Perforated peptic ulcers
BY
DR. SEFEEN SAIF ATTYA
SURGERY DEPARTMENT
SOHAG TEACHING HOSPITAL
Chronic peptic ulcer.
Acute gastric
erosions.
Surgical Anatomy
–Arterial blood supply
 Left gastric artery
 Right gastric artery
 Right gastroepiploic artery from gastroduodenal artery
 left gastroepiploic artery a branch of splenic artery.
 short gastric arteries from splenic artery
Venous drainage
right & left gastric veins drain into
portal vein
left gastro epiploic vein & vasa
brevia join splenic vein
right gastro epiploic vein join
superior mesenteric vein
Nerve supply
1-Intrinsic
a- myenteric plexus of Auerbach
b- submucosal plexus of Meissner
2-Extrensic
ļ‚§ parasympathetic
ant. Vagus
post. vagus
ļ‚§ Sympathetic T5 – T10
Epidemiology
of peptic ulcer disease
 The incidence and prevalence of peptic
ulcer disease (PUD) has severely
decreased over the last four decades
but still represents a significant health
problem.
 Although the recent advances in
pharmacologic therapy (antisecretory
agents and Helicobacter pylori treatment
regimens) have not eliminated the disease
process,
 Outpatient symptomatology has been
successfully treated and therefore there
has been a dramatic decline, by
approximately 85% over the last three
decades, in the need for elective operative
therapy for PUD.
 These treatments have not changed the
complication rate of PUD and thus the
number of emergency surgeries performed
for bleeding, perforation, and obstruction
has remained the same.
 Complications occur in all types of
gastrointestinal (GI) ulcers but are much
more common in duodenal ulcers.
Hemorrhage occurs in 20–30%
gastric outlet obstruction in 5%,
and perforation in 2–10%.
 Perforated gastric ulcers have a much
higher mortality rate than perforated
duodenal ulcers
 Gastric ulcers account for approximately
5% of all PUD but require operation much
more frequently than duondenal ulcers.
 95% of gastric ulcers are benign. Ulcers in
the fundus are rare but are almost always
malignant.
 Giant gastric ulcers, those greater than 2
cm in diameter, which were previously
thought to be malignant, are benign 90% of
the time.
 Duodenal ulcers are almost always benign.
PHYSIOLOGy of
ACID SECRETION
The normal human stomach contains
approximately 1 billion parietal cells,
and total gastric acid production is
proportional to parietal cell mass.
Gastrin, acetylcholine, and
histamine stimulate the parietal cell
to secrete hydrochloric acid
 Food ingestion is the physiologic
stimulus for acid secretion
three phases: cephalic, gastric, and
intestinal.
Acid secretion is controlled by several types of
specialized cells.
ļ‚§ G cells in the gastric antrum release gastrin.
Gastrin activates enterochromaffin cells in the
body of the stomach and these secrete histamine.
Histamine, in turn, stimulates parietal cells to
secrete acid.
ļ‚§ Gastrin also directly promotes the growth of
parietal cells and enterochromaffin cells.
ļ‚§ Antral D cells secrete somatostatin which inhibits
gastrin production.
pathophysiology of
peptic ulcer disease
 Peptic ulcers occur when there is an alteration in the balance
between acid production and mucosal protective mechanisms.
 There are two major etiologies of this imbalance:
H. pylori infection and NSAID use.
 H. pylori infection is present in 75% of gastric ulcers and greater
than 90% of duodenal ulcers, Several recent meta-analyses
demonstrated that there is a definite synergism between H.
pylori infection and NSAID use
and between H. pylori and cigarette smoking in the formation of
complicated PUD.
 More than half of patients with complications of PUD
report recent use of NSAIDs
Balance of aggressive and defensive
factors in the gastric mucosa.
 In 35% of patients with duodenal ulcers, the basal
acid output (BAO) and the maximum acid output (MAO) are
increased.
 BAO greater than 15 mEq/h puts one at greatest risk.
The increased BAO is frequently observed in patients with
increased parietal cell mass (increase acid production to any
stimulus) and in patients with accelerated gastric emptying
(increased acid load in the first portion of the duodenum).
 High levels of BAO and MAO are seen in
Type II (gastric and duodenal) and
Type III (prepyloric) gastric ulcers,
but not in
Type I (lesser curvature at the incisura),
Type IV (juxtaesophageal), and
Type V (anywhere secondary to medication) ulcers.
 The epithelial cells of the stomach and duodenum secrete
mucus in response to an acid load and to cholinergic
stimulation.
 This mucus form a gel layer that is impermeable to acid and
pepsin.
 Other gastric and duodenal cells secrete bicarbonate to aid in
buffering acid near the mucosal cells. Prostaglandin E increases
the production of both bicarbonate and the gel layer.
 When acid does penetrate the protective layers and enters
the epithelial cells, ion pumps in the basolateral cell membranes
are activated to remove excess hydrogen ions and restore
intracellular pH.
