Department of Pulmonary Medicine
PLEURAL DISEASES
Dr. Rahul Magazine
M.D. (Medicine), D.T.C.D.
Department of Pulmonary Medicine
ANATOMY
• The pleura is the serous membrane that
covers the lung parenchyma (visceral
pleura) , the mediastinum, the diaphragm,
and the rib cage (parietal pleura).
• visceral pleura: blood supply from low-
pressure pulmonary circulation, and has
no sensory nerves
• parietal pleura: from the systemic
circulation and contains sensory nerves
Department of Pulmonary Medicine
PHYSIOLOGY
The two layers of the pleura are separated
by a virtual cavity, which is lubricated by 5 to
10 mL of fluid, facilitates lung expansion,
and helps maintain lung inflation by coupling
the lungs with the chest wall.
Department of Pulmonary Medicine
PNEUMOTHORAX
Department of Pulmonary Medicine
CLASSIFICATION
1. Spontaneous
Primary (e.g. rupture of pleural bleb)
Secondary (e.g.TB, COPD)
2. Traumatic
Iatrogenic (e.g. following thoracic surgery/biopsy)
Non-iatrogenic
Department of Pulmonary Medicine
CLINICAL FEATURES
Symptoms:
Sudden-onset unilateral chest pain ranging
from minimal to severe on the affected side.
Dyspnea occur in nearly all patients.
May present with life-threatening respiratory
failure if underlying diseased lung
Department of Pulmonary Medicine
Signs:
If pneumothorax is small: (< 15% of a
hemithorax), physical findings are unimpressive.
If pneumothorax is large: signs of mediastinal
shift to opposite side, ↓ed movement, ↓ed tactile
fremitus and diminished breath sounds Tension
pneumothorax should be suspected in the
presence of marked tachycardia and
hypotension.
Department of Pulmonary Medicine
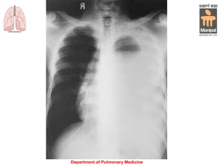
INVESTIGATION
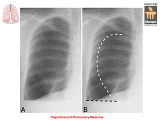
• Chest X-ray shows the sharply defined
edge of the deflated lung with complete
translucency (no lung markings) between
this and the chest wall
• CT Thorax if in doubt
• Investigations aimed at finding the cause
(e.g. Pulmonary TB, COPD)
Department of Pulmonary Medicine
PRIMARY SPONTANEOUS
PNEUMOTHORAX
Incidence and Patient Demographics:
– 7.4/100,000/year for males and
1.2/100,000/year for females.
– The male-to-female predominance ranges from
6-to-1 to 3-to-1.
– 20 and 40 years of age
– taller and thinner
– Occurs almost exclusively in smokers
Department of Pulmonary Medicine
Etiology:
• Rupture of subpleural blebs or bullae on the
apical portion of the upper lobes
• Airway inflammation secondary to cigarette
smoking may contribute to the development
of these blebs
• Other etiologies include abnormalities of
connective tissue (e.g.,Marfan’s syndrome)
• Genetic risk factors
Department of Pulmonary Medicine
Recurrence:
• Approximately one-half of patients
• Usually occurs within 1 to 2 years after the
first episode.
• No predilection for the right or left
hemithorax with the initial episode, 75
percent of recurrences occur on the same
side as the first pneumothorax.
Department of Pulmonary Medicine
Treatment:
• Simple aspiration
• If the lung does not expand with
aspiration, or if the patient has a recurrent
pneumothorax, thoracoscopy with stapling
of blebs and pleural abrasion is indicated.
Thoracoscopy or thoracotomy with pleural
abrasion is almost 100% successful in
preventing recurrences.
Department of Pulmonary Medicine
Prognosis:
Death rare
Department of Pulmonary Medicine
Secondary Spontaneous
Pneumothorax
Incidence and Patient Demographics:
• 6.3/100,000/year for males and
2.0/100,000/year for females
• Patients with secondary spontaneous
pneumothorax are 15 to 20 years older than
patients with primary spontaneous
pneumothorax.
