Rathachai Kaewlai, MD 
Ramathibodi Hospital, Mahidol University 
For the Annual Meeting of the Royal College of Radiologists of Thailand 
6 September 2014, Centara Grand @CentralPlaza Ladprao, Bangkok
www.ThaiRSC.com
 Leading cause of disability and mortality 
from trauma 
 Young individuals, many life-year losses 
 80% presenting at Emergency Department 
 Timely diagnosis and management crucial 
for patient outcome
 What to report on a head trauma CT? 
 Primary injury 
 Secondary effects 
 Skull and skull base fractures 
 Quantification of injuries and prognostic/ 
management significance
 Poor prognostic signs on CT 
 EDH > 150 mL1 
 SDH > 10 mm thick, midline shift > 20 mm 2,3 
 Temporal or bilateral IPH4 
 IPH + SDH4 
 DAI5 
1Rivas JJ, et al. Neurosurgery 1988;23:44-51 
2Servadei F, et al. Br J Neurosurg 2000;14:110-6 
3Zumkeller M, et al. Neurosurgery 1996;39:708-12 
4Wong GK, et al. Br J Neurosurg 2009;23:601-5 
5Adams JH, et al. J Neurol Neurosurg Psychiatry 1991;54:481-3
Joseph B, et al. J Trauma Acute Care Surg 2014;76:965-9
Joseph B, et al. J Trauma Acute Care Surg 2014;76:965-9 
Focal neurologic 
examination, 
abnormal pupil, 
GCS < 12 
Imaging findings 
Imaging plan
 Integration of patient’s history, neurologic 
exam and initial CT results for Rx plan 
 Easy to assign category (in this paper, only 0.7% were 
wrongly grouped) 
 Reduce use of repeat CT (28%) 
 Reduce number of neurosurgical consultation (35%) 
 Reduce number of admission (10%) 
 For radiologists, we now realize what are 
significant and should be reported
 Skull encases the brain 
 Brain immersed in CSF 
 Cellular cohesiveness of brain 
 Skull surface and dural reflections 
 Blunt impact by moving object 
 Moving skull vs stationary object 
 Rotational translation and 
deceleration 
 Coup injuries = superficial 
 Contrecoup = deep 
Images from Wikipedia.org
One day later
FLAIR T2W
 Knowing biomechanics of closed TBI 
important for detection of lesions and 
forensic purpose 
 Minimal brain lesions might complete the 
mosaic for reconstruction of 
biomechanical condition
 Wei SC, et al. AJNR 2010 
 213 NCCTs 
▪ 32 cases with traumatic ICH = 104 foci on either 
axial or coronal images 
▪ 80 foci were true-positive lesions 
▪ 15 true positives not detected on axial images 
(15/104 = 14%, in 8 patients) 
▪ 14 false-positive findings on axial but excluded on 
coronal
 Axial images are less accurate in areas 
 Parallel to axial image plane (esp immediately 
adjacent to bony surfaces) 
 Common areas where false negatives occur 
 Floor of anterior cranial fossa 
 Floor of middle cranial fossa
 Vertically oriented lesion easier to detect 
on coronal reformation than axials
 Horizontal skull fracture
 Horizontal skull fracture
 Enable us to be certain about diagnosis
 Lesion detection 
 Floor of anterior and middle cranial fossae 
 Tentorial lesions 
 Horizontal skull fracture 
 Vertically oriented lesions 
 Enable us to be certain about diagnosis
 To control elevated ICP in severe TBI 
 Removal of a large portion of frontal-temporal-parietal- 
occipital skull bone (12x15 cm) 
 Underlying dura opened in stellate fashion to 
bone edge. Scalp flap was closed without 
duroplasty 
Kolias, A. G. et al. (2013) Decompressive craniectomy: past, present and future 
Nat. Rev. Neurol. doi:10.1038/nrneurol.2013.106
 EDH after and remote to decompressive 
craniectomy (DC) 
 Upon opening skull -- relief of tamponade 
effect and hemorrhagic expansion of 
