PLEURAL EFFUSION:APPROACH AND
MANAGEMENT
DR AHMAD TANWEER
UNIT-DR(PROF)ASHOK SHANKER SINGH
DEFINITION
Pleural effusion results from fluid accumulating in the
potential space between the visceral and parietal
pleura When there is an imbalance between formation
and absorption in various disease states , in response
to injury , inflammation, or both locally and
systematically .
PLEURAL FLUID FORMATION
• It is believed that the fluid that normally enter the pleural
space originates in the capillaries in parietal pleura
• Pleural fluid absorbed by lymphatic vesseles in the parietal
pleura by means of stoma in the parietal pleura
• Rate of formation equals the rate of absorption which is
about 0.01 – 0.02 ml/kg per hr.
• Lymphatics have the capacity to absorb 20 times more
than what is Produced.
• Fluid can also enter the pleural cavity from interstitial
spaces of lung through visceral pleura.
• Peritoneal fluid can enter the pleural cavity via diaphragm
pores.
Schematic diagram of pleural anatomy
• The lymphatic vessels in the
parietal pleura are in direct
communication with the
pleural space by means of
stomas.
These stomas are the only
route through which cells
and large particles can leave
the pleural space.
• Although there are
abundant lymphatics in the
visceral pleura, these
lymphatics do not appear to
participate in the removal
of particulate matter from
the pleural space.
Pathogenesis of pleural effusion
• Pleural fluid accumulates when the rate of
pleural fluid formation exceeds the rate of
pleural fluid reabsorption
• Normally 0.01ml/kg /hr of fluid constantly
enters the pleural space from the capillaries in
the parietal pleura
• Almost all the fluid removed by the lymphatic
in the parietal pleura which have the capacity
to remove at least 0.20ml/kg/hr
General causes of pleural effusion
Increased pleural fluid formation
• Increased interstitial fluid in the lung –LVF ,pneumonia and
pulmonary embolus
• Increased intravascular pressure in the pleura –RVF, LVF,superior
venacaval syndrome
• Increased permeability of the capillaries in the pleura-pleural
inflammation, increased level of VEGF
• Increased pleural fluid protein level
• Decreased pleural pressure-lung atelectasis, increased elastic recoil
of the lung
• Increased fluid in peritoneal cavity-ascites, peritoneal dialysis
• Disruption of thoracic duct
• Disruption of blood vessels in thorax
continued….
Decreased pleural fluid absorption
• Obstruction of lymphatic in parietal pleura
• Elevation of systemic vascular pressure-
superior vena caval syndrome ,RVF
• Disruption of the aquaporin system in the
pleura
Types of pleural effusion
TRANSUDATIVE –
• A transudative pleural effusion develops when
the systemic factor influencing the formation
or absorption of pleural fluid altered so that
pleural fluid accumulate
• The fluid may originate in the lung pleura or
the peritoneal cavity
• The permeability of capillaries to protein is
normal in the area where fluid is formed
Continued…
TRANSDUATIVE
• Congestive heart failure
• Cirrhosis
• Nephrotic syndrome
• Peritoneal dialysis
• Superior vena cava obstruction
• Myxedema
• Urinothorax
Continued…
EXUDATIVE-
• exudative pleural effusion develop when the
pleural surface or the capillaries in the
location where fluid originates are altered
such that fluid accumulate.
Continued…
• Neoplastic diseases
Metastatic disease
Mesothelioma
• Infectious diseases
Bacterial infections
Tuberculosis
Fungal infections
Viral infections
Parasitic infections
Pulmonary embolization
• Gastrointestinal disease
Esophageal perforation
Pancreatic disease
Intraabdominal abscess
Diaphragmatic hernia
After abdominal surgery
Endoscopic variceal
sclerotherapy
After liver transplant
Continued…
Collagen-vascular diseases
Rheumatoid pleuritis
Systemic lupus
erythematosus
Sjögren's syndrome
Wegener's granulomatosis
Churg-Strauss syndrome
• Post-coronary artery
bypass surgery
• Asbestos exposure
• Dressler’s syndrome
• Uremia
• Meigs' syndrome
• Yellow nail syndrome
Continued…
• Trapped lung
• Radiation therapy
• Hemothorax
• Iatrogenic injury
• Ovarian
hyperstimulation
syndrome
• Pericardial disease
• Chylothorax
Drug-induced pleural
disease
Nitrofurantoin
Dantrolene
Methysergide
Bromocriptine
Procarbazine
Amiodarone
Dasatinib
SEPARATION OF TRANSDUATIVE FROM
EXUDATIVE EFFUSION
LIGHT’S CRITERIA
1- Pleural fluid protein-to-serum protein ratio more
than 0.5
2- Pleural fluid LDH-to-serum LDH ratio more than
0.6
3-Pleural fluid LDH level greater than two third the
upper limit of normal serum level
Serum-effusion albumin gradient (SAG)
• In general Light’s criteria occasionally misidentify a
transudative effusion as an exudative effusion as in
cardiac failure with diuretic therapy
• Clinically if a patient should have a transudative effusion,
but meets Light’s criteria for an exudative effusion,
measure serum - pleural fluid albumin gradient,or
measure the serum-pleural protein gradient
• Serum- effusion albumin gradient of more than 1.2 g/dl -
transudative
• Serum-effusion protein gradient more than 3.1g/dl-
transudative
• An alternative approach to measure NT pro BNP
level(>1500pg/ml)
OTHER TESTS
• SPECIFIC GRAVITY-used in past to separate transudative
from exudative. A specific gravity of 1.015 corresponds
to protien contents of 3 g /dl, and this value was used
to separate from exudative from transudative
• NT PRO BNP-the level of NT pro BNP in the pleural fluid
are used to establish the diagnosis of
CHF(>1500pg/ml). level of NT pro BNP in making
diagnosis of heart failure is superior to that of the BNP
• GLUCOSE MEASURMENT-low pleural glucose level
(<60mg/dl)indicates-parapneumonic effusion,
malignant disease, rheumatoid disease, tuberculus
pleuritis. presence of low glucose level is poor
prognostic sign in parapneumonic effusion
Continued…
• AMYLASE DETERMINATION-pleural fluid
amylase level above upper normal limit
(200iu/ml)for serum indicates the patient has
one of three problem-
1. pancreatic disease
2. malignant tumor
3. esophageal rupture
Amylase in malignant pleural effusion and
esophageal rupture is of salivary type.
Continued…
LDH MEASUREMENT-
• LDH is reliable indicator of the degree of pleural
inflammation, higher the LDH ,more inflamed the pleural
surface
• most of the patient who meet the criteria of exudative
pleural effusion with LDH but not with protein level have
either parapneumonic effusion or malignant pleural
disease.
