Sequelae of Septic Arthritis Hip in
Children
Septic arthritis - Definition
 Hematogenous bacterial infection of the hip,
usually
 in infants or toddlers, with or without involvement
of
 the proximal femoral metaphysis.
 Synonym: Septic coxitis
 Hip - commonest septic joint
 condition during growth, reaching a distinct
peak in frequency during infancy.
 via hematogenous
 transmission, resulting in colonization of the
joint with bacteria
 in infants - occur from propagation of adjacent
proximal femoral osteomyelitis
 septic arthritis of the hip - a surgical
emergency
 diagnosis be made ASAP to prevent joint
damage;
 - then immediate arthrotomy, regardless of
the Graim Stain results;
 - younger child, more pressing is need
because of higher risk of permanent disability;
 Kocher criteria: (for child with painful hip)
- includes: non-weight-bearing on affect side,
sed rate greater than 40 mm/hr, fever, and a
WBC count of >12,000 mm3;
- when 4/4 criteria are met, there is a
99% chance that the child has septic arthritis;

- when 3/4 criteria are met, there is a
93% chance of septic arthritis;
 - when 2/4 criteria are met, there is a
40% chance of septic arthritis;
 - when 1/4 criteria are met, there is a
3% chance of septic arthritis;
Organisms
 Staph. Aureus,
 E coli,
 streptococci,
 klebsiella pneumoniae
 Acinetobacter.
 epiphyseal plate prevents infection from entering
joint space in older children
 but apparently does not act as a barrier in infants
 synovial membrane inserting distally to epiphysis,
 allowing bacteria to spread directly from the
metaphysis to joint space;
 metaphysis of shoulder, hip, radial head, and
ankle remain intracapsular during early
childhood
 the hip joint seems especially prone to sepsis
from adjacent osteomyelitis
 synovial reflections over the metaphyseal
bone decrease with age;
Examination
 Limp
 pain in groin area that occasionally radiates
down the medial side of thigh;
- progressive accompanied by spasm of
the hip muscles
- hip in flexion and external rotation &
decreased internal rotation compared to the
normal hip
- patient resists all attempts to move hip;
- palpate the SI joint for local tenderness;
Differential diagnosis
 Acute osteomyelitis - tenderness and swelling
over the metaphysis
 Acute rheumatoid arthritis
 Transient synovitis
 Tuberculosis
 Acute rheumatic fever
 Cellulitis
 Haemarthrosis
Investigations
 synovial fluid exam (total cell count)
 C-reactive protein:
 ESR
 Joint aspiration
 X-ray, CT, MRI
 Ultrasound
Treatment
 Identify organism
 Sensitive antibiotics
 Prompt administration to prevent tissue damage
 Surgery - debridement
Detection of sequelae
 history, medical documentation, clinical
examination, radiographs, arthrography and
sonography.
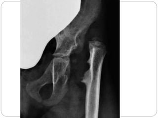
 Head of femur- purely cartilaginous - more
susceptible to direct destructive activity of pus
& inflammatory products
 Increase in intracapsular pressure –
tamponade – AVN of head
 often diagnosed late- leading to irreversible
damage to the articular cartilage, blood supply to
the epiphysis
 absorption of head and neck,
 resulting in severe shortening and disability.
Hunka’s Classification
 Type I – Minimal Femoral Head changes
 Type IIA – femoral head deformity with a normal
growth plate
 Type IIB - femoral head deformity with growth
arrest
 Type III – Pseudoarthrosis of femoral neck
 Type IVA – complete destruction of proximal
femoral epiphysis, with a stable neck segment.
 Type IVB - complete destruction of proximal
femoral epiphysis, with an unstable neck
segment.
 Type V – Complete destruction of the head and
neck to the intertrochanteric line, with dislocation
of the hip
Goal of Management
 stabilizing the hip
 achieve normal function with no residual
deformity or disability
 improving the gait.
 not achieved even with the best of treatment
poor prognostic factors
 Delay in diagnosis - most important factor.
 An infection that occurred before 22 weeks of age
 Prematurity
 Symptoms that lasted longer than 4 days.
 Reconstructive operations delayed for months/
years after the infection has subsided.
 Reasons:
 The danger of reactivating the old infection is
reduced;
 Allows the status of the proximal femur and
femoral head to be definitely determined
 Allows strength and general character of the bone
to improve with time
Choi's classification
 Type IA: No residual deformity
 Type IB: mild coxa magna. It needs no
reconstruction.
 Type IIA: coxa brevia with deformed head
 TypeIIB: progressive coxa vara or coxa
valgus- asymmetric premature closure of
proximal femoral physis.
