PRESENTED BY :
DR VENKATESH V
MODERATOR :
DR HARISH K
ANATOMY OF ANKLE
 Ankle is a synovial type of Hinge joint
 Bones forming are : Tibia , Fibula & Talus
 The dome itself is broader anteriorly , during
dorsiflexion of ankle the fibula rotates externally to
still more increase the space
 It is a highly congruent joint
Contd …
 Bones forming the ankle joint
Tibia , Fibula & Talus
Ligaments …..
 Capsular ligament :
Capsule of ankle joint is
Thin in front & behind .
Thick on either side
Blending with collateral
Ligament.
 Syndesmotic ligament complex : For maintenance of
tibio fibular integrity .
 4 lig : Ant & Post tibiofibular ligament,
Transverse ligament , interosseous ligament .
Collateral ligaments :
 LATERAL LIGAMENTS :
TALO FIBULAR LIGAMENT ::
Divided into : anterior ,posterior tibiofibular ligament &
calcaneofibular Lig..
Anterior TF lig : prevents subluxation of talus when the
ankle is in planterflexion.
Posterior TF lig : Prevents posterior subluxation of talus.
 Calcaneo fibular ligament : It primarily acts to stabilize
the subtalar joint & prevents excessive inversion of
foot .
 MEDIAL COLLATERAL LIGAMENT /DELTOID
LIGAMENT:
apex at the tip of medial malleolus & base at talus,
navicular , calcaneum.
 Divided into 2 parts :
superficial & deep parts :
 Superficial deltoid : Resists the talar abduction &
resists the eversion of foot.
 Tibionavicular part of the ligament prevents
displacement of talar head inwards.
 Tibiocalcaneal portion prevents valgus displacement.
 Deep deltoid ligament :
It is an intraarticular part .
Prevents lateral displacement & external rotation of
talus.
Movements :
 DORSIFLEXION 200
 PLANTER FLEXION400
 SUPINATION
 PRONATION
 Locking & unlocking of ankle :
Ankle joint is most stable in dorsiflexion due to the
engagement of broad anterior talar trochlear surface in
the narrow posterior part of the tibial articular surface.
Ankle Arthrodesis
 Albert (1879) first described ankle arthrodesis, and it
became quite popular for stabilization of paralytic in
poliomyelitis.
 Charnley (1951) introduced the concept of compression
to ankle arthrodesis.
 Few biomechanical aspects of the ankle joint ::
 First, it is primarily a hinge joint and, although there is
a continuously changing axis of rotation throughout
the range of motion of the tibiotalar joint, fixation in a
neutral position does not produce severe
biomechanical consequences in the limb.
 Second, the talus sits within a well-defined, stable
architecture of the ankle joint, supported by the
medial malleolus, the congruent tibial plafond, and
the lateral malleolus, all of which provide bone
surfaces for healing of the arthrodesis.
 Third, normal gait requires only 10 to 12 degrees of
ankle extension and 20 degrees of ankle flexion so loss
of some motion is not critical.
Biomechanics after ankle fusion
 In a fused ankle joint, there is increased stress in the
subtalar joint, the chopart joint line and the knee
joint. The adjacent joints develop a compensatory
hypermobility, in particular the transverse tarsal
articulation.
 If the ankle is mal-positioned in excessive internal
rotation, There is increased stress in the subtalar joint,
the midfoot, the knee and the hip. There may be
overuse problems of the hip and the knee because of
compensatory external rotation of the hip.
 In excessively externally rotated position the foot rolls
over the medial side. Increased stress acts there with a
frequent development of hallux valgus, and problems
on the medial side of the knee.
 Fusing the ankle in varus position increases the stress
on the lateral side of the foot. this locks the transverse
tarsal articulation making the transition from the
hindfoot to the midfoot rigid, thereby overloading the
small joints of the midfoot
 .
 A plantarflexed ankle fusion leads to a functional
lengthening of the limb. There is increased stress on
the midfoot.
 Increased dorsiflexed position concentrates the
ground impact on a small area of the heel, which is
easily mechanically overloaded and painful.
INDICATIONS FOR ANKLE
ARTHRODESIS
 Ankle arthrodesis can be considered for patients who
have limited motion of the ankle and chronic pain, in
whom conservative measures have failed, and have one
of the following diagnoses:
 Posttraumatic arthritis
 Osteoarthritis
 Arthritis from chronic instability of the ankle
 Rheumatoid or autoimmune inflammatory arthritis
 Gout
 Postinfectious arthritis
 Charcot neuroarthropathy
 Osteonecrosis of the talus
 Failure of total ankle arthroplasty
 Instability of the ankle from neuromuscular disorders
Contraindications :
 Absolute contraindications : vascular impairment of
the limb and infection of the skin through which the
approach is planned.
 Peripheral neuropathy—peripheral neuropathy as in
diabetes may be contraindications to arthrodesis
because of increased likelihood of nonunion.
 Relative contraindications include preexisting
moderate to severe ipsilateral hindfoot arthrosis and
contralateral ankle arthrosis likely to require surgical
treatment in the foreseeable future.
