A. ELSHAMY
Prof. of Surgery
AIN SHAMS UNIVERSITY
 YELLOW DISCOLORATION OF THE
SKIN AND MUCOUS MEMBRANE
A
 Water (98%)
 Bile Salts
 Bile pigments (Bilirubin)
 Lecithin
 Cholesterol
 BROKEN DOWN RED CELLS ARE
REMOVED BY R.E.S.
 HAEMOGLOBIN SPLITS INTO HAEM
&GLOBIN
 GLOBIN & CELL WALL PROTEIN GO
DOWN
TO AMINOACIDS
 THEY ENTER THE AMINO ACID POOL
HAEM SPLITS INTO IRON &
BILIRUBIN [pigments]
IRON STORED AS FERRITIN FOR
REUSE
 BILIRUBIN IS NOT REUSED
[GOES TO THE LIVER]
 COMBINE WITH GLUCOURINC ACID
TO FORM THE CONJUGATED [ DIRECT ]
BILIRUBIN [ WATER SOLUBLE ]
Van den Bergh reaction [DIRECT]
Alcohol added after van den Gergh [INDIRECT]
HAEMOGLOBIN
+RBC WALL
PROTEIN
AMINOACIDS
AMINOACID
POOL
IRON
BILIRUBIN
WATER
INSOLUBLE
GOES TO THE LIVER
FOR CONGUGATION
WITH GLUCOURINIC
A.TO BECOME
WATER SOLUBLE
FERRITIN
TO BE
REUSED
BLOOD
URINE
 Typical Normal level of total bilirubin
0.1 -1mg /dl.
 Typical Normal level of direct bilirubin
0-0.3 mg /dl.
 Reference range of total bilirubin
0.2-1.2mg/dl.
 Reference range for direct bilirubin
0.1-0.4mg/dl.
 Elevated levels of total bilirubin > 2.5 -3 mg/dl.
Cause jaundice.
 Normal value < 1mg/dl. (17u mol/L)
 Ehrlich unit
 A level of 2mg/dl. Represent a transition
from normal to abnormal level.
A PREHEPATIC
HEPATIC
POSTHEPATIC
HAEMOLYSIS
OBSTRUCTIVE
OR SURGICAL
 1-STONES
 2-STRICTURES; [BENIGN]
 3-PERIAMPULLARY TUMOURS
 4-CA. HEAD OF THE PANCREAS
 5-CHOLANGIOCARCINOMA
 6-PRESSURE FROM OUTSIDE;L.N.
 7-CHOLEDOCHAL CYST
 8-PARASITES; FILLING THE LUMEN
 Luminal
 Gallstone
 Intra-mural
 Benign stricture (e.g. As complication of
cholecystectomy )
 Malignant stricture: cholangiocarcinoma
 Extra-mural
 Cancer Head of pancreas
 Compression by malignant lymph nodes at
porta hepatis
STONE IS THE
COMMONEST
PAPILLOMATOSIS
HYDATID
ASCARIS
CLONORCHIASIS PARASITES
BENIGN STRICTURES
MALIGNANT STRICTURES
L.N.
CANCER HEAD OF
THE PANCREAS
MIRIZZI SYND
ANY MASS
OUTSIDE
HARTMANN`S POUCH stone
Stone in
cystic duct
 Secondary bile duct stones
 STONES SLIPPING INTO THE BILIARY TREE
 This is the commonest cause of obstructive
jaundice.
 Retained bile duct stone after cholecystectomy.
 Primary bile duct stone .
 1-BILIARY ATRESIA
 2-IATROGENIC
BILIARY SURGERY
GASTRECTOMY
HEPATIC RESECTION
LIVER TRANSPLANT
 3-INFLAMMATORY;CHOLANGITIS , PANCREATITIS,
SCLEROSING CHOLANANGITIS.
 4-TRAUMA
 5-IDIOPATHIC
 6-RADIOTHERAPY
ORIGIN
1-DEUDENAL MUCOSA
OR
2-C.B.D. OR
3-PANCREATIC DUCT
1. Jaundice – onset
2. Pale stools, dark urine ?
YES = POST HEPATIC NO = PREHEPATIC & HEPATIC
PAIN?
YES NO PAIN
Colicky
Fatty food
intolerant
GALLSTONES
Wt loss
Back Pain
Non-specific
symptoms
MALIGNANCY
Hepatic:
IV Drug abuse
blood transfusion
flu-like illness
Excess alcohol intake
Liver cirrhosis
Obesity
Drug History
ASSOCIATED FEVER / RIGOR ?
Gram –ve Septicaemia
ADMIT
Pre-hepatic:
Family history of bleeding
disorders, tendency to bleed
 PAIN
 YELLOW DISCOLOURATION SKIN &M.M.
 DARK URINE [TEA COLOUR]
 CLAY COLOUR STOOL
 ITCHING
 FEVER and RIGORS IF CHOLANGITIS
SUPERVENE
 LOSS OF APPETITE
 LOSS OF WEIGHT IN MALIGNACY
 LOSS OF Wt. IN MALIGNANCY
 TOXIC IN CHOLANGITIS
[CHARCOT`S TRIAD,;PAIN, FEVER ,JAUNDICE]
 YELLOW DISCOLOURATION OF SKIN,M.M.
 TROISIER`S SIGN. VIRCHOW`S NODE
 TENDER R.U.Q .[IN CHOLANGITIS ]
 COURVOISIER` LAW[IN CA.HEAD OF PAN.]
 ABDOMINAL MASS
 ASCITES [IN MAIGNANCY]
VIRCHOW`S NODE
[TROISIER`S SIGN]
BRUISING
VIT.K DEF.
OR
2,4,7,9,10.DEPEND ON IT
DISTENDED
GALL
BLADDER
IN CA,HEAD OF
PANCREAS
 Blood tests
 Elevated WCC in ascending cholangitis)
 Monitor renal function in case of hepato-renal syndrome
 LFTs - ALP/GGT
 Conjugated/unconjugated bilirubin
 Clotting (INR maybe elevated)
 USS
 Look for gallstones, biliary tree dilatation, stone in CBD (though
often not seen due to bowel gas).
 Look at pancreas to look for cancer (often poor views due to
overlying bowel gas)
 Look at liver to exclude parenchymal disease.
 CT
 Used to assess pancreas in cases of suspected pancreatic cancer
 Less sensitive that USS for picking up gallstones
 MRCP
 Used to assess biliary tree anatomy and determine cause of
obstruction (gallstone, stricture)
 Diagnostic only but non-invasive
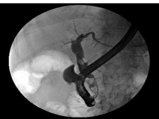
 ERCP
 Used to assess biliary tree anatomy and determine cause of
obstruction
 Furthermore, obstruction can be relieved (diagnostic and
therepeutic, but invasive)
 Stone extraction with balloon trawel
 Sphincterotomy
 Biliary stent (if stricture: benign or malignant)
 Brushings for cytology (if stricture, to look for cholangiocarcinoma)
 PTC (percutaneous transhepatic cholangiogram) –
performed by interventional radiologist
 Diagnostic and therepeutic (biliary drain to relieve
obstruction) but invasive
 More invasive and Higher complication rate than ERCP
(particularly haemorrhage) therefore used in situations where
ERCP is unavailable (out of hours in patient with cholangitis)
or unsuccesful
 Ultrasound
 CT scan
 MRCP
 HIDA scan
 ERCP
 Endoscopic ultrasound
 PTC
 Fistulography
 Detects intra/extra hepatic ductal dilatation
 Less accuracy in defining etiology
 Sensitivity – 94% if bilirubin > 10mg%
– 47% otherwise
 Highly sensitive (esp.
with contrast) for
tumors.
 Detects site & cause of
obstruction
 Better anatomical
delineation
 CT cholangiography
 Bile – high signal
intensity on T2
weighted images
 Visualises – biliary
dilatation (97-
100%), site of
obstruction (87%),
hepatic parenchyma
& vasculature
 Only diagnostic
 Extra hepatic bile
duct readily
visualized
 Detects
choledocholithiasis
(>95%)
 Sensitive in
diagnosis & staging
of malignancy
 Helps in diagnosing
biliary leaks
 Provides functional
assessment of
incomplete strictures and
surgical anastomosis
 suggest complete biliary
obstruction if the small
intestine is not visualized
in 60 minutes
 insensitive for helping
detect biliary dilatation or
the site and cause of bile
duct obstruction
 Gold standard
 Endoscopic/ percutaneous
 Features:
◦ define the anatomy of the proximal biliary tree
◦ decompression of the biliary system
◦ allow for the simultaneous placement of
drainage catheters
◦ of assistance with regard to surgical
reconstruction
PTC
 The catheter is placed
into the intrahepatic
bile duct through
patient’s skin guided
by US and fixed on the
skin.
 The radiographic image
is then taken.
 Obstructive lesion can
be seen .
 CORRECTION OF THE DERANGED
PARAMETRES AND DEHYDRATED PATIENT
 ADMINISTRATION OF VITAMIN K
 ANTIBIOTICS
 MANNITOL PRE, INTRA and
POSTOPERATIVELY TO PREVENT
HEPATO-RENAL SHUTDOWN
 Monitor for hepato-renal syndrome
 Ensure fluid resuscitated and monitor urine output
 Monitor INR
 If deranged give vitamin K
 Determine cause of obstructive jaundice
 Danger is progression to ascending
cholangitis (Charcot’s triad) – can be life
threatening!
 drain the Biliary tree to prevent development of
cholangitis
 1. STONE- ERCP -SPHINCTEROTOMY
 2.STONE- LAP. OR OPEN EXPLORATION OF
C.B.D.
 3.STRICTURE-STENT
 4.STRICTURE-RESECTION ANASTOMOSIS FOR
SHORT STRICTURES
 5. PERIAMPULLARY AND CA.HEAD OF
PANCREAS
=EARLY-WHIPPLE`S
OPERATION[PANCREATICO-DUODENECTOMY.
=LATE-BYPASS SURGERY[CHOLECYSTO-
JUJENOSTOMY
 ERCP preferred method
 Balloon trawl or dormia basket (for stones)
 Sphincterotomy (to prevent future stones from
obstructing)
 Stent (to allow free drainage of bile past a stricture)
 PTC
 Used where ERCP unavailable or unsuccesful ( more
invasive and higher complication rate)
 Drain inserted percutaneously, trans-hepatically (through
the liver) and into the biliary tree to allow free drainage of
bile
 Surgical
 In the context of gallstones
 At time of cholecystectomy an intra-operative
cholangiogram is performed to confirm stones in CBD
 If present then consider:
 Laparoscopic Trans-cystic (through cystic duct) removal using
fogarty catheter
 Laparoscopic CBD exploration with choledochotomy
 In context of malignancy (Ca head of
pancreas or external compression by
enlarged malignant lymph nodes)
 Palliative bypass procedures such as hepaticojejunostomy
where ERCP/PTC + stenting has failed
NORMAL BILIARY ATRESIA
 Extrhepatic ductopenia or progressive
obliterative cholangiopathy.
 A disease affecting all parts of biliary tract.
 Untreated :cirrhosis,liver failure and death
 1 in 10,000 – Japan and China
 1 in 17,000 – UK, USA, and Europe
 F > M
 The cause of BA is not known
 Hypotheses
 Developmental
 Immunological overreaction
Type Incidence
(%)
Description
1 ∼5% Level of obstruction within the
common bile duct.
2 ∼2% Level of obstruction within the
common hepatic duct.
3 >90% Obstruction is within the porta hepatis
with no visible bile-containing
proximal lumen.
