Introduction to trauma imaging 
Guidelines and highlights for different 
imaging techniques. 
ASSIUT UNIVERSITY TRAUMA COURSE 
(AUTC) MARCH 2010. 
Dr. Hazem Abu Zeid Yousef MD 
Lecturer of Radiodiagnosis.
INTRODUCTION 
More than 3000 people die on the world's 
roads every day. Tens of millions of people 
are injured or disabled every year. Road 
traffic accidents are the leading cause of 
death in the first study of global patterns of 
death among people aged between 10-24 
years of age (WHO 2009).
Time is of the Essence in Trauma 
Time is the eenneemmyy ffoorr ttrraauummaa vviiccttiimmss 
TTrraauummaa ssuurrggeeoonnss aarree rruulleedd bbyy tthhee 
““GGoollddeenn HHoouurr””..
CLICK HERE TO ADD TEXT 
PART (1) 
HEAD TRAUMA
“Early HimEagAingD, rIaNtherJ UthaRn IEadmSis.sion and 
observation for neurological deterioration, will 
reduce time to detection for life threatening 
complications and is associated with better outcomes 
(NICE clinical guideline 2008).
CLICK SKULL RA DHIOGERARPHEY ( STXRO) ADD TEXT 
Advantages 
Quick 
No need for radiologist 
Low dose of radiation 
(0.14mSv) 
Inexpensive 
Disadvantages 
Increased workload 
Inconclusive
CLICK HERE TO ADD TEXT 
Click here to add text. Click here to add text. Click here to add text. Click 
here to add text. Click here to add text. Click here to add text. Click here 
to add text. Click here to add text. Click here to add text. Click here to 
add text. Click here to add text. Click here to add text. Click here to add 
text. Click here to add text. Click here to add text. Click here to add text. 
Click here to add text. Click here to add text. Click here to add text. Click 
here to add text. Click here to add text. Click here to add text. Click here 
to add text. Click here to add text. Click here to add text. Click here to 
add text. Click here to add text. Click here to add text.
SYSTEMATIC INSPECTION 
OF THE SXR 
Step (1) : Scrutinize the site of the injury. 
Step (2) : Look for: 
Fissure fracture. 
Depressed fracture. 
Fluid level in the sphenoid sinus. 
Step (3) : Look for less common finding (e.g. 
pneumocephalus).
Fissure versus VM 
Fissure black VM gray. 
VM is branching. 
VM has sclerotic edges. 
Fissure versus suture 
The fracture is more radiolucent 
than the other sutures, has no 
serration along its edges, and is 
blind ending.
Depressed fractures are 
often difficult to see. Look 
for increased or double 
density
CLICK HERE TO ADD TEXT 
• Click Here To Add Text. 
Click here to add text. Click here to add text. Click here to add text. Click 
here to add text. Click here to add text. Click here to add text. Click here 
to add text. Click here to add text. Click here to add text. Click here to 
add text. Click here to add text. Click here to add text. Click here to add 
text. Click here to add text. Click here to add text. Click here to add text. 
Click here to add text. Click here to add text. Click here to add text. Click 
here to add text. Click here to add text. Click here to add text. Click here 
to add text. Click here to add text. Click here to add text. Click here to 
add text. Click here to add text. Click here to add text.
CLICK HERE TO ADD TEXT 
Click here to add text. Click here to add text. Click here to add text. Click 
here to add text. Click here to add text. Click here to add text. Click here 
to add text. Click here to add text. Click here to add text. Click here to 
add text. Click here to add text. Click here to add text. Click here to add 
text. Click here to add text. Click here to add text. Click here to add text. 
Click here to add text. Click here to add text. Click here to add text. Click 
here to add text. Click here to add text. Click here to add text. Click here 
to add text. Click here to add text. Click here to add text. Click here to 
add text. Click here to add text. Click here to add text.
CLICK HERE TO ADD TEXT
CLICK HERE TO ADD TEXT
CLICK HERE TO ADD TEXT 
This study shows that skull x rays can successfully be abandoned in 
children aged 1 to 14 years with head injuries without any 
significant increase in admission rate, radiation dose per head 
injury, or missed intracranial injuries. We suggest that routine 
skull x rays have no place in the paediatric emergency department 
for those children aged 1 year and over. Mechanism of head injury 
(falls of more than 1 metre and road traffic accidents carrying 
higher risk), a history of drowsiness or loss of consciousness, and a 
reduced score on the Glasgow coma scale are probably the most 
important indicators of serious head injury in children (Reed wt 
al., 2005).
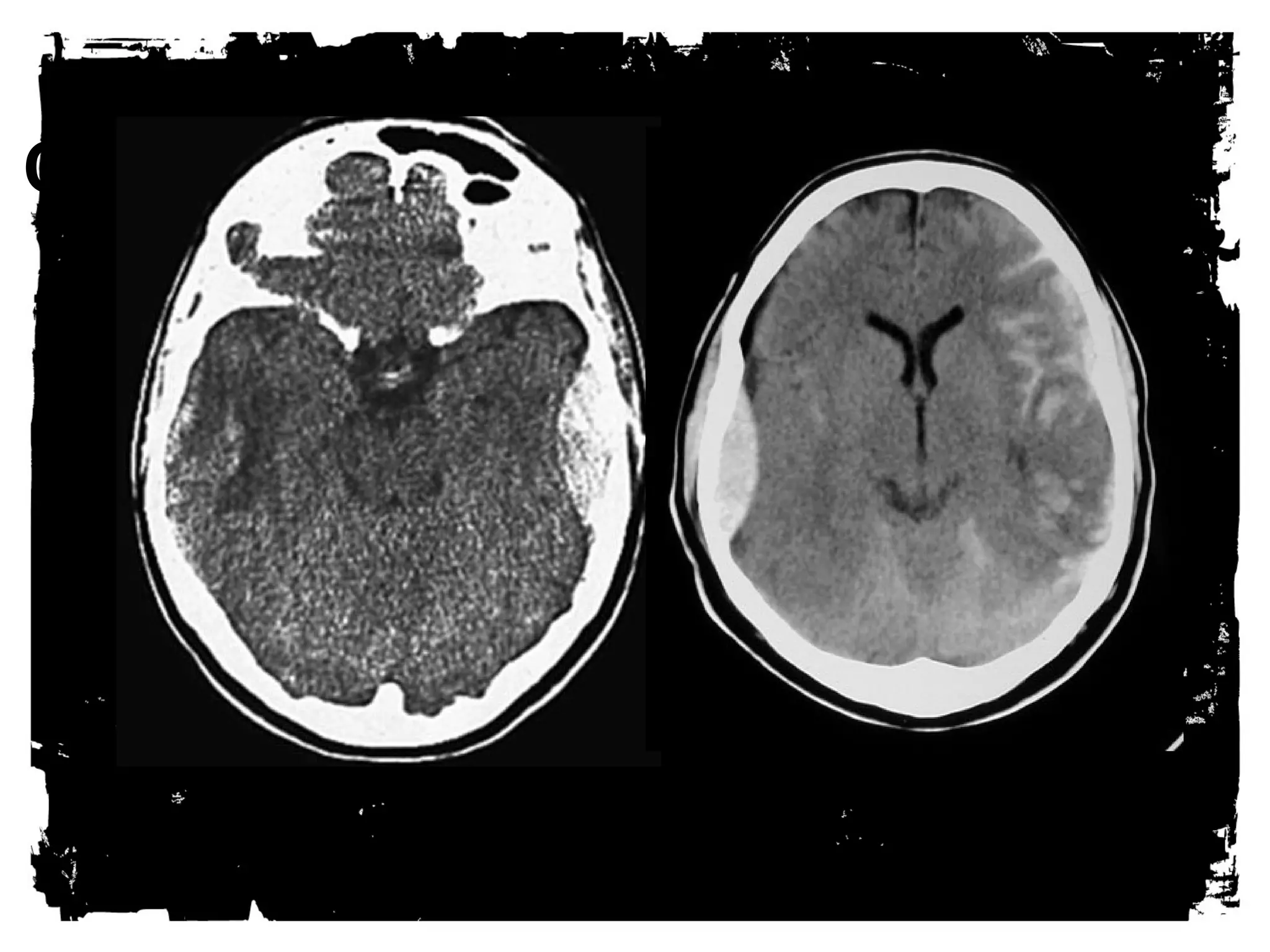
Head CT 
Advantages for TBI include: availability, short scan times, 
detailed anatomic information - including evaluation of facial 
and temporal bone fractures. 
Less sensitive for small parenchyma bleeds such as those seen 
with DAI.
CLICK Anatomic HPaEttRernEs Tof O ADD TEXT 
Traumatic Brain injury 
BBlloooodd: eeppiidduurraall,, ssuubbdduurraall,, ppaarreenncchhyymmaa,, vveennttrriiccuullaarr,, 
aanndd ssuubbaarraacchhnnooiidd.. 