Treatment :
 NONOPERATIVE TREATMENT : It should be clear to
the patient that returning the ankle to its prearthritic
state is not possible and conservative management is
to try to relieve pain and restore function as much as
possible .
 Bracing to limit motion of the arthritic joint is the
mainstay of conservative treatment.
 NSAID
 INTRAARTICULAR INJECTIONS – hydrocortisone +
local anaesthetics
And intraarticular injections has to be used cautiously as
they may cause cartilage and chondrocyte damage.
 Visco supplemetations – multiple injections of
hyaluronic acids are effective than a single dose of
injection.
 These supplements are helpful after arthroscopic
debridement, loose body removal.
Operative management :
 Operative alternatives to ankle arthrodesis include
open or arthroscopic debridement, realignment
osteotomies, distraction arthroplasty, allograft
replacement, and total ankle arthroplasty.
Optimum Position for ankle
positioning in arthrodesis :
 Buck et al suggested the optimum position for fusion
to be neutral or slight dorsiflexion of 5°, mild hindfoot
valgus of 5° to 8°, external rotation of 5 to 10° to match
the other foot and slight translation of talus posteriorly
on tibia.
 Neutral or slight dorsiflexion is important in India for
squatting for toilet
Classification of ankle arthritis :
 From Giannini S, Buda R, Fladini C, et al: The
treatment of severe posttraumatic arthritis of the ankle
joint, J Bone Joint Surg 89A(Suppl 3):15, 2007.
Pre operative evaluation :
 Bone quality : scelrosis , osteoporsis , bone loss.
 Skin : any previous scar.
 Timing of surgery : in case of old fractures allow it to
completely vascularise the bone fragments.
 Subtalar arthritis : sinus tarsi tenderness in forced
passive plantar flexion.
 Vascular status of limb , smoking status directly affects
the recovery & prognosis.
 Evaluate the hind foot joints , talonavicular joint
because it is responsible for most of the ankle
movement after ankle arthrodesis.
 Radiographic evaluation : The hindfoot alignment
view can assist in assessing deformity distal to the
ankle joint.
 Amount of joint space loss on the anteroposterior view,
coronal plane deformity should be assessed. Quality of
bone stock and any cysts or other defects should be
noted.
 On the lateral view, anteroposterior subluxation of the
ankle should be noted, as well as any tilt of the tibial
plafond
 Arthroscopic debridement : Efficacy has been shown
in a number of studies for the removal of anterior
impingement osteophytes from the tibia or talus.
Patients with mechanical locking of the ankle from a
demonstrable loose body may also benefit from
arthroscopic management, but it is likely that the
debridement of more advanced arthritic ankles
provides only short-term relief.
Periarticular osteotomies :
 The goal of realignment osteotomies is to unload the
more arthritic portion of the joint and provide a more
anatomic mechanical axis to the ankle
 Ideal candidate : Chondral loss primarily in the medial
or lateral gutter of the ankle with minimal involvement
of the superior surface of the talus, especially with
supramalleolar deformity, seems best suited for this
approach.
 The type of osteotomy is determined by the specific
deformity, the condition of the surrounding soft
tissues, the status of the articular surface, and leg-
length considerations.
 Opening wedge osteotomy of the tibia for varus
deformity and medial joint arthrosis is particularly
effective as an alternative to more invasive treatment.
 For determination of involvement of compartment of
tibial articular surface for supramalleolar corrective
osteotomy.
 TIBIO- TALAR AXIS
 TIBIAL LATERAL SURFACE ANGLE.
 Opening Wedge Osteotomy Of The Tibia For Varus
Deformity And Medial Joint Arthrosis.
o Through the standard anteromedial & antero lateral
arthroscopic portals do a thorough arthroscopic
examination ,with removal of osteophytes , synovial
debridement.
o Then do a oblique fibular osteotomy (3-4cm proximal
to articular surface).
 Tibial osteotomy incision done 5cm from tip of medial
malleolus an 8cm incision is done .
 Make a osteotomy 5cm from tip of the medial
malleolus with leaving an intact lateral cortex.
 Insert a prepared wedge bone graft & apply a 4-8 holed
plate after contouring. Followed by fixation of fibular
osteotomy with a plate fixation.
 Post op care :
Cast for 4-6 weeks.
Touchdown weight bearing at 2 weeks.
Partial weight bearing at 4 weeks.
WEDGE OSTEOTOMY OF TIBIA FOR
INTRAARTICULAR VARUS ARTHRITIS &
INSTABILITY / PLAFOND PLASTY.(MANN
FILIPPI)
 Failure of traditional medial opening wedge and lateral
closing osteotomy can occur because of persistence of
the medial intraarticular tibial defect resulting in
recurrent varus deformity.
 Becker and Myerson described a technique specifically
for juxtaarticular varus ankle deformity associated
with osteoarthritis and ankle instability.
 Approach the ankle through a medial incision
centered at the level of the deformity.
 Direct the apex of the osteotomy toward the
intraarticular deformity from the medial aspect of the
distal tibia.
 Use a Kirschner wire aimed at the apex of the
deformity as a guide to the plane of the osteotomy.
