GENERAL CONSIDERATION OF BRAIN
TUMOUR
WELCOME
BRAIN TUMOUR
• Cerebral tumours are predominantly tumours of adult
life at age between 55-65.
• They are relatively uncommon in infants and children.
• Primary neoplasms of the central nervous system (CNS)
represent nearly 10% of all tumour.
Age Incidence
Primary Tumour
Primary intracranial tumour can occur at any age, it is
helpful in diagnosis to know that certain tumor occur in
certain age groups.
BRAIN TUMOUR, Contd.
Secondary Tumour
These affect mainly the middle aged and elderly, with the
exception of secondary neuroblastoma which occurs
mainly in children.
CLASSIFICATION
• Brain tumour may be classified in different ways one
of them may be:
Primary neoplasm that derived from normal cellular
constituents
Primary neoplasm that arise from embryologically
misplaced tissue
Secondary neoplasm from extracranial primary sites
that metastasize to the CNS.
Non neoplastic condition that can mimic tumour.
Contd ..
5
CLASSIFICATION OF INTRA CRANIAL TUMOURS:
Primary vs Secondary
Intraxial versus extra axial
Various Regional Classification
There are several ways of classifying brain tumours:
Supratentorial
Infratentorial
Intraventricular
Pineal region
Sellar region tumours Contd ..
1. Astrcytoma tumors(33.5%)
2. PNET(21%)
- Medulloblastoma, Ependymoblastoma, Pineoblastoma
3. Mixed Gliomas(16%)
4. Malformative tumors(11.5%)
- Craniopharyngioma, Lipoma, Dermoid cyst, Epidermal cyst
5. Choroid plexus tumors(4%)
6. Ependymal tumors(4%)
7. Tumors of meningeal tissue(3.5%)
- Meningioma(3%),Meningiosarcoma
HISTOLOGIC CLASSIFICATION OF INTRA CRANIAL TUMOURS:
8. Germ cell tumors(2.5%)
- Germinoma, Teratomatous tumors
9. Neuronal tumors
- Gangliocytoma(1.5%)
10. Tumor of neuroendocrine origin
- Pituitary adenoma(1%)
11. Oligodendraoglial tumors(0.5%)
12. Tumors of blood vessels
- Hemangioma(1%)
HISTOLOGIC CLASSIFICATION OF INTRA CRANIAL TUMOURS:
Dr Shamim Rima 8
CLASSIFICATION – ACCORDING AGE GROUP
YEARS CLASSIFICATION
0-5 Brain Stem Glioma, Optic Nerve Glioma
5-15
Medulloblastoma, Cerebellar Astrocytoma, Craniopharyngma,
Choroid Plexus Papiloma , Pinealoma.
15-30 Ependymoma
30-60 Glioma, Meningioma, Acoustic neuroma, Pituitary Tumour,
Hemangioblastoma
60+ Meningeoma, Acoustic Neuroma, Glioblastoma
9
CLASSIFICATION ACCORDING TO FREQUENCY
FREQUENCY CLASSIFICATION
Adult
Glioma, Metastasis, Meningioma, Pituitary
Tumour, Hemangeoblastoma, Lymphoma
Child
Astrocytoma, Medulloblastoma,
Ependymoma, Craniopharyngioma
Incidence of CNS Tumors
• Roughly one-third of CNS tumors are metastatic lesions, one third are
gliomas and one-third is of non-glial origin.
• Glioma is a non-specific term indicating that the tumor originates from glial
cells like astrocyte, oligodendrocyte, ependyma and choroid plexus cells.
• Astrocytoma is the most common glioma and can be subdivided into the
low-grade pilocytic type, the intermediate anaplastic type and the high
grade malignant glioblastoma multiforme (GBM).
• GBM is the most common type (50% of all astrocytomas).
• The non-glial cell tumors are a large heterogeneous group of tumors of
which meningioma is the most common.
• Although cancer is rare in children, brain tumors
are the most common type of childhood cancer
after leukemia and lymphoma.
• Most of the tumors in children are located
infratentorially.
12
FREQUENCY OF CEREBRAL TUMOURS
Tumour Frequency
Gliomas 31.4
Metastases 20.3
Meningiomas 15.4
Angiomas 5.9
Pituitary
Adenomas
4.4
Acoustic
Tumours
1.5
Congenital
Tumours
2.0
Miscellaneous 12.3
Tumor spread
Intra- versus Extra-axial
• When we study an intracranial mass, the first thing we want to
know is whether the mass lies in- or outside of the brain.
• If it is outside the brain or extra-axial, then the lesion is not
actually a brain tumor, but derived from the lining of the brain or
surrounding structures.
• Eighty percent of these extra-axial lesions will be either a
meningioma or a Schwannoma.
• On the other hand, in an adult an intra-axial tumor will be a
metastasis or astrocytoma in 75% of cases.
DIAGNOSTIC IMAGING
The goals of diagnostic imaging in the Pt. with suspected intracranial
- Detection of the presence of neoplasm
- Localization of the extent of the tumour
Plain radiography
tumour include:
CT
Modalities For Diagnosis :
MRI
- Characterization of the nature of the process
DIAGNOSTIC IMAGING:
Functional Imaging techniques
SPECT
PET
Vascular Imaging
Conventional intra arterial angiography
CT angiography
MR angiography
Doppler ultrasound
• T2 WI – CSF CLEFT SIGN & Displaced
Subarachnoid Vessels
on Sagittal T1W brain MRI. Typical radiological CLEFT
signs of extra-axial lesion of parasagittal meningioma. CSF
Cleft sign.
