SMS1084 Dr. Mohanad R. Alwan
Now that we’ve looked at spinal and cranial nerves, we can examine the divisions of the PNS. The PNS is broken down into a  sensory  and a  motor  division. We’ll concentrate on the motor division which contains the somatic nervous system and the autonomic nervous system.
Peripheral Nervous System Nerves and ganglia outside the central nervous system Nerve = bundle of neuron fibers Neuron fibers are bundled by connective tissue
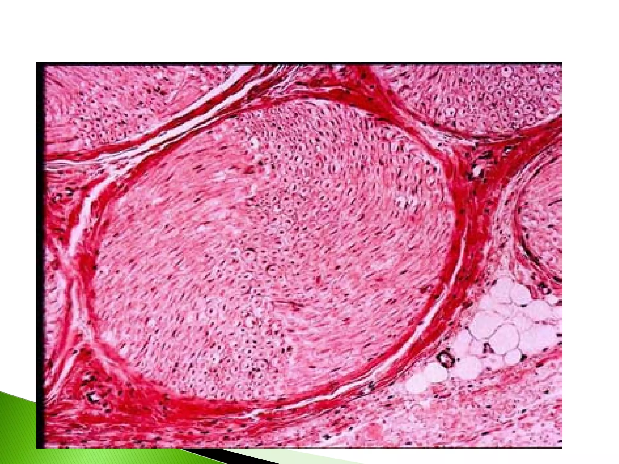
Structure of a Nerve Endoneurium surrounds each fiber Groups of fibers are bound into fascicles by perineurium Fascicles are bound together by epineurium
 
 
Parasympathetic ganglion
Classification of Nerves Mixed nerves –  both sensory and motor fibers Afferent (sensory) nerves –  carry impulses toward the CNS Efferent (motor) nerves –  carry impulses away from the CNS
Spinal Nerves There is a pair of spinal nerves at the level of each vertebrae . Dorsal root ganglion – cell bodies of sensory neurons Dorsal root – axons of sensory neurons Ventral root – axons of motor neurons 31 pairs of spinal nerves
Spinal Nerves
3 kinds  of neurons connect CNS to the body Sensory Motor Interneurons Motor  - CNS to muscles and organs Sensory  - sensory receptors to CNS Interneurons:  Connections Within CNS  Spinal Cord Brain Nerves
Nervous System Central Nervous System (CNS) Peripheral Nervous System (PNS) Autonomic Nervous System (ANS)(involuntary ) Somatic nervous System (voluntary) Sympathetic Nervous System Parasympathetic Nervous System
Copyright © 2005 Pearson Education, Inc., publishing as Benjamin Cummings
Stimulus Sensory System CNS Response (Brain / spinal cord) (neurone) Motor System (neurone) Somatic system (voluntary) Autonomic system (involuntary) Striated muscle Smooth muscle & glands Effe ctor
Nerves to/from spinal cord Control muscle movements Somatosensory inputs Both Voluntary and reflex movements Skeletal Reflexes simplest is spinal reflex arch Muscle Motor Neuron Interneuron Skin receptors Sensory Neuron Brain
Cell bodies of motor neurons reside in CNS (brain or spinal cord) Their axons (sheathed in spinal nerves) extend all the way to their skeletal muscles
Structure of spinal nerves: Somatic pathways dorsal root dorsal root ganglion ventral root spinal nerve dorsal ramus ventral ramus dorsal horn ventral horn somatic sensory nerve (GSA) somatic motor nerve (GSE) CNS inter- neuron Mixed Spinal Nerve gray ramus communicans white ramus communicans sympathetic ganglion
 
Autonomic Nervous System The involuntary branch of the nervous system Consists of only motor nerves Divided into two divisions Sympathetic division Parasympathetic division
Two divisions:   Sympathetic Parasympatheitic Control involuntary functions: Heartbeat Blood pressure Respiration Perspiration Digestion Can be influenced by thought and emotion
2 divisions : Sympathetic  “ Fight or flight” “ E” division Exercise, excitement, emergency, and embarrassment Parasympathetic  “ Rest and digest” “ D” division Digestion and diuresis
“  Fight or flight” response Release adrenaline and noradrenaline  Increases heart rate and blood pressure Increases blood flow to skeletal muscles Inhibits digestive functions  CENTRAL NERVOUS SYSTEM Brain Spinal cord SYMPATHETIC Dilates pupil Stimulates salivation Relaxes bronchi Accelerates heartbeat Inhibits activity Stimulates glucose Secretion of adrenaline, nonadrenaline Relaxes bladder Stimulates ejaculation in male Sympathetic ganglia Salivary glands Lungs Heart Stomach Pancreas Liver Adrenal gland Kidney
Basic organization Issues from T 1 -L 2 Preganglionic fibers form the lateral gray horn Supplies visceral organs and structures of superficial body regions Contains more ganglia than the parasympathetic division
“  Rest and digest ”  system Calms body to conserve and maintain energy Lowers heartbeat, breathing rate, blood pressure CENTRAL NERVOUS SYSTEM Brain PARASYMPATHETIC Spinal cord Stimulates salivation Constricts bronchi Slows heartbeat Stimulates activity Contracts bladder Stimulates erection of sex organs Stimulates gallbladder Gallbladder Contracts pupil
 
