Presented By Dr Vrishit Sarasawat
II yr Resident
Guided By Prof Dr Dharmraj Meena
Deptt of Radiodiagnosis
 Also called as silent epidemics.
 Missile and non missile
 Non missile (CHI) much more common cause
 TBI- MCC ? RTA- Ground level falls.
 Acceleration-deceleration injuries in MV
accidents
 Classification of head trauma-
 Primary injuries- occur at the time of initial
trauma
 secondary injuries- occur later
 Skull Radiography-skull radiography obtained
solely for the purpose of identifying the
presence of a skull fracture. skull x-rays cannot
depict the far more important presence of
extraaxial hemorrhages and parenchymal
injuries.
 NECT- Both standard and multidetector row
CT (MDCT) are used in the initial imaging of
patients with traumatic head injury.
 scans (4 or 5 mm thick)
 from just below the foramen magnum through
the vertex should be performed.
 Two sets of images should be obtained,
 one using brain and one with bone
reconstruction algorithms.
 Subdural window-150-200 HU
 MDCT- coronal and sagittal images r
reconstructed using the axial source data
 Head trauma patients with acute intracranial
lesions on CT have a higher risk for cervical
spine fractures compared with patients with a
CT-negative head injury.
 Patients with moderate to severe head injury
as determined by the GCS have concomitant
spine injury, MDCT of the cervical spine is
often obtained together with brain imaging.
 Within 24-36 hours following the initial
traumatic event, repeat CT should be obtained
if there is sudden unexplained clinical
deterioration, regardless of initial imaging
findings.
 Craniocervical CTA-
1. Penetrating neck injury
2. # foramen transversorium or facet subluxation
3. Skull base # traversing the carotid canal or
dural sinus.
 MR- though more sensitive in cSDH, DAI,
contusions, NECT is still the IOC in head trauma.
Exception- suspected child abuse
 When and Who to image-
As soon as possible after trauma
Deterioration of condn of pt after initial CT
pt with GCS score less than /= 12
 The real debate is about how best to manage
patients with GCS scores of 13- 15
 Appropriatness criteria- 3 criteria
1. ACR criteria- Emergent NECT in mild/minor CHI with the
presence of a focal neurologic deficit and/or other risk
factors is deemed "very appropriate," as is imaging all
traumatized children under 2 years of age.
2. NOC- CT indicated if GCS = 15 plus any of the following
Headache
Vomiting
Patient > 60 years old
Intoxication (drugs, alcohol)
Short-term memory deficits (anterograde amnesia)
Visible trauma above clavicles
Seizure
3. CHCR - 13-15 and witnessed LOC, amnesia, or
confusion.
BUT , still
 Recent studies have shown that compliance with
established imaging guidelines such as the CHCR
is poor, particularly in busy EDs that handle large
trauma volumes. Despite efforts to educate urgent
care physicians about limiting patient exposure to
ionizing radiation and using clinically based risk
stratification, NECT remain one of the most
frequently overutilized imaging studies.
 Four components
1. Scout Image-
Look for cervical spine abnormalities such as fractures
or dislocations, jaw and/or facial trauma, and the
presence of foreign objects.
2. Brain window-
outside- in
a) look for scalp swelling, examine the periorbital soft
tissue
b) look for extraaxial blood-The most common
extraaxial
hemorrhage is traumatic subarachnoid hemorrhage
(tSAH), followed by sub- and epidural hematomas.
tSAH usually found in the sulci adjacent to cortical
contusions, along the sylvian fissures, and around
the anteroinferior frontal and temporal lobes.
Subtle tSAH – interpeduncular citern.
Any hypodensity within an extraaxial collection
should raise suspicion of rapid hemorrhage with
accumulation of unclotted blood or (especially in
alcoholics or older patients) an underlying
coagulopathy. This is an urgent finding that
mandates immediate notification of the
responsible clinician.
c) look for intracranial air- indicates the presence of
a fracture that traverses either the paranasal
sinuses or mastoid.
d) Carefully examine the cortex, especially the
"high-yield" areas for cortical contusions
(anteroinferior frontal and temporal lobes). Look
for coupe- countre-coupe injuries.
e) subcortical white and deep gray matter-
Petechial hemorrhages often accompany axonal
injury. If you see subcortical hemorrhages on the
initial NECT scan, this is merely the "tip of the
iceberg." There is usually a lot more damage than
what is apparent on the first scan. A general rule: the
deeper the lesion, the more severe the injury.
f) Finally, look inside the ventricles for blood-
CSF levels and hemorrhage due to choroid
plexus shearing injury.