CSF Cleft Sign
Figure 1. (A) Noncontrast sagittal, (B) contrast-enhanced T1-
weighted sagittal, and (C) axial magnetic resonance images
shows an extraaxial lesion in the right cerebellopontine angle.
The dural enhancement or "dural tail" sign suggested the
diagnosis of meningioma.
Dural Tail" sign
Meningioma with a broad dural base and a dural tail of enhancement.
There is hyperostosis in the adjacent bone and the lesion enhances homogeneously.
Extra-axial tumors are not derived from brain tissue and do not
have a blood-brain-barrier, so most of them enhance
homogeneously.
Intra vs Extra-axial
• The differentiation between intra-axial versus
extra-axial is usually straight forward, but
sometimes it can be very difficult and imaging
in multiple planes may be necessary.
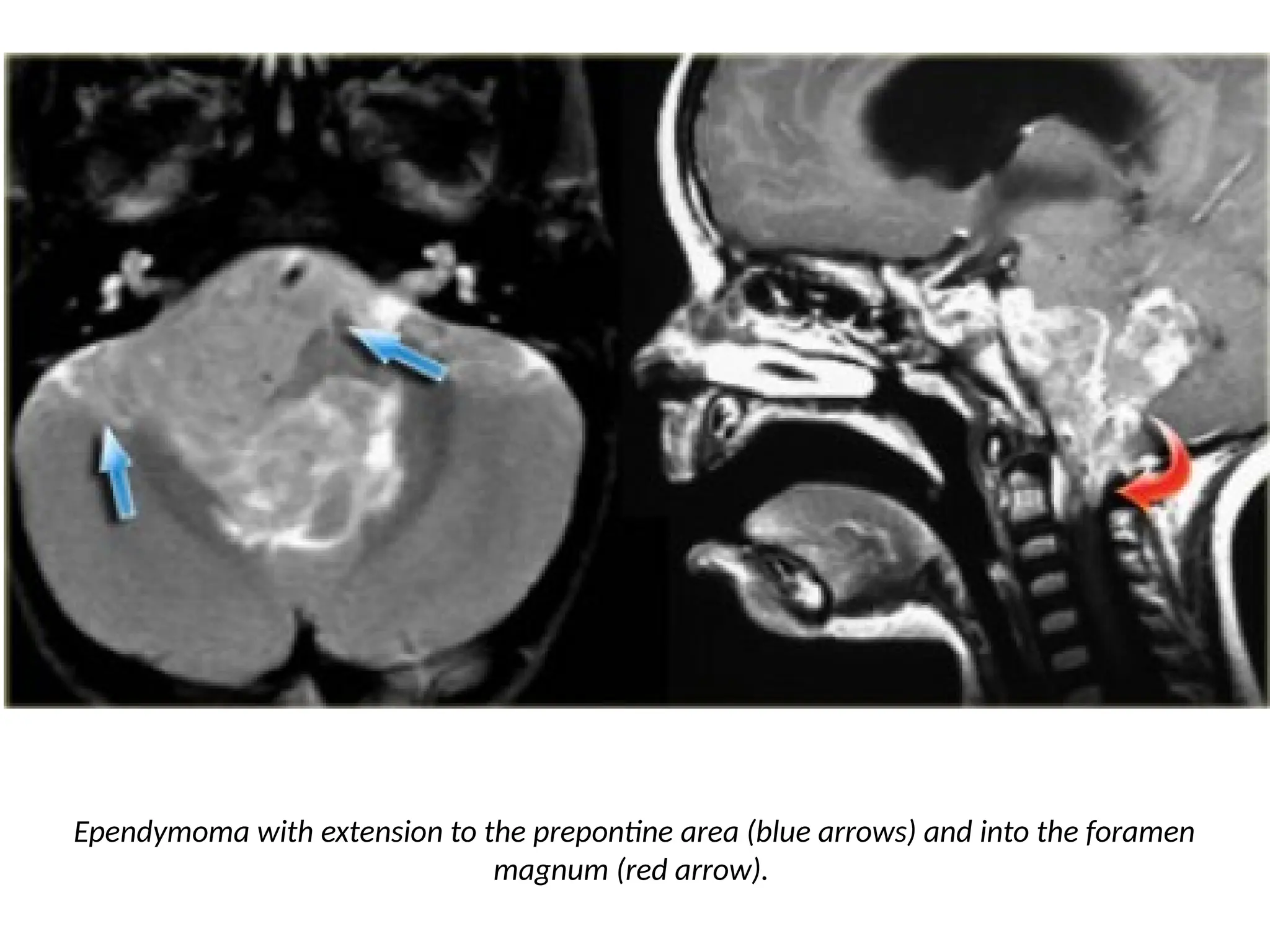
Local tumor spread
• Astrocytomas spread along the white matter tracts and do
not respect the boundaries of the lobes.
• Because of this infiltrative growth, in many cases the tumor is
actually larger than can be depicted with MR.
• Ependymomas of the fourth ventricle in children tend to
extend through the foramen of Magendie to the cisterna
magna and through the lateral foramina of Luschka to the
cerebellopontine angle.
Ependymoma with extension to the prepontine area (blue arrows) and into the foramen
magnum (red arrow).
Local tumor spread
• Another important consideration is the effect on the
surrounding structures.
• Primary brain tumors are derived from brain cells and
often have less mass effect for their size than we
would expect, due to their infiltrative growth.
• This is not the case with metastases and extra-axial
tumors like meningiomas or schwannomas, which
have more mass effect due to their expansive growth.