Role of helicobacter pylori
infection in peptic ulcer disease
 Unlike other bacteria, H. pylori is able to survive in
the acidic environment of the stomach because of
its urease enzyme which converts urea into
ammonia and bicarbonate and creates a buffered
environment for its own survival.
 The bacteria lives in the mucus layer above the
epithelium and causes PUD by
altering acid secretion
and by inducing gastroduodenal mucosal damage.
 The bacteria causes an inflammatory response
which results in cytokine stimulation of G cells
and parietal cells and inhibits the production of
somatostatin.
 The hypergastrinemia has two major effects.
It causes an acid hypersecretion that overwhelms
the duodenal protective mechanisms and it leads to
parietal cell hyperplasia/metaplasia in the duodenum.
 The metaplasia creates a mucus layer in the duodenum
that allows H. pylori to colonize the area and reduces
duodenal bicarbonate secretion.
 This infection, just like any other infection, stimulates an
inflammatory response with host cells that further
damages the mucosa.
 H. pylori secretes toxins that act locally on the
epithelium and it produces proteases that degrade the
mucus layer.
Helicobacter pylori
closely adherent to
the cell membrane
the bacterial flagella
can be seen arising
from the upper pole of
the bacterium.
Role of NSAIDs in the
development of peptic ulcer disease
 The chronic use of NSAIDs significantly increases the risk of
complications of PUD and is the most common cause of PUD
in patients who do not have H. pylori.
 Age over 60 years, prior GI complication, high NSAID dose,
and concurrent steroid and/or anticoagulant use, greatly
increase the risk of ulcer complications.
 The cyclooxygenase-1B inhibitor (COXIB) drugs have a
slightly lower risk of upper GI complications than the traditional
NSAIDs but only at lower doses,
 the cyclooxygenase- 2 inhibitor (COX2) drugs have not been
found to change the overall outcome of GI complications
when compared to traditional NSAIDs.
ļ‚§ NSAIDs have a local topical irritative
effect on gastric mucosa which cause
submucosal erosions.
ļ‚§ They also inhibit the formation of
prostaglandins and thus inhibit their
mucosal protective effects such as the
production of bicarbonate and the increase
in mucosal blood flow.
ļ‚§ All of these effects are intensified with the
coexistence of H. pylori infection.
Other causes of peptic
ulcer disease
• Crohn’s disease,
• Zollinger–Ellison Syndrome
• hyperparathyroidism,
• steroid use,
• cigarette smoking, and
• Cocaine use
Zolllinger–Ellison
Syndrome
 ZES, or gastrinoma, is caused by a tumor of the
pancreatic islet cells that produce gastrin.
 These tumors can arise sporadically from
mutations in oncogenes such as Her-2/Neu
or as part of the Multiple Endocrine Neoplasia
Type 1 (MEN 1) syndrome.
 These are responsible for 0.1–1.0% of duodenal
ulcers.
 ZES frequently causes ulcerations in atypical
locations such as the distal duodenum or jejunum.
 50% of ZES ulcers are solitary and 50% are
considered malignant (as they have lymph node
and/or hepatic involvement).
Cigarette Smoking
Smoking increases
the gastric acid secretion and
duodenogastric reflux.
It inhibits
prostaglandin production and
decreases pancreaticoduodenal
bicarbonate secretion.
Cocaine Use
• Recent literature has identified crack
cocaine with juxtapyloric
peptic ulcers that have an increased
propensity to perforate.
• The etiology has not yet been elucidated
but many speculate that
these ulcers are secondary to a local
ischemia from the drug induced
vasoconstriction rather than from an acid
imbalance.
Presentation of
noncomplicated PUD
 The typical symptoms of noncomplicated PUD include episodic
burning pain in the epigastrium relieved by antacids, or
antisecretory agents.
 A small proportion of patients will have vomiting, heartburn,
or intolerance to fatty foods. Patients with duodenal ulcers will
be more likely to have pain relieved by food intake than patients
with gastric ulcers.
 Weight loss secondary to fear of food intake is more common
with gastric ulceration than with duodenal ulceration.
 patients with ZES are more likely to present with diarrhea
as part of their symptomatology.
 Physical examination in noncomplicated PUD is unreliable.
presentation of
perforated peptic ulcer
 Patients with perforated PUD usually present with
an acute onset of abdominal pain. Often, they can
tell you the exact timeof the perforation.
 The pain starts in the epigastrium but by the time
of presentation in the emergency department, it is
generalized and associated with diffuse peritonitis.
 it is important to ascertain whether the patient has
a history consistent with chronic PUD,
either by prior treatment, current medications or
pre-existing symptoms of noncomplicated disease.
Diagnosis of perforated
peptic ulcer disease
 History and physical examination
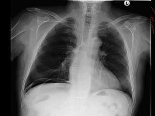
 Upright chest radiographs will show pneumoperitoneum
(ā€œfree airā€) in 80–90% of the cases.