• The risks of recurrence vary from 40 to 80 %
Department of Pulmonary Medicine
Etiology:
• Obstructive lung disease
Chronic obstructive lung disease (COPD)
Asthma
• Interstitial lung disease
Idiopathic pulmonary fibrosis
Eosinophillic granuloma
Lymphangioleiomyomatosis
Department of Pulmonary Medicine
• Infection
Tuberculosis
P. jerovici pneumonia
Acute bacterial pneumonia (i.e.
staphylococcus)
• Malignancy
Primary lung carcinoma
Pulmonary metastasis (especially
sarcomas)Department of Pulmonary Medicine
• Connective tissue disease
Rheumatoid arthritis
Ankylosing spondylitis
• Other
Catamenial pneumothorax
Pulmonary infarction
Department of Pulmonary Medicine
Treatment:
• Nearly all patients treated with tube
thoracostomy.
• Most should also be treated with
thoracoscopy or thoracotomy with the stapling
of blebs and pleural abrasion.
• If the patient not a good operative candidate
or refuses surgery, then pleurodesis to be
done by intrapleural injection of sclerosing
agent such as doxycycline.
Department of Pulmonary Medicine
Prognosis:
In contrast to the low mortality rate in PSP,
in patients with SSP, there is a much higher
risk of mortality.
Department of Pulmonary Medicine
Traumatic Pneumothorax
Department of Pulmonary Medicine
• Trauma is the most common cause of
pneumothorax
• Both penetrating and nonpenetrating chest
trauma
• Treatment is tube thoracostomy unless very
small. If hemopneumothorax is present, one
chest tube placed in the superior part of the
hemithorax to evacuate air, and another
placed in the inferior part of the hemithorax to
remove blood.
COMPLICATIONS
TENSION PNEUMOTHORAX
• Is a pneumothorax in which the pressure
in the pleural space is positive throughout
the respiratory cycle.
• The mechanism responsible for tension
pneumothorax is the disruption of the
visceral or parietal pleura in such a
manner that a one-way valve develops.
Department of Pulmonary Medicine
• A tension pneumothorax can occur after any
type of pneumothorax; it is independent of the
etiology. It can sometimes occur after a
spontaneous pneumothorax but is more
common after a traumatic pneumothorax,
with mechanical ventilation, or during
cardiopulmonary resuscitation.
Department of Pulmonary Medicine
• Clinical picture:
The patient will appear acutely ill
Severe dyspnea, Profuse diaphoresis
Cyanosis
On physical examination:
Profound hypotension and hypoxemia
Distended neck veins
Tracheal deviations to the side opposite,
Subcutaneous emphysema
Unilateral chest hyperinflation.
Department of Pulmonary Medicine
• If the tension in the pleural space is not
relieved, the patient is likely to die from
inadequate cardiac output or marked
hypoxemia.
• A large-bore needle should be inserted into
the pleural space through the second anterior
intercostal space. If large amounts of gas
escape from the needle, the diagnosis is
confirmed. The needle should be left in place
until a thoracostomy tube can be inserted.
Department of Pulmonary Medicine
Re-expansion Pulmonary Edema:
• Re-expansion pulmonary edema is a rare
but potentially lethal condition that can
occur with the rapid reexpansion of a
collapsed lung (after a varied period of
time) after tube thoracostomy is used to
drain air (pneumothorax) or fluid (pleural
effusion) from the pleural space.