injured meningeal artery, dural vein or 
fractured diploe 
 Evolve during operation 
 May present during or after operation 
 Can be fatal. Often need 2nd operation
 Su TM, et al. J Trauma 2008 
 Case series of 12 patients 
 Contralateral DEDH occurred after 
decompressive craniectomy 
 10/12 found to have contralateral calvarial fx 
on preoperative CT 
 12/12 found to have fx at surgery
 Talbott JF, et al. AJNR 2014 
 Retrospective review of 203 patients who had 
decompressive craniectomy for TBI 
 6% had DEDH 
▪ Age 32 +/- 13 years, two thirds had severe TBI, 
mostly high impact injuries 
▪ Time from sx to postoperative CT = 13 h 
▪ All had contralateral calvarial fx on preoperative CT 
at site of DEDH
 Talbott JF, et al. AJNR 2014 
 Large size (mean volume = 86 mL, 
mean thickness = 2.5 cm) 
 Mean midline shift = 10 mm 
 Site of DEDH 
▪ Contralateral to side of craniectomy 
(10/12) and bilateral (2/12) 
▪ All DEDH at site of calvarial fx
Contralateral skull fracture > 2 bones – 41 times to develop DEDH following DC 
Talbott JF, et al. AJNR 2014
 Incidence 4.5-6.8% in patients with TBI 
undergoing DC 
 Predictor = contralateral calvarial fx 
(esp. >2 bones involved) 
 Surgeon should be alerted to 
 Risks of intraoperative brain swelling 
through craniectomy defect 
 Need for early postoperative CT
Head injury, repeat CT per protocol 
Initial CT done 6 hours ago: 
Right SDH (5 mm thick) and small cortical SAH. 
Admission GCS = 13, now stable 
Do we need to repeat CT again?
 CT is the first-line imaging study “rapidly 
acquired” and “accurate for significant 
intracranial hemorrhage” 
 First CT done as soon as possible after 
ED arrival 
 When first CT shows ICH and the patients 
is observed, do we need repeat (F/U) CT? 
 Value of repeat (2nd) CT - controversial
 Unexpected changes 
or findings can be 
beneficial in 
management of TBI 
patients 
 Increase of patient 
exposure to ionizing 
radiation 
 Misallocation of 
resources 
 Elevation of 
healthcare cost 
Cartoons from buildingmbrand.wordpress.com
 Well, it depends.... 
 Reljic T, et al. J Neurotrauma 2014 
 110 references in PubMed thru 2012 reviewed 
 Meta-analysis of 41 studies = 13 prospective + 
28 retrospective = 10,501 patients with TBI
Prospective 
studies 
Retrospective 
studies 
Progression of injury 31% 
(15-50) 
28% 
(24-33) 
Change in management 11.4% 
(5.9-18.4) 
9.6% 
(6.5-13.2) 
Change in ICP monitoring - 5.6% 
(2.2-10.5) 
Change in neurosurgical intervention 10.7% 
(6.5-15.8) 
5.2% 
(3.3-7.5) 
Significant heterogeneity of data led to subgroup analysis 
Reljic T, et al. J Neurotrauma 2014
 Mild HI 
Prospective Retrospective 
Change in 
management 
2.3% 3.9% 
Change in ICP 
monitoring 
- 1.2% 
Neurosurgical 
intervention 
1.5% 2.4% 
Reljic T, et al. J Neurotrauma 2014
 Moderate HI 
Prospective Retrospective 
Change in 
management 
15.3% 18.4% 
Change in ICP 
monitoring 
- 0% 
Neurosurgical 
intervention 
- 8.2% 
Reljic T, et al. J Neurotrauma 2014
 Severe HI 
Prospective Retrospective 
Change in 
management 
25.3% 19.9% 
Change in ICP 
monitoring 
- 13.8% 
Neurosurgical 
intervention 
- 8% 
Reljic T, et al. J Neurotrauma 2014
 Change in management mostly in moderate-severe 
head injury 
Prospective Retrospective 
Mild HI 2.3% 3.9% 
Moderate HI 15.3% 18.4% 
Severe HI 25.3% 19.9% 
AVERAGE 11.4% 9.6% 
Reljic T, et al. J Neurotrauma 2014
Good images can be achieved even with 
lower radiation dose! 
CTDIvol 46, DLP 738 CTDIvol 71, DLP 1188
There is no safe dose of radiation. 