 If pneumoperitoneum is identified on plain radiographs, there is
no need for further studies.
 Ultrasound is less sensitive for detecting free air but could be
used to identify other indirect findings of perforation such as
free fluid and decreased peristalsis when the diagnosis remains
in question.
 Computerized tomography (CT) scans are more sensitive
for detecting pneumoperitoneum than the other modalities
but should ideally be performed at least 6 h following the onset
of symptoms.
 the use of oral contrast medium with CT scanning to identify
the site of perforation and the presence of ongoing leakage.
Test
for h. pylori infection
ļ‚§ Every patient diagnosed with PUD should be screened for H.
pylori infection.
ļ‚§ All patients with complicated PUD should be treated for H. pylori
infection.
ļ‚§ The gold standard test is the histologic examination of a
mucosal biopsy using special stains. Thus, all gastric ulcers
should be biopsied at the time of operation or endoscopy.
ļ‚§ Other tests for H. pylori infection include a serologic test,
a urea breath test, a rapid urease test, and a fecal antigen test.
ļ‚§ The serologic test is noninvasive and has a sensitivity > 80%
and a specificity of 90%. It is not reliable if the patient has
already received antibiotic therapy for H. pylori and it cannot
be used to confirm disease eradication because the serum
will remain positive for an indeterminate length of time.
ļ‚§ The urea breath test is a newer modality and involves
the ingestion of radio-labeled urea with subsequent
analysis of expired air.
This test has a high sensitivity and specificity
but is used mostly to confirm cure following treatment
rather than to make the primary diagnosis.
ļ‚§ The rapid urease test requires a biopsy specimen and is a
simple laboratory test but has a high false-negative rate
(especially after PPIs or antibiotics have been given).
ļ‚§ The fecal antigen test that detects active infection is
a very simple test and can be used for diagnosis or
confirmation of cure.
Indications for surgery in
patients with peptic ulcer disease
 The indications for surgery for PUD have
recently been limited to the treatment of
complicated PUD.
 because of the high mortality rate
following emergency surgery for perforated
PUD, many are suggesting nonoperative
management rather than surgical
management in high-risk patients.
 High risk is defined as
the presence of severe comorbidities,
perforation greater than 24 h,
and hypotension on presentation.
 Crofts et al. determined that nonoperative
management with nasogastric suction,
fluid resuscitation, and antibiotics
can be effective in the treatment of
perforated PUD if the site of perforation
has sealed.
 Failure to improve within 24 h should then
prompt an operation.
 Each case must be individualized, and
nonoperative management should not be
undertaken if a contrast study of the upper
gastrointenstinal tract shows continuing
free perforation.
Treatment options for
perforated peptic ulcer disease
 Surgery for PUD has a long history with
many surgical options.
 Many procedures have gone out of favor
due to complications, side effects, and
inadequacy, leaving
ļ‚§ highly selective vagotomy (HSV) or
ļ‚§ Truncal vagotomy with pylorplasty or
gastrojejunosotomy,
ļ‚§ Vagotomy with antrectomy, and
ļ‚§ Omental patch closure
as the current options.
Omental patch closure
 Omental patch closure is a quick and simple procedure that is
very useful in perforated PUD.
 It has long been the recommended treatment in patients with
multiple comorbidities, those that are
hemodynamically unstable and
those with exudative peritonitis.
 It is not useful in Type IV gastric ulcers and may not be the
optimal treatment in a stable patient with a perforated Type I
gastric ulcer
 Numerous authors in recent years have prospectively
investigated peptic ulcer recurrence rates after simple patch
closure and H. pylori eradication and have reported high success
rates
Highly selective
vagotomy
 HSV is a tedious but safe operation , that
can be performed laparoscopically,
with minimal side effects.
 It has a higher recurrent ulcer rate than
the other procedures (10–20%).
 It is not useful for Type II or Type III
gastric ulcers or for complicated PUD.
Truncal vagotomy
Truncal vagotomy and drainage
procedure is very useful in
complicated ulcer disease.
It reduces peak acid secretion
by 50%.
It has a significant side effect
profile and has a recurrent
ulcer rate of 10%.
Truncal vagotomy.
Vagotomy with
antrectomy
 Vagotomy with antrectomy is most effective at reducing
acid secretion and has a recurrence rate of 0–2%.
But, this operation has a 20% rate of post-gastrectomy
and post-vagotomy syndromes and has a significant
associated mortality.
 The mortality risk increases with patient comorbidities
and with emergency surgery for complicated PUD.
 It should be avoided in hemodynamically unstable
paitents and those with extensive inflammation since the
anastamosis may be compromised.
postoperative morbidity and mortality associated
with repair of a perforated peptic ulcer disease
ļ‚§ Despite current advances in medical and surgical
therapy, the morbidity and mortality associated
with perforated PUD remains very high and
this area has remained a topic of current research
efforts.
