessels Thickened interlobar fissures Sub-pleural lines [curvilinear arc lines parallel to the pleura] Ground glass density
  • 46.
  • 47.
  • 48.
  • 49.
    F 78Y Diabeticand hypertensive presented with severe dyspnea suspected to pulmonary embolism , treated with anticoagulants with mild improvement
  • 51.
    Sarcoidosis • Multi system granulomatousdisease • Unknown etiology • 90% of patients with sarcoidosis have chest changes • • • • Bilateral hilar and mediastinal adopathy Interstitial disease  lymph nodes Alveolar pattern simulating acute inflammatory disease] Cavitation, atelectasis, effusion (rare)
  • 52.
  • 53.
  • 54.
  • 55.
    Lymphangitis carinomatosa F 59Y,with radical mastectomy
  • 56.
    Drug induced lungdiseases Immunologic reaction to drugs • Interstitial pattern similar to interstitial edema which progresses to alveolar pattern [busulfan, bleomycin, cytoxan,..] • Alveolar in filtrates similar to pulmonary edema [penicillin, sulfonamides,..] • Pleural and pericardial effusion + basal infilterates [isonaizid,…] • Hilar adenopathy [antionvulsant,..] Busulfan interstitial lung disease
  • 57.
    Air space fillingdisease Replacement of alveolar air by fluid, cells, other material Represents an ongoing potentially treatable lesion Ground glass density [geographic distribution] morphologic changes below the resolution of CT due to Ground glass pattern Interstitial Alveolar
  • 58.
    HISTOLOGIC CORRELATIONS IN GGO a)granulomata beyond special resolution b) thickening of the interstitium c) partial filling of the alveoli (associated with cellular phase (cellular phase OR fibrosis) at BAL) d) increased blood volume e) combination of all the above ERS 2008
  • 59.
    GROUND GLASS OPACITIES CT-pathologiccorrelation variety of interstitial, alveolar and vascular diseases below the threshhold of spatial resolution of HRCT •Partially filled alveoli •Active interstitial inflammation •Fine fibrotic process •Hyperemia RULE OUT FINE FIBROSIS: traction bronchiectasis Vessel caliber TO FURTHER FOCUS DD TIMING CLINICAL SETTING BAL ERS 2008 Leung AN, Miller RR, Muller NL. Radiology 1993;188:209 –214
  • 60.
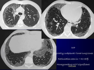
    DIP • • • • • 90% of patientswith DIP smoked or had smoked cigarettes onset of symptoms : ~ 40 yrs dyspnoea and cough male predominance: 2>1 inspiratory crackles : 60% digital clubbing :50% RARE DISEASE Hartman et al Radiology 1993 (n=22 from 5 centers) -in children DIP it is probably a different disease not related to smoking -DIP also occurs in non-smokers (of 40 cases of Carrington et al: 10%) -association with systemic disorders or infections -DIP element (focal pigmented macrophage accumulation) histologically ERS 2008 in all smokers - “DIP-like reaction”
  • 61.
    GROUND GLASS: PREVAILING FEATURE ERS2008 GGO in: Outpatients with Slowly Progressive Dyspnea
  • 62.
    DIP Typically: subpleural /lowerlung zones Reticulation seen in ~40-50% Honeycombing NOT significant ERS 2008
  • 63.
  • 64.
    Outpatients with SlowlyProgressive Dyspnea EAA 1. Centilobular nodules • Ill defined (unlike sarcoidosis) 2. Patchy or diffuse GGO 3. Superimposition of (1) and (2) 4. Geographic low density areas on inspiratory HRCT 5. Regional air trapping on expiratory HRCT ERS 2008
  • 65.
  • 66.
    Ground glass pattern [Increased attenuation of the lung with preserved broncho vascular marking ]  Patients with AIDS, ground glass opacities= P.carinii pneumonia  Patients ground with lung glass transplant opacities= cytomegalovirus pneumonia or rejection P.carinii pneumonia in an AIDS patient
  • 67.