• LDH isoenzyme determination in only one situation when
there is bloody pleural effusion in a patient who is clinically
thought to have transudative pleural effusion. if LDH is in
exudative range, and the protein in transudative range ,the
demonstration the most of LDH is LDH1 indicates that the
increase in the LDH is due to blood
Continued…
PH -If the pleural fluid pH is less than 7.2 it means that the
patient has 1 of 10 conditions
1. Complicated parapneumonic effusion
2. Esophageal rupture
3. Rheumatoid pleuritis
4. Tuberculous pleuritis
5. Malignant pleural disease
6. Hemothorax
7. Systemic acidosis
8. Paragonimiasis
9. Lupus pleuritis
10. Urinothorax
In general pleural fluid with low pH also have a low glucose
and high LDH level. if the laboratory report a low pH with
normal glucose and low LDH level ,the pH measurement
probably a laboratory error
continued…
Total and Differential Cell Counts
Predominance of neutrophils in the fluid >50% indicates
that an acute process is affecting the pleura.IL8 is primary
chemotaxins for neutrophil in the pleural space.
Common causes include
• parapneumonic effusions (81 percent),
• effusions secondary to pulmonary embolus (80
percent), and
• those secondary to pancreatitis(80 percent).
Mononuclear cells like small lymphocytes >50% indicates
a chronic process.
• cancer or tuberculous pleuritis,
• effusions after coronary-artery bypass surgery.
Continued…
Pleural-fluid eosinophilia >10%
• IL5(CD4 CELLS) and eotaxin 3.
• caused in about two thirds of cases by blood or
air in the pleural space.
• uncommon in cancer or tuberculosis, unless the
patient has undergone repeated thoracentesis
• Other causes reactions to drugs (dantrolene,
bromocriptine, or nitrofurantoin), exposure to
asbestos, paragonimiasis, and the Churg–Strauss
syndrome
Basophil-count more than 10 per are common with
leukaemic pleural involvement
Markers of Tuberculosis
• ADA MEASUREMENT-ADA is enzyme that catalyze the
conversion of adenosine to inosine. cutoff level is 40u/l.
• Two main disease that cause an elevated ADA in addition to
tuberculosis are rheumatoid pleuritis and empyema.
• If the diagnostic criteria for tuberculous pleuritis patient
also include a pleural fluid lymphocyte to neutrophil ratio
greater than 0.75 the specificity of the test is increased.
• ADA has 2 isoenzymes ADA1 and ADA2.ADA1 is produced
by lymphocyte, neutrophil , monocyte and macrophage.in
contrast ADA 2 exist only in monocyte and macrophages.
the increase in ADA activity in tuberculous pleuritis is
mainly due to ADA2 .(origin of pleural fluid ADA is probably
pleural tissue).ADA1 to ADA2 ratio of less than 0.42
increased the accuracy.
• Sensitivity and specifity for ADA IS 93%
Markers of Tuberculosis
INTERFERON-GAMMA
• Produced by cd4 lymphocyte
• levels above 140pg/ml are very suggestive of TB
• Elevated whether or not the patient is
immunosuppressed
• Is more expensive than ADA
• Sensitivity and specificity for interferon-gamma is 96%
C REACTIVE PROTIEN
• Patient with tuberculous pleuritis tend to have higher
pleural fluid level of C reactive protein than do patient
with other lymphocytic pleural effusion. level >50
mg/dl high specificity for tuberculosis. but it doesn’t
appear to be as accurate as ADA level
Continued…
• Lysozyme-the level of lysozyme in pleural fluid tend to
be higher in pleura fluid from patient with tuberculous
pleuritis than in other types of exudate.
• Procalcitonin-higher mean level with empyema
followed by parapneumonic effusion and then
tuberculous pleurisy and malignant pleural effusion.
• If eosinophils are found in pleural fluid in significant
number(>10 %)one can virtually exclude the diagnosis
of tuberculous pleuritis unless the patient has
pneumothorax or had a previous thoracentesis
• Pleural fluid from patient with TB rarely contains more
than 5% mesothelial cells.it has been suggested that
hiv infected with TB have significant number of
mesothelial cells.
Continued…
PCR FOR DIAGNOSIS OF TUBERCULOUS
PLEURITIS-
• With PCR one can identify the presence of
DNA from M. tuberculosis in the pleural fluid
• PCR was not superior to an ADA level >45
• In general PCR in pleural fluid has been less
sensitive than PCR of other material
• Sensitivity and specificity of PCR for diagnosis
of tuberculus pleuritis is 81% and 100%
respectively
Continued…
Pleural biopsy in tuberculous pleuritis-
• demonstration of granuloma in the parietal pleura
suggests tuberculous pleuritis; caseous necrosis and
AFB need not be demonstrated
• More than 95 per of patient with granulomatous
pleuritis have TB
• ADA which are at least as sensitive in diagnosing
tuberculous pleuritis as needle biopsy of the pleura,
resulted in decrease use of the needle biopsy of pleura
• Indication of needle biopsy of pleura
1. Tuberculous pleuritis
2. malignancy
Smears and Cultures
• for nonimmunosuppressd patients routine smears of the
pleural fluid for mycobacteria are not indicated because
they are usually negative, unless the patient has
tuberculous empyema
• Pleural fluid from patients with undiagnosed exudative
pleural effusion should be cultured for bacteria,
mycobacteria and fungi.
• Fluid should be inoculated directly into blood culture media
at bedside because the number positive culture will
increase with this methods
• For mycobacteria culture use of BACTEC system with
bedside inoculation provides higher yields and faster result.
• The sensitivities of pleural fluid culture and AFB smear
were 42% and 1%, respectively
RADIOGRAPHIC EXAMINATION
• the fluid first gravitates at the base of hemithorax and come to rest
between inferior surface of the lung and diaphragm, particularly
posteriorly where the pleural sinus is most posteriorly
• Subpulmonic or infrapulmonary effusion
1. At times for unknown reason substantial amount of pleural fluid
(>1000ml)can be present may remain in an infrapulmonary location
without spilling into costophrenic sulci or extending up the chest wall.
such pleural fluid accumulation are called subpulmonic or infrapulmonic
effusion
2. The following radiologic characteristics are common to subpulmonic
effusion and presence of one or more of these characteristics serve as
an indication of decubitus examination
a)apparent elevation of one or both diaphragm
b)apex of apparent diaphragm is more lateral than usual
c)slope of apparent diaphragm is more sharply towards the costophrenic
angle
d)normally the top of the left diaphragm on the PA view is less than 2 cm
above stomach air bubble .a separation greater than 2 cm suggests
subpulmonic effusion
e)lower lobe vessels may not be seen below the apparent diaphragmatic
border
RADIOGRAPHIC EXAMINATION
• 75 mL-subpulmonic space without spill over, can
obliterate the posterior costophrenic sulcus,
• 175 mL is necessary to obscure the lateral
costophrenic sulcus on an upright chest
radiograph
• 500 mL will obscure the diaphragmatic contour
on an upright chest radiograph;
• 1000 ml of effusion reaches the level of the
fourth anterior rib,
• On decubitus radiographs and CT scans, less than
10 mL.
