CONGENITAL PSEUDO
ARTHROSIS TIBIA
SAIKRISHNA .K
Definition
• Pseudarthrosis is a
false joint associated
with abnormal
movements at the site
Introduction
• Congenital pseudarthrosis of tibia refers to nonunion
of tibial fracture that develops spontaneously or after
trival trauma in a dysplastic bone segment of tibia
diaphysis.
• CPT is rare & Usually develops in first 2 yrs of life.
• Etiology is unclear.
• Incidence is 1: 250,000
• There is a strong association of CPT with
neurofibromatosis type 1.
• 6% of the patients with Neurofibtomatosis
have the deformity and up to 55% of cases
with anterolateral bowing and
pseudoarthrosis are associated with
neurofibromatosis.
• Some authors have also found anterolateral
bowing to be ultimately associated with
neurofibromatosis in nearly every instance.
• The presence or absence of neurofibromatosis
doesn’t affect the outcome of the tibial
pseudoarthrosis.
• Fibrous dysplasia is seen upto 15% of patients
with Anterolateral bowing.
Neurofibromatosis
• NF-1 occurs due to mutation on the gene coding for
NEUROFIBROMIN on chromosome 17.
• Neurofibromin is expressed in a broad range of cells & tissue
type.
• It negatively regulates Ras activity ( cell proliferation & function)
• It’s deficiency leads to increased Ras activity.
• Affects Ras-dependent MAPK( mitogen activated protein kinase)
activity which is essential for osteoclast function & survival.
Signs of
neurofibromatosis
Diagnostic criteria of neurofibromatosis
• 6 or more café-au-lait macules (>5mm before
puberty & >15mm after puberty).
• Axillary or inguinal freckling.
• 2 or more neurofibromas or 1 plexiform
neurofibroma.
• 2 or more Lisch nodules.
• Optic glioma.
• A distinctive osseous lesion such as sphenoid
dysplasia or thinning of long bone cortex with or
without pseudarthrosis.
• A first degree relative with NF-1.
Pathology
• Unclear
• Recent studies have shown that there is
hyperplasia of fibroblast with the formation of
dense fibrous tissue.
• This invasive fibromatosis is located in the
periosteum & between broken bones ends
causing compression, osteolysis &
persistance of pseudarthrosis.
Pathology
• Paley et al theorized that pathology of
pseudarthrosis is not bony but rather its periosteal
in origin.
This theory was also considered by CODAVILLA a
century ago.
• This theory is supported by following observation
:-
 Thickening with hamartomatous transformation of periosteum.
 Appearance of strangulation of bone with atrophic changes followed by
avascular changes.
 Failure of remodelling of pin tracts leading to stress fractures.
Classification
• There is no universally agreed system based on
both clinical features & radiographic findings.
 CAMURATI - 1930
 ADGLEY - 1952
 BOYD - 1958
 APOIL - 1970
 ANDERSEN - 1973
 CRAWFORD - 1986
 CRAWFORD - 1999
• BOYD & ANDERSEN are commonly used.
Boyd classification
• Boyd divided CPT into 6 types :-
Type 1 :-
 Pseudarthrosis occurs with
anterior bowing.
 A defect in tibia present at birth.
 Other congenital deformities may
be present which may affect the
management of pseudarthrosis.
Boyd classification
Type 2 :-
 Pseudarthrosis occur with anterior bowing & a hourglass constriction of
the tibia is present at birth.
 Spontaneous fractures or after minor trauma.
 Commonly occur before 2 yrs of age.
 Also known as HIGH RISK TIBIA.
 Tibia is tapered, rounded, sclerotic & obliteration of medullary canal.
 Most common type.
 Associated with NF-1
 Poorest prognosis.
Boyd classification
Type 3 :-
Pseudarthrosis develops in a
congenital cyst usually near the
junction of middle & distal third of
tibia.
Anterior bowing may precede or
follow the development of fracture.
Recurrance of fracture is less
common after treatment.
Boyd classification
Type 4 :-
Originates in a sclerotic
segment of bone.
Without narrowing of tibia.
Medullary canal is partially or
completely obliterated.
An insufficiency or stress
fracture develops in the cortex
of tibia & gradually extends
through the sclerotic bone.