    Air bronchogram sign Airfilled bronchi passing through opaque lung parenchyma Pulmonary lesion Alveolar pathology Consolidation
  • 68.
  • 69.
    Air space filling TRASEUDATE  EXEUDATE  BLOOD  TUMOR CELLS  PROTEINS ALVEOLAR EDEMA * * PNEUMONIA * HEMORRHAGIC DISORDERS ALVEOLAR CELL CACINOMA * ALVEOLAR PROTIENOSIS
  • 70.
  • 71.
  • 72.
    Diffuse pulmonary hemorrhage Hemoptysis,anemia and air space opacities Appear rapidly and clear within few days Spare the lung apex and peripheral zones Bilateral, may be asymmetric, air bronchogram Repeated attacks → pulmonary fibrosis Pulmonary hemorrhage (normal heart) [3 days, 6 days, one month]
  • 73.
  • 74.
    Bronchoalveolar carcinoma Other causes:Lymphoma, pulmonary edema, some types of pneumonia [obstructive, lipoid] 6-10% of primary lung cancer Cough, sputum, weight loss, hemoptysis, bronchorrhea Radiographic patterns : Single or multiple pulmonary nodules [ Air bronchogram] Segmental or lobar consolidation. Diffuse air space disease . CT angiogram (non specific) Visualization of pulmonary vessels within airless lung
  • 75.
  • 76.
  • 77.
  • 78.
  • 79.
    F 72 Ywith chest pain dyspnea and frothy expectoration
  • 80.
    Alveolar proteinosis Alveolar fillingby proteinaceous material Male : female 4:1 Possible causes:  Idiopathic  Occupational (silica)  Drug- induced  Immune compromise Geographic distribution of areas of ground glass opacities + thickened interlobular septa within  crazy paving appearance Air bronchogram is uncommon
  • 81.
    Photograph of apavement street in Buenos Aires, Argentina (left), drawings of the lungs (center) and lung tissue (top right), and close-up high-resolution CT scan (bottom right) show the crazy-paving pattern.
  • 82.
  • 83.
    Nodular pattern [multiple rounded opacities 110mm] Miliary [1-2mm], the size of millet seeds TB Metastases Pneumoconiosis Sarcoidosis Alveolar cell carcinoma     Hematogenous dissemination Innumerable fine nodules Uniform distribution Mild thickening of the interstitial lung markings Miliary TB
  • 84.
  • 85.
  • 86.
  • 87.
    Silicosis Inhalation of highconcentrations of silicon dioxide • • Fine interstitial opacities with B Kerley’s lines (early) Multiple nodular shadows scattered in the lungs (classic) • Sparing apex and base • Calcification may occur
  • 88.
    Progressive massive fibrosis   Nodulesenlarge and coalesce to form masses Bilateral, almost symmetrical • Almost always in the upper ½ of the lungs • The more the fibrosis, the less apparent nodules
  • 89.
  • 90.
    Pulmonary alveolar microlithiasis Innumerabletiny calcific particles are diffusely distributed in the alveoli • • • • Most patients are asymptomatic Dense sharply defined nodules The density is greatest in the lung bases Black pleura sign [unaffected pleura between lung and ribs]
  • 91.
  • 92.
    Cystic pattern [ multiplethin walled air containing lesions 1cm or more ] Histeocytosis Lymphangioleiomyomatosis Lymphocytic interstitial pneumonia Emphysema Cystic bronchiectasis Tuberous sclerosis
  • 94.
    Lung Cysts Differential Diagnosis Pulmonaryfibrosis (Honeycombing) Lymphangliomyomatosis Langerhans cell histiocytosis Lymphocytic Interstitial Pneumonia (LIP)
  • 95.
    UIP UIP or NSIP RoughReticular Fine Reticular Traction Bronchiectasis and Interface sign Honey combing
  • 96.