Bronchopleural Fistula
Department of Pulmonary Medicine
Department of Pulmonary Medicine
Department of Pulmonary Medicine
Department of Pulmonary Medicine
Department of Pulmonary Medicine
Department of Pulmonary Medicine
PLEURAL EFFUSION
Department of Pulmonary Medicine
MECHANISMS OF PLEURAL FLUID
ACCUMULATION
• Increased hydrostatic pressure in the microvascular
circulation (heart failure)
• Decreased oncotic pressure in the microvascular
circulation (severe hypoalbuminemia)
• Decreased pressure in the pleural space (lung
collapse)
• Increased permeability of the microvascular
circulation (pneumonia)
• Impaired lymphatic drainage from the pleural space
(malignant effusion)
• Movement of fluid from the peritoneal space (ascites)
Department of Pulmonary Medicine
ETIOLOGY
Transudative Pleural Effusions
• Congestive heart failure
• Cirrhosis
• Peritoneal dialysis
• Nephrotic syndrome
• Superior vena cava obstruction
• Myxedema
• Pulmonary thromboemboli
Department of Pulmonary Medicine
Exudative Pleural Effusions
• Infectious diseases
Tuberculosis, Bacterial infections, Fungal,
Viral, Parasitic
• Neoplasms
• Pulmonary thromboembolization
• Gastrointestinal disease
Pancreatitis, Esophageal perforation,
Intra-abdominal abscesses
• Collagen vascular diseases
Rheumatoid arthritis, Lupus erythematosus
Department of Pulmonary Medicine
• Drug-induced pleural disease
Nitrofurantoin, Amiodarone
• Asbestos exposure
• Chylothorax
• Hemothorax
• Postsurgical
• Sarcoidosis
• Uremic pleuritis
• Yellow nail syndrome
Department of Pulmonary Medicine
CLINICAL FEATURES
Symptoms
Many patients have no symptoms referable to
the effusion.
Pleuritic chest pain indicates inflammation of
the pleura
• Some patients with pleural effusions experience
a dull, aching chest pain rather than pleuritic
chest pain. This symptom is very suggestive that
the patient has pleural malignancy.
Department of Pulmonary Medicine
• The presence of either pleuritic chest pain or dull,
aching chest pain indicates that the parietal pleura
is probably involved and that the patient has an
exudative pleural effusion.
Dry, nonproductive cough. It may be related to
pleural inflammation. or lung compression by
the fluid may bring opposing bronchial walls
into contact, stimulating the cough reflex.
Department of Pulmonary Medicine
Dyspnea. A pleural effusion acts as a space-
occupying process in the thoracic cavity and
therefore reduces all subdivisions of lung
volumes.
Department of Pulmonary Medicine
Signs
• Hemithorax will be larger, and the usual
concavity of the intercostal spaces will be
blunted or even convex
• Tactile fremitus is absent or attenuated
because the fluid absorbs the vibrations
emanating from the lung.
• Medisatinal Shift (Tracheal and apical
impulse shift to opposite side)
Department of Pulmonary Medicine
• Percussion note is dull
• Shifting dullness (free fluid)
• Auscultation: reveals decreased or absent
breath sounds. Sometimes pleural rub
Department of Pulmonary Medicine
Clues to the origin are often present elsewhere.
• Cardiomegaly, neck vein distension, or
peripheral edema(CHF).
• Signs of joint disease or subcutaneous
nodules (rheumatoid disease or lupus
erythematosus).
• An enlarged, nontender nodular liver or the
presence of hypertrophic osteoarthropathy
suggests metastatic disease, as do breast
masses or the absence of a breast.
Department of Pulmonary Medicine
• Abdominal tenderness suggests a
subdiaphragmatic process, whereas tense
ascites suggests cirrhosis
• Lymphadenopathy suggests lymphoma,
metastatic disease, or sarcoidosis.
Department of Pulmonary Medicine
INVESTIGATIONS
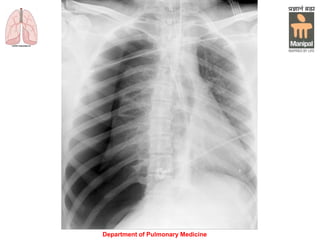
Chest X-ray:
Blunting of the sharp costophrenic angle.
Fluid accumulation between the lung and the
diaphragm (subpulmonic effusion) is
suspected if there is apparent elevation of the
hemidiaphragm or widening of the shadow
between the gas-containing stomach and the
lower left lung margin.