 Insert three additional Kirschner wires parallel to the
joint surface portion of the tibial plafond within the
subchondral bone just under the articular cartilage at
the apex of the plafond angulation to prevent
penetration of the saw blade
 with a wide osteotome gradually bend the plafond until the
medial tibial articular surface is parallel to the intact
portion of the distal lateral tibia.
 Insert a lamina spreader into the cortical gap to hold the
correction while allograft cancellous bone chips are
inserted into the defect under fluoroscopic guidance to
maintain a parallel joint surface.
 Secure the osteotomy with a locking plate to serve as a
buttress to ensure that the allograft remains in place.
 Post op care : 2 weeks on B/K splint non weight
bearing with ROM exercises
6 weeks partial weight bearing
10-12 weeks depending on osteotomy
complete weight bearing
MINI-INCISION TECHNIQUE
 preferred technique when coronal plane deformity is
minimal (<10 degrees of varus or valgus) and bone
quality is satisfactory.
 Incisions :
 Incise the joint capsule in line with the skin and
elevate it from the front of the ankle joint with an
elevator.
 Inspect the joint and remove any periarticular
osteophytes
 Place a periosteal elevator in one incision to lever the
joint open slightly and place a lamina spreader in the
other incision and open it to allow removal of the
remaining cartilage and subchondral bone through the
first incision.
 Prepare the medial gutter in a similar manner, There
does not seem to be consensus about whether or not to
prepare the lateral gutter for fusion.
 The extra motion of the fibula may lead to painful
nonunion of this joint, but even without preparing this
joint there occasionally is pain in this area
 Insert large, partially threaded, cannulated screws
(typically 6.5 to 8.0 mm) over guidewires .
 Three screws are ideal, but sometimes only two are
possible. The most desirable position is the so-called
“home run”. Screws positions are :
 1st screw : from the posterolateral tibia into the talar
neck/body
 2nd screw : proximomedial screw directed into the
posterior body of the talus
 3rd screw : proximal anterolateral to distal medial
screw or a distal lateral screw from the lateral process
of the talus directed proximal, posterior, and medial.
 Bone graft typically used or bone slurry obtained while
subchondral bone is resected using high speed burr.
 Post op care : 6 weeks immobilisation with rolling
walker gives a better quality of life.
knee high walking boot can be used depending on the
healing later converted to shoe.
TRANSFIBULAR (TRANSMALLEOLAR)
ARTHRODESIS WITH FIBULAR
STRUT GRAFT
 Make an extended approach to the lateral ankle
 Use a sagittal saw to transect the fibula proximal to the
ankle plafond and remove approximately 1 cm with a
second parallel cut.
 Make a cut in the sagittal plane to remove the medial two
thirds of the fibula, preserving the lateral one third with its
periosteal attachment.
 If correction of a valgus deformity is necessary, make a
separate medial longitudinal approach to remove the
medial malleolus
 Preparation of the joint for fusion varies from “in situ”
fusion, in which the normal articular surface
topography is maintained, for minimal deformity to
flat cuts of the opposing tibial and talar surfaces for
more severe deformity.
 Insert multiple partially threaded 7.5-mm or 8.0-mm
cancellous screws from posterolateral in the tibia into
the talar head and neck and from posteromedial into
the talar body, An additional screw from the sinus tarsi
into the tibia is helpful.
TIBIOTALOCALCANEAL ARTHRODESIS
 In certain circumstances, arthrodesis of both the ankle and
subtalar joints is necessary or advantageous. A lateral
approach as just described, with or without the onlay
fibular graft, can be used, but a posterior approach may be
appropriate in some situations, such as patients with
compromised skin and soft tissues in the area of a lateral
approach.
 Numerous designs and constructs of compression screws,
intramedullary nails, blade plates, and locking plates can
be used.
 Cadaver biomechanical studies have shown locking
plate fixation to have higher rigidity than
intramedullary nails and torsional load to failure than
blade plate fixation .
 TTC FUSION USING NAILING
SYSTEMS.
Technique ..
 Initial preparation of joint can be done using posterior
approach providing wider exposure.
 Identification of entry point & placement of guidewire.
 Guide wire passed through will pass through the
center of tibia & just anterior to the posterior facet of
the calcaneum .
 Ream the canal with successively increasing number
upto 13mm.
 Followingly insert the nail over the guide wire .(nail
lengths diameters & lenghts avilable are = 10 – 11.5mm
& 16 ,20 & 25 cms respectively).
 Placement of screws : always place locking screws from
calcaneum to tibia to achieve compression at each
joint level.
 Drill guide and sleeve assembly should be posterior to
calcaneal tuberosity . Talar screw should be inserted
from calcaneum posteroinferior lateral to
anteromedial in the talar dome perpendicular to
subtalar joint, this screw may engage the anterior tibial
plafond.
 Cuboid screw = Inserted from posteromedial of
calcaneus to anterolateral in the cuboid.
 Insert the last distal locking transverse screws .
 Proximal locking to be done with cortical screws.
 Nail should rest slightly inside calcaneum to apprx 1cm
outside calcaneum.