    Usual Interstitial Pneumonia UIP HRCTFindings Reticular opacities, thickened intra- and interlobular septa Irregular interfaces Honey combing and parenchymal distorsion Ground glass opacities (never prominent) Basal and subpleural predominance
  • 97.
  • 98.
    The Many ‘HRCTFaces’ of NSIP Honeycombing not a prominent feature !!!!
  • 99.
    Lymphangioleiomyomatosis (LAM) HRCT Morphology Thin-walled cysts(2mm - 5cm) Uniform in size / rarely confluent Homogeneous distribution Chylous pleural effusion Lymphadenopathy in young women
  • 102.
  • 103.
  • 104.
    Langerhans Cell Histiocytosis HRCTFindings Small peribronchiolar nodules (1-5mm) Thin-walled cysts (< 1cm), Bizarre and confluent Ground glass opacities Late signs: irreversible / parenchymal fibrosis Honey comb lung, septal thickening, bronchiectasis
  • 105.
    Langerhans Cell Histiocytosis 1year later Peribronchiolar Nodules Cavitating nodules and cysts
  • 106.
  • 107.
    Langerhans Cell Histiozytosis KeyFeatures Upper lobe predominance Combination of cysts and noduli Characteristic stages Increased Lung volume Sparing of costophrenic angle S M O K I N G
  • 108.
  • 109.
    Langerhans Cell Histiocytosis DifferentialDiagnosis Only small nodules Sarcoidosis, Silicosis Only cysts idiopathic Fibrosis LAM Destructive emphysema
  • 110.
  • 111.
  • 112.
    LIP = LymphocyticInterstitial Pneumonia Benign lymphoproliferative disorder Diffuse interstitial infiltration of mononuclear cells Not limited to the air ways as in follicular Bronchiolitis
  • 113.
  • 114.
    LIP = LymphocyticInterstitial Pneumonia Rarely idiopathic In association with: Sjögren’s syndrome Immune deficiency syndromes, AIDS Primary biliary cirrhosis Multicentric Castlemean’s disease
  • 115.
    Sjoegren disease Dry eyeand dry mouth Fibrosis, bronchitis and bronchiolitis LIP Up to 40 x increased risk for lymphoma (mediastinal adenopathy) and 2 x times increased risk for neoplasma Overlap Sarcoid, DM/PM, MXCT SLE, RA (pleural effusion)
  • 116.
  • 117.
  • 118.
  • 119.
  • 120.
    Outline Typical HRCT patternsof lung diseases with cysts Mosaic pattern and its differential Emphysema Atypical HRCT patterns Quiz
  • 122.
    Where is thepathology ??????? in the areas with increased density meaning there is ground glass in the areas with decreased density meaning there is air trapping
  • 123.
    Pathology in blackareas Airtrapping: Airway Disease Bronchiolitis obliterans (constrictive bronchiolitis) idiopathic, connective tissue diseases, drug reaction, after transplantation, after infection Hypersensitivity pneumonitis granulomatous inflammation of bronchiolar wall Sarcoidosis granulomatous inflammation of bronchiolar wall Asthma / Bronchiectasis / Airway diseases
  • 124.
    Airway Disease what yousee…… In inspiration sharply demarcated areas of seemingly increased density (normal) and decreased density demarcation by interlobular septa In expiration ‘black’ areas remain in volume and density ‘white’ areas decrease in volume and increase in density INCREASE IN CONTRAST DIFFERENCES AIRTRAPPING
  • 125.
  • 126.
  • 127.
  • 128.
    Hypersensitivity pneumonitis Extr. Allerg.Alveolitis (EAA) HRCT Morphology acute - subacute acinar (centrilobular) unsharp densities ground glass (patchy - diffuse) chronic: fibrosis Intra- / interlobular septal thickening Irregular interfaces Traction bronchiectasis
  • 131.