DDiirreecctt iinnjjuurryy ttoo bbrraaiinn –– ffrroonnttaall lloobbee aanndd aanntteerriioorr 
tteemmppoorraall lloobbee.. 
SShheeeerriinngg iinnjjuurryy: ddeeffoorrmmaattiioonn ooff bbrraaiinn ccaauussiinngg ddiiffffuussee 
aaxxoonnaall iinnjjuurryy..
CLICK HERE TO ADD TEXT
CLICK HERE TO ADD TEXT 
• Click Here To Add Text. 
Click here to add text. Click here to add text. Click here to add text. Click 
here to add text. Click here to add text. Click here to add text. Click here 
to add text. Click here to add text. Click here to add text. Click here to 
add text. Click here to add text. Click here to add text. Click here to add 
text. Click here to add text. Click here to add text. Click here to add text. 
Click here to add text. Click here to add text. Click here to add text. Click 
here to add text. Click here to add text. Click here to add text. Click here 
to add text. Click here to add text. Click here to add text. Click here to 
add text. Click here to add text. Click here to add text.
CLICK HERE TO ADD TEXT 
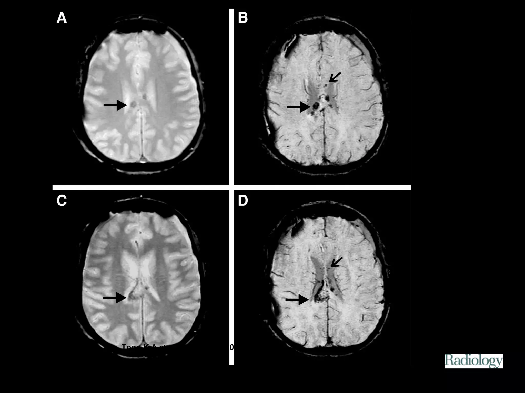
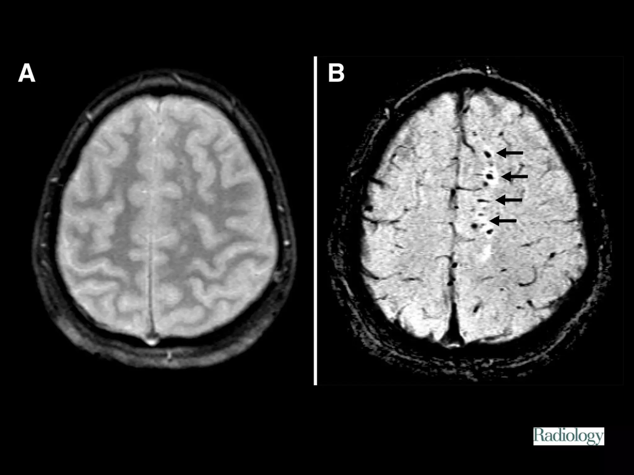
Diffuse axonal injury 
Diffuse axonal injury (DAI) is a major form of traumatic 
brain injury and is caused by shearing stress primarily in 
white matter). Various outcomes are reported (ie, learning 
disorders, moderate to severe disability, and vegetative 
state) but were unable to correlate the extents of early 
injury with the prognoses.
Among patients eventually 
proven to have DAI, 50-80% 
demonstrate a normal CT scan 
upon presentation. Delayed CT 
scanning may be helpful in 
demonstrating edema or 
atrophy, which are later 
findings. Small petechial 
hemorrhages located at the 
gray-white matter junction, as 
well as in the corpus callosum 
and brainstem, are 
characteristic of CT-scan 
findings in the acute setting.
CLICK HERE TO ADD TEXT 
The ability to detect DAI by using imaging, whether 
the lesions are hemorrhagic or nonhemorrhagic, has 
substantially improved with the advent of MRI. MR 
imaging has been helpful in defining patterns of 
injury in adults with DAI—depicting involvement 
predominantly in the frontal white matter, corpus 
callosum, brainstem, and diencephalon.
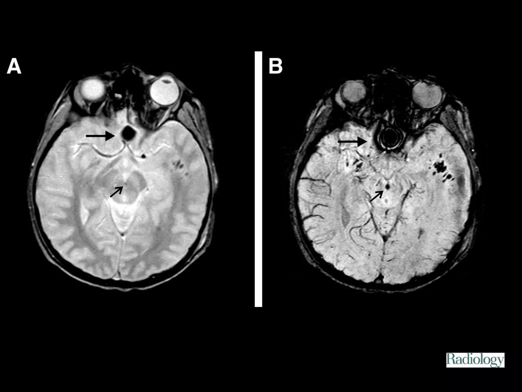