Prognosis is good.
Boyd classification
Type 5 :-
 Pseudarthrosis of tibia occurs with a dysplastic fibula.
 Pseudarthrosis of both bone may develop.
 Prognosis is good if the lesion is confined to fibula.
 If the lesion progress to tibia then the natural h/o
usually resembles type 2.
Type 6 :-
 Occurs as an intraosseous neurofibroma or
schwannoma
 Extremely rare.
Crawford classification
• Divided broadly divided into 2 types:-
1-Non-Dysplastic
 Anterolateral bowing with increased density & sclerosis
of medullary canal.
2-Dysplastic
 2aAnterolateral bowing with failure of tubularization.
 2bCystic changes.
 2cFrank pseudarthrosis.
Classification by paley
Clinical features
• Associated with anterolateral
bowing of tibia.
• Bowing usually occurs at the
junction of middle & distal third.
• Deformity may be associated
with skin dimple, limb
shortening, dysplasia of fibula &
ankle valgus.
• Usually unilateral.
• If cutaneous signs of neurofibromatosis are
present the diagnosis is readily apparent.
IMAGING
Magnetic resonance imaging
• extent of the disease
• preoperative planning in that the borders for resection can be
defined precisely.
• The area of the pseudarthrosis is hyper intense on fat-suppressed
and T2-weighted images and slightly hypo intense on T1-weighted
images with contrast enhancement after administration of
gadolinium.
Computed tomography scan
Confirm radiographic findings.
Total bone scintigraphy
Level of the pseudarthrosis .
Problem
• Except for the resolving form, the natural
history of tibial dysplasia is extremely
unfavourable,and once fracture occurs there is
little tendency for the lesion to heal
spontaneously,particularly for fractures
occuring before the walking age.
• Regardless of the treatment method
used,there is general pessimism regarding the
quality and longevity of the union attained.
AIMS
1. Achieve union
2. Prevent refracture
3. Correct limb length inequality
4. Correct associated growth abnormalities
5. Prevent ankle deformity and arthritis.
1. Strategies to achieve union
1. Microvascular free fibular transfer.
2. the Ilizarov technique
3. Bone grafting with intramedullary nailing.
• Excision of the pseudarthrosis should be an
integral part of the procedure.
2. Strategies for minimizing the risk of
refracture
• Splint the limb in an orthosis until skeletal
maturity.
• Retain an intramedullary nail until skeletal
maturity.
3. Strategies for dealing with
shortening of the limb
● Minimize the extent of shortening by
obtaining union of the pseudarthrosis as early
as possible.
● Established shortening can be addressed by
limb equalization procedures
4. Strategies for minimizing valgus
deformity of the ankle
● Ensure union of the fibular pseudarthrosis.
● Retaining an intramedullary rod that crosses
the ankle joint can also prevent ankle
deformity although the motion is lost.
Prophylaxis
• Once the diagnosis of a non resolving
anterolateral bowing of the tibia has been
made the first step is to prevent fracture if
possible.
• In an infant before walking age,no specific
treatment is needed other than education of
the caretakers.
• Once the child begins weight bearing prophylactic
bracing should be attempted although there is no
documentation that such a program can prevent
a fracture.
• A clam shell like orthosis that provides
circumferntial support is usually recommended.
• Protection of the unfractured tibia should be
continued indefinitely till skeletal maturity or
until patient approaches skeletal maturity.
SURGICAL OPTIONS
1. Vascularized fibular graft
2. External fixation
3. Intramedullary rod
4. BMP
5. Electrical stimulation
Intra medullary fixation
• The procedure of choice for the first attempt
to gain union entails resection of
pseudoarthrosis,shortening and fixation with
an intramedullary rod and autogenous bone
grafting.
• The procedure can be performed at any age
and rates of union of around 85% have been
reported although solid long lasting union
without deformity is another matter.
Williams technique
• Williams conceived the novel technique of
threaded male and female components of the
rod that when joined,can be placed antegrade
through the pseudoarthrosis site and out the
bottom of the foot.
• After retrograde insertion back in to the proximal
intra medullary of the tibia the male end is
unscrewed and removed from thebottom of the
foot with the female threaded rod left
intraosseously in the tibia or across the ankle in
talus/calcaneus.