ļ‚§ Comorbidities and preoperative shock are well-
established independent risk factors for a poor
outcome following emergency surgery.
ļ‚§ Kocer et al. added age, time before surgery, and
performance of a definitive operation to the list
of significant risk factors.
Adjunctive medical treatments
following operation for perforated PUD
Proton Pump Inhibitors
Discontinuation of
Nonsteroidal Anti-
inflammatory Drugs
Medications for Mucosal
Cytoprotection
Treatment of Helicobacter
pylori and verification of
eradication
Proton Pump
Inhibitors
 Patients with perforated PUD who do not undergo an acid
reducing operation should be placed on acid suppression therapy
for life.
 80 – 90 % of peptic ulcers will heal with
the chronic use of antacid medications.
 Several randomized control trials have demonstrated that ulcer
healing occurs faster and in a higher percentage when PPIs
are used in place of H2 blockers.
 PPIs must be taken on a regular basis (not as needed) and
should be administered before the first meal of the day.
Discontinuation of
Nonsteroidal Anti-
inflammatory Drugs
 Cessation of all NSAIDs is highly recommended in
all patients with complicated PUD.
 This recommendation includes the discontinuation
of cardio-protective doses of aspirin therapy.
 There are, however, certain patient populations
that require chronic anti-inflammatory medications
(i.e., rheumatoid arthritis, transplant patients). In
these patients, the traditional NSAIDs can be
substituted with the more specific but potentially
cardiotoxic COX2 inhibitors and supplemented
with cytoprotective agents.
Medications for Mucosal
Cytoprotection
 Rostom et al. performed a meta-analysis of randomized control
trials and concluded that misoprostol, PPIs, and double-dose H2
blockers are equally effective in preventing PUD from NSAID use.
 They also showed that sulcralfate is not effective.
Although the theory of enhancing the weakened mucosal barrier
seems worthwhile, there has been no added benefit
identified in patients with complicated PUD.
 Misoprostol is a prostaglandin E2 analog that decreases
mucosal injury but that has severe GI side effects secondary to its
potent stimulation of smooth muscle. This has severely limited
its clinical use.
Treatment of Helicobacter pylori
and verification of eradication
 Treatment of H. pylori with a 2-week course of either a triple
regimen or quadruple drug regimen results in 90–98% eradication
rate.
 Because the recurrence rate of ulceration without complete
eradication is high, 38–70% versus 5% with eradication ,
endoscopic reexamination to confirm cure is necessary.
 Triple therapy for H. pylori eradication includes a PPI and two
antibiotics, commonly metronidazole and amoxicillin
and clarithromycin.
 Quadruple therapy adds bismuth to one of the triple therapy
and is used in areas where there is high metronidazole
resistance or triple therapy treatment failures
 After completion of drug therapy, at least 1 month’s time
should pass before testing for cure is attempted.
 Testing for cure can be accomplished by any of the
methods for H. pylori detection that were discussed in
the diagnosis but repeat endoscopy is most accurate.
 According to Ng et al. endoscopy performed at 8 weeks
following treatment showed ulcer cure rate > 80% in
both the H. pylori treatment group and the PPI
alone group.
 But, at 1 year following treatment, the ulcer recurrence
rate was 4.8% in the H. pylori group versus 38.1%
in the PPI alone group.
Helicobacter treatment dramatically
decreases the recurrence rate of
duodenal and gastric ulcer.
 If eradication has not been achieved at the
time of retesting, a second course of
therapy should be initiated.
 Quadruple drug therapy should be
used at this time regardless of which
regimen was used during the initial
treatment phase.
 As for the future, research on H. pylori
vaccine continues.
Treatment Regimens
for Helicobacter
pylori
PPI + clarithromycin 500 mg bid
+ amoxicillin 1000 mg bid
10–14d
PPI + clarithromycin 500 bid
+ metronidazole 500 bid
10–14 d
PPI + amoxicillin 1000 mg bid,
then
PPI + clarithromycin 500 mg
bid + tinidazole 500 mg bid
5 d
5 d
Salvage regimens for patients who fail
one of the above initial regimens:
Bismuth subsalicylate 525
mg qid + metronidazole 250
mg qid + tetracycline 500
mg qid + PPI
10–14 d
PPI + amoxicillin 1000 mg
bid + levofloxacin 500 mg
daily
10 d
Confirmation of cure in
complicated PUD
ļ‚§ Stool antigen test
ļ‚§ Urea breath test
ļ‚§ Endoscopic biopsy if being done
for other reason
ļ‚§ Serology (not recommended)
keypoints to remember in managing
patients with perforated PUD
 Biopsy of all perforated gastric ulcers is required.
 No single approach is ideal for all patients.
Surgeons must be prepared to individualize
all treatment plans
 Any patient admitted to a hospital because of
peptic ulcer disease should be placed on lifelong
acid suppression.
 Patients who regularly take NSAIDs or aspirin
should take concomitant acid suppressive
medication if they are more than 60 years old.