Figure 1. Patient 2. 
Tong K A et al. Radiology 2003;227:332-339 
©2003 by Radiological Society of North America
Figure 2. Patient 4. 
Tong K A et al. Radiology 2003;227:332-339 
©2003 by Radiological Society of North America
Figure 3. Patient 2. 
Tong K A et al. Radiology 2003;227:332-339 
©2003 by Radiological Society of North America
CLICK HERE TO ADD TEXT 
Click here to add text. Click here to add text. Click here to add text. Click 
here to add text. Click here to add text. Click here to add text. Click here 
to add text. Click here to add text. Click here to add text. Click here to 
add text. Click here to add text. Click here to add text. Click here to add 
text. Click here to add text. Click here to add text. Click here to add text. 
Click here to add text. Click here to add text. Click here to add text. Click 
here to add text. Click here to add text. Click here to add text. Click here 
to add text. Click here to add text. Click here to add text. Click here to 
add text. Click here to add text. Click here to add text.
PART 2 
CHEST TRAUMA
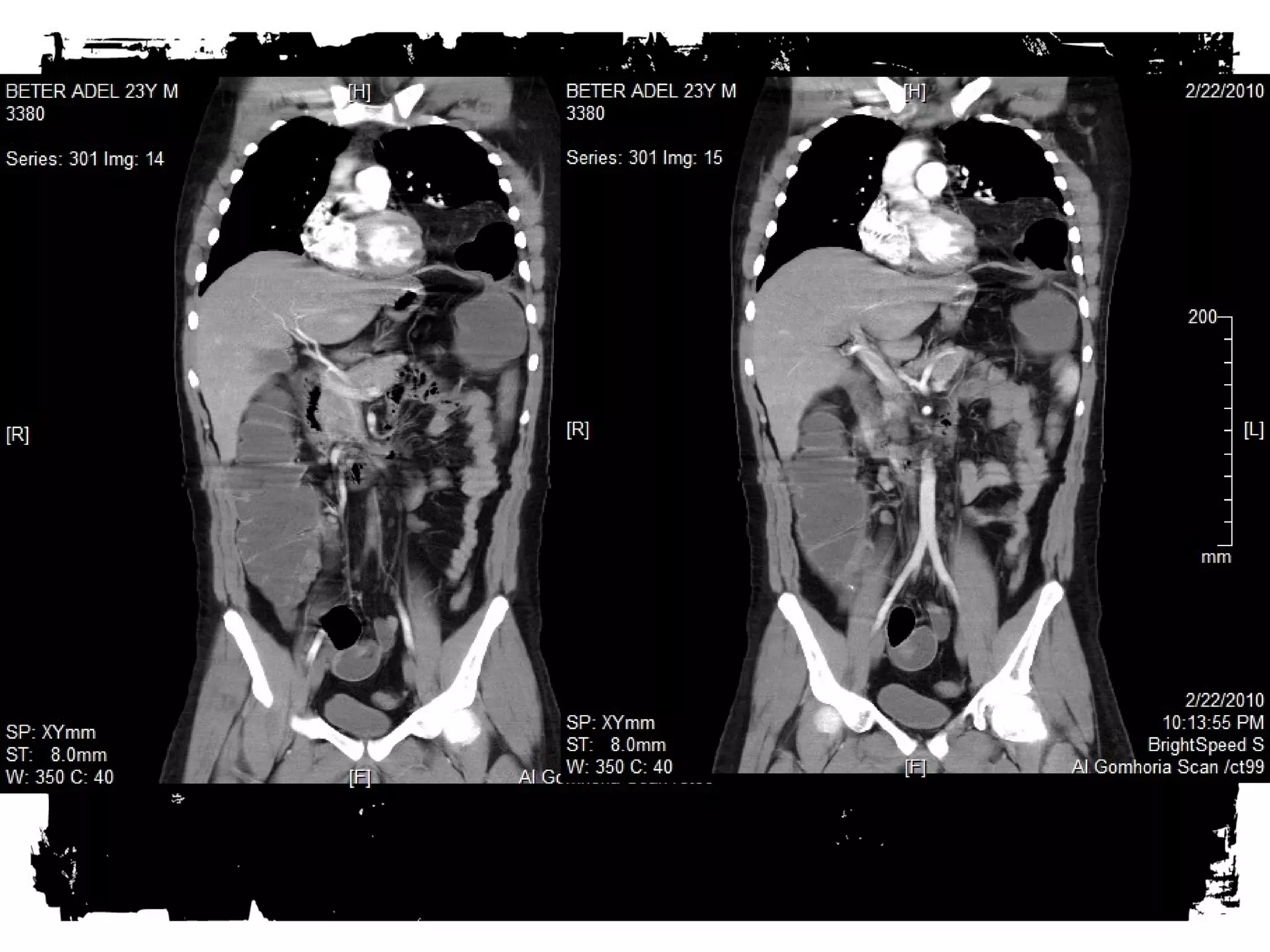
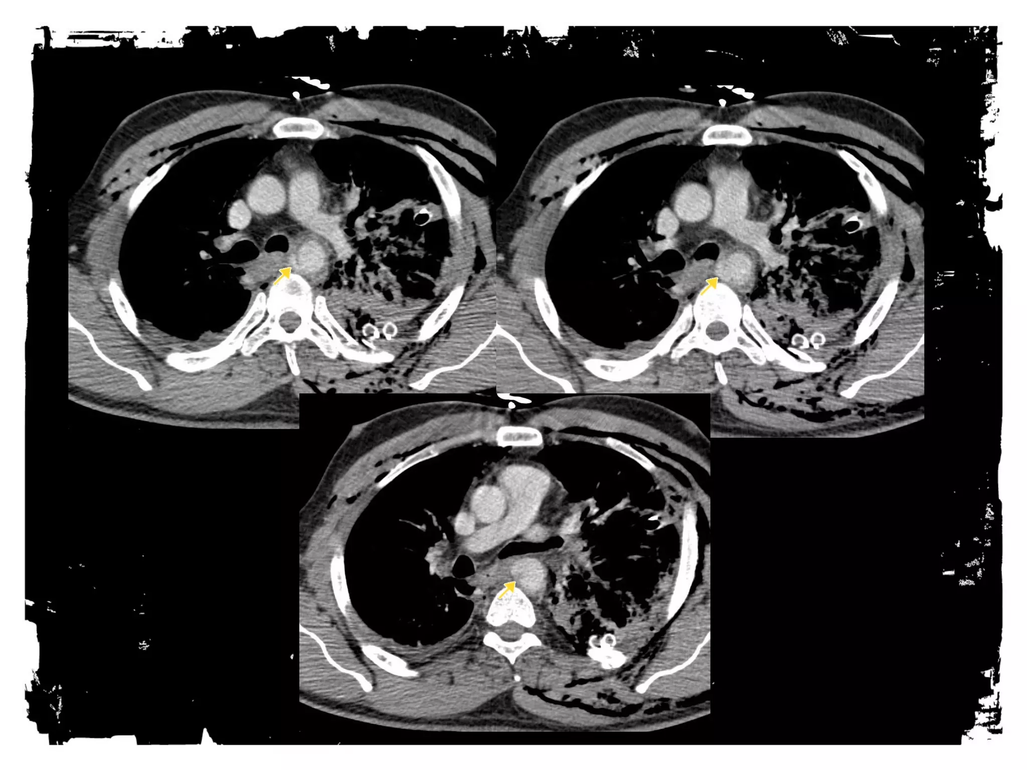
After chest trauma, imaging plays a key role for both, 
the primary diagnostic work-up, and the secondary 
assessment of potential treatment. Despite its well-known 
limitations, the AP chest radiograph remains 
the starting point of the imaging work-up. Adjunctive 
imaging with CT, that recently is increasingly often 
performed on MDCT units, adds essential 
information not readily available on the CXR. This 
allows better definition of trauma-associated thoracic 
injuries not only in acute traumatic aortic injury, but 
also in pulmonary, tracheobronchial, cardiac, 
diaphragmal, and thoracic skeletal injuries.
CLICK HERE TO ADD TEXT 
• Blunt 
• Penetrating 
Types of Chest trauma 
• Explosion Related 
Chemical Agent Related 
Biological Agent Related
CLICK HERE TO ADD TEXT
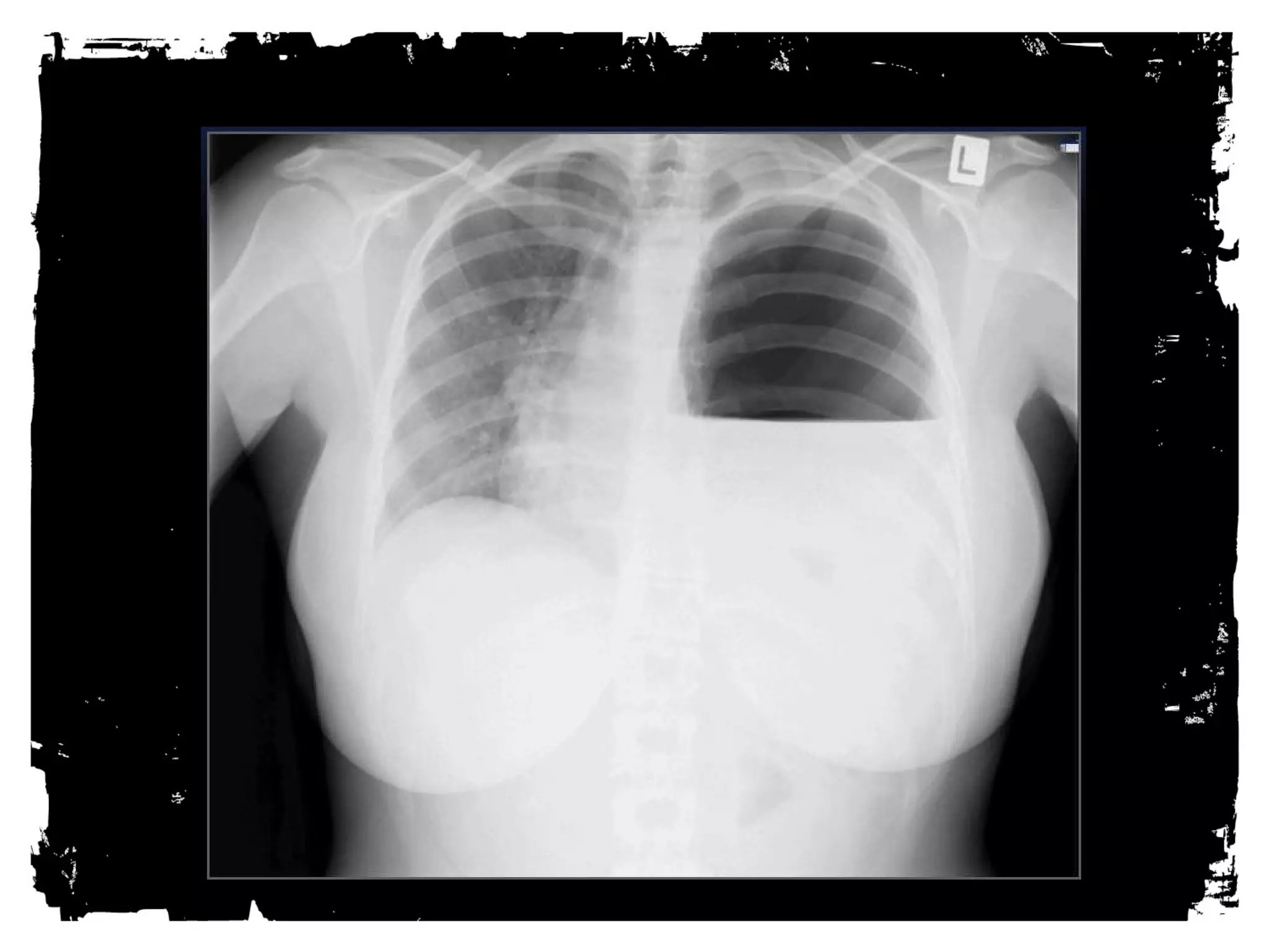
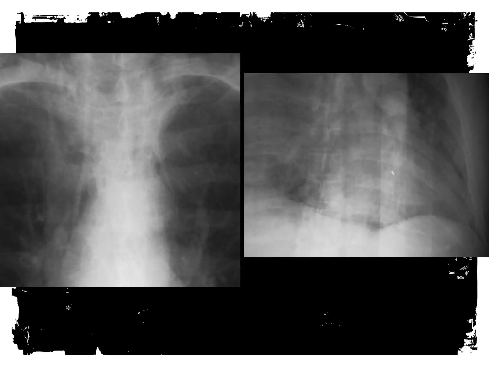
Trauma Chest Radiograph 
• Usually AP, often supine, 
frequently in poor inspiration. 
• So, a challenge to interpret.
CT Chest 
More sensitive and specific
CT Chest: Reformat 
The new MDCT scanners 
do awesome reformats 
without additional scanning.