- Edward P Radford, MD 
Scholar of the Risks from Radiation
Procedures Effective 
Dose (mSv) 
Risks 
CXR (PA), extremity XR <0.1 Negligible 
Abdomen XR, LS spine XR 0.1-1 Extremely low “death from flying 
7200 km” 
Brain CT, single-phase 
abdomen CT, single-phase 
chest CT 
1-10 Very low “death from driving 
3200 km) 
Multiphase CT 10-100 Low 
Interventions, repeated CT >100 Moderate
Most sensitive 
Lymphoid tissue, bone marrow, GI epithelium, 
gonads, embryonic tissues 
Skin, vascular endothelium, lung, kidney, liver, 
lens (eye) 
CNS, muscle, bone and cartilage, connective 
tissue 
Least sensitive 
Ref: ICRP 2007 
Tissue Sensitivity 
 ~ rate of cell proliferation 
 Inversely ~ to age 
 Inversely ~ to degree of cell 
differentiation 
 Higher dose = more damage 
 Young = more damage
Imaging exam ordered 
by referring physician 
Vetting/protocoling by 
radiologist 
Scanning 
Post-processing 
Monitoring of quality 
?????????????????????
Imaging exam ordered 
by referring physician 
Vetting/protocoling by 
radiologist 
Scanning 
Post-processing 
Monitoring of quality 
Medicineworld.org 
Technical parameter change 
 Avoid Z-creep (unnecessary coverage 
and scan phases) 
 Make standard protocols available in CT 
workstations for every techs to use 
 Reduce mAs 
 Use automatic tube current modulation 
 Reduce kVP (esp for CTA, stone protocol) 
 Incorporate patient size, age and 
indication into making a protocol (work 
with your physicists)
 Tube current (mA) 
 Tube voltage (kVp) 
 Scan length 
 Detector collimation 
 Table speed 
 Pitch 
 Gantry rotation time 
 Automatic exposure control 
 Use of shielding
 Reduce mAs decreases 
radiation dose 
 mA: effects noise only 
60 
50 
40 
30 
20 
10 
0 
Changes in Dose (CTDIw) 
as a Function of mAs 
Fixed kVp 
0 200 400 600 
CTDIw Head (mGy) CTDIw Body (mGy) 
mGy 
mAs
 Reduce kVp decreases 
radiation dose BUT has 
effect on both noise and 
attenuation 
60 
50 
40 
30 
20 
10 
0 
Changes in CTDIw as a 
Function of kVp 
Fixed mAs 
0 50 100 150 
CTDIw Head (mGy) 
CTDIw Body (mGy) 
Nakayama Y, et al. Radiology 2005 
McNitt-Gray MF. Radiographics 2002
 Radiation dose is directly 
proportional to scan volume 
Extra volume due to lack of gantry adjustment at time of scanning
Imaging exam ordered 
by referring physician 
Vetting/protocoling by 
radiologist 
Scanning 
Post-processing 
Monitoring of quality 
Jenkinsclinic.org 
Some methods to reduce image noise 
(make a better-looking study) 
 Use smooth kernels 
 View thicker slices 
 Use iterative reconstruction (IR)
 Current CT reconstructs images from raw data 
using filtered back projection (FBP). Faster 
processing time traded with image noise 
 Iterative reconstruction (IR) allows less noisy 
images but with longer processing 
 Same raw data processed with… 
 FBP may look noisy 
 IR appears less noisy 
Korn A et al. AJNR 2012 
FBP IR, 30% dose reduction
Imaging exam ordered 
by referring physician 
Vetting/protocoling by 
radiologist 
Scanning 
Post-processing 
Monitoring of quality 
Blog.vpi-corp.com 
Monitoring of study quality and dose by 
imaging team (techs, physicists and 
radiologists) 
 Send “Dose Report” into PACS 
 Educate radiologists and trainees about 
dose parameters and standards 
 Regular updates of CT protocols
CTDIvol 
- Dose indicator for CT 
- Accounted for dose gradient, 
helical pitch, single tube rotation DLP 
- CTDIvol x scan length 
- Estimation of effective dose
 Example: Effective Dose = DLPx0.0023 = 1.7 mSv 
 Typical head CT DLP 1100 mGy.com or ~2.5 mSv 
 Annual non-medical background radiation ~3 mSv
Before 2010 
Dose (median, 
range) n=490 
2011-2013 
Dose (median, 
range) n=564 
Median dose 
reduction (%) 
P 
value 
CTDIvol 
(mGy) 
109 
(109-140) 
51.5 
(17-120) 
-53% <0.01 
Total DLP 
(mGy-cm) 
2232 
(1482-6121) 
943 
(268-4323) 
-57% <0.01 
Effective dose 
(mSv) 
4.7 
(3.1-12.8) 
2 
(0.6-9.1) 
-57% <0.01
 Brain Injury Guidelines (BIG) 
 Coup-contrecoup injury 
 Value of coronal reformation 
 Delayed EDH after decompressive 
craniectomy 
 Repeat head CT 
 Radiation dose
Traumatic Brain Injury Pearls and Pitfalls (2014)

Traumatic Brain Injury Pearls and Pitfalls (2014)

  • 1.
