SPOTTERS
Dr Mohit Goel
JRII
30 Dec. 2013
SPOT 1
Shiny corner sign
The shiny corner sign, also known as a
Romanus lesion, is an early spinal finding in
ankylosing spondylitis.
These represent small erosions at the
superior and inferior endplates (corners on
lateral radiograph) of the vertebral bodies,
with surrounding reactive sclerosis.
Eventually the vertebral bodies become
squared
SPOT 2
Anteroposterior view of the hand in this patient with sarcoid
demonstrates classic changes of bony involvement with this
granulomatous process.
Note the lacelike pattern of destruction, which is seen most
prominently in the proximal phalanges and in the distal third
phalanx.
Soft tissue swelling and some areas of severe bony dissolution
are also noted, which occur in more advanced patterns of
sarcoid.
These changes are typically limited to the hands but can rarely
occur in other parts of the skeleton.
Sarcoid.
SPOT 3
Patient was known to have long-standing
bronchiectasis shows extensive lamellar
periosteal new bone formation around the
shafts of the distal radius, ulna, metacarpals,
and proximal phalanges.
Hypertrophic osteoarthropathy is
characterised by a proliferative periostisis
involving the long bones. When associated
with a lung condition it is also termed
hypertrophic pulmonary osteoarthropaty
(HPOA). It is usually painful and associated
with clubbing
SPOT 4
38-year-old man
Von Hippel-Lindau disease (VHL)
SPOT 5
CT MRI
Endolymphatic sac tumors (ELSTs)
SPOT 6
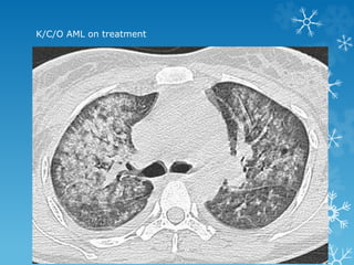
K/C/O AML on treatment
HRCT chest reveals bilateral diffuse GGO with air space consolidation and
subpleural sparing and a few air cysts classical of Pneumocystis jiroveci
pneumonia
Pneumocystis jiroveci pneumonia (PCP)
SPOT 7
Band heterotopia
SPOT 8
4th ventricle ependymoma
SPOT 9
SPOT 10
NAME THE SIGN & DIAGNOSIS
Corkscrew sign - midgut volvulus
SPOT 11
NAME THE SIGN & DIAGNOSIS
Holly leaf sign - Asbestosis
SPOT 12
A 40-year-old woman with progressive abnormal movements of the limbs
for 4 years.
SPOT 13
Cavum velum interpositum
SPOT 14
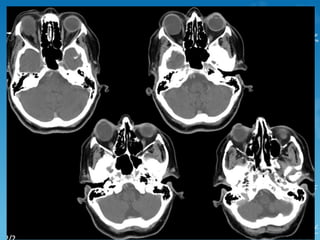
seven-year-old male patient with pulsatile tinnitus
Aberrant internal carotid artery
Some authors suggest that the reason could be the absence of the
hypotympanic bony plate because of a congenital failure of ossification.
With age, as the artery elongates and becomes tortuous, it protrudes
through the defect into the tympanic cavity.
Others suggest that the cervical ICA never develops and an aberrant carotid
artery forms when the inferior tympanic artery (a branch of the ascending
pharyngeal artery) enlarges to supply the territory of a cervical carotid
artery. The inferior tympanic artery runs through the middle ear and then
joins the horizontal petrous carotid artery. The so-called aberrant carotid
artery is, in fact, the markedly hypertrophied inferior tympanic artery.
SPOT 15
Prominent solid periosteal reaction affecting phalanges and distal of radius and ulna.
There is also evidence of soft tissue swelling.
Thyroid acropachy is an uncommon manifestation of autoimmune thyroid disease
which presented with digital clubbing, swelling of digits and toes, and periosteal
reaction of extremity bones (The term acropachy is a Greek word for thickening of the
extremities). It is almost always associated with thyroid ophthalmopathy and
dermopathy.
Thyroid acropachy
SPOT 16
SPOT 17
Intraorbital Lymphatic Malformation
There is an intraconal multilobulated mass with a fluid-fluid level and mild
right globe proptosis.