Summary of autonomic differences Autonomic nervous system controls physiological arousal Sympathetic division (arousing) Parasympathetic division (calming) Pupils dilate  EYES   Pupils contract Decreases  SALVATION   Increases Perspires  SKIN   Dries Increases  RESPERATION   Decreases Accelerates  HEART   Slows Inhibits  DIGESTION   Activates Secrete stress hormones ADRENAL GLANDS Decrease secretion of stress hormones
Voluntary Skeletal muscle Single efferent neuron Axon terminals release acetylcholine  Always excitatory Controlled by the cerebrum Involuntary  Smooth, cardiac muscle;  glands Multiple efferent neurons Axon terminals release acetylcholine or norepinephrine Can be excitatory or inhibitory Controlled by the homeostatic centers in the brain – pons, hypothalamus, medulla oblongata
 
Most internal organs are innervated by both branches of the ANS which exhibit antagonistic control A great example is heart rate.  An increase in sympathetic stimulation causes HR to increase whereas an increase in parasympathetic stimulation causes HR to decrease
Exception to the dual innervation rule: Sweat glands and blood vessel smooth muscle are only innervated by symp and rely strictly on up-down control. Exception to the antagonism rule: Symp and parasymp work cooperatively to achieve male sexual function.  Parasymp is responsible for erection while symp is responsible to ejaculation.  There’s similar ANS cooperation in the female sexual response.
Both ANS divisions share the same general structure.  Autonomic pathways always consist of 2 neurons in series. They synapse in an  autonomic ganglion  – would this be outside the CNS The 1 st  neuron in the autonomic pathway is  the  preganglionic neuron,  Cell body in CNS, myelinated, and projects to the autonomic ganglion. While the 2 nd  neuron is the  postganglionic neuron. Cell body in autonomic ganglion, unmyelinated, and projects to the effector or organ.
Sympathetic CNS ganglion short preganglionic neuron long postganglionic neuron target Parasympathetic CNS ganglion long preganglionic neuron target short  postganglionic neuron Overview of the Autonomic Nervous System Differences between Sympathetic & Parasympathetic Relative Lengths of Neurons
Parasympathetic Overview of the Autonomic Nervous System Differences between Sympathetic & Parasympathetic Neurotransmitters ACh, + NE  (ACh at sweat glands) , + / -, α & ß receptors ACh, + / - muscarinic receptors •  All preganglionics release acetylcholine (ACh) & are excitatory (+) •  Symp. postgangl. — norepinephrine (NE) & are excitatory (+) or inhibitory (-) •  Parasymp. postgangl. — ACh & are excitatory (+) or inhibitory (-) Sympathetic •  Excitation or inhibition is a receptor-dependent & receptor-mediated response Potential for pharmacologic modulation of autonomic responses ACh, +
Point of CNS Origin T1    L2  (thoracolumbar) Brainstem, S2    S4 (craniosacral) Site of Peripheral Ganglia Paravertebral – in sympathetic chain On or near target tissue Length of preganglionic fiber Short Long Length of postganglionic fiber Long Short
NT at Target Synapse Norepinephrine (adrenergic neurons) Acetylcholine (cholinergic neurons) Type of NT Receptors at Target Synapse Alpha and Beta (   and   ) Muscarinic NT at Ganglion Acetylcholine Acetylcholine Receptor at Ganglion Nicotinic Nicotinic
 