• On the left is an image of a diffusely infiltrating intra-axial tumor occupying
most of the right hemisphere with only a minimal mass effect.
• This is typical for the infiltrative growth seen in primary brain tumors.
• There is no enhancement so this would probably be a low-grade astrocytoma.
Low grade astrocytoma
The CT shows a mass with calcifications,
which extends all the way to the cortex.
Although this is a large tumor there is only
limited mass effect on surrounding
structures, which indicates that this is an
infiltrating tumor.
The most likely diagnosis is
oligodendroglioma.
The differential diagnosis includes a
malignant astrocytoma or a glioblastoma.
Midline crossing
• The ability of tumors to cross the midline limits the differential diagnosis.
• Glioblastoma multiforme (GBM) frequently crosses the midline by
infiltrating the white matter tracts of the corpus callosum.
• Radiation necrosis can look like recurrent GBM and can sometimes cross the
midline.
• Meningioma is an extra-axial tumor and can spread along the meninges to
the contralateral side.
• Lymphoma is usually located near the midline.
• Epidermoid cysts can cross the midline via the subarachnoid space.
Tumors that cross
the midline
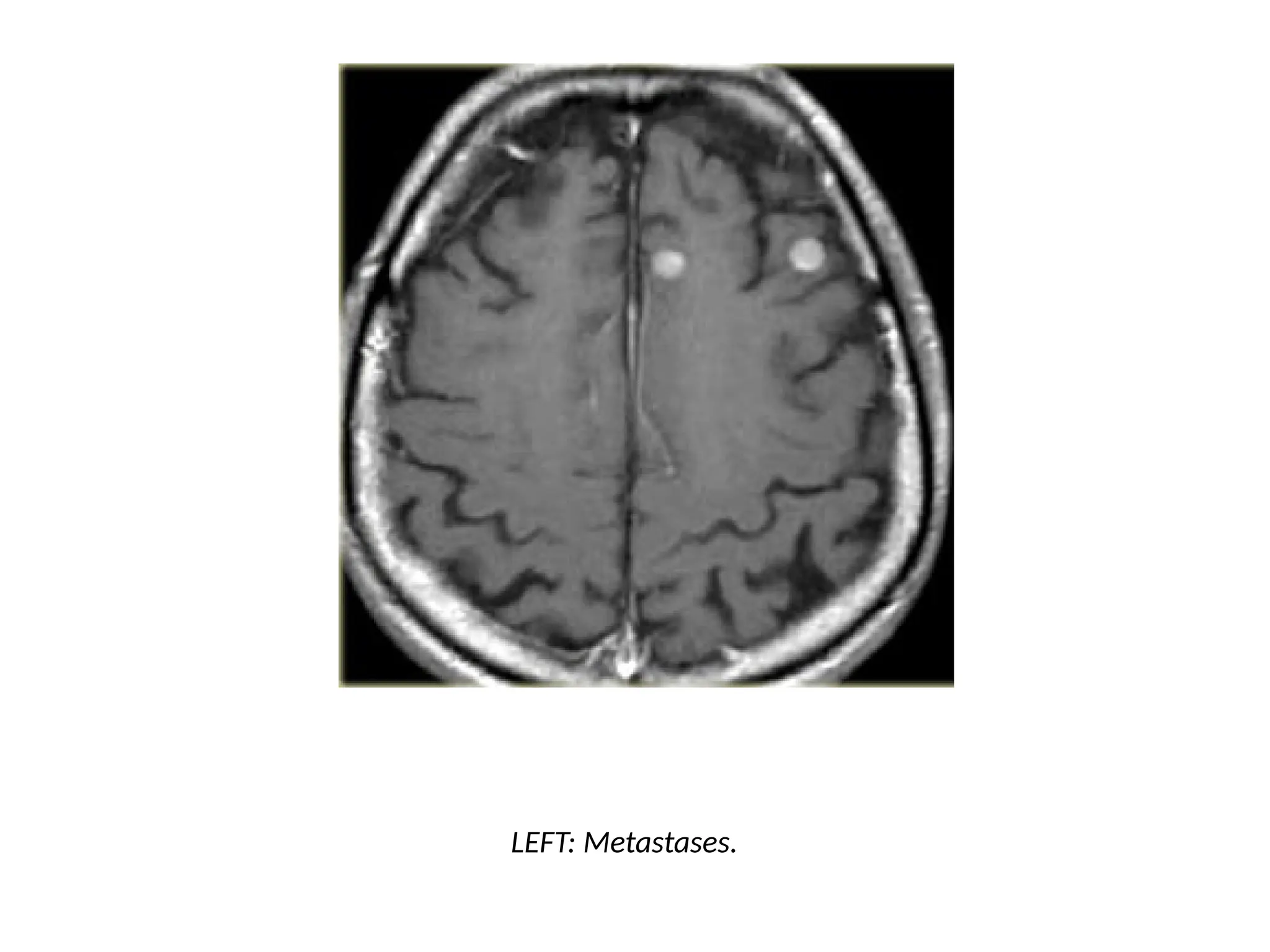
Multifocal disease
• Multiple tumors in the brain usually indicate metastatic disease.
• Primary brain tumors are typically seen in a single region, but
some brain tumors like lymphomas, multicentric glioblastomas
and gliomatosis cerebri can be multifocal.
• Some tumors can be multifocal as a result of seeding metastases:
this can occur in medulloblastomas (PNET-MB), ependymoma,
GBM and oligodendrogliomas.
• Meningiomas and Schwannomas can be multiple, especially in
neurofibromatosis type II.
LEFT: Metastases.