 Jaundice
 Pale stools
 Dark urine
 Failure to thrive
 It is possible to make the correct diagnosis in
>80% of cases before laparotomy
 Ultrasound
 Liver biopsy
 In Japan, use duodenal intubation and
measuement of intralumenal bile
 ERCP,percutaneous cholangiography
 Obstructed choledochal malformations
 others
 Kasai-type portoenterostomy
 Laparoscopic-assisted portoenterostomy has
been described although a true comparison
with the open procedure has to be
determined.
 If fails, or the child develops significant
complications of chronic liver disease, then
liver transplantation will be required if
available
 Cholangitis (40%)
 Portal hypertension
 Hepatopulmonary syndrome
 Malignancy
Prognosis post-KPE can be affected by
1. Age at surgery
2. Experience of surgeon/center
3. prognosis
 Blockage of the biliary tree by biliary stones
 Symptoms
◦ Pain, Jaundice, dark urine, pale stools
 Signs
◦ Jaundice. Charcot triad
 Investigations
◦ Bloods – LFT, Amylase, Hepatitis screen, Coagulation
profile, creatinin.
◦ Ultrasound of abdomen
 Treatment
◦ ERCP
◦ LAPAROSCOPIC TREATMET
◦ OPEN SURGERY
 ERCP
 Open surgical treatment
 Exploration of CBD followed by T tube insertion
 exploration with Primary closure
 choledochoduodenostomy
 Laparoscopic treatment
 Lap. transcystic exploration of CBD
 Lap. Choledochotomy with choledochoscopy
 Lap. Chledochoduodenostomy
 Obstruction of biliary tree with bile duct infection
 Symptoms
◦ Unwell, pain, jaundice, dark urine, pale stools
◦ Charcot triad (ie, fever, right upper quadrant pain, jaundice)
occurs in only 20-70% of cases
 Signs
◦ Sepsis (Fever, tachycardia, low BP), Jaundice.
 Investigations
◦ Blood – WBC, LFT, Amylase, CRP, Coagulation screen
◦ Ultrasound of abdomen
 Treatment
◦ Intravenous antibiotics
◦ ERCP
 Acute inflammation of pancreas and other
retroperitoneal tissues.
 Symptoms
◦ Severe central abdominal pain radiating to back,
vomiting
 Signs
◦ Variable – None to Sepsis (Fever, tachycardia, low BP),
Jaundice, acute abdomen
 Investigations
◦ Blood WBC, LFT, Amylase,Lipase;CRP
◦ Ultrasound of abdomen
◦ MRCP
◦ CT Pancreas
 Treatment
◦ Supportive
◦ ERCP ?
Classification type : Csendes (1989)
 Type I : External compression of the common duct because of a
stone impacted at the neck of the gall bladder or
at the cystic duct.
 Type II : Cholecystobiliary fistula involving less than one-third of the
circumference of the common duct
 Type III : Cholecystobiliary fistula that involves up to two-thirds of
its circumference
 Type IV : Cholecystobiliary fistula with complete destruction of the
entire wall of the common duct
 It has been reported in the literature that the
incidence of MS is approximately
0.3-3% of all patients undergoing
cholecystectomy
 and in 0.1% of all patients with gallstone disease
 The surgical technique depends on the type
of MS.
 If the type of MS has not been classified
preoperatively, the best way to determine the
operative procedure is “fundus-first”
technique .
 For type I cholecystectomy. For type II
cholecystectomy with T tube placement . For
type III and IV hepaticojejunostomy after
cholecystectomy.
Biliary Stone Extraction
• Bile duct stones are a common clinical scenario .
• Their frequency may increase in the future given the
rise in gallstones linked to the obesity epidemic.
• Over the last decade, improved therapeutic tools have
been developed which have enhanced the overall
success and safety of endoscopic stone extraction.
• In some situations, mechanical lithotripsy may be
required. Rarely will surgery be required for stone
removal.
Wilcox, C.M , 2010 . Interventional and Therapeutic Gastrointestinal
Endoscopy. Basel, Karger, vol 27, pp 337–344
Sphincterotomes
Balloons 10 and 15 mm
Basket
Mechanical lithotripter
Crank handle mechanical lithotripter
Accessories required for extraction of
common bile duct stones
The large stone and mechanical
lithotripsy
Endoscopic Treatment of Benign Biliary Strictures
Some causes of benign biliary stricture
• surgery (Iatrogenic Biliary Stricture)
• chronic pancreatitis.
• Primary sclerosing cholangitis
• others.
The general endoscopic treatment of these strictures is
dilation followed by stent placement.
 For postoperative strictures the data show that placement of
multiple, large bore (10-Fr) stents over the course of several
procedures is better than placement of fewer stents.
 Care must be taken to exclude malignancy in cases where benignity
is not certain.
 The use of temporary placement of covered, removable
SEMS for benign biliary strictures appears promising.
Baron,T.H , 2010 . Interventional and Therapeutic Gastrointestinal
Endoscopy. Basel, Karger, vol 27, pp 337–344
A Initial cholangiogram reveals stricture in the common hepatic duct near the previous
surgical clips.
b Balloon dilation of stricture.
c Placement of multiple stents over two procedures.
D Cholangiogram after stent removal showing stricture resolution.
Endoscopic treatment of post-cholecystectomy
biliary stricture using plastic biliary stents.
a
b c
d
Endoscopic treatment of Malignant
Biliary Obstruction
 Plastic
◦ Biliary
 7 or 10 FG
 Need to be removed/replaced within 3 months
◦ Pancreatic
 5 FG
 Need to be removed within 2-4 weeks
 Metal
◦ 10mm
◦ Not removable (usually)
Plastic stents
 Polyethylene , PTFE,polyurithane.
 More recently newer stens have been designed
• 2 layer sent
• Stent with antireflux valve
 Shape : Sraight,angled ,curved,pig-tailed
 Diameters : vary 5-12 F
Metallic Stents
 a) Wall stent covered and uncovered (Boston Scientific).
• B) WallFlex Stent – platinum-cored nitinol construction (Boston Scientific).
• C) Zilver stent (Wilson Cook).
• D) Viabil® stent.
a
b
c
d
Distal Malignant Obstruction
• Pancreatic cancer, responsible for more than 90% of the cases
• Ampullary tumors.
• Cholangiocarcinoma
• Gallbladder cancer
• Malignant lymphadenopathy
The site of malignant obstruction
Drainage with plastic sten insertion
Hilar Malignant Obstruction
 The most common malignant etiology
• cholangiocarcinoma,
• gallbladder carcinoma
• nodal metastases
• hepatocellular carcinoma
• hepatic metastases
Bismuth classification for hilar tumors
I II III A III B IV
Bilateral VS unilateral drainage of a Klatskin
tumor
Bilateral
drainage
Unilateral
drainag
PANCREATIC HEAD CANCER AND
PERIAMPULLARY TUMORS
Primary tumor (T)
TX Primary tumor cannot be assessed
T0 No evidence of primary tumor
Tis Carcinoma in situ
T1 Tumor limited to the pancreas, ≤ 2 cm in greatest dimension
T2 Tumor limited to the pancreas, > 2 cm in greatest dimension
T3
Tumor extends beyond the pancreas but without involvement of
the celiac axis or the superior mesenteric artery
T4
Tumor involves the celiac axis or the superior mesenteric artery
(unresectable primary tumor)
Regional lymph nodes (N)
NX Regional lymph nodes cannot be assessed
N0 No regional lymph node metastasis
N1 Regional lymph node metastasis
Distant metastasis (M)
M0 No distant metastasis
M1 Distant metastasis
Pancreatic cancer TNM staging
Intraoperative Assessment of Resectability
• Inaccurate
• Incomplete gross
resection provides no
survival benefit
compared to
chemoradiation
without surgery
SMA Margin
(Retroperitoneal/uncinate)
R DesignationGross ResectionMicroscopic Margin
R0completenegative
R1completepositive
R2incompletepositive
Exocrine Pancreas. In Greene FL, Page DL, Fleming ID, et al., eds.
AJCC Cancer Staging Manual. Chicago, IL: Springer, 2002. pp. 157-164.
Resectable:
no extension to celiac, CHA, SMA
patent SMV-PV confluence
stage I, II (T1-3, Nx, M0)
Locally Advanced:
celiac, SMA encasement (> 1800)
stage III (T4, Nx, M0)
Borderline:
arterial abutment (< 1800)
stage III (minimal T4)
Varadhachary GR, et al. Ann Surg Oncol. 2006;13(8):1035-46
Katz MHG, et al. J Am Coll Surg. 2008;206(5):833-46
Resectable:
no extension to celiac, CHA, SMA, SMV-PV
confluence
stage I, II (T1-3, Nx, M0)
Borderline:
a) venous abutment or encasement (with
option for reconstruction)
b) arterial abutment (< 1800)
Locally Advanced:
celiac, SMA encasement (> 1800)
stage III (T4, Nx, M0)
Resectable
Borderline Resectable
Locally AdvancedCourtesy of R Wolff, MD
SMV SMA
Surrounding
perineural
plexus
NO YES
Resection
operative risk
Low High
If resect, is
the resection
complete
(R0)
Usually Usually
not
Kitts 527268
Resectable tumor, RRHA
SMV
SMA
T
Resectable adenocarcinoma of the pancreatic head
Resectable : likely to require venous resection
SMV
SMA
Resectable : likely to require venous resection
SMA
Varadhachary GR, et al. Ann Surg Oncol. 2006;13(8):1035-46
Katz MHG, et al. J Am Coll Surg. 2008;206(5):833-46
Locally Advanced (Stage III)
SMV
SMA
Locally Advanced (Stage III)
Celiac encasement
SMA encasement
 Tumor size and location
 Tumor and veins relationship – SMV, portal
vein and splenic vein
 Tumor and arteries relationship – SMA, celiac
axis, common hepatic artery
 Presence or absence of distant metastases –
liver, lung, peritoneum
MDACC Multidisciplinary Pancreatic Cancer Study Group
Treatment of Borderline Resectable Pancreatic Cancer
Underlying hypothesis / assumption
1. Neoadjuvant treatment sequencing used to:
• select those with favorable biology
• treat radiographically occult M1 disease
• enhance the chance of a complete (R0,
R1) resection
2. Outcome for R1 different than R2 (ie, better)
Preoperative
Therapy
R1 Resection
YES 13%
NO 19%
Raut, Ann Surg 2007;246:52-60
Local Failure (All pts): 8%
Pancreatico-duodenoctomy
Summary of treatment of pancreatic cancer
• Local tumor resectability is best determined by
high quality CT (exploratory surgery is out-dated)
• Resectable tumors may be treated with upfront
surgery or a neoadjuvant approach
• Borderline resectable tumors are best treated with
upfront systemic therapy/chemoradiation
• Locally advanced tumors, as defined by arterial
encasement, are not resectable and surgery is not a
realistic treatment option
CHOLANGIOCARCINOMA
 Mortality rates from intrahepatic
cholangiocarcinoma have steeply risen over
the course of the last 30y and continue to
rise
 Men = Women
 Previously no clear national consensus for
optimal diagnosis and treatment
 Age (65% are >65y)
 PSC (lifetime risk = 5-15%)
 Chronic intraductal gall stones
 Bile duct adenoma + biliary papillomatosis
 Caroli’s disease (cystic dilatation of ducts)
◦ Lifetime risk = 7%
 Choledochal cysts (5% will transform with time)
 Smoking
 Chemical Exposure ( Thorotrast, aircraft,
rubber)
 Tropiocal (liver flukes, chronic typhoid carriers)
 Intrahepatic (20-25%)
 Perihilar (50-60%)
