11 
CChheesstt XX--rraayy 
TThhee AABBCCss 
DDrr.. HHaazzeemm AAbbuu ZZeeiidd YYoouusseeff ((MMDD)) 
JJaannuuaarryy 22000077
2 
KKeeyy ccoonncceeppttss 
TThhee ddeesskk llaammpp eexxppeerriimmeenntt.. 
TThhee bbaassiicc ffiivvee rraaddiiooggrraapphhiicc ddeennssiittiieess:: 
GGaass.. 
FFaatt.. 
FFlluuiidd.. 
BBoonnee.. 
MMeettaall.. 
TThhee ffiillmm qquuaalliittyy....
3
4
5
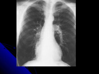
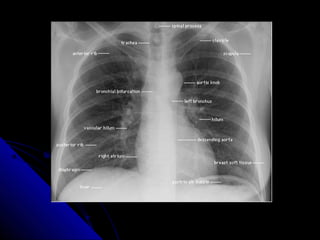
NNoorrmmaall AAnnaattoommyy 
RRiibb((AAnntt/PPoosstt)) 
LLeefftt 22/RRiigghhtt 44 
CCoossttootthhoorraacciicc rraattiioo 
CCeennttrraall ttrraacchheeaa 
HHiillaarr:: LLtt>>RRtt 
LLuunngg ffiieelldd:: CCeennttrraall>> PPeerriipphheerraall/ PPeerriipphheerraall cclleeaarr 
zzoonnee 
PPlleeuurraa:: LLiinneeaarr 
DDiiaapphhrraaggmm:: RRiigghhtt >>lleefftt/ AAnnggllee/GGaassttrriicc ppaatttteerrnn 
SSuubbccuuttaanneeoouuss ttiissssuuee 
6
7
8
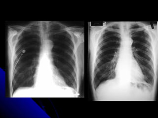
TTeecchhnniiccaall qquuaalliittyy 
9 
OOrriieennttaattiioonn.. 
RRoottaattiioonn.. 
PPeenneettrraattiioonn.. 
DDeeggrreeee ooff iinnssppiirraattiioonn..
DDeeggrreeee ooff iinnssppiirraattiioonn 
TThhee lleevveell ooff iinnssppiirraattiioonn ccaann bbee eessttiimmaatteedd 
bbyy ccoouunnttiinngg rriibbss.. VViissuuaalliizzaattiioonn ooff nniinnee 
ppoosstteerriioorr rriibbss,, oorr sseevveenn aanntteerriioorr rriibbss oonn aann 
uupprriigghhtt PPAA rraaddiiooggrraapphh pprroojjeeccttiinngg aabboovvee 
tthhee ddiiaapphhrraaggmm wwoouulldd iinnddiiccaattee aa 
ssaattiissffaaccttoorryy iinnssppiirraattiioonn.. 
10
IInnssppiirraattiioonn EExxppiirraattiioonn 
11
12 
PPeenneettrraattiioonn 
IInn aann iiddeeaall rraaddiiooggrraapphh tthhee tthhoorraacciicc ssppiinnee 
sshhoouulldd bbee bbaarreellyy ppeerrcceeppttuuaall vviieewwiinngg 
tthhrroouugghh tthhee ccaarrddiiaacc ssiillhhoouueettttee..
13
14 
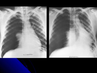
RRoottaattiioonn 
RRoottaattiioonn ooff tthhee rraaddiiooggrraapphh iiss aasssseesssseedd bbyy 
jjuuddggiinngg tthhee ppoossiittiioonn ooff tthhee ccllaavviiccllee hheeaaddss 
aanndd tthhee tthhoorraacciicc ssppiinnoouuss pprroocceessss.. IIddeeaallllyy 
tthhee ccllaavviiccllee hheeaaddss sshhoouulldd bbee eeqquuiiddiissttaanntt 
ffrroomm tthhee ssppiinnoouuss pprroocceessss..