It needs surgical intervention to prevent
subluxation.
 Type IIIA: Slipping at femoral neck with severe
anteversion/retroversion
 Type IIIB: pseudoarthrosis - realignment
surgery for proximal femur or bone grafting.
 Type IVA: Destruction of the head and neck of
femur with the presence of remnant of medial
base of neck.
 Type IVB: Complete loss of femoral head &
neck
Complex clinical problems with limb length
inequality -needs reconstructive surgery
Complications
 dislocation, subluxation,
 acetabular dysplasia,
 coxa vara, coxa breva,
 absence of the head & neck of the femur, and
 degenerative (postinfectious) arthritis;
Hip stabilisation/Reconstruction
 Arthrodesis
 Pelvic osteotomy – Pemberton
Acetabuloplasty/salter/chiari
 Proximal femoral osteotomy - Schanz
 Trochanteric arthroplasty (Colonna) combined
with proximal femoral osteotomy
 Harmon or L'Episcopo reconstruction - new
femoral neck is fashioned to articulate with the
acetabulum .
 epiphyseodesis of the contralateral limb,
 lengthening of the ipsilateral tibia.
 Type I & IIA – Abduction orthosis initially,
observation till skeletal maturity
 Type IIB – Epiphysiodesis of remaining physis
with/without greater trochanteric physis
 Type IIIA – Femoral Osteotomy – correct version
and neck shaft angle
 Type IIIB – Osteotomy + bone grafting
 Type IV – Greater trochanteric arthrooplasty
 Femoral & acetabular osteotomy
 Arthrodesis
 Ilizarov hip reconstruction
 Microvascular reconstruction
 procedures performed at any stage are less
favorable than natural history of the deformity;
 - hip dislocation:
- infantile hip sepsis causes destruction of
the femoral head
high-riding dislocation and failure of acetabular
development.
 - leg length descrepancy
- the proximal femoral epiphysis may be
destroyed –LLD-3-4 inches;
- femoral lengthening should not be
attempted if hip stability is not present;
 if an acetabulum is present, surgical reduction
w/ trochanteric arthroplasty and pelvic
osteotomies may be successful - less
successful than closed treatment of the hip
 use of shoe lift, and later distal femoral
epiphysiodesis to treat leg length difference;
Prevention is better!!!

Septic arthritis sequelae

  • 1.
    Sequelae of SepticArthritis Hip in Children
  • 2.
    Septic arthritis -Definition  Hematogenous bacterial infection of the hip, usually  in infants or toddlers, with or without involvement of  the proximal femoral metaphysis.  Synonym: Septic coxitis
  • 3.
     Hip -commonest septic joint  condition during growth, reaching a distinct peak in frequency during infancy.  via hematogenous  transmission, resulting in colonization of the joint with bacteria  in infants - occur from propagation of adjacent proximal femoral osteomyelitis
  • 4.
     septic arthritisof the hip - a surgical emergency  diagnosis be made ASAP to prevent joint damage;  - then immediate arthrotomy, regardless of the Graim Stain results;  - younger child, more pressing is need because of higher risk of permanent disability;
  • 6.
     Kocher criteria:(for child with painful hip) - includes: non-weight-bearing on affect side, sed rate greater than 40 mm/hr, fever, and a WBC count of >12,000 mm3; - when 4/4 criteria are met, there is a 99% chance that the child has septic arthritis;  - when 3/4 criteria are met, there is a 93% chance of septic arthritis;  - when 2/4 criteria are met, there is a 40% chance of septic arthritis;  - when 1/4 criteria are met, there is a 3% chance of septic arthritis;
  • 7.
    Organisms  Staph. Aureus, E coli,  streptococci,  klebsiella pneumoniae  Acinetobacter.
  • 8.
     epiphyseal plateprevents infection from entering joint space in older children  but apparently does not act as a barrier in infants  synovial membrane inserting distally to epiphysis,  allowing bacteria to spread directly from the metaphysis to joint space;
  • 9.
     metaphysis ofshoulder, hip, radial head, and ankle remain intracapsular during early childhood  the hip joint seems especially prone to sepsis from adjacent osteomyelitis  synovial reflections over the metaphyseal bone decrease with age;
  • 10.
    Examination  Limp  painin groin area that occasionally radiates down the medial side of thigh; - progressive accompanied by spasm of the hip muscles - hip in flexion and external rotation & decreased internal rotation compared to the normal hip - patient resists all attempts to move hip; - palpate the SI joint for local tenderness;
  • 11.