Multiple meningiomas. A: Sagittal T1-weighted magnetic resonance image (MRI)
demonstrates posterior fossa and parietal meningiomas. B: Gadolinium
enhancement on sagittal T1-weighted MRI shows intense enhancing of the masses.
Cortical based tumors
• Most intra-axial tumors are located in the white
matter.
• Some tumors, however, spread to or are located in
the gray matter.
• The differential diagnosis for these cortical based
tumors includes :
– oligodendroglioma
– ganglioglioma and
– Dysembryoplastic Neuroepithial Tumor (DNET).
• A DNET is a rare benign neoplasm, usually in a cortical and temporal
location.
CT and MR Characteristics
Fat - Calcification - Cyst
• Fat has a low density on CT (- 100HU).
• On MR, fat has a high signal intensity on both T1- and T2WI.
• On sequences with fat suppression fat can be differentiated from high
signal caused by Subacute hematoma, melanin, slow flow etc.
• Fat within a tumor is seen in
– Lipoma,
– Dermoid cysts and
– Teratoma
• Some tumors can have a high density on CT.
• This is typically seen in lymphoma, colloid cyst
and PNET-MB (medulloblastoma).
Lipoma in supraseller region A& B . T1W C. FAT SAT D.
T1+ C
Calcification
• Calcification is seen in many CNS tumors.
• If we see a calcified intra-axial tumor.We think it
oligodendroglioma. These tumors nearly always have
calcifications.
• However an intraaxial calcified tumor in the brain is more
likely to be an astrocytoma than a oligodendrogliomas, since
astrocytomas, although less frequently calcified, are far more
common.
• A pineocytoma itself does not calcify, but instead it
'explodes' the calcifications of the pineal gland.
CT scan of a low-grade oligodendroglioma. This image reveals a well-
demarcated, left frontal hypoattenuating lesion with a small calcification.
THANK YOU
GENERAL CONSIDERATION OF BRAIN
TUMOUR
WELCOME
Cystic versus Solid
• There are many cystic lesions that can simulate a CNS tumor.
• These include
– epidermoid
– dermoid,
– arachnoid
– neuroenteric and neuroglial cysts.
• In order to determine whether a lesion is a cyst or cystic mass we should look for the
following characteristics:
– Morphology
– Fluid/fluid level
– Intensity related to CSF on T1, T2 and FLAIR.
– DWI: restricted diffusion
T1W shows a
rounded
homogenous
hypointense
lesion of CSF
intensity is seen
in Ambien
cistern.
Arachnoid Cyst
T2W shows it
as hyperintense
lesion of CSF
intensity .
In FLAIR the
lesion is
hypointense of
CSF intensity.
Postcontrast T1-weighted ((a): coronal,
(b): sagittal, and (c): axial slices). MRI
images shows ypointense lesion with
RIM enhancement in midbrain. Cystic
metastasis.
In T2 W shows a rounded well demarcated hyperintense lesion of third ventricle & with
ventricular dilatation. In T1W image it hyperintense- Colloid Cyst.
Cerebral Pilocytic Astrocytoma with Spontaneous Hge
A. NCCT shows a hypodense mass in rt tem-parital region with solid mural nodule
demonestrating hge in lat portion of the nodule with significant mass effect.
B. CECT shows minimal peripheral enhancement of cystic component and heterogenous
enhence of nodule.- Cerebral Pilocytic Astrocytoma with spon Hge
High on T1
• Most tumors have a low or intermediate signal intensity on T1WI.
• Exceptions to this rule can indicate a specific type of tumor.
• Calcifications are mostly dark on T1WI, but depending on the
matrix of the calcifications they can sometimes be bright on T1.
• Especially on gradient echo images slow flow can be seen as bright
signal on T1WI and should not be confused with enhancement.
• If we only do an enhanced scan, we should remember that high
signal is not always enhancement.
Image of a patient with a
metastasis of a melanoma.
The high signal intensity is
due to the melanin
content.
Some images of tumors with high signal intensities on T1WI –
A. Image of a patient who
presented with apoplexy.
The high signal is due to
hemorrhage in a pituitary
macroadenoma.
B. Image is glioblastoma
multiforme, which caused a
hemorrhage in the splenium
of the corpus callosum.
NCCT, axial image of brain showing hyperdense pituitary adenoma (more
dense than typical pituitary adenoma on CT),suggesting fresh hemorrhage
Low on T2
• Most tumors will be bright on T2WI due to a high water content.
• When tumors have a low water content they are very dense and hypercellular and
the cells have a high nuclear- cytoplasmasmic ratio. These will be dark on T2WI.
• Flow voids are also dark on T2 and indicate the presence of vessels or flow within a
lesion.
• This is seen in tumors that contain a lot of vessels like hemangioblastomas, but also
in non-tumorous lesions like vascular malformations.
Melanoma metastases have a low SI on T2WI as a result of the melanin.
GBM can have a low SI on T2WI because sometimes they have a high nuclear-cytoplasmic ratio.
PNET typically has a high nuclear-cytoplasmic ratio.
Tumors with a low signal intensity on T2WI.
Meningiomas are mostly of intermediate signal.
They can have a high SI on T2WI if they contain a lot of water.
They can have a low SI on T2WI if they are very dense and hypercellular or when
they contain calcifications.
Diffusion weighted imaging
• Normally water protons have the ability to diffuse extracellularly and loose
signal.
• High intensity on DWI indicates restriction of the ability of water protons to
diffuse extracellularly.
• It is seen in abscesses, epidermoid cysts and acute infarction (due to
cytotoxic edema).
