Introduction to Microbiology
Sebghatullah Mansoor
BS (Medical Sciences), MS (Microbiology),
MPH (Continue…)
Medical faculty or Malalay University
29/Jan/2017
Definition
• Microbiology is the study of microorganisms, a large and diverse
group of microscopic organisms that exist as single cells or cell
clusters;
― Morphology
― Growth
― Reproduction
― Metabolism
― Classification
― Environment effects
― Relationship with other organism or Human being
WHAT IS MICROBIOLOGY?
The study of small organisms.
Prokaryotes:
Bacteria
Viruses, Viroids & Prions
(not really “organisms”)
EukaryoticMicrobes:
Algae Fungi “Protozoa”
• Microorganisms have a remarkable impact on all life and the
physical and chemical makeup of our planet.
• They are responsible for cycling the chemical elements essential for
life, including carbon, nitrogen, sulfur, hydrogen, and oxygen
• there are 100 million times as many bacteria in the oceans as there
are stars in the known universe.
• More than 90% of the cells in our bodies are microbes
• The bacteria present in the average human gut weigh about 1 kg,
and a human adult will excrete his or her own weight in fecal
bacteria each year
Introduction
• At the beginning the bacteriology were termed for microbiology,
• By discovery of microscope (Robert Hooke’s— Antonie van
Leeuwenhoek), A hug evolution occurred in the history of medical
science, specially in the microbiology science which by
understanding other infectious agents such as Prions, Virus ,
Rickettsia , Fungus & Protozoa, the Bacteriology named were
changed to Microbiology
Introduction…
• Generally Microbiology is classified as follow;
— Medical Microbiology
— Industrial Microbiology
— Food Microbiology
— Soil Microbiology
— Marine Microbiology
— Plant Microbiology
Introduction…
Medical Microbiology
• Medical microbiology is a branch of medical science concerned with the
prevention, diagnosis and treatment of infectious diseases. In addition, this
field of science studies various clinical applications of microbes for the
improvement of health, and classify as follow ;
– Bacteriology
– Virology
– Mycology
– Parasitology
– Immunology
– Genetics
Golden age of Microbiology
• There are many methods to classify micro-organisms, which include;
— Binomial classification
— Classification according to Temperature
— Classification according to Gram staining
— Classification according to Presence of Oxygen
— Classification according to Morphology of bacteria
Classification of Microorganisms (Taxonomy)
Classification of Microorganisms (Taxonomy)
― Binomial classification
• KINDOM the highest level in classification
• PHYLUM related classes
• CLASS related orders
• ORDER related families
• FAMILY related genera
• GENUS closely related species
• SPECIES organisms sharing a set of biological traits and reproducing
only with their exact kind
– Further classifications especially with bacteria:
• Strain—organisms within a species varying in a given quality
• Type—organisms within a species varying immunologically
Classification of Microorganisms (Taxonomy)…
Kingdom: Eubacteria
Phylum: Proteobacteria
Class: Gammaproteobacteria
Order: Enterobacteriales
Family: Enterobacteriaceae
Genus: Escherichia
Species: E. coli
• For example ;
Escherichia coli
• Classification according to Temperature
— Psychrophiles (Philic) ; Can survive under 15-25 C° . e.g; Bacillus psychrophilus
— Mesophiles ; Can survive under 25-45 C° . e.g; E.coli
— Thermophiles ; Can survive under 45-60 C° . e.g ; Bacillus stearothermophilus
• Classification according to Gram Staining
— Gram Positive Bacteria, e.g; Staphylococcus aureus
— Gram Negative Bacteria, e.g ; E. coli
• Classification according to Presence of Oxygen
— Obligate aerobic; Which Oxygen is the primary needs. e,g; Mycobacterium tuberculosis
— Factitive anaerobic; Can survive with or without oxygen. e,g; E.coli
— Anaerobic; Which can not survive in the presence of Oxygen. e,g: Clostridium tetani
— Microaerophilic; Which need less amount of Oxygen. e,g ; Neisseria gonorrhea
— Aerotolerant; Do not required oxygen , nether dies in the presence of oxygen.
