IMAGING IN NEUROLOGY
Dr. Rahi Kiran.B
DM Resident
Dept. of Neurology
GMC Kota
1
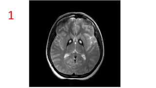
EYE OF TIGER APPEARANCE
Hallervorden-Spatz disease
T2 Hyperintense in Gp surrounded by hypointense
gliosis and neuronal loss excessive iron accumulation
2
HOT-CROSS-BUN SIGN
Axial T2, Crucifrom hyperintensities in Pons
Due to selective loss of myelinated transverse
pontocerebellar fibers with preservation of the pontine
tegmentum and corticospinal tracts.
Seen in MSC-C, SCA 2,3, vCJD, PML, 2° Parkinsonism
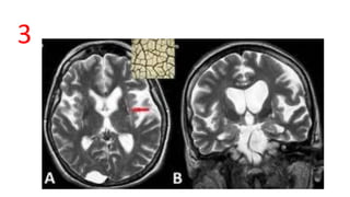
3
PUTAMINAL SLIT SIGN
• T2 W axial
• MSA-P - lateral margin of putamen
• T2 hyperintensity - due to severe atrophy of putamen and enlargement of space
between putamen and external capsule
• Sensitivity ~ 97%
• Sometimes may be seen in Wilson disease also (young patients)
A
B
C
D F
E
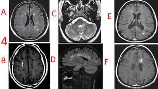
4
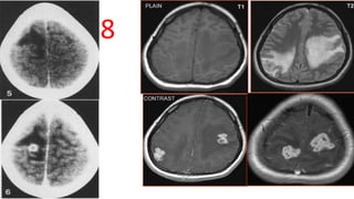
Multiple Sclerosis
• A- FLAIR best for periventricular and juxtacortical lesions.
• B- Black hole sign On MRI T1W
• C- T2 images are often best for viewing infratentorial lesions.
• D- dawsons fingers
• E- Homogenous uptake of contrast.
• F- Open-ring pattern, specific for demyelinating lesions.
5
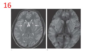
SWALLOW TAIL SIGN
normal T2/SWI axial imaging appearance
of nigrosome-1 within the substantia nigra.
absent swallow tail sign - diagnostic accuracy of >90%
for Parkinson disease.
6
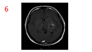
Eccentric target sign (cerebral toxoplasmosis)
• pathognomonic
• postcontrast MRI/CT as a ring enhancing lesion with an eccentrically
located enhancing mural nodule.
• seen in less than one-third
7
FACE OF GIANT PANDA
• T2 W , Wilson’s disease.
• EYES - High signal intensity in the Midbrain
tegmentum sparing the red nucleus
• EARS - Preservation of signal intensity of the lateral
portion of the pars reticulata of the substantia nigra.
• CHIN/MOUTH - Low signal intensity of the superior
colliculus
• Similar changes when seen in Pons – Face of Miniature
Panda / panda Cub Sign
• Together called as – Double Panda Sign.
8
Tuberculoma
• CT- Hypo to hyperdense mass with moderate to marked edema, Iso to
hyperdense basal exudate effaces CSF spaces, fills basal cisterns, sulci
• CECT- "Target sign"
• MRI - Non-caseating : Hyper on T2 and hypo on T1 W
- Caseating : Iso- to hypointense on both T1 and T2 images, with
an iso- to hyperintense rim on T2 W
• CEMR: Nodular or ring-like enhancing lesions- 1 mm to 2 cm.
9
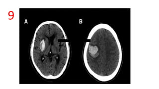
Blend sign
• Blend sign is composed of 2 parts with apparently different CT
attenuation
• A ,B - There is a well-defined margin between the hypo(active liquid
blood) and hyperattenuating (clots) regions.
• Predicts hematoma expansion
10
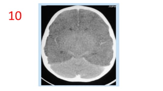
White cerebellum sign
• .There is global hypodensity of the supratentorial brain with relative hyperdensity
of the infratentorial compartment.