Vascular lesions account for 5-20% of all orbital masses, and the two most
common orbital vascular lesions are venous malformations (formerly
known as cavernous hemangiomas) and lymphatic malformations (LM) (
formerly known as lymphangiomas).
Intraorbital venous-lymphatic malformations are present at birth, but tend not to be
discovered clinically until early childhood when they enlarge as a result of either
intralesional hemorrhage or lymphoid hyperplasia and result in acute proptosis.
Radiologic imaging of intraorbital LMs demonstrates unencapsulated, irregular,
lobulated, and multicompartmental masses.
These lesions can have cystic as well as more solid components. The cystic elements
of these masses commonly exhibit fluid-fluid levels as a result of intralesional
hemorrhage
Ultrasound images of LMs demonstrate heterogeneous, ill-defined lesions with
anechoic cystic portions and extraconal extension.
On CT, these masses exhibit ill-defined borders, irregular attenuations, and variable
enhancement with peripheral rim enhancement in cystic regions. Additionally,
calcified phleboliths can be seen on CT in venous portions of these lesions.
MR imaging -
LMs demonstrate iso- to slightly high signal intensities on T1-weighted images and
very high signal intensities on T2-weighted images.
SPOT 18
CT reveals a well corticated skull mass with
coarse internal trabeculation in a "starburst"
arrangement.
Intraosseous Hemangioma of skull
SPOT 19
SPOT 20
A 45-year-old woman with painful swelling in the right lower
neck
T1WI T2WI POST CONTRAST
USG
Levator Scapulae Cysticerosis
Levator Scapulae Cysticerosis
CASE 1
57-year-old patient
CASE 2
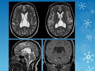
44 yrs. female – immunocompromised with altered mental status
CASE 3
34 yrs female with headache
CASE 4
80 yr female with history of headache
A staphyloma is the term given to an eye whose sclero-uveal coats are
stretched (also known as ectasia). This most commonly occurs
posteriorly, although anterior staphyloma also is recognised. As opposed
to coloboma, staphyloma defect is located off-center from the optic disc,
typically temporal to the disc.
A coloboma is collective term encompassing any focal discontinuity in
the structure of eye, and should not be confused with staphylomas which
are due to choroidal thinning.
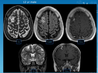
CASE 5
12 yr male
CASE 6
A 7-year-old boy presents with repeated transient ischemic attacks.
Moyamoya Disease
Moyamoya Disease
THANK YOU

Spots with keys

  • 1.
  • 2.
  • 4.
    Shiny corner sign Theshiny corner sign, also known as a Romanus lesion, is an early spinal finding in ankylosing spondylitis. These represent small erosions at the superior and inferior endplates (corners on lateral radiograph) of the vertebral bodies, with surrounding reactive sclerosis. Eventually the vertebral bodies become squared
  • 5.
  • 7.
    Anteroposterior view ofthe hand in this patient with sarcoid demonstrates classic changes of bony involvement with this granulomatous process. Note the lacelike pattern of destruction, which is seen most prominently in the proximal phalanges and in the distal third phalanx. Soft tissue swelling and some areas of severe bony dissolution are also noted, which occur in more advanced patterns of sarcoid. These changes are typically limited to the hands but can rarely occur in other parts of the skeleton. Sarcoid.
  • 8.
  • 10.
    Patient was knownto have long-standing bronchiectasis shows extensive lamellar periosteal new bone formation around the shafts of the distal radius, ulna, metacarpals, and proximal phalanges. Hypertrophic osteoarthropathy is characterised by a proliferative periostisis involving the long bones. When associated with a lung condition it is also termed hypertrophic pulmonary osteoarthropaty (HPOA). It is usually painful and associated with clubbing
  • 11.
  • 12.
  • 13.
  • 14.
  • 15.
  • 16.
  • 19.
  • 20.
    K/C/O AML ontreatment
  • 21.
    HRCT chest revealsbilateral diffuse GGO with air space consolidation and subpleural sparing and a few air cysts classical of Pneumocystis jiroveci pneumonia Pneumocystis jiroveci pneumonia (PCP)
  • 22.
  • 24.
  • 25.
  • 27.