    Rathachai Kaewlai, MD Ramathibodi Hospital, Mahidol University For the Annual Meeting of the Royal College of Radiologists of Thailand 6 September 2014, Centara Grand @CentralPlaza Ladprao, Bangkok
  • 4.
  • 8.
     Leading causeof disability and mortality from trauma  Young individuals, many life-year losses  80% presenting at Emergency Department  Timely diagnosis and management crucial for patient outcome
  • 9.
     What toreport on a head trauma CT?  Primary injury  Secondary effects  Skull and skull base fractures  Quantification of injuries and prognostic/ management significance
  • 10.
     Poor prognosticsigns on CT  EDH > 150 mL1  SDH > 10 mm thick, midline shift > 20 mm 2,3  Temporal or bilateral IPH4  IPH + SDH4  DAI5 1Rivas JJ, et al. Neurosurgery 1988;23:44-51 2Servadei F, et al. Br J Neurosurg 2000;14:110-6 3Zumkeller M, et al. Neurosurgery 1996;39:708-12 4Wong GK, et al. Br J Neurosurg 2009;23:601-5 5Adams JH, et al. J Neurol Neurosurg Psychiatry 1991;54:481-3
  • 11.
    Joseph B, etal. J Trauma Acute Care Surg 2014;76:965-9
  • 12.
    Joseph B, etal. J Trauma Acute Care Surg 2014;76:965-9 Focal neurologic examination, abnormal pupil, GCS < 12 Imaging findings Imaging plan
  • 13.
     Integration ofpatient’s history, neurologic exam and initial CT results for Rx plan  Easy to assign category (in this paper, only 0.7% were wrongly grouped)  Reduce use of repeat CT (28%)  Reduce number of neurosurgical consultation (35%)  Reduce number of admission (10%)  For radiologists, we now realize what are significant and should be reported
  • 17.
     Skull encasesthe brain  Brain immersed in CSF  Cellular cohesiveness of brain  Skull surface and dural reflections  Blunt impact by moving object  Moving skull vs stationary object  Rotational translation and deceleration  Coup injuries = superficial  Contrecoup = deep Images from Wikipedia.org
  • 19.
  • 20.
  • 22.
     Knowing biomechanicsof closed TBI important for detection of lesions and forensic purpose  Minimal brain lesions might complete the mosaic for reconstruction of biomechanical condition
  • 25.
     Wei SC,et al. AJNR 2010  213 NCCTs ▪ 32 cases with traumatic ICH = 104 foci on either axial or coronal images ▪ 80 foci were true-positive lesions ▪ 15 true positives not detected on axial images (15/104 = 14%, in 8 patients) ▪ 14 false-positive findings on axial but excluded on coronal
  • 26.