• obliteration of the surface and central CSF spaces in keeping with the severe
oedema.
• Global Hypoxic-ischaemic injury
Medial aspect of the temporal lobes
normal diseased11
Appearance of duck in normal
anatomy of the medial aspects of
temporal lobes and hippocampi
• Elephant sign represents atrophy of
medial aspect of the temporal lobes
and hippocampi
• Seen in Alzheimer disease.
Patient 1 patient 212
Abscess vs GBM
• Capsule is isointense or hyperintense to white matter on T1 and hypointense on T2
• Area of Central Necrosis- Low signal on T1,high signal on FLAIR and T2 (low
density on CT)
• DWI - Restricted
• MRS :Central necrotic area shows alanine, succinate and acetate peaks
Necrotic Tumor vs. Pyogenic Abscess: Differentiation by DWI and ADC
• Necrotic Tumor: Decreased signal intensity on DWI. Increased signal
intensity on ADC maps
• Pyogenic Abscess :Increased signal intensity on DW I Markedly decreased
signal intensity on ADC maps
13
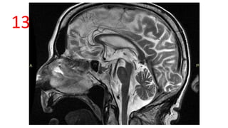
HUMMING BIRD SIGN / PENGUIN SIGN
• Midsagittal MRI – atrophy of midbrain tegmentum with relatively preserved pons.
• Seen in Progressive Supranuclear palsy (PSP)
MIDBRAIN
TEGMENTUM=BILL
ROSTRAL
MIDBRAIN=HEAD
PONS = BODY
CEREBELLUM = WING
14
lentiform fork sign
• A bright hyperintense rim delineates the lateral
(external capsule, long arrow) and medial boundaries
(external medullary lamina [short arrow] and internal
medullary laminae [thin arrow]) of both putamina. The
globus pallidus is divided into 2 parts by the internal
medullary laminae, which can be seen in pathologic
conditions on MR images.
• Focal restricted diffusion seen
• Seen in – metabolic acidosis – AKI, metformin,
methanol, HHS
15
ADEM
• T2 and FLAIR: high signal, with surrounding oedema -situated in subcortical
locations; the thalami and brainstem can also be involved
• T1 C+ (Gd): open ring sign
• DWI: there can be peripherally restricted diffusion
16
DD of b/l Basal Ganglia Hyperintensities in an adult
• • Hypoxic-Ischemic Injury – Near drowning, cardiac arrest,
• • Viral Encephlitis – West Nile, HSV, Japanese Encephalitis
• • Osmotic Demyelination Syndrome
• • Toxin exposure – CO poisoning - Globus pallidus involvement
• • Wilson disease
• • CJD
• • CVT
• • Metabolic – Hepatic, hypoglycemic Encephalopathy
17
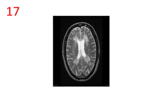
TIGROID SKIN/LEOPARD SKIN APPEARANCE
• Linear hypointensities radiating from ventricular margins within periventricular
white matter on T2 W images
• Seen in Metachromatic Leukodystrophy, Pelizaeus Merzbacher disease
18
19
Huntington disease
Box-Car ventricle sign
• caudate nuclei are partially atrophied with
enlargement of the frontal horns
• The intercaudate distance to inner table
ratio (CC:IT) is increased (N = 0.9-1.2)
• frontal horn width to intercaudate
ratio (FH:CC) is decreased (N = 2.2-2.6 ).
20
21
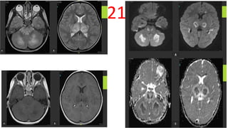
Acute Hemorrhagic Leukoencephalitis
• A-Axial T2 WI - showing swelling and bright T2 signal intensity with
attenuated 3rd ventricle and basal cisterns.
• B- Axial CE MRI -no evident post-contrast enhancement.
• C- Axial - DWI ADC -bilateral symmetrical parenchymal areas of bright
sigmal in DWI and low values in ADC maps also seen involving the
corpus callosum and the cerebrellar white matter.