RADIOGRAPHIC EXAMINATION
Based on the decubitus films
• small effusions are thinner than 1.5 cm,
moderate effusions are 1.5 to 4.5 cm thick,
and large effusions exceed 4.5 cm.
• Effusions thicker than one cm are usually large
enough for sampling by thoracentesis, since at
least 200 mL of liquid are already present
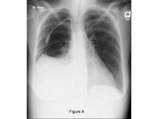
A posteroanterior and lateral chest radiograph of pleural effusion
blunting of the posterior costophrenic angle
Continued…
ROLE OF USG-
1. Determining whether pleural fluid is present
2. Identification of appropriate location for an attempted
thoracentesis ,pleural biopsy or chest tube placement
3. Identification of pleural fluid loculations
4. Distinction of pleural fluid from pleural thickening
5. Quantitation of amount of pleural fluid
6. Differentiation of pyopneumothorax from lung abscess
7. Assessment as to whether a pleurodesis is present
8. Evaluation of trauma patient for the presence of a
Hemothorax or pneumothorax
Continued…
Role of CT scan
• Visualization of underlying lung parenchymal
processes that are obscured on chest
radiographs by large pleural effusions
• Distinguishing empyema from lung abscess
• Help in distinguishing benign from malignant
pleural effusion-pleural nodularity,
mediastinal pleura involvement, pleural
thickening greater than 1 cm.
Continued…
Loculated pleural effusion
• Encapsulated by adhesion anywhere between parietal
and visceral pleura or in the interlobar fissure
• It occurs most commonly with intense pleural
inflammation such as empyema hemothorax,or
tuberculous pleuritis.
• A definitive diagnosis of loculated pleural effusion is
best established by ultrasound.
• Loculated effusion in fissure may simulate a mass in PA
radiograph. Most frequently seen in patient with CHF,
and because the fluid absorb spontaneously when the
CHF is treated these fluid collection have been termed
vanishing tumor or pseudotumor. the most common
location of these tumor is right horizontal fissure.
APPROACH TO THE PATIENT
• If thickness of fluid greater than 10 mm on
decubitus radiograph, USG, CT scan, then we
should performing diagnostic thoracentesis
• In CHF diagnostic thoracentesis is performed
if-
1. The effusion are not bilateral
2. Patient has pleuritic chest pain
3. Patient is febrile.
Continued…
APPEARANCE OF PLEURAL FLUID
• Bloody- Cancer, PE, Trauma, Pneumonia in that
order
• Turbid- either due to cells or debris or a high lipid
level- Empyema
Chylothorax
pseudochylothorax
• Putrid odour- Anaerobic infection.
• Ammonia odour- urinothorax
Continued…
Bloody : Hematocrit compared to the blood :
• <1% is not significant
• 1-20% indicates either cancer, PE or trauma
• >50% indicates hemothorax.
Centrifuging turbid or milky pleural fluid will distinguish
between empyema and lipid effusions.
• If the supernatant is clear then the turbid fluid was due
to empyema
• If it is still turbid
-chylothorax OR
- pseudochylothorax
Check TG - >110mg/dl – chylothorax
If TG<50mg/dl and cholesterol>250 - pseudochylothorax
PARAPNEUMONIC EFFUSION AND
EMPYEMA
• Any pleural effusion associated with bacterial
pneumonia ,lung abscess, or bronchiectasis is
a parapneumonic effusion
• An empyema is pus in pleural space
• Complicated parapneumonic effusion-refer to
those effusion that do not resolve without
therapeutic thoracentesis or tube
thoracostomy
Bad prognostic factor for parapneumonic effusion
and empyema (in decreasing order of importance)
1. Pus present in pleural space
2. Gram stain of pleural fluid is positive
3. Pleural fluid glucose below 40mg/dl
4. Pleural fluid culture positive
5. Pleural fluid ph<7
6. Pleural fluid LDH >3times upper normal limit for
serum
7. Pleural fluid loculated
These factors indicating that likely need for a
procedure more invasive than a thoracentesis
Etiology
• Bacterial, viral,Atypical
• Aerobic gram-positive –S pneumoniae
• Staphylococcus aureus , streptococcus milleri
• Aerobic gram-negative Klebsiella,Pseudomonas,
E coli, and Haemophilus
• Anaerobic -Bacteroides and Peptostreptococcus
• Patients with pneumonia due to Legionella
species
LIGHT’S CLASSIFICATION AND TREATMENT SCHEME FOR
PARAPNEUMONIC EFFUSION AND EMPYEMA
Appearance and Radiologic
Class Type Studies Appearance Treatment
1 Insignificant pleural Thoracentesis not
effusion (<10 mm indicated
thick) on decubitus
radiograph)
2 Typical para- Glucose >40 mg/dL Antibiotics alone
pneumonic pH>7.2,LDH<3times of upper normal
pleural effusion Gram stain and culture
(>10 mm thick) negative
Continued…
Appearance and Radiologic
Class Type Studies Appearance Treatment
3 Borderline pH 7.0-7.2 and/or No loculations Antibiotics and
complicated LDH>3times of upper normal serial thoracentesis
pleural effusion Glucose >40 mg/dL
Gram stain and culture
negative
4 Simple compli- ph<7.0 and/or Not loculated, Tube thoracostomy
cated pleural Glucose <40 mg/dL nonpurulent and antibiotics or
effusion and/or serial thoracentesis
Gram stain culture
positive
Continued…
Appearance and Radiologic
Class Type Studies Appearance Treatment
5 Complex complicated pH<7.0 and/or Multiloculated Tube thoracostomy
pleural effusion Glucose <40 mg/dL nonpurulent & fibrinolytic agent
and/or In rare instances
Gram stain or culture surgical intervention
positive
6 Simple empyema Frank pus Single loculation or Tube thoracostomy
with or without
decortication
7 Complex empyema Frank pus Multiple locules Tube thoracostomy &
fibrinolytic agents
Often thoracoscopy
Pleural effusion related to metastatic
malignancies
• 2nd most common cause of exudative pleural
effusion after parapneumonic effusion
• Leading cause of exudative pleural effusion
leading to thoracentesis
• Common causes of malignant pleural effusion
1. Lung carcinoma
2. Breast carcinoma
3. Lymphoma and leukemia
4. Ovarian carcinoma
5. sarcoma
Mechanism by which malignant disease leads to
pleural effusion
Direct result-
1. Pleural metastases with increase permeability
2. Pleural metastases with obstruction of pleural lymphatic
vessels
3. Mediastinal lymph node involvement with decreased pleural
lymphatic drainage
4. Thoracic duct interruption(chylothorax)
5. Bronchial obstruction
6. Pericardial involvement
Indirect result
1. Hypoprotienemia
2. Postobstructive pneumonitis
3. Pulmonary embolism
4. Post radiation therapy
Pleural fluid in malignant pleural effusion
• Almost exudative
• Most pleural effusion that meet exudative criteria by
the LDH but not by protein level are malignant pleural
effusion
• bloody pleural effusion
• Low pleural glucose level in malignant pleural effusion
indicates high tumor burden in pleural space
• Approx. one third of patient with malignant disease
have a low PH level. low pleural PH also tend to have a
low pleural glucose level. they have greater tumor
burden, are more likely to have positive pleural fluid
cytology and pleural biopsy.