◦ “Klatskin” = involve the duct bifurcation
 Distal Extrahepatic (20-25%)
 Multifocal (5%)
 Type 1
◦ Below the confluence
 Type 2
◦ Involving the confluence but not the L or R
duct
 Type 3
◦ Occluding the CHD and involving either the R
(IIIa) or the L (IIIb) hepatic duct
 Type 4
◦ Multicentric or
◦ Involve the CHD + both the L and the R
hepatic ducts
 WHO Classification of Intrahepatic
Carcinomas
 Hepatocellular Ca
 Combined Hepatocellular
Cholangiocarcinoma
 Cholangiocarcinoma, intrahepatic
 Bile duct cystadenocarcinoma
 Undifferentiated carcinoma
WHO Classification of Extrahepatic bile duct
carcinomas
 Carcinoma in situ
 Adenocarcinoma (95%, graded 1-4 on glandular tissue)
Papillary adenocarcinoma
Adenocarcinoma, intestinal type
Mucinous adenocarcinoma
Clear Cell adenocarcinoma
Signet ring adenocarcinoma (grade 3)
 Adeno-squamous carcinoma
 Squamous carcinoma (graded on degree of undifferentiation)
 Small cell carcinoma (“oat cell”) (grade 4)
 Undifferentiated carcinoma
 Inactivation of tumour suppressor genes
◦ P53, APC, p16
 Mutations in Oncogenes
◦ K-ras, C-myc, C-erbB-2, C-neu
 Chromasomal aneuploidy
◦ 25% of perihilar tumours
 These mutations can lead to phenotypic
changes
 Diagnostic and prognostic usefulness is
unclear
 Obstructive Jaundice
 RUQ pain, Fever + Rigors
◦ Suggesting cholangitis
 Systemic (malaise, weight loss, fatigue)
 Deranged LFTs
 Usually present late (esp. prox tumours)
 Obstructive LFTs
 Transaminases ( Normal, high with acute
obstruction)
 Deficiency in Vit D,E,A,K (in chronic obstruction)
 Chronic Systemic Markers (Hb, Alb, LDH)
 CA 19-9 (85%)
◦ Can be elevated by obstruction alone
◦ > 100 U/ml = sensitivity of 75% and specificity of 80%
 CA 125 (40-50%)
◦ May signify the presence of peritoneal involvement)
 CEA (30%)
 U/S
 CT +
 MRI + MRCP + MRA
 Cholangiography (MRCP, ERCP, PTC)
 EUS
 PET
 Intra ductal U/S, endoscopic/percutaneous
flexible cholangioscopy, radiolabelled
ligand imaging
 U/S
◦ 1st line for obstruction
◦ Small lesions missed
◦ Colour doppler can reveal compression/ thrombosis
of the portal V or hepatic A
 CT
◦ Localises lymphadenopathy
◦ Enhanced spiral/ helical CT should be used if
involvement of hilum or vascular system suspected
 MRI
◦ Optimal for anatomy + extent
◦ MRCP for ductal involvement
◦ MRA for hilar/vascular involvement
 Cholangiography
◦ Essential for early diagnosis and assessing
resectability
◦ MRCP is non-invasive
◦ ERCP (preferred) or PTC allows cytology and
stenting
◦ Cytology (+ in 30%)
◦ Angiography will predict resectability
NB = Biopsies should be avoided if resectability is
possible
 Metastatic adenocarcinoma can mimic
cholangiocarcinoma
 Pancreas = MRI, CT, EUS
 Stomach = AXR, OGD
 Breast = Ex, Mammography (if mass)
 Lung = CXR
 Colon = colonoscopy, spiral CT
 5y Survival for intrahepatic Ca = 9-18%
 5y Survival for proximal Ca = 9-18%
 5y Survival for distal Ca = 20-30%
 Survival depends on
◦ stage with tumour free margins
◦ absence of LN involvement
 Contra-indicated due to rapid recurrence and
death within 3y
 Survival may improve in some with
chemoradiation
 Stenting
◦Reduces sepsis
◦Improves survival
◦Surgical bypass has not proved
superior
 Irradiation
 Intraoperative Coeliac plexus
block
 Pre-op biliary drainage / stenting is not
advised if resection being considered
 May be necessary in severely malnourished or
in acute suppurative cholangitis
 Preop placement of biliary catheters may be a
helpful technical aid when dissecting a
proximal Ca
 Complex CholangioCa
◦ MRCP will help planning management
◦ ? Bilateral > unilateral
 Plastic Vs Metal
◦ Metal stents in those due to survive >6/12
◦ Metal = shorter hospital stay
◦ Stenosis of metal stents can be treated with
 Cotton-Leung plastic stent through lumen
 Mesh metal stent
 covered stents (?reduce Ca ingrowth)
 Response correlates to performance status at
onset
 No strong evidence for a survival benefit, but
phase II trials suggest
◦ Single agent 5FU partial response = 10-20%
◦ Single agent gemcitabine partial response =
20-30%
◦ Combination partial response = 20-40%
◦ Gemcitabine + cisplatin partial response =
30-50%
 Downstaging can convert to operability
 External Beam XRT (+ChemoTx)
◦ Palliation of painful mets
◦ No evidence for adjuvant post op XRT
◦ No improvement of QOL or Survival in advanced
tumour
 Local radiation
◦ intra-operative or intra-luminal brachytherapy
◦ No good data to support their use
◦ could be promising
Gallbladder CarcinomaGallbladder Carcinoma
TNM classification
TNM classification
 Direct invasion of the liver
by gallbladder cancer in a
66-year-old woman
 Should differentiate
gallbladder cancer from
acute cholecystitis
T?N?M?
case
Treatment
 Radical surgery including segment liver resection,
bile duct resection and extensive
lymphadenectomy
 Poor prognosis in patients with unresectable
tumor
 External radiation therapy may provide palliative
benefit.
 5-Fu and Gemcitabine can be used as
chemotherapy.
Biliary obstruction
High local concentration of bile salts
Inflammation
Fibrosis & scarring
Fibrosis and scarring
Biliary stasis Liver atrophy
Repeated cholangitis Biliary cirrhosis
& portal HTN
(very late)
 Obstructive jaundice
 Cholangitis – Charcot’s triad
 jaundice; fever, usually with rigors; and right upper quadrant
abdominal pain.
– Reynold’s pentad
+ hypotension and an altered mental state
 Past history of cholecystectomy/ other GI
surgery (eventful)
 History s/o pancreatitis, trauma, radiation,
alcohol abuse
 Icterus
 s/o hepatocellular failure
 Courvoisier's sign
 biliary fistula, peritonitis, biloma
 Nutritional deficiencies
 pale stools
 dark urine
 Itching marks (pruritus)
 Under a microscope, the individual hepatocytes will have a
brownish-green stippled appearance within the cytoplasm,
representing bile that cannot get out of the cell.
 Canalicular bile plugs between individual hepatocytes or
within bile ducts may also be seen, representing bile that
has been excreted from the hepatocytes but cannot go any
further due to the obstruction.
 When these plugs occur within the bile duct, sufficient
pressure (caused by bile accumulation) can cause them to
rupture, spilling bile into the surrounding liver tissue,
causing hepatic necrosis. These areas are known as bile
lakes, and are typically seen with extra-hepatic
obstruction.
HISTOPATHOLOGY
 Type A: Cystic duct leak or
leaks from small ducts in the
liver bed
 Type B: Occlusion of a part of
the biliary tree, almost
invariably the aberrant right
hepatic duct
 Type C: Transection without
ligation of the aberrant right
hepatic duct
 Type D: Lateral injuries to
major bile duct
 Type E: Subdivided as per
Bismuth classification into E1
to E5
E: injury to main duct
(Bismuth)
 E1: stricture >2cm from
confluence
 E2: stricture <2cm from
confluence
 E3: stricture reaching the
confluence
 E4:stricture with Separation
of the Right and Left ducts
 E5: Type C plus injury in
hilum
 Only 25-33% of injures are recognized intraoperatively
 If experienced, convert to Open Procedure and perform
Cholangiography (determine extent of injury)
 If not experienced, perform the cholangiogram laparoscopically with
intent of referring patient (placement of drains)
 Consult an experienced hepatobiliary surgeon
 Urgent intraoperative and Early postoperative
Management of Bile Duct Injury
 Quicker the repair, the better the outcome!!!
 Biliary catheter for decompression of biliary tract and control of
bile leaks
 Drainage of intraperitoneal bile collection
 Controlling sepsis, establish biliary drainage, postulate
diagnosis, type and extent of the bile duct injury.
 Broad-spectrum antibiotics
 No need for an biliary reconstruction in the presence of
peritonitis with worse outcome .
 No need for urgent reconstruction of the biliary tree
The inflammation, scar formation and development of
fibrosis take several weeks to subside.
 Reconstruction of the biliary tract is best performed
electively after an interval of at least 6 .
 Patient presents with…
 Vague abdominal pain, nausea, fever, jaundice, vomiting
 Investigation
◦ Ultrasonagraphy and CT (ductal dilatation and
intra-abdominal collection)
◦ Cholangiogram
 MRCP—noninvasive (can miss minor leaks)
 ERCP—biliary anatomy and assess the injury
 PTC—define biliary anatomy proximal to injury
◦ MR angiography—vascular injuries
 Endoscopic stenting and dilation for
strictures
 T-tube placement for minor lacerations
 Primary duct-to-duct repair only if tension
free anastomosis is available
 Biliary anastomosis with jejunal loop for
major transection or ligation injuries (Roux
en Y hepaticojejunostomy )
 Attention to operative details
 Stasberg’s critical view of safety
 Appropriate Handling of Gallbladder
 Careful use of diathermy
 Recognition of Biliary and Vasculature
Anomalies
 Options:
Endoscopic or percutaneous balloon dilatation and
insertion of stent
Surgery
 Pre-procedure antibiotic prophylaxis
 Depends on: resectability, stage &
general condition
 Resectable (15-20%)
– Radical resection with biliary enteric
anastomosis
 Palliative
 Endoscopic stenting
 Percutaneous transhepatic stenting
 Palliative surgical bypass
 Operative management : biliary enteric
anastomosis
◦ to surgically re-establish bile flow within the
biliary tree and into the proximal
gastrointestinal tract in a manner that prevents
cholestasis, cholangitis, sludge and stone
formation, restricture, or biliary cirrhosis
 Non–operative management: ERCP or
perctaneous dilation and stenting
◦ to correct the increased resistance to biliary
flow caused by a reduction in the diameter of
the lumen
CHOLEDOCHAL CYST
 Cystic dilatation of the extrahepatic bile
ducts
 Female to male is about 4:1
 The majority are now diagnosed in
childhood
 Classified into five types
 Associated with various biliary tumors
Choledochal cysts
• Type I approximately 80 %
• Type II
• Type III
• Type IV
• Type V
Type I
Type II
Type III
Type IV
Type V
• Majority of choledochal cysts have
anomalous junction of common bile duct
with pancreatic duct (90%).
• This allows reflux of pancreatic
secretions and enzymes into common bile
duct.
• Results in inflammation and weakening of
bile duct wall.
• Formation of choledochal cyst.
• Rare in US and western countries.
• Reported 1 case per 2 million live births.
• Prevalent in Asia 33% cases Japan = 1:1000.
• Females 3-4:1
• Infants and children – pancreatitis,
cholangitis and histological evidence of
hepatocellular inflammation and damage.
• cholangiocarcinoma 9-28%.