15
16 
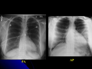
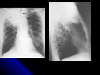
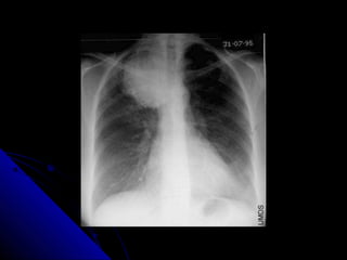
OOrriieennttaattiioonn 
TThhee uussuuaall iinnddiiccaattiioonn ffoorr AAPP iiss aa ppaattiieenntt 
wwhhoo iiss ccoonnffiinneedd ttoo bbeedd.. IIff iinn ddoouubbtt,, llooookk aatt 
tthhee rreellaattiioonnsshhiipp ooff tthhee ssccaappuullaaee ttoo tthhee lluunngg 
mmaarrggiinnss.. AA PPAA vviieeww sshhoowwss tthhee ssccaappuullaaee 
cclleeaarr ooff tthhee lluunnggss wwhhiillsstt iinn AAPP pprroojjeeccttiioonn 
tthheeyy aallmmoosstt aallwwaayyss oovveerrllaapp.. TThhee ccaarrddiiaacc 
sshhaaddooww llooookkss bbiiggggeerr oonn aann AAPP vviieeww..
PA AP 
17
18
BBaassiicc iinntteerrpprreettaattiioonn iiss eeaassyy 
NNaammee aanndd ddaattee.. 
TTeecchhnniiccaall qquuaalliittyy.. 
SSccaann tthhee ffiillmm tthhoorroouugghhllyy ((aavvooiidd SSSSSS)).. 
TTrryy ttoo llooccaalliizzee tthhee aabbnnoorrmmaalliittyy ““sskkiinn ttoo sskkiinn””.. 
DDeessccrriibbee tthhee aabbnnoorrmmaalliittyy ““ttoooo WW//BB//LL//WW””.. 
19
SSccaannnniinngg tthhee ffiillmm 
((11))LLuunngg ffiieellddss:: eeqquuaall ttrraannssrraaddiiaannccyy.. 
((22))LLooookk aatt tthhee hhiillaa:: ppoossiittiioonn,, ddeennssiittyy,, sshhaappee.. 
((33))LLooookk aatt tthhee hheeaarrtt:: sshhaappee,, ssiizzee,, ddeennssiittyy.. 
((44))CChheecckk tthhee mmeeddiiaassttiinnuumm:: cclleeaarr.. 
((55))LLooookk aatt tthhee ddiiaapphhrraaggmm.. 
((66))LLooookk aatt tthhee CCPP aanngglleess.. 
((77))LLooookk aatt tthhee ttrraacchheeaa.. 
((88))LLooookk aatt tthhee bboonneess.. 
((99))LLooookk aatt tthhee ssoofftt ttiissssuueess.. 
20
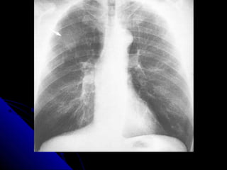
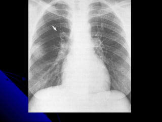
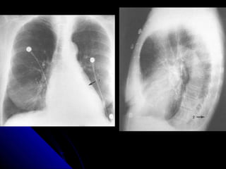
LLooccaalliizziinngg tthhee lleessiioonn 
TThhee ppoossiittiioonn ooff tthhee lleessiioonn ccaann bbee 
ddeessccrriibbeedd iinn tteerrmmss ooff zzoonneess.. 
TThhee ssiillhhoouueettttee ssiiggnn.. 
TThhee llaatteerraall ffiillmm.. 
21
22
23 
TToooo wwhhiittee!!!!!! 
EEffffuussiioonn.. 
CCoonnssoolliiddaattiioonn.. 
CCoollllaappssee.. 
NNoodduullee//mmaassss.. 
LLeefftt vveennttrriiccuullaarr ffaaiilluurree.. 
BBrroonncchhiieeccttaassiiss.. 
FFiibbrroossiiss..