22
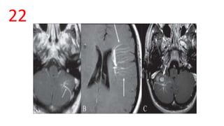
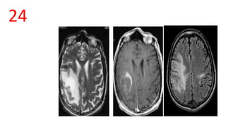
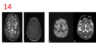
MEDUSA HEAD SIGN/ SPOKE-WHEEL SIGN
• Seen best on Contrast T1 W images.
• Seen in developmental venous anomalies (venous angioma)
23
HOCKEY STICK SIGN
• DWI and FLAIR images – symmetrical pulvinar hyperintensities
• Characteristic of variant CJD
24
PML
• confluent, bilateral multifocal, asymmetric periventricular and
subcortical involvement and parietooccipital regions.
• invariably involves white matter, subcortical U-fibers
• T1: involved regions are usually hypointense
• T2: involved regions are hyperintense
• T1 C+ (Gd)
• typically there is no enhancement
25
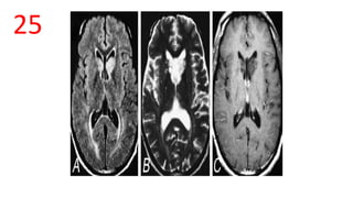
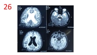
CRYPTOCOCCOSIS – Soap bubble pattern
• A – T2 Flair-caudate hyperintensity
• B – T2– Soap bubble caudate
• C – T1C+ - no enhancement
26
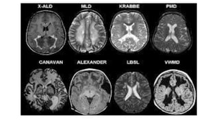
Van der Knaap disease
• Diffuse, bilateral and symmetric
• T1- hypo, T2 and FLAIR- hyper
• bilateral subcortical cysts of CSF intensity affecting the anterior
temporal regions-T1 and FLAIR- - hypo, T2 hyper
ALEXANDER X-linked ALD
KEARNS-SAYRE
SYNDROME (C
MLD
JUVENILE NCL VWMD
CEREBROTENDINOUS
XANTHOMATOSIS
duplication of LMNB1
DIFFUSE
MILD
THANK YOU
Causes
• Bacterial- Tuberculoma, Pyogenic abscess
• Fungal- Histoplasmosis, Aspergilosis, Nocardiosis, Mucormycosis
• Parasitic- Neurcysticersosis, toxoplasmosis, Amebic abscess,
Echinococcosis
• Neoplastic- Primary brain tumors, Metastasis, Primary CNS Lymphoma in
AIDS
• • Demyelination - Multiple sclerosis ,Tumefactive demyelination
DD of b/l Basal Ganglia Hyperintensities in an adult
• • Hypoxic-Ischemic Injury – Near drowning, cardiac arrest,
• • Viral Encephlitis – West Nile, HSV, Japanese Encephalitis
• • Osmotic Demyelination Syndrome
• • Toxin exposure – CO poisoning - Globus pallidus involvement
• • Wilson disease
• • CJD
• • CVT
• • Metabolic – Hepatic, hypoglycemic Encephalopathy
cerebral ring enhancing lesion DR MAGIC
• M - Metastasis
• A - Abscess
• G - Glioblastoma multiforme
• I - Infarct(subacute phase)
• C - Contusion
• D - Demyelinating disease(eg. tumefactive MS)
• R - Radiation necrosis
DD multiple patchy lesions
• Borderzone infarction
Key finding: typically these lesions are located in only one hemisphere, either in deep
watershed area or peripheral watershed area. In the case on the left the infarction is in
the deep watershed area.
• ADEM
Key findings: Multifocal lesions in WM and basal ganglia 10-14 days following infection or
vaccination.
As in MS, ADEM can involve the spinal cord, U-fibers and corpus callosum and
sometimes show enhancement.
Different from MS is that the lesions are often large and in a younger age group. The
disease is monophasic.