• In most tumors there is no restricted diffusion.
• Results - low signal on DWI.
Brain abscess. Axial T2-weighted MRI in a patient with a lt parittal
abscess. T+gad Ring Enhancemen. DWI - Axial diffusion weighted
shows diffusion restriction.
GENERAL CONSIDERATION OF BRAIN
TUMOUR
WELCOME
Enhancement
• Blood brain barrier
The brain has a unique BBB with tight endothelial junctions. Contrast will not leak into the
brain unless this barrier is damaged.
• Enhancement is seen when a CNS tumor destroys the BBB.
• Extra-axial tumors such as meningiomas and schwannomas do not have BBB. Therefore they
will enhance.
• Some non-tumoral lesions enhance because they can also break down the BBB and may
simulate a brain tumor. These lesions include like infections, Dysmyelinating diseases (MS)
and infarctions.
• In gliomas - like astrocytomas, oligodendrogliomas and
glioblastoma multiforme - enhancement usually indicates a higher
degree of malignancy.
• Therefore when during the follow up of a low-grade glioma the
tumor starts to enhance, it is a sign of malignant transformation.
• Gangliogliomas and pilocytic astrocytomas are the exceptions to
this rule: they are low-grade tumors, but they enhance vividly.
Homogeneous enhancement can be seen in:
• Metastases
• Lymphoma
• Germinoma and other pineal gland tumors
• Pituitary Adenoma
• Pilocytic astrocytoma
• Hemangioblastoma
• Ganglioglioma
• Meningioma and Schwannoma
T1W shows a well defined iso to hypo intense area is seen in rt occipital
region.On T1+ C it is homogenously enhanc though it is a low grade
Ganglioglioma
Large Falx Meningioma is an easy find on contrast enhanced CT. However
note how isodense is the tumor on the non contrast enhanced CT.
NCCT axial image of brain shows slightly
hyperdense area is seen in lt frontal
lobe.
The leson is homogeneously enhance
after iv contrast. Meningioma
Patchy enhancement can be seen in:
• Anaplastic astrocytoma
• Metastases
• Oligodendroglioma
• Glioblastoma multiforme
• Radiation necrosis
An ill defined right insular focal parenchymal swelling, hyper intense on FLAIR & T2.
In T1 lesion is hypointense which shows patchy enhancement on post contrast T1.
Mass mildly compressed right lateral ventricle. Anaplastic astrocytoma
Post-contrast Mid-sagittal view brain showing relatively mild, patchy
contrast enhancement of the pituitary adenoma.
No enhancement is seen in:
• Low grade astrocytomas
• Cystic non-tumoral lesions:
– Dermoid cyst
– Epidermoid cyst
– Arachnoid cyst
T1 sagittal MRI image of brain shows a large CSF intensity mass lesion. It follows
CSF intensity on all sequences, including FLAIR. There is significant mass effect on
the adjacent cerebellar tissue and remodeling and expansion of the adjacent skull is
evident.
Enhancing sub acute hge ADEM Radionecrosis
THANK YOU
Figure 2: Preoperative sagittal and coronal T1 MRI of the brain (a and b) shows a
large T1 hyperintense multilobulated lesion extending along the floor of the left
anterior and middle cranial fossa, with areas of T1 hypointense signal around the
component in the left anterior cranial fossa. Locules of T1 hyperintense material
are present throughout the subarachnoid spaces along the sylvian fissures
bilaterally, extending into the frontal sulci, parasagittal frontal lobes, tectum, and
into the posterior fossa. Fat-fluid levels are present within the ventricular system,
with evidence of obstructive hydrocephalus
A heterogeneously enhancing neoplastic soft tissue density lesion centered to right
thalamus. Third ventricle compressed with mild trapping of lateral ventricles. Less
enhance-low grade astro…..
THANK YOU

Brain Tumour radiological Basic.presentation

  • 1.
    GENERAL CONSIDERATION OFBRAIN TUMOUR WELCOME
  • 2.
    BRAIN TUMOUR • Cerebraltumours are predominantly tumours of adult life at age between 55-65. • They are relatively uncommon in infants and children. • Primary neoplasms of the central nervous system (CNS) represent nearly 10% of all tumour. Age Incidence
  • 3.
    Primary Tumour Primary intracranialtumour can occur at any age, it is helpful in diagnosis to know that certain tumor occur in certain age groups. BRAIN TUMOUR, Contd. Secondary Tumour These affect mainly the middle aged and elderly, with the exception of secondary neuroblastoma which occurs mainly in children.
  • 4.
    CLASSIFICATION • Brain tumourmay be classified in different ways one of them may be: Primary neoplasm that derived from normal cellular constituents Primary neoplasm that arise from embryologically misplaced tissue Secondary neoplasm from extracranial primary sites that metastasize to the CNS. Non neoplastic condition that can mimic tumour. Contd ..
  • 5.
    5 CLASSIFICATION OF INTRACRANIAL TUMOURS: Primary vs Secondary Intraxial versus extra axial Various Regional Classification There are several ways of classifying brain tumours: Supratentorial Infratentorial Intraventricular Pineal region Sellar region tumours Contd ..
  • 6.
    1. Astrcytoma tumors(33.5%) 2.PNET(21%) - Medulloblastoma, Ependymoblastoma, Pineoblastoma 3. Mixed Gliomas(16%) 4. Malformative tumors(11.5%) - Craniopharyngioma, Lipoma, Dermoid cyst, Epidermal cyst 5. Choroid plexus tumors(4%) 6. Ependymal tumors(4%) 7. Tumors of meningeal tissue(3.5%) - Meningioma(3%),Meningiosarcoma HISTOLOGIC CLASSIFICATION OF INTRA CRANIAL TUMOURS:
  • 7.