• The undesirable effect of ankle immobilisation
by IM fixation is thought ot be necessary evil
to adequately immobilise the small distal
fragment.
• As the tibia grows the foot and ankle may
eventually grow off the distal end of the IM
rod and thus allow ankle to regain motion
• The possibility of ankle valgus is also almost
inevitable especially if there is a fibular
pseudoarthrosis despite the acheivement of a
solid union.
• Limb length discrepancy is yet another untoward
event with shortening at maturity averaging as
much as 5 cm.
• Weak and stiff ankle and subtalar joint secondary
to cross ankle fixation producing a poorly
functioning foot.
• The need for fibular surgery remains
controversial. Researchers concluded that it is
crucial to resect a fibular pseud- arthrosis or, if
the fibula is intact, to perform a fibular
osteotomy in order to achieve optimal limb
alignment and union.
1. Vascularized fibular graft
• The procedure entails harvesting a long segment of the opposite fibula along with its
vascular pedicle.
• This is transferred into the gap created after radical excision of the pseudarthrotic segment.
• The vessels of the transferred fibula are anastomosed to the local vessels. The transferred
fibula is fixed securely to the tibia.
• Intra medullary fixation of the donated fibula
is contraindicated theoretically because of the
possibility of disturbance of blood supply of
the microvascular graft.
• Because the transfer brings tissue with its own
blood supply, free fibular vascularised transfer
has been recommended as procedure of
choice for gaps > 3cm after resection of
pseudoarthrosis.
• Success rate for free fibula transfer is 92%-
95% if union alone is considered.
• Refracture has been reported in a third of the
patients probably a direct result of not being
able to apply a permanent intra medullary
fixation and thus ignoring a major principle in
treatment.
• Morbidity of the donor leg—
• The distal end of fibula must be synostosed to
the tibia(Langenskiold procedure) or the fibula
of the donor site must be reconstructed with
bone graft to prevent ankle valgus.
• In addition weakness may ensue in the donor
leg due to resection of origins of flexor
muscles.
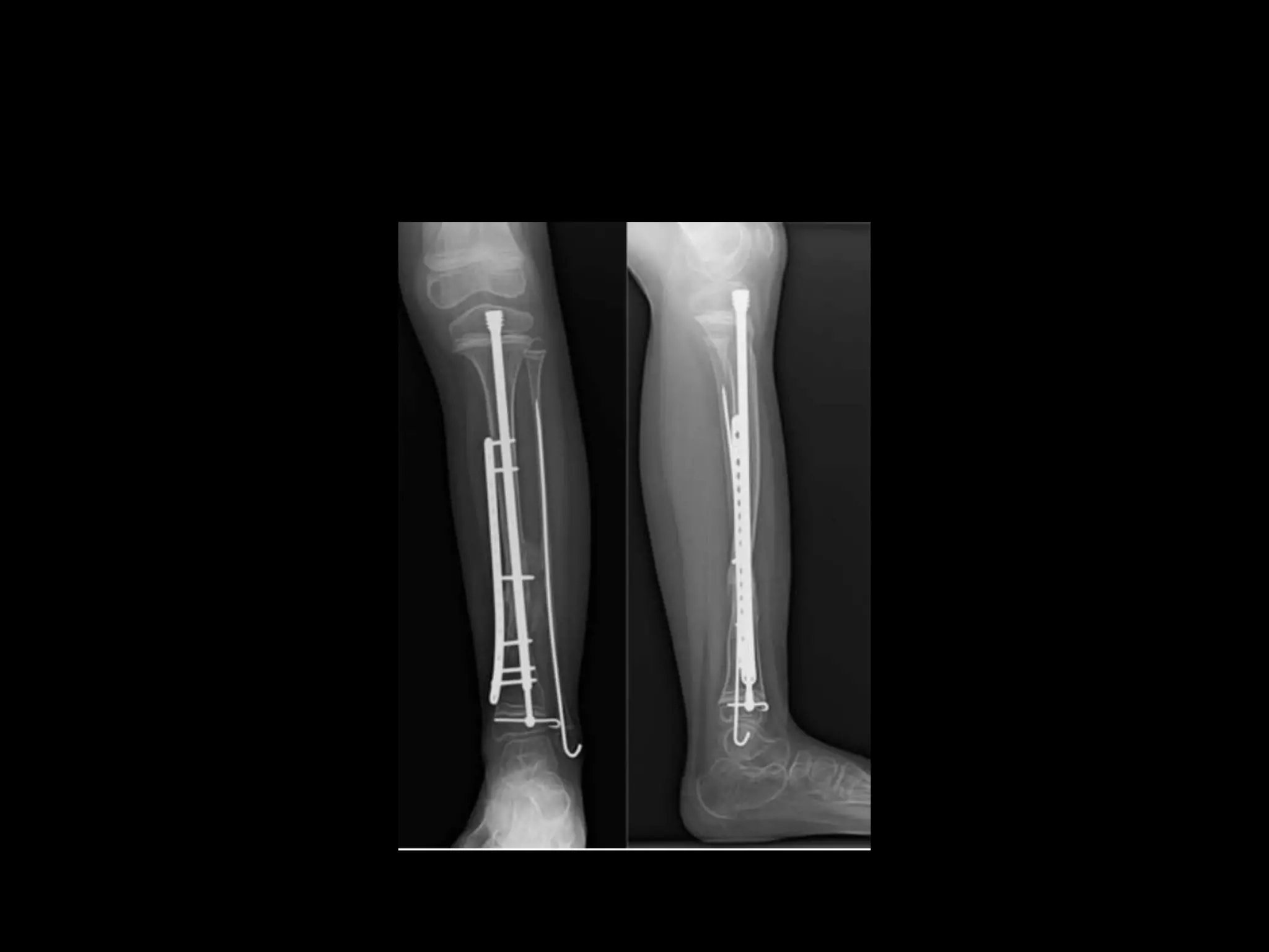
Case series
Good union
Case 2
Dec 5,2016
Bone morphogenic protein
• BMP2 is useful to speed up the union rates in CPT