 
In the following tables, note the effects of the sympathetic and parasympathetic nervous systems on various body organs.
Target Organ Parasympathetic Effects Sympathetic Effects Eye (Iris) Stimulates constrictor muscles. Pupil constriction. Stimulates dilator muscles. Pupil dilates. Eye (Ciliary muscle) Stimulates.  Lens accommodates – allows for close vision. No innervation. Salivary Glands Watery secretion. Mucous secretion. Sweat Glands No innervation. Stimulates sweating in large amounts. (Cholinergic) Gallbladder Stimulates smooth muscle to contract and expel bile. Inhibits gallbladder smooth muscle. Arrector Pili No innervation Stimulates contraction. Piloerection (Goosebumps)
Target Organ Parasympathetic Effects Sympathetic Effects Cardiac Muscle Decreases HR. Increases HR and force of contraction. Coronary Blood Vessels Constricts. Dilates Urinary Bladder; Urethra Contracts bladder smooth muscle; relaxes urethral sphincter. Relaxes bladder smooth muscle; contracts urethral sphincter. Lungs Contracts bronchiole (small air passage) smooth muscle. Dilates bronchioles. Digestive Organs Increases peristalsis and enzyme/mucus secretion. Decreases glandular and muscular activity. Liver  No innervations No innervation (indirect effect).
Target Organ Parasympathetic Effects Sympathetic Effects Kidney No innervation. Releases the enzyme renin which acts to increase BP. Penis Vasodilates penile arteries.  Erection. Smooth muscle contraction.  Ejaculation. Vagina; Clitoris Vasodilation.  Erection. Vaginal reverse peristalsis. Blood Coagulation No effect. Increases coagulation rate. Cellular Metabolism No effect. Increases metabolic rate. Adipose Tissue No effect. Stimulates fat breakdown.
Target Organ Parasympathetic Effects Sympathetic Effects Mental Activity No innervation. Increases alertness. Blood Vessels Little effect. Constricts most blood vessels and increases BP.  Exception – dilates blood vessels serving skeletal muscle fibers (cholinergic). Uterus Depends on stage of the cycle. Depends on stage of the cycle. Endocrine Pancreas Stimulates insulin secretion. Inhibits insulin secretion.
Preganglionic fibers have their somat in the lateral horns of the thoracic and lumbar spinal cord. Preganglionic fibers leave the cord via the ventral root and enter a white ramus communicans to enter a chain ganglion – which is part of the sympathetic trunk. Let’s look at a picture!
 
 
Certain splanchnic nerves synapse on hormone-producing cells of the adrenal  medulla – the interior of the adrenal glands which sit upon the kidneys. How does this contribute to the “diffuseness” of sympathetic activity?
The Hypothalamus is the Boss: Its anterior and medial regions direct parasympathetic function while its posterior and lateral regions direct sympathetic function These centers exert control directly and via nuclei in the reticular formation (e.g., the cardiovascular centers in the MO, respiratory centers in MO and pons, etc.) The connection of the limbic system to the hypothalamus mediates our “flight or flight” response to emotional situations.
 