e,g ; Lactobacillus
• Classification according to Morphology
— Cocci ; Round shape , Diplo cocci ( two cocci), staphylococci
( cluster of cocci), Streptococci (chain of cocci)
— Bacilli ; Rod shape
— Vibrios ; Comma shape
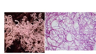
— Spirilla ; Flexible spiral shape
— Spirochetes ; Spring type shape
— Actinomycetes ; Branching filamentous bacteria
— Mycoplasma ; Cell wall less bacteria
Classification according to Gram Staining
1. Obligate aerobic
2. Anaerobic
3. Factitive anaerobic
4. Microaerophilic
5. Aerotolerant
Classification according to Presence of Oxygen
Classification according to Morphology
Classification according to Morphology
Classification according to Morphology
Actinomycetes
Generally all organism are classified as follow
• Eukaryotes;-- Which has a true nucleus & all cellular organelles e,g: Fungi,
Protozoa, Algae..
• Prokaryotes;-- Which has no true nucleus and missing some of cellular
organelles e,g: Bacteria…
• Viruses; -- Which is composed of Capsid or some have outer protein coating
called envelop, and DNA or RNA not both. .e.g ; Polio virus, Hepatitis
viruses…
Virus
Characteristics of Prokaryotic and Eukaryotic Cells
Structure of bacteria
— Bacteria are classified by shape into three basic groups: cocci,
bacilli, and spirochetes.
— The cocci are round, the bacilli are rods, and the spirochetes
are spiral-shaped.
— Some bacteria are variable in shape and are said to be
pleomorphic (many-shaped).
—The shape of a bacterium is determined by its rigid cell wall.
— The microscopic appearance of a bacterium is one of the most
important criteria used in its identification.
A typical structure of bacteria
• The major components of bacterial cells are;
— Cell wall
— Cytoplasmic membrane
— Cytoplasm
— Nucleoid
— Genome
Structure of bacteria…
• Cell wall
— All bacteria have a cell wall composed of peptidoglycan except Mycoplasma,
which are surrounded only by a cell membrane.
— The concept of gram positive & gram negative bacteria is based on bacterial
cell wall which gram negative bacteria have a thin peptidoglycan covered by
an outer lipid-containing membrane, whereas gram-positive bacteria have a
thick peptidoglycan and no outer membrane.
— These differences explain why gram-negative bacteria lose the stain when
exposed to a lipid solvent in the Gram stain process, whereas gram-positive
bacteria retain the stain and remain purple.
— For better understanding we must to know about Gram staining method
Structure of bacteria…
Staining
― Micro-organism can not be seen by naked eyes, that why we
must magnify the size of micro-organism— For that reason we
need a magnifier which is microscope which enlarges the
organisms almost 1000 more than its actual size.
― The size of bacteria is measures by micron meter (µm)
― The size of most bacteria rages from 1 to 3 µm.
― The smallest bacteria is Mycoplasma 0.2 µm, where as the
largest is Borrelia 10 µm
• Most of the micro-organism are enable to seen even by microscope, we
need to stain the organism
• According to PH all stains are acidic, alkali or neutral.
• Generally acidic materials are stains with alkali or in contrast alkali materials
are stains with acidic .
• In general we classify the staining methods as follow.
― Simple staining
― Differential staining ( Gram staining)
― Acid fast staining
― Negative staining
― Flagella staining
― Capsule staining
― Spore staining
Staining…
― Simple staining
– in simple staining we use a single dye (methylene blue, carbol
fuchsin, Safranin …) here just observe the shape of organism or
bacteria either its cocci, rods or spirochetes
• Procedure;
1. Make a thin smear on a glass slide of a given sample
2. Air dry it and cover with Methylene blue (CF, S…)
3. Wash with tap water and again air dry it
4. Observe under the microscope , if the given sample is bacteria then
we will see Bacilli or Cocci shapes of bacteria
Staining…
Safranin stained bacilli Methylene Blue stained cocci
― Differential staining (Gram Staining)
– Gram stain is the most important staining procedure which differentiate all
the bacteria in two main categories either gram negative or gram positive
bacteria. This method was discovered by Hans Christian Gram in Germany in
1884
– In this staining method we use more then one type of dye which include
– Crystal violet
– Safranin
–The mechanism of gram positive & gram negative bacteria is based on
bacterial cell wall which gram negative bacteria have a thin peptidoglycan
covered by an outer lipid-containing membrane, whereas gram-positive
bacteria have a thick peptidoglycan and no outer membrane.