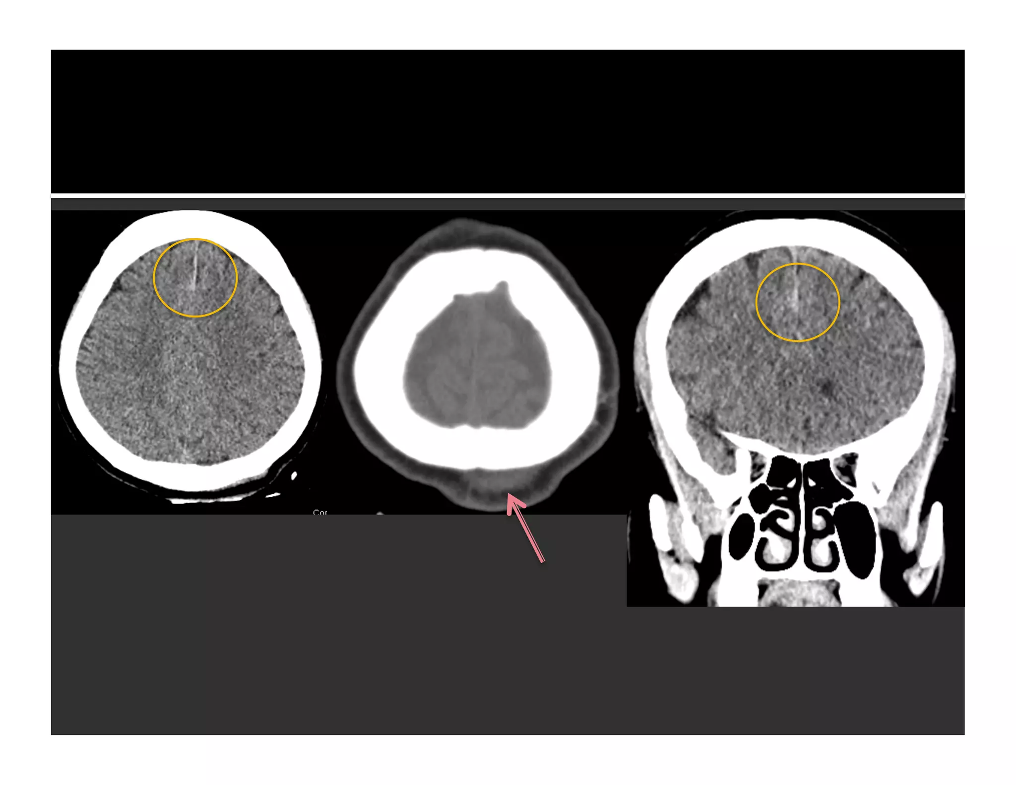
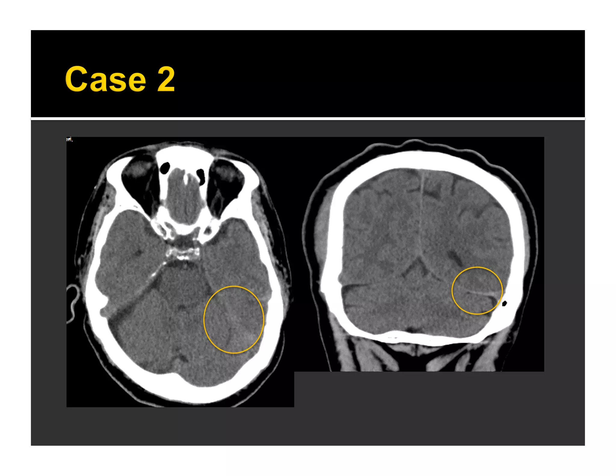
     Axial imagesare less accurate in areas  Parallel to axial image plane (esp immediately adjacent to bony surfaces)  Common areas where false negatives occur  Floor of anterior cranial fossa  Floor of middle cranial fossa
  • 28.
     Vertically orientedlesion easier to detect on coronal reformation than axials
  • 29.
  • 30.
  • 31.
     Enable usto be certain about diagnosis
  • 32.
     Lesion detection  Floor of anterior and middle cranial fossae  Tentorial lesions  Horizontal skull fracture  Vertically oriented lesions  Enable us to be certain about diagnosis
  • 35.
     To controlelevated ICP in severe TBI  Removal of a large portion of frontal-temporal-parietal- occipital skull bone (12x15 cm)  Underlying dura opened in stellate fashion to bone edge. Scalp flap was closed without duroplasty Kolias, A. G. et al. (2013) Decompressive craniectomy: past, present and future Nat. Rev. Neurol. doi:10.1038/nrneurol.2013.106
  • 36.
     EDH afterand remote to decompressive craniectomy (DC)  Upon opening skull -- relief of tamponade effect and hemorrhagic expansion of injured meningeal artery, dural vein or fractured diploe  Evolve during operation  May present during or after operation  Can be fatal. Often need 2nd operation
  • 37.