3 Subdural window(150-200HU; ww= 50 )–
used to identify subtle SDH, which can be
overlooked on narrow window width (75-
100HU), can easily be seen on wider ww .
4) Bone CT- Look for
a) basisphenoid fractures with involvement of the
carotid canal,
b) temporal bone fractures (with or without
ossicular dislocation)
c) mandibular dislocation ("empty" condylar fossa)
d) calvarial fractures.
***if a non displaced linear fracture has not crossed
any vascular structure, has No importance at all.
***Fracture v/s Suture line- it is virtually
unheard of for a calvarial fracture to occur in
the absence of overlying soft tissue injury. If
there is no scalp "bump," it is unlikely that the
lucency represents a nondisplaced linear
fracture.
***low density : fat v/s air – Fat fades away in
bone CT, air remains hypodense.
5) CTA is indicated if :-
(1) basilar skull fractures cross the carotid canal
or a dural venous ;
(2) if a cervical spine fracture-dislocation is
present, especially if the transverse foramina are involved;
(3) if the patient has stroke-like symptoms or unexplained
clinical deterioration.
Both the cervical and intracranial vasculature should be
visualized.
 Traumatic dissection, vessel lacerations, intimal flaps,
pseudoaneurysms, carotidcavernous fistulas, and dural
sinus occlusions can generally be identified on CTA.
 Scalp injury –
1) laceration-Focal discontinuity, soft tissue
swelling, and subcutaneous air are commonly
identified in scalp laceration. Wood fragments
are often hypodense, whereas leaded glass,
gravel, and metallic shards are variably
hyperdense.
2) Hematoma- cephalohematoma and subgaleal
hematoma. The latter is more severe n can
cause hypovolemia and hypotension.
3) Facial injury markers – F-LIPS-N , Lip
laceration, Intraoral laceration, Periorbital
contusion,Subconjunctival hemorrhage and
Nasal laceration. If any of above lesion is seen
on physical examination, facial fracture should
be suspected and facial CT should be done in
addition to standard head CT
4) Skull Fractures- “Bump” or hematoma is
almost always associated. Skull fractures can be
simple or comminuted, closed or open. Several
other types of acute skull fractures r as follows-
a) Linear skull fracture- that typically involves
both outer n inner table of skull. Linear skull
fractures that extend into and widen a suture
become diastatic fractures. Patients with an
isolated linear nondisplaced skull fracture
(NDSF), no intracranial hemorrhage or
pneumocephalus, normal neurologic
examination, and absence of other injuries are
at very low risk for delayed hemorrhage or
other lifethreatening complication.
Hospitalization is not necessary for many
children with NDSFs.
b) Depressed Skull Fractures- Depressed skull
fractures typically tear the underlying dura and
arachnoid and are associated with cortical
contusions and potential leakage of CSF into
the subdural space. Fractures extending to a
dural sinus or the jugular bulb are associated
with venous sinus thrombosis in 40% of cases.
c) Elevated Skull Fractures- uncommon, often
combined with depressed fracture. Knife
penetration.
d) Diastatic Skull Fractures-fracture that widens
("diastases“ or "splits open") a suture or
synchondrosis. Diastatic skull fractures usually
occur in association with a linear skull fracture
that extends into an adjacent
suture.Sphenooccipital synchondrosis is most
common as , this suture doesn’t ossify till mid
teen.
Axial bone CT in a
patient who was hit in the
head with a falling ladder
shows an extensively
comminuted, depressed skull fracture.
e) “Growing” skull fractures “GSF”- aka post-traumatic
leptomeningeal cyst- mostly found in child less than 3 yrs
with skull fracture.
GSF develops in stages-
stage 1 – fracture of calvaria with laceration of dura +
herniation of brain tissue/arachinoid membranes through
torn dura.
Stage 2- early phase - within 2 months- suture line widens.