• Approx. 10 per of patient with malignant pleural
effusion have an elevated amylase level
Diagnosis of malignant pleural effusion
• Cytology- is a fast, efficient, and minimally invasive
establishes the diagnosis in more than 70 percent of cases
of metastatic adenocarcinoma less efficient
in the diagnosis of a mesothelioma squamous cell
carcinoma, lymphoma or a sarcoma.
• Immunohistochemical tests-metastatic adenocarcinoma
tend to stain positive with CEA,MOC31,BG8,TTF1. whereas
malignant mesothelial cells and benign mesothelial cells
stain positive with calretinin,keratin5/6,podoplanin,wt1.
• Tumor markers in pleural fluid-CEA,CA,NSE,SCC antigen,
cytokeratin 19 fragment,
• Blood marker of mesothelioma-soluble mesothelin related
protien(smrp),osteopontin,megakaryocye potentiating
factor(MPF)
• If cytology is negative – go for thoracoscopy.
MANAGEMENT
PARAPNEUMONIC EFFUSION
• Antibiotic selection-
1. for CAP that are not severe- fluoroquinoles or beta-lactam
2. For sever community acquired pneumonia in whom
pseudomonas infection is not issue-beta lactam plus
macrolide or fluoroquinolone
3. If pseudomonas infection is suspected an
antipseudomonal antibiotic should be added-piperacillin-
tazobactam,imipenem,meropenem,cefepime
4. Because anaerobic bacteria causes a sizable percentage of
parapneumonic effusion anaerobic coverage
recommended-clindamycin or metronidazole
5. Health care associated pleural infection coverage should
be provided for gram negative bacteria and MRSA-
carbapenem plus vancomycin
Continued…
• Management of pleural fluid
1. Therapeutic thoracentesis
2. Tube thoracostomy-complicated parapneumonic
effusion
3. Tube thoracostomy and fibrinolytics-loculated
effusion,
4. Video assisted thoracoscopy –incompletely
drained parapneumonic effusion.it is effective in
loculated parapneumonic effusion
5. Decortication-with decortication all the fibrous
tissue is removed from the visceral and parietal
pleura,and all pus is evacuated from the pleural
space. decorication can be performed with VATS
Treatment of malignant pleural effusion
1. Observation without invasive interventions may be appropriate for
some patients with malignant pleural effusions.
2. Therapeutic thoracentesis may improve patient comfort and relieve
dyspnea. The rapid removal of more than 1 L of pleural fluid may rarely
result in re-expansion pulmonary edema.
3. When frequent or repeated thoracentesis is required for effusions that
reaccumulate, early consideration should be given to tube drainage
with pleurodesis or placement of a chronic indwelling pleural catheter.
4. Before pleurodesis medaistinal shifting should be identified.if the
mediastinum is shifted towards the side of the effusion ,a
bronchoscopy should be done before plurodesis is attempted because
it is likely that patient has an obstructed bronchus.the presence of an
obstructed bronchus is a contraindication to pleurodesis
5. Choice of sclerosing agents-talc,tetracycline derivative,bleomycin
mitoxantrone ,silver nitrate,iodopovidone
6. Chemotherapy and mediastinal radiotheapy
7. Pleurectomy and pleural abrasion
Treatment of tuberculous pleural
effusion
• Chemotherapy-6 month regimen should consists of a 2
month period of initial phase and 4 month of continuation
phase
Initiation phase-HRZE 2 month
Continuation phase –HR 4 month
• Indication of corticosteroids-if the patient continue to have
a severe symptom after therapeutic thoracentesis and
definite diagnosis have established,administration of 80 mg
of prednisone every other day until the acute symptom
have subsided is recommended.thereafter corticosteroid
tapered.
• In patient with loculated tuberculous pleural effusion the
intrapleural administration of fibrinolytic is used.
PLEURAL EFFUSION IN ESOPHAGEAL
RUPTURE
Pleural effusion of esophageal rupture is
characterised by
1. High amylase level
2. Low pH
3. Presence of squamous epithelial cells
4. Ingested food particle
5. Multiple pathogen on smear or culture
PLEURAL EFFUSION DUE TO
PANCREATIC DISEASE
PANCREATITIS-
1. Exudative pleural effusion accompanying acute pancreatitis result
from trans diaphragmatic transfer of exudative fluid arising from
acute pancreatic inflammation and from diaphragmatic
inflammation
2. Numerous lymphatic network join on the peritoneal and pleural
aspect of diaphragm
3. Anatomically tail of the pancreas is in direct contact with
diaphragm
4. Pleural fluid amylase level tends to be higher in chronic
pancreatitis than acute pancreatitis
5. If the pleural effusion does not resolve within 2 weeks of
treatment of pancreatic disease the possibility of pancreatic
abscess or pancreatic pseudocyst must be considered
Pleural effusion in rheumatoid pleuritis
Exudative characterised by
1. Low glucose level(>40mg /dl)
2. Low pH
3. High LDH
4. Low complement level
5. High rheumatoid factor titre
6. Rheumatoid pleuritis have characteristics cytological picture-
slender elongated multinucleate macrophage,round giant
multinucleate macrophage,necrotic background material(comet
tadpole/comet shaped cell)
7. Rheumatoid pleural effusion is their tendency to contain
cholesterol crystal or high level of cholesterol
PLEURAL EFFUSION DUE TO
PULMONARY EMBOLIZATION
• The primary mechanism by which pulmonary emboli
produce pleural effusion is by the release of inflammatory
mediator(VEGF) from the platelet rich thrombi.
• Ischaemia of the pulmonary capillaries distal to the
embolus may also contribute to the increase permeability
• Symptoms-pleuritic pain,isolated dyspnea,circulatory
collapse
• Pleural fluid finding-
1. Exudate
2. Blood tinged or bloody
3. Wbc count reveal predominantly polymorphonuclear
leucocyte or lymphocyte
4. Large number of mesothelial cells or eosinophil
Indication of thoracoscopy
• Undiagnosed pleural effusion
• Malignant pleural effusion
• Parapneumonic pleural effusion
• Pneumothorax
• Postpnemonectomy empyema
• Chylothorax
• Hepatic hydrothorax
INDICATION OF THERAPEUTIC
THORACENTESIS
• To remove pleural effusion in patien with
parapneumonic effusion or empyema
• To remove symptom of dyspnea secondary to
pleural effusion
• To remove pleural effusion so that underlying
pleural effusion can be evaluated
• Serial thoracentesis can be performed in
patient who are dyspniec from malignant
pleural effusion
Indication of chest tube
• Empyema
• Complicated parapneumonic effusion
• Hemothorax
• Malignant effusion- chest tube +/- pleurodesis
(sclerosants)
Indication of neeedle biopsy of pleura
• Tuberculous pleuritis
• malignancy

Pleural effusion

  • 1.