• BMP 7 seems to be ineffective in the absence of an actively
differentiating osteoblastic cell line.
Electrical stimulation
• Electrical stimulation doesnot correct existing
deformities and thus its appplication is
probably limited to the earlier phases of
pseudoarthrosis treatment when union is the
primary goal.
Amputation
• The final function in a patient who has
undergone multiple operations but must still
protect the leg in an orthosis may well be
worse than if an earlier amputaion and
prosthetic fitting had been performed.
Paley X union
Complications
1. Refracture
2. Malalignment of the tibia
3. Limb length discrepancy
4. Ankle valgus
5. Ankle stiffness
1. Refracture.
• 14% to 60%.
• Anatomic alignment of the tibia and fibula minimize the risk
of re-fracture.
• Intramedullary rod and external bracing must be continued as
effective protection against re-fractures.
2. Malalignment of the tibia
• Diaphyseal malalignment of the tibia (procurvatum or valgus
deformity) are progressive and do not remodel
3. Limb length discrepancy
• Residual limb length discrepancy following successful
union is a major problem.
• Growth abnormalities of the tibia, fibula, and the
ipsilateral femur abnormalities are also noted with CPT
• which include inclination of the proximal tibial physis,
posterior bowing of the proximal third of the tibial
diaphysis, proximal migration of the lateral malleolus.
4. Ankle valgus
4. Ankle valgus
• Compromises functional outcome.
• Progressive ankle valgus is a problematic postoperative
donor-site morbidity of a vascularized fibular graft in children.
•
• Tibiofibular metaphyseal synostosis (the Langenskiöld
procedure)
5. Ankle stiffness
• Progressively regresses once intramedullary
rod is removed from ankle.
• Pain secondary to degenerative changes of the
ankle can be treated with limitation of activity
and shoe modification.
• Severe pain may require ankle arthrodesis
Follow up.
• till skeletal maturity to identify and rectify
residual problems.
Take Home message.
• Rare.
• The natural history of the disease is extremely unfavorable and
• Little or no tendency for the lesion to heal spontaneously.
• challenging to treat effectively
• Aims to obtain a long term bone union, to prevent limb length discrepancies,
to avoid mechanical axis deviation, soft tissue lesions, nearby joint stiffness,
and pathological fracture.