Department of Pulmonary Medicine
Chest X-ray:
Up to 300 mL of fluid may fail to be seen on a PA
chest radiograph, whereas as little as 150 mL may
be seen on a lateral decubitus view.
A supine film (e.g. in ICU patients) may obscure the
diagnosis because the fluid layers posteriorly.
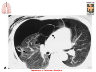
A pseudotumor occurs when fluid loculates in an
interlobar fissure, a clue to the diagnosis is the
presence of pleural fluid elsewhere and a biconvex
lenticular configuration of the mass.
Department of Pulmonary Medicine
• USG
• CT Thorax
• Pleural aspiration
Department of Pulmonary Medicine
Department of Pulmonary Medicine
Ultrasound image of the left hemithorax
Department of Pulmonary Medicine
Computed tomography: Bilateral pleural effusions
are present as a result of pneumonia
Department of Pulmonary Medicine
PLEURAL EFFUSION.: A, Blood-stained pleural aspirate. This patient
had pleural metastases from carcinoma of the breast.
B, Chylous pleural effusion. This patient had bronchial carcinoma that
had invaded and obstructed the thoracic duct.
C, Pleural transudate. This pale effusion is typically found in patients
with heart failure or other causes of generalized edema.
Department of Pulmonary Medicine
Department of Pulmonary Medicine
Department of Pulmonary Medicine
EMPYEMA
• Is pus in the pleural space
Etiology:
• Empyema is always secondary to infection
in a neighbouring structure, usually the
lung. The principal infections liable to
produce empyema are the bacterial
pneumonias and TB.
Department of Pulmonary Medicine
• Pathophysiology:
parapneumonic pleural effusion
exudative stage
↓
fibropurulent stage
↓
organization stage
Department of Pulmonary Medicine
Clinical Features
Symptoms:
• Pyrexia, usually high and remittent
• Rigors, sweating, malaise and weight loss
• Pleural pain
• Breathlessness
• Cough and sputum usually because of
underlying lung disease;
• Copious purulent sputum (bronchopleural
fistula)
Department of Pulmonary Medicine
Signs:
• Clinical signs of fluid in the pleural space
• Intercostal tenderness
Department of Pulmonary Medicine
Treatment
• Antibiotics OR anti tubercular drugs
• Intercostal tube drainage
• Decortication if gross thickening of the
visceral pleura has developed and is
preventing re-expansion of the lung
Department of Pulmonary Medicine
THANK YOU
Department of Pulmonary Medicine

Pleural disease

  • 1.
    Department of PulmonaryMedicine PLEURAL DISEASES Dr. Rahul Magazine M.D. (Medicine), D.T.C.D. Department of Pulmonary Medicine
  • 2.
    ANATOMY • The pleurais the serous membrane that covers the lung parenchyma (visceral pleura) , the mediastinum, the diaphragm, and the rib cage (parietal pleura). • visceral pleura: blood supply from low- pressure pulmonary circulation, and has no sensory nerves • parietal pleura: from the systemic circulation and contains sensory nerves Department of Pulmonary Medicine
  • 3.
    PHYSIOLOGY The two layersof the pleura are separated by a virtual cavity, which is lubricated by 5 to 10 mL of fluid, facilitates lung expansion, and helps maintain lung inflation by coupling the lungs with the chest wall. Department of Pulmonary Medicine
  • 4.
  • 5.
    CLASSIFICATION 1. Spontaneous Primary (e.g.rupture of pleural bleb) Secondary (e.g.TB, COPD) 2. Traumatic Iatrogenic (e.g. following thoracic surgery/biopsy) Non-iatrogenic Department of Pulmonary Medicine
  • 6.
    CLINICAL FEATURES Symptoms: Sudden-onset unilateralchest pain ranging from minimal to severe on the affected side. Dyspnea occur in nearly all patients. May present with life-threatening respiratory failure if underlying diseased lung Department of Pulmonary Medicine
  • 7.