    8. Germ celltumors(2.5%) - Germinoma, Teratomatous tumors 9. Neuronal tumors - Gangliocytoma(1.5%) 10. Tumor of neuroendocrine origin - Pituitary adenoma(1%) 11. Oligodendraoglial tumors(0.5%) 12. Tumors of blood vessels - Hemangioma(1%) HISTOLOGIC CLASSIFICATION OF INTRA CRANIAL TUMOURS:
  • 8.
    Dr Shamim Rima8 CLASSIFICATION – ACCORDING AGE GROUP YEARS CLASSIFICATION 0-5 Brain Stem Glioma, Optic Nerve Glioma 5-15 Medulloblastoma, Cerebellar Astrocytoma, Craniopharyngma, Choroid Plexus Papiloma , Pinealoma. 15-30 Ependymoma 30-60 Glioma, Meningioma, Acoustic neuroma, Pituitary Tumour, Hemangioblastoma 60+ Meningeoma, Acoustic Neuroma, Glioblastoma
  • 9.
    9 CLASSIFICATION ACCORDING TOFREQUENCY FREQUENCY CLASSIFICATION Adult Glioma, Metastasis, Meningioma, Pituitary Tumour, Hemangeoblastoma, Lymphoma Child Astrocytoma, Medulloblastoma, Ependymoma, Craniopharyngioma
  • 10.
    Incidence of CNSTumors • Roughly one-third of CNS tumors are metastatic lesions, one third are gliomas and one-third is of non-glial origin. • Glioma is a non-specific term indicating that the tumor originates from glial cells like astrocyte, oligodendrocyte, ependyma and choroid plexus cells. • Astrocytoma is the most common glioma and can be subdivided into the low-grade pilocytic type, the intermediate anaplastic type and the high grade malignant glioblastoma multiforme (GBM). • GBM is the most common type (50% of all astrocytomas). • The non-glial cell tumors are a large heterogeneous group of tumors of which meningioma is the most common.
  • 11.
    • Although canceris rare in children, brain tumors are the most common type of childhood cancer after leukemia and lymphoma. • Most of the tumors in children are located infratentorially.
  • 12.
    12 FREQUENCY OF CEREBRALTUMOURS Tumour Frequency Gliomas 31.4 Metastases 20.3 Meningiomas 15.4 Angiomas 5.9 Pituitary Adenomas 4.4 Acoustic Tumours 1.5 Congenital Tumours 2.0 Miscellaneous 12.3
  • 15.
    Tumor spread Intra- versusExtra-axial • When we study an intracranial mass, the first thing we want to know is whether the mass lies in- or outside of the brain. • If it is outside the brain or extra-axial, then the lesion is not actually a brain tumor, but derived from the lining of the brain or surrounding structures. • Eighty percent of these extra-axial lesions will be either a meningioma or a Schwannoma. • On the other hand, in an adult an intra-axial tumor will be a metastasis or astrocytoma in 75% of cases.
  • 16.
    DIAGNOSTIC IMAGING The goalsof diagnostic imaging in the Pt. with suspected intracranial - Detection of the presence of neoplasm - Localization of the extent of the tumour Plain radiography tumour include: CT Modalities For Diagnosis : MRI - Characterization of the nature of the process
  • 17.
    DIAGNOSTIC IMAGING: Functional Imagingtechniques SPECT PET Vascular Imaging Conventional intra arterial angiography CT angiography MR angiography Doppler ultrasound
  • 19.
    • T2 WI– CSF CLEFT SIGN & Displaced Subarachnoid Vessels on Sagittal T1W brain MRI. Typical radiological CLEFT signs of extra-axial lesion of parasagittal meningioma. CSF Cleft sign. CSF Cleft Sign
  • 20.
    Figure 1. (A)Noncontrast sagittal, (B) contrast-enhanced T1- weighted sagittal, and (C) axial magnetic resonance images shows an extraaxial lesion in the right cerebellopontine angle. The dural enhancement or "dural tail" sign suggested the diagnosis of meningioma. Dural Tail" sign
  • 21.
    Meningioma with abroad dural base and a dural tail of enhancement. There is hyperostosis in the adjacent bone and the lesion enhances homogeneously. Extra-axial tumors are not derived from brain tissue and do not have a blood-brain-barrier, so most of them enhance homogeneously.
  • 22.
    Intra vs Extra-axial •The differentiation between intra-axial versus extra-axial is usually straight forward, but sometimes it can be very difficult and imaging in multiple planes may be necessary.
  • 23.
    Local tumor spread •Astrocytomas spread along the white matter tracts and do not respect the boundaries of the lobes. • Because of this infiltrative growth, in many cases the tumor is actually larger than can be depicted with MR. • Ependymomas of the fourth ventricle in children tend to extend through the foramen of Magendie to the cisterna magna and through the lateral foramina of Luschka to the cerebellopontine angle.
  • 24.
    Ependymoma with extensionto the prepontine area (blue arrows) and into the foramen magnum (red arrow).
  • 25.
    Local tumor spread •Another important consideration is the effect on the surrounding structures. • Primary brain tumors are derived from brain cells and often have less mass effect for their size than we would expect, due to their infiltrative growth. • This is not the case with metastases and extra-axial tumors like meningiomas or schwannomas, which have more mass effect due to their expansive growth.
  • 26.