 Post op care : 2 weeks short leg cast
6 weeks no wt bearing
wt bearing with cast at 8 weeks
ANTERIOR APPROACH WITH
PLATE FIXATION
 This approach is particularly appropriate for
conversion of a failed total ankle arthroplasty to
arthrodesis
 Plaass et al. described an anterior double-plating
technique for severe osteoarthritis, nonunion of ankle
arthrodeses, and failed total ankle replacements
 They suggested that the stiffer two-plate system may
improve clinical fusion rates, especially in patients
with suboptimal bone quality.
 Plane of dissection is between ext hallucis longus
medially & ext digitorum longus laterally.
 LATERAL APPROACH WITH FIBULAR SPARING.
Fibula is sparred so that it maintains the native groove &
restraints the peroneal tendons.
Technique : incision done on the lateral part of the
ankle.
 Divide the anterior talofibular and calcaneofibular
ligaments to allow the talus to be rotated out from
underneath the mortise
 Remove cartilage synovium and loose bodies.
Fenestrate subchondral tibial and talar bone with a 4-
mm powered burr at low speed with saline irrigation.
 Under fluoroscopic guidance, pass two 6.5- or 7.3-mm
screws from lateral to medial. Pass one screw with a
washer in an anterior position from the base of the
talar neck to the tibia. Start the second screw at the
lateral process of the talus and direct it into the distal
tibia posteriorly.
POSTERIOR APPROACH FOR
ARTHRODESIS OF ANKLE AND
SUBTALAR JOINTS(Campbell)
 The posterior approach to the ankle is particularly
useful in cases of osteonecrosis of the talus when the
goal is tibiotalocalcaneal arthrodesis.
 Posterior arthrodesis permits lengthening of the
Achilles tendon through the same incision and fusion
of both the ankle and subtalar joints
 Techn : Make a 7.5-cm longitudinal incision medial to
and parallel with the Achilles tendon over the
posterior aspect of the ankle.
 Retract the flexor hallucis longus medially and expose
the posterior capsule of the ankle and subtalar joints.
 Incise the capsule transversely and remove the most
posterior portion of the talus and the posterior portion
of the articular surfaces of the ankle and subtalar
joints.
 With an osteotome, turn large flaps of bone distally
from the posterior aspect of the tibia and proximally
from the superior aspect of the calcaneus, overlapping
them successively
 Additional bone grafts can be used
 Fixation can be accomplished with an intramedullary
nail or a posteriorly applied locking plate.
TIBIOTALAR ARTHRODESIS WITH
A SLIDING BONE GRAFT(Blair)
EXTERNAL FIXATION DEVICES
 Charnley’s compression method
 DISTRACTION ARTHROPLASTY
 Joint distraction arthroplasty is based on the concept
that mechanical unloading of the joint and the
intermittent flow of intraarticular synovial fluid
encourage cartilage healing.
 Ideal candidate :: young patient ,
Symptoms are not relieved with conservative measures
Who is unwilling to have an arthrodesis of joint.
 Key elements of the procedure :
Inman Axis has to be used for hinge placement
Forefoot wire to be avoided
No more than 5-6mm of distraction to be done in OT
ROM exercises should be started in early post op.
Pre opevaluation :
Joint space , evaluate periarticular deformity &
determine supramalleolar osteotomy
 Joint preparation
 Frame application : 2 ring fixation is needed for tibia &
foot , extra proximal tibial ring needed in case of
supramalleolar osteotomy if done .
 5mm distraction is to be applied
 Post op care : 2weeks sutures removal & maintain 5mm
distraction
12 weeks frame removed ambulation started
BONE GRAFT/SUPPLEMENTATION
 The simplest graft is that harvested from the resected
fibula in the transfibular approach.
 Wheeler et al. described the use of a lowspeed burr to
create a bone “slurry” and found improved fusion rates
in their patients.
 A reamer-irrigator-aspirator (RIA) can be used to
harvest bone from the hindfoot or tibial shaft during
reaming. A comparison of fusion and complication
Chuinard-Peterson
procedure
Additional procedures :
 Adams-Horowitz-Goldwaith: A transfibular arthrodesis
osteotomizes the fibula 8 to 12 cm proximal to its distal
tip. The bone is used as strut across ankle joint.
 Cordebar-Glissan: A transmalleolar arthrodesis
through a medial malleolus, it incorporates small
section of bone,which is fixed to tibia.
 Mead: This procedure uses the medial malleolus as an
onlay bone graft.
Complications
 NONUNION : Neuropathic atrophy or presence of
pre-operative infection can increase failure of
arthrodesis. Rx : pulsed emlectromagnetic field can be
used for bone growth stimulation.
 Malunion : Malunion can have deleterious effects on
the foot and adjacent joints.
Minor deformities can be treated with pads, inserts
and shoe modifications, severe malposition can usually
be corrected with osteotomy.
 Infection :
 Peristent pain : Subtalar inflammation or arthrosis is
often the cause.
Screws penetrating the subtalar joint can also be
painful.
Degenerative Changes : Of subtalar & lisfrancs joint
Tendon Laceration : Of TP & Flexor of hallux.
 Double-upright,locked ankle brace with a steel shank
and rocker sole can be used.
 Thank u !!!!

Ankle arthrodesis

  • 1.