Blunt chest trauma 
• Factures and dislocations 
• Air where it shouldn’t be 
• Hemothorax 
• Pulmonary contusion and 
laceration 
• Diaphragm injuries
Fractures and Dislocations 
• Spine 
• Ribs 
• Clavicles 
• Sternum 
• Shoulders
CLICK HERE TO ADD TEXT 
• Spine Injuries 
• Look for loss of 
alignment, fractures and 
paraspinal hematoma. 
• The findings may be very 
subtle.
CLICK HERE TO ADD TEXT 
• CT is the imaging 
modality of choice for 
evaluation of these 
injuries.
CLICK HERE TO ADD TEXT 
Simple rib fractures are 
frequently encountered on chest 
radiographs and rarely require 
further studies. However, 
complication of rib fractures such 
as pneumothorax, hemothorax, 
lung contusions, and lacerations 
are of more important clinical 
impact than the fracture itself
Multiple fractures of the 
same rib or simple 
fractures of three or more 
contiguous ribs comprise a 
flail segment of the chest 
wall. This results in 
paradoxical motion and 
inhibits normal respiratory 
motion, leading to 
impaired ventilation.
CLICK HERE TO ADD TEXT 
Sterno-Clavicular Dislocations 
• Anterior: Not much of a 
problem. 
• Posterior: Less common; can 
injure great vessels or trachea.
Sterno-clavicle dislocation: CT 
Click here to add text. Click here to add text. Click here to add text. Click 
here to add text. Click here to add text. Click here to add text. Click here 
to add text. Click here to add text. Click here to add text. Click here to 
add text. Click here to add text. Click here to add text. Click here to add 
text. Click here to add text. Click here to add text. Click here to add text. 
Click here to add text. Click here to add text. Click here to add text. Click 
here to add text. Click here to add text. Click here to add text. Click here 
to add text. Click here to add text. Click here to add text. Click here to 
add text. Click here to add text. Click here to add text.
Shoulder Injuries 
Look particularly for 
dislocations and scapula 
fractures
Sternum Fractures 
• Not usually a problem. 
• Controversial association with 
myocardial injury.
AIR where it shouldn’t be 
• Pneumothorax 
• Pneumomediastinum 
• Subcutaneous emphysema 
• Systemic venous air embolism 
• Pneumopericardium 
• Pneumoperitoneum/retroperitoneum
PNEUMOTHORAX 
• Simple 
• Tension 
• Open
PNEUMOTHORAX: CT 
Much more sensitive than plain films. Even a small 
traumatic pneumothorax is important, especially if 
patient mechanically ventilated or going to OR: A 
simple pneumothorax can be converted into a life-threatening 
tension pneumothorax.
Pneumothorax: Simple 
• Erect AP/PA view best 
• Visceral pleural line 
• No vessels or markings 
• Variable degree of lung 
collapse 
• No shift
PNEUMOTHORAX: Tension 
• Erect AP/PA view best. 
• Shift of mediastinum away 
from PTX side. 
• Depressed hemidiaphragm. 
• Degree of lung collapse is 
variable.
PNEUMOTHORAX: 
Diagnostic limitations of supine view 
Supine AP view has limited sensitivity: 50%. 
Deep sulcus sign. 
Too sharp heart border/hemidiaphragm sign. 
Increased lucency over lower chest. 
Subpulmonic air sign. 
Can see vessels.
PNEUMOMEDIASTIUM 
• Usually from ruptured alveoli. 
• Can also be from trachea, 
bronchi, esophagus, bowel and 
neck injuries.
CLICK HERE PNEUMOMEDIASTIUM 
TO ADD TEXT 
Signs: 
• Linear paratracheal lucencies 
• Air along heart border 
• “V” sign at aortic-diaphragm 
junction 
• Continuous diaphragm sign
Surgical Emphysema
Pneumopericardium 
Penetrating injuries
Pneumoperitoneum
Systemic venous air embolism
HEMOTHORAX 
• Venous or arterial bleeding 
• 60% controlled by chest tube, 
40% need operative 
management 
• Can miss hundreds of cc’s on 
supine film 
• Can be tension
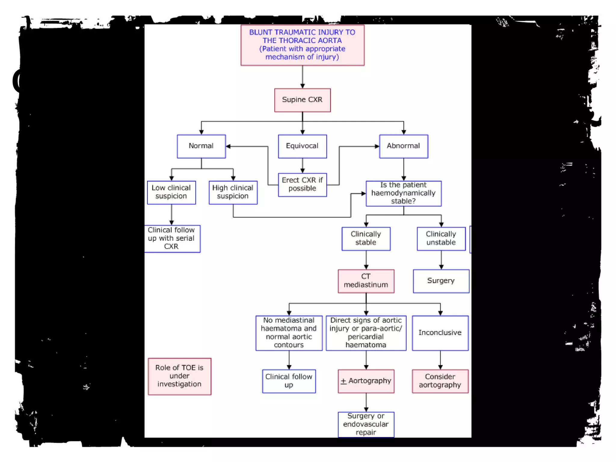
Traumatic aortic rupture
PULMONARY CONTUSION and LACERATION 
Contusion: Blood in intact lung parenchyma 
Laceration: Blood in torn lung parenchyma 
Can’t tell difference on chest film. Contusions peak 
in 2-3 days, begin to resolve in a week; lacerations 
take much longer to resolve and may leave scars
CT: Pulmonary laceration 
The tear in the lung can fill 
with blood or air.
DIAPHRAGM Injuries 
• 5% of major blunt trauma, 
also thoraco-abdominal 
penetrating trauma 
• Left clinically injured 
more than right 60/40 
• Sensitivity of Chest film 
40%. CT better, but still 
misses some 
• Sure signs: NGT through 
g.e. junction then up into 
chest, and hollow viscus 
above diaphragm 
• Less significant signs: 
Indistinct diaphragm, 
effusion, atelectasis
PENETRATING TRAUMA 
Gun-shot wounds: 
Caliber, weight, construction of bullet 
Velocity 
Tissue impacted 
Knife wounds: 
All low energy, small diameter wounds. Frequently, 
superficial stab or slash. 
Look for lung laceration, pneumothorax, hemothorax, 
pneumomediastinum, abnormal contour of 
mediastinum or heart. 
Path of wound is straight.
CLICK HERE TO ADD TEXT PART 3 
SPINAL TRAUMA
Objectives 
• Clinical indication for each 
imaging modality 
• Identify anatomy of the spine 
• Approach to spine radiography 
interpretation 
• Classification of spine injuries
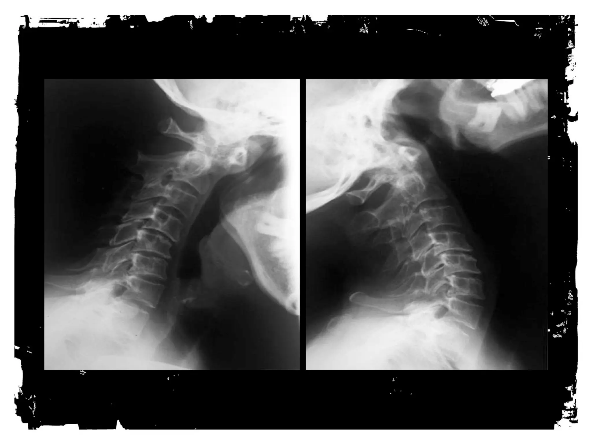
Canadian C-Spine Rule for selective ordering of cervical spine imaging 
Stiell, I. G et al. BMJ 2009;339:b4146
Who gets CT 
GCS below 13 on initial assessment. 
Has been intubated. 
Plain film series is technically inadequate (for 
example, desired view unavailable), suspicious or 
definitely abnormal. 
Continued clinical suspicion of injury despite a 
normal X-ray. 
The patient is being scanned for multi-region trauma.
Who gets MRI 
Unexplained neurologic symptoms/signs 
For visualizing soft tissues, neural elements and 
unsuspected disk herniation 
To differentiate cord edema, hemorrhage, and 
infarction 
To better characterize epidural hematoma
RADIOGRAPHY for primary cervical spine 
screening 
• Minimum standard views 
– Lateral through C7 
– AP 
– Odontoid 
• Supplementary views 
• Bilateral obliques 
– Swimmer’s 
– Flex ion and extension
Lateral View 
Base of the occiput should be visualized 
Junction of C7-T1 must be visualized 
A swimmer’s view taken with one arm extended over 
the head can be helpful 
AP view 
Must include the spinous processes of all the cervical 
vertebrae from C2 trough T1. 
OM view 
Must show relationship of the lateral masses of C1 
and the odontoid process.