•Jaundice
•Pale stools
•Palpable mass right upper abdominal quadrant
•Hepatomegaly
•Acute pancreatitis
•USS abdomen
•CT (93%) or MRI (100%) + cholangiogram
•HIDA scan
•Plain AXR do not identify choledochal cysts
well.
• Surgery
• Complete excision with Roux-en-y biliary
end to side anastomosis to
restore biliary continuity to
gastrointestinal tract.
• Total excision
• < 3 cm endoscopic treatment.
• > 3 cm surgical excision.
• Dilated extraphepatic
duct is excised.
• Liver Transplantation
 Primary sclerosing cholangitis
 Primary biliary cirrhosis
 Autoimmune hepatitis
•Associated with
U.Colitis in 70% of
cases
•May lead to
malignancy
•Unknown aetiology
•Symptoms of
cholangitis
•Treatment;Antibiotics
• Or liver transplant
Rosary beads
o Primary sclerosing cholangitis (PSC) is a chronic liver
disease caused by progressive inflammation and scarring
of the bile ducts of the liver.
o The inflammation impedes the flow of bile to the gut, which
can ultimately lead to liver cirrhosis and liver failure.
o The underlying cause of the inflammation is believed to be
autoimmunity.
o The definitive treatment is liver transplantation.
The cause(s) for PSC are unknown.
 It is often considered to be an autoimmune disorder.
 PSC is associated with inflammatory bowel disease and
particularly ulcerative colitis, which coexists in
approximately 70% of patients.
 Conversely, the prevalence of PSC in ulcerative colitis
patients is ~4%.
 There is a 2:1 male-to-female predilection of PSC.
 There is an increased prevalence of HLA alleles A1, B8, and
DR3 in PSC.
 The disease normally starts from age 30 to 60,
though may begin in childhood.
 PSC progresses slowly, so the disease can be
active for a long time before it is noticed or
diagnosed.
Signs and symptoms
 Fatigue
 Severe jaundice with intense itching
 Malabsorption (especially of fat) and steatorrhea,
leading to decreased levels of the fat-soluble vitamins,
A, D, E and K.
 Signs of cirrhosis
 Ascending cholangitis, or infection of the bile duct.
 Pale stool due to biliary obstruction
 Dark urine due to excess conjugated bilirubin, which is
water soluble, being excreted by the kidneys
Investigations
 MRCP
 ERCP
 Approximately 80% of patients have perinuclear
antineutrophil cytoplasmic antibodies, also called p-
ANCA, however this finding is not specific for PSC.
 Antinuclear antibodies and anti-smooth muscle
antibodies are found in 20%-50% of PSC patients and,
likewise, are not specific for the disease.
 Full blood count, liver enzymes, bilirubin levels (usually
grossly elevated).
 Faecal fat determination is occasionally ordered when the
symptoms of malabsorption are prominent.
 The differential diagnosis include: primary biliary
cirrhosis, drug induced cholestasis, cholangiocarcinoma,
and HIV-associated cholangiopathy.
Primary sclerosing cholangitis. Single-shot fast spin-echo MRCP image
shows multifocal strictures and dilatations of the intrahepatic bile ducts
Normal Extra hepatic BD
Narrowed abnormal
intra-heptic bile
ducts.
PSC is associated with cholangiocarcinoma
Treatment
 Ursodiol, a bile acid naturally produced by the liver, which has been
shown to lower elevated liver enzyme in PSC, but has not yet been
proven effective at prolonging the life of the liver.
 Medications to relieve itching (antipruritics) and bile acid
sequestrants (cholestyramine), antibiotics to treat infections, and
vitamin supplements, as people with PSC are often deficient in
vitamin A, D, E and K.
 In some cases, ERCP, whth stenting of the bile duct, may be
necessary (dominant strictures).
 Liver transplantation is the only proven long-term treatment of PSC.
Indications for transplantation include recurrent bacterial cholangitis,
jaundice refractory to medical and endoscopic treatment,
decompensated cirrhosis and complications of portal hypertension.
Primary biliary cirrhosis is an autoimmune disease of
the liver marked by:
 The slow progressive destruction of the small bile
ducts (bile canaliculi) within the liver.
 When these ducts are damaged, bile builds up in the
liver (cholestasis) and over time damages the tissue.
 This can lead to scarring, fibrosis and cirrhosis.
 It was previously thought to be a rare disease, but more
recent studies have shown that it may affect up to 1 in
3-4,000 people; the sex ratio is about 9:1 (women to
men)
PRIMARY BILIARY CIRRHOSIS
 In some areas of the US and UK the prevalence is
estimated to be as high as 1 in 4000. This is much
more common than in South America or Africa ( may
be due to better recognition in the US and UK ).
 First-degree relatives may have as much as a 500
times increase in prevalence,
 After liver transplant, the recurrence rate may be as
high as 18% at 5 years, and up to 30% at 10 years.
 There is no consensus on risk factors for
recurrence of the disease
The cause of the disease is unknown
 An immunological basis for the disease, making it an
autoimmune disorder.
 Most patients (>90%) have anti-mitochondrial
antibodies (AMAs) against pyruvate dehydrogenase
complex (PDC-E2), an enzyme complex that is found
in mitochondria.
 An increase in GGT could indicate presence of
Primary Biliary Cirrhosis.
 57% of patients with acute liver failure have anti-
transglutaminase antibodies suggesting a role of
gluten sensitivity in primary biliary cirrhosis, and
primary biliary cirrhosis is considerably more common
in gluten sensitive enteropathy than the normal
population..
The following signs may be present in PBC:
• Fatigue
• Pruritus (itchy skin)
• Jaundice (yellowing of the eyes and skin)
• Xanthelasmata (focal collections of cholesterol in the
skin, especially around the eyes)
• Complications of cirrhosis and portal hypertension:
• Fluid retention in the abdomen (ascites)
• Hypersplenism
• Esophageal varices
• Hepatic encephalopathy, up to coma
in extreme cases.
• Association with extra-hepatic autoimmune disorder[s]
such as Rheumatoid arthritis or Sjögren's syndrome (up
to 80% incidence).
To diagnose PBC
distinctions should be established from
other conditions with similar symptoms,
such as autoimmune hepatitis or primary
sclerosing cholangitis (PSC).
Investigations include:
 Abnormal liver function tests (high alkaline phosphatase, elevated
AST, ALT)
 Presence of certain antibodies: antimitochondrial antibody,
antinuclear antibody (the M2-IgG antimitochondrial antibody is the
most specific test)
 Abdominal ultrasound ,MRCP and CT are usually performed to rule
out blockage to the bile ducts , and - if uncertainty remained - ERCP
may be done.
 Now most patients are diagnosed without invasive investigation since
the combination of anti-mitochondrial antibodies and typical
(cholestatic) liver function tests are considered diagnostic. However, a
liver biopsy is necessary to determine the stage of disease.
 Anti-nuclear antibodies appear to be prognostic in PBC. Anti-
glycoprotein-210 antibodies, and to a lessor degree anti-p62
antibodies correlate with progression toward end stage liver failure.
Anti-centromere antibodies correlate with developing portal
hypertension..
Contrast-enhanced helical CT image obtained through liver during hepatic
arterial phase shows several small, homogeneously enhancing lesions
(arrows). Multiple lesions were seen throughout remainder of liver as well.
STAGES OF DISEASE
• Stage 1 - Portal Stage: Normal sized triads; portal
inflammation, subtle bile duct damage.
Granulomas are often detected in this stage.
• Stage 2 - Periportal Stage: Enlarged triads; periportal
fibrosis and/or inflammation. Typically characterized by the
finding of a proliferation of small bile ducts.
• Stage 3 - Septal Stage: Active and/or passive fibrous
septa.
• Stage 4 - Biliary Cirrhosis: Nodules present; garland or
jigsaw pattern.
Treatment :
 No known cure, but medication may slow the progression
 Ursodeoxycholic acid (Ursodiol) is the most frequently
used treatment. This helps reduce the cholestasis and
improves blood test results (liver function tests).
 To relieve itching caused by bile acids in circulation,
which would normally be removed by the liver,
cholestyramine (a bile acid sequestrant) may be prescribed
to absorb bile acids in the gut and be eliminated, rather
than re-enter the blood stream.
 Alcoholic beverages are contraindicated.
 Multivitamins (esp. Vitamin D) and calcium are also
recommended as patients with PBC have poor lipid-
dependent absorption of Vitamins A, D, E, K.
 In advanced cases, a liver transplant, if successful, results
in a favourable prognosis.
 Treatment of malignant obstruction
 Adjunct to surgery - Treatment of stricture
or recurrent stones after hepaticojejunostomy
 Failed ERCP
 Treatment of CBD calculi
 Treatment of benign strictures
 MDT discussion
 Coagulation status
 Ascites
 Ultrasound. Confirm biliary obstruction,
mass, metastatic disease, calculi
 CT. Confirm level of obstruction, mass,
metastatic disease
 MRI/MRCP. Complex biliary strictures, CBD
calculi, liver metastases
 ERCP. failed
 Malignant or benign disease
 Gastroenterologists
 Surgeons
 Radiologists
 Other Healthcare Workers
 PTC and Internal/External biliary drainage
 PTC and metallic Stent
 ERCP treatment of choice
 PTC and internal/external drain or plastic
stent. May enable successful ERCP later
 INR < 1.4. Consider vitamin K, FFP and also
Beriplex/Octaplex.
 Platelets > 100,000. If less, consider platelet
transfusion
 WHO performance status
 Check coagulation
 Explain procedure at least 1 day before
 Risks. Bleeding, bile leak, infection,
pneumothorax and failure
 Anaesthetist
 GA
Discuss need for airway protection
 LA
 At start of procedure
 Discuss with Microbiology
 Use what works best for you
 Chiba needle 22 gauge
 Trochar needle 18 gauge
 Stiff Terumo wire
 Amplatz wire
 Catheters.
 Self expanding stent
 Internal/External drains 8.5/10.5F.
 Ascites present? Drain first
 Ultrasound?
 Right lobe. Mid axillary line. Aim for
xyphisternum.
 Left lobe. Locate with U/S and usually aim for
segment III.
 Very gently inject 1/3 strength contrast as
needle is withdrawn
 Duct entered when contrast flows away from
needle and persists
 Duct not entered. Change angle and try not to
exit liver capsule
 Duct normally anterior to portal vein
Obstructive lesion
 Pre-surgery for cholangiocarcinoma. Discuss
lobe to drain. Usually the lobe being
preserved.
 Pre-surgery for pancreatic cancer. Right lobe
puncture.
 Palliative. Drain right, left or both?
 1. Chiba needle to opacify ducts then choose
duct for trochar puncture and wire etc.
 2. Single puncture (NEF set ), then wire,
dilator and access sheath
 Consider bile for cytology if no diagnosis
 Cross lesion with wire.
 Torque
 Stent/Drain
 1 or 2 stage procedure?
 Temporary drain followed by stent?
 Plug track? Coils, gelfoam etc.
 Technical success >95%
 Unable to cross stricture, establish external
drainage (8.5F internal/external drain).
 Further attempt after decompression usually
successful.
 Care with drainage bag essential.
 In hospital mortality 19.8%.
 Death or major complication 21.2% overall, 18.3%
benign, 21.7% malignant.
 Major complications in 7.9%, haemorrhage 3.5%,
renal failure 1.8% and sepsis 1.6%.
 Minor complications in 26.0%, pain 14.3%, sepsis
7.7% and haemorrhage 4.5%.
 Association with ascites, elevated INR and low
platelets.
 1 year survival <20% for malignant disease.