 Lifelong acid suppressive medication may be
equivalent to surgical vagotomy in preventing
recurrent peptic ulcer or ulcer complications.
THANK YOU

Perforated peptic ulcers

  • 1.
    Perforated peptic ulcers BY DR.SEFEEN SAIF ATTYA SURGERY DEPARTMENT SOHAG TEACHING HOSPITAL
  • 5.
  • 6.
  • 10.
    Surgical Anatomy –Arterial bloodsupply  Left gastric artery  Right gastric artery  Right gastroepiploic artery from gastroduodenal artery  left gastroepiploic artery a branch of splenic artery.  short gastric arteries from splenic artery
  • 12.
    Venous drainage right &left gastric veins drain into portal vein left gastro epiploic vein & vasa brevia join splenic vein right gastro epiploic vein join superior mesenteric vein
  • 13.
    Nerve supply 1-Intrinsic a- myentericplexus of Auerbach b- submucosal plexus of Meissner 2-Extrensic ļ‚§ parasympathetic ant. Vagus post. vagus ļ‚§ Sympathetic T5 – T10
  • 15.
    Epidemiology of peptic ulcerdisease  The incidence and prevalence of peptic ulcer disease (PUD) has severely decreased over the last four decades but still represents a significant health problem.  Although the recent advances in pharmacologic therapy (antisecretory agents and Helicobacter pylori treatment regimens) have not eliminated the disease process,
  • 16.
     Outpatient symptomatologyhas been successfully treated and therefore there has been a dramatic decline, by approximately 85% over the last three decades, in the need for elective operative therapy for PUD.  These treatments have not changed the complication rate of PUD and thus the number of emergency surgeries performed for bleeding, perforation, and obstruction has remained the same.
  • 17.
     Complications occurin all types of gastrointestinal (GI) ulcers but are much more common in duodenal ulcers. Hemorrhage occurs in 20–30% gastric outlet obstruction in 5%, and perforation in 2–10%.  Perforated gastric ulcers have a much higher mortality rate than perforated duodenal ulcers
  • 18.
     Gastric ulcersaccount for approximately 5% of all PUD but require operation much more frequently than duondenal ulcers.  95% of gastric ulcers are benign. Ulcers in the fundus are rare but are almost always malignant.  Giant gastric ulcers, those greater than 2 cm in diameter, which were previously thought to be malignant, are benign 90% of the time.  Duodenal ulcers are almost always benign.
  • 19.
    PHYSIOLOGy of ACID SECRETION Thenormal human stomach contains approximately 1 billion parietal cells, and total gastric acid production is proportional to parietal cell mass. Gastrin, acetylcholine, and histamine stimulate the parietal cell to secrete hydrochloric acid  Food ingestion is the physiologic stimulus for acid secretion three phases: cephalic, gastric, and intestinal.
  • 21.
    Acid secretion iscontrolled by several types of specialized cells. ļ‚§ G cells in the gastric antrum release gastrin. Gastrin activates enterochromaffin cells in the body of the stomach and these secrete histamine. Histamine, in turn, stimulates parietal cells to secrete acid. ļ‚§ Gastrin also directly promotes the growth of parietal cells and enterochromaffin cells. ļ‚§ Antral D cells secrete somatostatin which inhibits gastrin production.
  • 22.
    pathophysiology of peptic ulcerdisease  Peptic ulcers occur when there is an alteration in the balance between acid production and mucosal protective mechanisms.  There are two major etiologies of this imbalance: H. pylori infection and NSAID use.  H. pylori infection is present in 75% of gastric ulcers and greater than 90% of duodenal ulcers, Several recent meta-analyses demonstrated that there is a definite synergism between H. pylori infection and NSAID use and between H. pylori and cigarette smoking in the formation of complicated PUD.  More than half of patients with complications of PUD report recent use of NSAIDs
  • 23.
    Balance of aggressiveand defensive factors in the gastric mucosa.
  • 24.
     In 35%of patients with duodenal ulcers, the basal acid output (BAO) and the maximum acid output (MAO) are increased.  BAO greater than 15 mEq/h puts one at greatest risk. The increased BAO is frequently observed in patients with increased parietal cell mass (increase acid production to any stimulus) and in patients with accelerated gastric emptying (increased acid load in the first portion of the duodenum).  High levels of BAO and MAO are seen in Type II (gastric and duodenal) and Type III (prepyloric) gastric ulcers, but not in Type I (lesser curvature at the incisura), Type IV (juxtaesophageal), and Type V (anywhere secondary to medication) ulcers.
  • 25.
     The epithelialcells of the stomach and duodenum secrete mucus in response to an acid load and to cholinergic stimulation.  This mucus form a gel layer that is impermeable to acid and pepsin.  Other gastric and duodenal cells secrete bicarbonate to aid in buffering acid near the mucosal cells. Prostaglandin E increases the production of both bicarbonate and the gel layer.  When acid does penetrate the protective layers and enters the epithelial cells, ion pumps in the basolateral cell membranes are activated to remove excess hydrogen ions and restore intracellular pH.