• The key to get primary union is to excise hamartomatous tissue and
pathological periosteum.
• Age at surgery, status of fibula, associated shortening, and deformities of leg
and ankle play significant role in primary union and residual challenges after
primary healing.
• Surgical options such as intramedullary nailing, vascularized fibula graft, and
external fixator, have shown equivocal success rate in achieving primary union
• Amputation must be reserved for failed reconstruction, severe limb length
discrepancy and gross deformities of leg and ankle..
THANK YOU.

Congenital pseudoarthrosis tibia

  • 1.
  • 2.
    Definition • Pseudarthrosis isa false joint associated with abnormal movements at the site
  • 3.
    Introduction • Congenital pseudarthrosisof tibia refers to nonunion of tibial fracture that develops spontaneously or after trival trauma in a dysplastic bone segment of tibia diaphysis. • CPT is rare & Usually develops in first 2 yrs of life. • Etiology is unclear. • Incidence is 1: 250,000 • There is a strong association of CPT with neurofibromatosis type 1.
  • 4.
    • 6% ofthe patients with Neurofibtomatosis have the deformity and up to 55% of cases with anterolateral bowing and pseudoarthrosis are associated with neurofibromatosis. • Some authors have also found anterolateral bowing to be ultimately associated with neurofibromatosis in nearly every instance.
  • 5.
    • The presenceor absence of neurofibromatosis doesn’t affect the outcome of the tibial pseudoarthrosis. • Fibrous dysplasia is seen upto 15% of patients with Anterolateral bowing.
  • 6.
    Neurofibromatosis • NF-1 occursdue to mutation on the gene coding for NEUROFIBROMIN on chromosome 17. • Neurofibromin is expressed in a broad range of cells & tissue type. • It negatively regulates Ras activity ( cell proliferation & function) • It’s deficiency leads to increased Ras activity. • Affects Ras-dependent MAPK( mitogen activated protein kinase) activity which is essential for osteoclast function & survival.
  • 7.
  • 8.
    Diagnostic criteria ofneurofibromatosis • 6 or more café-au-lait macules (>5mm before puberty & >15mm after puberty). • Axillary or inguinal freckling. • 2 or more neurofibromas or 1 plexiform neurofibroma. • 2 or more Lisch nodules. • Optic glioma. • A distinctive osseous lesion such as sphenoid dysplasia or thinning of long bone cortex with or without pseudarthrosis. • A first degree relative with NF-1.
  • 9.
    Pathology • Unclear • Recentstudies have shown that there is hyperplasia of fibroblast with the formation of dense fibrous tissue. • This invasive fibromatosis is located in the periosteum & between broken bones ends causing compression, osteolysis & persistance of pseudarthrosis.
  • 11.
    Pathology • Paley etal theorized that pathology of pseudarthrosis is not bony but rather its periosteal in origin. This theory was also considered by CODAVILLA a century ago. • This theory is supported by following observation :-  Thickening with hamartomatous transformation of periosteum.  Appearance of strangulation of bone with atrophic changes followed by avascular changes.  Failure of remodelling of pin tracts leading to stress fractures.
  • 12.
    Classification • There isno universally agreed system based on both clinical features & radiographic findings.  CAMURATI - 1930  ADGLEY - 1952  BOYD - 1958  APOIL - 1970  ANDERSEN - 1973  CRAWFORD - 1986  CRAWFORD - 1999 • BOYD & ANDERSEN are commonly used.
  • 13.
    Boyd classification • Boyddivided CPT into 6 types :- Type 1 :-  Pseudarthrosis occurs with anterior bowing.  A defect in tibia present at birth.  Other congenital deformities may be present which may affect the management of pseudarthrosis.
  • 14.
    Boyd classification Type 2:-  Pseudarthrosis occur with anterior bowing & a hourglass constriction of the tibia is present at birth.  Spontaneous fractures or after minor trauma.  Commonly occur before 2 yrs of age.  Also known as HIGH RISK TIBIA.  Tibia is tapered, rounded, sclerotic & obliteration of medullary canal.  Most common type.  Associated with NF-1  Poorest prognosis.