 Drainage more effective if stents placed across
ampulla
Recurrent obstructive jaundice
It will depend on
• stones
• Benign or malignant stricture
• Recurrent obstructive jaundice after ERCP
• Recurrent obstructive jaundice after lap. Or open CBD
exploration
• Recurrent obstructive jaundice after
choledochojejunostomy or hepaticojejunostomy
Follow up of patients after treatment of
obstructive jaundice
• Very important to achieve good results
• Early detection of recurrent jaundice and
treatment of complications .
• Short and long term follow up .
Thank you

Obstructive jaundice

  • 1.
    A. ELSHAMY Prof. ofSurgery AIN SHAMS UNIVERSITY
  • 2.
     YELLOW DISCOLORATIONOF THE SKIN AND MUCOUS MEMBRANE
  • 4.
  • 7.
     Water (98%) Bile Salts  Bile pigments (Bilirubin)  Lecithin  Cholesterol
  • 8.
     BROKEN DOWNRED CELLS ARE REMOVED BY R.E.S.  HAEMOGLOBIN SPLITS INTO HAEM &GLOBIN  GLOBIN & CELL WALL PROTEIN GO DOWN TO AMINOACIDS  THEY ENTER THE AMINO ACID POOL
  • 9.
    HAEM SPLITS INTOIRON & BILIRUBIN [pigments] IRON STORED AS FERRITIN FOR REUSE
  • 10.
     BILIRUBIN ISNOT REUSED [GOES TO THE LIVER]  COMBINE WITH GLUCOURINC ACID TO FORM THE CONJUGATED [ DIRECT ] BILIRUBIN [ WATER SOLUBLE ] Van den Bergh reaction [DIRECT] Alcohol added after van den Gergh [INDIRECT]
  • 11.
    HAEMOGLOBIN +RBC WALL PROTEIN AMINOACIDS AMINOACID POOL IRON BILIRUBIN WATER INSOLUBLE GOES TOTHE LIVER FOR CONGUGATION WITH GLUCOURINIC A.TO BECOME WATER SOLUBLE FERRITIN TO BE REUSED BLOOD URINE
  • 13.
     Typical Normallevel of total bilirubin 0.1 -1mg /dl.  Typical Normal level of direct bilirubin 0-0.3 mg /dl.  Reference range of total bilirubin 0.2-1.2mg/dl.  Reference range for direct bilirubin 0.1-0.4mg/dl.  Elevated levels of total bilirubin > 2.5 -3 mg/dl. Cause jaundice.
  • 14.
     Normal value< 1mg/dl. (17u mol/L)  Ehrlich unit  A level of 2mg/dl. Represent a transition from normal to abnormal level.
  • 15.
  • 16.
     1-STONES  2-STRICTURES;[BENIGN]  3-PERIAMPULLARY TUMOURS  4-CA. HEAD OF THE PANCREAS  5-CHOLANGIOCARCINOMA  6-PRESSURE FROM OUTSIDE;L.N.  7-CHOLEDOCHAL CYST  8-PARASITES; FILLING THE LUMEN
  • 17.
     Luminal  Gallstone Intra-mural  Benign stricture (e.g. As complication of cholecystectomy )  Malignant stricture: cholangiocarcinoma  Extra-mural  Cancer Head of pancreas  Compression by malignant lymph nodes at porta hepatis
  • 18.
  • 19.
  • 20.
    L.N. CANCER HEAD OF THEPANCREAS MIRIZZI SYND ANY MASS OUTSIDE HARTMANN`S POUCH stone Stone in cystic duct
  • 21.
     Secondary bileduct stones  STONES SLIPPING INTO THE BILIARY TREE  This is the commonest cause of obstructive jaundice.  Retained bile duct stone after cholecystectomy.  Primary bile duct stone .
  • 24.
     1-BILIARY ATRESIA 2-IATROGENIC BILIARY SURGERY GASTRECTOMY HEPATIC RESECTION LIVER TRANSPLANT  3-INFLAMMATORY;CHOLANGITIS , PANCREATITIS, SCLEROSING CHOLANANGITIS.  4-TRAUMA  5-IDIOPATHIC  6-RADIOTHERAPY
  • 25.
  • 27.
    1. Jaundice –onset 2. Pale stools, dark urine ? YES = POST HEPATIC NO = PREHEPATIC & HEPATIC PAIN? YES NO PAIN Colicky Fatty food intolerant GALLSTONES Wt loss Back Pain Non-specific symptoms MALIGNANCY Hepatic: IV Drug abuse blood transfusion flu-like illness Excess alcohol intake Liver cirrhosis Obesity Drug History ASSOCIATED FEVER / RIGOR ? Gram –ve Septicaemia ADMIT Pre-hepatic: Family history of bleeding disorders, tendency to bleed
  • 28.
     PAIN  YELLOWDISCOLOURATION SKIN &M.M.  DARK URINE [TEA COLOUR]  CLAY COLOUR STOOL  ITCHING  FEVER and RIGORS IF CHOLANGITIS SUPERVENE  LOSS OF APPETITE  LOSS OF WEIGHT IN MALIGNACY
  • 29.
     LOSS OFWt. IN MALIGNANCY  TOXIC IN CHOLANGITIS [CHARCOT`S TRIAD,;PAIN, FEVER ,JAUNDICE]  YELLOW DISCOLOURATION OF SKIN,M.M.  TROISIER`S SIGN. VIRCHOW`S NODE  TENDER R.U.Q .[IN CHOLANGITIS ]  COURVOISIER` LAW[IN CA.HEAD OF PAN.]  ABDOMINAL MASS  ASCITES [IN MAIGNANCY]
  • 30.
  • 31.
  • 34.
     Blood tests Elevated WCC in ascending cholangitis)  Monitor renal function in case of hepato-renal syndrome  LFTs - ALP/GGT  Conjugated/unconjugated bilirubin  Clotting (INR maybe elevated)  USS  Look for gallstones, biliary tree dilatation, stone in CBD (though often not seen due to bowel gas).  Look at pancreas to look for cancer (often poor views due to overlying bowel gas)  Look at liver to exclude parenchymal disease.
  • 35.
     CT  Usedto assess pancreas in cases of suspected pancreatic cancer  Less sensitive that USS for picking up gallstones  MRCP  Used to assess biliary tree anatomy and determine cause of obstruction (gallstone, stricture)  Diagnostic only but non-invasive  ERCP  Used to assess biliary tree anatomy and determine cause of obstruction  Furthermore, obstruction can be relieved (diagnostic and therepeutic, but invasive)  Stone extraction with balloon trawel  Sphincterotomy  Biliary stent (if stricture: benign or malignant)  Brushings for cytology (if stricture, to look for cholangiocarcinoma)
  • 36.
     PTC (percutaneoustranshepatic cholangiogram) – performed by interventional radiologist  Diagnostic and therepeutic (biliary drain to relieve obstruction) but invasive  More invasive and Higher complication rate than ERCP (particularly haemorrhage) therefore used in situations where ERCP is unavailable (out of hours in patient with cholangitis) or unsuccesful
  • 37.
     Ultrasound  CTscan  MRCP  HIDA scan  ERCP  Endoscopic ultrasound  PTC  Fistulography
  • 38.
     Detects intra/extrahepatic ductal dilatation  Less accuracy in defining etiology  Sensitivity – 94% if bilirubin > 10mg% – 47% otherwise
  • 39.
     Highly sensitive(esp. with contrast) for tumors.  Detects site & cause of obstruction  Better anatomical delineation  CT cholangiography
  • 40.
     Bile –high signal intensity on T2 weighted images  Visualises – biliary dilatation (97- 100%), site of obstruction (87%), hepatic parenchyma & vasculature  Only diagnostic
  • 41.
     Extra hepaticbile duct readily visualized  Detects choledocholithiasis (>95%)  Sensitive in diagnosis & staging of malignancy
  • 42.
     Helps indiagnosing biliary leaks  Provides functional assessment of incomplete strictures and surgical anastomosis  suggest complete biliary obstruction if the small intestine is not visualized in 60 minutes  insensitive for helping detect biliary dilatation or the site and cause of bile duct obstruction
  • 43.
     Gold standard Endoscopic/ percutaneous  Features: ◦ define the anatomy of the proximal biliary tree ◦ decompression of the biliary system ◦ allow for the simultaneous placement of drainage catheters ◦ of assistance with regard to surgical reconstruction
  • 45.
    PTC  The catheteris placed into the intrahepatic bile duct through patient’s skin guided by US and fixed on the skin.  The radiographic image is then taken.  Obstructive lesion can be seen .
  • 48.
     CORRECTION OFTHE DERANGED PARAMETRES AND DEHYDRATED PATIENT  ADMINISTRATION OF VITAMIN K  ANTIBIOTICS  MANNITOL PRE, INTRA and POSTOPERATIVELY TO PREVENT HEPATO-RENAL SHUTDOWN
  • 49.
     Monitor forhepato-renal syndrome  Ensure fluid resuscitated and monitor urine output  Monitor INR  If deranged give vitamin K  Determine cause of obstructive jaundice  Danger is progression to ascending cholangitis (Charcot’s triad) – can be life threatening!  drain the Biliary tree to prevent development of cholangitis
  • 50.
     1. STONE-ERCP -SPHINCTEROTOMY  2.STONE- LAP. OR OPEN EXPLORATION OF C.B.D.  3.STRICTURE-STENT  4.STRICTURE-RESECTION ANASTOMOSIS FOR SHORT STRICTURES  5. PERIAMPULLARY AND CA.HEAD OF PANCREAS =EARLY-WHIPPLE`S OPERATION[PANCREATICO-DUODENECTOMY. =LATE-BYPASS SURGERY[CHOLECYSTO- JUJENOSTOMY
  • 51.
     ERCP preferredmethod  Balloon trawl or dormia basket (for stones)  Sphincterotomy (to prevent future stones from obstructing)  Stent (to allow free drainage of bile past a stricture)  PTC  Used where ERCP unavailable or unsuccesful ( more invasive and higher complication rate)  Drain inserted percutaneously, trans-hepatically (through the liver) and into the biliary tree to allow free drainage of bile
  • 52.
     Surgical  Inthe context of gallstones  At time of cholecystectomy an intra-operative cholangiogram is performed to confirm stones in CBD  If present then consider:  Laparoscopic Trans-cystic (through cystic duct) removal using fogarty catheter  Laparoscopic CBD exploration with choledochotomy  In context of malignancy (Ca head of pancreas or external compression by enlarged malignant lymph nodes)  Palliative bypass procedures such as hepaticojejunostomy where ERCP/PTC + stenting has failed
  • 54.
  • 55.
     Extrhepatic ductopeniaor progressive obliterative cholangiopathy.  A disease affecting all parts of biliary tract.  Untreated :cirrhosis,liver failure and death
  • 56.
     1 in10,000 – Japan and China  1 in 17,000 – UK, USA, and Europe  F > M
  • 57.
     The causeof BA is not known  Hypotheses  Developmental  Immunological overreaction
  • 58.
    Type Incidence (%) Description 1 ∼5%Level of obstruction within the common bile duct. 2 ∼2% Level of obstruction within the common hepatic duct. 3 >90% Obstruction is within the porta hepatis with no visible bile-containing proximal lumen.
  • 60.
     Jaundice  Palestools  Dark urine  Failure to thrive
  • 62.
     It ispossible to make the correct diagnosis in >80% of cases before laparotomy  Ultrasound  Liver biopsy  In Japan, use duodenal intubation and measuement of intralumenal bile  ERCP,percutaneous cholangiography
  • 63.
     Obstructed choledochalmalformations  others
  • 64.