NNOORRMMAALL CCEERRVVIICCAALL SSPPIINNEE 
1 = anterior vertebral line 
2 = posterior vertebral line 
3 = spinolaminar line 
4 = posterior spinous line 
RP
CCeerrvviiccaall SSppiinneess NNoorrmmss 
PPrreeddeennttaall ssppaaccee • 3mm or less 
(4-5mm in children) 
CC22--CC33 ppsseeuuddoossuubblluuxxaattiioonn • 3mm or less 
(4-5mm in children) 
RReettrroopphhaarryynnggeeaall ssppaaccee • < 6mm at C2 
• < 22mm at C6 
• For children 1/2 to 2/3 
vertebral body distance 
anteroposteriorly 
AAnngguullaattiioonn ooff ssppiinnaall ccoolluummnn aatt 
aannyy ssiinnggllee iinntteerrssppaaccee lleevveell 
• < 11 degrees 
CCoorrdd ddiimmeennssiioonn • 10-13mm
Mechanism of Fractures 
Hyperflexion Hyperextension Axial compression
Classification
Classification 
Type of Injury Fractures Stability 
Flexion Anterior subluxation 
Unilateral facet dislocation 
Bilateral facet dislocation 
Wedge compression fracture 
Flexion teardrop fracture 
Clay Shoveler's fracture 
Odontoid 
stable or delayed instability 
stable 
unstable 
stable 
unstable 
stable 
unstable 
Extension Hangman's fracture unstable 
Compression Jefferson fracture 
Burst fracture 
unstable 
stable
CT versus Radiography 
VVaannddeerrmmaarrkk ccllaaiimmeedd:: 
WWeellll ppoossiittiioonneedd aanndd ooppttiimmaallllyy eexxppoosseedd rraaddiiooggrraapphhss 
ddiisscclloossee 9955%% ooff cclliinniiccaallllyy ssiiggnniiffiiccaanntt CC--ssppiinnee 
ffrraaccttuurreess.. 
HHoowweevveerr –– tthheessee hhiigghh qquuaalliittyy ssttuuddiieess aarree oofftteenn 
iimmppoossssiibbllee ttoo oobbttaaiinn aanndd pptt’’ss aatt hhiigghheesstt rriisskk aarree mmoosstt 
lliikkeellyy ttoo hhaavvee tteecchhnniiccaallllyy ccoommpprroommiisseedd iimmaaggiinngg.. 
1999966 NNuunneezz eett aall 4400%% ooff FFxx’’ss mmiisssseedd oonn rraadd llaatteerr 
rreevveeaalleedd oonn CCTT 
1//33 hhaadd cclliinniiccaallllyy ssiiggnniiffiiccaanntt oorr uunnssttaabbllee FFxx’’ss
So, which do you choose? 
• Helical CT 
– Faster? 
– More Sensitive? 
– Cost effective/more 
expensive? 
• Conventional Rad 
– Slower? 
– Less sensitive? 
– Less expensive?
Blackmore et al (2001) Risk stratification 
HHiigghh ((ffrraaccttuurree rriisskk ooff 1111..22%%)) == sseevveerree hheeaadd 
iinnjjuurryy,, ffooccaall nneeuurroo ddeeffiicciittss,, >>5500 yyrrss ww// hhiigghh-eenneerrggyy 
mmeecchhaanniissmm ooff iinnjjuurryy.. 
MMooddeerraattee ((44..22%%))== >>5500 yyrrss ww// aa mmooddeerraattee-eenneerrggyy 
mmeecchhaanniissmm oorr <<5500 ww//hhiigghh eenneerrggyy.. 
LLooww ((22..11%%))== <<5500 ww// mmooddeerraattee eenneerrggyy 
mmeecchhaanniissmm ooff iinnjjuurryy..
Blackmore et al’s recommendation 
CT should be considered aass TTHHEE PPRRIIMMAARRYY 
cceerrvviiccaall ssppiinnee ssccrreeeenniinngg mmooddaalliittyy iinn sseelleecctteedd 
vviiccttiimmss ooff mmaajjoorr ttrraauummaa wwhhoo aarree eexxaammiinneedd iinn 
hhiigghh-vvoolluummee uurrbbaann EEDD’’ss..
Case 1
CLICK HERE TO ADD TEXT
CLICK HERE TO ADD TEXT
CLICK HERE TO ADD TEXT 
• Unilateral Facet Dislocation 
Hyperflexion + rotation 
Superior facet slides over inferior facet and becomes 
locked 
Anterior subluxation of superior vertebral body –25% 
AP diameter 
Stable injury 
30% with associated neurologic deficit 
MRI: disk extrusion leading to cord compression
Case (2)
Bilateral Facet Dislocation 
Extreme hyperflexion 
Anterior dislocation of articular masses (disruption of 
posterior ligament complex,PLL,disk and ALL). 
Complete dislocation: dislocated vertebra anteriorly 
displaced ½ of AP diameter of vertebral body 
Unstable ( high incidence of cord damage)
Case (3)
Case (4)
Flexion Tear Drop 
Flexion+compression (MVA) 
Teardrop fragment comes from the anteroinferior 
aspect of the vertebral body 
Larger posterior part displaced backward into the 
spinal canal 
Facets joints and interspinous distances usually 
widened, disk space may be narrowed 
70% of patients with neurologic injuries 
Unstable fracture (complete disruption of ligaments 
and anterior cord syndrome
Case (5)
Hangman’s fracture 
Most common cervical spine fracture 
Usually hyperextension 
Unstable, however seldom associated with cord 
injury (AP diameter of spinal canal greatest at C1/C2 
level and # pedicles allow decompression) 
Hangman’s + uni/bilateral facet dislocation: high rate 
of neurologic complications
Case (6)
CLICK HERE TO ADD TEXT
Hyperextension injury 
Widening of disk space anteriorly and narrowing 
posteriorly 
“open book” 
Central cord injury= disproportionated weakness in 
arms and normal strength in the legs 
Injuries can be devastating, however are uncommon 
hemorrhagic
Case (7)
CLICK HERE TO ADD TEXT
Extension Teardrop Fracture 
ALL pulls bony fragment away from inferior aspect 
of the vertebra because sudden extension 
Fragment is true avulsion x fragment from flexion 
teardrop (compression) 
Lower cervical spine 
Central cord syndrome (buckling of ligamenta flava 
into spinal canal) 
Stable in flexion; highly unstable in extension
Case (8)
Jefferson Fracture 
Burst fracture of ring of C1 
Axial loading in the occiput 
No associated neuro deficts ( C1 ring is wide!) 
> 2mm dislocation of lateral masses of C1 or 
odontoid view is diagnostic, 1-2 mm is equivocal 
( rotation of head?) 
Predental space > 3 mm: disruption of transverse 
ligament 
1/3 associated with C2 fracture
Thoracic Spine Injuries 
Rigid 
Spinal canal narrower than cervical or lumbar spine 
Large spinal cord diameter relative to canal 
diameter increases the risk of cord injury 
Injury, usually significant (complete), less common 
than in other regions 
Association between fractures of the thoracic spine 
and severe pulmonary injuries, mediastinal 
hemorrhage
CLICK HERE TO ADD TEXT 
Compression fracture 
Injury to anterior column due to anterior or lateral 
flexion 
Middle and posterior columns remain intact 
X-ray - decreased height anterior vertebral body, post 
body height normal 
Amount of anterior compression usually less than 
40% of post body height 
Clinically - stable, cord injury rare
CLICK HERE TO ADD TEXT 
• Unstable if: 
– vertebral height > 50% 
– Angulation more than 20 
degrees 
– Multiple adjacent Loss of 
compression fractures
Burst 
• Disruption of the middle column 
• Mechanism- axial loading 
• Varying degrees of retropulsion 
into the 
neural canal 
• X-ray- spreading of post elements 
• If post elements involved- 50% 
have neuro 
injury 
• Neurologic injury more common in: 
– Loss of vertebral ht > 50% 
– Angulation > 20 deg 
– Canal compromise more than 40%
Lumbar Spine Injury 
• Lower lumbar spine is the 
most mobile 
• Isolated fractures of the 
lower lumbar spine rarely 
result in complete 
neurologic injuries 
• Injuries: complete cauda 
equina lesion or isolated 
nerve root injuries
Spinal cord injury (SCI) 
Spinal cord injury 
There are two types of 
injury to the spinal cord: 
• Non-hemorrhagic with 
only high signal on MR 
due to edema. 
• Hemorrhagic with areas of 
low signal intensity within 
the area of edema.
• There is a strong correlation 
between the length of the 
spinal cord edema and the 
clinical outcome. 
• The most important factor 
however is whether there is 
hemorrhage, since 
hemorrhagic spinal cord 
injury has an extremely poor 
outcome.
Midsagittal (a) T1-weighted and (b) T2-weighted MR images obtained in 45- 
year-old man with acute traumatic C5 through C6 mild SCI after a fall show 
the distances of the spinal canal and spinal cord at the injury site (Di and di, 
respectively), one segment below the injury site (Db and db, respectively), and 
one segment above the injury site (Da and da, respectively) used to (a) 
estimate the MCC and (b) measure spinal canal compression. 