    PLEURAL EFFUSION:APPROACH AND MANAGEMENT DRAHMAD TANWEER UNIT-DR(PROF)ASHOK SHANKER SINGH
  • 2.
    DEFINITION Pleural effusion resultsfrom fluid accumulating in the potential space between the visceral and parietal pleura When there is an imbalance between formation and absorption in various disease states , in response to injury , inflammation, or both locally and systematically .
  • 3.
    PLEURAL FLUID FORMATION •It is believed that the fluid that normally enter the pleural space originates in the capillaries in parietal pleura • Pleural fluid absorbed by lymphatic vesseles in the parietal pleura by means of stoma in the parietal pleura • Rate of formation equals the rate of absorption which is about 0.01 – 0.02 ml/kg per hr. • Lymphatics have the capacity to absorb 20 times more than what is Produced. • Fluid can also enter the pleural cavity from interstitial spaces of lung through visceral pleura. • Peritoneal fluid can enter the pleural cavity via diaphragm pores.
  • 4.
    Schematic diagram ofpleural anatomy • The lymphatic vessels in the parietal pleura are in direct communication with the pleural space by means of stomas. These stomas are the only route through which cells and large particles can leave the pleural space. • Although there are abundant lymphatics in the visceral pleura, these lymphatics do not appear to participate in the removal of particulate matter from the pleural space.
  • 5.
    Pathogenesis of pleuraleffusion • Pleural fluid accumulates when the rate of pleural fluid formation exceeds the rate of pleural fluid reabsorption • Normally 0.01ml/kg /hr of fluid constantly enters the pleural space from the capillaries in the parietal pleura • Almost all the fluid removed by the lymphatic in the parietal pleura which have the capacity to remove at least 0.20ml/kg/hr
  • 6.
    General causes ofpleural effusion Increased pleural fluid formation • Increased interstitial fluid in the lung –LVF ,pneumonia and pulmonary embolus • Increased intravascular pressure in the pleura –RVF, LVF,superior venacaval syndrome • Increased permeability of the capillaries in the pleura-pleural inflammation, increased level of VEGF • Increased pleural fluid protein level • Decreased pleural pressure-lung atelectasis, increased elastic recoil of the lung • Increased fluid in peritoneal cavity-ascites, peritoneal dialysis • Disruption of thoracic duct • Disruption of blood vessels in thorax
  • 7.
    continued…. Decreased pleural fluidabsorption • Obstruction of lymphatic in parietal pleura • Elevation of systemic vascular pressure- superior vena caval syndrome ,RVF • Disruption of the aquaporin system in the pleura
  • 8.
    Types of pleuraleffusion TRANSUDATIVE – • A transudative pleural effusion develops when the systemic factor influencing the formation or absorption of pleural fluid altered so that pleural fluid accumulate • The fluid may originate in the lung pleura or the peritoneal cavity • The permeability of capillaries to protein is normal in the area where fluid is formed
  • 9.
    Continued… TRANSDUATIVE • Congestive heartfailure • Cirrhosis • Nephrotic syndrome • Peritoneal dialysis • Superior vena cava obstruction • Myxedema • Urinothorax
  • 10.
    Continued… EXUDATIVE- • exudative pleuraleffusion develop when the pleural surface or the capillaries in the location where fluid originates are altered such that fluid accumulate.
  • 11.
    Continued… • Neoplastic diseases Metastaticdisease Mesothelioma • Infectious diseases Bacterial infections Tuberculosis Fungal infections Viral infections Parasitic infections Pulmonary embolization • Gastrointestinal disease Esophageal perforation Pancreatic disease Intraabdominal abscess Diaphragmatic hernia After abdominal surgery Endoscopic variceal sclerotherapy After liver transplant
  • 12.
    Continued… Collagen-vascular diseases Rheumatoid pleuritis Systemiclupus erythematosus Sjögren's syndrome Wegener's granulomatosis Churg-Strauss syndrome • Post-coronary artery bypass surgery • Asbestos exposure • Dressler’s syndrome • Uremia • Meigs' syndrome • Yellow nail syndrome
  • 13.
    Continued… • Trapped lung •Radiation therapy • Hemothorax • Iatrogenic injury • Ovarian hyperstimulation syndrome • Pericardial disease • Chylothorax Drug-induced pleural disease Nitrofurantoin Dantrolene Methysergide Bromocriptine Procarbazine Amiodarone Dasatinib
  • 14.
    SEPARATION OF TRANSDUATIVEFROM EXUDATIVE EFFUSION LIGHT’S CRITERIA 1- Pleural fluid protein-to-serum protein ratio more than 0.5 2- Pleural fluid LDH-to-serum LDH ratio more than 0.6 3-Pleural fluid LDH level greater than two third the upper limit of normal serum level
  • 15.
    Serum-effusion albumin gradient(SAG) • In general Light’s criteria occasionally misidentify a transudative effusion as an exudative effusion as in cardiac failure with diuretic therapy • Clinically if a patient should have a transudative effusion, but meets Light’s criteria for an exudative effusion, measure serum - pleural fluid albumin gradient,or measure the serum-pleural protein gradient • Serum- effusion albumin gradient of more than 1.2 g/dl - transudative • Serum-effusion protein gradient more than 3.1g/dl- transudative • An alternative approach to measure NT pro BNP level(>1500pg/ml)
  • 16.
    OTHER TESTS • SPECIFICGRAVITY-used in past to separate transudative from exudative. A specific gravity of 1.015 corresponds to protien contents of 3 g /dl, and this value was used to separate from exudative from transudative • NT PRO BNP-the level of NT pro BNP in the pleural fluid are used to establish the diagnosis of CHF(>1500pg/ml). level of NT pro BNP in making diagnosis of heart failure is superior to that of the BNP • GLUCOSE MEASURMENT-low pleural glucose level (<60mg/dl)indicates-parapneumonic effusion, malignant disease, rheumatoid disease, tuberculus pleuritis. presence of low glucose level is poor prognostic sign in parapneumonic effusion
  • 17.
    Continued… • AMYLASE DETERMINATION-pleuralfluid amylase level above upper normal limit (200iu/ml)for serum indicates the patient has one of three problem- 1. pancreatic disease 2. malignant tumor 3. esophageal rupture Amylase in malignant pleural effusion and esophageal rupture is of salivary type.
  • 18.
    Continued… LDH MEASUREMENT- • LDHis reliable indicator of the degree of pleural inflammation, higher the LDH ,more inflamed the pleural surface • most of the patient who meet the criteria of exudative pleural effusion with LDH but not with protein level have either parapneumonic effusion or malignant pleural disease. • LDH isoenzyme determination in only one situation when there is bloody pleural effusion in a patient who is clinically thought to have transudative pleural effusion. if LDH is in exudative range, and the protein in transudative range ,the demonstration the most of LDH is LDH1 indicates that the increase in the LDH is due to blood
  • 19.