     Su TM,et al. J Trauma 2008  Case series of 12 patients  Contralateral DEDH occurred after decompressive craniectomy  10/12 found to have contralateral calvarial fx on preoperative CT  12/12 found to have fx at surgery
  • 38.
     Talbott JF,et al. AJNR 2014  Retrospective review of 203 patients who had decompressive craniectomy for TBI  6% had DEDH ▪ Age 32 +/- 13 years, two thirds had severe TBI, mostly high impact injuries ▪ Time from sx to postoperative CT = 13 h ▪ All had contralateral calvarial fx on preoperative CT at site of DEDH
  • 39.
     Talbott JF,et al. AJNR 2014  Large size (mean volume = 86 mL, mean thickness = 2.5 cm)  Mean midline shift = 10 mm  Site of DEDH ▪ Contralateral to side of craniectomy (10/12) and bilateral (2/12) ▪ All DEDH at site of calvarial fx
  • 40.
    Contralateral skull fracture> 2 bones – 41 times to develop DEDH following DC Talbott JF, et al. AJNR 2014
  • 42.
     Incidence 4.5-6.8%in patients with TBI undergoing DC  Predictor = contralateral calvarial fx (esp. >2 bones involved)  Surgeon should be alerted to  Risks of intraoperative brain swelling through craniectomy defect  Need for early postoperative CT
  • 43.
    Head injury, repeatCT per protocol Initial CT done 6 hours ago: Right SDH (5 mm thick) and small cortical SAH. Admission GCS = 13, now stable Do we need to repeat CT again?
  • 45.
     CT isthe first-line imaging study “rapidly acquired” and “accurate for significant intracranial hemorrhage”  First CT done as soon as possible after ED arrival  When first CT shows ICH and the patients is observed, do we need repeat (F/U) CT?  Value of repeat (2nd) CT - controversial
  • 46.
     Unexpected changes or findings can be beneficial in management of TBI patients  Increase of patient exposure to ionizing radiation  Misallocation of resources  Elevation of healthcare cost Cartoons from buildingmbrand.wordpress.com
  • 47.
     Well, itdepends....  Reljic T, et al. J Neurotrauma 2014  110 references in PubMed thru 2012 reviewed  Meta-analysis of 41 studies = 13 prospective + 28 retrospective = 10,501 patients with TBI
  • 48.
    Prospective studies Retrospective studies Progression of injury 31% (15-50) 28% (24-33) Change in management 11.4% (5.9-18.4) 9.6% (6.5-13.2) Change in ICP monitoring - 5.6% (2.2-10.5) Change in neurosurgical intervention 10.7% (6.5-15.8) 5.2% (3.3-7.5) Significant heterogeneity of data led to subgroup analysis Reljic T, et al. J Neurotrauma 2014
  • 49.
     Mild HI Prospective Retrospective Change in management 2.3% 3.9% Change in ICP monitoring - 1.2% Neurosurgical intervention 1.5% 2.4% Reljic T, et al. J Neurotrauma 2014
  • 50.
     Moderate HI Prospective Retrospective Change in management 15.3% 18.4% Change in ICP monitoring - 0% Neurosurgical intervention - 8.2% Reljic T, et al. J Neurotrauma 2014
  • 51.
     Severe HI Prospective Retrospective Change in management 25.3% 19.9% Change in ICP monitoring - 13.8% Neurosurgical intervention - 8% Reljic T, et al. J Neurotrauma 2014
  • 52.
     Change inmanagement mostly in moderate-severe head injury Prospective Retrospective Mild HI 2.3% 3.9% Moderate HI 15.3% 18.4% Severe HI 25.3% 19.9% AVERAGE 11.4% 9.6% Reljic T, et al. J Neurotrauma 2014
  • 53.
    Good images canbe achieved even with lower radiation dose! CTDIvol 46, DLP 738 CTDIvol 71, DLP 1188
  • 55.
    There is nosafe dose of radiation. - Edward P Radford, MD Scholar of the Risks from Radiation
  • 56.
    Procedures Effective Dose(mSv) Risks CXR (PA), extremity XR <0.1 Negligible Abdomen XR, LS spine XR 0.1-1 Extremely low “death from flying 7200 km” Brain CT, single-phase abdomen CT, single-phase chest CT 1-10 Very low “death from driving 3200 km) Multiphase CT 10-100 Low Interventions, repeated CT >100 Moderate
  • 57.