24 
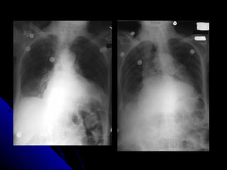
PPlleeuurraall eeffffuussiioonn 
AA pplleeuurraall eeffffuussiioonn iiss ssiimmppllyy aa ccoolllleeccttiioonn ooff fflluuiidd 
bbeettwweeeenn tthhee vviisscceerraall pplleeuurraa aanndd tthhee ppaarriieettaall 
pplleeuurraa.. TThhiiss fflluuiidd ccoolllleeccttiioonn mmaayy bbee sseerroouuss 
((pplleeuurraall eeffffuussiioonn)),, bblloooodd ((hheemmootthhoorraaxx)),, oorr ppuuss 
((eemmppyyeemmaa)).. 
UUpprriigghhtt PPAA ffiillmm:: sshhaappee,, ddiissttrriibbuuttiioonn.. 
LLaatteerraall ffiillmm:: ppoosstteerriioorr CCPP rreecceessss.. 
SSuuppiinnee ffiillmm.. 
LLaatteerraall ddooccuubbiittuuss ffiillmm..
25
26
27
28 
CCoonnssoolliiddaattiioonn 
NNoonnuunniiffoorrmm,, nnoott ddeemmaarrccaatteedd ooppaacciittyy.. 
CCoorrrreellaattee wwiitthh cclliinniiccaall hhiissttoorryy.. 
WWaatteerr ssiinnkkss.. 
AAiirr bbrroonncchhooggrraamm..
29
30 
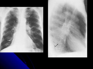
CCoollllaappssee 
CCoommmmoonn ccaauussee ooff wwhhiittee lluunngg.. 
CCoollllaappssee lleeaaddss ttoo lloossss ooff vvoolluummee.. 
TThhee nnoorrmmaall llaannddmmaarrkkss aarree ddiissttoorrtteedd.. 
LLooookk aatt tthhee lluunngg ffiieellddss:: RR>>LL.. 
LLooookk aatt tthhee ddiiaapphhrraaggmm:: RR>>LL.. 
LLooookk ffoorr tthhee oobblliiqquuee ffiissssuurree.. 
TThhee hheeaarrtt aanndd tthhee ttrraacchheeaa.. 
TThhee bboorrddeerrss ooff tthhee hheeaarrtt..
31
32
33
34
35
36 
NNoodduullee//mmaassss 
NNoodduulleess aanndd mmaasssseess iinn tthhee lluunngg aappppeeaarr aass 
rroouunndd wwhhiittee lleessiioonnss.. IIff tthhee lleessiioonn mmeeaassuurreess lleessss 
tthhaann 33 ccmm,, iitt iiss ccaalllleedd aa nnoodduullee.. IIff iitt iiss llaarrggeerr tthhaann 
33 ccmm,, iitt iiss ccaalllleedd aa mmaassss.. 
AA nnoodduullee//mmaassss iiss ccaauusseedd bbyy eeiitthheerr aa mmaalliiggnnaanntt 
((ee..gg.. lluunngg ccaanncceerr,, mmeettaassttaassiiss)) oorr bbeenniiggnn pprroocceessss 
((ee..gg.. hhaammaarrttoommaa,, ggrraannuulloommaa)).. 
PPrriimmaarryy lluunngg ccaanncceerrss tteenndd ttoo hhaavvee iillll--ddeeffiinneedd,, 
ssppiiccuullaatteedd bboorrddeerrss.. MMeettaassttaasseess tteenndd ttoo pprroodduuccee 
mmuullttiippllee ssmmooootthh rroouunndd lluunngg nnoodduulleess,, oofftteenn ooff 
vvaarriiaabbllee ssiizzee.. BBeenniiggnn lleessiioonnss tteenndd ttoo bbee ssmmaallll,, 
wweellll ddeeffiinneedd,, ssmmooootthh,, rroouunndd aanndd mmaayybbee ccaallcciiffiieedd..
37 
CCHHFF 
CCaarrddiioommeeggaallllyy.. 
UUppppeerr lloobbee ddiivveerrssiioonn.. 
KKeerrlleeyy--BBlliinneess.. 
PPlleeuurraall eeffffuussiioonn.. 
BBaattwwiinngg eeddeemmaa..
38
39
40 
BBrroonncchhiieeccttaassiiss 
RRiinngg sshhaaddoowwss,, aanndd hhoonneeyy ccoommbb.. 
TTrraammlliinnee sshhaaddoowwss.. 
TTuubbuullaarr sshhaaddoowwss.. 