• Lyme
2-3mm lesions simulating MS in a patient with skin rash and influenza-like illness. Other
findings are high signal in spinal cord and enhancement of CN7 (root entry zone).
• Sarcoid
Sarcoid is the great mimicker. The distribution of lesions is quite similar to MS.
• PML
Progressive Multifocal Leukoencephalopathy (PML) is a demyelinating disease caused by
JC virus in immunosuppressed patients.
Key finding: space-occupying, nonenhancing WMLs in the U-fibers (unlike HIV or CMV).
PML may be unilateral, but more often it is bilateral and asymmetrical.
Click here for more information.
• Virchow Robin spaces
Key finding: Bright on T2WI and dark on FLAIR.
• Small vessel disease
WMLs in the deep white matter. Not located in corpus callosum, juxtaventricular or
juxtacortical.
In many cases there are also
Imaging   neurology spotters

Imaging neurology spotters

  • 1.
    IMAGING IN NEUROLOGY Dr.Rahi Kiran.B DM Resident Dept. of Neurology GMC Kota
  • 2.
  • 3.
    EYE OF TIGERAPPEARANCE Hallervorden-Spatz disease T2 Hyperintense in Gp surrounded by hypointense gliosis and neuronal loss excessive iron accumulation
  • 4.
  • 5.
    HOT-CROSS-BUN SIGN Axial T2,Crucifrom hyperintensities in Pons Due to selective loss of myelinated transverse pontocerebellar fibers with preservation of the pontine tegmentum and corticospinal tracts. Seen in MSC-C, SCA 2,3, vCJD, PML, 2° Parkinsonism
  • 6.
  • 7.
    PUTAMINAL SLIT SIGN •T2 W axial • MSA-P - lateral margin of putamen • T2 hyperintensity - due to severe atrophy of putamen and enlargement of space between putamen and external capsule • Sensitivity ~ 97% • Sometimes may be seen in Wilson disease also (young patients)
  • 8.
  • 9.
    Multiple Sclerosis • A-FLAIR best for periventricular and juxtacortical lesions. • B- Black hole sign On MRI T1W • C- T2 images are often best for viewing infratentorial lesions. • D- dawsons fingers • E- Homogenous uptake of contrast. • F- Open-ring pattern, specific for demyelinating lesions.
  • 10.
  • 11.
    SWALLOW TAIL SIGN normalT2/SWI axial imaging appearance of nigrosome-1 within the substantia nigra. absent swallow tail sign - diagnostic accuracy of >90% for Parkinson disease.
  • 12.
  • 13.
    Eccentric target sign(cerebral toxoplasmosis) • pathognomonic • postcontrast MRI/CT as a ring enhancing lesion with an eccentrically located enhancing mural nodule. • seen in less than one-third
  • 14.
  • 15.
    FACE OF GIANTPANDA • T2 W , Wilson’s disease. • EYES - High signal intensity in the Midbrain tegmentum sparing the red nucleus • EARS - Preservation of signal intensity of the lateral portion of the pars reticulata of the substantia nigra. • CHIN/MOUTH - Low signal intensity of the superior colliculus • Similar changes when seen in Pons – Face of Miniature Panda / panda Cub Sign • Together called as – Double Panda Sign.
  • 16.
  • 17.
    Tuberculoma • CT- Hypoto hyperdense mass with moderate to marked edema, Iso to hyperdense basal exudate effaces CSF spaces, fills basal cisterns, sulci • CECT- "Target sign" • MRI - Non-caseating : Hyper on T2 and hypo on T1 W - Caseating : Iso- to hypointense on both T1 and T2 images, with an iso- to hyperintense rim on T2 W • CEMR: Nodular or ring-like enhancing lesions- 1 mm to 2 cm.
  • 18.
  • 19.
    Blend sign • Blendsign is composed of 2 parts with apparently different CT attenuation • A ,B - There is a well-defined margin between the hypo(active liquid blood) and hyperattenuating (clots) regions. • Predicts hematoma expansion
  • 20.
  • 21.