  • 26.
    Role of helicobacterpylori infection in peptic ulcer disease  Unlike other bacteria, H. pylori is able to survive in the acidic environment of the stomach because of its urease enzyme which converts urea into ammonia and bicarbonate and creates a buffered environment for its own survival.  The bacteria lives in the mucus layer above the epithelium and causes PUD by altering acid secretion and by inducing gastroduodenal mucosal damage.  The bacteria causes an inflammatory response which results in cytokine stimulation of G cells and parietal cells and inhibits the production of somatostatin.
  • 27.
     The hypergastrinemiahas two major effects. It causes an acid hypersecretion that overwhelms the duodenal protective mechanisms and it leads to parietal cell hyperplasia/metaplasia in the duodenum.  The metaplasia creates a mucus layer in the duodenum that allows H. pylori to colonize the area and reduces duodenal bicarbonate secretion.  This infection, just like any other infection, stimulates an inflammatory response with host cells that further damages the mucosa.  H. pylori secretes toxins that act locally on the epithelium and it produces proteases that degrade the mucus layer.
  • 28.
    Helicobacter pylori closely adherentto the cell membrane the bacterial flagella can be seen arising from the upper pole of the bacterium.
  • 29.
    Role of NSAIDsin the development of peptic ulcer disease  The chronic use of NSAIDs significantly increases the risk of complications of PUD and is the most common cause of PUD in patients who do not have H. pylori.  Age over 60 years, prior GI complication, high NSAID dose, and concurrent steroid and/or anticoagulant use, greatly increase the risk of ulcer complications.  The cyclooxygenase-1B inhibitor (COXIB) drugs have a slightly lower risk of upper GI complications than the traditional NSAIDs but only at lower doses,  the cyclooxygenase- 2 inhibitor (COX2) drugs have not been found to change the overall outcome of GI complications when compared to traditional NSAIDs.
  • 30.
    ļ‚§ NSAIDs havea local topical irritative effect on gastric mucosa which cause submucosal erosions. ļ‚§ They also inhibit the formation of prostaglandins and thus inhibit their mucosal protective effects such as the production of bicarbonate and the increase in mucosal blood flow. ļ‚§ All of these effects are intensified with the coexistence of H. pylori infection.
  • 31.
    Other causes ofpeptic ulcer disease • Crohn’s disease, • Zollinger–Ellison Syndrome • hyperparathyroidism, • steroid use, • cigarette smoking, and • Cocaine use
  • 32.
    Zolllinger–Ellison Syndrome  ZES, orgastrinoma, is caused by a tumor of the pancreatic islet cells that produce gastrin.  These tumors can arise sporadically from mutations in oncogenes such as Her-2/Neu or as part of the Multiple Endocrine Neoplasia Type 1 (MEN 1) syndrome.  These are responsible for 0.1–1.0% of duodenal ulcers.  ZES frequently causes ulcerations in atypical locations such as the distal duodenum or jejunum.  50% of ZES ulcers are solitary and 50% are considered malignant (as they have lymph node and/or hepatic involvement).
  • 33.
    Cigarette Smoking Smoking increases thegastric acid secretion and duodenogastric reflux. It inhibits prostaglandin production and decreases pancreaticoduodenal bicarbonate secretion.
  • 34.
    Cocaine Use • Recentliterature has identified crack cocaine with juxtapyloric peptic ulcers that have an increased propensity to perforate. • The etiology has not yet been elucidated but many speculate that these ulcers are secondary to a local ischemia from the drug induced vasoconstriction rather than from an acid imbalance.
  • 36.
    Presentation of noncomplicated PUD The typical symptoms of noncomplicated PUD include episodic burning pain in the epigastrium relieved by antacids, or antisecretory agents.  A small proportion of patients will have vomiting, heartburn, or intolerance to fatty foods. Patients with duodenal ulcers will be more likely to have pain relieved by food intake than patients with gastric ulcers.  Weight loss secondary to fear of food intake is more common with gastric ulceration than with duodenal ulceration.  patients with ZES are more likely to present with diarrhea as part of their symptomatology.  Physical examination in noncomplicated PUD is unreliable.
  • 37.
    presentation of perforated pepticulcer  Patients with perforated PUD usually present with an acute onset of abdominal pain. Often, they can tell you the exact timeof the perforation.  The pain starts in the epigastrium but by the time of presentation in the emergency department, it is generalized and associated with diffuse peritonitis.  it is important to ascertain whether the patient has a history consistent with chronic PUD, either by prior treatment, current medications or pre-existing symptoms of noncomplicated disease.
  • 38.