Stage 3 – late phase - the bone defect becomes significantly
larger. Brain tissue and CSF extend between the bony edges
of the fracture through torn dura and arachnoid.
Stage III GSFs can cause pronounced skull deformities and
progressive neurologic deficits if left untreated.
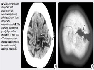
 Stage III GSFs can cause pronounced skull
deformities and progressive neurologic deficits
if left untreated.
 Later-stage GSFs demonstrate a progressively
widening and unhealing fracture. A lucent
skull lesion with rounded, scalloped margins
and beveled edges is typical.
 the middle cranial fossa is most susceptible
because of its thin "squamous“ bones and
multiple foramina and fissures.
 In some cases, MR may be indicated for early
detection of potentially treatable complications.
 A young child with neurologic deficits or
seizures
 a fracture larger than 4 millimeters,
 soft tissue mass extending through the fracture
into the subgaleal space is at risk for
developing a GSF.
* MR can demonstrate the dural tear and
differentiate herniated brain from contused,
edematous scalp.
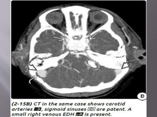
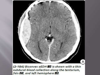
1) Epidural hematoma- two types : arterial EDH and
venous EDH. EDH r uncommon but r potentially
lethal. 90% EDH r arterial , 10% r venous. Venous
EDH r sec. to a fracture that crosses dural venous
sinus (transverse/sig , SSS)
a) Arterial EDH – d/t direct trauma to skull that
lacerates an adjacent artery(mc’ly-mma)
mostly unilateral and supratentorial. Squamous
portion of temporal bone is the most common site.
Biconvex in shape, doesnt crosses suture line, but
if fracture crosses suture line……
- Lucid interval
- headache nausea vomiting, intracranial mass
effects, like unequal pupils, limb weakness, 7
nerve involmnt/ etc
 Imaging- Look for other comorbid lesions such
as "contre-coup" injuries, tSAH, and secondary
brain herniations, all of which are common
findings in patients with EDHs.
 CT - classic (arterial) EDHs is a hyperdense (60-
90 HU) biconvex extraaxial collection (2-18).
Presence of a hypodense component ("swirl"
sign) is seen in about one-third of cases and
indicates active, rapid bleeding with
unretracted clot.
“Buckling" the gray-white matter interface
inward.
Air in an EDH occurs in approximately 20% of
cases and is usually associated with a sinus or
mastoid fracture.
 Imaging findings associated with adverse clinical
outcome are thickness > 1.5 cm, volume > 30 mL,
pterional (lateral aspect of the middle cranial fossa)
location, midline shift > 5 mm, and presence of a
"swirl sign" within the hematoma on imaging.
 Angiography - may show a lacerated middle
meningeal artery with "tram-track" fistulization of
contrast from the middle meningeal artery into the
paired middle meningeal veins. Mass effect with
displaced cortical arteries and veins is seen
b) Venous EDH- smaller, low pressure, develop
slowly
Most venous EDHs are caused by a skull fracture
that crosses a dural venous sinus and therefore
occur in the posterior fossa near the skull base
(transverse/sigmoid sinus) or the vertex of the
brain (superior sagittal sinus).
In contrast to their arterial counterparts, venous
EDHs can "straddle“ intracranial compartments,
crossing both sutures and lines of dural attachment
and compressing or occluding the adjacent venous
sinuses.
 Several anatomic subtypes of venous EDHs, each
with different treatment implications and
prognosis, are recognized:-
Vertex EDH- Rare , caused by fractures involving
suture and crossing the SSS.
 Anterior Temporal EDH – occur in anterior tip of
middle cranial fossa. Caused by skull base #
involving the greater wing of spenoid or a tripod
fracture(zygomatico-maxillary complex),
disrupting spheno-parietal sinus. Anterior
temporal EDHs remain stable in size and do not
require surgical evacuation
Clival EDH- develops d/t hyperflexion or
hyperextension injury to the neck and are possibly
caused by stripping of the tectorial membrane from
attachments to the clivus. Less commonly with skull
base #.
Mostly occurs in children and often presents with
multiple cranial neuropathies. 6Th nerve is most
commonly involved.
Typically limited in size by tight junction of dura to
basisphenoid and tentotrium.
Tx – pt with clival EDH with minor cranal nerve invol
need Cervical collar.