    White cerebellum sign •.There is global hypodensity of the supratentorial brain with relative hyperdensity of the infratentorial compartment. • obliteration of the surface and central CSF spaces in keeping with the severe oedema. • Global Hypoxic-ischaemic injury
  • 22.
    Medial aspect ofthe temporal lobes normal diseased11
  • 23.
    Appearance of duckin normal anatomy of the medial aspects of temporal lobes and hippocampi • Elephant sign represents atrophy of medial aspect of the temporal lobes and hippocampi • Seen in Alzheimer disease.
  • 24.
  • 25.
    Abscess vs GBM •Capsule is isointense or hyperintense to white matter on T1 and hypointense on T2 • Area of Central Necrosis- Low signal on T1,high signal on FLAIR and T2 (low density on CT) • DWI - Restricted • MRS :Central necrotic area shows alanine, succinate and acetate peaks Necrotic Tumor vs. Pyogenic Abscess: Differentiation by DWI and ADC • Necrotic Tumor: Decreased signal intensity on DWI. Increased signal intensity on ADC maps • Pyogenic Abscess :Increased signal intensity on DW I Markedly decreased signal intensity on ADC maps
  • 26.
  • 27.
    HUMMING BIRD SIGN/ PENGUIN SIGN • Midsagittal MRI – atrophy of midbrain tegmentum with relatively preserved pons. • Seen in Progressive Supranuclear palsy (PSP) MIDBRAIN TEGMENTUM=BILL ROSTRAL MIDBRAIN=HEAD PONS = BODY CEREBELLUM = WING
  • 28.
  • 29.
    lentiform fork sign •A bright hyperintense rim delineates the lateral (external capsule, long arrow) and medial boundaries (external medullary lamina [short arrow] and internal medullary laminae [thin arrow]) of both putamina. The globus pallidus is divided into 2 parts by the internal medullary laminae, which can be seen in pathologic conditions on MR images. • Focal restricted diffusion seen • Seen in – metabolic acidosis – AKI, metformin, methanol, HHS
  • 30.
  • 31.
    ADEM • T2 andFLAIR: high signal, with surrounding oedema -situated in subcortical locations; the thalami and brainstem can also be involved • T1 C+ (Gd): open ring sign • DWI: there can be peripherally restricted diffusion
  • 32.
  • 33.
    DD of b/lBasal Ganglia Hyperintensities in an adult • • Hypoxic-Ischemic Injury – Near drowning, cardiac arrest, • • Viral Encephlitis – West Nile, HSV, Japanese Encephalitis • • Osmotic Demyelination Syndrome • • Toxin exposure – CO poisoning - Globus pallidus involvement • • Wilson disease • • CJD • • CVT • • Metabolic – Hepatic, hypoglycemic Encephalopathy
  • 34.
  • 35.
    TIGROID SKIN/LEOPARD SKINAPPEARANCE • Linear hypointensities radiating from ventricular margins within periventricular white matter on T2 W images • Seen in Metachromatic Leukodystrophy, Pelizaeus Merzbacher disease
  • 36.
  • 38.
  • 39.
    Huntington disease Box-Car ventriclesign • caudate nuclei are partially atrophied with enlargement of the frontal horns • The intercaudate distance to inner table ratio (CC:IT) is increased (N = 0.9-1.2) • frontal horn width to intercaudate ratio (FH:CC) is decreased (N = 2.2-2.6 ).
  • 40.
  • 42.
  • 43.
    Acute Hemorrhagic Leukoencephalitis •A-Axial T2 WI - showing swelling and bright T2 signal intensity with attenuated 3rd ventricle and basal cisterns. • B- Axial CE MRI -no evident post-contrast enhancement. • C- Axial - DWI ADC -bilateral symmetrical parenchymal areas of bright sigmal in DWI and low values in ADC maps also seen involving the corpus callosum and the cerebrellar white matter.
  • 44.
  • 45.