GGlloovveedd ffiinnggeerr sshhaaddoowwss..
41
42 
FFiibbrroossiiss 
LLooookk aatt tthhee ssiizzee ooff tthhee lluunngg.. 
LLooookk aatt tthhee ddiissttrriibbuuttiioonn.. 
LLooookk aatt tthhee ppoossiittiioonn ooff tthhee mmeeddiiaassttiinnuumm.. 
LLooookk aatt tthhee bboorrddeerrss ooff tthhee hheeaarrtt aanndd tthhee 
ddiiaapphhrraaggmm..
43
44 
TToooo bbllaacckk !!!!!! 
PPnneeuummootthhoorraaxx// tteennssiioonn ppnneeuummootthhoorraaxx.. 
EEmmpphhyysseemmaa.. 
PPuullmmoonnaarryy eemmbboolliissmm..
PPnneeuummootthhoorraaxx// tteennssiioonn 
45 
ppnneeuummootthhoorraaxx 
CChheecckk tthhee tteecchhnniiccaall qquuaalliittyy.. 
TThhee aabbnnoorrmmaall ssiiddee hhaass << vvaassccuullaarr mmaarrkkiinnggss.. 
LLooookk ffoorr lluunngg eeddggee.. 
LLooookk ffoorr mmeeddiiaassttiinnaall sshhiifftt.. 
AAsskk ffoorr eexxppiirraattoorryy ffiillmm..
46
47
48 
EEmmpphhyysseemmaa 
CChheecckk tthhee ppeenneettrraattiioonn.. 
CCoouunntt tthhee rriibbss.. 
TThhee sshhaappee ooff tthhee ddiiaapphhrraaggmm.. 
SShhaappee ooff tthhee hheeaarrtt.. 
VVaassccuullaarr mmaarrkkiinnggss.. 
BBuullllaaee..
49
50
PPuullmmoonnaarryy eemmbboolliissmm 
CChheecckk tthhee tteecchhnniiccaall qquuaalliittyy.. 
SSeeggmmeennttaall bbllaacckknneessss.. 
RRaarreellyy wwhhoollee lluunngg bbllaacckknneessss…………..ssttoopp 
llooookkiinngg ssttaarrtt ttrreeaattmmeenntt.. 
IInnccrreeaasseedd ssiizzee ooff tthhee ppuullmmoonnaarryy aarrtteerryy aanndd 
rriigghhtt hheeaarrtt.. 
51
52
TThhee aabbnnoorrmmaall hhiilluumm 
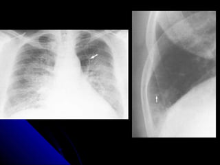
53 
UUnniillaatteerraall hhiillaarr eennllaarrggeemmeenntt.. 
BBiillaatteerraall hhiillaarr eennllaarrggeemmeenntt..
UUnniillaatteerraall bbiigg hhiilluumm 
54 
DDeennsseerr,, bbiiggggeerr,, ccoonnvveexx.. 
VVaassccuullaarr eennllaarrggeemmeenntt:: ssmmooootthh 
LLyymmpphhaaddeennooppaatthhyy:: lloobbuullaatteedd.. 
CCeennttrraall bbrroonncchhooggeenniicc:: ssppiiccuullaatteedd.. 
LLooookk ffoorr lluunngg lleessiioonnss..
55
BBiillaatteerraallllyy bbiigg hhiillaa 
IIss iitt vvaassccuullaarr?? LLooookk ffoorr lluunngg ccaauussee.. 
IIss iitt nnooddaall?? LLooookk ffoorr ootthheerrss.. 
56
57
TThhee wwiiddee mmeeddiiaassttiinnuumm 
PPoossiittiioonn:: ttoopp,, mmiiddddllee,, bboottttoomm.. 
LLooookk ffoorr tthhee ttrraacchheeaa:: IIAA VVss tthhyyrrooiidd.. 
WWhhiittee eeddggee ooff tthhee ttrraacchheeaa<<22--33mmmm.. 
TThhyyrrooiidd hhaass wweellll--ddeeffiinneedd lloowweerr bboorrddeerr.. 