    Pathology in whiteAreas Alveolitis / Pneumonitis Ground glass desquamative intertitial pneumoinia (DIP) nonspecific interstitial pneumonia (NSIP) organizing pneumonia In expiration both areas (white and black) decrease in volume and increase in density DECREASE IN CONTRAST DIFFERENCES
  • 132.
  • 133.
  • 134.
    Mosaic Perfusion Chronic pulmonaryembolism LOOK FOR Pulmonary hypertension idiopathic, cardiac disease, pulmonary disease
  • 135.
  • 136.
    Outline Typical HRCT patternsof lung diseases with cysts Mosaic pattern and its differential Emphysema Atypical HRCT patterns Quiz
  • 137.
    Emphysema histopathological definition …..permanent abnormalenlargement of airspaces distal to the bronchioles terminales and …...destruction of the walls of the involved airspaces
  • 138.
  • 139.
  • 140.
    CLE and PLEin one Patient
  • 141.
  • 142.
    CT findings: • Relativelywell-defined, low attenuation areas with very thin (invisible) walls, surrounded by normal lung parenchyma. • As disease progresses: – Amount of intervening normal lung decreases. – Number and size of the pulmonary vessels decrease. – +/- Abnormal vessel branching angles (>90o), with vessel bowing around the bullae.
  • 143.
    Emphysema •Curved arrow: areaof low attenuation. •Solid arrow: zones of vascular disruption. •Open arrow: area of lung destruction.
  • 144.
  • 145.
    Quantitative CT: • Spirometicallytriggered images at 10% and 90% vital capacity (VC) have been reported to be able to distinguish patients with chronic bronchitis from those with emphysema. – Patients with emphysema had significantly lower mean lung attenuation at 90% VC than normal subjects or patients with chronic bronchitis. – Attenuation was the same for normal subjects and those with chronic bronchitis.
  • 146.
  • 147.
    HRCT findings: • Bronchialwall thickening • Mucoid impaction • Mosaic lung attenuation with air trapping – Findings may be reversible with pharmacologic treatment. • Centrilobular thickening
  • 148.
  • 149.
    Most frequent CTfindings of bronchiactasis: Most frequent Less frequent • Lack of tapering of the bronchial lumen • Bronchial wall thickening • Bronchial dilatation • Visualized peripheral bronchi • Mucus plugging
  • 150.
    Bronchiectasis Radiology 2002; 225:663-672 Arrows demonstrating various grades of bronchial wall thickening, with lack of tapering of the bronchial wall lumen.
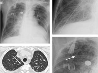
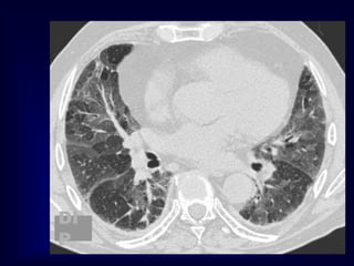
  • 151.
  • 152.
    Bronchiectasis Signet ring? or Solitaire ring? Radiology1999; 212: 67-68 “Signet ring” sign “Question Dogma” …Marc Gosselin, MD
  • 153.
    Cystic Changes andDecreased Density Quiz What is Your Diagnosis ?
  • 154.
  • 155.
  • 156.
  • 157.
    …..black holes…… Clues toDiagnosis Is there a wall ? What is the shape and size ? Smoker ? Other signs (e.g., bronchiectasis, pulmonary hypertension)
  • 159.
    Reversed Halo Signon High-Resolution CT of Cryptogenic Organizing Pneumonia Kim et al AJR 2003; 180:1251-1254 90% of their pts! reversed halo signs (central ground-glass opacity and surrounding air-space consolidation of crescentic and ring shapes) Voloudaki et al GGO ring : ERS 2008 septal inflammation cellular debris organising pneumonia
  • 160.
    Bullous lung disease Uncommon cause of respiratory distress in young males  Patients have history of significant cigarette smoking  Multiple large bullae impair the pulmonary mechanics 50Y M Primary bullous disease – Vanishing lung syndrome
  • 161.