©2007 by Radiological Society of North America
THANK YOU

Introduction to trauma imaging. Guidelines and highlights for different imaging techniques.

  • 1.
    Introduction to traumaimaging Guidelines and highlights for different imaging techniques. ASSIUT UNIVERSITY TRAUMA COURSE (AUTC) MARCH 2010. Dr. Hazem Abu Zeid Yousef MD Lecturer of Radiodiagnosis.
  • 2.
    INTRODUCTION More than3000 people die on the world's roads every day. Tens of millions of people are injured or disabled every year. Road traffic accidents are the leading cause of death in the first study of global patterns of death among people aged between 10-24 years of age (WHO 2009).
  • 3.
    Time is ofthe Essence in Trauma Time is the eenneemmyy ffoorr ttrraauummaa vviiccttiimmss TTrraauummaa ssuurrggeeoonnss aarree rruulleedd bbyy tthhee ““GGoollddeenn HHoouurr””..
  • 4.
    CLICK HERE TOADD TEXT PART (1) HEAD TRAUMA
  • 5.
    “Early HimEagAingD, rIaNtherJUthaRn IEadmSis.sion and observation for neurological deterioration, will reduce time to detection for life threatening complications and is associated with better outcomes (NICE clinical guideline 2008).
  • 6.
    CLICK SKULL RADHIOGERARPHEY ( STXRO) ADD TEXT Advantages Quick No need for radiologist Low dose of radiation (0.14mSv) Inexpensive Disadvantages Increased workload Inconclusive
  • 7.
    CLICK HERE TOADD TEXT Click here to add text. Click here to add text. Click here to add text. Click here to add text. Click here to add text. Click here to add text. Click here to add text. Click here to add text. Click here to add text. Click here to add text. Click here to add text. Click here to add text. Click here to add text. Click here to add text. Click here to add text. Click here to add text. Click here to add text. Click here to add text. Click here to add text. Click here to add text. Click here to add text. Click here to add text. Click here to add text. Click here to add text. Click here to add text. Click here to add text. Click here to add text. Click here to add text.
  • 8.
    SYSTEMATIC INSPECTION OFTHE SXR Step (1) : Scrutinize the site of the injury. Step (2) : Look for: Fissure fracture. Depressed fracture. Fluid level in the sphenoid sinus. Step (3) : Look for less common finding (e.g. pneumocephalus).
  • 9.
    Fissure versus VM Fissure black VM gray. VM is branching. VM has sclerotic edges. Fissure versus suture The fracture is more radiolucent than the other sutures, has no serration along its edges, and is blind ending.
  • 10.
    Depressed fractures are often difficult to see. Look for increased or double density
  • 11.
    CLICK HERE TOADD TEXT • Click Here To Add Text. Click here to add text. Click here to add text. Click here to add text. Click here to add text. Click here to add text. Click here to add text. Click here to add text. Click here to add text. Click here to add text. Click here to add text. Click here to add text. Click here to add text. Click here to add text. Click here to add text. Click here to add text. Click here to add text. Click here to add text. Click here to add text. Click here to add text. Click here to add text. Click here to add text. Click here to add text. Click here to add text. Click here to add text. Click here to add text. Click here to add text. Click here to add text. Click here to add text.
  • 12.
    CLICK HERE TOADD TEXT Click here to add text. Click here to add text. Click here to add text. Click here to add text. Click here to add text. Click here to add text. Click here to add text. Click here to add text. Click here to add text. Click here to add text. Click here to add text. Click here to add text. Click here to add text. Click here to add text. Click here to add text. Click here to add text. Click here to add text. Click here to add text. Click here to add text. Click here to add text. Click here to add text. Click here to add text. Click here to add text. Click here to add text. Click here to add text. Click here to add text. Click here to add text. Click here to add text.
  • 13.
    CLICK HERE TOADD TEXT
  • 14.
    CLICK HERE TOADD TEXT
  • 15.
    CLICK HERE TOADD TEXT This study shows that skull x rays can successfully be abandoned in children aged 1 to 14 years with head injuries without any significant increase in admission rate, radiation dose per head injury, or missed intracranial injuries. We suggest that routine skull x rays have no place in the paediatric emergency department for those children aged 1 year and over. Mechanism of head injury (falls of more than 1 metre and road traffic accidents carrying higher risk), a history of drowsiness or loss of consciousness, and a reduced score on the Glasgow coma scale are probably the most important indicators of serious head injury in children (Reed wt al., 2005).
  • 16.
    Head CT Advantagesfor TBI include: availability, short scan times, detailed anatomic information - including evaluation of facial and temporal bone fractures. Less sensitive for small parenchyma bleeds such as those seen with DAI.
  • 17.
    CLICK Anatomic HPaEttRernEsTof O ADD TEXT Traumatic Brain injury BBlloooodd: eeppiidduurraall,, ssuubbdduurraall,, ppaarreenncchhyymmaa,, vveennttrriiccuullaarr,, aanndd ssuubbaarraacchhnnooiidd.. DDiirreecctt iinnjjuurryy ttoo bbrraaiinn –– ffrroonnttaall lloobbee aanndd aanntteerriioorr tteemmppoorraall lloobbee.. SShheeeerriinngg iinnjjuurryy: ddeeffoorrmmaattiioonn ooff bbrraaiinn ccaauussiinngg ddiiffffuussee aaxxoonnaall iinnjjuurryy..
  • 18.
    CLICK HERE TOADD TEXT
  • 20.
    CLICK HERE TOADD TEXT • Click Here To Add Text. Click here to add text. Click here to add text. Click here to add text. Click here to add text. Click here to add text. Click here to add text. Click here to add text. Click here to add text. Click here to add text. Click here to add text. Click here to add text. Click here to add text. Click here to add text. Click here to add text. Click here to add text. Click here to add text. Click here to add text. Click here to add text. Click here to add text. Click here to add text. Click here to add text. Click here to add text. Click here to add text. Click here to add text. Click here to add text. Click here to add text. Click here to add text. Click here to add text.
  • 21.
    CLICK HERE TOADD TEXT Diffuse axonal injury Diffuse axonal injury (DAI) is a major form of traumatic brain injury and is caused by shearing stress primarily in white matter). Various outcomes are reported (ie, learning disorders, moderate to severe disability, and vegetative state) but were unable to correlate the extents of early injury with the prognoses.
  • 22.
    Among patients eventually proven to have DAI, 50-80% demonstrate a normal CT scan upon presentation. Delayed CT scanning may be helpful in demonstrating edema or atrophy, which are later findings. Small petechial hemorrhages located at the gray-white matter junction, as well as in the corpus callosum and brainstem, are characteristic of CT-scan findings in the acute setting.
  • 23.
    CLICK HERE TOADD TEXT The ability to detect DAI by using imaging, whether the lesions are hemorrhagic or nonhemorrhagic, has substantially improved with the advent of MRI. MR imaging has been helpful in defining patterns of injury in adults with DAI—depicting involvement predominantly in the frontal white matter, corpus callosum, brainstem, and diencephalon.
  • 24.
    Figure 1. Patient2. Tong K A et al. Radiology 2003;227:332-339 ©2003 by Radiological Society of North America
  • 25.
    Figure 2. Patient4. Tong K A et al. Radiology 2003;227:332-339 ©2003 by Radiological Society of North America
  • 26.
    Figure 3. Patient2. Tong K A et al. Radiology 2003;227:332-339 ©2003 by Radiological Society of North America
  • 27.
    CLICK HERE TOADD TEXT Click here to add text. Click here to add text. Click here to add text. Click here to add text. Click here to add text. Click here to add text. Click here to add text. Click here to add text. Click here to add text. Click here to add text. Click here to add text. Click here to add text. Click here to add text. Click here to add text. Click here to add text. Click here to add text. Click here to add text. Click here to add text. Click here to add text. Click here to add text. Click here to add text. Click here to add text. Click here to add text. Click here to add text. Click here to add text. Click here to add text. Click here to add text. Click here to add text.
  • 28.
  • 29.
    After chest trauma,imaging plays a key role for both, the primary diagnostic work-up, and the secondary assessment of potential treatment. Despite its well-known limitations, the AP chest radiograph remains the starting point of the imaging work-up. Adjunctive imaging with CT, that recently is increasingly often performed on MDCT units, adds essential information not readily available on the CXR. This allows better definition of trauma-associated thoracic injuries not only in acute traumatic aortic injury, but also in pulmonary, tracheobronchial, cardiac, diaphragmal, and thoracic skeletal injuries.
  • 30.
    CLICK HERE TOADD TEXT • Blunt • Penetrating Types of Chest trauma • Explosion Related Chemical Agent Related Biological Agent Related
  • 31.
    CLICK HERE TOADD TEXT
  • 32.