    PRESENTED BY : DRVENKATESH V MODERATOR : DR HARISH K
  • 2.
    ANATOMY OF ANKLE Ankle is a synovial type of Hinge joint  Bones forming are : Tibia , Fibula & Talus  The dome itself is broader anteriorly , during dorsiflexion of ankle the fibula rotates externally to still more increase the space  It is a highly congruent joint
  • 3.
    Contd …  Bonesforming the ankle joint Tibia , Fibula & Talus
  • 4.
    Ligaments …..  Capsularligament : Capsule of ankle joint is Thin in front & behind . Thick on either side Blending with collateral Ligament.
  • 5.
     Syndesmotic ligamentcomplex : For maintenance of tibio fibular integrity .  4 lig : Ant & Post tibiofibular ligament, Transverse ligament , interosseous ligament .
  • 7.
    Collateral ligaments : LATERAL LIGAMENTS : TALO FIBULAR LIGAMENT :: Divided into : anterior ,posterior tibiofibular ligament & calcaneofibular Lig.. Anterior TF lig : prevents subluxation of talus when the ankle is in planterflexion. Posterior TF lig : Prevents posterior subluxation of talus.
  • 8.
     Calcaneo fibularligament : It primarily acts to stabilize the subtalar joint & prevents excessive inversion of foot .
  • 10.
     MEDIAL COLLATERALLIGAMENT /DELTOID LIGAMENT: apex at the tip of medial malleolus & base at talus, navicular , calcaneum.  Divided into 2 parts : superficial & deep parts :
  • 11.
     Superficial deltoid: Resists the talar abduction & resists the eversion of foot.  Tibionavicular part of the ligament prevents displacement of talar head inwards.  Tibiocalcaneal portion prevents valgus displacement.
  • 12.
     Deep deltoidligament : It is an intraarticular part . Prevents lateral displacement & external rotation of talus.
  • 14.
    Movements :  DORSIFLEXION200  PLANTER FLEXION400  SUPINATION  PRONATION
  • 15.
     Locking &unlocking of ankle : Ankle joint is most stable in dorsiflexion due to the engagement of broad anterior talar trochlear surface in the narrow posterior part of the tibial articular surface.
  • 16.
    Ankle Arthrodesis  Albert(1879) first described ankle arthrodesis, and it became quite popular for stabilization of paralytic in poliomyelitis.  Charnley (1951) introduced the concept of compression to ankle arthrodesis.
  • 17.
     Few biomechanicalaspects of the ankle joint ::  First, it is primarily a hinge joint and, although there is a continuously changing axis of rotation throughout the range of motion of the tibiotalar joint, fixation in a neutral position does not produce severe biomechanical consequences in the limb.
  • 18.
     Second, thetalus sits within a well-defined, stable architecture of the ankle joint, supported by the medial malleolus, the congruent tibial plafond, and the lateral malleolus, all of which provide bone surfaces for healing of the arthrodesis.  Third, normal gait requires only 10 to 12 degrees of ankle extension and 20 degrees of ankle flexion so loss of some motion is not critical.
  • 19.
    Biomechanics after anklefusion  In a fused ankle joint, there is increased stress in the subtalar joint, the chopart joint line and the knee joint. The adjacent joints develop a compensatory hypermobility, in particular the transverse tarsal articulation.  If the ankle is mal-positioned in excessive internal rotation, There is increased stress in the subtalar joint, the midfoot, the knee and the hip. There may be overuse problems of the hip and the knee because of compensatory external rotation of the hip.
  • 20.
     In excessivelyexternally rotated position the foot rolls over the medial side. Increased stress acts there with a frequent development of hallux valgus, and problems on the medial side of the knee.  Fusing the ankle in varus position increases the stress on the lateral side of the foot. this locks the transverse tarsal articulation making the transition from the hindfoot to the midfoot rigid, thereby overloading the small joints of the midfoot
  • 21.
     .  Aplantarflexed ankle fusion leads to a functional lengthening of the limb. There is increased stress on the midfoot.  Increased dorsiflexed position concentrates the ground impact on a small area of the heel, which is easily mechanically overloaded and painful.
  • 22.
    INDICATIONS FOR ANKLE ARTHRODESIS Ankle arthrodesis can be considered for patients who have limited motion of the ankle and chronic pain, in whom conservative measures have failed, and have one of the following diagnoses:
  • 23.
     Posttraumatic arthritis Osteoarthritis  Arthritis from chronic instability of the ankle  Rheumatoid or autoimmune inflammatory arthritis  Gout  Postinfectious arthritis  Charcot neuroarthropathy  Osteonecrosis of the talus  Failure of total ankle arthroplasty  Instability of the ankle from neuromuscular disorders
  • 24.
    Contraindications :  Absolutecontraindications : vascular impairment of the limb and infection of the skin through which the approach is planned.  Peripheral neuropathy—peripheral neuropathy as in diabetes may be contraindications to arthrodesis because of increased likelihood of nonunion.  Relative contraindications include preexisting moderate to severe ipsilateral hindfoot arthrosis and contralateral ankle arthrosis likely to require surgical treatment in the foreseeable future.
  • 25.