    Continued… PH -If thepleural fluid pH is less than 7.2 it means that the patient has 1 of 10 conditions 1. Complicated parapneumonic effusion 2. Esophageal rupture 3. Rheumatoid pleuritis 4. Tuberculous pleuritis 5. Malignant pleural disease 6. Hemothorax 7. Systemic acidosis 8. Paragonimiasis 9. Lupus pleuritis 10. Urinothorax In general pleural fluid with low pH also have a low glucose and high LDH level. if the laboratory report a low pH with normal glucose and low LDH level ,the pH measurement probably a laboratory error
  • 20.
    continued… Total and DifferentialCell Counts Predominance of neutrophils in the fluid >50% indicates that an acute process is affecting the pleura.IL8 is primary chemotaxins for neutrophil in the pleural space. Common causes include • parapneumonic effusions (81 percent), • effusions secondary to pulmonary embolus (80 percent), and • those secondary to pancreatitis(80 percent). Mononuclear cells like small lymphocytes >50% indicates a chronic process. • cancer or tuberculous pleuritis, • effusions after coronary-artery bypass surgery.
  • 21.
    Continued… Pleural-fluid eosinophilia >10% •IL5(CD4 CELLS) and eotaxin 3. • caused in about two thirds of cases by blood or air in the pleural space. • uncommon in cancer or tuberculosis, unless the patient has undergone repeated thoracentesis • Other causes reactions to drugs (dantrolene, bromocriptine, or nitrofurantoin), exposure to asbestos, paragonimiasis, and the Churg–Strauss syndrome Basophil-count more than 10 per are common with leukaemic pleural involvement
  • 22.
    Markers of Tuberculosis •ADA MEASUREMENT-ADA is enzyme that catalyze the conversion of adenosine to inosine. cutoff level is 40u/l. • Two main disease that cause an elevated ADA in addition to tuberculosis are rheumatoid pleuritis and empyema. • If the diagnostic criteria for tuberculous pleuritis patient also include a pleural fluid lymphocyte to neutrophil ratio greater than 0.75 the specificity of the test is increased. • ADA has 2 isoenzymes ADA1 and ADA2.ADA1 is produced by lymphocyte, neutrophil , monocyte and macrophage.in contrast ADA 2 exist only in monocyte and macrophages. the increase in ADA activity in tuberculous pleuritis is mainly due to ADA2 .(origin of pleural fluid ADA is probably pleural tissue).ADA1 to ADA2 ratio of less than 0.42 increased the accuracy. • Sensitivity and specifity for ADA IS 93%
  • 23.
    Markers of Tuberculosis INTERFERON-GAMMA •Produced by cd4 lymphocyte • levels above 140pg/ml are very suggestive of TB • Elevated whether or not the patient is immunosuppressed • Is more expensive than ADA • Sensitivity and specificity for interferon-gamma is 96% C REACTIVE PROTIEN • Patient with tuberculous pleuritis tend to have higher pleural fluid level of C reactive protein than do patient with other lymphocytic pleural effusion. level >50 mg/dl high specificity for tuberculosis. but it doesn’t appear to be as accurate as ADA level
  • 24.
    Continued… • Lysozyme-the levelof lysozyme in pleural fluid tend to be higher in pleura fluid from patient with tuberculous pleuritis than in other types of exudate. • Procalcitonin-higher mean level with empyema followed by parapneumonic effusion and then tuberculous pleurisy and malignant pleural effusion. • If eosinophils are found in pleural fluid in significant number(>10 %)one can virtually exclude the diagnosis of tuberculous pleuritis unless the patient has pneumothorax or had a previous thoracentesis • Pleural fluid from patient with TB rarely contains more than 5% mesothelial cells.it has been suggested that hiv infected with TB have significant number of mesothelial cells.
  • 25.
    Continued… PCR FOR DIAGNOSISOF TUBERCULOUS PLEURITIS- • With PCR one can identify the presence of DNA from M. tuberculosis in the pleural fluid • PCR was not superior to an ADA level >45 • In general PCR in pleural fluid has been less sensitive than PCR of other material • Sensitivity and specificity of PCR for diagnosis of tuberculus pleuritis is 81% and 100% respectively
  • 26.
    Continued… Pleural biopsy intuberculous pleuritis- • demonstration of granuloma in the parietal pleura suggests tuberculous pleuritis; caseous necrosis and AFB need not be demonstrated • More than 95 per of patient with granulomatous pleuritis have TB • ADA which are at least as sensitive in diagnosing tuberculous pleuritis as needle biopsy of the pleura, resulted in decrease use of the needle biopsy of pleura • Indication of needle biopsy of pleura 1. Tuberculous pleuritis 2. malignancy
  • 27.
    Smears and Cultures •for nonimmunosuppressd patients routine smears of the pleural fluid for mycobacteria are not indicated because they are usually negative, unless the patient has tuberculous empyema • Pleural fluid from patients with undiagnosed exudative pleural effusion should be cultured for bacteria, mycobacteria and fungi. • Fluid should be inoculated directly into blood culture media at bedside because the number positive culture will increase with this methods • For mycobacteria culture use of BACTEC system with bedside inoculation provides higher yields and faster result. • The sensitivities of pleural fluid culture and AFB smear were 42% and 1%, respectively
  • 28.
    RADIOGRAPHIC EXAMINATION • thefluid first gravitates at the base of hemithorax and come to rest between inferior surface of the lung and diaphragm, particularly posteriorly where the pleural sinus is most posteriorly • Subpulmonic or infrapulmonary effusion 1. At times for unknown reason substantial amount of pleural fluid (>1000ml)can be present may remain in an infrapulmonary location without spilling into costophrenic sulci or extending up the chest wall. such pleural fluid accumulation are called subpulmonic or infrapulmonic effusion 2. The following radiologic characteristics are common to subpulmonic effusion and presence of one or more of these characteristics serve as an indication of decubitus examination a)apparent elevation of one or both diaphragm b)apex of apparent diaphragm is more lateral than usual c)slope of apparent diaphragm is more sharply towards the costophrenic angle d)normally the top of the left diaphragm on the PA view is less than 2 cm above stomach air bubble .a separation greater than 2 cm suggests subpulmonic effusion e)lower lobe vessels may not be seen below the apparent diaphragmatic border
  • 30.
    RADIOGRAPHIC EXAMINATION • 75mL-subpulmonic space without spill over, can obliterate the posterior costophrenic sulcus, • 175 mL is necessary to obscure the lateral costophrenic sulcus on an upright chest radiograph • 500 mL will obscure the diaphragmatic contour on an upright chest radiograph; • 1000 ml of effusion reaches the level of the fourth anterior rib, • On decubitus radiographs and CT scans, less than 10 mL.
  • 31.