    • On theleft is an image of a diffusely infiltrating intra-axial tumor occupying most of the right hemisphere with only a minimal mass effect. • This is typical for the infiltrative growth seen in primary brain tumors. • There is no enhancement so this would probably be a low-grade astrocytoma. Low grade astrocytoma
  • 27.
    The CT showsa mass with calcifications, which extends all the way to the cortex. Although this is a large tumor there is only limited mass effect on surrounding structures, which indicates that this is an infiltrating tumor. The most likely diagnosis is oligodendroglioma. The differential diagnosis includes a malignant astrocytoma or a glioblastoma.
  • 28.
    Midline crossing • Theability of tumors to cross the midline limits the differential diagnosis. • Glioblastoma multiforme (GBM) frequently crosses the midline by infiltrating the white matter tracts of the corpus callosum. • Radiation necrosis can look like recurrent GBM and can sometimes cross the midline. • Meningioma is an extra-axial tumor and can spread along the meninges to the contralateral side. • Lymphoma is usually located near the midline. • Epidermoid cysts can cross the midline via the subarachnoid space.
  • 29.
  • 30.
    Multifocal disease • Multipletumors in the brain usually indicate metastatic disease. • Primary brain tumors are typically seen in a single region, but some brain tumors like lymphomas, multicentric glioblastomas and gliomatosis cerebri can be multifocal. • Some tumors can be multifocal as a result of seeding metastases: this can occur in medulloblastomas (PNET-MB), ependymoma, GBM and oligodendrogliomas. • Meningiomas and Schwannomas can be multiple, especially in neurofibromatosis type II.
  • 31.
  • 32.
    Multiple meningiomas. A:Sagittal T1-weighted magnetic resonance image (MRI) demonstrates posterior fossa and parietal meningiomas. B: Gadolinium enhancement on sagittal T1-weighted MRI shows intense enhancing of the masses.
  • 33.
    Cortical based tumors •Most intra-axial tumors are located in the white matter. • Some tumors, however, spread to or are located in the gray matter. • The differential diagnosis for these cortical based tumors includes : – oligodendroglioma – ganglioglioma and – Dysembryoplastic Neuroepithial Tumor (DNET). • A DNET is a rare benign neoplasm, usually in a cortical and temporal location.
  • 34.
    CT and MRCharacteristics Fat - Calcification - Cyst • Fat has a low density on CT (- 100HU). • On MR, fat has a high signal intensity on both T1- and T2WI. • On sequences with fat suppression fat can be differentiated from high signal caused by Subacute hematoma, melanin, slow flow etc.
  • 35.
    • Fat withina tumor is seen in – Lipoma, – Dermoid cysts and – Teratoma • Some tumors can have a high density on CT. • This is typically seen in lymphoma, colloid cyst and PNET-MB (medulloblastoma).
  • 36.
    Lipoma in suprasellerregion A& B . T1W C. FAT SAT D. T1+ C
  • 37.
    Calcification • Calcification isseen in many CNS tumors. • If we see a calcified intra-axial tumor.We think it oligodendroglioma. These tumors nearly always have calcifications. • However an intraaxial calcified tumor in the brain is more likely to be an astrocytoma than a oligodendrogliomas, since astrocytomas, although less frequently calcified, are far more common. • A pineocytoma itself does not calcify, but instead it 'explodes' the calcifications of the pineal gland.
  • 39.
    CT scan ofa low-grade oligodendroglioma. This image reveals a well- demarcated, left frontal hypoattenuating lesion with a small calcification.
  • 40.
  • 41.
    GENERAL CONSIDERATION OFBRAIN TUMOUR WELCOME
  • 42.
    Cystic versus Solid •There are many cystic lesions that can simulate a CNS tumor. • These include – epidermoid – dermoid, – arachnoid – neuroenteric and neuroglial cysts. • In order to determine whether a lesion is a cyst or cystic mass we should look for the following characteristics: – Morphology – Fluid/fluid level – Intensity related to CSF on T1, T2 and FLAIR. – DWI: restricted diffusion
  • 43.
    T1W shows a rounded homogenous hypointense lesionof CSF intensity is seen in Ambien cistern. Arachnoid Cyst T2W shows it as hyperintense lesion of CSF intensity . In FLAIR the lesion is hypointense of CSF intensity.
  • 44.
    Postcontrast T1-weighted ((a):coronal, (b): sagittal, and (c): axial slices). MRI images shows ypointense lesion with RIM enhancement in midbrain. Cystic metastasis.
  • 45.
    In T2 Wshows a rounded well demarcated hyperintense lesion of third ventricle & with ventricular dilatation. In T1W image it hyperintense- Colloid Cyst.
  • 46.
    Cerebral Pilocytic Astrocytomawith Spontaneous Hge A. NCCT shows a hypodense mass in rt tem-parital region with solid mural nodule demonestrating hge in lat portion of the nodule with significant mass effect. B. CECT shows minimal peripheral enhancement of cystic component and heterogenous enhence of nodule.- Cerebral Pilocytic Astrocytoma with spon Hge
  • 47.
    High on T1 •Most tumors have a low or intermediate signal intensity on T1WI. • Exceptions to this rule can indicate a specific type of tumor. • Calcifications are mostly dark on T1WI, but depending on the matrix of the calcifications they can sometimes be bright on T1. • Especially on gradient echo images slow flow can be seen as bright signal on T1WI and should not be confused with enhancement. • If we only do an enhanced scan, we should remember that high signal is not always enhancement.
  • 49.