    Signs: If pneumothorax issmall: (< 15% of a hemithorax), physical findings are unimpressive. If pneumothorax is large: signs of mediastinal shift to opposite side, ↓ed movement, ↓ed tactile fremitus and diminished breath sounds Tension pneumothorax should be suspected in the presence of marked tachycardia and hypotension. Department of Pulmonary Medicine
  • 8.
    INVESTIGATION • Chest X-rayshows the sharply defined edge of the deflated lung with complete translucency (no lung markings) between this and the chest wall • CT Thorax if in doubt • Investigations aimed at finding the cause (e.g. Pulmonary TB, COPD) Department of Pulmonary Medicine
  • 9.
    PRIMARY SPONTANEOUS PNEUMOTHORAX Incidence andPatient Demographics: – 7.4/100,000/year for males and 1.2/100,000/year for females. – The male-to-female predominance ranges from 6-to-1 to 3-to-1. – 20 and 40 years of age – taller and thinner – Occurs almost exclusively in smokers Department of Pulmonary Medicine
  • 10.
    Etiology: • Rupture ofsubpleural blebs or bullae on the apical portion of the upper lobes • Airway inflammation secondary to cigarette smoking may contribute to the development of these blebs • Other etiologies include abnormalities of connective tissue (e.g.,Marfan’s syndrome) • Genetic risk factors Department of Pulmonary Medicine
  • 11.
    Recurrence: • Approximately one-halfof patients • Usually occurs within 1 to 2 years after the first episode. • No predilection for the right or left hemithorax with the initial episode, 75 percent of recurrences occur on the same side as the first pneumothorax. Department of Pulmonary Medicine
  • 12.
    Treatment: • Simple aspiration •If the lung does not expand with aspiration, or if the patient has a recurrent pneumothorax, thoracoscopy with stapling of blebs and pleural abrasion is indicated. Thoracoscopy or thoracotomy with pleural abrasion is almost 100% successful in preventing recurrences. Department of Pulmonary Medicine
  • 13.
  • 14.
    Secondary Spontaneous Pneumothorax Incidence andPatient Demographics: • 6.3/100,000/year for males and 2.0/100,000/year for females • Patients with secondary spontaneous pneumothorax are 15 to 20 years older than patients with primary spontaneous pneumothorax. • The risks of recurrence vary from 40 to 80 % Department of Pulmonary Medicine
  • 15.
    Etiology: • Obstructive lungdisease Chronic obstructive lung disease (COPD) Asthma • Interstitial lung disease Idiopathic pulmonary fibrosis Eosinophillic granuloma Lymphangioleiomyomatosis Department of Pulmonary Medicine
  • 16.
    • Infection Tuberculosis P. jerovicipneumonia Acute bacterial pneumonia (i.e. staphylococcus) • Malignancy Primary lung carcinoma Pulmonary metastasis (especially sarcomas)Department of Pulmonary Medicine
  • 17.
    • Connective tissuedisease Rheumatoid arthritis Ankylosing spondylitis • Other Catamenial pneumothorax Pulmonary infarction Department of Pulmonary Medicine
  • 18.
    Treatment: • Nearly allpatients treated with tube thoracostomy. • Most should also be treated with thoracoscopy or thoracotomy with the stapling of blebs and pleural abrasion. • If the patient not a good operative candidate or refuses surgery, then pleurodesis to be done by intrapleural injection of sclerosing agent such as doxycycline. Department of Pulmonary Medicine
  • 19.
    Prognosis: In contrast tothe low mortality rate in PSP, in patients with SSP, there is a much higher risk of mortality. Department of Pulmonary Medicine
  • 20.
    Traumatic Pneumothorax Department ofPulmonary Medicine • Trauma is the most common cause of pneumothorax • Both penetrating and nonpenetrating chest trauma • Treatment is tube thoracostomy unless very small. If hemopneumothorax is present, one chest tube placed in the superior part of the hemithorax to evacuate air, and another placed in the inferior part of the hemithorax to remove blood.
  • 21.