 
I will open ur mouth like my toy

Pns 7-

  • 1.
  • 2.
    Now that we’velooked at spinal and cranial nerves, we can examine the divisions of the PNS. The PNS is broken down into a sensory and a motor division. We’ll concentrate on the motor division which contains the somatic nervous system and the autonomic nervous system.
  • 3.
    Peripheral Nervous SystemNerves and ganglia outside the central nervous system Nerve = bundle of neuron fibers Neuron fibers are bundled by connective tissue
  • 4.
    Structure of aNerve Endoneurium surrounds each fiber Groups of fibers are bound into fascicles by perineurium Fascicles are bound together by epineurium
  • 5.
  • 6.
  • 7.
  • 8.
    Classification of NervesMixed nerves – both sensory and motor fibers Afferent (sensory) nerves – carry impulses toward the CNS Efferent (motor) nerves – carry impulses away from the CNS
  • 9.
    Spinal Nerves Thereis a pair of spinal nerves at the level of each vertebrae . Dorsal root ganglion – cell bodies of sensory neurons Dorsal root – axons of sensory neurons Ventral root – axons of motor neurons 31 pairs of spinal nerves
  • 10.
  • 11.
    3 kinds of neurons connect CNS to the body Sensory Motor Interneurons Motor - CNS to muscles and organs Sensory - sensory receptors to CNS Interneurons: Connections Within CNS Spinal Cord Brain Nerves
  • 13.
    Nervous System CentralNervous System (CNS) Peripheral Nervous System (PNS) Autonomic Nervous System (ANS)(involuntary ) Somatic nervous System (voluntary) Sympathetic Nervous System Parasympathetic Nervous System
  • 14.
    Copyright © 2005Pearson Education, Inc., publishing as Benjamin Cummings
  • 15.
    Stimulus Sensory SystemCNS Response (Brain / spinal cord) (neurone) Motor System (neurone) Somatic system (voluntary) Autonomic system (involuntary) Striated muscle Smooth muscle & glands Effe ctor
  • 16.
    Nerves to/from spinalcord Control muscle movements Somatosensory inputs Both Voluntary and reflex movements Skeletal Reflexes simplest is spinal reflex arch Muscle Motor Neuron Interneuron Skin receptors Sensory Neuron Brain
  • 17.
    Cell bodies ofmotor neurons reside in CNS (brain or spinal cord) Their axons (sheathed in spinal nerves) extend all the way to their skeletal muscles
  • 18.
    Structure of spinalnerves: Somatic pathways dorsal root dorsal root ganglion ventral root spinal nerve dorsal ramus ventral ramus dorsal horn ventral horn somatic sensory nerve (GSA) somatic motor nerve (GSE) CNS inter- neuron Mixed Spinal Nerve gray ramus communicans white ramus communicans sympathetic ganglion
  • 19.
  • 20.
    Autonomic Nervous SystemThe involuntary branch of the nervous system Consists of only motor nerves Divided into two divisions Sympathetic division Parasympathetic division
  • 21.
    Two divisions: Sympathetic Parasympatheitic Control involuntary functions: Heartbeat Blood pressure Respiration Perspiration Digestion Can be influenced by thought and emotion
  • 22.
    2 divisions :Sympathetic “ Fight or flight” “ E” division Exercise, excitement, emergency, and embarrassment Parasympathetic “ Rest and digest” “ D” division Digestion and diuresis
  • 23.
    “ Fightor flight” response Release adrenaline and noradrenaline Increases heart rate and blood pressure Increases blood flow to skeletal muscles Inhibits digestive functions CENTRAL NERVOUS SYSTEM Brain Spinal cord SYMPATHETIC Dilates pupil Stimulates salivation Relaxes bronchi Accelerates heartbeat Inhibits activity Stimulates glucose Secretion of adrenaline, nonadrenaline Relaxes bladder Stimulates ejaculation in male Sympathetic ganglia Salivary glands Lungs Heart Stomach Pancreas Liver Adrenal gland Kidney
  • 24.
    Basic organization Issuesfrom T 1 -L 2 Preganglionic fibers form the lateral gray horn Supplies visceral organs and structures of superficial body regions Contains more ganglia than the parasympathetic division
  • 25.
    “ Restand digest ” system Calms body to conserve and maintain energy Lowers heartbeat, breathing rate, blood pressure CENTRAL NERVOUS SYSTEM Brain PARASYMPATHETIC Spinal cord Stimulates salivation Constricts bronchi Slows heartbeat Stimulates activity Contracts bladder Stimulates erection of sex organs Stimulates gallbladder Gallbladder Contracts pupil
  • 26.
  • 27.
    Summary of autonomicdifferences Autonomic nervous system controls physiological arousal Sympathetic division (arousing) Parasympathetic division (calming) Pupils dilate EYES Pupils contract Decreases SALVATION Increases Perspires SKIN Dries Increases RESPERATION Decreases Accelerates HEART Slows Inhibits DIGESTION Activates Secrete stress hormones ADRENAL GLANDS Decrease secretion of stress hormones
  • 28.
    Voluntary Skeletal muscleSingle efferent neuron Axon terminals release acetylcholine Always excitatory Controlled by the cerebrum Involuntary Smooth, cardiac muscle; glands Multiple efferent neurons Axon terminals release acetylcholine or norepinephrine Can be excitatory or inhibitory Controlled by the homeostatic centers in the brain – pons, hypothalamus, medulla oblongata
  • 29.
  • 30.
    Most internal organsare innervated by both branches of the ANS which exhibit antagonistic control A great example is heart rate. An increase in sympathetic stimulation causes HR to increase whereas an increase in parasympathetic stimulation causes HR to decrease
  • 31.
