MALARIA
CASE
• A 48 year old male
presented in the OPD
with history of
• High grade fever
associated with chills
• profuse sweating
• headache.
Malaria
• Causative agents :
• Plasmodium vivax
• Plasmodium falciparum
• Plasmodium malariae
• Plasmodium ovale
CLASSIFICATION
Phylum : Apicomplexa.
Class : Haematozoa.
Order : Haemosporina
Genus : Plasmodium
Definitive Host
•Female Anopheles
mosquito [sexual phase]
Intermediate Host
•Man [ asexual phase]
Mode of
infection
• through bite of
infected female
anopheles
mosquito
(vector)
Infective form
• Sporozoites
Life Cycle
•Life Cycle of Plasmodium Vivax
The Human Cycle:
Schizogony
Pre-Erythrocytic
Schizogony
Sporozoites which are elongated and spindle shaped
become rounded in liver cells, undergo multiple nuclear
division to form Schizont .
In 8-10 days, Merozoites are liberated
Merozoites invade RBC
Erythrocytic Schizogony
Early trophozoite is formed
merozoites
Gametogony
The Mosquito Cycle :
Sporogony
Extrinsic
incubation
period
(1-4 weeks)
Plasmodium vivax
The Human Cycle: Pre-erythrocytic Schizogony
In 8 days
Merozoites liberated per schizont
are 10,000 in number.
Some sporozoites go into dormant state, known as Hypnozoites,(clinical relapses)
(infect reticulocytes and young RBCs)
Erythrocytic Schizogony (48 hrs)
All stages of Erythrocytic Schizogony can be seen
in the peripheral blood smear.
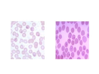
Erythrocytic Stages of Plasmodium Vivax
(12-24 merozoites
per Schizont)
Trophozoite
Malaria pigment
Female
Male
Schuffner's dots
Plasmodium
falciparum
The Human Cycle: Pre-erythrocytic Schizogony
In 6 days
Merozoites liberated per schizont
are 30,000 in number.
No hypnozoites
(infect both young and mature RBCs)
(Late trophozoites, schizonts are formed in
capillaries of internal organs, and not in
peripheral blood)
Gametogony after 10 days
Female gametocyte
Male gametocyte
Multiple rings,
accole form
in normal sized RBCs
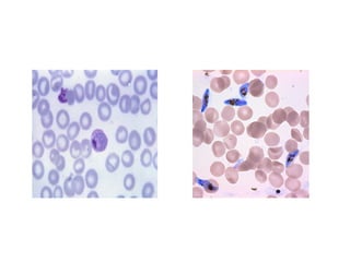
Erythrocytic Stages of Plasmodium falciparum
Trophozoite
Malaria pigment
Maurer's dots
Male
Female
Gametocytes
schizonts
multiple rings
accole form
Erythrocytic Stages of Plasmodium falciparum
Peripheral circulation
Vascular beds of internal organs
Trophozoite
Gametocytes
schizonts
Pathogenesis
The clinical manifestations in malaria are due to :
• Response of host to parasitic antigens
• Anaemia in malaria is due to increased clearance
of both parasitized and non parasitized RBCs by
the spleen.
• Tissue hypoxia due to obstruction of blood flow
Capillaries of brain
plugged with
parasitized RBCs
Clinical Features
Fever with chills & rigor
Anaemia
Spleenomegaly
Fever
Sweating
stage : 2–
4 hours
Hot stage
: 2–6
hours
Cold
stage :
15–60
mins
Types of
Malarial
Fever
Plasmodium vivax: Benign Tertian
Plasmodium falciparum: Malignant Tertian
Plasmodium malariae: Quartan
Plasmodium ovale: Benign Tertian
Complications of Falciparum Malaria
1.Pernicious malaria
• Cerebral malaria
• Algid malaria
• Septicemic malaria 2.Black water fever
Cerebral Malaria
üP.falciparum in capillaries of internal organs, secrete protein
knobs on surface of RBCs.
üThis promotes aggregation of infected RBCs to non infected
RBCs and capillary endothelial cells, causing capillary
plugging in brain.
üIt leads to anoxia, ischaemia and haemorrhage in brain.
üManifested by headache, hyperpyrexia, coma, paralysis.
Capillary plugging
Algid Malaria
•Patient presents with severe abdominal
pain, vomiting, diarrhoea and profound
shock.
•This syndrome is characterized by
peripheral circulatory failure, rapid
thready pulse, low BP, cold clammy skin.
Septicemic Malaria
It is characterized by high
continuous fever with dissemination
of the parasite to various organs,
leading to multi organ failure.
Death occurs in 80% of the cases.
Blackwater Fever
•Seen in falciparum malaria patients on
inadequate treatment with quinine.
• Development of anti-erythrocyte antibodies.
•Massive, sudden, intravascular hemolysis
occurs.
•characterized by massive absorption of
hemoglobin by the renal tubules, leading to
haemoglobinuria, excessive pigment in urine
gives brown black colour to urine.
Lab Diagnosis
Peripheral blood smear
examination
Antigen detection- By rapid
immunochromatographic test
QBC – Quantitative Buffy Coat
Culture
Molecular method
Peripheral blood smear examination
• For Microscopy
ü thick and thin blood film.
• Romanowsky stain
i. Field’s stain
ii. Giemsa stain
iii. Leishman stain
iv. Jaswant Singh and Bhattacharya (J.S.B) stain
• THICK FILM
§ Lysed RBCs, many layers
§ Larger volume
(0.25 µl blood/100 fields)
§ Good screening test
• THIN FILM
§ Single layer of RBCs
§ Small volume
(0.005µl blood/100 fields)
§ Species differentiation
Rapid immunochromatography Test for
Antigen detection
Histidine- rich
protein II (HRP – II)
: P. falciparum.
Parasite lactate
dehydrogenase
(pLDH)
Parasite aldolase:
all Plasmodium
spp.
Culture
RPMI 1640 medium:-
(Roswell Park
Memorial Institute
and 1640 denotes the
number of passages).
Dulbecco’s Modified
Eagle
Medium(DMEM)
Molecular
method
• PCR
TREATMENT
Treatment of vivax malaria
(NVBDCP guideline) • Chloroquine :
25mg/kg divided
over three days,
i.e.10 mg/kg on
day 1and 2 and 5
mg/kg on day 3
• Primaquine: 0.25
mg/kg daily for
14 days
Treatment of falciparum
malaria (NVBDCP
guideline,India)
• ACT-SP (artesunate-
sulfadoxine/pyrimethami
ne)
• Artesunate (25mg/kg)
for 3 days
• Sulfadoxine (25mg/kg)/
pyrimethamine(1.25mg/
kg), 1 tablet given on
first day
• Primaquine
Prevention
• For adult:
• Residual spraying:
dichlorodiphenyltrichloroethane (DDT) and
malathion.
• Individual protection: bed nets and protective
clothing
For larva
• Larvicide- mineral oil or Paris green
• Biological larvicide- Gumbusia affinis
(fish) and Bacillus thuringensis (bacteria)
• Source reduction ( to reduce the
mosquito breeding sites) includes
environmental sanitation, water
management and improvement of the
drainage system.
Thank you

Malaria