    COMPLICATIONS TENSION PNEUMOTHORAX • Isa pneumothorax in which the pressure in the pleural space is positive throughout the respiratory cycle. • The mechanism responsible for tension pneumothorax is the disruption of the visceral or parietal pleura in such a manner that a one-way valve develops. Department of Pulmonary Medicine
  • 22.
    • A tensionpneumothorax can occur after any type of pneumothorax; it is independent of the etiology. It can sometimes occur after a spontaneous pneumothorax but is more common after a traumatic pneumothorax, with mechanical ventilation, or during cardiopulmonary resuscitation. Department of Pulmonary Medicine
  • 23.
    • Clinical picture: Thepatient will appear acutely ill Severe dyspnea, Profuse diaphoresis Cyanosis On physical examination: Profound hypotension and hypoxemia Distended neck veins Tracheal deviations to the side opposite, Subcutaneous emphysema Unilateral chest hyperinflation. Department of Pulmonary Medicine
  • 24.
    • If thetension in the pleural space is not relieved, the patient is likely to die from inadequate cardiac output or marked hypoxemia. • A large-bore needle should be inserted into the pleural space through the second anterior intercostal space. If large amounts of gas escape from the needle, the diagnosis is confirmed. The needle should be left in place until a thoracostomy tube can be inserted. Department of Pulmonary Medicine
  • 25.
    Re-expansion Pulmonary Edema: •Re-expansion pulmonary edema is a rare but potentially lethal condition that can occur with the rapid reexpansion of a collapsed lung (after a varied period of time) after tube thoracostomy is used to drain air (pneumothorax) or fluid (pleural effusion) from the pleural space. Bronchopleural Fistula Department of Pulmonary Medicine
  • 26.
  • 27.
  • 28.
  • 29.
  • 30.
  • 31.
  • 32.
    MECHANISMS OF PLEURALFLUID ACCUMULATION • Increased hydrostatic pressure in the microvascular circulation (heart failure) • Decreased oncotic pressure in the microvascular circulation (severe hypoalbuminemia) • Decreased pressure in the pleural space (lung collapse) • Increased permeability of the microvascular circulation (pneumonia) • Impaired lymphatic drainage from the pleural space (malignant effusion) • Movement of fluid from the peritoneal space (ascites) Department of Pulmonary Medicine
  • 33.
    ETIOLOGY Transudative Pleural Effusions •Congestive heart failure • Cirrhosis • Peritoneal dialysis • Nephrotic syndrome • Superior vena cava obstruction • Myxedema • Pulmonary thromboemboli Department of Pulmonary Medicine
  • 34.
    Exudative Pleural Effusions •Infectious diseases Tuberculosis, Bacterial infections, Fungal, Viral, Parasitic • Neoplasms • Pulmonary thromboembolization • Gastrointestinal disease Pancreatitis, Esophageal perforation, Intra-abdominal abscesses • Collagen vascular diseases Rheumatoid arthritis, Lupus erythematosus Department of Pulmonary Medicine
  • 35.
    • Drug-induced pleuraldisease Nitrofurantoin, Amiodarone • Asbestos exposure • Chylothorax • Hemothorax • Postsurgical • Sarcoidosis • Uremic pleuritis • Yellow nail syndrome Department of Pulmonary Medicine
  • 36.
    CLINICAL FEATURES Symptoms Many patientshave no symptoms referable to the effusion. Pleuritic chest pain indicates inflammation of the pleura • Some patients with pleural effusions experience a dull, aching chest pain rather than pleuritic chest pain. This symptom is very suggestive that the patient has pleural malignancy. Department of Pulmonary Medicine
  • 37.
    • The presenceof either pleuritic chest pain or dull, aching chest pain indicates that the parietal pleura is probably involved and that the patient has an exudative pleural effusion. Dry, nonproductive cough. It may be related to pleural inflammation. or lung compression by the fluid may bring opposing bronchial walls into contact, stimulating the cough reflex. Department of Pulmonary Medicine
  • 38.
    Dyspnea. A pleuraleffusion acts as a space- occupying process in the thoracic cavity and therefore reduces all subdivisions of lung volumes. Department of Pulmonary Medicine
  • 39.