    Trauma Chest Radiograph • Usually AP, often supine, frequently in poor inspiration. • So, a challenge to interpret.
  • 33.
    CT Chest Moresensitive and specific
  • 34.
    CT Chest: Reformat The new MDCT scanners do awesome reformats without additional scanning.
  • 35.
    Blunt chest trauma • Factures and dislocations • Air where it shouldn’t be • Hemothorax • Pulmonary contusion and laceration • Diaphragm injuries
  • 36.
    Fractures and Dislocations • Spine • Ribs • Clavicles • Sternum • Shoulders
  • 37.
    CLICK HERE TOADD TEXT • Spine Injuries • Look for loss of alignment, fractures and paraspinal hematoma. • The findings may be very subtle.
  • 38.
    CLICK HERE TOADD TEXT • CT is the imaging modality of choice for evaluation of these injuries.
  • 39.
    CLICK HERE TOADD TEXT Simple rib fractures are frequently encountered on chest radiographs and rarely require further studies. However, complication of rib fractures such as pneumothorax, hemothorax, lung contusions, and lacerations are of more important clinical impact than the fracture itself
  • 40.
    Multiple fractures ofthe same rib or simple fractures of three or more contiguous ribs comprise a flail segment of the chest wall. This results in paradoxical motion and inhibits normal respiratory motion, leading to impaired ventilation.
  • 42.
    CLICK HERE TOADD TEXT Sterno-Clavicular Dislocations • Anterior: Not much of a problem. • Posterior: Less common; can injure great vessels or trachea.
  • 43.
    Sterno-clavicle dislocation: CT Click here to add text. Click here to add text. Click here to add text. Click here to add text. Click here to add text. Click here to add text. Click here to add text. Click here to add text. Click here to add text. Click here to add text. Click here to add text. Click here to add text. Click here to add text. Click here to add text. Click here to add text. Click here to add text. Click here to add text. Click here to add text. Click here to add text. Click here to add text. Click here to add text. Click here to add text. Click here to add text. Click here to add text. Click here to add text. Click here to add text. Click here to add text. Click here to add text.
  • 44.
    Shoulder Injuries Lookparticularly for dislocations and scapula fractures
  • 45.
    Sternum Fractures •Not usually a problem. • Controversial association with myocardial injury.
  • 46.
    AIR where itshouldn’t be • Pneumothorax • Pneumomediastinum • Subcutaneous emphysema • Systemic venous air embolism • Pneumopericardium • Pneumoperitoneum/retroperitoneum
  • 47.
    PNEUMOTHORAX • Simple • Tension • Open
  • 48.
    PNEUMOTHORAX: CT Muchmore sensitive than plain films. Even a small traumatic pneumothorax is important, especially if patient mechanically ventilated or going to OR: A simple pneumothorax can be converted into a life-threatening tension pneumothorax.
  • 49.
    Pneumothorax: Simple •Erect AP/PA view best • Visceral pleural line • No vessels or markings • Variable degree of lung collapse • No shift
  • 50.
    PNEUMOTHORAX: Tension •Erect AP/PA view best. • Shift of mediastinum away from PTX side. • Depressed hemidiaphragm. • Degree of lung collapse is variable.
  • 51.
    PNEUMOTHORAX: Diagnostic limitationsof supine view Supine AP view has limited sensitivity: 50%. Deep sulcus sign. Too sharp heart border/hemidiaphragm sign. Increased lucency over lower chest. Subpulmonic air sign. Can see vessels.
  • 53.
    PNEUMOMEDIASTIUM • Usuallyfrom ruptured alveoli. • Can also be from trachea, bronchi, esophagus, bowel and neck injuries.
  • 54.
    CLICK HERE PNEUMOMEDIASTIUM TO ADD TEXT Signs: • Linear paratracheal lucencies • Air along heart border • “V” sign at aortic-diaphragm junction • Continuous diaphragm sign
  • 57.
  • 58.
  • 59.
  • 60.
  • 61.
    HEMOTHORAX • Venousor arterial bleeding • 60% controlled by chest tube, 40% need operative management • Can miss hundreds of cc’s on supine film • Can be tension
  • 62.
  • 65.
    PULMONARY CONTUSION andLACERATION Contusion: Blood in intact lung parenchyma Laceration: Blood in torn lung parenchyma Can’t tell difference on chest film. Contusions peak in 2-3 days, begin to resolve in a week; lacerations take much longer to resolve and may leave scars
  • 67.
    CT: Pulmonary laceration The tear in the lung can fill with blood or air.
  • 68.
    DIAPHRAGM Injuries •5% of major blunt trauma, also thoraco-abdominal penetrating trauma • Left clinically injured more than right 60/40 • Sensitivity of Chest film 40%. CT better, but still misses some • Sure signs: NGT through g.e. junction then up into chest, and hollow viscus above diaphragm • Less significant signs: Indistinct diaphragm, effusion, atelectasis
  • 74.
    PENETRATING TRAUMA Gun-shotwounds: Caliber, weight, construction of bullet Velocity Tissue impacted Knife wounds: All low energy, small diameter wounds. Frequently, superficial stab or slash. Look for lung laceration, pneumothorax, hemothorax, pneumomediastinum, abnormal contour of mediastinum or heart. Path of wound is straight.
  • 76.
    CLICK HERE TOADD TEXT PART 3 SPINAL TRAUMA
  • 77.
    Objectives • Clinicalindication for each imaging modality • Identify anatomy of the spine • Approach to spine radiography interpretation • Classification of spine injuries
  • 78.
    Canadian C-Spine Rulefor selective ordering of cervical spine imaging Stiell, I. G et al. BMJ 2009;339:b4146
  • 79.
    Who gets CT GCS below 13 on initial assessment. Has been intubated. Plain film series is technically inadequate (for example, desired view unavailable), suspicious or definitely abnormal. Continued clinical suspicion of injury despite a normal X-ray. The patient is being scanned for multi-region trauma.
  • 80.
    Who gets MRI Unexplained neurologic symptoms/signs For visualizing soft tissues, neural elements and unsuspected disk herniation To differentiate cord edema, hemorrhage, and infarction To better characterize epidural hematoma
  • 81.
    RADIOGRAPHY for primarycervical spine screening • Minimum standard views – Lateral through C7 – AP – Odontoid • Supplementary views • Bilateral obliques – Swimmer’s – Flex ion and extension
  • 85.
    Lateral View Baseof the occiput should be visualized Junction of C7-T1 must be visualized A swimmer’s view taken with one arm extended over the head can be helpful AP view Must include the spinous processes of all the cervical vertebrae from C2 trough T1. OM view Must show relationship of the lateral masses of C1 and the odontoid process.
  • 86.
    NNOORRMMAALL CCEERRVVIICCAALL SSPPIINNEE 1 = anterior vertebral line 2 = posterior vertebral line 3 = spinolaminar line 4 = posterior spinous line RP
  • 87.
    CCeerrvviiccaall SSppiinneess NNoorrmmss PPrreeddeennttaall ssppaaccee • 3mm or less (4-5mm in children) CC22--CC33 ppsseeuuddoossuubblluuxxaattiioonn • 3mm or less (4-5mm in children) RReettrroopphhaarryynnggeeaall ssppaaccee • < 6mm at C2 • < 22mm at C6 • For children 1/2 to 2/3 vertebral body distance anteroposteriorly AAnngguullaattiioonn ooff ssppiinnaall ccoolluummnn aatt aannyy ssiinnggllee iinntteerrssppaaccee lleevveell • < 11 degrees CCoorrdd ddiimmeennssiioonn • 10-13mm
  • 88.
    Mechanism of Fractures Hyperflexion Hyperextension Axial compression
  • 89.
  • 90.
    Classification Type ofInjury Fractures Stability Flexion Anterior subluxation Unilateral facet dislocation Bilateral facet dislocation Wedge compression fracture Flexion teardrop fracture Clay Shoveler's fracture Odontoid stable or delayed instability stable unstable stable unstable stable unstable Extension Hangman's fracture unstable Compression Jefferson fracture Burst fracture unstable stable
  • 91.
    CT versus Radiography VVaannddeerrmmaarrkk ccllaaiimmeedd:: WWeellll ppoossiittiioonneedd aanndd ooppttiimmaallllyy eexxppoosseedd rraaddiiooggrraapphhss ddiisscclloossee 9955%% ooff cclliinniiccaallllyy ssiiggnniiffiiccaanntt CC--ssppiinnee ffrraaccttuurreess.. HHoowweevveerr –– tthheessee hhiigghh qquuaalliittyy ssttuuddiieess aarree oofftteenn iimmppoossssiibbllee ttoo oobbttaaiinn aanndd pptt’’ss aatt hhiigghheesstt rriisskk aarree mmoosstt lliikkeellyy ttoo hhaavvee tteecchhnniiccaallllyy ccoommpprroommiisseedd iimmaaggiinngg.. 1999966 NNuunneezz eett aall 4400%% ooff FFxx’’ss mmiisssseedd oonn rraadd llaatteerr rreevveeaalleedd oonn CCTT 1//33 hhaadd cclliinniiccaallllyy ssiiggnniiffiiccaanntt oorr uunnssttaabbllee FFxx’’ss
  • 92.