CT- hyperdense collection betweenclivus and tentorial
membrane, anterior to medulla.
To be continued…..

Head trauma

  • 1.
    Presented By DrVrishit Sarasawat II yr Resident Guided By Prof Dr Dharmraj Meena Deptt of Radiodiagnosis
  • 2.
     Also calledas silent epidemics.  Missile and non missile  Non missile (CHI) much more common cause  TBI- MCC ? RTA- Ground level falls.  Acceleration-deceleration injuries in MV accidents
  • 3.
     Classification ofhead trauma-  Primary injuries- occur at the time of initial trauma  secondary injuries- occur later
  • 5.
     Skull Radiography-skullradiography obtained solely for the purpose of identifying the presence of a skull fracture. skull x-rays cannot depict the far more important presence of extraaxial hemorrhages and parenchymal injuries.
  • 6.
     NECT- Bothstandard and multidetector row CT (MDCT) are used in the initial imaging of patients with traumatic head injury.  scans (4 or 5 mm thick)  from just below the foramen magnum through the vertex should be performed.  Two sets of images should be obtained,  one using brain and one with bone reconstruction algorithms.
  • 7.
     Subdural window-150-200HU  MDCT- coronal and sagittal images r reconstructed using the axial source data  Head trauma patients with acute intracranial lesions on CT have a higher risk for cervical spine fractures compared with patients with a CT-negative head injury.  Patients with moderate to severe head injury as determined by the GCS have concomitant spine injury, MDCT of the cervical spine is often obtained together with brain imaging.
  • 10.
     Within 24-36hours following the initial traumatic event, repeat CT should be obtained if there is sudden unexplained clinical deterioration, regardless of initial imaging findings.  Craniocervical CTA- 1. Penetrating neck injury 2. # foramen transversorium or facet subluxation 3. Skull base # traversing the carotid canal or dural sinus.
  • 11.
     MR- thoughmore sensitive in cSDH, DAI, contusions, NECT is still the IOC in head trauma. Exception- suspected child abuse  When and Who to image- As soon as possible after trauma Deterioration of condn of pt after initial CT pt with GCS score less than /= 12  The real debate is about how best to manage patients with GCS scores of 13- 15
  • 12.
     Appropriatness criteria-3 criteria 1. ACR criteria- Emergent NECT in mild/minor CHI with the presence of a focal neurologic deficit and/or other risk factors is deemed "very appropriate," as is imaging all traumatized children under 2 years of age. 2. NOC- CT indicated if GCS = 15 plus any of the following Headache Vomiting Patient > 60 years old Intoxication (drugs, alcohol) Short-term memory deficits (anterograde amnesia) Visible trauma above clavicles Seizure
  • 13.
    3. CHCR -13-15 and witnessed LOC, amnesia, or confusion. BUT , still  Recent studies have shown that compliance with established imaging guidelines such as the CHCR is poor, particularly in busy EDs that handle large trauma volumes. Despite efforts to educate urgent care physicians about limiting patient exposure to ionizing radiation and using clinically based risk stratification, NECT remain one of the most frequently overutilized imaging studies.
  • 14.
     Four components 1.Scout Image- Look for cervical spine abnormalities such as fractures or dislocations, jaw and/or facial trauma, and the presence of foreign objects. 2. Brain window- outside- in a) look for scalp swelling, examine the periorbital soft tissue b) look for extraaxial blood-The most common extraaxial hemorrhage is traumatic subarachnoid hemorrhage (tSAH), followed by sub- and epidural hematomas.
  • 17.
    tSAH usually foundin the sulci adjacent to cortical contusions, along the sylvian fissures, and around the anteroinferior frontal and temporal lobes. Subtle tSAH – interpeduncular citern. Any hypodensity within an extraaxial collection should raise suspicion of rapid hemorrhage with accumulation of unclotted blood or (especially in alcoholics or older patients) an underlying coagulopathy. This is an urgent finding that mandates immediate notification of the responsible clinician. c) look for intracranial air- indicates the presence of a fracture that traverses either the paranasal sinuses or mastoid.