    Reticular pattern Interstitial lungdisease Usual interstitial pneumonia Desquamative interstitial pneumonia Acute interstitial pneumonia Non specific interstitial pneumonia Interstitial pulmonary edema Idiopathic pulmonary fibrosis Collagen vascular diseases Drug induced lung diseases Radiation induced lung diseases
  • 162.
    Interstitial lung disease Clinical HISTORY EXAMINATION DRUGS COLLAGENDISEASE RADIATION CARDIAC TROUBLES MEDIASINAL NODES SARCOID , LYMPHAGITIS
  • 163.
    AIR SPACE FILLING •TRASEUDATE • EXEUDATE • BLOOD ALVEOLAR EDEMA * PNEUMONIA HEMORRHAGIC * DISORDERS • TUMOR CELLS ALVEOLAR CELL CACINOMA • PROTEINS CLINICAL * PROTIENOSIS ALVEOLAR IMAGING *
  • 164.
    Nodular pattern [ multiplerounded opacities 1-10mm] Milliary [1-2mm], the size of millet seeds • TB • Metastases • Pneumoconiosis Milliary TB
  • 165.
    Clinical History DUST EXPOSURE PRIMARY MALIGNANCY Imaging DENSITY& SIZE OF NODULES SUGGESTIVE FINDINGS OTHER DEPOSITS [ BONES , LIVER ] COMPLICATIONS OF PNUMOCONIOSIS
  • 166.
    Cystic pattern [ multiplethin walled air containing lesions 1cm or more ] Histeocytosis Lymphangioleiomyomatosis Lymphocytic interstitial pneumonia Emphysema Cystic bronchiectasis Tuberous sclerosis
  • 167.
    Clinical HISTORY & EXAMINATION Tuberoussclerosis Emphysema IMAGING Histeocytosis Lymphangioleiomyomatosis Emphysema Cystic bronchiectasis
  • 168.
  • 169.
    Radiographic Patterns inILD Pleural Involvement Lymphangitic Carcinomatosis LAM Drug Induced Radiation Pneumonitis Asbestosis Effusion Thickening Plaques Mesothelioma Collagen vascular disease Adenopathy Sarcoidosis Lymphoma Lymphangitic CA LIP Amyloidosis Berylliosis Silicosis Kerley B lines Chronic LV failure Lymphangitic CA Lymphoma LAM Veno-occlusive disease Acute Eosinophilic Pneumonia
  • 170.
    PFT: Lung Volumes RestrictiveDisease VC VC VC TLC TLC RV Normal TLC RV RV ILD NM Disease
  • 171.
    Probability of HistologicDiagnosis of Diffuse Diseases Transbronchial Biopsy Surgical Biopsy 1. Granulomatous diseases 2. Malignant tumors/lymphangitic 3. DAD (any cause) 4. Certain infections Often 5. Alveolar proteinosis 6. Eosinophilic pneumonia 7. Vasculitis 8. Amyloidosis 9. EG/HX/PLCH Sometimes 10. LAM 11. RB/RBILD/DIP 12. UIP/NSIP/LIP COP 13. Small airways disease 14. PHT and PVOD Courtesy of Kevin O. Leslie, MD. Never
  • 172.
  • 173.
  • 174.
    Linear Pattern A linearpattern is seen when there is thickening of the interlobular septa, producing Kerley lines. Kerley A lines Kerley B lines Kerley A lines The interlobular septa contain pulmonary veins and lymphatics. The most common cause of interlobular septal thickening, producing Kerley A and B lines, is pulmonary edema, as a result of pulmonary venous hypertension and distension of the lymphatics. Kerley B lines
  • 175.
