Embed presentation
Downloaded 25 times































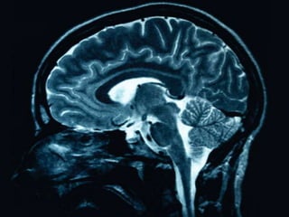
EEG measures brain activity using electrodes and records tracings to interpret physiological activity. CT scans and MRIs are used in psychiatry to investigate confusion, dementia, psychosis, catatonia, affective disorders, and personality changes after age 50 by providing anatomical and functional information. Psychological tests assess characteristics like intelligence, memory, attention, concentration, self-concept, perception, anxiety, depression, and coping patterns to aid in diagnosis.





