  • 28.
  • 31.
  • 32.
    NAME THE SIGN& DIAGNOSIS
  • 33.
    Corkscrew sign -midgut volvulus
  • 34.
  • 35.
    NAME THE SIGN& DIAGNOSIS
  • 36.
    Holly leaf sign- Asbestosis
  • 37.
  • 38.
    A 40-year-old womanwith progressive abnormal movements of the limbs for 4 years.
  • 40.
  • 42.
  • 43.
  • 44.
    seven-year-old male patientwith pulsatile tinnitus
  • 45.
    Aberrant internal carotidartery Some authors suggest that the reason could be the absence of the hypotympanic bony plate because of a congenital failure of ossification. With age, as the artery elongates and becomes tortuous, it protrudes through the defect into the tympanic cavity. Others suggest that the cervical ICA never develops and an aberrant carotid artery forms when the inferior tympanic artery (a branch of the ascending pharyngeal artery) enlarges to supply the territory of a cervical carotid artery. The inferior tympanic artery runs through the middle ear and then joins the horizontal petrous carotid artery. The so-called aberrant carotid artery is, in fact, the markedly hypertrophied inferior tympanic artery.
  • 46.
  • 48.
    Prominent solid periostealreaction affecting phalanges and distal of radius and ulna. There is also evidence of soft tissue swelling. Thyroid acropachy is an uncommon manifestation of autoimmune thyroid disease which presented with digital clubbing, swelling of digits and toes, and periosteal reaction of extremity bones (The term acropachy is a Greek word for thickening of the extremities). It is almost always associated with thyroid ophthalmopathy and dermopathy. Thyroid acropachy
  • 49.
  • 52.
  • 54.
    Intraorbital Lymphatic Malformation Thereis an intraconal multilobulated mass with a fluid-fluid level and mild right globe proptosis. Vascular lesions account for 5-20% of all orbital masses, and the two most common orbital vascular lesions are venous malformations (formerly known as cavernous hemangiomas) and lymphatic malformations (LM) ( formerly known as lymphangiomas).
  • 55.
    Intraorbital venous-lymphatic malformationsare present at birth, but tend not to be discovered clinically until early childhood when they enlarge as a result of either intralesional hemorrhage or lymphoid hyperplasia and result in acute proptosis. Radiologic imaging of intraorbital LMs demonstrates unencapsulated, irregular, lobulated, and multicompartmental masses. These lesions can have cystic as well as more solid components. The cystic elements of these masses commonly exhibit fluid-fluid levels as a result of intralesional hemorrhage Ultrasound images of LMs demonstrate heterogeneous, ill-defined lesions with anechoic cystic portions and extraconal extension. On CT, these masses exhibit ill-defined borders, irregular attenuations, and variable enhancement with peripheral rim enhancement in cystic regions. Additionally, calcified phleboliths can be seen on CT in venous portions of these lesions. MR imaging - LMs demonstrate iso- to slightly high signal intensities on T1-weighted images and very high signal intensities on T2-weighted images.
  • 56.
  • 58.
    CT reveals awell corticated skull mass with coarse internal trabeculation in a "starburst" arrangement. Intraosseous Hemangioma of skull
  • 59.
  • 62.
  • 63.
    A 45-year-old womanwith painful swelling in the right lower neck T1WI T2WI POST CONTRAST USG
  • 64.
  • 65.
  • 66.
  • 67.
  • 70.
  • 71.
    44 yrs. female– immunocompromised with altered mental status
  • 75.
  • 76.
    34 yrs femalewith headache
  • 80.
  • 81.
    80 yr femalewith history of headache
  • 84.
    A staphyloma isthe term given to an eye whose sclero-uveal coats are stretched (also known as ectasia). This most commonly occurs posteriorly, although anterior staphyloma also is recognised. As opposed to coloboma, staphyloma defect is located off-center from the optic disc, typically temporal to the disc. A coloboma is collective term encompassing any focal discontinuity in the structure of eye, and should not be confused with staphylomas which are due to choroidal thinning.
  • 85.
  • 86.
  • 88.
  • 89.
    A 7-year-old boypresents with repeated transient ischemic attacks.
  • 90.
  • 91.
  • 92.