Embed presentation
Downloaded 144 times


















































































































































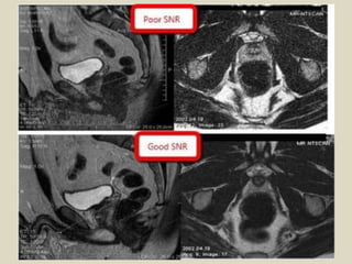
Magnetic resonance imaging (MRI) was discovered in 1947 by two physicists and the first clinical images were obtained in 1977. MRI uses strong magnetic fields between 1-9 Tesla to align hydrogen atoms in the body and radio waves to elicit signals to form images. The document provides a brief history of MRI and discusses magnetic fields, relaxation processes, and pulse sequences used to generate MRI images.
















































































































