    DD of KerlyLines: Pulmonary edema is the most common cause Mitral stenosis Lymphangitic carcinomatosis Malignant lymphoma Congenital lymphangiectasia Idiopathic pulmonary fibrosis Pneumoconiosis Sarcoidosis
  • 177.
    b. Reticular Pattern Areticular pattern results from the summation or superimposition of irregular linear opacities. The term reticular is defined as meshed, or in the form of a network. Reticular opacities can be described as fine, medium, or coarse, as the width of the opacities increases. A classic reticular pattern is seen with pulmonary fibrosis, in which multiple curvilinear opacities form small cystic spaces along the pleural margins and lung bases (honeycomb lung)
  • 178.
    This 50-year-old manpresented with end-stage lung fibrosis PA chest radiograph shows medium to coarse reticular B: CT scan shows multiple small cysts (honeycombing) involving predominantly the subpleural peripheral regions of lung. Traction bronchiectasis, another sign of end-stage lung fibrosis.
  • 179.
    c. Nodular pattern A nodular pattern consists of multiple round opacities, generally ranging in diameter from 1 mm to 1 cm  Nodular opacities may be described as miliary (1 to 2 mm, the size of millet seeds), small, medium, or large, as the diameter of the opacities increases  A nodular pattern, especially with predominant distribution, suggests a specific differential diagnosis
  • 180.
    Disseminated histoplasmosis andnodular ILD. CT scan shows multiple bilateral round circumscribed pulmonary nodules.
  • 181.
    Hematogenous metastases andnodular ILD. This 45-yearold woman presented with metastatic gastric carcinoma. The PA chest radiograph shows a diffuse pattern of nodules, 6 to 10 mm in diameter.
  • 182.
    Differential diagnosis ofa nodular pattern of interstitial lung disease SHRIMP Sarcoidosis Histiocytosis (Langerhan cell histiocytosis) Hypersensitivity pneumonitis Rheumatoid nodules Infection (mycobacterial, fungal, viral) Metastases Microlithiasis, alveolar Pneumoconioses (silicosis, coal worker's, berylliosis)
  • 183.
    d. Reticulonodular patternresults A reticulonodular pattern results from a combination of reticular and nodular opacities. This pattern is often difficult to distinguish from a purely reticular or nodular pattern, and in such a case a differential diagnosis should be developed based on the predominant pattern. If there is no predominant pattern, causes of both nodular and reticular patterns should be considered.
  • 184.
    How To Approach aPractical Diagnosis?
  • 185.
    Rule no. 1 Anacute appearance suggests pulmonary edema ,miliary TB,DAD or pneumonia
  • 186.
    Disseminated histoplasmosis andreticulonodular ILD. A: PA chest radiograph, close-up of right upper lung, shows reticulonodular ILD. B: CT scan shows multiple circumscribed round pulmonary nodules, 2 to 3 mm in diameter.
  • 187.
    Rule no. 2 Reticulonodularlower lung predominant distribution with decreased lung volumes suggests: (APC) 1. Asbestosis 2. Aspiration (chronic) 3. Pulmonary fibrosis (idiopathic) 4.Collagen vascular disease
  • 188.
  • 189.
    Pulmonary fibrosis andrheumatoid arthritis.
  • 190.
    Systemic sclerosis. A: PAchest radiograph shows a bibasilar and subpleural distribution of fine reticular ILD. The presence of a dilated esophagus (arrows) provides a clue to the correct diagnosis. B: CT scan shows peripheral ILD and a dilated esophagus (arrow).
  • 191.
    Rule no. 3 Amiddle or upper lung predominant distribution suggests: (Mycobacterium Settle Superiorly in Lung) 1. Mycobacterial or fungal disease 2. Silicosis 3. Sarcoidosis 4. Langerhans Cell Histiocytosis
  • 192.
    Complicated silicosis. PAchest radiograph shows multiple nodules involving the upper and middle lungs, with coalescence of nodules in the left upper lobe resulting in early progressive massive fibrosis
  • 193.
    Sarcoidosis. CT scanshows nodular thickening of the bronchovascular bundles (solid arrow) and subpleural nodules (dashed arrow), illustrating the typical perilymphatic distribution of sarcoidosis.