    Treatment :  NONOPERATIVETREATMENT : It should be clear to the patient that returning the ankle to its prearthritic state is not possible and conservative management is to try to relieve pain and restore function as much as possible .  Bracing to limit motion of the arthritic joint is the mainstay of conservative treatment.
  • 26.
     NSAID  INTRAARTICULARINJECTIONS – hydrocortisone + local anaesthetics And intraarticular injections has to be used cautiously as they may cause cartilage and chondrocyte damage.  Visco supplemetations – multiple injections of hyaluronic acids are effective than a single dose of injection.  These supplements are helpful after arthroscopic debridement, loose body removal.
  • 27.
    Operative management : Operative alternatives to ankle arthrodesis include open or arthroscopic debridement, realignment osteotomies, distraction arthroplasty, allograft replacement, and total ankle arthroplasty.
  • 28.
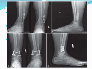
    Optimum Position forankle positioning in arthrodesis :  Buck et al suggested the optimum position for fusion to be neutral or slight dorsiflexion of 5°, mild hindfoot valgus of 5° to 8°, external rotation of 5 to 10° to match the other foot and slight translation of talus posteriorly on tibia.  Neutral or slight dorsiflexion is important in India for squatting for toilet
  • 29.
  • 30.
     From GianniniS, Buda R, Fladini C, et al: The treatment of severe posttraumatic arthritis of the ankle joint, J Bone Joint Surg 89A(Suppl 3):15, 2007.
  • 32.
    Pre operative evaluation:  Bone quality : scelrosis , osteoporsis , bone loss.  Skin : any previous scar.  Timing of surgery : in case of old fractures allow it to completely vascularise the bone fragments.  Subtalar arthritis : sinus tarsi tenderness in forced passive plantar flexion.  Vascular status of limb , smoking status directly affects the recovery & prognosis.
  • 33.
     Evaluate thehind foot joints , talonavicular joint because it is responsible for most of the ankle movement after ankle arthrodesis.  Radiographic evaluation : The hindfoot alignment view can assist in assessing deformity distal to the ankle joint.  Amount of joint space loss on the anteroposterior view, coronal plane deformity should be assessed. Quality of bone stock and any cysts or other defects should be noted.  On the lateral view, anteroposterior subluxation of the ankle should be noted, as well as any tilt of the tibial plafond
  • 34.
     Arthroscopic debridement: Efficacy has been shown in a number of studies for the removal of anterior impingement osteophytes from the tibia or talus. Patients with mechanical locking of the ankle from a demonstrable loose body may also benefit from arthroscopic management, but it is likely that the debridement of more advanced arthritic ankles provides only short-term relief.
  • 35.
    Periarticular osteotomies : The goal of realignment osteotomies is to unload the more arthritic portion of the joint and provide a more anatomic mechanical axis to the ankle  Ideal candidate : Chondral loss primarily in the medial or lateral gutter of the ankle with minimal involvement of the superior surface of the talus, especially with supramalleolar deformity, seems best suited for this approach.
  • 36.
     The typeof osteotomy is determined by the specific deformity, the condition of the surrounding soft tissues, the status of the articular surface, and leg- length considerations.  Opening wedge osteotomy of the tibia for varus deformity and medial joint arthrosis is particularly effective as an alternative to more invasive treatment.
  • 37.
     For determinationof involvement of compartment of tibial articular surface for supramalleolar corrective osteotomy.  TIBIO- TALAR AXIS  TIBIAL LATERAL SURFACE ANGLE.
  • 38.
     Opening WedgeOsteotomy Of The Tibia For Varus Deformity And Medial Joint Arthrosis. o Through the standard anteromedial & antero lateral arthroscopic portals do a thorough arthroscopic examination ,with removal of osteophytes , synovial debridement. o Then do a oblique fibular osteotomy (3-4cm proximal to articular surface).
  • 39.
     Tibial osteotomyincision done 5cm from tip of medial malleolus an 8cm incision is done .  Make a osteotomy 5cm from tip of the medial malleolus with leaving an intact lateral cortex.  Insert a prepared wedge bone graft & apply a 4-8 holed plate after contouring. Followed by fixation of fibular osteotomy with a plate fixation.
  • 40.
     Post opcare : Cast for 4-6 weeks. Touchdown weight bearing at 2 weeks. Partial weight bearing at 4 weeks.
  • 41.
    WEDGE OSTEOTOMY OFTIBIA FOR INTRAARTICULAR VARUS ARTHRITIS & INSTABILITY / PLAFOND PLASTY.(MANN FILIPPI)  Failure of traditional medial opening wedge and lateral closing osteotomy can occur because of persistence of the medial intraarticular tibial defect resulting in recurrent varus deformity.  Becker and Myerson described a technique specifically for juxtaarticular varus ankle deformity associated with osteoarthritis and ankle instability.
  • 42.