Staining…
Gram positive Gram negative
• Gram stain…
• Procedure;
1. Make a smear of bacterial specimen on a glass slide
2. Air dry it an cover with crystal violet for 2-3 minutes
3. Wash with tap water and cover with gram’s iodine for 2 minutes
4. Wash with tap water and cover with gram’s alcohol (95%) for 30 seconds to
1 minute
5. Wash with tap water and cover with Safranin for 2 minutes
6. Wash with tap water and observed under the microscope which will results
either purple or pink, red colored bacteria
7. The Purple colored bacteria is named gram positive bacteria & the Pink or
red colored bacteria named gram negative bacteria
Staining…
Gram stain
2-3 m 2 m 30 sec-1 m 2m
Gram stain…
Acid fast staining (Ziehl–Neelsen stain)
― Ziehl-Neelsen stain was discovered by the bacteriologist Franz
Ziehl (1859–1926) and the pathologist Friedrich Neelsen (1854–
1898).
― It is a special bacteriological stain used to identify acid-
fast organisms,
― The mycobacterium tuberculosis is deferent from other bacteria in
the composition of cell wall which in addition to peptidoglycan, the
outer membrane or envelope of the acid-fast cell wall of contains
large amounts of glycolipids, especially mycolic acids that in the
genus Mycobacterium, make up approximately 60% of the acid-fast
cell wall.
Structure of Mycobacterium tuberculosis
• Procedure
1. Make a smear of sputum on glass slide and fixe with ethanol & air dry it
2. Cover slide with Carbol fuchsin and heated for 5 minutes
3. Wash with tap water & cover with acid alcohol for 1-2 minutes
4. Wash with tap water & cover the slide with Methylene blue for 2 minutes
5. Wash the slide and observed the red rods under microscope which will be
mycobacterium tuberculosis
Acid fast staining…
TB slide after AFB stain
• The arrow shows
red rods bacilli
Negative staining (India Ink )
— Negative staining is a recognized method, often used in diagnostic microscopy,
for contrasting a thin specimen with an optically opaque fluid.
— In this technique, the background is stained, leaving the actual specimen
untouched, and thus visible
• Procedure;
1. Make a smear from a given sample & mix with Negrosin or Congred dye
2. Air dry it and observed under Bright field microscope
• Result;
– The background will take the color but the bacteria will not , which the bacteria
will appear bright
– Note: Mostly used for Spirilla or for electron microscopy
Negative staining…
• A & B are the colorless bright
bacteria
• C shows the staining method
C 
Flagella stain
• The flagella stain allows observation of bacterial flagella under the light
microscope. Bacterial flagella are normally too thin to be seen
• Therefore the flagellated bacteria are stained with special dye is commercially
available.
Capsule staining
• A capsule is a gelatinous outer layer secreted by bacterial cell and that
surrounds and adheres to the cell wall
• The main purpose of capsule stain is to distinguish capsular material from
the bacterial cell.
• Most capsules are composed of polysaccharides, but some are composed of
polypeptides.
• The capsule stain employs an acidic stain and a basic stain to detect capsule
production
• Procedure;
1. Place a small drop of a negative stain (India Ink, Congo Red, Nigrosin, or Eosin) on
the slide
2. Add a loopful of bacterial culture to slide, smearing it in the dye
3. Use the other slide to drag the ink-cell mixture into a thin film along the first slide
and let stand for 5-7 minutes
4. Allow to air dry (do not heat fix)
5. Flood the smear with crystal violet stain (this will stain the cells but not the
capsules) for about 1 minutes.
6. Cover the slide with copper sulfate (20%)
7. Drain the crystal violet by tilting the slide at a 45 degree angle and let stain run off
until it air dries .
8. Examine the smear microscopically (100X) for the presence of encapsulated cells
as indicated by clear zones surrounding the cells.
Capsule staining
Capsule staining…
Spore staining
• The endospore stain is a differential stain used to visualize bacterial
endospores.
• Endospores are formed by a few genera of bacteria, such as Bacillus
. By forming spores, bacteria can survive in hostile conditions.
• Spores are resistant to heat, dryness, chemicals, and radiation
• Procedure;
1. Prepare smears of organisms to be tested for presence of endospores on a clean microscope slide and air
dry it.
2. Heat fix the smear.
3. Place a small piece of blotting paper (absorbent paper) over the smear and place the slide (smear side up)
on a wire gauze on a ring stand.
4. Heat the slide gently till it starts to evaporate (either by putting the slide on a staining rack that has been
placed over a boiling water bath or via bunsen burner).