    So, which doyou choose? • Helical CT – Faster? – More Sensitive? – Cost effective/more expensive? • Conventional Rad – Slower? – Less sensitive? – Less expensive?
  • 93.
    Blackmore et al(2001) Risk stratification HHiigghh ((ffrraaccttuurree rriisskk ooff 1111..22%%)) == sseevveerree hheeaadd iinnjjuurryy,, ffooccaall nneeuurroo ddeeffiicciittss,, >>5500 yyrrss ww// hhiigghh-eenneerrggyy mmeecchhaanniissmm ooff iinnjjuurryy.. MMooddeerraattee ((44..22%%))== >>5500 yyrrss ww// aa mmooddeerraattee-eenneerrggyy mmeecchhaanniissmm oorr <<5500 ww//hhiigghh eenneerrggyy.. LLooww ((22..11%%))== <<5500 ww// mmooddeerraattee eenneerrggyy mmeecchhaanniissmm ooff iinnjjuurryy..
  • 94.
    Blackmore et al’srecommendation CT should be considered aass TTHHEE PPRRIIMMAARRYY cceerrvviiccaall ssppiinnee ssccrreeeenniinngg mmooddaalliittyy iinn sseelleecctteedd vviiccttiimmss ooff mmaajjoorr ttrraauummaa wwhhoo aarree eexxaammiinneedd iinn hhiigghh-vvoolluummee uurrbbaann EEDD’’ss..
  • 95.
  • 96.
    CLICK HERE TOADD TEXT
  • 97.
    CLICK HERE TOADD TEXT
  • 99.
    CLICK HERE TOADD TEXT • Unilateral Facet Dislocation Hyperflexion + rotation Superior facet slides over inferior facet and becomes locked Anterior subluxation of superior vertebral body –25% AP diameter Stable injury 30% with associated neurologic deficit MRI: disk extrusion leading to cord compression
  • 100.
  • 103.
    Bilateral Facet Dislocation Extreme hyperflexion Anterior dislocation of articular masses (disruption of posterior ligament complex,PLL,disk and ALL). Complete dislocation: dislocated vertebra anteriorly displaced ½ of AP diameter of vertebral body Unstable ( high incidence of cord damage)
  • 104.
  • 108.
  • 111.
    Flexion Tear Drop Flexion+compression (MVA) Teardrop fragment comes from the anteroinferior aspect of the vertebral body Larger posterior part displaced backward into the spinal canal Facets joints and interspinous distances usually widened, disk space may be narrowed 70% of patients with neurologic injuries Unstable fracture (complete disruption of ligaments and anterior cord syndrome
  • 112.
  • 113.
    Hangman’s fracture Mostcommon cervical spine fracture Usually hyperextension Unstable, however seldom associated with cord injury (AP diameter of spinal canal greatest at C1/C2 level and # pedicles allow decompression) Hangman’s + uni/bilateral facet dislocation: high rate of neurologic complications
  • 114.
  • 116.
    CLICK HERE TOADD TEXT
  • 117.
    Hyperextension injury Wideningof disk space anteriorly and narrowing posteriorly “open book” Central cord injury= disproportionated weakness in arms and normal strength in the legs Injuries can be devastating, however are uncommon hemorrhagic
  • 118.
  • 120.
    CLICK HERE TOADD TEXT
  • 121.
    Extension Teardrop Fracture ALL pulls bony fragment away from inferior aspect of the vertebra because sudden extension Fragment is true avulsion x fragment from flexion teardrop (compression) Lower cervical spine Central cord syndrome (buckling of ligamenta flava into spinal canal) Stable in flexion; highly unstable in extension
  • 122.
  • 124.
    Jefferson Fracture Burstfracture of ring of C1 Axial loading in the occiput No associated neuro deficts ( C1 ring is wide!) > 2mm dislocation of lateral masses of C1 or odontoid view is diagnostic, 1-2 mm is equivocal ( rotation of head?) Predental space > 3 mm: disruption of transverse ligament 1/3 associated with C2 fracture
  • 125.
    Thoracic Spine Injuries Rigid Spinal canal narrower than cervical or lumbar spine Large spinal cord diameter relative to canal diameter increases the risk of cord injury Injury, usually significant (complete), less common than in other regions Association between fractures of the thoracic spine and severe pulmonary injuries, mediastinal hemorrhage
  • 127.
    CLICK HERE TOADD TEXT Compression fracture Injury to anterior column due to anterior or lateral flexion Middle and posterior columns remain intact X-ray - decreased height anterior vertebral body, post body height normal Amount of anterior compression usually less than 40% of post body height Clinically - stable, cord injury rare
  • 128.
    CLICK HERE TOADD TEXT • Unstable if: – vertebral height > 50% – Angulation more than 20 degrees – Multiple adjacent Loss of compression fractures
  • 129.
    Burst • Disruptionof the middle column • Mechanism- axial loading • Varying degrees of retropulsion into the neural canal • X-ray- spreading of post elements • If post elements involved- 50% have neuro injury • Neurologic injury more common in: – Loss of vertebral ht > 50% – Angulation > 20 deg – Canal compromise more than 40%
  • 130.
    Lumbar Spine Injury • Lower lumbar spine is the most mobile • Isolated fractures of the lower lumbar spine rarely result in complete neurologic injuries • Injuries: complete cauda equina lesion or isolated nerve root injuries
  • 131.
    Spinal cord injury(SCI) Spinal cord injury There are two types of injury to the spinal cord: • Non-hemorrhagic with only high signal on MR due to edema. • Hemorrhagic with areas of low signal intensity within the area of edema.
  • 132.
    • There isa strong correlation between the length of the spinal cord edema and the clinical outcome. • The most important factor however is whether there is hemorrhage, since hemorrhagic spinal cord injury has an extremely poor outcome.
  • 133.
    Midsagittal (a) T1-weightedand (b) T2-weighted MR images obtained in 45- year-old man with acute traumatic C5 through C6 mild SCI after a fall show the distances of the spinal canal and spinal cord at the injury site (Di and di, respectively), one segment below the injury site (Db and db, respectively), and one segment above the injury site (Da and da, respectively) used to (a) estimate the MCC and (b) measure spinal canal compression. ©2007 by Radiological Society of North America
  • 134.

Editor's Notes

  • #25 Figure 1. Patient 2. A, Transverse GRE (fast imaging with steady-state precession, 500/18, 15° flip angle, 78 Hz per pixel, two signals acquired, 4-mm-thick sections) and, B, SW (three-dimensional fast low-angle shot, 57/40, 20° flip angle, 78 Hz per pixel, 32 partitions, one signal acquired, 2-mm-thick sections reconstructed over 4 mm) MR images obtained in an 11-year-old boy who was injured in a motor vehicle accident. Small hemorrhagic shearing injuries (arrows in B), such as those commonly seen in the subcortical junction of gray and white matter, were often seen only on the SW MR images.
  • #26 Figure 2. Patient 4. A, C, Transverse GRE MR images (fast imaging with steady-state precession, 500/18, 15° flip angle, 78 Hz per pixel, two signals acquired, 4-mm-thick sections) obtained at two different levels of the corpus callosum in a 14-year-old girl who was injured in a motor vehicle accident. B, D, Corresponding transverse SW MR images (three-dimensional fast low-angle shot, 57/40, 20° flip angle, 78 Hz per pixel, 32 partitions, one signal acquired, 2-mm-thick sections reconstructed over 4 mm) obtained in the same girl show hemorrhagic shearing lesions with variable sizes and shapes in the corpus callosum. The smallest lesions (small arrow in B and D) are seen only on the SW MR images. The larger lesions (large arrow) are more visible on the SW MR images owing to greater hypointensity and are only slightly larger on these images than on the GRE MR images.
  • #27 Figure 3. Patient 2. A, Transverse GRE (fast imaging with steady-state precession, 500/18, 15° flip angle, 78 Hz per pixel, two signals acquired, 4-mm-thick sections) and, B, transverse SW (three-dimensional fast low-angle shot, 57/40, 20° flip angle, 78 Hz per pixel, 32 partitions, one signal acquired, 2-mm-thick sections reconstructed over 4 mm) MR images obtained in an 11-year-old boy who was injured in a motor vehicle accident. Brain stem lesions (small arrow) often were either poorly visualized or invisible on the GRE images compared with their appearance on the SW MR images. The mild increase in blooming artifact (large arrow) on the SW MR images also accentuates the magnetic susceptibility effects from the bones of the skull base.