  • 18.
    d) Carefully examinethe cortex, especially the "high-yield" areas for cortical contusions (anteroinferior frontal and temporal lobes). Look for coupe- countre-coupe injuries. e) subcortical white and deep gray matter- Petechial hemorrhages often accompany axonal injury. If you see subcortical hemorrhages on the initial NECT scan, this is merely the "tip of the iceberg." There is usually a lot more damage than what is apparent on the first scan. A general rule: the deeper the lesion, the more severe the injury.
  • 19.
    f) Finally, lookinside the ventricles for blood- CSF levels and hemorrhage due to choroid plexus shearing injury. 3 Subdural window(150-200HU; ww= 50 )– used to identify subtle SDH, which can be overlooked on narrow window width (75- 100HU), can easily be seen on wider ww .
  • 21.
    4) Bone CT-Look for a) basisphenoid fractures with involvement of the carotid canal, b) temporal bone fractures (with or without ossicular dislocation) c) mandibular dislocation ("empty" condylar fossa) d) calvarial fractures. ***if a non displaced linear fracture has not crossed any vascular structure, has No importance at all.
  • 22.
    ***Fracture v/s Sutureline- it is virtually unheard of for a calvarial fracture to occur in the absence of overlying soft tissue injury. If there is no scalp "bump," it is unlikely that the lucency represents a nondisplaced linear fracture. ***low density : fat v/s air – Fat fades away in bone CT, air remains hypodense.
  • 25.
    5) CTA isindicated if :- (1) basilar skull fractures cross the carotid canal or a dural venous ; (2) if a cervical spine fracture-dislocation is present, especially if the transverse foramina are involved; (3) if the patient has stroke-like symptoms or unexplained clinical deterioration. Both the cervical and intracranial vasculature should be visualized.  Traumatic dissection, vessel lacerations, intimal flaps, pseudoaneurysms, carotidcavernous fistulas, and dural sinus occlusions can generally be identified on CTA.
  • 28.
     Scalp injury– 1) laceration-Focal discontinuity, soft tissue swelling, and subcutaneous air are commonly identified in scalp laceration. Wood fragments are often hypodense, whereas leaded glass, gravel, and metallic shards are variably hyperdense. 2) Hematoma- cephalohematoma and subgaleal hematoma. The latter is more severe n can cause hypovolemia and hypotension.
  • 33.
    3) Facial injurymarkers – F-LIPS-N , Lip laceration, Intraoral laceration, Periorbital contusion,Subconjunctival hemorrhage and Nasal laceration. If any of above lesion is seen on physical examination, facial fracture should be suspected and facial CT should be done in addition to standard head CT 4) Skull Fractures- “Bump” or hematoma is almost always associated. Skull fractures can be simple or comminuted, closed or open. Several other types of acute skull fractures r as follows-
  • 34.
    a) Linear skullfracture- that typically involves both outer n inner table of skull. Linear skull fractures that extend into and widen a suture become diastatic fractures. Patients with an isolated linear nondisplaced skull fracture (NDSF), no intracranial hemorrhage or pneumocephalus, normal neurologic examination, and absence of other injuries are at very low risk for delayed hemorrhage or other lifethreatening complication. Hospitalization is not necessary for many children with NDSFs.
  • 35.
    b) Depressed SkullFractures- Depressed skull fractures typically tear the underlying dura and arachnoid and are associated with cortical contusions and potential leakage of CSF into the subdural space. Fractures extending to a dural sinus or the jugular bulb are associated with venous sinus thrombosis in 40% of cases. c) Elevated Skull Fractures- uncommon, often combined with depressed fracture. Knife penetration.
  • 36.
    d) Diastatic SkullFractures-fracture that widens ("diastases“ or "splits open") a suture or synchondrosis. Diastatic skull fractures usually occur in association with a linear skull fracture that extends into an adjacent suture.Sphenooccipital synchondrosis is most common as , this suture doesn’t ossify till mid teen.
  • 37.
    Axial bone CTin a patient who was hit in the head with a falling ladder shows an extensively comminuted, depressed skull fracture.
  • 43.
    e) “Growing” skullfractures “GSF”- aka post-traumatic leptomeningeal cyst- mostly found in child less than 3 yrs with skull fracture. GSF develops in stages- stage 1 – fracture of calvaria with laceration of dura + herniation of brain tissue/arachinoid membranes through torn dura. Stage 2- early phase - within 2 months- suture line widens. Stage 3 – late phase - the bone defect becomes significantly larger. Brain tissue and CSF extend between the bony edges of the fracture through torn dura and arachnoid. Stage III GSFs can cause pronounced skull deformities and progressive neurologic deficits if left untreated.