5. Remove the heat and reheat the slide as needed to keep the slide steaming for about 3-5 minutes. As the
paper begins to dry add a drop or two of malachite green to keep it moist, but don’t add so much at one
time that the temperature is appreciably reduced.
6. Remove the blotting paper and allow the slide to cool to room temperature for 2 minutes.
7. Wash the slide with tap water (to wash the malachite green from both sides of the microscope slide).
8. Stain the smear with safranin for 2 minutes.
9. Wash both side of the slide to remove the secondary stain and blot the slide/ air dry.
Spore staining…
Spore staining…
The vegetative forms are pink
color
The spores forms are greenish
blue color
Spore staining…
Protoplasts
• A plant, bacterial or fungal cell that had its cell wall completely or partially
removed using either mechanical or enzymatic means. A further differentiation
can be made for bacteria: protoplasts: is that a gram positive bacteria have
their cell wall entirely removed by enzymatic means (which form L-shaped
which will survive & return in suitable condition) or other external factors or the
bacteria place in such a place which the osmotic pressure is higher then the
bacterial inner osmotic pressure, in this case the bacteria will lysis.
• If the outer and inter osmatic pressure is same then the bacteria will not lysis,
this process is called protoplasts
Protoplasts
Protoplasts
Spheroplasts
• If a gram negative bacteria have their cell wall entirely removed by enzymatic
means or other external factors or the bacteria place in such a place which the
osmotic pressure is higher then the bacterial inner osmotic pressure, in this case
the bacteria will lyse.
• If the outer and inter osmatic pressure is same then the bacteria will not lyse,
this process is called Spheroplasts
― Note; From the 1960s into the 1990s Merck and Co used a spheroplast screen
as a primary method for discovery of antibiotics that inhibit cell wall
biosynthesis. In this screen developed by Eugene Dulaney, growing bacteria were
exposed to test substances under hypertonic conditions.
―Inhibitors of cell wall synthesis caused growing bacteria to form Spheroplasts.
This screen enabled the discovery of fosfomycin, cephamycin C, thienamycin and
several carbapenems.
THANK YOU
Questions & Suggestions

Lec 01. introduction to microbiology

  • 2.
    Introduction to Microbiology SebghatullahMansoor BS (Medical Sciences), MS (Microbiology), MPH (Continue…) Medical faculty or Malalay University 29/Jan/2017
  • 5.
    Definition • Microbiology isthe study of microorganisms, a large and diverse group of microscopic organisms that exist as single cells or cell clusters; ― Morphology ― Growth ― Reproduction ― Metabolism ― Classification ― Environment effects ― Relationship with other organism or Human being
  • 6.
    WHAT IS MICROBIOLOGY? Thestudy of small organisms. Prokaryotes: Bacteria Viruses, Viroids & Prions (not really “organisms”) EukaryoticMicrobes: Algae Fungi “Protozoa”
  • 7.
    • Microorganisms havea remarkable impact on all life and the physical and chemical makeup of our planet. • They are responsible for cycling the chemical elements essential for life, including carbon, nitrogen, sulfur, hydrogen, and oxygen • there are 100 million times as many bacteria in the oceans as there are stars in the known universe. • More than 90% of the cells in our bodies are microbes • The bacteria present in the average human gut weigh about 1 kg, and a human adult will excrete his or her own weight in fecal bacteria each year Introduction
  • 8.
    • At thebeginning the bacteriology were termed for microbiology, • By discovery of microscope (Robert Hooke’s— Antonie van Leeuwenhoek), A hug evolution occurred in the history of medical science, specially in the microbiology science which by understanding other infectious agents such as Prions, Virus , Rickettsia , Fungus & Protozoa, the Bacteriology named were changed to Microbiology Introduction…
  • 9.
    • Generally Microbiologyis classified as follow; — Medical Microbiology — Industrial Microbiology — Food Microbiology — Soil Microbiology — Marine Microbiology — Plant Microbiology Introduction…
  • 10.
    Medical Microbiology • Medicalmicrobiology is a branch of medical science concerned with the prevention, diagnosis and treatment of infectious diseases. In addition, this field of science studies various clinical applications of microbes for the improvement of health, and classify as follow ; – Bacteriology – Virology – Mycology – Parasitology – Immunology – Genetics
  • 11.
    Golden age ofMicrobiology
  • 12.