     Kasai-type portoenterostomy Laparoscopic-assisted portoenterostomy has been described although a true comparison with the open procedure has to be determined.
  • 66.
     If fails,or the child develops significant complications of chronic liver disease, then liver transplantation will be required if available
  • 67.
     Cholangitis (40%) Portal hypertension  Hepatopulmonary syndrome  Malignancy
  • 68.
    Prognosis post-KPE canbe affected by 1. Age at surgery 2. Experience of surgeon/center 3. prognosis
  • 69.
     Blockage ofthe biliary tree by biliary stones  Symptoms ◦ Pain, Jaundice, dark urine, pale stools  Signs ◦ Jaundice. Charcot triad  Investigations ◦ Bloods – LFT, Amylase, Hepatitis screen, Coagulation profile, creatinin. ◦ Ultrasound of abdomen  Treatment ◦ ERCP ◦ LAPAROSCOPIC TREATMET ◦ OPEN SURGERY
  • 70.
     ERCP  Opensurgical treatment  Exploration of CBD followed by T tube insertion  exploration with Primary closure  choledochoduodenostomy  Laparoscopic treatment  Lap. transcystic exploration of CBD  Lap. Choledochotomy with choledochoscopy  Lap. Chledochoduodenostomy
  • 71.
     Obstruction ofbiliary tree with bile duct infection  Symptoms ◦ Unwell, pain, jaundice, dark urine, pale stools ◦ Charcot triad (ie, fever, right upper quadrant pain, jaundice) occurs in only 20-70% of cases  Signs ◦ Sepsis (Fever, tachycardia, low BP), Jaundice.  Investigations ◦ Blood – WBC, LFT, Amylase, CRP, Coagulation screen ◦ Ultrasound of abdomen  Treatment ◦ Intravenous antibiotics ◦ ERCP
  • 72.
     Acute inflammationof pancreas and other retroperitoneal tissues.  Symptoms ◦ Severe central abdominal pain radiating to back, vomiting  Signs ◦ Variable – None to Sepsis (Fever, tachycardia, low BP), Jaundice, acute abdomen  Investigations ◦ Blood WBC, LFT, Amylase,Lipase;CRP ◦ Ultrasound of abdomen ◦ MRCP ◦ CT Pancreas  Treatment ◦ Supportive ◦ ERCP ?
  • 74.
    Classification type :Csendes (1989)  Type I : External compression of the common duct because of a stone impacted at the neck of the gall bladder or at the cystic duct.  Type II : Cholecystobiliary fistula involving less than one-third of the circumference of the common duct  Type III : Cholecystobiliary fistula that involves up to two-thirds of its circumference  Type IV : Cholecystobiliary fistula with complete destruction of the entire wall of the common duct
  • 75.
     It hasbeen reported in the literature that the incidence of MS is approximately 0.3-3% of all patients undergoing cholecystectomy  and in 0.1% of all patients with gallstone disease
  • 76.
     The surgicaltechnique depends on the type of MS.  If the type of MS has not been classified preoperatively, the best way to determine the operative procedure is “fundus-first” technique .  For type I cholecystectomy. For type II cholecystectomy with T tube placement . For type III and IV hepaticojejunostomy after cholecystectomy.
  • 78.
    Biliary Stone Extraction •Bile duct stones are a common clinical scenario . • Their frequency may increase in the future given the rise in gallstones linked to the obesity epidemic. • Over the last decade, improved therapeutic tools have been developed which have enhanced the overall success and safety of endoscopic stone extraction. • In some situations, mechanical lithotripsy may be required. Rarely will surgery be required for stone removal. Wilcox, C.M , 2010 . Interventional and Therapeutic Gastrointestinal Endoscopy. Basel, Karger, vol 27, pp 337–344
  • 80.
    Sphincterotomes Balloons 10 and15 mm Basket Mechanical lithotripter Crank handle mechanical lithotripter Accessories required for extraction of common bile duct stones
  • 82.
    The large stoneand mechanical lithotripsy
  • 83.
    Endoscopic Treatment ofBenign Biliary Strictures Some causes of benign biliary stricture • surgery (Iatrogenic Biliary Stricture) • chronic pancreatitis. • Primary sclerosing cholangitis • others. The general endoscopic treatment of these strictures is dilation followed by stent placement.  For postoperative strictures the data show that placement of multiple, large bore (10-Fr) stents over the course of several procedures is better than placement of fewer stents.  Care must be taken to exclude malignancy in cases where benignity is not certain.  The use of temporary placement of covered, removable SEMS for benign biliary strictures appears promising. Baron,T.H , 2010 . Interventional and Therapeutic Gastrointestinal Endoscopy. Basel, Karger, vol 27, pp 337–344
  • 84.
    A Initial cholangiogramreveals stricture in the common hepatic duct near the previous surgical clips. b Balloon dilation of stricture. c Placement of multiple stents over two procedures. D Cholangiogram after stent removal showing stricture resolution. Endoscopic treatment of post-cholecystectomy biliary stricture using plastic biliary stents. a b c d
  • 85.
    Endoscopic treatment ofMalignant Biliary Obstruction
  • 86.
     Plastic ◦ Biliary 7 or 10 FG  Need to be removed/replaced within 3 months ◦ Pancreatic  5 FG  Need to be removed within 2-4 weeks  Metal ◦ 10mm ◦ Not removable (usually)
  • 87.
    Plastic stents  Polyethylene, PTFE,polyurithane.  More recently newer stens have been designed • 2 layer sent • Stent with antireflux valve  Shape : Sraight,angled ,curved,pig-tailed  Diameters : vary 5-12 F
  • 88.
    Metallic Stents  a)Wall stent covered and uncovered (Boston Scientific). • B) WallFlex Stent – platinum-cored nitinol construction (Boston Scientific). • C) Zilver stent (Wilson Cook). • D) Viabil® stent. a b c d
  • 89.
    Distal Malignant Obstruction •Pancreatic cancer, responsible for more than 90% of the cases • Ampullary tumors. • Cholangiocarcinoma • Gallbladder cancer • Malignant lymphadenopathy The site of malignant obstruction Drainage with plastic sten insertion
  • 90.
    Hilar Malignant Obstruction The most common malignant etiology • cholangiocarcinoma, • gallbladder carcinoma • nodal metastases • hepatocellular carcinoma • hepatic metastases Bismuth classification for hilar tumors I II III A III B IV
  • 91.
    Bilateral VS unilateraldrainage of a Klatskin tumor Bilateral drainage Unilateral drainag
  • 92.
    PANCREATIC HEAD CANCERAND PERIAMPULLARY TUMORS
  • 96.
    Primary tumor (T) TXPrimary tumor cannot be assessed T0 No evidence of primary tumor Tis Carcinoma in situ T1 Tumor limited to the pancreas, ≤ 2 cm in greatest dimension T2 Tumor limited to the pancreas, > 2 cm in greatest dimension T3 Tumor extends beyond the pancreas but without involvement of the celiac axis or the superior mesenteric artery T4 Tumor involves the celiac axis or the superior mesenteric artery (unresectable primary tumor) Regional lymph nodes (N) NX Regional lymph nodes cannot be assessed N0 No regional lymph node metastasis N1 Regional lymph node metastasis Distant metastasis (M) M0 No distant metastasis M1 Distant metastasis Pancreatic cancer TNM staging
  • 97.
    Intraoperative Assessment ofResectability • Inaccurate • Incomplete gross resection provides no survival benefit compared to chemoradiation without surgery
  • 98.
  • 99.
    R DesignationGross ResectionMicroscopicMargin R0completenegative R1completepositive R2incompletepositive Exocrine Pancreas. In Greene FL, Page DL, Fleming ID, et al., eds. AJCC Cancer Staging Manual. Chicago, IL: Springer, 2002. pp. 157-164.
  • 100.
    Resectable: no extension toceliac, CHA, SMA patent SMV-PV confluence stage I, II (T1-3, Nx, M0) Locally Advanced: celiac, SMA encasement (> 1800) stage III (T4, Nx, M0) Borderline: arterial abutment (< 1800) stage III (minimal T4) Varadhachary GR, et al. Ann Surg Oncol. 2006;13(8):1035-46 Katz MHG, et al. J Am Coll Surg. 2008;206(5):833-46
  • 101.
    Resectable: no extension toceliac, CHA, SMA, SMV-PV confluence stage I, II (T1-3, Nx, M0) Borderline: a) venous abutment or encasement (with option for reconstruction) b) arterial abutment (< 1800) Locally Advanced: celiac, SMA encasement (> 1800) stage III (T4, Nx, M0)
  • 102.
  • 103.
    SMV SMA Surrounding perineural plexus NO YES Resection operativerisk Low High If resect, is the resection complete (R0) Usually Usually not
  • 104.
    Kitts 527268 Resectable tumor,RRHA SMV SMA T Resectable adenocarcinoma of the pancreatic head
  • 105.
    Resectable : likelyto require venous resection SMV SMA
  • 106.
    Resectable : likelyto require venous resection
  • 107.
    SMA Varadhachary GR, etal. Ann Surg Oncol. 2006;13(8):1035-46 Katz MHG, et al. J Am Coll Surg. 2008;206(5):833-46
  • 108.
  • 109.
    Locally Advanced (StageIII) Celiac encasement SMA encasement
  • 110.
     Tumor sizeand location  Tumor and veins relationship – SMV, portal vein and splenic vein  Tumor and arteries relationship – SMA, celiac axis, common hepatic artery  Presence or absence of distant metastases – liver, lung, peritoneum MDACC Multidisciplinary Pancreatic Cancer Study Group
  • 111.
    Treatment of BorderlineResectable Pancreatic Cancer Underlying hypothesis / assumption 1. Neoadjuvant treatment sequencing used to: • select those with favorable biology • treat radiographically occult M1 disease • enhance the chance of a complete (R0, R1) resection 2. Outcome for R1 different than R2 (ie, better)
  • 112.
    Preoperative Therapy R1 Resection YES 13% NO19% Raut, Ann Surg 2007;246:52-60 Local Failure (All pts): 8%
  • 113.
  • 115.
    Summary of treatmentof pancreatic cancer • Local tumor resectability is best determined by high quality CT (exploratory surgery is out-dated) • Resectable tumors may be treated with upfront surgery or a neoadjuvant approach • Borderline resectable tumors are best treated with upfront systemic therapy/chemoradiation • Locally advanced tumors, as defined by arterial encasement, are not resectable and surgery is not a realistic treatment option
  • 116.
  • 117.
     Mortality ratesfrom intrahepatic cholangiocarcinoma have steeply risen over the course of the last 30y and continue to rise  Men = Women  Previously no clear national consensus for optimal diagnosis and treatment
  • 118.
     Age (65%are >65y)  PSC (lifetime risk = 5-15%)  Chronic intraductal gall stones  Bile duct adenoma + biliary papillomatosis  Caroli’s disease (cystic dilatation of ducts) ◦ Lifetime risk = 7%  Choledochal cysts (5% will transform with time)  Smoking  Chemical Exposure ( Thorotrast, aircraft, rubber)  Tropiocal (liver flukes, chronic typhoid carriers)
  • 119.
     Intrahepatic (20-25%) Perihilar (50-60%) ◦ “Klatskin” = involve the duct bifurcation  Distal Extrahepatic (20-25%)  Multifocal (5%)
  • 120.
     Type 1 ◦Below the confluence  Type 2 ◦ Involving the confluence but not the L or R duct  Type 3 ◦ Occluding the CHD and involving either the R (IIIa) or the L (IIIb) hepatic duct  Type 4 ◦ Multicentric or ◦ Involve the CHD + both the L and the R hepatic ducts
  • 122.