     Approach theankle through a medial incision centered at the level of the deformity.  Direct the apex of the osteotomy toward the intraarticular deformity from the medial aspect of the distal tibia.  Use a Kirschner wire aimed at the apex of the deformity as a guide to the plane of the osteotomy.  Insert three additional Kirschner wires parallel to the joint surface portion of the tibial plafond within the subchondral bone just under the articular cartilage at the apex of the plafond angulation to prevent penetration of the saw blade
  • 43.
     with awide osteotome gradually bend the plafond until the medial tibial articular surface is parallel to the intact portion of the distal lateral tibia.  Insert a lamina spreader into the cortical gap to hold the correction while allograft cancellous bone chips are inserted into the defect under fluoroscopic guidance to maintain a parallel joint surface.  Secure the osteotomy with a locking plate to serve as a buttress to ensure that the allograft remains in place.
  • 44.
     Post opcare : 2 weeks on B/K splint non weight bearing with ROM exercises 6 weeks partial weight bearing 10-12 weeks depending on osteotomy complete weight bearing
  • 45.
    MINI-INCISION TECHNIQUE  preferredtechnique when coronal plane deformity is minimal (<10 degrees of varus or valgus) and bone quality is satisfactory.  Incisions :  Incise the joint capsule in line with the skin and elevate it from the front of the ankle joint with an elevator.
  • 46.
     Inspect thejoint and remove any periarticular osteophytes  Place a periosteal elevator in one incision to lever the joint open slightly and place a lamina spreader in the other incision and open it to allow removal of the remaining cartilage and subchondral bone through the first incision.  Prepare the medial gutter in a similar manner, There does not seem to be consensus about whether or not to prepare the lateral gutter for fusion.  The extra motion of the fibula may lead to painful nonunion of this joint, but even without preparing this joint there occasionally is pain in this area
  • 47.
     Insert large,partially threaded, cannulated screws (typically 6.5 to 8.0 mm) over guidewires .  Three screws are ideal, but sometimes only two are possible. The most desirable position is the so-called “home run”. Screws positions are :  1st screw : from the posterolateral tibia into the talar neck/body  2nd screw : proximomedial screw directed into the posterior body of the talus  3rd screw : proximal anterolateral to distal medial screw or a distal lateral screw from the lateral process of the talus directed proximal, posterior, and medial.
  • 49.
     Bone grafttypically used or bone slurry obtained while subchondral bone is resected using high speed burr.  Post op care : 6 weeks immobilisation with rolling walker gives a better quality of life. knee high walking boot can be used depending on the healing later converted to shoe.
  • 50.
    TRANSFIBULAR (TRANSMALLEOLAR) ARTHRODESIS WITHFIBULAR STRUT GRAFT  Make an extended approach to the lateral ankle  Use a sagittal saw to transect the fibula proximal to the ankle plafond and remove approximately 1 cm with a second parallel cut.  Make a cut in the sagittal plane to remove the medial two thirds of the fibula, preserving the lateral one third with its periosteal attachment.  If correction of a valgus deformity is necessary, make a separate medial longitudinal approach to remove the medial malleolus
  • 51.
     Preparation ofthe joint for fusion varies from “in situ” fusion, in which the normal articular surface topography is maintained, for minimal deformity to flat cuts of the opposing tibial and talar surfaces for more severe deformity.
  • 52.
     Insert multiplepartially threaded 7.5-mm or 8.0-mm cancellous screws from posterolateral in the tibia into the talar head and neck and from posteromedial into the talar body, An additional screw from the sinus tarsi into the tibia is helpful.
  • 53.
    TIBIOTALOCALCANEAL ARTHRODESIS  Incertain circumstances, arthrodesis of both the ankle and subtalar joints is necessary or advantageous. A lateral approach as just described, with or without the onlay fibular graft, can be used, but a posterior approach may be appropriate in some situations, such as patients with compromised skin and soft tissues in the area of a lateral approach.  Numerous designs and constructs of compression screws, intramedullary nails, blade plates, and locking plates can be used.
  • 54.
     Cadaver biomechanicalstudies have shown locking plate fixation to have higher rigidity than intramedullary nails and torsional load to failure than blade plate fixation .  TTC FUSION USING NAILING SYSTEMS.
  • 55.
    Technique ..  Initialpreparation of joint can be done using posterior approach providing wider exposure.  Identification of entry point & placement of guidewire.
  • 56.
     Guide wirepassed through will pass through the center of tibia & just anterior to the posterior facet of the calcaneum .  Ream the canal with successively increasing number upto 13mm.  Followingly insert the nail over the guide wire .(nail lengths diameters & lenghts avilable are = 10 – 11.5mm & 16 ,20 & 25 cms respectively).
  • 57.
     Placement ofscrews : always place locking screws from calcaneum to tibia to achieve compression at each joint level.  Drill guide and sleeve assembly should be posterior to calcaneal tuberosity . Talar screw should be inserted from calcaneum posteroinferior lateral to anteromedial in the talar dome perpendicular to subtalar joint, this screw may engage the anterior tibial plafond.
  • 58.
     Cuboid screw= Inserted from posteromedial of calcaneus to anterolateral in the cuboid.  Insert the last distal locking transverse screws .  Proximal locking to be done with cortical screws.
  • 59.
     Nail shouldrest slightly inside calcaneum to apprx 1cm outside calcaneum.  Post op care : 2 weeks short leg cast 6 weeks no wt bearing wt bearing with cast at 8 weeks
  • 60.