    MEDUSA HEAD SIGN/SPOKE-WHEEL SIGN • Seen best on Contrast T1 W images. • Seen in developmental venous anomalies (venous angioma)
  • 46.
  • 47.
    HOCKEY STICK SIGN •DWI and FLAIR images – symmetrical pulvinar hyperintensities • Characteristic of variant CJD
  • 48.
  • 49.
    PML • confluent, bilateralmultifocal, asymmetric periventricular and subcortical involvement and parietooccipital regions. • invariably involves white matter, subcortical U-fibers • T1: involved regions are usually hypointense • T2: involved regions are hyperintense • T1 C+ (Gd) • typically there is no enhancement
  • 50.
  • 51.
    CRYPTOCOCCOSIS – Soapbubble pattern • A – T2 Flair-caudate hyperintensity • B – T2– Soap bubble caudate • C – T1C+ - no enhancement
  • 52.
  • 53.
    Van der Knaapdisease • Diffuse, bilateral and symmetric • T1- hypo, T2 and FLAIR- hyper • bilateral subcortical cysts of CSF intensity affecting the anterior temporal regions-T1 and FLAIR- - hypo, T2 hyper
  • 54.
    ALEXANDER X-linked ALD KEARNS-SAYRE SYNDROME(C MLD JUVENILE NCL VWMD CEREBROTENDINOUS XANTHOMATOSIS duplication of LMNB1 DIFFUSE MILD
  • 56.
  • 57.
    Causes • Bacterial- Tuberculoma,Pyogenic abscess • Fungal- Histoplasmosis, Aspergilosis, Nocardiosis, Mucormycosis • Parasitic- Neurcysticersosis, toxoplasmosis, Amebic abscess, Echinococcosis • Neoplastic- Primary brain tumors, Metastasis, Primary CNS Lymphoma in AIDS • • Demyelination - Multiple sclerosis ,Tumefactive demyelination
  • 58.
    DD of b/lBasal Ganglia Hyperintensities in an adult • • Hypoxic-Ischemic Injury – Near drowning, cardiac arrest, • • Viral Encephlitis – West Nile, HSV, Japanese Encephalitis • • Osmotic Demyelination Syndrome • • Toxin exposure – CO poisoning - Globus pallidus involvement • • Wilson disease • • CJD • • CVT • • Metabolic – Hepatic, hypoglycemic Encephalopathy
  • 59.
    cerebral ring enhancinglesion DR MAGIC • M - Metastasis • A - Abscess • G - Glioblastoma multiforme • I - Infarct(subacute phase) • C - Contusion • D - Demyelinating disease(eg. tumefactive MS) • R - Radiation necrosis
  • 61.
    DD multiple patchylesions • Borderzone infarction Key finding: typically these lesions are located in only one hemisphere, either in deep watershed area or peripheral watershed area. In the case on the left the infarction is in the deep watershed area. • ADEM Key findings: Multifocal lesions in WM and basal ganglia 10-14 days following infection or vaccination. As in MS, ADEM can involve the spinal cord, U-fibers and corpus callosum and sometimes show enhancement. Different from MS is that the lesions are often large and in a younger age group. The disease is monophasic. • Lyme 2-3mm lesions simulating MS in a patient with skin rash and influenza-like illness. Other findings are high signal in spinal cord and enhancement of CN7 (root entry zone). • Sarcoid Sarcoid is the great mimicker. The distribution of lesions is quite similar to MS. • PML Progressive Multifocal Leukoencephalopathy (PML) is a demyelinating disease caused by JC virus in immunosuppressed patients. Key finding: space-occupying, nonenhancing WMLs in the U-fibers (unlike HIV or CMV). PML may be unilateral, but more often it is bilateral and asymmetrical. Click here for more information. • Virchow Robin spaces Key finding: Bright on T2WI and dark on FLAIR. • Small vessel disease WMLs in the deep white matter. Not located in corpus callosum, juxtaventricular or juxtacortical. In many cases there are also