     WHO Classificationof Intrahepatic Carcinomas  Hepatocellular Ca  Combined Hepatocellular Cholangiocarcinoma  Cholangiocarcinoma, intrahepatic  Bile duct cystadenocarcinoma  Undifferentiated carcinoma
  • 124.
    WHO Classification ofExtrahepatic bile duct carcinomas  Carcinoma in situ  Adenocarcinoma (95%, graded 1-4 on glandular tissue) Papillary adenocarcinoma Adenocarcinoma, intestinal type Mucinous adenocarcinoma Clear Cell adenocarcinoma Signet ring adenocarcinoma (grade 3)  Adeno-squamous carcinoma  Squamous carcinoma (graded on degree of undifferentiation)  Small cell carcinoma (“oat cell”) (grade 4)  Undifferentiated carcinoma
  • 125.
     Inactivation oftumour suppressor genes ◦ P53, APC, p16  Mutations in Oncogenes ◦ K-ras, C-myc, C-erbB-2, C-neu  Chromasomal aneuploidy ◦ 25% of perihilar tumours  These mutations can lead to phenotypic changes  Diagnostic and prognostic usefulness is unclear
  • 126.
     Obstructive Jaundice RUQ pain, Fever + Rigors ◦ Suggesting cholangitis  Systemic (malaise, weight loss, fatigue)  Deranged LFTs  Usually present late (esp. prox tumours)
  • 127.
     Obstructive LFTs Transaminases ( Normal, high with acute obstruction)  Deficiency in Vit D,E,A,K (in chronic obstruction)  Chronic Systemic Markers (Hb, Alb, LDH)  CA 19-9 (85%) ◦ Can be elevated by obstruction alone ◦ > 100 U/ml = sensitivity of 75% and specificity of 80%  CA 125 (40-50%) ◦ May signify the presence of peritoneal involvement)  CEA (30%)
  • 128.
     U/S  CT+  MRI + MRCP + MRA  Cholangiography (MRCP, ERCP, PTC)  EUS  PET  Intra ductal U/S, endoscopic/percutaneous flexible cholangioscopy, radiolabelled ligand imaging
  • 129.
     U/S ◦ 1stline for obstruction ◦ Small lesions missed ◦ Colour doppler can reveal compression/ thrombosis of the portal V or hepatic A  CT ◦ Localises lymphadenopathy ◦ Enhanced spiral/ helical CT should be used if involvement of hilum or vascular system suspected  MRI ◦ Optimal for anatomy + extent ◦ MRCP for ductal involvement ◦ MRA for hilar/vascular involvement
  • 130.
     Cholangiography ◦ Essentialfor early diagnosis and assessing resectability ◦ MRCP is non-invasive ◦ ERCP (preferred) or PTC allows cytology and stenting ◦ Cytology (+ in 30%) ◦ Angiography will predict resectability NB = Biopsies should be avoided if resectability is possible
  • 131.
     Metastatic adenocarcinomacan mimic cholangiocarcinoma  Pancreas = MRI, CT, EUS  Stomach = AXR, OGD  Breast = Ex, Mammography (if mass)  Lung = CXR  Colon = colonoscopy, spiral CT
  • 132.
     5y Survivalfor intrahepatic Ca = 9-18%  5y Survival for proximal Ca = 9-18%  5y Survival for distal Ca = 20-30%  Survival depends on ◦ stage with tumour free margins ◦ absence of LN involvement
  • 133.
     Contra-indicated dueto rapid recurrence and death within 3y  Survival may improve in some with chemoradiation
  • 134.
     Stenting ◦Reduces sepsis ◦Improvessurvival ◦Surgical bypass has not proved superior  Irradiation  Intraoperative Coeliac plexus block
  • 135.
     Pre-op biliarydrainage / stenting is not advised if resection being considered  May be necessary in severely malnourished or in acute suppurative cholangitis  Preop placement of biliary catheters may be a helpful technical aid when dissecting a proximal Ca
  • 136.
     Complex CholangioCa ◦MRCP will help planning management ◦ ? Bilateral > unilateral  Plastic Vs Metal ◦ Metal stents in those due to survive >6/12 ◦ Metal = shorter hospital stay ◦ Stenosis of metal stents can be treated with  Cotton-Leung plastic stent through lumen  Mesh metal stent  covered stents (?reduce Ca ingrowth)
  • 137.
     Response correlatesto performance status at onset  No strong evidence for a survival benefit, but phase II trials suggest ◦ Single agent 5FU partial response = 10-20% ◦ Single agent gemcitabine partial response = 20-30% ◦ Combination partial response = 20-40% ◦ Gemcitabine + cisplatin partial response = 30-50%  Downstaging can convert to operability
  • 138.
     External BeamXRT (+ChemoTx) ◦ Palliation of painful mets ◦ No evidence for adjuvant post op XRT ◦ No improvement of QOL or Survival in advanced tumour  Local radiation ◦ intra-operative or intra-luminal brachytherapy ◦ No good data to support their use ◦ could be promising
  • 139.
  • 141.
  • 142.
  • 143.
     Direct invasionof the liver by gallbladder cancer in a 66-year-old woman  Should differentiate gallbladder cancer from acute cholecystitis T?N?M? case
  • 144.
    Treatment  Radical surgeryincluding segment liver resection, bile duct resection and extensive lymphadenectomy  Poor prognosis in patients with unresectable tumor  External radiation therapy may provide palliative benefit.  5-Fu and Gemcitabine can be used as chemotherapy.
  • 146.
    Biliary obstruction High localconcentration of bile salts Inflammation Fibrosis & scarring
  • 147.
    Fibrosis and scarring Biliarystasis Liver atrophy Repeated cholangitis Biliary cirrhosis & portal HTN (very late)
  • 150.
     Obstructive jaundice Cholangitis – Charcot’s triad  jaundice; fever, usually with rigors; and right upper quadrant abdominal pain. – Reynold’s pentad + hypotension and an altered mental state  Past history of cholecystectomy/ other GI surgery (eventful)  History s/o pancreatitis, trauma, radiation, alcohol abuse
  • 151.
     Icterus  s/ohepatocellular failure  Courvoisier's sign  biliary fistula, peritonitis, biloma  Nutritional deficiencies  pale stools  dark urine  Itching marks (pruritus)
  • 152.
     Under amicroscope, the individual hepatocytes will have a brownish-green stippled appearance within the cytoplasm, representing bile that cannot get out of the cell.  Canalicular bile plugs between individual hepatocytes or within bile ducts may also be seen, representing bile that has been excreted from the hepatocytes but cannot go any further due to the obstruction.  When these plugs occur within the bile duct, sufficient pressure (caused by bile accumulation) can cause them to rupture, spilling bile into the surrounding liver tissue, causing hepatic necrosis. These areas are known as bile lakes, and are typically seen with extra-hepatic obstruction. HISTOPATHOLOGY
  • 155.
     Type A:Cystic duct leak or leaks from small ducts in the liver bed  Type B: Occlusion of a part of the biliary tree, almost invariably the aberrant right hepatic duct  Type C: Transection without ligation of the aberrant right hepatic duct  Type D: Lateral injuries to major bile duct  Type E: Subdivided as per Bismuth classification into E1 to E5
  • 156.
    E: injury tomain duct (Bismuth)  E1: stricture >2cm from confluence  E2: stricture <2cm from confluence  E3: stricture reaching the confluence  E4:stricture with Separation of the Right and Left ducts  E5: Type C plus injury in hilum
  • 157.
     Only 25-33%of injures are recognized intraoperatively  If experienced, convert to Open Procedure and perform Cholangiography (determine extent of injury)  If not experienced, perform the cholangiogram laparoscopically with intent of referring patient (placement of drains)  Consult an experienced hepatobiliary surgeon  Urgent intraoperative and Early postoperative Management of Bile Duct Injury  Quicker the repair, the better the outcome!!!  Biliary catheter for decompression of biliary tract and control of bile leaks  Drainage of intraperitoneal bile collection
  • 158.
     Controlling sepsis,establish biliary drainage, postulate diagnosis, type and extent of the bile duct injury.  Broad-spectrum antibiotics  No need for an biliary reconstruction in the presence of peritonitis with worse outcome .  No need for urgent reconstruction of the biliary tree The inflammation, scar formation and development of fibrosis take several weeks to subside.  Reconstruction of the biliary tract is best performed electively after an interval of at least 6 .
  • 159.
     Patient presentswith…  Vague abdominal pain, nausea, fever, jaundice, vomiting  Investigation ◦ Ultrasonagraphy and CT (ductal dilatation and intra-abdominal collection) ◦ Cholangiogram  MRCP—noninvasive (can miss minor leaks)  ERCP—biliary anatomy and assess the injury  PTC—define biliary anatomy proximal to injury ◦ MR angiography—vascular injuries
  • 160.
     Endoscopic stentingand dilation for strictures  T-tube placement for minor lacerations  Primary duct-to-duct repair only if tension free anastomosis is available  Biliary anastomosis with jejunal loop for major transection or ligation injuries (Roux en Y hepaticojejunostomy )
  • 161.
     Attention tooperative details  Stasberg’s critical view of safety  Appropriate Handling of Gallbladder  Careful use of diathermy  Recognition of Biliary and Vasculature Anomalies
  • 162.
     Options: Endoscopic orpercutaneous balloon dilatation and insertion of stent Surgery  Pre-procedure antibiotic prophylaxis
  • 163.
     Depends on:resectability, stage & general condition  Resectable (15-20%) – Radical resection with biliary enteric anastomosis  Palliative  Endoscopic stenting  Percutaneous transhepatic stenting  Palliative surgical bypass
  • 164.
     Operative management: biliary enteric anastomosis ◦ to surgically re-establish bile flow within the biliary tree and into the proximal gastrointestinal tract in a manner that prevents cholestasis, cholangitis, sludge and stone formation, restricture, or biliary cirrhosis  Non–operative management: ERCP or perctaneous dilation and stenting ◦ to correct the increased resistance to biliary flow caused by a reduction in the diameter of the lumen
  • 166.
  • 167.
     Cystic dilatationof the extrahepatic bile ducts  Female to male is about 4:1  The majority are now diagnosed in childhood  Classified into five types  Associated with various biliary tumors Choledochal cysts
  • 168.
    • Type Iapproximately 80 % • Type II • Type III • Type IV • Type V
  • 169.
  • 170.
  • 171.
  • 172.
  • 173.
  • 174.
    • Majority ofcholedochal cysts have anomalous junction of common bile duct with pancreatic duct (90%). • This allows reflux of pancreatic secretions and enzymes into common bile duct. • Results in inflammation and weakening of bile duct wall. • Formation of choledochal cyst.
  • 175.
    • Rare inUS and western countries. • Reported 1 case per 2 million live births. • Prevalent in Asia 33% cases Japan = 1:1000. • Females 3-4:1
  • 176.
    • Infants andchildren – pancreatitis, cholangitis and histological evidence of hepatocellular inflammation and damage. • cholangiocarcinoma 9-28%.
  • 177.
    •Jaundice •Pale stools •Palpable massright upper abdominal quadrant •Hepatomegaly •Acute pancreatitis
  • 178.
    •USS abdomen •CT (93%)or MRI (100%) + cholangiogram •HIDA scan •Plain AXR do not identify choledochal cysts well.
  • 179.
    • Surgery • Completeexcision with Roux-en-y biliary end to side anastomosis to restore biliary continuity to gastrointestinal tract.
  • 180.
  • 181.
    • < 3cm endoscopic treatment. • > 3 cm surgical excision.