    Exception to thedual innervation rule: Sweat glands and blood vessel smooth muscle are only innervated by symp and rely strictly on up-down control. Exception to the antagonism rule: Symp and parasymp work cooperatively to achieve male sexual function. Parasymp is responsible for erection while symp is responsible to ejaculation. There’s similar ANS cooperation in the female sexual response.
  • 32.
    Both ANS divisionsshare the same general structure. Autonomic pathways always consist of 2 neurons in series. They synapse in an autonomic ganglion – would this be outside the CNS The 1 st neuron in the autonomic pathway is the preganglionic neuron, Cell body in CNS, myelinated, and projects to the autonomic ganglion. While the 2 nd neuron is the postganglionic neuron. Cell body in autonomic ganglion, unmyelinated, and projects to the effector or organ.
  • 33.
    Sympathetic CNS ganglionshort preganglionic neuron long postganglionic neuron target Parasympathetic CNS ganglion long preganglionic neuron target short postganglionic neuron Overview of the Autonomic Nervous System Differences between Sympathetic & Parasympathetic Relative Lengths of Neurons
  • 34.
    Parasympathetic Overview ofthe Autonomic Nervous System Differences between Sympathetic & Parasympathetic Neurotransmitters ACh, + NE (ACh at sweat glands) , + / -, α & ß receptors ACh, + / - muscarinic receptors • All preganglionics release acetylcholine (ACh) & are excitatory (+) • Symp. postgangl. — norepinephrine (NE) & are excitatory (+) or inhibitory (-) • Parasymp. postgangl. — ACh & are excitatory (+) or inhibitory (-) Sympathetic • Excitation or inhibition is a receptor-dependent & receptor-mediated response Potential for pharmacologic modulation of autonomic responses ACh, +
  • 35.
    Point of CNSOrigin T1  L2 (thoracolumbar) Brainstem, S2  S4 (craniosacral) Site of Peripheral Ganglia Paravertebral – in sympathetic chain On or near target tissue Length of preganglionic fiber Short Long Length of postganglionic fiber Long Short
  • 36.
    NT at TargetSynapse Norepinephrine (adrenergic neurons) Acetylcholine (cholinergic neurons) Type of NT Receptors at Target Synapse Alpha and Beta (  and  ) Muscarinic NT at Ganglion Acetylcholine Acetylcholine Receptor at Ganglion Nicotinic Nicotinic
  • 37.
  • 38.
  • 39.
    In the followingtables, note the effects of the sympathetic and parasympathetic nervous systems on various body organs.
  • 40.
    Target Organ ParasympatheticEffects Sympathetic Effects Eye (Iris) Stimulates constrictor muscles. Pupil constriction. Stimulates dilator muscles. Pupil dilates. Eye (Ciliary muscle) Stimulates. Lens accommodates – allows for close vision. No innervation. Salivary Glands Watery secretion. Mucous secretion. Sweat Glands No innervation. Stimulates sweating in large amounts. (Cholinergic) Gallbladder Stimulates smooth muscle to contract and expel bile. Inhibits gallbladder smooth muscle. Arrector Pili No innervation Stimulates contraction. Piloerection (Goosebumps)
  • 41.
    Target Organ ParasympatheticEffects Sympathetic Effects Cardiac Muscle Decreases HR. Increases HR and force of contraction. Coronary Blood Vessels Constricts. Dilates Urinary Bladder; Urethra Contracts bladder smooth muscle; relaxes urethral sphincter. Relaxes bladder smooth muscle; contracts urethral sphincter. Lungs Contracts bronchiole (small air passage) smooth muscle. Dilates bronchioles. Digestive Organs Increases peristalsis and enzyme/mucus secretion. Decreases glandular and muscular activity. Liver No innervations No innervation (indirect effect).
  • 42.
    Target Organ ParasympatheticEffects Sympathetic Effects Kidney No innervation. Releases the enzyme renin which acts to increase BP. Penis Vasodilates penile arteries. Erection. Smooth muscle contraction. Ejaculation. Vagina; Clitoris Vasodilation. Erection. Vaginal reverse peristalsis. Blood Coagulation No effect. Increases coagulation rate. Cellular Metabolism No effect. Increases metabolic rate. Adipose Tissue No effect. Stimulates fat breakdown.
  • 43.
    Target Organ ParasympatheticEffects Sympathetic Effects Mental Activity No innervation. Increases alertness. Blood Vessels Little effect. Constricts most blood vessels and increases BP. Exception – dilates blood vessels serving skeletal muscle fibers (cholinergic). Uterus Depends on stage of the cycle. Depends on stage of the cycle. Endocrine Pancreas Stimulates insulin secretion. Inhibits insulin secretion.
  • 44.
    Preganglionic fibers havetheir somat in the lateral horns of the thoracic and lumbar spinal cord. Preganglionic fibers leave the cord via the ventral root and enter a white ramus communicans to enter a chain ganglion – which is part of the sympathetic trunk. Let’s look at a picture!
  • 45.
  • 46.
  • 47.
    Certain splanchnic nervessynapse on hormone-producing cells of the adrenal medulla – the interior of the adrenal glands which sit upon the kidneys. How does this contribute to the “diffuseness” of sympathetic activity?
  • 48.
    The Hypothalamus isthe Boss: Its anterior and medial regions direct parasympathetic function while its posterior and lateral regions direct sympathetic function These centers exert control directly and via nuclei in the reticular formation (e.g., the cardiovascular centers in the MO, respiratory centers in MO and pons, etc.) The connection of the limbic system to the hypothalamus mediates our “flight or flight” response to emotional situations.
  • 49.
  • 50.
  • 51.
    I will openur mouth like my toy

Editor's Notes

  • #12 key words: peripheral nervous system