MSCT
AN INTRODUCTION TO A NOVEL TECHNIQUE
Dr. Hazem Abu Zeid Yousef
Lecturer of Radiodiagnosis
Faculty of Medicine
Assiut University
INTRODUCTION
The introduction of spiral CT in the early 1990s
resulted in fundamental and far-reaching
improvement of CT imaging.
For the first time volume data could be acquired
without mis-registration of anatomical details,
which initiated the development of 3D image
processing techniques such as multi-planar
reformations (MPRs), maximum intensity
projections (MIPs), surface-shaded displays
(SSDs) or volume renderings.
As an important application CT angiography
(CTA) has been established in clinical
practice. As a consequence of increasing
clinical demands, single-slice spiral CT with
1-s gantry rotation time soon encountered its
limitations.
Larger volume coverage and improved transverse
resolution can be achieved by simultaneous
acquisition of more than one slice and by a shorter
gantry rotation time. The first step towards multi-slice
acquisition was a two-slice CT scanner introduced
in 1993 (Elscint Twin). In 1998 all major CT
manufacturers introduced multi-slice CT systems
which brought about considerable improvements of
scan speed, transverse resolution and utilization of the
tube output.
SOME CLINICAL
APPLICATIONS OF MDCT
MDCT ANGIOGRAPHY
CEREBRAL ANGIOGRAPHY
THORACIC AORTA
ABDOMINAL AORTA
LOWER LIMB
ARTERIOGRAPHY
PULMONARY ARTERIES
COMPERHENSIVE MSCT OF
THE ABDOMEN
TRIPHASIC LIVER STUDY
HEPATOBILIARY SYSTEM
MDCT UROGRAPHY
NORMAL ANATOMY
NORMAL ANATOMY
FRONTAL (ANTERIOR) VIEW OF VR IMAGES
MIP IMAGE (POSTERIOR VIEW) VR DOUBLE DENSITY IMAGE
(POSTERIOR VIEW)
NORMAL VARIANTS AND
CONGENITAL ANOMALIES
NORMAL PAPILLARY BLUSH
PROMINENT RENAL PAPILLA
COMPOUND CALYX
PTOTIC KIDNEY
ECTOPIC KIDNEY
VR IMAGE MIP IMAGE
HORSESHOE KIDNEY
DOUPLEX LEFT COLLECTING SYSTEM WITH
ECTOPIC UPPER MOIETY URETER
UROLITHIASIS
CASE (1)
NON ENHANCED CT SHOWING
BILATERAL RENAL PELVIS
CALCULI WITH MARKED
PYELITIS.
ENHANCED CT SHOWING
GOOD ENHANCEMENT.
MIP; THE STONES ARE WELL-SEEN WITHIN THE
OPACIFIED RENAL PELVIS.
CASE (2)
THICK SLAP MIP
BILATERAL RENAL
AND UB STONES
CORONAL IMAGES
SHOWING MARKED
PYELITIS OF THE
LEFT KIDNEY
MIP; THE STONES ARE WELL-SEEN WITHIN THE
OPACIFIED RENAL PELVIS. MULTIPLE UB STONES.
CASE (3)
ACUTELY OBSTRUCTED
LEFT KIDNEY WITH
PERINEPHRIC COLLECTION
(FORNICEAL RUPTURE).
CURVED REFORMATS
SHOWING 3 LOWER
URETERIC STONES.
CASE (4)
CURVED REFORMAT
LOWER URETERIC STONE
CAUSING MILD HYDRONEPHROSIS
DOUBLE DENSITY VR IMAGE
THE STONE IS DEMONSTRATED
AGAINST THE UNDERLYINGBONE
CASE (5)
BILHARZIAL CALCIFICATION OF THE LEFT LOWER
URETER WITH LOWER URETERIC STONE.