  • 182.
  • 183.
  • 185.
     Primary sclerosingcholangitis  Primary biliary cirrhosis  Autoimmune hepatitis
  • 187.
    •Associated with U.Colitis in70% of cases •May lead to malignancy •Unknown aetiology •Symptoms of cholangitis •Treatment;Antibiotics • Or liver transplant Rosary beads
  • 188.
    o Primary sclerosingcholangitis (PSC) is a chronic liver disease caused by progressive inflammation and scarring of the bile ducts of the liver. o The inflammation impedes the flow of bile to the gut, which can ultimately lead to liver cirrhosis and liver failure. o The underlying cause of the inflammation is believed to be autoimmunity. o The definitive treatment is liver transplantation.
  • 190.
    The cause(s) forPSC are unknown.  It is often considered to be an autoimmune disorder.  PSC is associated with inflammatory bowel disease and particularly ulcerative colitis, which coexists in approximately 70% of patients.  Conversely, the prevalence of PSC in ulcerative colitis patients is ~4%.  There is a 2:1 male-to-female predilection of PSC.  There is an increased prevalence of HLA alleles A1, B8, and DR3 in PSC.
  • 191.
     The diseasenormally starts from age 30 to 60, though may begin in childhood.  PSC progresses slowly, so the disease can be active for a long time before it is noticed or diagnosed.
  • 192.
    Signs and symptoms Fatigue  Severe jaundice with intense itching  Malabsorption (especially of fat) and steatorrhea, leading to decreased levels of the fat-soluble vitamins, A, D, E and K.  Signs of cirrhosis  Ascending cholangitis, or infection of the bile duct.  Pale stool due to biliary obstruction  Dark urine due to excess conjugated bilirubin, which is water soluble, being excreted by the kidneys
  • 193.
    Investigations  MRCP  ERCP Approximately 80% of patients have perinuclear antineutrophil cytoplasmic antibodies, also called p- ANCA, however this finding is not specific for PSC.  Antinuclear antibodies and anti-smooth muscle antibodies are found in 20%-50% of PSC patients and, likewise, are not specific for the disease.  Full blood count, liver enzymes, bilirubin levels (usually grossly elevated).  Faecal fat determination is occasionally ordered when the symptoms of malabsorption are prominent.  The differential diagnosis include: primary biliary cirrhosis, drug induced cholestasis, cholangiocarcinoma, and HIV-associated cholangiopathy.
  • 194.
    Primary sclerosing cholangitis.Single-shot fast spin-echo MRCP image shows multifocal strictures and dilatations of the intrahepatic bile ducts
  • 195.
    Normal Extra hepaticBD Narrowed abnormal intra-heptic bile ducts.
  • 196.
    PSC is associatedwith cholangiocarcinoma
  • 198.
    Treatment  Ursodiol, abile acid naturally produced by the liver, which has been shown to lower elevated liver enzyme in PSC, but has not yet been proven effective at prolonging the life of the liver.  Medications to relieve itching (antipruritics) and bile acid sequestrants (cholestyramine), antibiotics to treat infections, and vitamin supplements, as people with PSC are often deficient in vitamin A, D, E and K.  In some cases, ERCP, whth stenting of the bile duct, may be necessary (dominant strictures).  Liver transplantation is the only proven long-term treatment of PSC. Indications for transplantation include recurrent bacterial cholangitis, jaundice refractory to medical and endoscopic treatment, decompensated cirrhosis and complications of portal hypertension.
  • 200.
    Primary biliary cirrhosisis an autoimmune disease of the liver marked by:  The slow progressive destruction of the small bile ducts (bile canaliculi) within the liver.  When these ducts are damaged, bile builds up in the liver (cholestasis) and over time damages the tissue.  This can lead to scarring, fibrosis and cirrhosis.  It was previously thought to be a rare disease, but more recent studies have shown that it may affect up to 1 in 3-4,000 people; the sex ratio is about 9:1 (women to men) PRIMARY BILIARY CIRRHOSIS
  • 202.
     In someareas of the US and UK the prevalence is estimated to be as high as 1 in 4000. This is much more common than in South America or Africa ( may be due to better recognition in the US and UK ).  First-degree relatives may have as much as a 500 times increase in prevalence,  After liver transplant, the recurrence rate may be as high as 18% at 5 years, and up to 30% at 10 years.  There is no consensus on risk factors for recurrence of the disease
  • 203.
    The cause ofthe disease is unknown  An immunological basis for the disease, making it an autoimmune disorder.  Most patients (>90%) have anti-mitochondrial antibodies (AMAs) against pyruvate dehydrogenase complex (PDC-E2), an enzyme complex that is found in mitochondria.  An increase in GGT could indicate presence of Primary Biliary Cirrhosis.  57% of patients with acute liver failure have anti- transglutaminase antibodies suggesting a role of gluten sensitivity in primary biliary cirrhosis, and primary biliary cirrhosis is considerably more common in gluten sensitive enteropathy than the normal population..
  • 204.
    The following signsmay be present in PBC: • Fatigue • Pruritus (itchy skin) • Jaundice (yellowing of the eyes and skin) • Xanthelasmata (focal collections of cholesterol in the skin, especially around the eyes) • Complications of cirrhosis and portal hypertension: • Fluid retention in the abdomen (ascites) • Hypersplenism • Esophageal varices • Hepatic encephalopathy, up to coma in extreme cases. • Association with extra-hepatic autoimmune disorder[s] such as Rheumatoid arthritis or Sjögren's syndrome (up to 80% incidence).
  • 205.
    To diagnose PBC distinctionsshould be established from other conditions with similar symptoms, such as autoimmune hepatitis or primary sclerosing cholangitis (PSC).
  • 206.
    Investigations include:  Abnormalliver function tests (high alkaline phosphatase, elevated AST, ALT)  Presence of certain antibodies: antimitochondrial antibody, antinuclear antibody (the M2-IgG antimitochondrial antibody is the most specific test)  Abdominal ultrasound ,MRCP and CT are usually performed to rule out blockage to the bile ducts , and - if uncertainty remained - ERCP may be done.  Now most patients are diagnosed without invasive investigation since the combination of anti-mitochondrial antibodies and typical (cholestatic) liver function tests are considered diagnostic. However, a liver biopsy is necessary to determine the stage of disease.  Anti-nuclear antibodies appear to be prognostic in PBC. Anti- glycoprotein-210 antibodies, and to a lessor degree anti-p62 antibodies correlate with progression toward end stage liver failure. Anti-centromere antibodies correlate with developing portal hypertension..
  • 207.
    Contrast-enhanced helical CTimage obtained through liver during hepatic arterial phase shows several small, homogeneously enhancing lesions (arrows). Multiple lesions were seen throughout remainder of liver as well.
  • 208.
    STAGES OF DISEASE •Stage 1 - Portal Stage: Normal sized triads; portal inflammation, subtle bile duct damage. Granulomas are often detected in this stage. • Stage 2 - Periportal Stage: Enlarged triads; periportal fibrosis and/or inflammation. Typically characterized by the finding of a proliferation of small bile ducts. • Stage 3 - Septal Stage: Active and/or passive fibrous septa. • Stage 4 - Biliary Cirrhosis: Nodules present; garland or jigsaw pattern.
  • 209.
    Treatment :  Noknown cure, but medication may slow the progression  Ursodeoxycholic acid (Ursodiol) is the most frequently used treatment. This helps reduce the cholestasis and improves blood test results (liver function tests).  To relieve itching caused by bile acids in circulation, which would normally be removed by the liver, cholestyramine (a bile acid sequestrant) may be prescribed to absorb bile acids in the gut and be eliminated, rather than re-enter the blood stream.  Alcoholic beverages are contraindicated.  Multivitamins (esp. Vitamin D) and calcium are also recommended as patients with PBC have poor lipid- dependent absorption of Vitamins A, D, E, K.  In advanced cases, a liver transplant, if successful, results in a favourable prognosis.
  • 211.
     Treatment ofmalignant obstruction  Adjunct to surgery - Treatment of stricture or recurrent stones after hepaticojejunostomy  Failed ERCP  Treatment of CBD calculi  Treatment of benign strictures
  • 212.
     MDT discussion Coagulation status  Ascites
  • 213.
     Ultrasound. Confirmbiliary obstruction, mass, metastatic disease, calculi  CT. Confirm level of obstruction, mass, metastatic disease  MRI/MRCP. Complex biliary strictures, CBD calculi, liver metastases  ERCP. failed
  • 214.
     Malignant orbenign disease  Gastroenterologists  Surgeons  Radiologists  Other Healthcare Workers
  • 215.
     PTC andInternal/External biliary drainage  PTC and metallic Stent
  • 216.
     ERCP treatmentof choice  PTC and internal/external drain or plastic stent. May enable successful ERCP later
  • 217.
     INR <1.4. Consider vitamin K, FFP and also Beriplex/Octaplex.  Platelets > 100,000. If less, consider platelet transfusion
  • 218.
     WHO performancestatus  Check coagulation  Explain procedure at least 1 day before  Risks. Bleeding, bile leak, infection, pneumothorax and failure
  • 219.
     Anaesthetist  GA Discussneed for airway protection  LA
  • 220.
     At startof procedure  Discuss with Microbiology
  • 221.
     Use whatworks best for you  Chiba needle 22 gauge  Trochar needle 18 gauge  Stiff Terumo wire  Amplatz wire  Catheters.  Self expanding stent  Internal/External drains 8.5/10.5F.
  • 222.
     Ascites present?Drain first  Ultrasound?  Right lobe. Mid axillary line. Aim for xyphisternum.  Left lobe. Locate with U/S and usually aim for segment III.  Very gently inject 1/3 strength contrast as needle is withdrawn  Duct entered when contrast flows away from needle and persists  Duct not entered. Change angle and try not to exit liver capsule  Duct normally anterior to portal vein
  • 223.
  • 224.
     Pre-surgery forcholangiocarcinoma. Discuss lobe to drain. Usually the lobe being preserved.  Pre-surgery for pancreatic cancer. Right lobe puncture.  Palliative. Drain right, left or both?  1. Chiba needle to opacify ducts then choose duct for trochar puncture and wire etc.  2. Single puncture (NEF set ), then wire, dilator and access sheath  Consider bile for cytology if no diagnosis
  • 225.
     Cross lesionwith wire.  Torque  Stent/Drain  1 or 2 stage procedure?  Temporary drain followed by stent?  Plug track? Coils, gelfoam etc.  Technical success >95%
  • 226.
     Unable tocross stricture, establish external drainage (8.5F internal/external drain).  Further attempt after decompression usually successful.  Care with drainage bag essential.
  • 227.
     In hospitalmortality 19.8%.  Death or major complication 21.2% overall, 18.3% benign, 21.7% malignant.  Major complications in 7.9%, haemorrhage 3.5%, renal failure 1.8% and sepsis 1.6%.  Minor complications in 26.0%, pain 14.3%, sepsis 7.7% and haemorrhage 4.5%.  Association with ascites, elevated INR and low platelets.  1 year survival <20% for malignant disease.  Drainage more effective if stents placed across ampulla
  • 231.
    Recurrent obstructive jaundice Itwill depend on • stones • Benign or malignant stricture • Recurrent obstructive jaundice after ERCP • Recurrent obstructive jaundice after lap. Or open CBD exploration • Recurrent obstructive jaundice after choledochojejunostomy or hepaticojejunostomy
  • 232.
    Follow up ofpatients after treatment of obstructive jaundice • Very important to achieve good results • Early detection of recurrent jaundice and treatment of complications . • Short and long term follow up .
  • 233.