  • 15.
    Boyd classification Type 3:- Pseudarthrosis develops in a congenital cyst usually near the junction of middle & distal third of tibia. Anterior bowing may precede or follow the development of fracture. Recurrance of fracture is less common after treatment.
  • 16.
    Boyd classification Type 4:- Originates in a sclerotic segment of bone. Without narrowing of tibia. Medullary canal is partially or completely obliterated. An insufficiency or stress fracture develops in the cortex of tibia & gradually extends through the sclerotic bone. Prognosis is good.
  • 17.
    Boyd classification Type 5:-  Pseudarthrosis of tibia occurs with a dysplastic fibula.  Pseudarthrosis of both bone may develop.  Prognosis is good if the lesion is confined to fibula.  If the lesion progress to tibia then the natural h/o usually resembles type 2. Type 6 :-  Occurs as an intraosseous neurofibroma or schwannoma  Extremely rare.
  • 18.
    Crawford classification • Dividedbroadly divided into 2 types:- 1-Non-Dysplastic  Anterolateral bowing with increased density & sclerosis of medullary canal. 2-Dysplastic  2aAnterolateral bowing with failure of tubularization.  2bCystic changes.  2cFrank pseudarthrosis.
  • 19.
  • 20.
    Clinical features • Associatedwith anterolateral bowing of tibia. • Bowing usually occurs at the junction of middle & distal third. • Deformity may be associated with skin dimple, limb shortening, dysplasia of fibula & ankle valgus. • Usually unilateral.
  • 21.
    • If cutaneoussigns of neurofibromatosis are present the diagnosis is readily apparent.
  • 22.
    IMAGING Magnetic resonance imaging •extent of the disease • preoperative planning in that the borders for resection can be defined precisely. • The area of the pseudarthrosis is hyper intense on fat-suppressed and T2-weighted images and slightly hypo intense on T1-weighted images with contrast enhancement after administration of gadolinium. Computed tomography scan Confirm radiographic findings. Total bone scintigraphy Level of the pseudarthrosis .
  • 23.
    Problem • Except forthe resolving form, the natural history of tibial dysplasia is extremely unfavourable,and once fracture occurs there is little tendency for the lesion to heal spontaneously,particularly for fractures occuring before the walking age. • Regardless of the treatment method used,there is general pessimism regarding the quality and longevity of the union attained.
  • 24.
    AIMS 1. Achieve union 2.Prevent refracture 3. Correct limb length inequality 4. Correct associated growth abnormalities 5. Prevent ankle deformity and arthritis.
  • 25.
    1. Strategies toachieve union 1. Microvascular free fibular transfer. 2. the Ilizarov technique 3. Bone grafting with intramedullary nailing. • Excision of the pseudarthrosis should be an integral part of the procedure.
  • 26.
    2. Strategies forminimizing the risk of refracture • Splint the limb in an orthosis until skeletal maturity. • Retain an intramedullary nail until skeletal maturity.
  • 27.
    3. Strategies fordealing with shortening of the limb ● Minimize the extent of shortening by obtaining union of the pseudarthrosis as early as possible. ● Established shortening can be addressed by limb equalization procedures
  • 28.
    4. Strategies forminimizing valgus deformity of the ankle ● Ensure union of the fibular pseudarthrosis. ● Retaining an intramedullary rod that crosses the ankle joint can also prevent ankle deformity although the motion is lost.
  • 29.
    Prophylaxis • Once thediagnosis of a non resolving anterolateral bowing of the tibia has been made the first step is to prevent fracture if possible. • In an infant before walking age,no specific treatment is needed other than education of the caretakers.
  • 30.
    • Once thechild begins weight bearing prophylactic bracing should be attempted although there is no documentation that such a program can prevent a fracture. • A clam shell like orthosis that provides circumferntial support is usually recommended. • Protection of the unfractured tibia should be continued indefinitely till skeletal maturity or until patient approaches skeletal maturity.
  • 31.
    SURGICAL OPTIONS 1. Vascularizedfibular graft 2. External fixation 3. Intramedullary rod 4. BMP 5. Electrical stimulation
  • 32.