TTrryy ttoo ffoollllooww tthhee oouuttlliinneess ooff tthhee aanneeuurryyssmm 
,, aanndd llooookk ffoorr ccaallcciiffiiccaattiioonnss.. 
58
59
60 
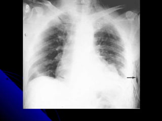
AAbbnnoorrmmaall rriibbss 
FFrraaccttuurree rriibb ooccccuurrss aatt tthhee llaatteerraall aassppeecctt.. 
LLooookk ffoorr ppnneeuummootthhoorraaxx.. 
MMeettaassttaattiicc lleessiioonnss..
61
SSoofftt ttiissssuuee aabbnnoorrmmaalliittyy 
62 
SSuurrggiiccaall eemmpphhyysseemmaa 
HHiiaattuuss hheerrnniiaa
63
64
TThhee hhiiddddeenn aabbnnoorrmmaalliittyy 
65
66
67
68
69 
TThhaannkk yyoouu

Chest X-ray for the undergraduate

  • 1.
    11 CChheesstt XX--rraayy TThhee AABBCCss DDrr.. HHaazzeemm AAbbuu ZZeeiidd YYoouusseeff ((MMDD)) JJaannuuaarryy 22000077
  • 2.
    2 KKeeyy ccoonncceeppttss TThhee ddeesskk llaammpp eexxppeerriimmeenntt.. TThhee bbaassiicc ffiivvee rraaddiiooggrraapphhiicc ddeennssiittiieess:: GGaass.. FFaatt.. FFlluuiidd.. BBoonnee.. MMeettaall.. TThhee ffiillmm qquuaalliittyy....
  • 3.
  • 4.
  • 5.
  • 6.
    NNoorrmmaall AAnnaattoommyy RRiibb((AAnntt/PPoosstt)) LLeefftt 22/RRiigghhtt 44 CCoossttootthhoorraacciicc rraattiioo CCeennttrraall ttrraacchheeaa HHiillaarr:: LLtt>>RRtt LLuunngg ffiieelldd:: CCeennttrraall>> PPeerriipphheerraall/ PPeerriipphheerraall cclleeaarr zzoonnee PPlleeuurraa:: LLiinneeaarr DDiiaapphhrraaggmm:: RRiigghhtt >>lleefftt/ AAnnggllee/GGaassttrriicc ppaatttteerrnn SSuubbccuuttaanneeoouuss ttiissssuuee 6
  • 7.
  • 8.
  • 9.
    TTeecchhnniiccaall qquuaalliittyy 9 OOrriieennttaattiioonn.. RRoottaattiioonn.. PPeenneettrraattiioonn.. DDeeggrreeee ooff iinnssppiirraattiioonn..
  • 10.
    DDeeggrreeee ooff iinnssppiirraattiioonn TThhee lleevveell ooff iinnssppiirraattiioonn ccaann bbee eessttiimmaatteedd bbyy ccoouunnttiinngg rriibbss.. VViissuuaalliizzaattiioonn ooff nniinnee ppoosstteerriioorr rriibbss,, oorr sseevveenn aanntteerriioorr rriibbss oonn aann uupprriigghhtt PPAA rraaddiiooggrraapphh pprroojjeeccttiinngg aabboovvee tthhee ddiiaapphhrraaggmm wwoouulldd iinnddiiccaattee aa ssaattiissffaaccttoorryy iinnssppiirraattiioonn.. 10
  • 11.
  • 12.
    12 PPeenneettrraattiioonn IInnaann iiddeeaall rraaddiiooggrraapphh tthhee tthhoorraacciicc ssppiinnee sshhoouulldd bbee bbaarreellyy ppeerrcceeppttuuaall vviieewwiinngg tthhrroouugghh tthhee ccaarrddiiaacc ssiillhhoouueettttee..
  • 13.
  • 14.
    14 RRoottaattiioonn RRoottaattiioonnooff tthhee rraaddiiooggrraapphh iiss aasssseesssseedd bbyy jjuuddggiinngg tthhee ppoossiittiioonn ooff tthhee ccllaavviiccllee hheeaaddss aanndd tthhee tthhoorraacciicc ssppiinnoouuss pprroocceessss.. IIddeeaallllyy tthhee ccllaavviiccllee hheeaaddss sshhoouulldd bbee eeqquuiiddiissttaanntt ffrroomm tthhee ssppiinnoouuss pprroocceessss..