    Differential diagnosis  Acuteosteomyelitis - tenderness and swelling over the metaphysis  Acute rheumatoid arthritis  Transient synovitis  Tuberculosis  Acute rheumatic fever  Cellulitis  Haemarthrosis
  • 12.
    Investigations  synovial fluidexam (total cell count)  C-reactive protein:  ESR  Joint aspiration  X-ray, CT, MRI  Ultrasound
  • 13.
    Treatment  Identify organism Sensitive antibiotics  Prompt administration to prevent tissue damage  Surgery - debridement
  • 14.
    Detection of sequelae history, medical documentation, clinical examination, radiographs, arthrography and sonography.  Head of femur- purely cartilaginous - more susceptible to direct destructive activity of pus & inflammatory products  Increase in intracapsular pressure – tamponade – AVN of head
  • 15.
     often diagnosedlate- leading to irreversible damage to the articular cartilage, blood supply to the epiphysis  absorption of head and neck,  resulting in severe shortening and disability.
  • 16.
    Hunka’s Classification  TypeI – Minimal Femoral Head changes  Type IIA – femoral head deformity with a normal growth plate  Type IIB - femoral head deformity with growth arrest  Type III – Pseudoarthrosis of femoral neck
  • 17.
     Type IVA– complete destruction of proximal femoral epiphysis, with a stable neck segment.  Type IVB - complete destruction of proximal femoral epiphysis, with an unstable neck segment.  Type V – Complete destruction of the head and neck to the intertrochanteric line, with dislocation of the hip
  • 18.
    Goal of Management stabilizing the hip  achieve normal function with no residual deformity or disability  improving the gait.  not achieved even with the best of treatment
  • 19.
    poor prognostic factors Delay in diagnosis - most important factor.  An infection that occurred before 22 weeks of age  Prematurity  Symptoms that lasted longer than 4 days.
  • 20.
     Reconstructive operationsdelayed for months/ years after the infection has subsided.  Reasons:  The danger of reactivating the old infection is reduced;  Allows the status of the proximal femur and femoral head to be definitely determined  Allows strength and general character of the bone to improve with time
  • 21.
    Choi's classification  TypeIA: No residual deformity  Type IB: mild coxa magna. It needs no reconstruction.  Type IIA: coxa brevia with deformed head  TypeIIB: progressive coxa vara or coxa valgus- asymmetric premature closure of proximal femoral physis. It needs surgical intervention to prevent subluxation.
  • 22.
     Type IIIA:Slipping at femoral neck with severe anteversion/retroversion  Type IIIB: pseudoarthrosis - realignment surgery for proximal femur or bone grafting.  Type IVA: Destruction of the head and neck of femur with the presence of remnant of medial base of neck.  Type IVB: Complete loss of femoral head & neck Complex clinical problems with limb length inequality -needs reconstructive surgery
  • 24.
    Complications  dislocation, subluxation, acetabular dysplasia,  coxa vara, coxa breva,  absence of the head & neck of the femur, and  degenerative (postinfectious) arthritis;
  • 25.
    Hip stabilisation/Reconstruction  Arthrodesis Pelvic osteotomy – Pemberton Acetabuloplasty/salter/chiari  Proximal femoral osteotomy - Schanz  Trochanteric arthroplasty (Colonna) combined with proximal femoral osteotomy
  • 26.
     Harmon orL'Episcopo reconstruction - new femoral neck is fashioned to articulate with the acetabulum .  epiphyseodesis of the contralateral limb,  lengthening of the ipsilateral tibia.
  • 28.
     Type I& IIA – Abduction orthosis initially, observation till skeletal maturity  Type IIB – Epiphysiodesis of remaining physis with/without greater trochanteric physis  Type IIIA – Femoral Osteotomy – correct version and neck shaft angle  Type IIIB – Osteotomy + bone grafting
  • 29.
     Type IV– Greater trochanteric arthrooplasty  Femoral & acetabular osteotomy  Arthrodesis  Ilizarov hip reconstruction  Microvascular reconstruction
  • 30.
     procedures performedat any stage are less favorable than natural history of the deformity;  - hip dislocation: - infantile hip sepsis causes destruction of the femoral head high-riding dislocation and failure of acetabular development.
  • 31.
     - leglength descrepancy - the proximal femoral epiphysis may be destroyed –LLD-3-4 inches; - femoral lengthening should not be attempted if hip stability is not present;  if an acetabulum is present, surgical reduction w/ trochanteric arthroplasty and pelvic osteotomies may be successful - less successful than closed treatment of the hip  use of shoe lift, and later distal femoral epiphysiodesis to treat leg length difference;
  • 32.