    ANTERIOR APPROACH WITH PLATEFIXATION  This approach is particularly appropriate for conversion of a failed total ankle arthroplasty to arthrodesis  Plaass et al. described an anterior double-plating technique for severe osteoarthritis, nonunion of ankle arthrodeses, and failed total ankle replacements  They suggested that the stiffer two-plate system may improve clinical fusion rates, especially in patients with suboptimal bone quality.
  • 61.
     Plane ofdissection is between ext hallucis longus medially & ext digitorum longus laterally.
  • 63.
     LATERAL APPROACHWITH FIBULAR SPARING. Fibula is sparred so that it maintains the native groove & restraints the peroneal tendons. Technique : incision done on the lateral part of the ankle.  Divide the anterior talofibular and calcaneofibular ligaments to allow the talus to be rotated out from underneath the mortise
  • 64.
     Remove cartilagesynovium and loose bodies. Fenestrate subchondral tibial and talar bone with a 4- mm powered burr at low speed with saline irrigation.  Under fluoroscopic guidance, pass two 6.5- or 7.3-mm screws from lateral to medial. Pass one screw with a washer in an anterior position from the base of the talar neck to the tibia. Start the second screw at the lateral process of the talus and direct it into the distal tibia posteriorly.
  • 65.
    POSTERIOR APPROACH FOR ARTHRODESISOF ANKLE AND SUBTALAR JOINTS(Campbell)  The posterior approach to the ankle is particularly useful in cases of osteonecrosis of the talus when the goal is tibiotalocalcaneal arthrodesis.  Posterior arthrodesis permits lengthening of the Achilles tendon through the same incision and fusion of both the ankle and subtalar joints
  • 66.
     Techn :Make a 7.5-cm longitudinal incision medial to and parallel with the Achilles tendon over the posterior aspect of the ankle.  Retract the flexor hallucis longus medially and expose the posterior capsule of the ankle and subtalar joints.  Incise the capsule transversely and remove the most posterior portion of the talus and the posterior portion of the articular surfaces of the ankle and subtalar joints.
  • 67.
     With anosteotome, turn large flaps of bone distally from the posterior aspect of the tibia and proximally from the superior aspect of the calcaneus, overlapping them successively  Additional bone grafts can be used  Fixation can be accomplished with an intramedullary nail or a posteriorly applied locking plate.
  • 68.
    TIBIOTALAR ARTHRODESIS WITH ASLIDING BONE GRAFT(Blair)
  • 69.
    EXTERNAL FIXATION DEVICES Charnley’s compression method
  • 70.
     DISTRACTION ARTHROPLASTY Joint distraction arthroplasty is based on the concept that mechanical unloading of the joint and the intermittent flow of intraarticular synovial fluid encourage cartilage healing.  Ideal candidate :: young patient , Symptoms are not relieved with conservative measures Who is unwilling to have an arthrodesis of joint.
  • 71.
     Key elementsof the procedure : Inman Axis has to be used for hinge placement Forefoot wire to be avoided No more than 5-6mm of distraction to be done in OT ROM exercises should be started in early post op. Pre opevaluation : Joint space , evaluate periarticular deformity & determine supramalleolar osteotomy
  • 72.
     Joint preparation Frame application : 2 ring fixation is needed for tibia & foot , extra proximal tibial ring needed in case of supramalleolar osteotomy if done .
  • 73.
     5mm distractionis to be applied  Post op care : 2weeks sutures removal & maintain 5mm distraction 12 weeks frame removed ambulation started
  • 74.
    BONE GRAFT/SUPPLEMENTATION  Thesimplest graft is that harvested from the resected fibula in the transfibular approach.  Wheeler et al. described the use of a lowspeed burr to create a bone “slurry” and found improved fusion rates in their patients.  A reamer-irrigator-aspirator (RIA) can be used to harvest bone from the hindfoot or tibial shaft during reaming. A comparison of fusion and complication
  • 75.
  • 76.
    Additional procedures : Adams-Horowitz-Goldwaith: A transfibular arthrodesis osteotomizes the fibula 8 to 12 cm proximal to its distal tip. The bone is used as strut across ankle joint.  Cordebar-Glissan: A transmalleolar arthrodesis through a medial malleolus, it incorporates small section of bone,which is fixed to tibia.  Mead: This procedure uses the medial malleolus as an onlay bone graft.
  • 77.
    Complications  NONUNION :Neuropathic atrophy or presence of pre-operative infection can increase failure of arthrodesis. Rx : pulsed emlectromagnetic field can be used for bone growth stimulation.  Malunion : Malunion can have deleterious effects on the foot and adjacent joints. Minor deformities can be treated with pads, inserts and shoe modifications, severe malposition can usually be corrected with osteotomy.
  • 78.
     Infection : Peristent pain : Subtalar inflammation or arthrosis is often the cause. Screws penetrating the subtalar joint can also be painful. Degenerative Changes : Of subtalar & lisfrancs joint Tendon Laceration : Of TP & Flexor of hallux.
  • 79.
     Double-upright,locked anklebrace with a steel shank and rocker sole can be used.
  • 81.