    Intra medullary fixation •The procedure of choice for the first attempt to gain union entails resection of pseudoarthrosis,shortening and fixation with an intramedullary rod and autogenous bone grafting. • The procedure can be performed at any age and rates of union of around 85% have been reported although solid long lasting union without deformity is another matter.
  • 33.
    Williams technique • Williamsconceived the novel technique of threaded male and female components of the rod that when joined,can be placed antegrade through the pseudoarthrosis site and out the bottom of the foot. • After retrograde insertion back in to the proximal intra medullary of the tibia the male end is unscrewed and removed from thebottom of the foot with the female threaded rod left intraosseously in the tibia or across the ankle in talus/calcaneus.
  • 35.
    • The undesirableeffect of ankle immobilisation by IM fixation is thought ot be necessary evil to adequately immobilise the small distal fragment. • As the tibia grows the foot and ankle may eventually grow off the distal end of the IM rod and thus allow ankle to regain motion
  • 36.
    • The possibilityof ankle valgus is also almost inevitable especially if there is a fibular pseudoarthrosis despite the acheivement of a solid union. • Limb length discrepancy is yet another untoward event with shortening at maturity averaging as much as 5 cm. • Weak and stiff ankle and subtalar joint secondary to cross ankle fixation producing a poorly functioning foot.
  • 37.
    • The needfor fibular surgery remains controversial. Researchers concluded that it is crucial to resect a fibular pseud- arthrosis or, if the fibula is intact, to perform a fibular osteotomy in order to achieve optimal limb alignment and union.
  • 38.
    1. Vascularized fibulargraft • The procedure entails harvesting a long segment of the opposite fibula along with its vascular pedicle. • This is transferred into the gap created after radical excision of the pseudarthrotic segment. • The vessels of the transferred fibula are anastomosed to the local vessels. The transferred fibula is fixed securely to the tibia.
  • 41.
    • Intra medullaryfixation of the donated fibula is contraindicated theoretically because of the possibility of disturbance of blood supply of the microvascular graft. • Because the transfer brings tissue with its own blood supply, free fibular vascularised transfer has been recommended as procedure of choice for gaps > 3cm after resection of pseudoarthrosis.
  • 42.
    • Success ratefor free fibula transfer is 92%- 95% if union alone is considered. • Refracture has been reported in a third of the patients probably a direct result of not being able to apply a permanent intra medullary fixation and thus ignoring a major principle in treatment.
  • 43.
    • Morbidity ofthe donor leg— • The distal end of fibula must be synostosed to the tibia(Langenskiold procedure) or the fibula of the donor site must be reconstructed with bone graft to prevent ankle valgus. • In addition weakness may ensue in the donor leg due to resection of origins of flexor muscles.
  • 44.
  • 45.
  • 47.
  • 51.
  • 52.
    Bone morphogenic protein •BMP2 is useful to speed up the union rates in CPT • BMP 7 seems to be ineffective in the absence of an actively differentiating osteoblastic cell line.
  • 53.
    Electrical stimulation • Electricalstimulation doesnot correct existing deformities and thus its appplication is probably limited to the earlier phases of pseudoarthrosis treatment when union is the primary goal.
  • 54.
    Amputation • The finalfunction in a patient who has undergone multiple operations but must still protect the leg in an orthosis may well be worse than if an earlier amputaion and prosthetic fitting had been performed.
  • 55.
  • 61.
    Complications 1. Refracture 2. Malalignmentof the tibia 3. Limb length discrepancy 4. Ankle valgus 5. Ankle stiffness
  • 62.
    1. Refracture. • 14%to 60%. • Anatomic alignment of the tibia and fibula minimize the risk of re-fracture. • Intramedullary rod and external bracing must be continued as effective protection against re-fractures.
  • 63.
    2. Malalignment ofthe tibia • Diaphyseal malalignment of the tibia (procurvatum or valgus deformity) are progressive and do not remodel
  • 64.
    3. Limb lengthdiscrepancy • Residual limb length discrepancy following successful union is a major problem. • Growth abnormalities of the tibia, fibula, and the ipsilateral femur abnormalities are also noted with CPT • which include inclination of the proximal tibial physis, posterior bowing of the proximal third of the tibial diaphysis, proximal migration of the lateral malleolus.