    Image of apatient with a metastasis of a melanoma. The high signal intensity is due to the melanin content. Some images of tumors with high signal intensities on T1WI – A. Image of a patient who presented with apoplexy. The high signal is due to hemorrhage in a pituitary macroadenoma. B. Image is glioblastoma multiforme, which caused a hemorrhage in the splenium of the corpus callosum.
  • 50.
    NCCT, axial imageof brain showing hyperdense pituitary adenoma (more dense than typical pituitary adenoma on CT),suggesting fresh hemorrhage
  • 51.
    Low on T2 •Most tumors will be bright on T2WI due to a high water content. • When tumors have a low water content they are very dense and hypercellular and the cells have a high nuclear- cytoplasmasmic ratio. These will be dark on T2WI. • Flow voids are also dark on T2 and indicate the presence of vessels or flow within a lesion. • This is seen in tumors that contain a lot of vessels like hemangioblastomas, but also in non-tumorous lesions like vascular malformations.
  • 53.
    Melanoma metastases havea low SI on T2WI as a result of the melanin. GBM can have a low SI on T2WI because sometimes they have a high nuclear-cytoplasmic ratio. PNET typically has a high nuclear-cytoplasmic ratio. Tumors with a low signal intensity on T2WI.
  • 54.
    Meningiomas are mostlyof intermediate signal. They can have a high SI on T2WI if they contain a lot of water. They can have a low SI on T2WI if they are very dense and hypercellular or when they contain calcifications.
  • 55.
    Diffusion weighted imaging •Normally water protons have the ability to diffuse extracellularly and loose signal. • High intensity on DWI indicates restriction of the ability of water protons to diffuse extracellularly. • It is seen in abscesses, epidermoid cysts and acute infarction (due to cytotoxic edema). • In most tumors there is no restricted diffusion. • Results - low signal on DWI.
  • 56.
    Brain abscess. AxialT2-weighted MRI in a patient with a lt parittal abscess. T+gad Ring Enhancemen. DWI - Axial diffusion weighted shows diffusion restriction.
  • 57.
    GENERAL CONSIDERATION OFBRAIN TUMOUR WELCOME
  • 58.
    Enhancement • Blood brainbarrier The brain has a unique BBB with tight endothelial junctions. Contrast will not leak into the brain unless this barrier is damaged. • Enhancement is seen when a CNS tumor destroys the BBB. • Extra-axial tumors such as meningiomas and schwannomas do not have BBB. Therefore they will enhance. • Some non-tumoral lesions enhance because they can also break down the BBB and may simulate a brain tumor. These lesions include like infections, Dysmyelinating diseases (MS) and infarctions.
  • 59.
    • In gliomas- like astrocytomas, oligodendrogliomas and glioblastoma multiforme - enhancement usually indicates a higher degree of malignancy. • Therefore when during the follow up of a low-grade glioma the tumor starts to enhance, it is a sign of malignant transformation. • Gangliogliomas and pilocytic astrocytomas are the exceptions to this rule: they are low-grade tumors, but they enhance vividly.
  • 60.
    Homogeneous enhancement canbe seen in: • Metastases • Lymphoma • Germinoma and other pineal gland tumors • Pituitary Adenoma • Pilocytic astrocytoma • Hemangioblastoma • Ganglioglioma • Meningioma and Schwannoma
  • 61.
    T1W shows awell defined iso to hypo intense area is seen in rt occipital region.On T1+ C it is homogenously enhanc though it is a low grade Ganglioglioma
  • 63.
    Large Falx Meningiomais an easy find on contrast enhanced CT. However note how isodense is the tumor on the non contrast enhanced CT.
  • 64.
    NCCT axial imageof brain shows slightly hyperdense area is seen in lt frontal lobe. The leson is homogeneously enhance after iv contrast. Meningioma
  • 65.
    Patchy enhancement canbe seen in: • Anaplastic astrocytoma • Metastases • Oligodendroglioma • Glioblastoma multiforme • Radiation necrosis
  • 66.
    An ill definedright insular focal parenchymal swelling, hyper intense on FLAIR & T2. In T1 lesion is hypointense which shows patchy enhancement on post contrast T1. Mass mildly compressed right lateral ventricle. Anaplastic astrocytoma
  • 67.
    Post-contrast Mid-sagittal viewbrain showing relatively mild, patchy contrast enhancement of the pituitary adenoma.
  • 68.
    No enhancement isseen in: • Low grade astrocytomas • Cystic non-tumoral lesions: – Dermoid cyst – Epidermoid cyst – Arachnoid cyst
  • 69.
    T1 sagittal MRIimage of brain shows a large CSF intensity mass lesion. It follows CSF intensity on all sequences, including FLAIR. There is significant mass effect on the adjacent cerebellar tissue and remodeling and expansion of the adjacent skull is evident.
  • 72.
    Enhancing sub acutehge ADEM Radionecrosis
  • 73.
  • 74.
    Figure 2: Preoperativesagittal and coronal T1 MRI of the brain (a and b) shows a large T1 hyperintense multilobulated lesion extending along the floor of the left anterior and middle cranial fossa, with areas of T1 hypointense signal around the component in the left anterior cranial fossa. Locules of T1 hyperintense material are present throughout the subarachnoid spaces along the sylvian fissures bilaterally, extending into the frontal sulci, parasagittal frontal lobes, tectum, and into the posterior fossa. Fat-fluid levels are present within the ventricular system, with evidence of obstructive hydrocephalus
  • 75.
    A heterogeneously enhancingneoplastic soft tissue density lesion centered to right thalamus. Third ventricle compressed with mild trapping of lateral ventricles. Less enhance-low grade astro…..
  • 77.