  • 15.
  • 16.
    16 OOrriieennttaattiioonn TThheeuussuuaall iinnddiiccaattiioonn ffoorr AAPP iiss aa ppaattiieenntt wwhhoo iiss ccoonnffiinneedd ttoo bbeedd.. IIff iinn ddoouubbtt,, llooookk aatt tthhee rreellaattiioonnsshhiipp ooff tthhee ssccaappuullaaee ttoo tthhee lluunngg mmaarrggiinnss.. AA PPAA vviieeww sshhoowwss tthhee ssccaappuullaaee cclleeaarr ooff tthhee lluunnggss wwhhiillsstt iinn AAPP pprroojjeeccttiioonn tthheeyy aallmmoosstt aallwwaayyss oovveerrllaapp.. TThhee ccaarrddiiaacc sshhaaddooww llooookkss bbiiggggeerr oonn aann AAPP vviieeww..
  • 17.
  • 18.
  • 19.
    BBaassiicc iinntteerrpprreettaattiioonn iisseeaassyy NNaammee aanndd ddaattee.. TTeecchhnniiccaall qquuaalliittyy.. SSccaann tthhee ffiillmm tthhoorroouugghhllyy ((aavvooiidd SSSSSS)).. TTrryy ttoo llooccaalliizzee tthhee aabbnnoorrmmaalliittyy ““sskkiinn ttoo sskkiinn””.. DDeessccrriibbee tthhee aabbnnoorrmmaalliittyy ““ttoooo WW//BB//LL//WW””.. 19
  • 20.
    SSccaannnniinngg tthhee ffiillmm ((11))LLuunngg ffiieellddss:: eeqquuaall ttrraannssrraaddiiaannccyy.. ((22))LLooookk aatt tthhee hhiillaa:: ppoossiittiioonn,, ddeennssiittyy,, sshhaappee.. ((33))LLooookk aatt tthhee hheeaarrtt:: sshhaappee,, ssiizzee,, ddeennssiittyy.. ((44))CChheecckk tthhee mmeeddiiaassttiinnuumm:: cclleeaarr.. ((55))LLooookk aatt tthhee ddiiaapphhrraaggmm.. ((66))LLooookk aatt tthhee CCPP aanngglleess.. ((77))LLooookk aatt tthhee ttrraacchheeaa.. ((88))LLooookk aatt tthhee bboonneess.. ((99))LLooookk aatt tthhee ssoofftt ttiissssuueess.. 20
  • 21.
    LLooccaalliizziinngg tthhee lleessiioonn TThhee ppoossiittiioonn ooff tthhee lleessiioonn ccaann bbee ddeessccrriibbeedd iinn tteerrmmss ooff zzoonneess.. TThhee ssiillhhoouueettttee ssiiggnn.. TThhee llaatteerraall ffiillmm.. 21
  • 22.
  • 23.
    23 TToooo wwhhiittee!!!!!! EEffffuussiioonn.. CCoonnssoolliiddaattiioonn.. CCoollllaappssee.. NNoodduullee//mmaassss.. LLeefftt vveennttrriiccuullaarr ffaaiilluurree.. BBrroonncchhiieeccttaassiiss.. FFiibbrroossiiss..
  • 24.
    24 PPlleeuurraall eeffffuussiioonn AA pplleeuurraall eeffffuussiioonn iiss ssiimmppllyy aa ccoolllleeccttiioonn ooff fflluuiidd bbeettwweeeenn tthhee vviisscceerraall pplleeuurraa aanndd tthhee ppaarriieettaall pplleeuurraa.. TThhiiss fflluuiidd ccoolllleeccttiioonn mmaayy bbee sseerroouuss ((pplleeuurraall eeffffuussiioonn)),, bblloooodd ((hheemmootthhoorraaxx)),, oorr ppuuss ((eemmppyyeemmaa)).. UUpprriigghhtt PPAA ffiillmm:: sshhaappee,, ddiissttrriibbuuttiioonn.. LLaatteerraall ffiillmm:: ppoosstteerriioorr CCPP rreecceessss.. SSuuppiinnee ffiillmm.. LLaatteerraall ddooccuubbiittuuss ffiillmm..