  • 65.
  • 66.
    4. Ankle valgus •Compromises functional outcome. • Progressive ankle valgus is a problematic postoperative donor-site morbidity of a vascularized fibular graft in children. • • Tibiofibular metaphyseal synostosis (the Langenskiöld procedure)
  • 67.
    5. Ankle stiffness •Progressively regresses once intramedullary rod is removed from ankle. • Pain secondary to degenerative changes of the ankle can be treated with limitation of activity and shoe modification. • Severe pain may require ankle arthrodesis
  • 68.
    Follow up. • tillskeletal maturity to identify and rectify residual problems.
  • 69.
    Take Home message. •Rare. • The natural history of the disease is extremely unfavorable and • Little or no tendency for the lesion to heal spontaneously. • challenging to treat effectively • Aims to obtain a long term bone union, to prevent limb length discrepancies, to avoid mechanical axis deviation, soft tissue lesions, nearby joint stiffness, and pathological fracture. • The key to get primary union is to excise hamartomatous tissue and pathological periosteum. • Age at surgery, status of fibula, associated shortening, and deformities of leg and ankle play significant role in primary union and residual challenges after primary healing. • Surgical options such as intramedullary nailing, vascularized fibula graft, and external fixator, have shown equivocal success rate in achieving primary union • Amputation must be reserved for failed reconstruction, severe limb length discrepancy and gross deformities of leg and ankle..
  • 70.

Editor's Notes

  • #4 5.7% of pt. with NF-1 develops CPT whereas 40% pt’s of CPT found to have NF-1.
  • #9 Because these signs are usually not noticed at birth that doesn’t mean that nf is not present
  • #11 Macroscopy :-  Aspect of the pseudarthrosis of the tibia. At the site of insufficient bone healing, white fibrous tissue substitutes the bone. A thickened cuff of periosteum and interruption of the bone compacta are noted. Microscopy :- Histologic section of the periosteum of the control case with some vessels and small nerves, H&E, 40×. (B) By contrast, the periosteum of CPT patients shows a lot of small blood vessels embedded in proliferating fibrous tissue, H&E, 40×. (C) In the area of pseudarthrosis, cellular proliferating fibrous tissue with immature bone is observed, H&E, 40×. (D) Proliferating fibrous tissue of the periosteum.
  • #12 The anterolateral bowing is due to the dominant muscular forces on the leg from the posterolateral compartment.
  • #13 Various classification system based on radiographic & morphology exist.
  • #20 Patient with type 1 CPT usually presents early in life , before 2 years of age & have a good prognosis with treatment. Type 2 presents usually in older childern after experiencing the failed surgical t/t, refracture or an osteotomy to correct a bowed tibia. Type 2 have a relative poor prognosis. Type 3 cases are usually of late onset type which develops as a stress fracture of congenital dysplastic tibia or in a healed tibia after previous bone grafting & has the best prognosis. The siginificant feature of type 2 is there is presem=nce of dead bone coz of the previous sx.
  • #21 Anterolateral bowing is due to strong muscular forces frin posteromedial compartment
  • #35 Study said 18 of 21 patients achieved union with ankle valgus shortening etc
  • #42 Now since current concept is aggresssive resection almost all cases gap is >3 cm
  • #67 To prevent this complication, tibiofibular metaphyseal synostosis (the Langenskiöld procedure) has been recommended.
  • #70 Rare. The natural history of the disease is extremely unfavorable and once a fracture occurs, there is a little or no tendency for the lesion to heal spontaneously. challenging to treat effectively aims to obtain a long term bone union, to prevent limb length discrepancies, to avoid mechanical axis deviation, soft tissue lesions, nearby joint stiffness, and pathological fracture. The key to get primary union is to excise hamartomatous tissue and pathological periosteum. Age at surgery, status of fibula, associated shortening, and deformities of leg and ankle play significant role in primary union and residual challenges after primary healing. Surgical options such as intramedullary nailing, vascularized fibula graft, and external fixator, have shown equivocal success rate in achieving primary union although they are often associated with acceptable results. Amputation must be reserved for failed reconstruction, severe limb length discrepancy and gross deformities of leg and ankle..