  • 44.
     Stage IIIGSFs can cause pronounced skull deformities and progressive neurologic deficits if left untreated.  Later-stage GSFs demonstrate a progressively widening and unhealing fracture. A lucent skull lesion with rounded, scalloped margins and beveled edges is typical.  the middle cranial fossa is most susceptible because of its thin "squamous“ bones and multiple foramina and fissures.
  • 45.
     In somecases, MR may be indicated for early detection of potentially treatable complications.  A young child with neurologic deficits or seizures  a fracture larger than 4 millimeters,  soft tissue mass extending through the fracture into the subgaleal space is at risk for developing a GSF. * MR can demonstrate the dural tear and differentiate herniated brain from contused, edematous scalp.
  • 48.
    1) Epidural hematoma-two types : arterial EDH and venous EDH. EDH r uncommon but r potentially lethal. 90% EDH r arterial , 10% r venous. Venous EDH r sec. to a fracture that crosses dural venous sinus (transverse/sig , SSS) a) Arterial EDH – d/t direct trauma to skull that lacerates an adjacent artery(mc’ly-mma) mostly unilateral and supratentorial. Squamous portion of temporal bone is the most common site. Biconvex in shape, doesnt crosses suture line, but if fracture crosses suture line……
  • 49.
    - Lucid interval -headache nausea vomiting, intracranial mass effects, like unequal pupils, limb weakness, 7 nerve involmnt/ etc  Imaging- Look for other comorbid lesions such as "contre-coup" injuries, tSAH, and secondary brain herniations, all of which are common findings in patients with EDHs.
  • 50.
     CT -classic (arterial) EDHs is a hyperdense (60- 90 HU) biconvex extraaxial collection (2-18). Presence of a hypodense component ("swirl" sign) is seen in about one-third of cases and indicates active, rapid bleeding with unretracted clot. “Buckling" the gray-white matter interface inward. Air in an EDH occurs in approximately 20% of cases and is usually associated with a sinus or mastoid fracture.
  • 51.
     Imaging findingsassociated with adverse clinical outcome are thickness > 1.5 cm, volume > 30 mL, pterional (lateral aspect of the middle cranial fossa) location, midline shift > 5 mm, and presence of a "swirl sign" within the hematoma on imaging.  Angiography - may show a lacerated middle meningeal artery with "tram-track" fistulization of contrast from the middle meningeal artery into the paired middle meningeal veins. Mass effect with displaced cortical arteries and veins is seen
  • 58.
    b) Venous EDH-smaller, low pressure, develop slowly Most venous EDHs are caused by a skull fracture that crosses a dural venous sinus and therefore occur in the posterior fossa near the skull base (transverse/sigmoid sinus) or the vertex of the brain (superior sagittal sinus). In contrast to their arterial counterparts, venous EDHs can "straddle“ intracranial compartments, crossing both sutures and lines of dural attachment and compressing or occluding the adjacent venous sinuses.
  • 61.
     Several anatomicsubtypes of venous EDHs, each with different treatment implications and prognosis, are recognized:- Vertex EDH- Rare , caused by fractures involving suture and crossing the SSS.  Anterior Temporal EDH – occur in anterior tip of middle cranial fossa. Caused by skull base # involving the greater wing of spenoid or a tripod fracture(zygomatico-maxillary complex), disrupting spheno-parietal sinus. Anterior temporal EDHs remain stable in size and do not require surgical evacuation
  • 66.
    Clival EDH- developsd/t hyperflexion or hyperextension injury to the neck and are possibly caused by stripping of the tectorial membrane from attachments to the clivus. Less commonly with skull base #. Mostly occurs in children and often presents with multiple cranial neuropathies. 6Th nerve is most commonly involved. Typically limited in size by tight junction of dura to basisphenoid and tentotrium. Tx – pt with clival EDH with minor cranal nerve invol need Cervical collar. CT- hyperdense collection betweenclivus and tentorial membrane, anterior to medulla.
  • 68.