  • 25.
  • 26.
  • 27.
  • 28.
    28 CCoonnssoolliiddaattiioonn NNoonnuunniiffoorrmm,,nnoott ddeemmaarrccaatteedd ooppaacciittyy.. CCoorrrreellaattee wwiitthh cclliinniiccaall hhiissttoorryy.. WWaatteerr ssiinnkkss.. AAiirr bbrroonncchhooggrraamm..
  • 29.
  • 30.
    30 CCoollllaappssee CCoommmmoonnccaauussee ooff wwhhiittee lluunngg.. CCoollllaappssee lleeaaddss ttoo lloossss ooff vvoolluummee.. TThhee nnoorrmmaall llaannddmmaarrkkss aarree ddiissttoorrtteedd.. LLooookk aatt tthhee lluunngg ffiieellddss:: RR>>LL.. LLooookk aatt tthhee ddiiaapphhrraaggmm:: RR>>LL.. LLooookk ffoorr tthhee oobblliiqquuee ffiissssuurree.. TThhee hheeaarrtt aanndd tthhee ttrraacchheeaa.. TThhee bboorrddeerrss ooff tthhee hheeaarrtt..
  • 31.
  • 32.
  • 33.
  • 34.
  • 35.
  • 36.
    36 NNoodduullee//mmaassss NNoodduulleessaanndd mmaasssseess iinn tthhee lluunngg aappppeeaarr aass rroouunndd wwhhiittee lleessiioonnss.. IIff tthhee lleessiioonn mmeeaassuurreess lleessss tthhaann 33 ccmm,, iitt iiss ccaalllleedd aa nnoodduullee.. IIff iitt iiss llaarrggeerr tthhaann 33 ccmm,, iitt iiss ccaalllleedd aa mmaassss.. AA nnoodduullee//mmaassss iiss ccaauusseedd bbyy eeiitthheerr aa mmaalliiggnnaanntt ((ee..gg.. lluunngg ccaanncceerr,, mmeettaassttaassiiss)) oorr bbeenniiggnn pprroocceessss ((ee..gg.. hhaammaarrttoommaa,, ggrraannuulloommaa)).. PPrriimmaarryy lluunngg ccaanncceerrss tteenndd ttoo hhaavvee iillll--ddeeffiinneedd,, ssppiiccuullaatteedd bboorrddeerrss.. MMeettaassttaasseess tteenndd ttoo pprroodduuccee mmuullttiippllee ssmmooootthh rroouunndd lluunngg nnoodduulleess,, oofftteenn ooff vvaarriiaabbllee ssiizzee.. BBeenniiggnn lleessiioonnss tteenndd ttoo bbee ssmmaallll,, wweellll ddeeffiinneedd,, ssmmooootthh,, rroouunndd aanndd mmaayybbee ccaallcciiffiieedd..
  • 37.
    37 CCHHFF CCaarrddiioommeeggaallllyy.. UUppppeerr lloobbee ddiivveerrssiioonn.. KKeerrlleeyy--BBlliinneess.. PPlleeuurraall eeffffuussiioonn.. BBaattwwiinngg eeddeemmaa..
  • 38.
  • 39.
  • 40.
    40 BBrroonncchhiieeccttaassiiss RRiinnggsshhaaddoowwss,, aanndd hhoonneeyy ccoommbb.. TTrraammlliinnee sshhaaddoowwss.. TTuubbuullaarr sshhaaddoowwss.. GGlloovveedd ffiinnggeerr sshhaaddoowwss..
  • 41.
  • 42.
    42 FFiibbrroossiiss LLooookkaatt tthhee ssiizzee ooff tthhee lluunngg.. LLooookk aatt tthhee ddiissttrriibbuuttiioonn.. LLooookk aatt tthhee ppoossiittiioonn ooff tthhee mmeeddiiaassttiinnuumm.. LLooookk aatt tthhee bboorrddeerrss ooff tthhee hheeaarrtt aanndd tthhee ddiiaapphhrraaggmm..
  • 43.
  • 44.