  • 194.
    Langerhan cell histiocytosis. This50-year-old man had a 30 pack-year history of cigarette smoking. A: PA chest radiograph shows hyperinflation of the lungs and fine bilateral reticular ILD. B: CT scan shows multiple cysts (solid arrow) and nodules (dashed arrow).
  • 195.
    Rule no. 4 Associatedlymphadenopathy suggests : 1.Sarcoidosis 2.neoplasm (lymphangitic carcinomatosis, lymphoma, metastases) 3. infection (viral, mycobacterial, or fungal) 4. Silicosis 5.Congestive heart failure with congestive lymphadenopathy.
  • 196.
    Simple silicosis. A: CTscan with lung windowing shows numerous circumscribed pulmonary nodules, 2 to 3 mm in diameter (arrows). B: CT scan with mediastinal windowing shows densely calcified hilar (solid arrows) and subcarinal (dashed arrow) nodes.
  • 197.
    Rule no. 5 Associatedpleural thickening and/or calcification suggest asbestosis.
  • 198.
    Rule no. 6 Associatedpleural effusion suggests : 1.pulmonary edema 2.lymphangitic carcinomatosis 3.lymphoma 4.collagen vascular disease 5.LAM
  • 199.
    Cardiogenic pulmonary edema. PAchest radiograph shows enlargement of the cardiac silhouette, bilateral ILD, enlargement of the azygos vein (solid arrow), and peribronchial cuffing (dashed arrow).
  • 200.
    Lymphangitic carcinomatosis. This53-year-old man presented with chronic obstructive pulmonary disease and large-cell bronchogenic carcinoma of the right lung. CT scan shows unilateral nodular thickening (arrows) and a malignant right pleural effusion.
  • 201.
    Rule no. 7 Associatedpneumothorax suggests lymphangioleiomyomatosis or LCH.
  • 202.
    Lymphangioleiomyomatosis (LAM). A: PA chestradiograph shows a right basilar pneumothorax and two right pleural drainage catheters. The lung volumes are increased, which is characteristic of LAM, and there is diffuse reticular ILD. B: CT scan shows bilateral thinwalled cysts and a loculated right pneumothorax (P).
  • 203.
    Tell me therules again?
  • 204.
    1. Acute •P.Edema •Pneumonia •.Miliary TB •.DAD 2.Pleural effusion •1.pulmonary edema •2.lymphangitic carcinomatosis •3.lymphoma •4.collagen vascular disease 3.Pneumothorax •lymphangioleiomyom atosis •LCH 4.Predominantly Below with reduced volume 1.Asbestosis 2. Aspiration (chronic) 3. Pulmonary fibrosis (idiopathic) 4.Collagen vascular disease
  • 205.
    5. A middleor upper lung predominant 1. 2. 3. 4. Mycobacterial or fungal disease Silicosis Sarcoidosis Langerhans Cell Histiocytosis 6. Associated lymphadenopathy 7. Pleural Thickening and or Calcification •Asbestosis 1.Sarcoidosis 2.neoplasm (lymphangitic carcinomatosis, lymphoma, metastases) 3. infection (viral, mycobacterial, or fungal) 4. Silicosis 5.CHF
  • 207.
    Approach to theILD Patient Patient with Suspected ILD Hx, PE, CXR, PFT, Labs Dx likely by bronch? Yes Yes Is bronch diagnostic? No STOP HRCT Hx and HRCT consistent with IPF Hx and HRCT Dx of other ILD Suspected other ILD STOP Dx likely by bronch? STOP Atypical clinical or CT features of IPF Yes Is bronch diagnostic? No No Yes STOP VATS UIP NSIP RBILD DIP DAD OP LIP Non IIP Martinez F, Flaherty K. Available at: http://www.chestnet.org/education/online/pccu/vol18/lessons03_04/lesson03.php.