    • There aremany methods to classify micro-organisms, which include; — Binomial classification — Classification according to Temperature — Classification according to Gram staining — Classification according to Presence of Oxygen — Classification according to Morphology of bacteria Classification of Microorganisms (Taxonomy)
  • 13.
    Classification of Microorganisms(Taxonomy) ― Binomial classification • KINDOM the highest level in classification • PHYLUM related classes • CLASS related orders • ORDER related families • FAMILY related genera • GENUS closely related species • SPECIES organisms sharing a set of biological traits and reproducing only with their exact kind – Further classifications especially with bacteria: • Strain—organisms within a species varying in a given quality • Type—organisms within a species varying immunologically
  • 14.
    Classification of Microorganisms(Taxonomy)… Kingdom: Eubacteria Phylum: Proteobacteria Class: Gammaproteobacteria Order: Enterobacteriales Family: Enterobacteriaceae Genus: Escherichia Species: E. coli • For example ; Escherichia coli
  • 15.
    • Classification accordingto Temperature — Psychrophiles (Philic) ; Can survive under 15-25 C° . e.g; Bacillus psychrophilus — Mesophiles ; Can survive under 25-45 C° . e.g; E.coli — Thermophiles ; Can survive under 45-60 C° . e.g ; Bacillus stearothermophilus • Classification according to Gram Staining — Gram Positive Bacteria, e.g; Staphylococcus aureus — Gram Negative Bacteria, e.g ; E. coli • Classification according to Presence of Oxygen — Obligate aerobic; Which Oxygen is the primary needs. e,g; Mycobacterium tuberculosis — Factitive anaerobic; Can survive with or without oxygen. e,g; E.coli — Anaerobic; Which can not survive in the presence of Oxygen. e,g: Clostridium tetani — Microaerophilic; Which need less amount of Oxygen. e,g ; Neisseria gonorrhea — Aerotolerant; Do not required oxygen , nether dies in the presence of oxygen. e,g ; Lactobacillus
  • 16.
    • Classification accordingto Morphology — Cocci ; Round shape , Diplo cocci ( two cocci), staphylococci ( cluster of cocci), Streptococci (chain of cocci) — Bacilli ; Rod shape — Vibrios ; Comma shape — Spirilla ; Flexible spiral shape — Spirochetes ; Spring type shape — Actinomycetes ; Branching filamentous bacteria — Mycoplasma ; Cell wall less bacteria
  • 17.
  • 18.
    1. Obligate aerobic 2.Anaerobic 3. Factitive anaerobic 4. Microaerophilic 5. Aerotolerant Classification according to Presence of Oxygen
  • 19.
  • 20.
  • 21.
    Classification according toMorphology Actinomycetes
  • 22.
    Generally all organismare classified as follow • Eukaryotes;-- Which has a true nucleus & all cellular organelles e,g: Fungi, Protozoa, Algae.. • Prokaryotes;-- Which has no true nucleus and missing some of cellular organelles e,g: Bacteria… • Viruses; -- Which is composed of Capsid or some have outer protein coating called envelop, and DNA or RNA not both. .e.g ; Polio virus, Hepatitis viruses…
  • 23.
  • 24.
    Characteristics of Prokaryoticand Eukaryotic Cells
  • 25.
    Structure of bacteria —Bacteria are classified by shape into three basic groups: cocci, bacilli, and spirochetes. — The cocci are round, the bacilli are rods, and the spirochetes are spiral-shaped. — Some bacteria are variable in shape and are said to be pleomorphic (many-shaped). —The shape of a bacterium is determined by its rigid cell wall. — The microscopic appearance of a bacterium is one of the most important criteria used in its identification.
  • 26.
  • 27.
    • The majorcomponents of bacterial cells are; — Cell wall — Cytoplasmic membrane — Cytoplasm — Nucleoid — Genome Structure of bacteria…
  • 28.
    • Cell wall —All bacteria have a cell wall composed of peptidoglycan except Mycoplasma, which are surrounded only by a cell membrane. — The concept of gram positive & gram negative bacteria is based on bacterial cell wall which gram negative bacteria have a thin peptidoglycan covered by an outer lipid-containing membrane, whereas gram-positive bacteria have a thick peptidoglycan and no outer membrane. — These differences explain why gram-negative bacteria lose the stain when exposed to a lipid solvent in the Gram stain process, whereas gram-positive bacteria retain the stain and remain purple. — For better understanding we must to know about Gram staining method Structure of bacteria…
  • 29.