    44 TToooo bbllaacckk!!!!!! PPnneeuummootthhoorraaxx// tteennssiioonn ppnneeuummootthhoorraaxx.. EEmmpphhyysseemmaa.. PPuullmmoonnaarryy eemmbboolliissmm..
  • 45.
    PPnneeuummootthhoorraaxx// tteennssiioonn 45 ppnneeuummootthhoorraaxx CChheecckk tthhee tteecchhnniiccaall qquuaalliittyy.. TThhee aabbnnoorrmmaall ssiiddee hhaass << vvaassccuullaarr mmaarrkkiinnggss.. LLooookk ffoorr lluunngg eeddggee.. LLooookk ffoorr mmeeddiiaassttiinnaall sshhiifftt.. AAsskk ffoorr eexxppiirraattoorryy ffiillmm..
  • 46.
  • 47.
  • 48.
    48 EEmmpphhyysseemmaa CChheecckktthhee ppeenneettrraattiioonn.. CCoouunntt tthhee rriibbss.. TThhee sshhaappee ooff tthhee ddiiaapphhrraaggmm.. SShhaappee ooff tthhee hheeaarrtt.. VVaassccuullaarr mmaarrkkiinnggss.. BBuullllaaee..
  • 49.
  • 50.
  • 51.
    PPuullmmoonnaarryy eemmbboolliissmm CChheecckktthhee tteecchhnniiccaall qquuaalliittyy.. SSeeggmmeennttaall bbllaacckknneessss.. RRaarreellyy wwhhoollee lluunngg bbllaacckknneessss…………..ssttoopp llooookkiinngg ssttaarrtt ttrreeaattmmeenntt.. IInnccrreeaasseedd ssiizzee ooff tthhee ppuullmmoonnaarryy aarrtteerryy aanndd rriigghhtt hheeaarrtt.. 51
  • 52.
  • 53.
    TThhee aabbnnoorrmmaall hhiilluumm 53 UUnniillaatteerraall hhiillaarr eennllaarrggeemmeenntt.. BBiillaatteerraall hhiillaarr eennllaarrggeemmeenntt..
  • 54.
    UUnniillaatteerraall bbiigg hhiilluumm 54 DDeennsseerr,, bbiiggggeerr,, ccoonnvveexx.. VVaassccuullaarr eennllaarrggeemmeenntt:: ssmmooootthh LLyymmpphhaaddeennooppaatthhyy:: lloobbuullaatteedd.. CCeennttrraall bbrroonncchhooggeenniicc:: ssppiiccuullaatteedd.. LLooookk ffoorr lluunngg lleessiioonnss..
  • 55.
  • 56.
    BBiillaatteerraallllyy bbiigg hhiillaa IIss iitt vvaassccuullaarr?? LLooookk ffoorr lluunngg ccaauussee.. IIss iitt nnooddaall?? LLooookk ffoorr ootthheerrss.. 56
  • 57.
  • 58.
    TThhee wwiiddee mmeeddiiaassttiinnuumm PPoossiittiioonn:: ttoopp,, mmiiddddllee,, bboottttoomm.. LLooookk ffoorr tthhee ttrraacchheeaa:: IIAA VVss tthhyyrrooiidd.. WWhhiittee eeddggee ooff tthhee ttrraacchheeaa<<22--33mmmm.. TThhyyrrooiidd hhaass wweellll--ddeeffiinneedd lloowweerr bboorrddeerr.. TTrryy ttoo ffoollllooww tthhee oouuttlliinneess ooff tthhee aanneeuurryyssmm ,, aanndd llooookk ffoorr ccaallcciiffiiccaattiioonnss.. 58
  • 59.
  • 60.
    60 AAbbnnoorrmmaall rriibbss FFrraaccttuurree rriibb ooccccuurrss aatt tthhee llaatteerraall aassppeecctt.. LLooookk ffoorr ppnneeuummootthhoorraaxx.. MMeettaassttaattiicc lleessiioonnss..
  • 61.
  • 62.
    SSoofftt ttiissssuuee aabbnnoorrmmaalliittyy 62 SSuurrggiiccaall eemmpphhyysseemmaa HHiiaattuuss hheerrnniiaa
  • 63.
  • 64.
  • 65.
  • 66.
  • 67.
  • 68.
  • 69.