    RADIOGRAPHIC EXAMINATION Based onthe decubitus films • small effusions are thinner than 1.5 cm, moderate effusions are 1.5 to 4.5 cm thick, and large effusions exceed 4.5 cm. • Effusions thicker than one cm are usually large enough for sampling by thoracentesis, since at least 200 mL of liquid are already present
  • 32.
    A posteroanterior andlateral chest radiograph of pleural effusion blunting of the posterior costophrenic angle
  • 34.
    Continued… ROLE OF USG- 1.Determining whether pleural fluid is present 2. Identification of appropriate location for an attempted thoracentesis ,pleural biopsy or chest tube placement 3. Identification of pleural fluid loculations 4. Distinction of pleural fluid from pleural thickening 5. Quantitation of amount of pleural fluid 6. Differentiation of pyopneumothorax from lung abscess 7. Assessment as to whether a pleurodesis is present 8. Evaluation of trauma patient for the presence of a Hemothorax or pneumothorax
  • 35.
    Continued… Role of CTscan • Visualization of underlying lung parenchymal processes that are obscured on chest radiographs by large pleural effusions • Distinguishing empyema from lung abscess • Help in distinguishing benign from malignant pleural effusion-pleural nodularity, mediastinal pleura involvement, pleural thickening greater than 1 cm.
  • 37.
    Continued… Loculated pleural effusion •Encapsulated by adhesion anywhere between parietal and visceral pleura or in the interlobar fissure • It occurs most commonly with intense pleural inflammation such as empyema hemothorax,or tuberculous pleuritis. • A definitive diagnosis of loculated pleural effusion is best established by ultrasound. • Loculated effusion in fissure may simulate a mass in PA radiograph. Most frequently seen in patient with CHF, and because the fluid absorb spontaneously when the CHF is treated these fluid collection have been termed vanishing tumor or pseudotumor. the most common location of these tumor is right horizontal fissure.
  • 38.
    APPROACH TO THEPATIENT • If thickness of fluid greater than 10 mm on decubitus radiograph, USG, CT scan, then we should performing diagnostic thoracentesis • In CHF diagnostic thoracentesis is performed if- 1. The effusion are not bilateral 2. Patient has pleuritic chest pain 3. Patient is febrile.
  • 40.
    Continued… APPEARANCE OF PLEURALFLUID • Bloody- Cancer, PE, Trauma, Pneumonia in that order • Turbid- either due to cells or debris or a high lipid level- Empyema Chylothorax pseudochylothorax • Putrid odour- Anaerobic infection. • Ammonia odour- urinothorax
  • 41.
    Continued… Bloody : Hematocritcompared to the blood : • <1% is not significant • 1-20% indicates either cancer, PE or trauma • >50% indicates hemothorax. Centrifuging turbid or milky pleural fluid will distinguish between empyema and lipid effusions. • If the supernatant is clear then the turbid fluid was due to empyema • If it is still turbid -chylothorax OR - pseudochylothorax Check TG - >110mg/dl – chylothorax If TG<50mg/dl and cholesterol>250 - pseudochylothorax
  • 43.
    PARAPNEUMONIC EFFUSION AND EMPYEMA •Any pleural effusion associated with bacterial pneumonia ,lung abscess, or bronchiectasis is a parapneumonic effusion • An empyema is pus in pleural space • Complicated parapneumonic effusion-refer to those effusion that do not resolve without therapeutic thoracentesis or tube thoracostomy
  • 44.
    Bad prognostic factorfor parapneumonic effusion and empyema (in decreasing order of importance) 1. Pus present in pleural space 2. Gram stain of pleural fluid is positive 3. Pleural fluid glucose below 40mg/dl 4. Pleural fluid culture positive 5. Pleural fluid ph<7 6. Pleural fluid LDH >3times upper normal limit for serum 7. Pleural fluid loculated These factors indicating that likely need for a procedure more invasive than a thoracentesis
  • 45.
    Etiology • Bacterial, viral,Atypical •Aerobic gram-positive –S pneumoniae • Staphylococcus aureus , streptococcus milleri • Aerobic gram-negative Klebsiella,Pseudomonas, E coli, and Haemophilus • Anaerobic -Bacteroides and Peptostreptococcus • Patients with pneumonia due to Legionella species
  • 46.
    LIGHT’S CLASSIFICATION ANDTREATMENT SCHEME FOR PARAPNEUMONIC EFFUSION AND EMPYEMA Appearance and Radiologic Class Type Studies Appearance Treatment 1 Insignificant pleural Thoracentesis not effusion (<10 mm indicated thick) on decubitus radiograph) 2 Typical para- Glucose >40 mg/dL Antibiotics alone pneumonic pH>7.2,LDH<3times of upper normal pleural effusion Gram stain and culture (>10 mm thick) negative
  • 47.
    Continued… Appearance and Radiologic ClassType Studies Appearance Treatment 3 Borderline pH 7.0-7.2 and/or No loculations Antibiotics and complicated LDH>3times of upper normal serial thoracentesis pleural effusion Glucose >40 mg/dL Gram stain and culture negative 4 Simple compli- ph<7.0 and/or Not loculated, Tube thoracostomy cated pleural Glucose <40 mg/dL nonpurulent and antibiotics or effusion and/or serial thoracentesis Gram stain culture positive
  • 48.
    Continued… Appearance and Radiologic ClassType Studies Appearance Treatment 5 Complex complicated pH<7.0 and/or Multiloculated Tube thoracostomy pleural effusion Glucose <40 mg/dL nonpurulent & fibrinolytic agent and/or In rare instances Gram stain or culture surgical intervention positive 6 Simple empyema Frank pus Single loculation or Tube thoracostomy with or without decortication 7 Complex empyema Frank pus Multiple locules Tube thoracostomy & fibrinolytic agents Often thoracoscopy
  • 49.
    Pleural effusion relatedto metastatic malignancies • 2nd most common cause of exudative pleural effusion after parapneumonic effusion • Leading cause of exudative pleural effusion leading to thoracentesis • Common causes of malignant pleural effusion 1. Lung carcinoma 2. Breast carcinoma 3. Lymphoma and leukemia 4. Ovarian carcinoma 5. sarcoma
  • 50.
    Mechanism by whichmalignant disease leads to pleural effusion Direct result- 1. Pleural metastases with increase permeability 2. Pleural metastases with obstruction of pleural lymphatic vessels 3. Mediastinal lymph node involvement with decreased pleural lymphatic drainage 4. Thoracic duct interruption(chylothorax) 5. Bronchial obstruction 6. Pericardial involvement Indirect result 1. Hypoprotienemia 2. Postobstructive pneumonitis 3. Pulmonary embolism 4. Post radiation therapy
  • 51.