    Signs • Hemithorax willbe larger, and the usual concavity of the intercostal spaces will be blunted or even convex • Tactile fremitus is absent or attenuated because the fluid absorbs the vibrations emanating from the lung. • Medisatinal Shift (Tracheal and apical impulse shift to opposite side) Department of Pulmonary Medicine
  • 40.
    • Percussion noteis dull • Shifting dullness (free fluid) • Auscultation: reveals decreased or absent breath sounds. Sometimes pleural rub Department of Pulmonary Medicine
  • 41.
    Clues to theorigin are often present elsewhere. • Cardiomegaly, neck vein distension, or peripheral edema(CHF). • Signs of joint disease or subcutaneous nodules (rheumatoid disease or lupus erythematosus). • An enlarged, nontender nodular liver or the presence of hypertrophic osteoarthropathy suggests metastatic disease, as do breast masses or the absence of a breast. Department of Pulmonary Medicine
  • 42.
    • Abdominal tendernesssuggests a subdiaphragmatic process, whereas tense ascites suggests cirrhosis • Lymphadenopathy suggests lymphoma, metastatic disease, or sarcoidosis. Department of Pulmonary Medicine
  • 43.
    INVESTIGATIONS Chest X-ray: Blunting ofthe sharp costophrenic angle. Fluid accumulation between the lung and the diaphragm (subpulmonic effusion) is suspected if there is apparent elevation of the hemidiaphragm or widening of the shadow between the gas-containing stomach and the lower left lung margin. Department of Pulmonary Medicine
  • 44.
    Chest X-ray: Up to300 mL of fluid may fail to be seen on a PA chest radiograph, whereas as little as 150 mL may be seen on a lateral decubitus view. A supine film (e.g. in ICU patients) may obscure the diagnosis because the fluid layers posteriorly. A pseudotumor occurs when fluid loculates in an interlobar fissure, a clue to the diagnosis is the presence of pleural fluid elsewhere and a biconvex lenticular configuration of the mass. Department of Pulmonary Medicine
  • 45.
    • USG • CTThorax • Pleural aspiration Department of Pulmonary Medicine
  • 46.
  • 47.
    Ultrasound image ofthe left hemithorax Department of Pulmonary Medicine
  • 48.
    Computed tomography: Bilateralpleural effusions are present as a result of pneumonia Department of Pulmonary Medicine
  • 49.
    PLEURAL EFFUSION.: A,Blood-stained pleural aspirate. This patient had pleural metastases from carcinoma of the breast. B, Chylous pleural effusion. This patient had bronchial carcinoma that had invaded and obstructed the thoracic duct. C, Pleural transudate. This pale effusion is typically found in patients with heart failure or other causes of generalized edema. Department of Pulmonary Medicine
  • 50.
  • 51.
  • 52.
    EMPYEMA • Is pusin the pleural space Etiology: • Empyema is always secondary to infection in a neighbouring structure, usually the lung. The principal infections liable to produce empyema are the bacterial pneumonias and TB. Department of Pulmonary Medicine
  • 53.
    • Pathophysiology: parapneumonic pleuraleffusion exudative stage ↓ fibropurulent stage ↓ organization stage Department of Pulmonary Medicine
  • 54.
    Clinical Features Symptoms: • Pyrexia,usually high and remittent • Rigors, sweating, malaise and weight loss • Pleural pain • Breathlessness • Cough and sputum usually because of underlying lung disease; • Copious purulent sputum (bronchopleural fistula) Department of Pulmonary Medicine
  • 55.
    Signs: • Clinical signsof fluid in the pleural space • Intercostal tenderness Department of Pulmonary Medicine
  • 56.
    Treatment • Antibiotics ORanti tubercular drugs • Intercostal tube drainage • Decortication if gross thickening of the visceral pleura has developed and is preventing re-expansion of the lung Department of Pulmonary Medicine
  • 57.
    THANK YOU Department ofPulmonary Medicine