    Diagnosis of perforated pepticulcer disease  History and physical examination  Upright chest radiographs will show pneumoperitoneum (ā€œfree airā€) in 80–90% of the cases.  If pneumoperitoneum is identified on plain radiographs, there is no need for further studies.  Ultrasound is less sensitive for detecting free air but could be used to identify other indirect findings of perforation such as free fluid and decreased peristalsis when the diagnosis remains in question.  Computerized tomography (CT) scans are more sensitive for detecting pneumoperitoneum than the other modalities but should ideally be performed at least 6 h following the onset of symptoms.  the use of oral contrast medium with CT scanning to identify the site of perforation and the presence of ongoing leakage.
  • 41.
    Test for h. pyloriinfection ļ‚§ Every patient diagnosed with PUD should be screened for H. pylori infection. ļ‚§ All patients with complicated PUD should be treated for H. pylori infection. ļ‚§ The gold standard test is the histologic examination of a mucosal biopsy using special stains. Thus, all gastric ulcers should be biopsied at the time of operation or endoscopy. ļ‚§ Other tests for H. pylori infection include a serologic test, a urea breath test, a rapid urease test, and a fecal antigen test. ļ‚§ The serologic test is noninvasive and has a sensitivity > 80% and a specificity of 90%. It is not reliable if the patient has already received antibiotic therapy for H. pylori and it cannot be used to confirm disease eradication because the serum will remain positive for an indeterminate length of time.
  • 42.
    ļ‚§ The ureabreath test is a newer modality and involves the ingestion of radio-labeled urea with subsequent analysis of expired air. This test has a high sensitivity and specificity but is used mostly to confirm cure following treatment rather than to make the primary diagnosis. ļ‚§ The rapid urease test requires a biopsy specimen and is a simple laboratory test but has a high false-negative rate (especially after PPIs or antibiotics have been given). ļ‚§ The fecal antigen test that detects active infection is a very simple test and can be used for diagnosis or confirmation of cure.
  • 43.
    Indications for surgeryin patients with peptic ulcer disease  The indications for surgery for PUD have recently been limited to the treatment of complicated PUD.  because of the high mortality rate following emergency surgery for perforated PUD, many are suggesting nonoperative management rather than surgical management in high-risk patients.  High risk is defined as the presence of severe comorbidities, perforation greater than 24 h, and hypotension on presentation.
  • 44.
     Crofts etal. determined that nonoperative management with nasogastric suction, fluid resuscitation, and antibiotics can be effective in the treatment of perforated PUD if the site of perforation has sealed.  Failure to improve within 24 h should then prompt an operation.  Each case must be individualized, and nonoperative management should not be undertaken if a contrast study of the upper gastrointenstinal tract shows continuing free perforation.
  • 45.
    Treatment options for perforatedpeptic ulcer disease  Surgery for PUD has a long history with many surgical options.  Many procedures have gone out of favor due to complications, side effects, and inadequacy, leaving ļ‚§ highly selective vagotomy (HSV) or ļ‚§ Truncal vagotomy with pylorplasty or gastrojejunosotomy, ļ‚§ Vagotomy with antrectomy, and ļ‚§ Omental patch closure as the current options.
  • 46.
    Omental patch closure Omental patch closure is a quick and simple procedure that is very useful in perforated PUD.  It has long been the recommended treatment in patients with multiple comorbidities, those that are hemodynamically unstable and those with exudative peritonitis.  It is not useful in Type IV gastric ulcers and may not be the optimal treatment in a stable patient with a perforated Type I gastric ulcer  Numerous authors in recent years have prospectively investigated peptic ulcer recurrence rates after simple patch closure and H. pylori eradication and have reported high success rates
  • 49.
    Highly selective vagotomy  HSVis a tedious but safe operation , that can be performed laparoscopically, with minimal side effects.  It has a higher recurrent ulcer rate than the other procedures (10–20%).  It is not useful for Type II or Type III gastric ulcers or for complicated PUD.
  • 51.
    Truncal vagotomy Truncal vagotomyand drainage procedure is very useful in complicated ulcer disease. It reduces peak acid secretion by 50%. It has a significant side effect profile and has a recurrent ulcer rate of 10%.
  • 52.
  • 54.
    Vagotomy with antrectomy  Vagotomywith antrectomy is most effective at reducing acid secretion and has a recurrence rate of 0–2%. But, this operation has a 20% rate of post-gastrectomy and post-vagotomy syndromes and has a significant associated mortality.  The mortality risk increases with patient comorbidities and with emergency surgery for complicated PUD.  It should be avoided in hemodynamically unstable paitents and those with extensive inflammation since the anastamosis may be compromised.
  • 56.
    postoperative morbidity andmortality associated with repair of a perforated peptic ulcer disease ļ‚§ Despite current advances in medical and surgical therapy, the morbidity and mortality associated with perforated PUD remains very high and this area has remained a topic of current research efforts. ļ‚§ Comorbidities and preoperative shock are well- established independent risk factors for a poor outcome following emergency surgery. ļ‚§ Kocer et al. added age, time before surgery, and performance of a definitive operation to the list of significant risk factors.