    Pleural fluid inmalignant pleural effusion • Almost exudative • Most pleural effusion that meet exudative criteria by the LDH but not by protein level are malignant pleural effusion • bloody pleural effusion • Low pleural glucose level in malignant pleural effusion indicates high tumor burden in pleural space • Approx. one third of patient with malignant disease have a low PH level. low pleural PH also tend to have a low pleural glucose level. they have greater tumor burden, are more likely to have positive pleural fluid cytology and pleural biopsy. • Approx. 10 per of patient with malignant pleural effusion have an elevated amylase level
  • 52.
    Diagnosis of malignantpleural effusion • Cytology- is a fast, efficient, and minimally invasive establishes the diagnosis in more than 70 percent of cases of metastatic adenocarcinoma less efficient in the diagnosis of a mesothelioma squamous cell carcinoma, lymphoma or a sarcoma. • Immunohistochemical tests-metastatic adenocarcinoma tend to stain positive with CEA,MOC31,BG8,TTF1. whereas malignant mesothelial cells and benign mesothelial cells stain positive with calretinin,keratin5/6,podoplanin,wt1. • Tumor markers in pleural fluid-CEA,CA,NSE,SCC antigen, cytokeratin 19 fragment, • Blood marker of mesothelioma-soluble mesothelin related protien(smrp),osteopontin,megakaryocye potentiating factor(MPF) • If cytology is negative – go for thoracoscopy.
  • 53.
    MANAGEMENT PARAPNEUMONIC EFFUSION • Antibioticselection- 1. for CAP that are not severe- fluoroquinoles or beta-lactam 2. For sever community acquired pneumonia in whom pseudomonas infection is not issue-beta lactam plus macrolide or fluoroquinolone 3. If pseudomonas infection is suspected an antipseudomonal antibiotic should be added-piperacillin- tazobactam,imipenem,meropenem,cefepime 4. Because anaerobic bacteria causes a sizable percentage of parapneumonic effusion anaerobic coverage recommended-clindamycin or metronidazole 5. Health care associated pleural infection coverage should be provided for gram negative bacteria and MRSA- carbapenem plus vancomycin
  • 54.
    Continued… • Management ofpleural fluid 1. Therapeutic thoracentesis 2. Tube thoracostomy-complicated parapneumonic effusion 3. Tube thoracostomy and fibrinolytics-loculated effusion, 4. Video assisted thoracoscopy –incompletely drained parapneumonic effusion.it is effective in loculated parapneumonic effusion 5. Decortication-with decortication all the fibrous tissue is removed from the visceral and parietal pleura,and all pus is evacuated from the pleural space. decorication can be performed with VATS
  • 57.
    Treatment of malignantpleural effusion 1. Observation without invasive interventions may be appropriate for some patients with malignant pleural effusions. 2. Therapeutic thoracentesis may improve patient comfort and relieve dyspnea. The rapid removal of more than 1 L of pleural fluid may rarely result in re-expansion pulmonary edema. 3. When frequent or repeated thoracentesis is required for effusions that reaccumulate, early consideration should be given to tube drainage with pleurodesis or placement of a chronic indwelling pleural catheter. 4. Before pleurodesis medaistinal shifting should be identified.if the mediastinum is shifted towards the side of the effusion ,a bronchoscopy should be done before plurodesis is attempted because it is likely that patient has an obstructed bronchus.the presence of an obstructed bronchus is a contraindication to pleurodesis 5. Choice of sclerosing agents-talc,tetracycline derivative,bleomycin mitoxantrone ,silver nitrate,iodopovidone 6. Chemotherapy and mediastinal radiotheapy 7. Pleurectomy and pleural abrasion
  • 58.
    Treatment of tuberculouspleural effusion • Chemotherapy-6 month regimen should consists of a 2 month period of initial phase and 4 month of continuation phase Initiation phase-HRZE 2 month Continuation phase –HR 4 month • Indication of corticosteroids-if the patient continue to have a severe symptom after therapeutic thoracentesis and definite diagnosis have established,administration of 80 mg of prednisone every other day until the acute symptom have subsided is recommended.thereafter corticosteroid tapered. • In patient with loculated tuberculous pleural effusion the intrapleural administration of fibrinolytic is used.
  • 60.
    PLEURAL EFFUSION INESOPHAGEAL RUPTURE Pleural effusion of esophageal rupture is characterised by 1. High amylase level 2. Low pH 3. Presence of squamous epithelial cells 4. Ingested food particle 5. Multiple pathogen on smear or culture
  • 61.
    PLEURAL EFFUSION DUETO PANCREATIC DISEASE PANCREATITIS- 1. Exudative pleural effusion accompanying acute pancreatitis result from trans diaphragmatic transfer of exudative fluid arising from acute pancreatic inflammation and from diaphragmatic inflammation 2. Numerous lymphatic network join on the peritoneal and pleural aspect of diaphragm 3. Anatomically tail of the pancreas is in direct contact with diaphragm 4. Pleural fluid amylase level tends to be higher in chronic pancreatitis than acute pancreatitis 5. If the pleural effusion does not resolve within 2 weeks of treatment of pancreatic disease the possibility of pancreatic abscess or pancreatic pseudocyst must be considered
  • 62.
    Pleural effusion inrheumatoid pleuritis Exudative characterised by 1. Low glucose level(>40mg /dl) 2. Low pH 3. High LDH 4. Low complement level 5. High rheumatoid factor titre 6. Rheumatoid pleuritis have characteristics cytological picture- slender elongated multinucleate macrophage,round giant multinucleate macrophage,necrotic background material(comet tadpole/comet shaped cell) 7. Rheumatoid pleural effusion is their tendency to contain cholesterol crystal or high level of cholesterol
  • 63.
    PLEURAL EFFUSION DUETO PULMONARY EMBOLIZATION • The primary mechanism by which pulmonary emboli produce pleural effusion is by the release of inflammatory mediator(VEGF) from the platelet rich thrombi. • Ischaemia of the pulmonary capillaries distal to the embolus may also contribute to the increase permeability • Symptoms-pleuritic pain,isolated dyspnea,circulatory collapse • Pleural fluid finding- 1. Exudate 2. Blood tinged or bloody 3. Wbc count reveal predominantly polymorphonuclear leucocyte or lymphocyte 4. Large number of mesothelial cells or eosinophil
  • 64.
    Indication of thoracoscopy •Undiagnosed pleural effusion • Malignant pleural effusion • Parapneumonic pleural effusion • Pneumothorax • Postpnemonectomy empyema • Chylothorax • Hepatic hydrothorax
  • 65.
    INDICATION OF THERAPEUTIC THORACENTESIS •To remove pleural effusion in patien with parapneumonic effusion or empyema • To remove symptom of dyspnea secondary to pleural effusion • To remove pleural effusion so that underlying pleural effusion can be evaluated • Serial thoracentesis can be performed in patient who are dyspniec from malignant pleural effusion
  • 66.
    Indication of chesttube • Empyema • Complicated parapneumonic effusion • Hemothorax • Malignant effusion- chest tube +/- pleurodesis (sclerosants)
  • 67.
    Indication of neeedlebiopsy of pleura • Tuberculous pleuritis • malignancy