    Most sensitive Lymphoidtissue, bone marrow, GI epithelium, gonads, embryonic tissues Skin, vascular endothelium, lung, kidney, liver, lens (eye) CNS, muscle, bone and cartilage, connective tissue Least sensitive Ref: ICRP 2007 Tissue Sensitivity  ~ rate of cell proliferation  Inversely ~ to age  Inversely ~ to degree of cell differentiation  Higher dose = more damage  Young = more damage
  • 58.
    Imaging exam ordered by referring physician Vetting/protocoling by radiologist Scanning Post-processing Monitoring of quality ?????????????????????
  • 59.
    Imaging exam ordered by referring physician Vetting/protocoling by radiologist Scanning Post-processing Monitoring of quality Medicineworld.org Technical parameter change  Avoid Z-creep (unnecessary coverage and scan phases)  Make standard protocols available in CT workstations for every techs to use  Reduce mAs  Use automatic tube current modulation  Reduce kVP (esp for CTA, stone protocol)  Incorporate patient size, age and indication into making a protocol (work with your physicists)
  • 60.
     Tube current(mA)  Tube voltage (kVp)  Scan length  Detector collimation  Table speed  Pitch  Gantry rotation time  Automatic exposure control  Use of shielding
  • 61.
     Reduce mAsdecreases radiation dose  mA: effects noise only 60 50 40 30 20 10 0 Changes in Dose (CTDIw) as a Function of mAs Fixed kVp 0 200 400 600 CTDIw Head (mGy) CTDIw Body (mGy) mGy mAs
  • 62.
     Reduce kVpdecreases radiation dose BUT has effect on both noise and attenuation 60 50 40 30 20 10 0 Changes in CTDIw as a Function of kVp Fixed mAs 0 50 100 150 CTDIw Head (mGy) CTDIw Body (mGy) Nakayama Y, et al. Radiology 2005 McNitt-Gray MF. Radiographics 2002
  • 63.
     Radiation doseis directly proportional to scan volume Extra volume due to lack of gantry adjustment at time of scanning
  • 64.
    Imaging exam ordered by referring physician Vetting/protocoling by radiologist Scanning Post-processing Monitoring of quality Jenkinsclinic.org Some methods to reduce image noise (make a better-looking study)  Use smooth kernels  View thicker slices  Use iterative reconstruction (IR)
  • 65.
     Current CTreconstructs images from raw data using filtered back projection (FBP). Faster processing time traded with image noise  Iterative reconstruction (IR) allows less noisy images but with longer processing  Same raw data processed with…  FBP may look noisy  IR appears less noisy Korn A et al. AJNR 2012 FBP IR, 30% dose reduction
  • 66.
    Imaging exam ordered by referring physician Vetting/protocoling by radiologist Scanning Post-processing Monitoring of quality Blog.vpi-corp.com Monitoring of study quality and dose by imaging team (techs, physicists and radiologists)  Send “Dose Report” into PACS  Educate radiologists and trainees about dose parameters and standards  Regular updates of CT protocols
  • 67.
    CTDIvol - Doseindicator for CT - Accounted for dose gradient, helical pitch, single tube rotation DLP - CTDIvol x scan length - Estimation of effective dose
  • 68.
     Example: EffectiveDose = DLPx0.0023 = 1.7 mSv  Typical head CT DLP 1100 mGy.com or ~2.5 mSv  Annual non-medical background radiation ~3 mSv
  • 69.
    Before 2010 Dose(median, range) n=490 2011-2013 Dose (median, range) n=564 Median dose reduction (%) P value CTDIvol (mGy) 109 (109-140) 51.5 (17-120) -53% <0.01 Total DLP (mGy-cm) 2232 (1482-6121) 943 (268-4323) -57% <0.01 Effective dose (mSv) 4.7 (3.1-12.8) 2 (0.6-9.1) -57% <0.01
  • 70.
     Brain InjuryGuidelines (BIG)  Coup-contrecoup injury  Value of coronal reformation  Delayed EDH after decompressive craniectomy  Repeat head CT  Radiation dose