CASE (6)
CASE (7)
CASE (8)
RENAL INFECTIONS
CASE (1)
MULTIFOCAL NEPHRONIA
CASE (2)
OBSTRUCTED INFECTED KIDNEY
ENLARGED LEFT KIDNEY WITH MARKED STRANDING OF THE
PERINEPHRIC FAT AND OBSTRUCTING PELVIC CALCULUS
DOUBLE DENSITY VR IMAGE SHOWING
THE OBSTRUCTING CALCULUS
RENAL SOLs
CASE (1)
NON ENHANCED CT ENHANCED CT
DELAYED FILLING OF
CALYCEAL DIVERTICULUM
CASE (2)
SIMPLE (BOSNIAK TYPE I) RENAL CYST
CASE (3)
MULTILOCULAR PARAPELVIC CYST WITH
STRETCHING OF THE MAJOR CALYCES
CASE (4)
BOSNIOAK TYPE II CYST WITH THIN CALCIFIED
RIM AND INTRACYSTIC SEPTUM
(THANKS FOR THE SUBMILLEMETRIC SLICE THICKNESS)
CASE (5)
INITIALLY HYPERDENSE SIMPLE CYST (BOSNIAK TYPE II)
CASE (6)
BOSNIAK TYPE III CYST
THICK ENHANCING INCOMPLETE
SEPTUM AND IRREGULAR OUTLINES
CASE (7)
BOSNIAK TYPE IV CYST
THICK ENHANCING MURAL NODULE
CASE (8)
SOLID PARAPELVIC MASS
CLEARLY DEMONSTRATED
IN CORONAL IMAGES
CASE (9)
MALIGNANT LOWER POLAR LEFT RENAL MASS WITH
ENHANCING MALIGNANT THROMBUS WITHIN THE IVC
AND SECONDARY VARICOSITIES OF THE LEFT TESTICULAR VEIN.
CASE (10)
MALIGNAT SUPRARENAL MASS
WITH LIVER METASTASES
DISPLACED LEFT KIDNEY WITH
DOUPLEX RIGHT COLLECTING SYSTEM
CASE (10)
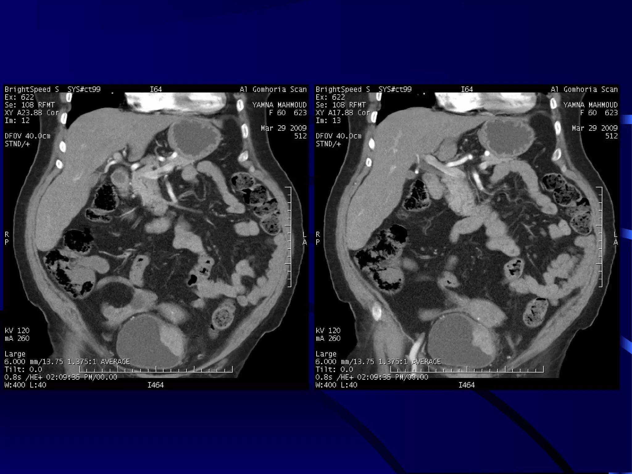
URETERS
AS A RULE;
MALIGNANT URETERIC NEOPLASMS CHARACTERISTICALLY
CAUSE DILATATION OF THE URETER BOTH PROXIMAL AND
DISTAL TO THE LESION.
CASE (1)
CASE (2)
CASE (3)
CASE (6)
FIBROVASCULAR POLYP OF THE URETER
URINARY BLADDER
CASE (1)
CASE (2)
EXTRAVESICAL PARARECTAL MASS
CASE (3)
RENAL ARTERY ASSESSMENT
SOME SPECIAL TECHNIQUES
CONTRAST ENEMA
MDCT FISTULOGRAPHY
ASSESSMENT OF
POLYTRAUMA
FRACTURE MANDIBLE
FRACTURE CX SPINE
FRACTURE L.S.S.
FRACTURE PELVIS
THANK YOUTHANK YOU

MDCT AN INTRODUCTION TO CLINICAL APPLICATIONS