  • 57.
    Adjunctive medical treatments followingoperation for perforated PUD Proton Pump Inhibitors Discontinuation of Nonsteroidal Anti- inflammatory Drugs Medications for Mucosal Cytoprotection Treatment of Helicobacter pylori and verification of eradication
  • 58.
    Proton Pump Inhibitors  Patientswith perforated PUD who do not undergo an acid reducing operation should be placed on acid suppression therapy for life.  80 – 90 % of peptic ulcers will heal with the chronic use of antacid medications.  Several randomized control trials have demonstrated that ulcer healing occurs faster and in a higher percentage when PPIs are used in place of H2 blockers.  PPIs must be taken on a regular basis (not as needed) and should be administered before the first meal of the day.
  • 59.
    Discontinuation of Nonsteroidal Anti- inflammatoryDrugs  Cessation of all NSAIDs is highly recommended in all patients with complicated PUD.  This recommendation includes the discontinuation of cardio-protective doses of aspirin therapy.  There are, however, certain patient populations that require chronic anti-inflammatory medications (i.e., rheumatoid arthritis, transplant patients). In these patients, the traditional NSAIDs can be substituted with the more specific but potentially cardiotoxic COX2 inhibitors and supplemented with cytoprotective agents.
  • 60.
    Medications for Mucosal Cytoprotection Rostom et al. performed a meta-analysis of randomized control trials and concluded that misoprostol, PPIs, and double-dose H2 blockers are equally effective in preventing PUD from NSAID use.  They also showed that sulcralfate is not effective. Although the theory of enhancing the weakened mucosal barrier seems worthwhile, there has been no added benefit identified in patients with complicated PUD.  Misoprostol is a prostaglandin E2 analog that decreases mucosal injury but that has severe GI side effects secondary to its potent stimulation of smooth muscle. This has severely limited its clinical use.
  • 61.
    Treatment of Helicobacterpylori and verification of eradication  Treatment of H. pylori with a 2-week course of either a triple regimen or quadruple drug regimen results in 90–98% eradication rate.  Because the recurrence rate of ulceration without complete eradication is high, 38–70% versus 5% with eradication , endoscopic reexamination to confirm cure is necessary.  Triple therapy for H. pylori eradication includes a PPI and two antibiotics, commonly metronidazole and amoxicillin and clarithromycin.  Quadruple therapy adds bismuth to one of the triple therapy and is used in areas where there is high metronidazole resistance or triple therapy treatment failures
  • 62.
     After completionof drug therapy, at least 1 month’s time should pass before testing for cure is attempted.  Testing for cure can be accomplished by any of the methods for H. pylori detection that were discussed in the diagnosis but repeat endoscopy is most accurate.  According to Ng et al. endoscopy performed at 8 weeks following treatment showed ulcer cure rate > 80% in both the H. pylori treatment group and the PPI alone group.  But, at 1 year following treatment, the ulcer recurrence rate was 4.8% in the H. pylori group versus 38.1% in the PPI alone group.
  • 63.
    Helicobacter treatment dramatically decreasesthe recurrence rate of duodenal and gastric ulcer.
  • 64.
     If eradicationhas not been achieved at the time of retesting, a second course of therapy should be initiated.  Quadruple drug therapy should be used at this time regardless of which regimen was used during the initial treatment phase.  As for the future, research on H. pylori vaccine continues.
  • 65.
    Treatment Regimens for Helicobacter pylori PPI+ clarithromycin 500 mg bid + amoxicillin 1000 mg bid 10–14d PPI + clarithromycin 500 bid + metronidazole 500 bid 10–14 d PPI + amoxicillin 1000 mg bid, then PPI + clarithromycin 500 mg bid + tinidazole 500 mg bid 5 d 5 d
  • 66.
    Salvage regimens forpatients who fail one of the above initial regimens: Bismuth subsalicylate 525 mg qid + metronidazole 250 mg qid + tetracycline 500 mg qid + PPI 10–14 d PPI + amoxicillin 1000 mg bid + levofloxacin 500 mg daily 10 d
  • 67.
    Confirmation of curein complicated PUD ļ‚§ Stool antigen test ļ‚§ Urea breath test ļ‚§ Endoscopic biopsy if being done for other reason ļ‚§ Serology (not recommended)
  • 69.
    keypoints to rememberin managing patients with perforated PUD  Biopsy of all perforated gastric ulcers is required.  No single approach is ideal for all patients. Surgeons must be prepared to individualize all treatment plans  Any patient admitted to a hospital because of peptic ulcer disease should be placed on lifelong acid suppression.  Patients who regularly take NSAIDs or aspirin should take concomitant acid suppressive medication if they are more than 60 years old.  Lifelong acid suppressive medication may be equivalent to surgical vagotomy in preventing recurrent peptic ulcer or ulcer complications.
  • 70.