    Staining ― Micro-organism cannot be seen by naked eyes, that why we must magnify the size of micro-organism— For that reason we need a magnifier which is microscope which enlarges the organisms almost 1000 more than its actual size. ― The size of bacteria is measures by micron meter (µm) ― The size of most bacteria rages from 1 to 3 µm. ― The smallest bacteria is Mycoplasma 0.2 µm, where as the largest is Borrelia 10 µm
  • 30.
    • Most ofthe micro-organism are enable to seen even by microscope, we need to stain the organism • According to PH all stains are acidic, alkali or neutral. • Generally acidic materials are stains with alkali or in contrast alkali materials are stains with acidic . • In general we classify the staining methods as follow. ― Simple staining ― Differential staining ( Gram staining) ― Acid fast staining ― Negative staining ― Flagella staining ― Capsule staining ― Spore staining Staining…
  • 31.
    ― Simple staining –in simple staining we use a single dye (methylene blue, carbol fuchsin, Safranin …) here just observe the shape of organism or bacteria either its cocci, rods or spirochetes • Procedure; 1. Make a thin smear on a glass slide of a given sample 2. Air dry it and cover with Methylene blue (CF, S…) 3. Wash with tap water and again air dry it 4. Observe under the microscope , if the given sample is bacteria then we will see Bacilli or Cocci shapes of bacteria Staining…
  • 32.
    Safranin stained bacilliMethylene Blue stained cocci
  • 33.
    ― Differential staining(Gram Staining) – Gram stain is the most important staining procedure which differentiate all the bacteria in two main categories either gram negative or gram positive bacteria. This method was discovered by Hans Christian Gram in Germany in 1884 – In this staining method we use more then one type of dye which include – Crystal violet – Safranin –The mechanism of gram positive & gram negative bacteria is based on bacterial cell wall which gram negative bacteria have a thin peptidoglycan covered by an outer lipid-containing membrane, whereas gram-positive bacteria have a thick peptidoglycan and no outer membrane. Staining…
  • 36.
  • 37.
    • Gram stain… •Procedure; 1. Make a smear of bacterial specimen on a glass slide 2. Air dry it an cover with crystal violet for 2-3 minutes 3. Wash with tap water and cover with gram’s iodine for 2 minutes 4. Wash with tap water and cover with gram’s alcohol (95%) for 30 seconds to 1 minute 5. Wash with tap water and cover with Safranin for 2 minutes 6. Wash with tap water and observed under the microscope which will results either purple or pink, red colored bacteria 7. The Purple colored bacteria is named gram positive bacteria & the Pink or red colored bacteria named gram negative bacteria Staining…
  • 38.
    Gram stain 2-3 m2 m 30 sec-1 m 2m
  • 39.
  • 40.
    Acid fast staining(Ziehl–Neelsen stain) ― Ziehl-Neelsen stain was discovered by the bacteriologist Franz Ziehl (1859–1926) and the pathologist Friedrich Neelsen (1854– 1898). ― It is a special bacteriological stain used to identify acid- fast organisms, ― The mycobacterium tuberculosis is deferent from other bacteria in the composition of cell wall which in addition to peptidoglycan, the outer membrane or envelope of the acid-fast cell wall of contains large amounts of glycolipids, especially mycolic acids that in the genus Mycobacterium, make up approximately 60% of the acid-fast cell wall.
  • 41.
  • 42.
    • Procedure 1. Makea smear of sputum on glass slide and fixe with ethanol & air dry it 2. Cover slide with Carbol fuchsin and heated for 5 minutes 3. Wash with tap water & cover with acid alcohol for 1-2 minutes 4. Wash with tap water & cover the slide with Methylene blue for 2 minutes 5. Wash the slide and observed the red rods under microscope which will be mycobacterium tuberculosis Acid fast staining…
  • 44.
    TB slide afterAFB stain • The arrow shows red rods bacilli
  • 45.
    Negative staining (IndiaInk ) — Negative staining is a recognized method, often used in diagnostic microscopy, for contrasting a thin specimen with an optically opaque fluid. — In this technique, the background is stained, leaving the actual specimen untouched, and thus visible • Procedure; 1. Make a smear from a given sample & mix with Negrosin or Congred dye 2. Air dry it and observed under Bright field microscope • Result; – The background will take the color but the bacteria will not , which the bacteria will appear bright – Note: Mostly used for Spirilla or for electron microscopy
  • 47.
    Negative staining… • A& B are the colorless bright bacteria • C shows the staining method C 
  • 48.
    Flagella stain • Theflagella stain allows observation of bacterial flagella under the light microscope. Bacterial flagella are normally too thin to be seen • Therefore the flagellated bacteria are stained with special dye is commercially available.
  • 49.
    Capsule staining • Acapsule is a gelatinous outer layer secreted by bacterial cell and that surrounds and adheres to the cell wall • The main purpose of capsule stain is to distinguish capsular material from the bacterial cell. • Most capsules are composed of polysaccharides, but some are composed of polypeptides. • The capsule stain employs an acidic stain and a basic stain to detect capsule production
  • 50.
    • Procedure; 1. Placea small drop of a negative stain (India Ink, Congo Red, Nigrosin, or Eosin) on the slide 2. Add a loopful of bacterial culture to slide, smearing it in the dye 3. Use the other slide to drag the ink-cell mixture into a thin film along the first slide and let stand for 5-7 minutes 4. Allow to air dry (do not heat fix) 5. Flood the smear with crystal violet stain (this will stain the cells but not the capsules) for about 1 minutes. 6. Cover the slide with copper sulfate (20%) 7. Drain the crystal violet by tilting the slide at a 45 degree angle and let stain run off until it air dries . 8. Examine the smear microscopically (100X) for the presence of encapsulated cells as indicated by clear zones surrounding the cells. Capsule staining
  • 52.
  • 53.
    Spore staining • Theendospore stain is a differential stain used to visualize bacterial endospores. • Endospores are formed by a few genera of bacteria, such as Bacillus . By forming spores, bacteria can survive in hostile conditions. • Spores are resistant to heat, dryness, chemicals, and radiation
  • 54.
    • Procedure; 1. Preparesmears of organisms to be tested for presence of endospores on a clean microscope slide and air dry it. 2. Heat fix the smear. 3. Place a small piece of blotting paper (absorbent paper) over the smear and place the slide (smear side up) on a wire gauze on a ring stand. 4. Heat the slide gently till it starts to evaporate (either by putting the slide on a staining rack that has been placed over a boiling water bath or via bunsen burner). 5. Remove the heat and reheat the slide as needed to keep the slide steaming for about 3-5 minutes. As the paper begins to dry add a drop or two of malachite green to keep it moist, but don’t add so much at one time that the temperature is appreciably reduced. 6. Remove the blotting paper and allow the slide to cool to room temperature for 2 minutes. 7. Wash the slide with tap water (to wash the malachite green from both sides of the microscope slide). 8. Stain the smear with safranin for 2 minutes. 9. Wash both side of the slide to remove the secondary stain and blot the slide/ air dry. Spore staining…
  • 55.
  • 56.
    The vegetative formsare pink color The spores forms are greenish blue color Spore staining…
  • 58.
    Protoplasts • A plant,bacterial or fungal cell that had its cell wall completely or partially removed using either mechanical or enzymatic means. A further differentiation can be made for bacteria: protoplasts: is that a gram positive bacteria have their cell wall entirely removed by enzymatic means (which form L-shaped which will survive & return in suitable condition) or other external factors or the bacteria place in such a place which the osmotic pressure is higher then the bacterial inner osmotic pressure, in this case the bacteria will lysis. • If the outer and inter osmatic pressure is same then the bacteria will not lysis, this process is called protoplasts
  • 59.
  • 60.
  • 61.
    Spheroplasts • If agram negative bacteria have their cell wall entirely removed by enzymatic means or other external factors or the bacteria place in such a place which the osmotic pressure is higher then the bacterial inner osmotic pressure, in this case the bacteria will lyse. • If the outer and inter osmatic pressure is same then the bacteria will not lyse, this process is called Spheroplasts ― Note; From the 1960s into the 1990s Merck and Co used a spheroplast screen as a primary method for discovery of antibiotics that inhibit cell wall biosynthesis. In this screen developed by Eugene Dulaney, growing bacteria were exposed to test substances under hypertonic conditions. ―Inhibitors of cell wall synthesis caused growing bacteria to form Spheroplasts. This screen enabled the discovery of fosfomycin, cephamycin C, thienamycin and several carbapenems.
  • 62.